Spandidos Publications Logo
  • About
    • About Spandidos
    • Aims and Scopes
    • Abstracting and Indexing
    • Editorial Policies
    • Reprints and Permissions
    • Job Opportunities
    • Terms and Conditions
    • Contact
  • Journals
    • All Journals
    • Oncology Letters
      • Oncology Letters
      • Information for Authors
      • Editorial Policies
      • Editorial Board
      • Aims and Scope
      • Abstracting and Indexing
      • Bibliographic Information
      • Archive
    • International Journal of Oncology
      • International Journal of Oncology
      • Information for Authors
      • Editorial Policies
      • Editorial Board
      • Aims and Scope
      • Abstracting and Indexing
      • Bibliographic Information
      • Archive
    • Molecular and Clinical Oncology
      • Molecular and Clinical Oncology
      • Information for Authors
      • Editorial Policies
      • Editorial Board
      • Aims and Scope
      • Abstracting and Indexing
      • Bibliographic Information
      • Archive
    • Experimental and Therapeutic Medicine
      • Experimental and Therapeutic Medicine
      • Information for Authors
      • Editorial Policies
      • Editorial Board
      • Aims and Scope
      • Abstracting and Indexing
      • Bibliographic Information
      • Archive
    • International Journal of Molecular Medicine
      • International Journal of Molecular Medicine
      • Information for Authors
      • Editorial Policies
      • Editorial Board
      • Aims and Scope
      • Abstracting and Indexing
      • Bibliographic Information
      • Archive
    • Biomedical Reports
      • Biomedical Reports
      • Information for Authors
      • Editorial Policies
      • Editorial Board
      • Aims and Scope
      • Abstracting and Indexing
      • Bibliographic Information
      • Archive
    • Oncology Reports
      • Oncology Reports
      • Information for Authors
      • Editorial Policies
      • Editorial Board
      • Aims and Scope
      • Abstracting and Indexing
      • Bibliographic Information
      • Archive
    • Molecular Medicine Reports
      • Molecular Medicine Reports
      • Information for Authors
      • Editorial Policies
      • Editorial Board
      • Aims and Scope
      • Abstracting and Indexing
      • Bibliographic Information
      • Archive
    • World Academy of Sciences Journal
      • World Academy of Sciences Journal
      • Information for Authors
      • Editorial Policies
      • Editorial Board
      • Aims and Scope
      • Abstracting and Indexing
      • Bibliographic Information
      • Archive
    • International Journal of Functional Nutrition
      • International Journal of Functional Nutrition
      • Information for Authors
      • Editorial Policies
      • Editorial Board
      • Aims and Scope
      • Abstracting and Indexing
      • Bibliographic Information
      • Archive
    • International Journal of Epigenetics
      • International Journal of Epigenetics
      • Information for Authors
      • Editorial Policies
      • Editorial Board
      • Aims and Scope
      • Abstracting and Indexing
      • Bibliographic Information
      • Archive
    • Medicine International
      • Medicine International
      • Information for Authors
      • Editorial Policies
      • Editorial Board
      • Aims and Scope
      • Abstracting and Indexing
      • Bibliographic Information
      • Archive
  • Articles
  • Information
    • Information for Authors
    • Information for Reviewers
    • Information for Librarians
    • Information for Advertisers
    • Conferences
  • Language Editing
Spandidos Publications Logo
  • About
    • About Spandidos
    • Aims and Scopes
    • Abstracting and Indexing
    • Editorial Policies
    • Reprints and Permissions
    • Job Opportunities
    • Terms and Conditions
    • Contact
  • Journals
    • All Journals
    • Biomedical Reports
      • Information for Authors
      • Editorial Policies
      • Editorial Board
      • Aims and Scope
      • Abstracting and Indexing
      • Bibliographic Information
      • Archive
    • Experimental and Therapeutic Medicine
      • Information for Authors
      • Editorial Policies
      • Editorial Board
      • Aims and Scope
      • Abstracting and Indexing
      • Bibliographic Information
      • Archive
    • International Journal of Epigenetics
      • Information for Authors
      • Editorial Policies
      • Editorial Board
      • Aims and Scope
      • Abstracting and Indexing
      • Bibliographic Information
      • Archive
    • International Journal of Functional Nutrition
      • Information for Authors
      • Editorial Policies
      • Editorial Board
      • Aims and Scope
      • Abstracting and Indexing
      • Bibliographic Information
      • Archive
    • International Journal of Molecular Medicine
      • Information for Authors
      • Editorial Policies
      • Editorial Board
      • Aims and Scope
      • Abstracting and Indexing
      • Bibliographic Information
      • Archive
    • International Journal of Oncology
      • Information for Authors
      • Editorial Policies
      • Editorial Board
      • Aims and Scope
      • Abstracting and Indexing
      • Bibliographic Information
      • Archive
    • Medicine International
      • Information for Authors
      • Editorial Policies
      • Editorial Board
      • Aims and Scope
      • Abstracting and Indexing
      • Bibliographic Information
      • Archive
    • Molecular and Clinical Oncology
      • Information for Authors
      • Editorial Policies
      • Editorial Board
      • Aims and Scope
      • Abstracting and Indexing
      • Bibliographic Information
      • Archive
    • Molecular Medicine Reports
      • Information for Authors
      • Editorial Policies
      • Editorial Board
      • Aims and Scope
      • Abstracting and Indexing
      • Bibliographic Information
      • Archive
    • Oncology Letters
      • Information for Authors
      • Editorial Policies
      • Editorial Board
      • Aims and Scope
      • Abstracting and Indexing
      • Bibliographic Information
      • Archive
    • Oncology Reports
      • Information for Authors
      • Editorial Policies
      • Editorial Board
      • Aims and Scope
      • Abstracting and Indexing
      • Bibliographic Information
      • Archive
    • World Academy of Sciences Journal
      • Information for Authors
      • Editorial Policies
      • Editorial Board
      • Aims and Scope
      • Abstracting and Indexing
      • Bibliographic Information
      • Archive
  • Articles
  • Information
    • For Authors
    • For Reviewers
    • For Librarians
    • For Advertisers
    • Conferences
  • Language Editing
Login Register Submit
  • This site uses cookies
  • You can change your cookie settings at any time by following the instructions in our Cookie Policy. To find out more, you may read our Privacy Policy.

    I agree
Search articles by DOI, keyword, author or affiliation
Search
Advanced Search
presentation
Oncology Letters
Join Editorial Board Propose a Special Issue
Print ISSN: 1792-1074 Online ISSN: 1792-1082
Journal Cover
August-2019 Volume 18 Issue 2

Full Size Image

Sign up for eToc alerts
Recommend to Library

Journals

International Journal of Molecular Medicine

International Journal of Molecular Medicine

International Journal of Molecular Medicine is an international journal devoted to molecular mechanisms of human disease.

International Journal of Oncology

International Journal of Oncology

International Journal of Oncology is an international journal devoted to oncology research and cancer treatment.

Molecular Medicine Reports

Molecular Medicine Reports

Covers molecular medicine topics such as pharmacology, pathology, genetics, neuroscience, infectious diseases, molecular cardiology, and molecular surgery.

Oncology Reports

Oncology Reports

Oncology Reports is an international journal devoted to fundamental and applied research in Oncology.

Experimental and Therapeutic Medicine

Experimental and Therapeutic Medicine

Experimental and Therapeutic Medicine is an international journal devoted to laboratory and clinical medicine.

Oncology Letters

Oncology Letters

Oncology Letters is an international journal devoted to Experimental and Clinical Oncology.

Biomedical Reports

Biomedical Reports

Explores a wide range of biological and medical fields, including pharmacology, genetics, microbiology, neuroscience, and molecular cardiology.

Molecular and Clinical Oncology

Molecular and Clinical Oncology

International journal addressing all aspects of oncology research, from tumorigenesis and oncogenes to chemotherapy and metastasis.

World Academy of Sciences Journal

World Academy of Sciences Journal

Multidisciplinary open-access journal spanning biochemistry, genetics, neuroscience, environmental health, and synthetic biology.

International Journal of Functional Nutrition

International Journal of Functional Nutrition

Open-access journal combining biochemistry, pharmacology, immunology, and genetics to advance health through functional nutrition.

International Journal of Epigenetics

International Journal of Epigenetics

Publishes open-access research on using epigenetics to advance understanding and treatment of human disease.

Medicine International

Medicine International

An International Open Access Journal Devoted to General Medicine.

