Spandidos Publications Logo
  • About
    • About Spandidos
    • Aims and Scopes
    • Abstracting and Indexing
    • Editorial Policies
    • Reprints and Permissions
    • Job Opportunities
    • Terms and Conditions
    • Contact
  • Journals
    • All Journals
    • Oncology Letters
      • Oncology Letters
      • Information for Authors
      • Editorial Policies
      • Editorial Board
      • Aims and Scope
      • Abstracting and Indexing
      • Bibliographic Information
      • Archive
    • International Journal of Oncology
      • International Journal of Oncology
      • Information for Authors
      • Editorial Policies
      • Editorial Board
      • Aims and Scope
      • Abstracting and Indexing
      • Bibliographic Information
      • Archive
    • Molecular and Clinical Oncology
      • Molecular and Clinical Oncology
      • Information for Authors
      • Editorial Policies
      • Editorial Board
      • Aims and Scope
      • Abstracting and Indexing
      • Bibliographic Information
      • Archive
    • Experimental and Therapeutic Medicine
      • Experimental and Therapeutic Medicine
      • Information for Authors
      • Editorial Policies
      • Editorial Board
      • Aims and Scope
      • Abstracting and Indexing
      • Bibliographic Information
      • Archive
    • International Journal of Molecular Medicine
      • International Journal of Molecular Medicine
      • Information for Authors
      • Editorial Policies
      • Editorial Board
      • Aims and Scope
      • Abstracting and Indexing
      • Bibliographic Information
      • Archive
    • Biomedical Reports
      • Biomedical Reports
      • Information for Authors
      • Editorial Policies
      • Editorial Board
      • Aims and Scope
      • Abstracting and Indexing
      • Bibliographic Information
      • Archive
    • Oncology Reports
      • Oncology Reports
      • Information for Authors
      • Editorial Policies
      • Editorial Board
      • Aims and Scope
      • Abstracting and Indexing
      • Bibliographic Information
      • Archive
    • Molecular Medicine Reports
      • Molecular Medicine Reports
      • Information for Authors
      • Editorial Policies
      • Editorial Board
      • Aims and Scope
      • Abstracting and Indexing
      • Bibliographic Information
      • Archive
    • World Academy of Sciences Journal
      • World Academy of Sciences Journal
      • Information for Authors
      • Editorial Policies
      • Editorial Board
      • Aims and Scope
      • Abstracting and Indexing
      • Bibliographic Information
      • Archive
    • International Journal of Functional Nutrition
      • International Journal of Functional Nutrition
      • Information for Authors
      • Editorial Policies
      • Editorial Board
      • Aims and Scope
      • Abstracting and Indexing
      • Bibliographic Information
      • Archive
    • International Journal of Epigenetics
      • International Journal of Epigenetics
      • Information for Authors
      • Editorial Policies
      • Editorial Board
      • Aims and Scope
      • Abstracting and Indexing
      • Bibliographic Information
      • Archive
    • Medicine International
      • Medicine International
      • Information for Authors
      • Editorial Policies
      • Editorial Board
      • Aims and Scope
      • Abstracting and Indexing
      • Bibliographic Information
      • Archive
  • Articles
  • Information
    • Information for Authors
    • Information for Reviewers
    • Information for Librarians
    • Information for Advertisers
    • Conferences
  • Language Editing
Spandidos Publications Logo
  • About
    • About Spandidos
    • Aims and Scopes
    • Abstracting and Indexing
    • Editorial Policies
    • Reprints and Permissions
    • Job Opportunities
    • Terms and Conditions
    • Contact
  • Journals
    • All Journals
    • Biomedical Reports
      • Information for Authors
      • Editorial Policies
      • Editorial Board
      • Aims and Scope
      • Abstracting and Indexing
      • Bibliographic Information
      • Archive
    • Experimental and Therapeutic Medicine
      • Information for Authors
      • Editorial Policies
      • Editorial Board
      • Aims and Scope
      • Abstracting and Indexing
      • Bibliographic Information
      • Archive
    • International Journal of Epigenetics
      • Information for Authors
      • Editorial Policies
      • Editorial Board
      • Aims and Scope
      • Abstracting and Indexing
      • Bibliographic Information
      • Archive
    • International Journal of Functional Nutrition
      • Information for Authors
      • Editorial Policies
      • Editorial Board
      • Aims and Scope
      • Abstracting and Indexing
      • Bibliographic Information
      • Archive
    • International Journal of Molecular Medicine
      • Information for Authors
      • Editorial Policies
      • Editorial Board
      • Aims and Scope
      • Abstracting and Indexing
      • Bibliographic Information
      • Archive
    • International Journal of Oncology
      • Information for Authors
      • Editorial Policies
      • Editorial Board
      • Aims and Scope
      • Abstracting and Indexing
      • Bibliographic Information
      • Archive
    • Medicine International
      • Information for Authors
      • Editorial Policies
      • Editorial Board
      • Aims and Scope
      • Abstracting and Indexing
      • Bibliographic Information
      • Archive
    • Molecular and Clinical Oncology
      • Information for Authors
      • Editorial Policies
      • Editorial Board
      • Aims and Scope
      • Abstracting and Indexing
      • Bibliographic Information
      • Archive
    • Molecular Medicine Reports
      • Information for Authors
      • Editorial Policies
      • Editorial Board
      • Aims and Scope
      • Abstracting and Indexing
      • Bibliographic Information
      • Archive
    • Oncology Letters
      • Information for Authors
      • Editorial Policies
      • Editorial Board
      • Aims and Scope
      • Abstracting and Indexing
      • Bibliographic Information
      • Archive
    • Oncology Reports
      • Information for Authors
      • Editorial Policies
      • Editorial Board
      • Aims and Scope
      • Abstracting and Indexing
      • Bibliographic Information
      • Archive
    • World Academy of Sciences Journal
      • Information for Authors
      • Editorial Policies
      • Editorial Board
      • Aims and Scope
      • Abstracting and Indexing
      • Bibliographic Information
      • Archive
  • Articles
  • Information
    • For Authors
    • For Reviewers
    • For Librarians
    • For Advertisers
    • Conferences
  • Language Editing
Login Register Submit
  • This site uses cookies
  • You can change your cookie settings at any time by following the instructions in our Cookie Policy. To find out more, you may read our Privacy Policy.

    I agree
Search articles by DOI, keyword, author or affiliation
Search
Advanced Search
presentation
Molecular Medicine Reports
Join Editorial Board Propose a Special Issue
Print ISSN: 1791-2997 Online ISSN: 1791-3004
Journal Cover
September-2023 Volume 28 Issue 3

Full Size Image

Sign up for eToc alerts
Recommend to Library

Journals

International Journal of Molecular Medicine

International Journal of Molecular Medicine

International Journal of Molecular Medicine is an international journal devoted to molecular mechanisms of human disease.

