Spandidos Publications Logo
  • About
    • About Spandidos
    • Aims and Scopes
    • Abstracting and Indexing
    • Editorial Policies
    • Reprints and Permissions
    • Job Opportunities
    • Terms and Conditions
    • Contact
  • Journals
    • All Journals
    • Oncology Letters
      • Oncology Letters
      • Information for Authors
      • Editorial Policies
      • Editorial Board
      • Aims and Scope
      • Abstracting and Indexing
      • Bibliographic Information
      • Archive
    • International Journal of Oncology
      • International Journal of Oncology
      • Information for Authors
      • Editorial Policies
      • Editorial Board
      • Aims and Scope
      • Abstracting and Indexing
      • Bibliographic Information
      • Archive
    • Molecular and Clinical Oncology
      • Molecular and Clinical Oncology
      • Information for Authors
      • Editorial Policies
      • Editorial Board
      • Aims and Scope
      • Abstracting and Indexing
      • Bibliographic Information
      • Archive
    • Experimental and Therapeutic Medicine
      • Experimental and Therapeutic Medicine
      • Information for Authors
      • Editorial Policies
      • Editorial Board
      • Aims and Scope
      • Abstracting and Indexing
      • Bibliographic Information
      • Archive
    • International Journal of Molecular Medicine
      • International Journal of Molecular Medicine
      • Information for Authors
      • Editorial Policies
      • Editorial Board
      • Aims and Scope
      • Abstracting and Indexing
      • Bibliographic Information
      • Archive
    • Biomedical Reports
      • Biomedical Reports
      • Information for Authors
      • Editorial Policies
      • Editorial Board
      • Aims and Scope
      • Abstracting and Indexing
      • Bibliographic Information
      • Archive
    • Oncology Reports
      • Oncology Reports
      • Information for Authors
      • Editorial Policies
      • Editorial Board
      • Aims and Scope
      • Abstracting and Indexing
      • Bibliographic Information
      • Archive
    • Molecular Medicine Reports
      • Molecular Medicine Reports
      • Information for Authors
      • Editorial Policies
      • Editorial Board
      • Aims and Scope
      • Abstracting and Indexing
      • Bibliographic Information
      • Archive
    • World Academy of Sciences Journal
      • World Academy of Sciences Journal
      • Information for Authors
      • Editorial Policies
      • Editorial Board
      • Aims and Scope
      • Abstracting and Indexing
      • Bibliographic Information
      • Archive
    • International Journal of Functional Nutrition
      • International Journal of Functional Nutrition
      • Information for Authors
      • Editorial Policies
      • Editorial Board
      • Aims and Scope
      • Abstracting and Indexing
      • Bibliographic Information
      • Archive
    • International Journal of Epigenetics
      • International Journal of Epigenetics
      • Information for Authors
      • Editorial Policies
      • Editorial Board
      • Aims and Scope
      • Abstracting and Indexing
      • Bibliographic Information
      • Archive
    • Medicine International
      • Medicine International
      • Information for Authors
      • Editorial Policies
      • Editorial Board
      • Aims and Scope
      • Abstracting and Indexing
      • Bibliographic Information
      • Archive
  • Articles
  • Information
    • Information for Authors
    • Information for Reviewers
    • Information for Librarians
    • Information for Advertisers
    • Conferences
  • Language Editing
Spandidos Publications Logo
  • About
    • About Spandidos
    • Aims and Scopes
    • Abstracting and Indexing
    • Editorial Policies
    • Reprints and Permissions
    • Job Opportunities
    • Terms and Conditions
    • Contact
  • Journals
    • All Journals
    • Biomedical Reports
      • Information for Authors
      • Editorial Policies
      • Editorial Board
      • Aims and Scope
      • Abstracting and Indexing
      • Bibliographic Information
      • Archive
    • Experimental and Therapeutic Medicine
      • Information for Authors
      • Editorial Policies
      • Editorial Board
      • Aims and Scope
      • Abstracting and Indexing
      • Bibliographic Information
      • Archive
    • International Journal of Epigenetics
      • Information for Authors
      • Editorial Policies
      • Editorial Board
      • Aims and Scope
      • Abstracting and Indexing
      • Bibliographic Information
      • Archive
    • International Journal of Functional Nutrition
      • Information for Authors
      • Editorial Policies
      • Editorial Board
      • Aims and Scope
      • Abstracting and Indexing
      • Bibliographic Information
      • Archive
    • International Journal of Molecular Medicine
      • Information for Authors
      • Editorial Policies
      • Editorial Board
      • Aims and Scope
      • Abstracting and Indexing
      • Bibliographic Information
      • Archive
    • International Journal of Oncology
      • Information for Authors
      • Editorial Policies
      • Editorial Board
      • Aims and Scope
      • Abstracting and Indexing
      • Bibliographic Information
      • Archive
    • Medicine International
      • Information for Authors
      • Editorial Policies
      • Editorial Board
      • Aims and Scope
      • Abstracting and Indexing
      • Bibliographic Information
      • Archive
    • Molecular and Clinical Oncology
      • Information for Authors
      • Editorial Policies
      • Editorial Board
      • Aims and Scope
      • Abstracting and Indexing
      • Bibliographic Information
      • Archive
    • Molecular Medicine Reports
      • Information for Authors
      • Editorial Policies
      • Editorial Board
      • Aims and Scope
      • Abstracting and Indexing
      • Bibliographic Information
      • Archive
    • Oncology Letters
      • Information for Authors
      • Editorial Policies
      • Editorial Board
      • Aims and Scope
      • Abstracting and Indexing
      • Bibliographic Information
      • Archive
    • Oncology Reports
      • Information for Authors
      • Editorial Policies
      • Editorial Board
      • Aims and Scope
      • Abstracting and Indexing
      • Bibliographic Information
      • Archive
    • World Academy of Sciences Journal
      • Information for Authors
      • Editorial Policies
      • Editorial Board
      • Aims and Scope
      • Abstracting and Indexing
      • Bibliographic Information
      • Archive
  • Articles
  • Information
    • For Authors
    • For Reviewers
    • For Librarians
    • For Advertisers
    • Conferences
  • Language Editing
Login Register Submit
  • This site uses cookies
  • You can change your cookie settings at any time by following the instructions in our Cookie Policy. To find out more, you may read our Privacy Policy.