Journal Cover
August-2019 Volume 18 Issue 2

Full Size Image

Sign up for eToc alerts
Recommend to Library

  • Article
  • Citations
    • Cite This Article
    • Download Citation
    • Create Citation Alert
    • Remove Citation Alert
    • Cited By
  • Similar Articles
    • Related Articles (in Spandidos Publications)
    • Similar Articles (Google Scholar)
    • Similar Articles (PubMed)
  • Download PDF
  • Download XML
  • View XML
Article

Endocannabinoid system and the expression of endogenous ceramides in human hepatocellular carcinoma

  • Authors:
    • Jiayong Yang
    • Yifeng Tian
    • Ruihe Zheng
    • Lei Li
    • Funan Qiu
  • View Affiliations / Copyright

    Affiliations: Department of Pharmacy, The Fifth Hospital of Xiamen, Xiamen, Fujian 361101, P.R. China, Provincial Clinical College, Fujian Medical University, Fuzhou, Fujian 350004, P.R. China, Eye Institute of Xiamen University, School of Medicine, Xiamen University, Xiamen, Fujian 361102, P.R. China
  • Pages: 1530-1538
    |
    Published online on: May 27, 2019
       https://doi.org/10.3892/ol.2019.10399
  • Expand metrics +
Metrics: Total Views: 0 (Spandidos Publications: | PMC Statistics: )
Metrics: Total PDF Downloads: 0 (Spandidos Publications: | PMC Statistics: )
Cited By (CrossRef): 0 citations Loading Articles...

This article is mentioned in:



Abstract

The endogenous lipid metabolism network is associated with the occurrence and progression of malignancies. Endocannabinoids and ceramides have demonstrated their anti‑proliferative and pro‑apoptotic properties in a series of cancer studies. The aim of the present study was to evaluate the expression patterns of endocannabinoids and endogenous ceramides in 67 pairs of human hepatocellular carcinoma (HCC) tissues and non‑cancerous counterpart controls. Anandamide (AEA), the major endocannabinoid, was reduced in tumor tissues, probably due to the high expression and activity of fatty acid amide hydrolase. Another important endocannabinoid, 2‑arachidonylglycerol (2‑AG), was elevated in tumor tissues compared with non‑tumor controls, indicating that the biosynthesis of 2‑AG is faster than the degradation of 2‑AG in tumor cells. Furthermore, western blot analysis demonstrated that cannabinoid receptor 1 was downregulated, while cannabinoid receptor 2 was elevated in HCC tissues, in accordance with the alterations in the levels of AEA and 2‑AG, respectively. For HCC tissues, the expression levels of C18:0, 20:0 and 24:0‑ceramides decreased significantly, whereas C12:0, 16:0, 18:1 and 24:1‑ceramides were upregulated, which may be associated with cannabinoid receptor activation and stearoyl‑CoA desaturase protein downregulation. The exact role of endocannabinoids and ceramides in regulating the fate of HCC cells requires further investigation.

Introduction

Primary hepatocellular carcinoma (HCC) remains the third leading cause of cancer-associated mortality in China. Clinical treatment modalities include surgical resection, transplantation, chemotherapy and radiotherapy. The 5-year survival rate of patients with HCC was 5–30% between 2000 and 2014 (1). The main reason is that the initial symptoms of HCC are occult, and the majority of patients are diagnosed only at an advanced stage. Therefore, there is an urgent need to identify early HCC biomarkers and novel treatment targets.

In recent years, the reprogramming of metabolic pathways in tumor cells is a field of cancer research that has attracted attention (2,3). De novo lipogenesis increases in liver cancer cells, and the endogenous lipid metabolism network changes significantly. Endocannabinoids are a class of endogenous lipids that target cannabinoid receptors 1 and 2 (CB1/2), the most extensively investigated of which are anandamide (AEA) and 2-arachidonylglycerol (2-AG). Endocannabinoids modulate multiple cell survival-associated signaling pathways, including extracellular signal-regulated kinase (ERK) (4), p38 mitogen-activated protein kinase (MAPK) (5) and the ceramide pathways (6) in breast cancer (7), prostate cancer (8), rectal cancer (9) and glioma (10). Ceramides are widely distributed as sphingolipid messengers involved in apoptosis and cell cycle arrest. It was recently demonstrated that CB receptor activation-dependent apoptosis signaling is associated with ceramide accumulation (6).

Increased synthesis of endogenous mono-unsaturated fatty acids (MUFA) is another biochemical hallmark of cancer (11). Previous reports have shown that high expression of stearoyl-CoA desaturase-1 (SCD1) catalyzes the desaturation of saturated fatty acids (SFA), which provides abundant MUFA substrates for membrane biosynthesis during tumor cell proliferation. Inhibition of SCD1 suppressed the synthesis of MUFA and induced de novo synthesis of long-chain ceramides, which is a major mechanism mediating apoptosis in a variety of tumor cells (12).

The endogenous lipid metabolism network is associated with the occurrence and progression of malignancies. The abundance of prostaglandin E2 in the tumor microenvironment further impedes T cell infiltration and cancer immune evasion (13). However, the expression, metabolism and regulation of these lipids in HCC tissues have yet to be elucidated. In the present study, the pathological data from 67 patients with HCC who underwent surgical resection were retrospectively analyzed, and the differences in the levels of endogenous lipids and metabolic enzymes between tumor tissues and their non-tumor counterparts were evaluated. Examination of specific lipid metabolism profiles may provide targets and markers for HCC treatment and early diagnosis.

Materials and methods

Human tissue samples

Samples from cancer tissues and their adjacent normal counterparts were obtained from 67 patients who had undergone surgical resection for HCC at the Fifth Hospital of Xiamen (Xiamen, China) between January 2015 and December 2016. The mean age of the patients was 52.6±11.3 years (range, 18–76 years). In total, 83.6% of the patients were male, consistent with a prior report that HCC is more prevalent in men compared with women (14). The patients were diagnosed with HCC via pathological examination (data not shown). All patients were informed of the aims of this study, and they provided written informed consent for the investigation in accordance with the Ethics Committee in the Fifth Hospital of Xiamen, following the clinical registration guidelines in China. This study was approved by the Ethics Committee of the Fifth Hospital of Xiamen. Tumor-node-metastasis (TNM) stage was determined according to the World Health Organization TNM staging 7th edition and the pathological analysis results. The samples were sectioned and some were stored at −80°C for western blot and high-performance liquid chromatography (HPLC)-mass spectrometry (MS) analysis, whereas others were flash-frozen in liquid nitrogen for PCR analysis.

Reverse transcription-quantitative PCR (RT-qPCR) analysis

Total RNA was extracted from tissue samples using TRIzol reagent (Thermo Fisher Scientific, Inc.), and RNA concentration was measured with a spectrophotometer (Beckman Coulter, Inc.). Total RNA (1 µg) was reverse-transcribed to cDNA with the ReverTra Ace® qPCR RT kit (Toyobo Life Science), according to the manufacturer's protocols, and amplified with Ex Taq DNA polymerase, according to the manufacturer's protocols. qPCR was carried out on an Applied Biosystems 7500 Fast Real-Time PCR System (Thermo Fisher Scientific, Inc.) with SYBR Premix Ex Taq II (Takara Bio Inc., Otsu, Japan). The thermocycling conditions were as follows: Denaturation at 95°C for 5 sec, annealing/extension at 60°C for 31 sec (40 cycles). The quantitative values of mRNA were analyzed using the 2–ΔΔCq method (15) and normalized relative to the levels of 18S. Each sample was set up in triplicate and the experiments were repeated three times.

The primers were as follows: N-acylphosphatidylethanolamine-hydrolysingphospholipase D (NAPE-PLD), forward primer (F): 5′-TGGCTGGGACACGCG-3′, reverse primer (R): 5′-GGGATCCGTGAGGAGGATG-3′; fatty acid amide hydrolase (FAAH), F: 5′-GCCTCAAGGAATGCTTCAGC-3′, R: 5′-TGCCCTCATTCAGGCTCAAG-3′; monoacylglycerol lipase (MAGL), F: 5′-CATGTGGATTCCATGCAGAAAG-3′, R: 5′-AGGATTGGCAAGAACCAGAGG-3′; diacylglycerol lipase (DGL)-α, F: 5′-AGAATGTCACCCTCGGAATGG-3′, R: 5′-GTGGCTCTCAGCTTGACAAAGG-3′; CB1, F: 5′-AGCCTCTGGATAACAGCATGG-3′, R: 5′-AATCTTGACCGTGCTCTTGATG-3′; CB2, F: 5′-CTCAGTGACCAGGTCAAGAAGG-3′, R: 5′-TTTTGCCTCTGACCCAAGG-3′; ceramide synthases (Cer)S1, F: 5′-TTTGGCTCCCGCACAATGT-3′, R: 5′-AAAAGCGAGATAGAGGTCCTCA-3′; CerS2, F: 5′-GCTCTTCCTCATCGTTCGATAC-3′, R: 5′-GTGTAGCCACGTACAGCTCA-3′; CerS3, F: 5′-CACCCAGCTGTCAAAGAGAAGG-3′, R: 5′-AGGACGATATCCGAAAGGTGG-3′; CerS4, F: 5′-CCGGATCCCGTCCAGTTTCAACGAG-3′, R: 5′-GGGAATTCGGCTATGTGGCTGTTGTG-3′; CerS5, F: 5′-GCTGCTCTTCGAGCGATTTAT-3′, R: 5′-CCTCCGATGGCGAAACCAG-3′; CerS6, F: 5′-TTTGGCTCCCGCACAATGT-3′, R: 5′-AAAAGCGAGATAGAGGTCCTCA-3′; 18S, F: 5′-CAGCCACCCGAGATTGAGCA-3′, R: 5′-TAGTAGCGACGGGCGGTGTG-3′.