International Journal of Oncology

International Journal of Oncology

International Journal of Oncology is an international journal devoted to oncology research and cancer treatment.

Molecular Medicine Reports

Molecular Medicine Reports

Covers molecular medicine topics such as pharmacology, pathology, genetics, neuroscience, infectious diseases, molecular cardiology, and molecular surgery.

Oncology Reports

Oncology Reports

Oncology Reports is an international journal devoted to fundamental and applied research in Oncology.

Experimental and Therapeutic Medicine

Experimental and Therapeutic Medicine

Experimental and Therapeutic Medicine is an international journal devoted to laboratory and clinical medicine.

Oncology Letters

Oncology Letters

Oncology Letters is an international journal devoted to Experimental and Clinical Oncology.

Biomedical Reports

Biomedical Reports

Explores a wide range of biological and medical fields, including pharmacology, genetics, microbiology, neuroscience, and molecular cardiology.

Molecular and Clinical Oncology

Molecular and Clinical Oncology

International journal addressing all aspects of oncology research, from tumorigenesis and oncogenes to chemotherapy and metastasis.

World Academy of Sciences Journal

World Academy of Sciences Journal

Multidisciplinary open-access journal spanning biochemistry, genetics, neuroscience, environmental health, and synthetic biology.

International Journal of Functional Nutrition

International Journal of Functional Nutrition

Open-access journal combining biochemistry, pharmacology, immunology, and genetics to advance health through functional nutrition.

International Journal of Epigenetics

International Journal of Epigenetics

Publishes open-access research on using epigenetics to advance understanding and treatment of human disease.

Medicine International

Medicine International

An International Open Access Journal Devoted to General Medicine.

Journal Cover
September-2023 Volume 28 Issue 3

Full Size Image

Sign up for eToc alerts
Recommend to Library

  • Article
  • Citations
    • Cite This Article
    • Download Citation
    • Create Citation Alert
    • Remove Citation Alert
    • Cited By
  • Similar Articles
    • Related Articles (in Spandidos Publications)
    • Similar Articles (Google Scholar)
    • Similar Articles (PubMed)
  • Download PDF
  • Download XML
  • View XML

  • Supplementary Files
    • Supplementary_Data.pdf
Article Open Access

Analysis of glucocorticoid receptor and microRNAs expression in pathological renal tissues

  • Authors:
    • Anna Angelousi
    • Georgios Liapis
    • Maria Gazouli
    • Ioannis Kofotolios
    • Stratigoula Sakellariou
    • Ioannis Boletis
    • Smaragdi Marinaki
  • View Affiliations / Copyright

    Affiliations: 1st Department of Internal Medicine, Unit of Endocrinology, Laikon Hospital, 11527 Athens, Greece, 1st Department of Pathology, National and Kapodistrian University of Athens, Laikon Hospital, 11527 Athens, Greece, Laboratory of Biology, Department of Basic Medical Sciences, Medical School, National and Kapodistrian University of Athens, 11527 Athens, Greece, Department of Nephrology and Renal Transplantation, National and Kapodistrian University of Athens, Laikon Hospital, 11527 Athens, Greece
    Copyright: © Angelousi et al. This is an open access article distributed under the terms of Creative Commons Attribution License.
  • Article Number: 169
    |
    Published online on: July 20, 2023
       https://doi.org/10.3892/mmr.2023.13056
  • Expand metrics +
Metrics: Total Views: 0 (Spandidos Publications: | PMC Statistics: )
Metrics: Total PDF Downloads: 0 (Spandidos Publications: | PMC Statistics: )
Cited By (CrossRef): 0 citations Loading Articles...

This article is mentioned in:



Abstract

Glucocorticoid receptor (GR) is expressed in normal renal podocytes; however, its expression differs among renal diseases. The expression of GR as well as its epigenetic regulators microRNA (miR)30a, miR24 and miR370 was studied in the renal tissues of patients with systemic lupus nephritis (LN), minimal changes disease (MCD) and pauci-immune glumeronephritis (PIN). A total of 51 patients undergoing renal biopsy and 22 nephrectomised controls with no history of parenchymal renal disease were recruited from the Clinic of Nephrology and Renal Transplantation of General Laikon hospital between November 2016 and March 2019. All patients were newly-diagnosed and they were naïve of any treatment. The mRNA and protein expression were analyzed through reverse transcription-quantitative PCR and immunohistochemistry respectively. Written consent was obtained from all participants. GR mRNA expression was significantly reduced in all pathological samples compared with the ‘normal’ renal tissues used as controls (P=0.023 for LN, P=0.05 for MCD and P=0.004 for PIN). Similarly, GR protein expression was lower in all pathological samples (>6 GR positive podocytes/glomerulus in 50% of patients with LN and MCD and 18% with PIN) compared with controls (>6 positive podocytes/glomerulus in all the controls). PIN samples presented significantly lower GR mRNA and protein expression compared with LN and MCD samples. No significant differences were observed in the miR30a expression when comparing pathological with ‘normal’ renal samples. miR24 and miR370 expression demonstrated statistically significant difference in all pathological compared with ‘normal’ tissues. Moreover, GR expression was not significantly associated with either LN disease activity score or the response to the treatment. GR and miR24 expression was significantly reduced whereas miR370 significantly increased in all pathological compared with ‘normal’ renal tissues implying their protentional role in nephritis pathogenesis and treatment. Analysis of larger samples are required for more robust statistical analysis.

Introduction

Glucocorticoids receptors (GRs) belong to the family of steroid hormone receptors and they are found in a number of different cell types in the human kidney, including glomerulus cells, podocytes, epithelial cells and endothelial cells (1,2). Glucocorticoids (GCs) are commonly used to treat proteinuric glomerular diseases, such as membranoproliferative glomerulonephritis (3), membranous nephropathy (4), IgA nephropathy, crescentic glomerulonephritis (5) and antiglomerular basement membrane disease (6). In general, GCs remain the cornerstone of treatment for a number of inflammatory such as lupus nephritis (LN) (7,8) as well as for non-inflammatory renal diseases such as the Minimal Change Nephropathy (MCD) (7,9).

In humans, there are two main isoforms of GR: The active α form, which can bind GCs and mediate their effects, and the inactive β form, which cannot bind GCs (2,10). The binding of GCs to GRs results in the complex translocation to the nucleus and further activation or inhibition of the synthesis of certain anti-inflammatory proteins by binding to specific DNA sequences called GC response elements (11,12). GRs can also interact with transcription factors such as NF-κB, which regulate cell proliferation and survival (13) and they may also present nongenomic effects which are though not well studied (14).