    I agree
Search articles by DOI, keyword, author or affiliation
Search
Advanced Search
presentation
Oncology Letters
Join Editorial Board Propose a Special Issue
Print ISSN: 1792-1074 Online ISSN: 1792-1082
Journal Cover
August-2015 Volume 10 Issue 2

Full Size Image

Sign up for eToc alerts
Recommend to Library

Journals

International Journal of Molecular Medicine

International Journal of Molecular Medicine

International Journal of Molecular Medicine is an international journal devoted to molecular mechanisms of human disease.

International Journal of Oncology

International Journal of Oncology

International Journal of Oncology is an international journal devoted to oncology research and cancer treatment.

Molecular Medicine Reports

Molecular Medicine Reports

Covers molecular medicine topics such as pharmacology, pathology, genetics, neuroscience, infectious diseases, molecular cardiology, and molecular surgery.

Oncology Reports

Oncology Reports

Oncology Reports is an international journal devoted to fundamental and applied research in Oncology.

Experimental and Therapeutic Medicine

Experimental and Therapeutic Medicine

Experimental and Therapeutic Medicine is an international journal devoted to laboratory and clinical medicine.

Oncology Letters

Oncology Letters

Oncology Letters is an international journal devoted to Experimental and Clinical Oncology.

Biomedical Reports

Biomedical Reports

Explores a wide range of biological and medical fields, including pharmacology, genetics, microbiology, neuroscience, and molecular cardiology.

Molecular and Clinical Oncology

Molecular and Clinical Oncology

International journal addressing all aspects of oncology research, from tumorigenesis and oncogenes to chemotherapy and metastasis.