Western blot analysis

Tumors and adjacent normal tissues were homogenized and sonicated (50/60Hz) in ice-cold RIPA buffer (Beyotime Biotechnology, Jiangsu, China) for 10 times, 5 sec each time. The suspension was centrifuged for 15 min at 4°C and 15,294 × g. The total protein content was determined using a bicinchoninic acid protein assay kit (Thermo Fisher Scientific, Inc.), according to the manufacturer's protocols, with bovine serum albumin (BSA; Solarbio Science & Technology Co. Ltd., Beijing, China) as the standard. Proteins (20 µg) were mixed with sample buffer, boiled, and then separated by 15% SDS-PAGE. After transference to polyvinylidene difluoride membranes (GE Healthcare Life Sciences), the membrane was blocked in 5% milk in Tris-buffered saline with 1% Tween-20 at room temperature for 1 h, and incubated at 4°C overnight with primary antibodies against CB1 (Abcam; 1:1,000; cat. no. ab23703), CB2 (Abcam; 1:1,000; cat. no., ab3561), SCD1 (Abcam; 1:500; cat. no. ab19862) and β-actin (Sigma-Aldrich, Merck KGaA; 1:500; cat. no. A5316). The membranes were subsequently incubated with an HRP-conjugated anti-rabbit IgG antibody (Sigma-Aldrich, Merck KGaA; 1:10,000; cat. no. SAB5600127) for 1 h at room temperature. Protein bands were visualized using an Enhanced Chemiluminescence Plus kit (GE Healthcare Life Sciences). Quantitative analysis was performed using the ImageJ software (version 2.1.4.7; National Institute of Health) with β-actin as the endogenous control.

Endogenous lipid extraction and analysis

In total, 50 µg frozen tissue samples were homogenized in 2 ml methanol/H2O mixture (50:50, v/v) containing C17:1 FAE, and C17:0 ceramide as internal standards. Endogenous lipids were extracted with 3 ml chloroform, and then centrifuged for 10 min at 4°C and 3,000 × g. The organic phase was collected and dried under nitrogen by a nitrogen evaporator (Beijing TongTaiLian Technology Co., Ltd.). Lipids were re-dissolved in 1 ml chloroform and transferred to small Silica Gel G columns. Endogenous FAEs and ceramides were eluted with methanol/chloroform (10:90, v/v), dried under nitrogen, reconstituted in 100 µl methanol and detected using the 3200 Q Trap HPLC-MS system (Applied Biosystems; Thermo Fisher Scientific, Inc.) coupling with the 1100-HPLC system (Agilent Technologies).

The parameters of isolation and elution condition, ion monitor model and the molecular ion were all previously described in detail (16). The detailed information is as follows. The gradient elution of the mobile phase was as follows: 85% methanol (containing 15% H2O; pH 7.5) was kept for the first 3 min, followed by a linear gradient from 85 to 100% methanol for 2 min, and then 100% methanol was continued for another 15 min. Finally, the elution condition went back to 85% methanol for 2 min at a flow rate of 0.7 ml/min. Column temperature was kept at 40°C. Ion detection was monitored by APCI+-MRM mode. The molecular ions were monitored at m/z 348.00/62.00 for AEA, m/z 379.10/287.10 for 2-AG, m/z 313.1/62.0 for C17:1 FAE, m/z 464.4/264.2 for C12:0 ceramide, m/z 520.4/264.2 for C16:0 ceramide, m/z 534.3/264.2 for C17:0 ceramide, m/z 548.4/264.2 for C18:0 ceramide, m/z 576.4/264.2 for C20:0 ceramide, m/z 604.5/264.2 for C22:0 ceramide, m/z 632.4/264.2 for C24:0 ceramide, and m/z 630.4/264.2 for C24:1 ceramide.

Enzymatic assays

Tissue samples were cut into 200 µm thick sections and were homogenized in ice-cold Tris-HCl buffer (50 mM, pH 7.4) containing 0.32 M sucrose to obtain total proteins. To measure FAAH and MAGL activity, tissue proteins were incubated at 37°C for 30 min in 50 mM Tris-HCl buffer (pH 8.0, containing 0.05% fatty acid-free BSA), and 100 µg sample protein was incubated with 50 µM AEA or 2-oleoylglycerol as substrates. The reaction was stopped by adding 200 µl chloroform/methanol (1:1, v/v), containing C17:0 heptadecanoic acid as an internal standard. The reaction solution was centrifuged at 1,500 × g at 4°C for 5 min and the organic layers were subsequently collected and dried under nitrogen. The residues were re-dissolved in 100 µl methanol, and analyzed by 3200 Q Trap HPLC-MS system (Applied Biosystems; Thermo Fisher Scientific, Inc.) coupled with the 1100-HPLC system (Agilent Technologies, Inc.) in the negative-ion mode using 17:0 heptadecanoic acid as internal standard. A Hypersil Gold C18 column (dimensions, 250 × 4.6 mm; particle size, 5 µm; Thermo Fisher Scientific, Inc.) was used for analytical separation and the column temperature was kept at 40°C. Fatty acids were eluted using a linear gradient from 90% phase A (methanol containing 0.25% acetic acid and 5 mM ammonium acetate) to 100% phase B (water containing 0.25% acetic acid and 5 mM ammonium acetate) in 2.5 min at a flow rate of 1.0 ml/min. Capillary voltage was set at −4 kV and the fragmentor voltage was 120V. Nitrogen was used as drying gas at a flow rate of 13 liters/min and a temperature of 350°C. Nebulizer pressure is set at 60 psi. [M-H]− ion was monitored in the selected-ion monitoring (SIM) mode (m/z=303 for arachidonic acid, m/z=281 for oleic acid, and m/z=269 for 17:0 heptadecanoic acid).

Statistical analysis

Data are expressed as the means ± standard error of the mean. Experiments were performed in triplicate. Student's t-test was performed using GraphPad Prism (version 5.01; GraphPad Software, Inc.), and P<0.05 was considered to indicate a statistically significant difference.

Results

Characteristics of 67 patients with HCC

Tumor tissues and adjacent non-tumor tissues were collected from patients with HCC who underwent surgical resection between 2015 and 2016. The detailed clinical parameters of the 67 patients are listed in Table I. The mean age of the patients was 52.6±11.3 years (range, 18–76 years). In total, 83.6% of the patients were male, consistent with prior reports that HCC is more prevalent in males compared to females. It was reported that estrogen might repress HCC growth via inhibiting alternative activation of tumor-associated macrophages (17). Of the 67 samples collected, 65 were HBV infections, with a ratio of 92.5%. It was consistent with the fact that >80% of patients with HCC were HBV carriers in Fujian Province. As there was an insufficient number of HCC samples without HBV infection in the current study, the effect of HBV on the expression of these endogenous lipids and its role in promoting HCC was not investigated. Approximately 10% of the patients were recorded to have varying degrees of liver damage, and 23 patients had cancerous thrombi. In the cohort, ~55% was diagnosed with intermediate-grade cancer, while the percentage of high- grade was 25.4% and that of low-grade cases was 19.4% according to the Standardization of diagnosis and treatment for hepatocellular carcinoma (2017 edition, Bureau of Medical Administration, National Health and Family Planning Commission of the PRC) (18).

Table I.

Clinical pathological parameters of 67 patients with hepatocellular carcinoma.

Table I.

Clinical pathological parameters of 67 patients with hepatocellular carcinoma.