The effectiveness of GCs treatment may be influenced by the structure and expression levels of GRs, their affinity for GCs and their ability to translocate to the nucleus and transactivate response elements. Different studies have indicated that analysis of GRs in peripheral blood mononuclear cells (PBMCs) before the initiation of steroid therapy may predict the clinical response to steroids and the outcome for patients (9,15,16). It has been also suggested that the expression of certain micro microRNAs (miRNAs/miRs) may predict the clinical response to GCs and influence the response of leukocytes to GCs (17). In particular, miR30a, miR24 and miR370 have been already studied in focal segmental glomerulosclerosis and membranous glomerulonephritis (9) compared with normal renal samples. miRNAs are short, noncoding and single stranded RNAs that can block protein translation by binding to the 30-untranslated regions (30-UTRs) of target gene and inhibit the expression of genes (18) thus regulating the apoptosis, differentiation, metabolism and finally the availability of GCs. Moreover, miRNAs may be also regulated by GCs to change cell function, proliferation and survival (18).

The present study aimed to analyze GR and expression of specific miRNAs (miR30a, miR24 and miR370) in human renal samples from newly-diagnosed patients with LN, MCD and pauci-immune nephritis (PIN) before the initiation of any treatment and to compare them with the normal renal samples. It also aimed to study the correlation of GR and miRNAs expression with various prognostic parameters and the response to the treatment.

The primary aim of the present study was to analyze mRNA and protein expression of GR in renal samples obtained from renal biopsies of patients with primary (MCD) and secondary (LN and PIN) nephritis compared with the ‘normal’ renal samples from nephrectomized patients. The GR expression was correlated with other prognostic parameters such as the eGFR and the disease activity as well as the response to treatment.

The secondary outpoint was to analyze the expression of the following miRNAs: miR30a, miR24 και miR370 in pathological (from renal biopsies) and normal renal samples and to associate them with the GR mRNA expression as well as the response to treatment.

Materials and methods

Definitions

MCD: Complete remission was defined by the reduction of proteinuria to <300 mg/day (or <300 mg/g of creatinine), stable serum creatinine and serum albumin >3.5 g/dl. Partial remission was defined by the reduction in proteinuria of >50 percent, with absolute values between 300 mg and 3.5 g/day (19). According to time to response, patients were further divided in two subgroups the early (<4 weeks) and late responders (4–16 weeks) and the non-responders (>16 weeks) (19).

LN: Complete remission was defined by the reduction of proteinuria to <500 mg/day (or <300 mg/g of creatinine). Partial remission was defined by the reduction of >50 percent of the proteinuria (absolute values between 300 mg and 3.5 g/day) (19). Non-responders were defined those with no improvement after 3 months (12 weeks) of therapy.

PIN: Complete remission was defined by the stabilization or improvement of kidney function, resolution of hematuria and all other organ-specific vasculitic symptoms. Partial remission was defined by the persistence of dysmorphic (i.e., glomerular) hematuria with or without red blood cell casts despite improvement in or stabilization of the serum creatinine and disappearance of extrarenal signs of active disease (19). Non responders were defined those with non-response after 6 weeks of therapy.

Subjects

In the present study, a total of 51 patients with LN (n=20), MCD (n=14) and PIN (n=17) and 22 healthy controls without any renal disease were recruited from the Clinic of Nephrology and Renal Transplantation of the General Laikon hospital between November 2020 and March 2021. The patients had all undergone renal biopsies, while the controls were nephrectomised for renal tumors without a preexisting history of renal disease. mRNA expression was analyzed through reverse transcription-quantitative (RT-q) PCR and protein expression through immunohistochemical analysis. Clinical and immunohistopathological data were collected from all participants after obtaining written consent. The present study was conducted in accordance with the ethical standards of the institutional research committee of the General Laikon hospital and the Medical School of the National and Kapodistrian University of Athens and based on the Declaration of Helsinki, (approval no. 235; 03/04/2020).

Renal tissues samples

The mRNA expression of the GR, as well as of miR30a, miR24 and miR370 were determined by RT-qPCR in renal tissues samples. Total RNA from renal tissues was extracted using NucleoSpin miRNA kit (Macherey-Nagel) according to the manufacturer's instructions. A Takara kit (Takara Bio Europe AB) was used for cDNA according to the manufacturer's instructions. All samples were incubated with DNAse I (Qiagen GmbH) prior to cDNA synthesis.

The RNA quality and concentration were calculated spectrophotometrically. Then 1 µg of total RNA from each sample was reverse-transcribed using the Superscript III reverse transcriptase system (Invitrogen; Thermo Fisher Scientific, Inc.) using oligo-dT primer (0.5 µM). The mRNA expression levels of each target were measured using semi-quantitative real-time polymerase chain reaction (RT-qPCR) on an ABI Prism 7000 instrument (Applied Biosystems; Thermo Fisher Scientific, Inc.). Each cDNA sample was mixed with specific sets of primers and the qPCR master mix (KAPA SYBR FAST Universal kit; MilliporeSigma) for 2 min at 50°C and 2 min at 95°C, followed by 40 cycles consisting of 15 sec at 95°C and 60 sec at 60°C. A standard dissociation method was used to ensure that each amplicon was a single product. All reactions were performed in duplicate to ensure reproducible results. To evaluate differences in expression between groups, the fold change was calculated for each gene applying the comparative Cq (2−∆∆Cq) method. Relative mRNA expression levels were estimated by calculating delta Cq (Cycle threshold) values using the Cq values of the respective housekeeping gene for normalization (20). Primer sets used to amplify the genomic region of reference and target genes are included in the supplementary data (Table SI) (16). Gene and miRNAs expression levels were normalized by subtracting Cq value of the GAPDH and U6sn RNA respectively from that of GOI using the equation (ΔCq=-|CqGOI-CqGAPDH or U6sn|).

Immunohistochemistry

Biopsy slides were collected from all the 51 patients and the 22 nephrectomized patients used as controls. From them, 4 µm sections of formalin-fixed paraffin-embedded tissue were prepared for immunohistochemical staining. A polyclonal rabbit anti-GCR antibody (Invitrogen; Thermo Fisher Scientific, Inc.; cat. no. PA1-511A) incubated for 60 min at room temperature, was used at a dilution of 1:200 for GR staining. The sections were deparaffinized, hydrated in ethyl alcohol and washed in tap water. Endogenous peroxidase activity was blocked with 3% hydrogen peroxide. Antigen retrieval was performed in EDTA buffer for 20 min using a steamer and the ready-to-use antibody was incubated for 30 min at room temperature. Secondary staining kits (EnVision; Dako; Agilent Technologies, Inc.) were used according to the manufacturer's instructions and chromogen was added. Finally, the slides were counterstained with hematoxylin for 1 min at room temperature.