World Academy of Sciences Journal

World Academy of Sciences Journal

Multidisciplinary open-access journal spanning biochemistry, genetics, neuroscience, environmental health, and synthetic biology.

International Journal of Functional Nutrition

International Journal of Functional Nutrition

Open-access journal combining biochemistry, pharmacology, immunology, and genetics to advance health through functional nutrition.

International Journal of Epigenetics

International Journal of Epigenetics

Publishes open-access research on using epigenetics to advance understanding and treatment of human disease.

Medicine International

Medicine International

An International Open Access Journal Devoted to General Medicine.

Journal Cover
August-2015 Volume 10 Issue 2

Full Size Image

Sign up for eToc alerts
Recommend to Library

  • Article
  • Citations
    • Cite This Article
    • Download Citation
    • Create Citation Alert
    • Remove Citation Alert
    • Cited By
  • Similar Articles
    • Related Articles (in Spandidos Publications)
    • Similar Articles (Google Scholar)
    • Similar Articles (PubMed)
  • Download PDF
  • Download XML
  • View XML
Case Report

Salvage helical tomotherapy for prostate cancer recurrence following definitive external beam radiotherapy: A case report

  • Authors:
    • Sang Hyub Lee
    • Jinhong Jung
    • Sung‑Goo Chang
  • View Affiliations / Copyright

    Affiliations: Department of Urology, Kyung Hee University School of Medicine, Seoul 130‑872, Republic of Korea, Department of Radiation Oncology, Kyung Hee University School of Medicine, Seoul 130‑872, Republic of Korea
  • Pages: 1044-1046
    |
    Published online on: June 9, 2015
       https://doi.org/10.3892/ol.2015.3346
  • Expand metrics +
Metrics: Total Views: 0 (Spandidos Publications: | PMC Statistics: )
Metrics: Total PDF Downloads: 0 (Spandidos Publications: | PMC Statistics: )
Cited By (CrossRef): 0 citations Loading Articles...

This article is mentioned in:



Abstract

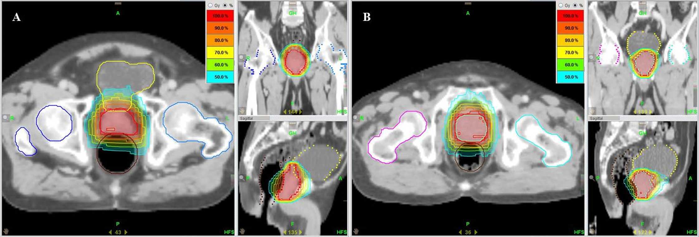
Salvage prostatectomy for recurrent prostate cancer after external beam radiotherapy (EBRT) has resulted in positive outcomes; however, it is technically challenging and is associated with a number of risks. When a patient exhibits recurrent prostate cancer following definitive EBRT and presents with comorbidities meaning that they cannot receive a prostatectomy, it is difficult to treat due to the numerous limitations of current salvage therapies. In the present study, two cases of salvage reirradiation using helical tomotherapy for locally recurrent prostate cancer following definitive EBRT are presented. The two patients received EBRT without severe complications. Local recurrence was confirmed by serum levels of prostate‑specific antigen, repeat prostate biopsy, prostate magnetic resonance imaging and a bone scan. Salvage reirradiation using helical tomotherapy was performed and resulted in promising outcomes without any complications. In conclusion, helical tomotherapy can be a safe and effective salvage treatment modality for locally recurrent prostate cancer following definitive EBRT.
View Figures

Figure 1

View References

1 

Grimm P, Billiet I, Bostwick D, Dicker AP, Frank S, Immerzeel J, Keyes M, Kupelian P, Lee WR, Machtens S, et al: Comparative analysis of prostate-specific antigen free survival outcomes for patients with low, intermediate and high risk prostate cancer treatment by radical therapy. BJU Int. 109:22–29. 2012. View Article : Google Scholar : PubMed/NCBI