ParameterValue, n (%)
Sex
  Male51 (76.1)
  Female16 (23.9)
HBsAg
  Positive62 (92.5)
  Negative5 (7.5)
AFP (ng/ml) before surgery
  >2542 (62.7)
  ≤2525 (37.3)
Tumor stage (TNM) (36)
  I or II47 (70.1)
  III20 (29.9)
Grade
  High17 (25.4)
  Middle13 (19.4)
  Low37 (55.2)
Tumor diameter (cm)
  >522 (32.8)
  ≤545 (67.2)

According to the current data, 38 patients (56%) have a recorded pathological status of cirrhosis, and 14 patients of them had Child-Pugh score. A total of 9 patients were recorded as HBV-related decompensated liver cirrhosis, 7 of them had a higher Child-Pugh score (10.29±0.68), while 2 of them had a lower Child-Pugh score (5 and 6, respectively). A total of 4 patients were recorded as decompensated alcoholic cirrhosis with Child-Pugh scores of 5, 9, 12, and 13, respectively. And only one patient was recorded as cardiogenic cirrhosis with a Child-Pugh score of 5.

The present study also included 7 patients who were HCV RNA positive and 6 patients were HCV RNA negative. There are no relevant records for the other patients. Some patients showed dyslipidemia, 5 of them were diagnosed with fatty liver and hypertriglyceridemia, 3 patients were diagnosed with hypercholesterolemia, and only 1 patient was suspected as nonalcoholic steatohepatitis.

Expression of endocannabinoids in human HCC samples

The endogenous lipids in 67 tumor and matched non-cancerous tissue pairs were detected and quantified by HPLC-MS. Compared with the non-tumor counterparts, AEA levels were significantly decreased in tumor tissues (P=0.0329; 188.3±22.94 pmol/g in non-tumor tissues, and 131.7±12.04 pmol/g in HCC, Fig. 1A), while the level of 2-AG, another important endocannabinoid, was significantly increased in tumor tissues (P=0.0278; 68.55±10.64 nmol/g in non-cancerous controls, and 113.3±17.48 nmol/g in HCC, Fig. 1B). As congeners of AEA, palmitoylethanolamide (PEA) and oleoylethanolamide (OEA) belong to the superfamily of N-acylethnolamines (NAEs), however PEA and OEA interact with the PPAR-α receptor instead of cannabinoid receptors (19). The expression of PEA and OEA did not differ significantly between the two groups (Fig. 1C and D).

Figure 1.

High-performance liquid chromatography-mass spectrometry analysis for endocannabinoids. Expression levels of (A) AEA, (B) 2-AG, (C) PEA, and (D) OEA in non-tumor tissue control and hepatocellular carcinoma tissues. *P<0.05; n=67. AEA, anandamide; 2-AG, 2-arachidonylglycerol; PEA, palmitoylethanolamide; OEA, oleoylethanolamide; N, non-tumor tissue control; C, hepatocellular carcinoma tissues.

Changes in endocannabinoid metabolism in human HCC samples

The most notable endocannabinoid changes in the present study were the decrease of AEA and increase of 2-AG. AEA is generated by NAPE-PLD and metabolized by FAAH (20). The checkpoint in 2-AG synthesis is considered to be DGL-α (21). Furthermore, MAGL is mainly involved in 2-AG degradation (21). To further investigate the molecular mechanisms underlying the aforementioned changes, the expression and activity profiles of these enzymes were examined in tissue samples.

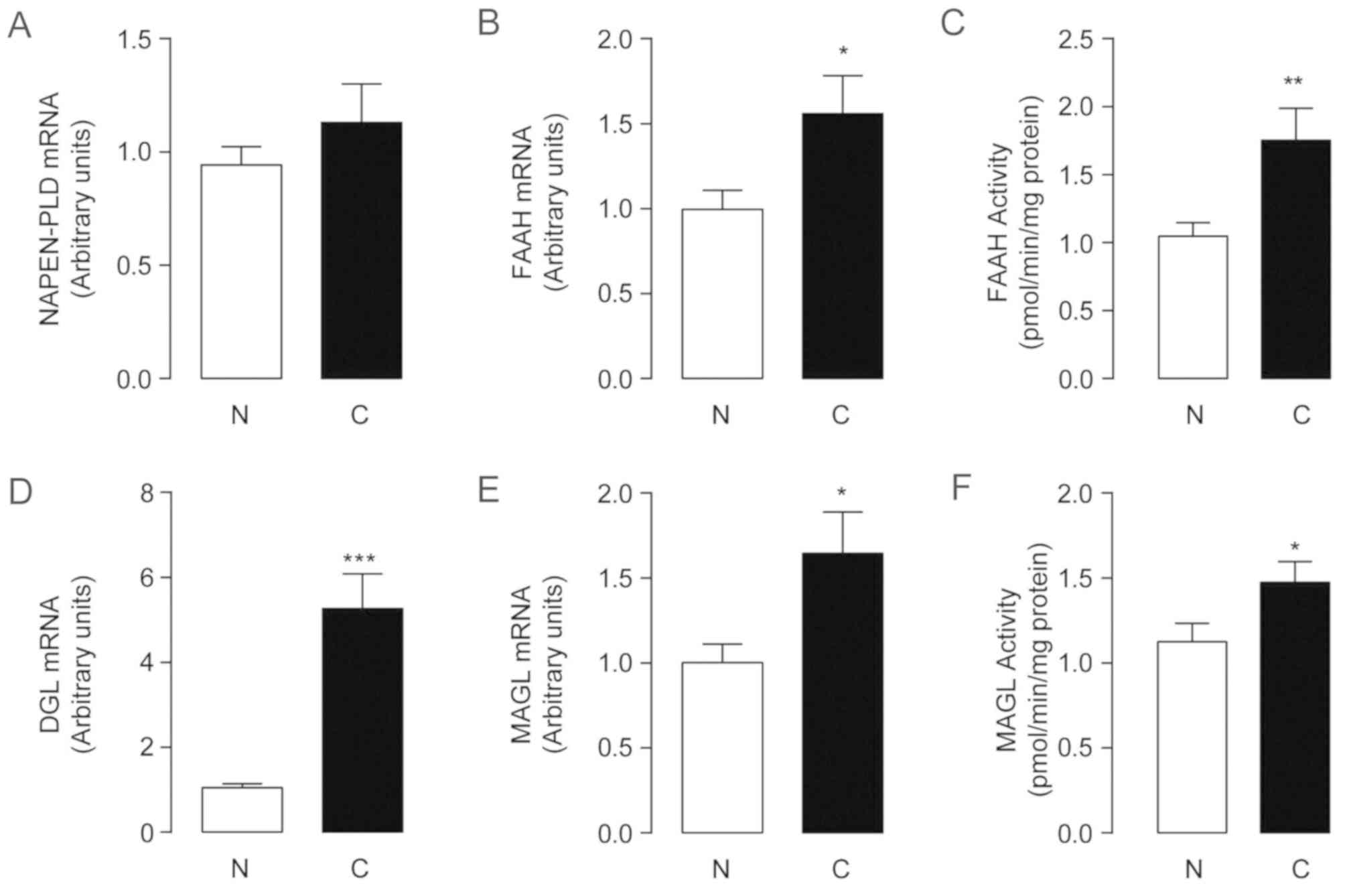
There was no significant difference in the mRNA expression of NAPE-PLD between tumors and non-cancerous controls (Fig. 2A). The mRNA levels and activity of FAAH increased in HCC samples relative to their non-tumor counterparts (P=0.041; Fig. 2B and C), which suggested increased degradation of AEA in tumor tissues. A 5-fold higher level of DGL-α mRNA was detected in the tumor group (1.05±0.09 in non-tumor tissues and 5.27±0.81 in HCC; P<0.0001; Fig. 2D). The expression of DGL-α exhibited a greater increase compared with MAGL (Fig. 2E and F), indicating that 2-AG synthesis was markedly faster than its degradation. Whether the elevated expression of 2-AG and DGL-α may be used as markers for early HCC diagnosis warrants further investigation.

Figure 2.

Alteration of endocannabinoids metabolic enzymes in human hepatocellular carcinoma. The mRNA expression levels (A, B, D, E) and the enzyme activities (C and F) of (A) NAPE-PLD, (B and C) FAAH, (D) DGL and (E and F) MAGL in non-tumor tissue control and hepatocellular carcinoma tissues. *P<0.05, **P<0.01 and ***P<0.001; n=67. N, non-tumor tissue control; C, hepatocellular carcinoma tissues; NAPE-PLD, N-acylphosphatidylethanolamine-hydrolysingphospholipase D; FAAH, fatty acid amide hydrolase; MAGL, monoacylglycerol lipase; DGL, diacylglycerol lipase.