A cut-off of at least 5 glomeruli in each tissue sample was required as an minimum adequate sample for the immunohistochemical evaluation. The intense GR staining was noticed in glomerular cells (location and appearance of podocytes). The immunohistochemical assessment was performed using an Olympus microscope (magnification, ×400). The number of positive podocytes with a strong nuclear staining per glomerulus was used as a marker, in order to determine the extent/degree of GR positivity. Any other positivity in different glomerular or other renal cells was overlooked. The count of positive podocytes was performed by two experienced pathologists. The following semi-quantitative score was defined including three groups of cases (A, B, C) for every disease category, according to the average (mean) number of positive podocytes/per glomerulus: Group A (mild degree): 1–2 positive podocytes/glomerulus; group B (moderate degree): 3–5 positive podocytes/glomerulus; and group C (severe degree): ≥6 positive podocytes/glomerulus.

Statistical analysis

All the data in this study are presented as mean ± standard deviation (SD) of the mean. Mann-Whitney tests were used to compare non-parametric data between the different groups of patients and controls. For the comparison of numerical variables among multiple groups, one-way ANOVA or Kruskal-Wallis test followed by post hoc analysis (Bonferroni correction) were used based on the results of Shapiro-Wilk normality test. Spearman's rank correlation coefficient tests were used to analyze correlations. All calculations were performed using GraphPad Prism 7 software (Dotmatics). All tests were two-sided. P<0.05 was considered to indicate a statistically significant difference.

Results

Clinical and epidemiological characteristics of the total studied population

The clinical characteristics of all included patients and controls are presented in Table I. All 51 patients were naive of any treatment at the time of diagnosis and 22 nephrectomised controls were also included in the present study.

Table I.

Clinical and epidemiological characteristics of the included population.

Table I.

Clinical and epidemiological characteristics of the included population.

Patients with renal disease

CharacteristicMCDLNPINTotalControls
Number1420175122
Sex (Female/Male)7/717/39/833/1811/11
Mean age ± SD (years)52±17.238±16.961.3±1249±18.564.8±13.9
Mean creatinine levels ± SD (mg/dl)1.35±10.94±0.73.4±2.11.86±1.7na
Mean eGFR ± SD (ml/min/1.73 m2)78.2±28.587.7±27.725.6±19.666.7±37na
Treated with GC before biopsy07310na
Albuminuria/24 h7.48±2.73.8±3.51.33±0.84.3±3.6na
Nephrotic syndrome14/1412/202/1728/51na
Responders/non responders10/45/13a7/7b38/51na
Follow-up (mean ± SD), months26.3 (14.4)11 (9)32.3 (14.8) na

a 2 lost in follow-up,

b 3 lost in follow-up. MCD, minimal change disease; LN, Lupus nephritis; PIN, pauci-immune glomerulonephritis; SD, standard deviation; na, not applicable.

mRNA and protein expression of total GR in pathological and normal renal samples

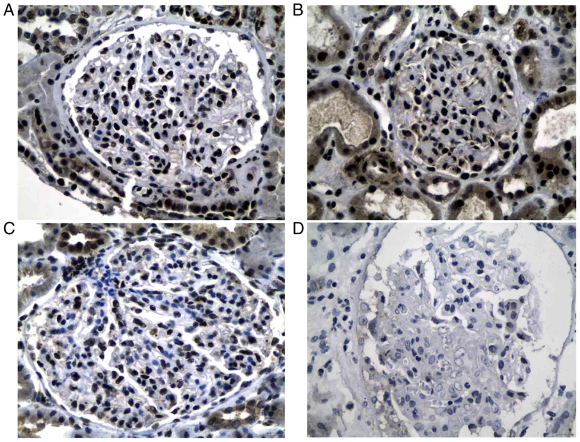
GR mRNA expression was statistically significantly underexpressed in all pathological renal samples of the patients compared with ‘normal’ renal tissues of controls (P=0.023 for LN, P=0.05 for MCD and P=0.004 for PIN; Fig. 1A). Similarly, total GR protein expression was underexpressed in all pathological renal samples (>6 of GR stained podocytes/glomerulus in 50% of patients with LN; 50% with MCD; and 18% with PIN) compared with healthy controls (>6 stained podocytes/glomerulus in the 100% of patients; Fig. 2A-D).

Figure 1.

mRNA expression of GR, miR 30a, miR24 and miR370 in the LN, MCD and PIN patients compared with controls. (A) mRNA expression of GR in renal samples of patients with LN, MCD and PIN compared with controls. (B) miR30a expression of GR in renal samples of patients with LN, MCD and PIN compared with controls. (C) miR 24 expression of GR in renal samples of patients with LN, MCD and PIN, compared with controls. (D) miR 370 expression of GR in renal samples of patients with LN, MCD and PIN compared with controls. GR, glucocorticoid receptor; miR, microRNA; LN, Lupus nephritis; MCD, minimal change disease; PIN, pauci-immune glomerulonephritis.

Figure 2.

Immunohistochemical analysis of the nuclear GR expression in the podocytes of glomeruli, among controls and the studied glomerular disease. (Α) Control, (B) MCD, (C) LN and (D) PIN (magnification, ×400). GR, glucocorticoid receptor; MCD, minimal change disease; LN, Lupus nephritis; PIN, pauci-immune glomerulonephritis.

In particular, in LN patients, 5/20 biopsies showed a weak staining (group A), 5/20 biopsies showed a moderate staining (group B) and the remaining 10/20 biopsies showed a strong staining (group C). In MCD 1/14 cases were recorded in group A, 6/14 biopsies were recorded in group B and 7/14 in group C, while in PIN cases, 8/17 cases were recorded in group A, 6/17 in group B and 3/17 cases in group C. All control group cases 22/22 (100%) showed strong nuclear podocyte staining/per glomerulus (Table II).

Table II.

Immunohistochemical expression of GR in LN, MCD and PIN renal samples classified in three grades based on the number of podocytes with GR staining per glomerulus as follows: A (mild): 1–2 podocytes stained with GR; B (moderate): 3–4 podocytes stained with GR; C (intense): >6 podocytes stained with GR.

Table II.

Immunohistochemical expression of GR in LN, MCD and PIN renal samples classified in three grades based on the number of podocytes with GR staining per glomerulus as follows: A (mild): 1–2 podocytes stained with GR; B (moderate): 3–4 podocytes stained with GR; C (intense): >6 podocytes stained with GR.