2 

Roach M III, Bae K, Speight J, Wolkov HB, Rubin P, Lee RJ, Lawton C, Valicenti R, Grignon D and Pilepich MV: Short-term neoadjuvant androgen deprivation therapy and external-beam radiotherapy for locally advanced prostate cancer: Long-term results of RTOG 8610. J Clin Oncol. 26:585–591. 2008. View Article : Google Scholar : PubMed/NCBI

3 

Bolla M, Collette L, Blank L, Warde P, Dubois JB, Mirimanoff RO, Storme G, Bernier J, Kuten A, Sternberg C, et al: Long-term results with immediate androgen suppression and external irradiation in patients with locally advanced prostate cancer (an EORTC study): A phase III randomised trial. Lancet. 360:103–106. 2002. View Article : Google Scholar : PubMed/NCBI

4 

Horwitz EM, Bae K, Hanks GE, Porter A, Grignon DJ, Brereton HD, Venkatesan V, Lawton CA, Rosenthal SA, Sandler HM, et al: Ten-year follow-up of radiation therapy oncology group protocol 92-02: A phase III trial of the duration of elective androgen deprivation in locally advanced prostate cancer. J Clin Oncol. 26:2497–2504. 2008. View Article : Google Scholar : PubMed/NCBI

5 

Pilepich MV, Winter K, Lawton CA, Krisch RE, Wolkov HB, Movsas B, Hug EB, Asbell SO and Grignon D: Androgen suppression adjuvant to definitive radiotherapy in prostate carcinoma-long-term results of phase III RTOG 85-31. Int J Radiat Oncol Biol Phys. 61:1285–1290. 2005. View Article : Google Scholar : PubMed/NCBI

6 

Denham JW, Steigler A, Lamb DS, Joseph D, Turner S, Matthews J, Atkinson C, North J, Christie D, Spry NA, et al: Short-term neoadjuvant androgen deprivation and radiotherapy for locally advanced prostate cancer: 10-year data from the TROG 96.01 randomised trial. Lancet Oncol. 12:451–459. 2011. View Article : Google Scholar : PubMed/NCBI

7 

D'Amico AV, Manola J, Loffredo M, Renshaw AA, DellaCroce A and Kantoff PW: 6-month androgen suppression plus radiation therapy vs radiation therapy alone for patients with clinically localized prostate cancer: A randomized controlled trial. JAMA. 292:821–827. 2004. View Article : Google Scholar : PubMed/NCBI

8 

Heidenreich A, Bastian PJ, Bellmunt J, Bolla M, Joniau S, van der Kwast T, Mason M, Matveev V, Wiegel T, Zattoni F and Mottet N: European Association of Urology: EAU guidelines on prostate cancer. Part II: Treatment of advanced, relapsing and castration-resistant prostate cancer. Eur Urol. 65:467–479. 2014. View Article : Google Scholar : PubMed/NCBI

9 

Kishi K, Sato M, Shirai S, Sonomura T and Yamama R: Reirradiation of prostate cancer with rectum preservation: Eradicative high-dose-rate brachytherapy with natural type hyaluronate injection. Brachytherapy. 11:144–148. 2012. View Article : Google Scholar : PubMed/NCBI

10 

Zelefsky MJ, Levin EJ, Hunt M, Yamada Y, Shippy AM, Jackson A and Amols HI: Incidence of late rectal and urinary toxicities after three-dimensional conformal radiotherapy and intensity-modulated radiotherapy for localized prostate cancer. Int J Radiat Oncol Biol Phys. 70:1124–1129. 2008. View Article : Google Scholar : PubMed/NCBI

11 

Vavassori A, Jereczek-Fossa BA, Beltramo G, De Cicco L, Fariselli L, Bianchi LC, Possanzini M, Bergantin A, DeCobelli O and Orecchia R: Image-guided robotic radiosurgery as salvage therapy for locally recurrent prostate cancer after external beam irradiation: Retrospective feasibility study on six cases. Tumori. 96:71–75. 2010.PubMed/NCBI