Expression of cannabinoid receptors in human HCC samples

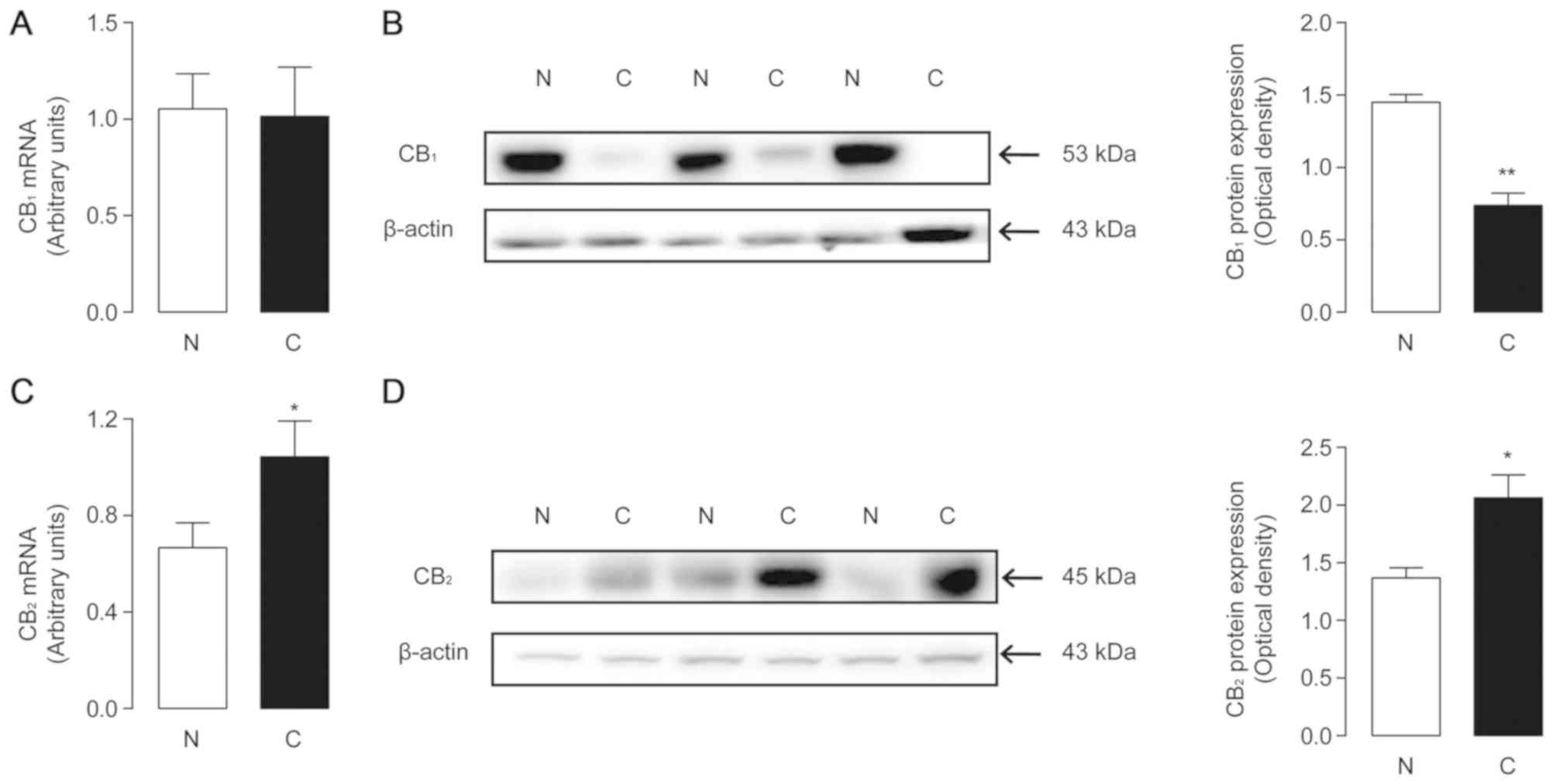
It has been reported that cannabinoid receptors 1 and 2 mediate functional responses to the AEA and 2-AG. As the levels of these two endocannabinoids changed significantly in tumor tissues, the present study investigated whether there were corresponding changes in the receptors. The mRNA expression of CB1 and CB2 was examined by quantitative PCR in both tumor and non-tumor samples. There was no significant difference between the two groups for CB1 mRNA levels (Fig. 3A), while CB2 expression was increased in tumor tissues (Fig. 3C). The protein levels of the two receptors were further investigated via western blot analysis. ImageJ software was used to calculate the optical density of the blots, using β-actin as the control. The results revealed that CB1 protein levels in tumor tissues were decreased significantly (1.45±0.054 in non-cancerous tissues and 0.74±0.086 in tumor tissues; P=0.0022; Fig. 3B), and those of CB2 were significantly increased (1.37±0.088 in non-tumor tissues and 2.06±0.2 in tumor tissues; P=0.0336, Fig. 3D). The trends in receptor protein expression were consistent with the changes in endogenous ligands.

Figure 3.

Expression levels of cannabinoid receptors 1 and 2 in human hepatocellular carcinoma. The mRNA expression levels (A and C) and the protein levels (B and D) of (A and B) CB1 receptor and (C and D) CB2 receptor in non-tumor tissue control and hepatocellular carcinoma tissues. *P<0.05 and **P<0.01; n=67. N, non-tumor tissue control; C, hepatocellular carcinoma tissues; CB, cannabinoid receptor.

Expression of endogenous ceramides in human HCC samples

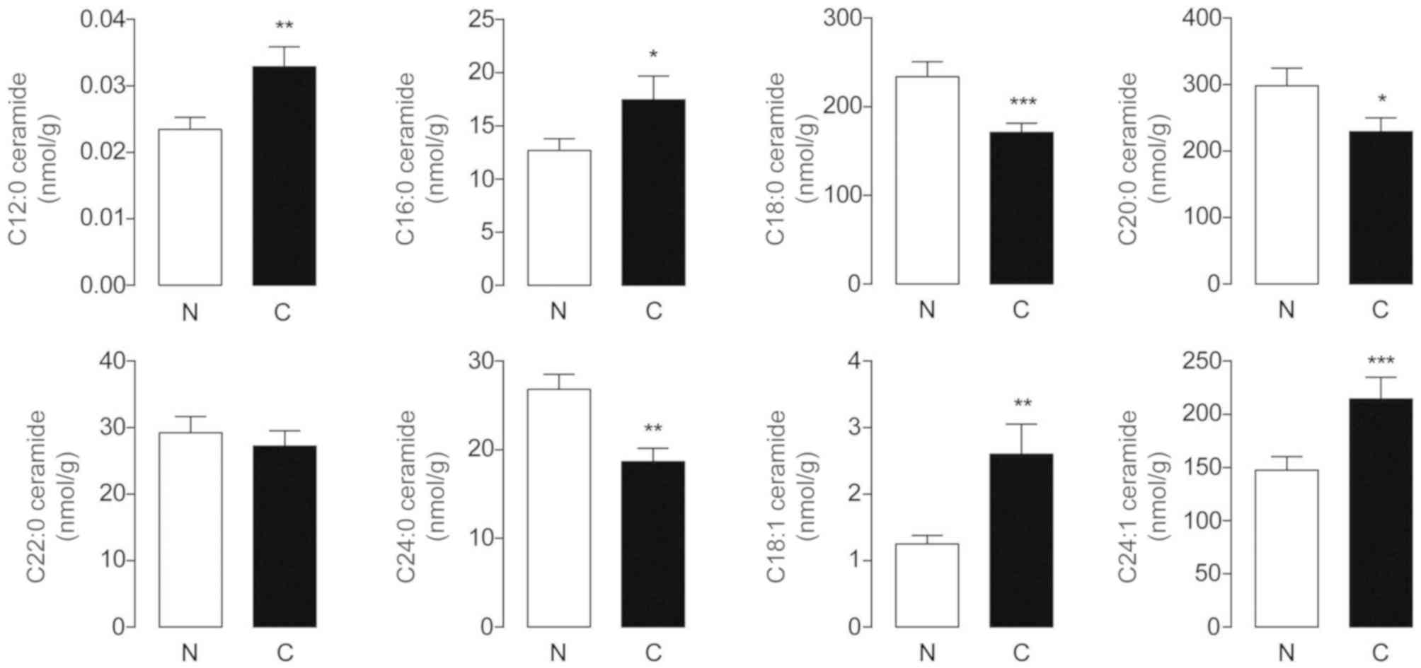
Ceramides are a family of bioactive sphingolipids with tumor-suppressive properties (22). In the present study, HPLC-MS detection revealed that endogenous C12:0, C16:0, C18:1 and C24:1-ceramides were markedly increased in HCC tissues, whereas the levels of C18:0, C20:0 and C24:0-ceramides were significantly decreased in these samples, each compared with their adjacent normal counterparts (Fig. 4). The differences in C22:0-ceramide levels between tumor and non-tumor tissues were not significant. It was documented that C18:0-ceramide exerted anti-proliferative effects on head and neck squamous cell carcinomas (HNSCCs), while the roles of C18:0, C20:0 and C24:0-ceramides in the pathogenesis and progression of HCC require further investigation.