Renal disorder/Grade of GR expression (podocytes/glomerulus)A (mild staining)B (moderate staining)C (intense staining)Total
LN5 (25%)5 (25%)10 (50%)20
MCD1 (7%)6 (43%)7 (50%)14
PIN8 (47%)6 (35%)3 (18%)17
Controls0022 (100)22
Total14/51 (29%)17/51 (33.3%)20/51 (39%)

[i] GR, glucocorticoid receptor; LN, Lupus nephritis; MCD, minimal change disease; PIN, pauci-immune glomerulonephritis.

Comparing GR mRNA expression in the different renal diseases, it was observed that patients with PIN had significantly lower expression of GR comparing with LN (P=0.006) and MCD (P=0.021) patients whereas MCD patients presented significantly higher GR expression compared with PIN (P=0.021) and LN (P=0.4) patients although in the latter group the difference was not statistical different (Table III; Fig. 3A). Similarly, in protein levels GR expression was lower in PIN patients (16.68% of patients) compared with the GR expression in MCD and LN (Table II).

Figure 3.

Comparison of mRNA expression of GR, miR 30a, miR24 and miR370 among the different renal disorders. (A) Comparison of mRNA expression of GR in the renal samples of patients with LN, MCD and PIN. (B) Comparison of miR30a expression in the renal samples of patients with LN, MCD and PIN. (C) Comparison of miR 24 expression in the renal samples of patients with LN, MCD and PIN. (D) Comparison of miR 370 expression in the renal samples of patients with LN, MCD and PIN. *P=0.016, **P=0.021, ns, no significance; GR, glucocorticoid receptor; miR, microRNA; LN, Lupus nephritis; MCD, minimal change disease; PIN, pauci-immune glomerulonephritis.

Table III.

Comparison of the fold regulation of target genes (GR, miR30a, miR24, miR370) between the different groups of patients with renal disorders (LN, MCD, PIN).

Table III.

Comparison of the fold regulation of target genes (GR, miR30a, miR24, miR370) between the different groups of patients with renal disorders (LN, MCD, PIN).

Fold regulation (P-value)/Renal diseaseGR total, P-valuemiR30a, P-valuemiR24, P-valuemiR370, P-value
LN vs. Controls−1.27, P=0.023↓−1.15, P=0.680 (−)−2.6, P=0.007↓5.39, P<0.001↑
MCD vs. Controls−1.06, P=0.052↓−1.09, P=0.810 (−)−1.5, P=0.036↓5.37, P<0.001↑
PIN vs. Controls−2.2, P=0.004 ↓−1.29, P=0.281 (−)−3.9, P=0.010↓14, P<0.001↑
LN vs. MCDP=0.419P=0.820(−)P=0.381 (−)P=0.992 (−)
LN vs. PINP=0.016 (LN>PIN)P=0.762 (−)P=0.551 (−)P=0.190 (−)
MCD vs. PINP=0.020 (MCD>PIN)P=0.681 (−)P=0.180 (−)P=0.271 (−)

[i] ↓, down regulated; ↑, up-regulated; (−), no difference. GR, glucocorticoid receptor; miR, miRNA; LN, Lupus nephritis; MCD, minimal change disease; PIN, pauci-immune glomerulonephritis.

GR relative mRNA expression was not significantly associated (P=0.9) with LN disease activity (cut off <10 vs. >10) nor with renal insufficiency severity (based on eGFR <20 ml/min/1.73 m2; P=0.9). No statistically significant association was demonstrated between GR mRNA expression and response to the treatment in the renal samples of LN, MCD and PIN patients based on the definition of response for each group (as described above in the Material and methods section). No difference was observed between early responders and late responders in MCD patients.

Expression of miR30a, miR24 and miR370 in pathological and normal renal samples

No significant differences were observed in the miR30a expression between the patients' renal samples compared with the ‘normal’ renal tissues of controls (Table IV; Fig. 1B). However, miR24 levels were statistically significant lower in all pathological renal samples (P=0.007 for LN; P=0.036 for MCD; and P=0.01 for PIN) compared with the ‘normal’ tissues of the controls (Fig. 1C). By contrast, miR370 levels presented significantly higher expression (P<0.0001) in all pathological renal samples (P<0.0001 for LN; P<0.0001 for MCD; and P<0.0001 for PIN) compared with the ‘normal’ tissues of the controls (Fig. 1D). miRNA expression did not differ when comparing the three groups of patients with LN, MCD and PIN (Fig. 3B-D). None of the three analyzed miRNAs showed a statistically significant association with the response to the treatment in LN, MCD and PIN patients based on the defined criteria aforementioned nor between early and late responders among patients with MCD. However, miR24 expression was downregulated in all renal samples of non-responders with LN, MCD and PIN compared with responders although this was not statistically significant.

Table IV.

Associations between the expression of GR and the miR30a, miR24 and miR370 in LN, MCD and PIN patients.

Table IV.

Associations between the expression of GR and the miR30a, miR24 and miR370 in LN, MCD and PIN patients.

mRNA GR expression, P-value, rs (95%CI)

PatientsmiR30amiR24miR370
LN0.09, rs=0.380.2, rs=0.2940.18, rs=0.3208
(−0.08605–0.7127) (−0.1836–0,6602)(−0.17–0.68)
MCD0.45, rs=−0.21900.4, rs=−0.24230.38, rs=0.28
(−0.6715–0.3526 (−0.6940–0.3463) (−0.3328–0.7307)
PIN0.57, rs=0.14470.99, rs=−0,0036990.56, rs=0,1538
(−0.3744 to 0.5948) (−0.4953–0.4897) (−0.3839–0.6136)

[i] GR, glucocorticoid receptor; miR, miRNA; LN, Lupus nephritis; MCD, minimal change disease; PIN, pauci-immune glomerulonephritis.

Association of total GR expression with miRNAs expression (miR30a, miR 24, miR370)

GR mRNA expression showed no statistically significant association with the three miRNAs, although GR expression in LN renal samples was positively associated with all three miRNAs and negative in MCD renal samples except for miR370. In PIN patients GR expression was positively associated with miR30a and miR370 and negatively with miR24 (Table IV).

Discussion

Steroids remain the cornerstone of treatment in the majority of renal disorders. Thus, the analysis of the GR expression, or of the molecules regulating its expression, is of importance for the understanding of the physiology of renal disorders and especially of their prognosis. The data of the present study demonstrated that GR mRNA and protein levels were underexpressed in all pathological renal samples of patients diagnosed with LN, MCD and PIN compared with ‘normal’ renal tissues of controls. PIN samples presented the lowest GR mRNA and protein expression comparing with LN and MCD samples. miR24 and miR370 expression demonstrated statistically significant difference in all pathological compared with ‘normal’ renal tissues whereas no significant difference was found in the miR30a expression comparing pathological with ‘normal’ renal tissues. GR expression was not significantly associated either with LN disease activity score or with eGFR or response to the treatment. miR24 was downregulated in all non-responders compared with responders although this was not statistically significant.

