Spandidos Publications Logo
  • About
    • About Spandidos
    • Aims and Scopes
    • Abstracting and Indexing
    • Editorial Policies
    • Reprints and Permissions
    • Job Opportunities
    • Terms and Conditions
    • Contact
  • Journals
    • All Journals
    • Oncology Letters
      • Oncology Letters
      • Information for Authors
      • Editorial Policies
      • Editorial Board
      • Aims and Scope
      • Abstracting and Indexing
      • Bibliographic Information
      • Archive
    • International Journal of Oncology
      • International Journal of Oncology
      • Information for Authors
      • Editorial Policies
      • Editorial Board
      • Aims and Scope
      • Abstracting and Indexing
      • Bibliographic Information
      • Archive
    • Molecular and Clinical Oncology
      • Molecular and Clinical Oncology
      • Information for Authors
      • Editorial Policies
      • Editorial Board
      • Aims and Scope
      • Abstracting and Indexing
      • Bibliographic Information
      • Archive
    • Experimental and Therapeutic Medicine
      • Experimental and Therapeutic Medicine
      • Information for Authors
      • Editorial Policies
      • Editorial Board
      • Aims and Scope
      • Abstracting and Indexing
      • Bibliographic Information
      • Archive
    • International Journal of Molecular Medicine
      • International Journal of Molecular Medicine
      • Information for Authors
      • Editorial Policies
      • Editorial Board
      • Aims and Scope
      • Abstracting and Indexing
      • Bibliographic Information
      • Archive
    • Biomedical Reports
      • Biomedical Reports
      • Information for Authors
      • Editorial Policies
      • Editorial Board
      • Aims and Scope
      • Abstracting and Indexing
      • Bibliographic Information
      • Archive
    • Oncology Reports
      • Oncology Reports
      • Information for Authors
      • Editorial Policies
      • Editorial Board
      • Aims and Scope
      • Abstracting and Indexing
      • Bibliographic Information
      • Archive
    • Molecular Medicine Reports
      • Molecular Medicine Reports
      • Information for Authors
      • Editorial Policies
      • Editorial Board
      • Aims and Scope
      • Abstracting and Indexing
      • Bibliographic Information
      • Archive
    • World Academy of Sciences Journal
      • World Academy of Sciences Journal
      • Information for Authors
      • Editorial Policies
      • Editorial Board
      • Aims and Scope
      • Abstracting and Indexing
      • Bibliographic Information
      • Archive
    • International Journal of Functional Nutrition
      • International Journal of Functional Nutrition
      • Information for Authors
      • Editorial Policies
      • Editorial Board
      • Aims and Scope
      • Abstracting and Indexing
      • Bibliographic Information
      • Archive
    • International Journal of Epigenetics
      • International Journal of Epigenetics
      • Information for Authors
      • Editorial Policies
      • Editorial Board
      • Aims and Scope
      • Abstracting and Indexing
      • Bibliographic Information
      • Archive
    • Medicine International
      • Medicine International
      • Information for Authors
      • Editorial Policies
      • Editorial Board
      • Aims and Scope
      • Abstracting and Indexing
      • Bibliographic Information
      • Archive
  • Articles
  • Information
    • Information for Authors
    • Information for Reviewers
    • Information for Librarians
    • Information for Advertisers
    • Conferences
  • Language Editing
Spandidos Publications Logo
  • About
    • About Spandidos
    • Aims and Scopes
    • Abstracting and Indexing
    • Editorial Policies
    • Reprints and Permissions
    • Job Opportunities
    • Terms and Conditions
    • Contact
  • Journals
    • All Journals
    • Biomedical Reports
      • Information for Authors
      • Editorial Policies
      • Editorial Board
      • Aims and Scope
      • Abstracting and Indexing
      • Bibliographic Information
      • Archive
    • Experimental and Therapeutic Medicine
      • Information for Authors
      • Editorial Policies
      • Editorial Board
      • Aims and Scope
      • Abstracting and Indexing
      • Bibliographic Information
      • Archive
    • International Journal of Epigenetics
      • Information for Authors
      • Editorial Policies
      • Editorial Board
      • Aims and Scope
      • Abstracting and Indexing
      • Bibliographic Information
      • Archive
    • International Journal of Functional Nutrition
      • Information for Authors
      • Editorial Policies
      • Editorial Board
      • Aims and Scope
      • Abstracting and Indexing
      • Bibliographic Information
      • Archive
    • International Journal of Molecular Medicine
      • Information for Authors
      • Editorial Policies
      • Editorial Board
      • Aims and Scope
      • Abstracting and Indexing
      • Bibliographic Information
      • Archive
    • International Journal of Oncology
      • Information for Authors
      • Editorial Policies
      • Editorial Board
      • Aims and Scope
      • Abstracting and Indexing
      • Bibliographic Information
      • Archive
    • Medicine International
      • Information for Authors
      • Editorial Policies
      • Editorial Board
      • Aims and Scope
      • Abstracting and Indexing
      • Bibliographic Information
      • Archive
    • Molecular and Clinical Oncology
      • Information for Authors
      • Editorial Policies
      • Editorial Board
      • Aims and Scope
      • Abstracting and Indexing
      • Bibliographic Information
      • Archive
    • Molecular Medicine Reports
      • Information for Authors
      • Editorial Policies
      • Editorial Board
      • Aims and Scope
      • Abstracting and Indexing
      • Bibliographic Information
      • Archive
    • Oncology Letters
      • Information for Authors
      • Editorial Policies
      • Editorial Board
      • Aims and Scope
      • Abstracting and Indexing
      • Bibliographic Information
      • Archive
    • Oncology Reports
      • Information for Authors
      • Editorial Policies
      • Editorial Board
      • Aims and Scope
      • Abstracting and Indexing
      • Bibliographic Information
      • Archive
    • World Academy of Sciences Journal
      • Information for Authors
      • Editorial Policies
      • Editorial Board
      • Aims and Scope
      • Abstracting and Indexing
      • Bibliographic Information
      • Archive
  • Articles
  • Information
    • For Authors
    • For Reviewers
    • For Librarians
    • For Advertisers
    • Conferences
  • Language Editing
Login Register Submit
  • This site uses cookies
  • You can change your cookie settings at any time by following the instructions in our Cookie Policy. To find out more, you may read our Privacy Policy.