Figure 4.

Expression levels of endogenous ceramides in non-tumor tissue control and hepatocellular carcinoma tissues. *P<0.05, **P<0.01 and ***P<0.001; n=67. N, non-tumor tissue control; C, hepatocellular carcinoma tissues.

Changes in endogenous ceramide metabolism in human HCC samples

To examine the mechanisms underlying the changes observed with ceramides, the mRNA levels of CerS1-6 were examined in 67 pairs of HCC tumor and adjacent non-tumor tissues (Fig. 5A-F). The results revealed that the mRNA levels of CerS6 increased significantly in ~70% of the patients, which were associated with increased tumor levels of C16:0-ceramide. Furthermore, the decreased mRNA levels of CerS1 were in accordance with reduced C18:0-ceramide levels, which was highly relevant to the lower levels of C18:0-ceramide observed in HCC tissues. Decreases in C20:0 and C24:0-ceramides in tumor tissues may be attributed to the downregulated expression of CerS4, a synthase responsible for the synthesis of C18:0-24:0 ceramides (22). Notably, the levels of mono-unsaturated C18:1 and C24:1 ceramides were increased in tumor samples, consistently with the elevated levels of dihydroceramide desaturase 1 and 2 (DEGS-1/2) (Fig. 5G and H). However, the main role of DEGS and mono-unsaturated ceramides involved in HCC formation and progression warrants further investigation.

Figure 5.

The mRNA expression levels of (A-F) CerS1-6, (G and H) DEGS1-2, (I) SCD1 and protein level of (J) SCD1 in non-tumor tissue control and hepatocellular carcinoma tissues. *P<0.05, **P<0.01 and ***P<0.001, n=67. CER, ceramide synthases; N, non-tumor tissue control; C, hepatocellular carcinoma tissues; DEGS-1/2, dihydroceramide desaturase 1 and 2; SCD1, stearoyl-CoA desaturase.

SCD1 is a transmembrane protein that converts SFAs to Δ-9 MUFAs to supply phospholipids for membrane biogenesis during cancer cell proliferation (23). The SCD1 mRNA and protein levels were significantly upregulated in HCC tissues compared with their non-tumor counterparts (Fig. 5I). High expression of SCD1 may be associated with the suppression of C18:0, 20:0 and 24:0-ceramide de novo synthesis, while the crosstalk between the SCD1 pathway and the ceramide metabolism network has, to the best of our knowledge, yet to be investigated.

Discussion

It has been reported that endocannabinoids are generally upregulated in tumor tissues, including gliomas, colon and breast cancer, compared with non-cancerous tissues. AEA is the first discovered endogenous ligand for cannabinoid receptor 1. Administration of AEA or inhibitors of FAAH, the main degradative enzyme of AEA, has been shown to suppress the growth of different types of tumor xenografts via CB receptor activation (24). Targeting endocannabinoid systems may be a reasonable strategy for anticancer therapy. In previous studies, endocannabinoids and the associated receptors were detected in tissues and serum of patients with HCC by lipid analysis, qPCR, and immunohistochemistry. However, a disadvantage of the aforementioned is that there is no systematic detection of the endocannabinoid system, as they cannot explain the reason for these major endocannabinoids levels changes. The novelty of this research is that a systematic detection including endocannabinoids, ceramides, the associated synthetic and metabolic hydrolases and the associated receptors is carried out. The changes of endogenous lipids have been explained primarily to provide potential targets and research directions for the diagnosis and treatment of HCC.

To date, to the best of our knowledge, little is known on the physiological and pathological roles of AEA in HCC. In a serum metabolic profiling analysis study of HCC, Zhou et al (25) found that serum AEA was significantly elevated in HCC groups compared with healthy controls. In the present study, endogenous AEA levels were decreased in liver cancer tissues, contrary to a previous report (25). The downregulation of AEA in HCC tissues reported herein was consistent with this study's findings that the expression and activity of FAAH increased significantly in HCC. In the study conducted by Xu et al (26), serum was used instead of liver tissues, recapitulating the systematic AEA metabolic profiles of patients with HCC. This study only revealed the metabolic characteristics of AEA in the local environment of the liver. Therefore, this study suggests that a decrease in AEA levels in tumor tissues shows that AEA may play an important role in suppressing HCC cell proliferation. AEA is an endogenous agonist of the CB1 receptor, and the activation of CB1 is beneficial for tumor cell apoptosis and autophagy. After treatment with cannabinoids, the expression levels of Akt in breast cancer cells decreased and the PI3K/Akt/mTOR pathway was inhibited, which significantly suppressed tumor cell migration. Elevated serum AEA levels may reflect antitumor auto-protection of the body; however, the precise role of endogenous AEA in the occurrence and progression of cancer remains unclear.

CB1 receptors are preferentially expressed in the central nervous system. In the present study, a notable decrease of CB1 receptor expression in HCC tissues was observed by western blot analysis. However, it has been reported that high expression of the CB1 receptor was observed in 45% of the cases of HCC by immunohistochemical analysis (26). These conflicting results may be attributed to the selection of different differentiation samples. The data demonstrated that high CB1 expression was associated with high differentiation of HCC (26), however poorly differentiated HCCs generally exhibited low CB1 expression. In the present study, 74.6% of HCC samples were poorly to intermediately differentiated, with lower CB1 levels, in accordance with the aforementioned data, and CB1 receptor expression in HCC was suggested to be associated with improved prognosis (26).

It was recently reported that the CB1 receptor was upregulated in diethynitrosamine-induced HCC mouse models (27). Peripheral blockade or genetic ablation of the CB1 receptor suppressed its high expression in the endocannabinoid system and the growth of HCC. However, these conclusions were drawn from observations made with an animal model; therefore, they cannot fully represent the true conditions of the human body. Accordingly, further research is required to validate that the pharmacological activation of CB1 by enhancing AEA levels is effective for the treatment of HCC.

The most distinct change to the endocannabinoid system in the present study was the increase in 2-AG. The activity and expression of MAGL, the enzyme responsible for 2-AG hydrolysis, was increased in HCC compared with non-cancerous controls, which was not consistent with the increase of 2-AG. However, the expression of DGL-α, the 2-AG-biosynthesizing enzyme, increased in HCC tissues, suggesting faster biosynthesis of 2-AGcompared with its degradation. The upregulation of MAGL may be a result of the negative feedback induced by the excessive production of DGL-α and 2-AG.

It has been reported that CB2 receptors are more prevalent in peripheral tissues associated with immune function. Hepatic CB2 protein levels are elevated in a number of liver pathologies, including fatty liver, hepatic fibrogenesis (28) and acute liver injury (29). In 2006, by immunohistochemical analysis, Xu et al (26) showed high expression of CB1 and CB2 receptors in 45 and 52% cases of HCC, respectively, which is consistent with this study's findings. Overexpression of CB2 may have potential as prognostic indicators for patients with HCC.

Studies have shown that the major endocannabinoid 2-AG and the associated receptor CB2 have a key role in the pathogenesis of chronic liver injury. Activation of CB2 receptor is known to inhibit tumor vascularization (30), while, in another research, elevated CB2 level was reported to facilitate the tumor invasion through the suppression of the anti-tumor immune system (31). The detailed role of the CB2 receptor in HCC development and progression remains unknown. To the best of our knowledge, there are currently no reports on CB2 function in the treatment of HCC.

The present study provided new evidence confirming the excessive expression of 2-AG and its associated receptor CB2 in individuals with HCC, which may lead to the identification of novel diagnostic and therapeutic targets against HCC. However, there was no significant difference for 2-AG and CB2 expression between stage I–II and III, or between Grade high, middle, and low of HCC. Therefore, further studies should delineate whether administration of CB2 agonist/antagonist may pave the way for anti-HCC treatment.