Similar results have been demonstrated in the PBMCs of LN patients without any steroid therapy, where GR expression was downregulated compared with controls (7). In the same study no differences were observed in GR number between patients with resistance and those who showed complete or partial remission after prednisone (1 mg/kg/day) administration as part of their routine therapy (7). However there are also contradictory results showing that GR levels in PBMCs of patients with LN and not taking steroid therapy were significantly elevated compared with healthy controls (21). In another study LN patients without GC therapy and healthy controls had similar GR levels (22) and whole cell and nuclear GR levels, as observed by western blot analysis in PBMCs, were similar between LN patients and controls (23). However, the GR-DNA binding was significantly reduced in LN patients, further supporting the notion that LN is characterized by GC hyposensitivity (24).

As to GR expression in MCD, it has been shown that GR expression is higher in renal samples of controls compared with MCD patients and in particularly in early responders (<4 weeks) compared with late responders (>4 weeks) (15,16). The results of the present study confirmed that GR expression was significantly lower in MCD samples compared with controls. GR mRNA expression has been inversely correlated with the time to complete remission (16,25,26). In another study, including 37 children with MCD and 12 patients with focal segmental glomerulosclerosis, significant lower GR expression was found in steroid-resistant patients in comparison with early steroid responders, late steroid responders and controls (15). In addition late responder patients had lower GR expression and more frequent relapse or steroid-dependent course of the disease (15). Glomerular GR was significantly higher in all MCD compared with focal segmental glomerulosclerosis renal samples of included patients (15). In the present study, however, GR expression was not found to be statistically different between MCD and LN or PIN samples.

GR expression also has been studied in several other nephropathies. In IgA nephropathy, GR mRNA and protein expression is significantly higher in the responders compared with the non-responders (27). GR subtypes α and β expression has been also studied in PBMC samples in patients with focal segmental glomerulosclerosis and membranous glomerulonephritis without demonstrating statistically significant differences (9).

The functions of miRNAs are considered epigenetic factors potentially implicated in the regulators of GR expression (28). miR24 has been found to enhance apoptosis (29,30). It has been also documented that miR24 is a negative regulator of steroid 11β-hydroxylase (CYP11B1) which transforms the metabolite 11 deoxycortisol (inactive) to cortisol (active) and thus it may be involved in the availability of glucocorticoids (31). In vitro, it has been shown that miR24 can reduce paclitaxel resistance in breast cancer cells (32) implying a role for miR24 in drug resistance. miR24 levels are significantly reduced in patients with membranous glomerulonephritis compared with controls as well as with patients with focal segmental glomerulosclerosis (9). In the present study miR24 levels were downregulated in all pathological samples of LN, MCD and PIN patients compared with healthy controls.

By contrast, in the present study miR370 levels were found significantly higher in all pathological renal samples compared with healthy controls. Previous studies have shown that miR370 levels are increased in healthy controls compared with patients with nephrotic syndrome or membranous glomerulonephritis, as well as in patients with membranous glomerulonephritis compared with patients with focal segmental glomerulosclerosis (9,28). Over-activation of miR370 has been verified in high glucose-treated podocytes, while miR370 repression protects against high glucose-induced apoptosis, cell membrane and DNA damage in podocytes (28).

miR30a serves the role of transcriptional regulator of renal development. Decreased levels of miR30a-5p in the podocytes of Dicer knockout mice lead to podocyte apoptosis and depletion (33,34). The miR30a negatively regulates the expression of GRα in the podocyte. Suppression of miR30a can improve steroid responsiveness in the injured podocytes (35). The miR30 is induced by GC treatment that suggests negative-feedback modulation of GC responsiveness (36). Overexpression of miR30a has been found in drug-resistant cases implying that miR30a may function as a suitable biomarker in the diagnose of drug resistance and pathological type (37).

Most of the studies in the literature have clearly demonstrated the significant reverse correlation between the expression of GR and the response to the treatment (9,15,16). Follow-up of cases reveals that most of late responder patients, who had lower GR expression, had relapsing or steroid-dependent course of the disease. By contrast, most of the early responder patients, who had higher GCR expression, showed non-relapsing course during period of follow-up (25). Unfortunately the small number of our samples did not allow the clarification of the association of GR and miRNAs expression with the response to the treatment.

The present study analyzed the expression of GR and of three miRNAs in the renal tissues of patients with LN, MCD and PIN compared with healthy controls. Although there are data in the literature regarding GR expression in LN and MCD, to the best of the authors' knowledge, this is the first study of GR expression in PIN. Moreover, the present study confirmed the different expression of GR among the different renal disease and especially the different expression compared with the normal tissues. Thus, GR expression appears to have potentially a key role to the pathophysiology of the different renal diseases. On the other hand, the small sample size did not allow more robust statistical analysis especially regarding response to the treatment and this is the main limitation of the present study. Thus, the role of GR and especially of the miRNAs in the pathophysiology, the prognosis and the response to the treatment of these renal diseases remains to be further elucidated in larger studies.

Supplementary Material

Supporting Data

Acknowledgements

Not applicable.

Funding

Funding: No funding was received.

Availability of data and materials

The datasets used and/or analyzed during the current study are available from the corresponding author on reasonable request.

Authors' contributions

IB conceived the project and supervised the manuscript. AA wrote the greatest part of the paper and performed statistical analyses, AA, IK and SM created, analysed and organized the databases with the clinical and the histopathological data and confirmed the authenticity of all the raw data, GL and SS performed the immunohistochemistry and evaluated the expression of GR in glomeruli, MG performed the PCR, SM edited part of the paper and contributed to gathering clinical data. All authors read and approved the final manuscript.

Ethics approval and consent to participate

The present study was conducted in accordance with the ethical standards of the institutional research committee of the General Laikon hospital and of the Medical School of National and Kapodistrian University of Athens based on the Declaration of Helsinki (approval no. 235, 03/04/2020). Patient consent was obtained from all participants for participation in the study or use of their tissue (or a parent/legal guardian in the case of children under 18 and patients otherwise considered minors under local legislation).

Patient consent for publication

Not applicable.

Competing interests

The authors declare that they have no competing interests.