12 

Shimbo M, Inoue K, Koike Y, Katano S and Kawashima K: Salvage I seed implantation for prostate cancer with postradiation local recurrence. Urol Int. 90:294–300. 2013. View Article : Google Scholar : PubMed/NCBI

13 

Aaronson DS, Yamasaki I, Gottschalk A, Speight J, Hsu IC, Pickett B, Roach M III and Shinohara K: Salvage permanent perineal radioactive-seed implantation for treating recurrence of localized prostate adenocarcinoma after external beam radiotherapy. BJU Int. 104:600–604. 2009. View Article : Google Scholar : PubMed/NCBI

14 

Budäus L, Bolla M, Bossi A, Cozzarini C, Crook J, Widmark A and Wiegel T: Functional outcomes and complications following radiation therapy for prostate cancer: A critical analysis of the literature. Eur Urol. 61:112–127. 2012. View Article : Google Scholar : PubMed/NCBI

15 

Ramey SJ and Marshall DT: Re-irradiation for salvage of prostate cancer failures after primary radiotherapy. World J Urol. 31:1339–1345. 2013. View Article : Google Scholar : PubMed/NCBI

16 

Kong M, Hong SE and Chang SG: Hypofractionated helical tomotherapy (75 Gy at 2.5 Gy per fraction) for localized prostate cancer: long-term analysis of gastrointestinal and genitourinary toxicity. Onco Targets Ther. 7:553–566. 2014. View Article : Google Scholar : PubMed/NCBI

Related Articles

  • Abstract
  • View
  • Download
  • Twitter
Copy and paste a formatted citation
Spandidos Publications style
Lee SH, Jung J and Chang SG: Salvage helical tomotherapy for prostate cancer recurrence following definitive external beam radiotherapy: A case report. Oncol Lett 10: 1044-1046, 2015.
APA
Lee, S.H., Jung, J., & Chang, S. (2015). Salvage helical tomotherapy for prostate cancer recurrence following definitive external beam radiotherapy: A case report. Oncology Letters, 10, 1044-1046. https://doi.org/10.3892/ol.2015.3346
MLA
Lee, S. H., Jung, J., Chang, S."Salvage helical tomotherapy for prostate cancer recurrence following definitive external beam radiotherapy: A case report". Oncology Letters 10.2 (2015): 1044-1046.
Chicago
Lee, S. H., Jung, J., Chang, S."Salvage helical tomotherapy for prostate cancer recurrence following definitive external beam radiotherapy: A case report". Oncology Letters 10, no. 2 (2015): 1044-1046. https://doi.org/10.3892/ol.2015.3346
Copy and paste a formatted citation
x
Spandidos Publications style
Lee SH, Jung J and Chang SG: Salvage helical tomotherapy for prostate cancer recurrence following definitive external beam radiotherapy: A case report. Oncol Lett 10: 1044-1046, 2015.
APA
Lee, S.H., Jung, J., & Chang, S. (2015). Salvage helical tomotherapy for prostate cancer recurrence following definitive external beam radiotherapy: A case report. Oncology Letters, 10, 1044-1046. https://doi.org/10.3892/ol.2015.3346
MLA
Lee, S. H., Jung, J., Chang, S."Salvage helical tomotherapy for prostate cancer recurrence following definitive external beam radiotherapy: A case report". Oncology Letters 10.2 (2015): 1044-1046.
Chicago
Lee, S. H., Jung, J., Chang, S."Salvage helical tomotherapy for prostate cancer recurrence following definitive external beam radiotherapy: A case report". Oncology Letters 10, no. 2 (2015): 1044-1046. https://doi.org/10.3892/ol.2015.3346
Follow us
  • Twitter
  • LinkedIn
  • Facebook
About
  • Spandidos Publications
  • Careers
  • Cookie Policy
  • Privacy Policy
How can we help?
  • Help
  • Live Chat
  • Contact
  • Email to our Support Team