The expression levels of major endocannabinoids, AEA and 2-AG, are modulated mainly through synthetic and metabolic enzymes. However, changes in endocannabinoids levels cannot be accurately explained only through the above enzymes. The aforementioned suggests that by inhibiting highly expressed metabolic enzymes, local endocannabinoid levels can be increased, which seems likely to have some effects on tumor cells through activating CB receptors. It was reported that the inhibitors of FAAH and MGL, the metabolic enzymes of AEA and 2-AG, showed anti-tumor effects in some types of malignancies (21), including colorectal cancer (9), non-small lung cancer (32)and prostate cancer (33). However, the precise role of endocannabinoids system in the occurrence and progression of HCC is still unclear. In the present research, of the 67 patients with HCC, only 5 patients who were HBV negative were included. The proportion of patients with hepatitis B positive reached 92.5%. Future studies including a sufficient sample of patients with HCC and hepatitis B negative should be conducted to provide the metabolic profiling data for HBV infection.

Cannabinoid receptor activation was shown to induce apoptosis via de novo ceramide synthesis in several types of cancer cells, including glioma (5) and colon cancer cells (34). Ceramides are a class of pro-apoptotic sphingolipids with important roles in the control of cancer cell fate. It has been reported that the levels of specific ceramides, such as C18:0 and C20:0, may be important in the inhibition of cell growth in human HNSCC (35). In the present study, notable decreases in C18:0, 20:0 and 24:0-ceramides were found in HCC tissues compared with non-tumor counterparts, which was in accordance with previously reported data (35). In accordance with these findings in the present study, the levels of C12:0, C16:0, C18:1 and C24:1-ceramides were increased in HCC tumors compared with adjacent normal tissues. The specific role of the changes in endogenous ceramide expression in HCC has not been fully elucidated, and further studies are required to determine the possible association between altered ceramide levels and HCC progression. Increasing ceramide levels is a potential strategy for the treatment of HCC, and the inhibition of SCD1 in HCC may be a viable option (10).

Acknowledgements

The authors would like to thank Dr Xuan Zhu (School of Pharmaceutical Sciences, Xiamen University) for their help in revising the manuscript.

Funding

The present study was supported by the National Natural Science Foundation of China (no. 81603145), the Fujian Health-Education Research Grant (no. WKJ2016-2-03), Fujian Provincial Natural Science Foundation (nos. 2015J01416 and 2017J01146), and the Xiamen Science and Technology Program Grant (no. 3502Z20154069).

Availability of data and materials

The datasets used and/or analyzed during the present study are available from the corresponding author on reasonable request.

Authors' contributions

JY and FQ conceived and designed experiments. JY and LL carried out the experiments. RZ analyzed data, prepared figures, and finished the complementary experiments. JY, FQ and RZ wrote the manuscript. YT, JY and FQ provided the clinical samples. All the authors have read and approved the final version of this manuscript.

Ethics approval and consent to participate

The present study was approved by The Ethics Committee of the Fifth Hospital of Xiamen (Fuzhou, China) following the clinical registration guidelines in China. All patients provided written informed consent for the investigation.

Patient consent for publication

All patients consented to the publication of this research.

Competing interests

The authors declare that they have no competing interests.

References

1 

Allemani C, Matsuda T, Di Carlo V, Harewood R, Matz M, Nikšić M, Bonaventure A, Valkov M, Johnson CJ, Estève J, et al: Global surveillance of trends in cancer survival 2000–14 (CONCORD-3): Analysis of individual records for 37 513 025 patients diagnosed with one of 18 cancers from 322 population-based registries in 71 countries. Lancet. 391:1023–1075. 2018. View Article : Google Scholar : PubMed/NCBI

2 

Strickaert A, Corbet C, Spinette SA, Craciun L, Dom G, Andry G, Larsimont D, Wattiez R, Dumont JE, Feron O and Maenhaut C: Reprogramming of energetic metabolism: Increased expression and roles of pyruvate carboxylase in papillary thyroid cancer. Thyroid. 2019.(Epub ahead of print). View Article : Google Scholar : PubMed/NCBI

3 

Zhou X, Yang X, Sun X, Xu X, Li X, Guo Y, Wang J, Li X, Yao L, Wang H and Shen L: Effect of PTEN loss on metabolic reprogramming in prostate cancer cells. Oncol Lett. 17:2856–2866. 2019.PubMed/NCBI

4 

Li X, Xu H, Lei T, Yang Y, Jing D, Dai S, Luo P and Xu Q: A pulsed electromagnetic field protects against glutamate-induced excitotoxicity by modulating the endocannabinoid system in HT22 cells. Front Neurosci. 11:422017. View Article : Google Scholar : PubMed/NCBI

5 

Dyall SC, Mandhair HK, Fincham REA, Kerr DM, Roche M and Molina-Holgado F: Distinctive effects of eicosapentaenoic and docosahexaenoic acids in regulating neural stem cell fate are mediated via endocannabinoid signalling pathways. Neuropharmacology. 107:387–395. 2016. View Article : Google Scholar : PubMed/NCBI

6 

Cinar R, Godlewski G, Liu J, Tam J, Jourdan T, Mukhopadhyay B, Harvey-White J and Kunos G: Hepatic cannabinoid-1 receptors mediate diet-induced insulin resistance by increasingde novosynthesis of long-chain ceramides. Hepatology. 59:143–153. 2014. View Article : Google Scholar : PubMed/NCBI

7 

Sean M. Emery AHL and David A: Gewirtz: Involvement of the endocannabinoid system in the development and treatment of breast cancer. Virginia commonwealth univ richmond; 2014

8 

Orellana-Serradell O, Poblete CE, Sanchez C, Castellón EA, Gallegos I, Huidobro C, Llanos MN and Contreras HR: Proapoptotic effect of endocannabinoids in prostate cancer cells. Oncol Rep. 33:1599–1608. 2015. View Article : Google Scholar : PubMed/NCBI

9 

Ligresti A, Bisogno T, Matias I, De Petrocellis L, Cascio MG, Cosenza V, D'argenio G, Scaglione G, Bifulco M, Sorrentini I and Di Marzo V: Possible endocannabinoid control of colorectal cancer growth. Gastroenterology. 125:677–687. 2003. View Article : Google Scholar : PubMed/NCBI

10 

Galve-Roperh I, Sánchez C, Cortés ML, Gómez del Pulgar T, Izquierdo M and Guzmán M: Anti-tumoral action of cannabinoids: Involvement of sustained ceramide accumulation and extracellular signal-regulated kinase activation. Nat Med. 6:313–319. 2000. View Article : Google Scholar : PubMed/NCBI

11 

Igal RA: Stearoyl CoA desaturase-1: New insights into a central regulator of cancer metabolism. Biochim Biophys Acta. 12:1865–1880. 2016. View Article : Google Scholar

12 

Chen L, Ren J, Yang L, Li Y, Fu J, Li Y, Tian Y, Qiu F, Liu Z and Qiu Y: Stearoyl-CoA desaturase-1 mediated cell apoptosis in colorectal cancer by promoting ceramide synthesis. Sci Rep. 6:196652016. View Article : Google Scholar : PubMed/NCBI

13 

Li X, Wenes M, Romero P, Huang SC, Fendt SM and Ho PC: Navigating metabolic pathways to enhance antitumour immunity and immunotherapy. Nat Rev Clin Oncol. 2019.(Epub ahead of print). View Article : Google Scholar

14 

Mittal S and El-Serag HB: Epidemiology of HCC: consider the population. J Clin Gastroenterol. 47:S2–S6. 2013. View Article : Google Scholar : PubMed/NCBI

15 

Livak KJ and Schmittgen TD: Analysis of relative gene expression data using real-time quantitative PCR and the 2(-Delta Delta C(T)) method. Methods. 25:402–408. 2001. View Article : Google Scholar : PubMed/NCBI

16 

Chen L, Chen H, Li Y, Li L, Qiu Y and Ren J: Endocannabinoid and ceramide levels are altered in patients with colorectal cancer. Oncol Rep. 34:447–454. 2015. View Article : Google Scholar : PubMed/NCBI

17 

Yang W, Lu Y, Xu Y, Xu L, Zheng W, Wu Y, Li L and Shen P: Estrogen represses hepatocellular carcinoma (HCC) growth via inhibiting alternative activation of tumor-associated macrophages (TAMs). J Biol Chem. 287:40140–40149. 2012. View Article : Google Scholar : PubMed/NCBI

18 

Zhou J, Sun HC, Wang Z, Cong WM, Wang JH, Zeng MS, Yang JM, Bie P, Liu LX, Wen TF, et al: Guidelines for diagnosis and treatment of primary liver cancer in China (2017 Edition). Liver Cancer. 7:235–260. 2018. View Article : Google Scholar : PubMed/NCBI

19 

Fu J, Gaetani S, Oveisi F, Lo Verme J, Serrano A, Rodríguez De Fonseca F, Rosengarth A, Luecke H, Di Giacomo B, Tarzia G and Piomelli D: Oleylethanolamide regulates feeding and body weight through activation of the nuclear receptor PPAR-alpha. Nature. 425:90–93. 2003. View Article : Google Scholar : PubMed/NCBI