References

1 

Yan K, Kudo A, Hirano H, Watanabe T, Tasaka T, Kataoka S, Nakajima N, Nishibori Y, Shibata T, Kohsaka T, et al: Subcellular localization of glucocorticoid receptor protein in the human kidney glomerulus. Kidney Int. 56:65–73. 1999. View Article : Google Scholar : PubMed/NCBI

2 

Goodwin JE: Role of the glucocorticoid receptor in glomerular disease. Am J Physiol Renal Physiol. 317:F133–F136. 2019. View Article : Google Scholar : PubMed/NCBI

3 

Lu DF, Moon M, Lanning LD, McCarthy AM and Smith RJH: Clinical features and outcomes of 98 children and adults with dense deposit disease. Pediatr Nephrol. 27:773–781. 2012. View Article : Google Scholar : PubMed/NCBI

4 

Barrett CMF, Troxell ML, Larsen CP and Houghton DC: Membranous glomerulonephritis with crescents. Int Urol Nephrol. 46:963–971. 2014. View Article : Google Scholar : PubMed/NCBI

5 

Sharmeen S, Cassol C and Kato H: ANCA-associated necrotizing glomerulonephritis overlapping with mesangial proliferative lupus nephritis refractory to plasmapheresis, steroid pulse therapy, and a combination of mycophenolate mofetil and rituximab. Case Rep Rheumatol. 2018:30768062018.PubMed/NCBI

6 

Wu X, Zhang M, Huang X, Zhang L, Zeng C, Zhang J, Liu Z and Tang Z: Therapeutic mechanism of glucocorticoids on cellular crescent formation in patients with antiglomerular basement membrane disease. Am J Med Sci. 354:145–151. 2017. View Article : Google Scholar : PubMed/NCBI

7 

Jiang L, Hindmarch CCT, Rogers M, Campbell C, Waterfall C, Coghill J, Mathieson PW and Welsh GI: RNA sequencing analysis of human podocytes reveals glucocorticoid regulated gene networks targeting non-immune pathways. Sci Rep. 6:356712016. View Article : Google Scholar : PubMed/NCBI

8 

Bazsó A, Szappanos Á, Rásonyi R, Nagy E, Farkas A, Várnai B, Patócs A, Kiss E and Poór G: Polymorphisms of human glucocorticoid receptor gene in systemic lupus erythematosus: A single-centre result. Clin Rheumatol. 38:1979–1984. 2019. View Article : Google Scholar : PubMed/NCBI

9 

Rahbar Saadat Y, Hejazian SM, Nariman-Saleh-Fam Z, Bastami M, Poursheikhani A, M Shoja M, Ardalan M and Zununi Vahed S: Glucocorticoid receptors and their upstream epigenetic regulators in adults with steroid-resistant nephrotic syndrome. Biofactors. 46:995–1005. 2020. View Article : Google Scholar : PubMed/NCBI

10 

Ponticelli C and Locatelli F: Glucocorticoids in the treatment of glomerular diseases: Pitfalls and pearls. Clin J Am Soc Nephrol. 13:815–822. 2018. View Article : Google Scholar : PubMed/NCBI

11 

Evans RM: The steroid and thyroid hormone receptor superfamily. Science. 240:889–895. 1988. View Article : Google Scholar : PubMed/NCBI

12 

Zhou J and Cidlowski JA: The human glucocorticoid receptor: One gene, multiple proteins and diverse responses. Steroids. 70:407–417. 2005. View Article : Google Scholar : PubMed/NCBI

13 

De Bosscher K, Vanden Berghe W and Haegeman G: The interplay between the glucocorticoid receptor and nuclear factor-kappaB or activator protein-1: Molecular mechanisms for gene repression. Endocr Rev. 24:488–522. 2003. View Article : Google Scholar : PubMed/NCBI

14 

Wilkenfeld SR, Lin C and Frigo DE: Communication between genomic and non-genomic signaling events coordinate steroid hormone actions. Steroids. 133:2–7. 2018. View Article : Google Scholar : PubMed/NCBI

15 

Gamal Y, Badawy A, Swelam S, Tawfeek MSK and Gad EF: Glomerular glucocorticoid receptors expression and clinicopathological types of childhood nephrotic syndrome. Fetal Pediatr Pathol. 36:16–26. 2017. View Article : Google Scholar : PubMed/NCBI

16 

Han SH, Park SY, Li JJ, Kwak SJ, Jung DS, Choi HY, Lee JE, Moon SJ, Kim DK, Han DS and Kang SW: Glomerular glucocorticoid receptor expression is reduced in late responders to steroids in adult-onset minimal change disease. Nephrol Dial Transplant. 23:169–175. 2008. View Article : Google Scholar : PubMed/NCBI

17 

Wang H, Gou X, Jiang T and Ouyang J: The effects of microRNAs on glucocorticoid responsiveness. J Cancer Res Clin Oncol. 143:1005–1011. 2017. View Article : Google Scholar : PubMed/NCBI

18 

Clayton SA, Jones SW, Kurowska-Stolarska M and Clark AR: The role of microRNAs in glucocorticoid action. J Biol Chem. 293:1865–1874. 2018. View Article : Google Scholar : PubMed/NCBI

19 

Kidney Disease: Improving Global Outcomes (KDIGO) Glomerular Diseases Work Group: KDIGO 2021 clinical practice guideline for the management of glomerular diseases. Kidney Int. 100((4S)): S1–S276. 2021.PubMed/NCBI

20 

Livak KJ and Schmittgen TD: Analysis of relative gene expression data using real-time quantitative PCR and the 2(−Delta Delta C(T)) method. Methods. 25:402–408. 2001. View Article : Google Scholar : PubMed/NCBI

21 

Gladman DD, Urowitz MB, Doris F, Lewandowski K and Anhorn K: Glucocorticoid receptors in systemic lupus erythematosus. J Rheumatol. 18:681–684. 1991.PubMed/NCBI

22 

Oshima H: Studies on the glucocorticoid receptor in human peripheral lymphocytes. II. Regulation by glucocorticoid. Nihon Naibunpi Gakkai Zasshi. 62:1298–1305. 1986.(In Japanese). PubMed/NCBI

23 

Oikonomidou O, Vlachoyiannopoulos PG, Kominakis A, Kalofoutis A, Moutsopoulos HM and Moutsatsou P: Glucocorticoid receptor, nuclear factor kappaB, activator protein-1 and C-jun N-terminal kinase in systemic lupus erythematosus patients. Neuroimmunomodulation. 13:194–204. 2006. View Article : Google Scholar : PubMed/NCBI

24 

Kino T, De Martino MU, Charmandari E, Mirani M and Chrousos GP: Tissue glucocorticoid resistance/hypersensitivity syndromes. J Steroid Biochem Mol Biol. 85:457–467. 2003. View Article : Google Scholar : PubMed/NCBI

25 

Zahran AM, Aly SS, Elsayh KI, Badawy A and Gamal Y: Glucocorticoid receptors expression and histopathological types in children with nephrotic syndrome. Ren Fail. 36:1067–1072. 2014. View Article : Google Scholar : PubMed/NCBI

26 

Shalaby SA, El Idrissy HM, Safar RA and Hussein ST: Glucocorticoid receptors and the pattern of steroid response in idiopathic nephrotic syndrome. Arab J Nephrol Transplant. 5:13–17. 2012.PubMed/NCBI