20 

Bobrov MY, Shevchenko VP, Yudushkin IA, Rogov SI, Remov MN, Fomina-Ageeva EV, Gretskaya NM, Nagaev IY, Kuklev DV and Bezuglov VV: Hydrolysis of anandamide and eicosapentaenoic acid ethanolamide in mouse splenocytes. Biochemistry. 65:615–619. 2000.PubMed/NCBI

21 

Nomura DK, Long JZ, Niessen S, Hoover HS, Ng SW and Cravatt BF: Monoacylglycerol lipase regulates a fatty acid network that promotes cancer pathogenesis. Cell. 140:49–61. 2010. View Article : Google Scholar : PubMed/NCBI

22 

Morad SA and Cabot MC: Ceramide-orchestrated signalling in cancer cells. Nat Rev Cancer. 13:51–65. 2013. View Article : Google Scholar : PubMed/NCBI

23 

Matsui H, Yokoyama T, Sekiguchi K, Iijima D, Sunaga H, Maniwa M, Ueno M, Iso T, Arai M and Kurabayashi M: Stearoyl-CoA desaturase-1 (SCD1) augments saturated fatty acid-induced lipid accumulation and inhibits apoptosis in cardiac myocytes. PLoS One. 7:e332832012. View Article : Google Scholar : PubMed/NCBI

24 

Massi P, Valenti M, Vaccani A, Gasperi V, Perletti G, Marras E, Fezza F, Maccarrone M and Parolaro D: 5-Lipoxygenase and anandamide hydrolase (FAAH) mediate the antitumor activity of cannabidiol, a non-psychoactive cannabinoid. J Neurochem. 104:1091–1100. 2008. View Article : Google Scholar : PubMed/NCBI

25 

Zhou L, Ding L, Yin P, Lu X, Wang X, Niu J, Gao P and Xu G: Serum metabolic profiling study of hepatocellular carcinoma infected with hepatitis B or hepatitis C virus by using liquid chromatography-mass spectrometry. J Proteome Res. 11:5433–5442. 2012. View Article : Google Scholar : PubMed/NCBI

26 

Xu X, Liu Y, Huang S, Liu G, Xie C, Zhou J, Fan W, Li Q, Wang Q, Zhong D and Miao X: Overexpression of cannabinoid receptors CB1 and CB2 correlates with improved prognosis of patients with hepatocellular carcinoma. Cancer Genet Cytogenet. 171:31–38. 2006. View Article : Google Scholar : PubMed/NCBI

27 

Mukhopadhyay B, Schuebel K, Mukhopadhyay P, Cinar R, Godlewski G, Xiong K, Mackie K, Lizak M, Yuan Q, Goldman D and Kunos G: Cannabinoid receptor 1 promotes hepatocellular carcinoma initiation and progression through multiple mechanisms. Hepatology. 61:1615–1626. 2015. View Article : Google Scholar : PubMed/NCBI

28 

Louvet A, Teixeira-Clerc F, Chobert MN, Deveaux V, Pavoine C, Zimmer A, Pecker F, Mallat A and Lotersztajn S: Cannabinoid CB2 receptors protect against alcoholic liver disease by regulating Kupffer cell polarization in mice. Hepatology. 54:1217–1226. 2011. View Article : Google Scholar : PubMed/NCBI

29 

Teixeira-Clerc F, Belot MP, Manin S, Deveaux V, Cadoudal T, Chobert MN, Louvet A, Zimmer A, Tordjmann T, Mallat A and Lotersztajn S: Beneficial paracrine effects of cannabinoid receptor 2 on liver injury and regeneration. Hepatology. 52:1046–1059. 2010. View Article : Google Scholar : PubMed/NCBI

30 

Blázquez C, Casanova ML, Planas A, Gómez Del Pulgar T, Villanueva C, Fernández-Aceñero MJ, Aragonés J, Huffman JW, Jorcano JL and Guzmán M: Inhibition of tumor angiogenesis by cannabinoids. FASEB J. 17:529–531. 2003. View Article : Google Scholar : PubMed/NCBI

31 

Hermanson DJ and Marnett LJ: Cannabinoids, endocannabinoids, and cancer. Cancer Metast Rev. 30:599–612. 2011. View Article : Google Scholar

32 

Ravi J, Sneh A, Shilo K, Nasser MW, Nasser MW and Ganju RK: FAAH inhibition enhances anandamide mediated anti-tumorigenic effects in non-small cell lung cancer by downregulating the EGF/EGFR pathway. Oncotarget. 5:2475–2486. 2014. View Article : Google Scholar : PubMed/NCBI

33 

Nomura DK, Lombardi DP, Chang JW, Niessen S, Ward AM, Long JZ, Hoover HH and Cravatt BF: Monoacylglycerol lipase exerts dual control over endocannabinoid and fatty acid pathways to support prostate cancer. Chem Biol. 18:846–856. 2011. View Article : Google Scholar : PubMed/NCBI

34 

Cianchi F, Papucci L, Schiavone N, Lulli M, Magnelli L, Vinci MC, Messerini L, Manera C, Ronconi E, Romagnani P, et al: Cannabinoid receptor activation induces apoptosis through tumor necrosis factor α–mediated ceramide de novo synthesis in colon cancer cells. Clin Cancer Res. 14:7691–7700. 2008. View Article : Google Scholar : PubMed/NCBI

35 

Karahatay S, Thomas K, Koybasi S, Senkal CE, Elojeimy S, Liu X, Bielawski J, Day TA, Gillespie MB, Sinha D, et al: Clinical relevance of ceramide metabolism in the pathogenesis of human head and neck squamous cell carcinoma (HNSCC): Attenuation of C(18)-ceramide in HNSCC tumors correlates with lymphovascular invasion and nodal metastasis. Cancer Lett. 256:101–111. 2007. View Article : Google Scholar : PubMed/NCBI

36 

Befeler AS and Di Bisceglie AM: Hepatocellular carcinoma: Diagnosis and treatment. Gastroenterology. 122:1609–1619. 2002. View Article : Google Scholar : PubMed/NCBI

Related Articles

  • Abstract
  • View
  • Download
  • Twitter
Copy and paste a formatted citation
Spandidos Publications style
Yang J, Tian Y, Zheng R, Li L and Qiu F: Endocannabinoid system and the expression of endogenous ceramides in human hepatocellular carcinoma. Oncol Lett 18: 1530-1538, 2019.
APA
Yang, J., Tian, Y., Zheng, R., Li, L., & Qiu, F. (2019). Endocannabinoid system and the expression of endogenous ceramides in human hepatocellular carcinoma. Oncology Letters, 18, 1530-1538. https://doi.org/10.3892/ol.2019.10399
MLA
Yang, J., Tian, Y., Zheng, R., Li, L., Qiu, F."Endocannabinoid system and the expression of endogenous ceramides in human hepatocellular carcinoma". Oncology Letters 18.2 (2019): 1530-1538.
Chicago
Yang, J., Tian, Y., Zheng, R., Li, L., Qiu, F."Endocannabinoid system and the expression of endogenous ceramides in human hepatocellular carcinoma". Oncology Letters 18, no. 2 (2019): 1530-1538. https://doi.org/10.3892/ol.2019.10399
Copy and paste a formatted citation
x
Spandidos Publications style
Yang J, Tian Y, Zheng R, Li L and Qiu F: Endocannabinoid system and the expression of endogenous ceramides in human hepatocellular carcinoma. Oncol Lett 18: 1530-1538, 2019.
APA
Yang, J., Tian, Y., Zheng, R., Li, L., & Qiu, F. (2019). Endocannabinoid system and the expression of endogenous ceramides in human hepatocellular carcinoma. Oncology Letters, 18, 1530-1538. https://doi.org/10.3892/ol.2019.10399
MLA
Yang, J., Tian, Y., Zheng, R., Li, L., Qiu, F."Endocannabinoid system and the expression of endogenous ceramides in human hepatocellular carcinoma". Oncology Letters 18.2 (2019): 1530-1538.
Chicago
Yang, J., Tian, Y., Zheng, R., Li, L., Qiu, F."Endocannabinoid system and the expression of endogenous ceramides in human hepatocellular carcinoma". Oncology Letters 18, no. 2 (2019): 1530-1538. https://doi.org/10.3892/ol.2019.10399
Follow us
  • Twitter
  • LinkedIn
  • Facebook
About
  • Spandidos Publications
  • Careers
  • Cookie Policy
  • Privacy Policy
How can we help?
  • Help
  • Live Chat
  • Contact
  • Email to our Support Team