27 

Kee YK, Nam BY, Jhee JH, Park JT, Lim BJ, Yoo TH, Kang SW, Jeong HJ and Han SH: The association of glomerular glucocorticoid receptor expression with responsiveness to corticosteroid treatment in IgA nephropathy. Am J Nephrol. 50:187–195. 2019. View Article : Google Scholar : PubMed/NCBI

28 

Xian Y, Dong L, Jia Y, Lin Y, Jiao W and Wang Y: miR-370 promotes high glucose-induced podocyte injuries by inhibiting angiotensin II type 1 receptor-associated protein. Cell Biol Int. 42:1545–1555. 2018. View Article : Google Scholar : PubMed/NCBI

29 

Lal A, Pan Y, Navarro F, Dykxhoorn DM, Moreau L, Meire E, Bentwich Z, Lieberman J and Chowdhury D: miR-24-mediated downregulation of H2AX suppresses DNA repair in terminally differentiated blood cells. Nat Struct Mol Biol. 16:492–498. 2009. View Article : Google Scholar : PubMed/NCBI

30 

Manvati S, Mangalhara KC, Kalaiarasan P, Srivastava N and Bamezai RNK: miR-24-2 regulates genes in survival pathway and demonstrates potential in reducing cellular viability in combination with docetaxel. Gene. 567:217–224. 2015. View Article : Google Scholar : PubMed/NCBI

31 

Robertson S, MacKenzie SM, Alvarez-Madrazo S, Diver LA, Lin J, Stewart PM, Fraser R, Connell JM and Davies E: MicroRNA-24 is a novel regulator of aldosterone and cortisol production in the human adrenal cortex. Hypertension. 62:572–578. 2013. View Article : Google Scholar : PubMed/NCBI

32 

Gong JP, Yang L, Tang JW, Sun P, Hu Q, Qin JW, Xu XM, Sun BC and Tang JH: Overexpression of microRNA-24 increases the sensitivity to paclitaxel in drug-resistant breast carcinoma cell lines via targeting ABCB9. Oncol Lett. 12:3905–3911. 2016. View Article : Google Scholar : PubMed/NCBI

33 

Ho J, Ng KH, Rosen S, Dostal A, Gregory RI and Kreidberg JA: Podocyte-specific loss of functional microRNAs leads to rapid glomerular and tubular injury. J Am Soc Nephrol. 19:2069–2075. 2008. View Article : Google Scholar : PubMed/NCBI

34 

Shi S, Yu L, Chiu C, Sun Y, Chen J, Khitrov G, Merkenschlager M, Holzman LB, Zhang W, Mundel P and Bottinger EP: Podocyte-selective deletion of dicer induces proteinuria and glomerulosclerosis. J Am Soc Nephrol. 19:2159–2169. 2008. View Article : Google Scholar : PubMed/NCBI

35 

Dhandapani MC, Venkatesan V, Rengaswamy NB, Gowrishankar K, Nageswaran P and Perumal V: Association of ACE and MDR1 gene polymorphisms with steroid resistance in children with idiopathic nephrotic syndrome. Genet Test Mol Biomarkers. 19:454–456. 2015. View Article : Google Scholar : PubMed/NCBI

36 

Yu-Shengyou and Li Y: Dexamethasone inhibits podocyte apoptosis by stabilizing the PI3K/Akt signal pathway. Biomed Res Int. 2013:3269862013. View Article : Google Scholar : PubMed/NCBI

37 

Teng J, Sun F, Yu PF, Li JX, Yuan D, Chang J and Lin SH: Differential microRNA expression in the serum of patients with nephrotic syndrome and clinical correlation analysis. Int J Clin Exp Pathol. 8:7282–7286. 2015.PubMed/NCBI

Related Articles

  • Abstract
  • View
  • Download
  • Twitter
Copy and paste a formatted citation
Spandidos Publications style
Angelousi A, Liapis G, Gazouli M, Kofotolios I, Sakellariou S, Boletis I and Marinaki S: Analysis of glucocorticoid receptor and microRNAs expression in pathological renal tissues. Mol Med Rep 28: 169, 2023.
APA
Angelousi, A., Liapis, G., Gazouli, M., Kofotolios, I., Sakellariou, S., Boletis, I., & Marinaki, S. (2023). Analysis of glucocorticoid receptor and microRNAs expression in pathological renal tissues. Molecular Medicine Reports, 28, 169. https://doi.org/10.3892/mmr.2023.13056
MLA
Angelousi, A., Liapis, G., Gazouli, M., Kofotolios, I., Sakellariou, S., Boletis, I., Marinaki, S."Analysis of glucocorticoid receptor and microRNAs expression in pathological renal tissues". Molecular Medicine Reports 28.3 (2023): 169.
Chicago
Angelousi, A., Liapis, G., Gazouli, M., Kofotolios, I., Sakellariou, S., Boletis, I., Marinaki, S."Analysis of glucocorticoid receptor and microRNAs expression in pathological renal tissues". Molecular Medicine Reports 28, no. 3 (2023): 169. https://doi.org/10.3892/mmr.2023.13056
Copy and paste a formatted citation
x
Spandidos Publications style
Angelousi A, Liapis G, Gazouli M, Kofotolios I, Sakellariou S, Boletis I and Marinaki S: Analysis of glucocorticoid receptor and microRNAs expression in pathological renal tissues. Mol Med Rep 28: 169, 2023.
APA
Angelousi, A., Liapis, G., Gazouli, M., Kofotolios, I., Sakellariou, S., Boletis, I., & Marinaki, S. (2023). Analysis of glucocorticoid receptor and microRNAs expression in pathological renal tissues. Molecular Medicine Reports, 28, 169. https://doi.org/10.3892/mmr.2023.13056
MLA
Angelousi, A., Liapis, G., Gazouli, M., Kofotolios, I., Sakellariou, S., Boletis, I., Marinaki, S."Analysis of glucocorticoid receptor and microRNAs expression in pathological renal tissues". Molecular Medicine Reports 28.3 (2023): 169.
Chicago
Angelousi, A., Liapis, G., Gazouli, M., Kofotolios, I., Sakellariou, S., Boletis, I., Marinaki, S."Analysis of glucocorticoid receptor and microRNAs expression in pathological renal tissues". Molecular Medicine Reports 28, no. 3 (2023): 169. https://doi.org/10.3892/mmr.2023.13056
Follow us
  • Twitter
  • LinkedIn
  • Facebook
About
  • Spandidos Publications
  • Careers
  • Cookie Policy
  • Privacy Policy
How can we help?
  • Help
  • Live Chat
  • Contact
  • Email to our Support Team