    I agree
Search articles by DOI, keyword, author or affiliation
Search
Advanced Search
presentation
Oncology Letters
Join Editorial Board Propose a Special Issue
Print ISSN: 1792-1074 Online ISSN: 1792-1082
Journal Cover
March-2023 Volume 25 Issue 3

Full Size Image

Sign up for eToc alerts
Recommend to Library

Journals

International Journal of Molecular Medicine

International Journal of Molecular Medicine

International Journal of Molecular Medicine is an international journal devoted to molecular mechanisms of human disease.

International Journal of Oncology

International Journal of Oncology

International Journal of Oncology is an international journal devoted to oncology research and cancer treatment.

Molecular Medicine Reports

Molecular Medicine Reports

Covers molecular medicine topics such as pharmacology, pathology, genetics, neuroscience, infectious diseases, molecular cardiology, and molecular surgery.

Oncology Reports

Oncology Reports

Oncology Reports is an international journal devoted to fundamental and applied research in Oncology.

Experimental and Therapeutic Medicine

Experimental and Therapeutic Medicine

Experimental and Therapeutic Medicine is an international journal devoted to laboratory and clinical medicine.

Oncology Letters

Oncology Letters

Oncology Letters is an international journal devoted to Experimental and Clinical Oncology.

Biomedical Reports

Biomedical Reports

Explores a wide range of biological and medical fields, including pharmacology, genetics, microbiology, neuroscience, and molecular cardiology.

Molecular and Clinical Oncology

Molecular and Clinical Oncology

International journal addressing all aspects of oncology research, from tumorigenesis and oncogenes to chemotherapy and metastasis.

World Academy of Sciences Journal

World Academy of Sciences Journal

Multidisciplinary open-access journal spanning biochemistry, genetics, neuroscience, environmental health, and synthetic biology.

International Journal of Functional Nutrition

International Journal of Functional Nutrition

Open-access journal combining biochemistry, pharmacology, immunology, and genetics to advance health through functional nutrition.

International Journal of Epigenetics

International Journal of Epigenetics

Publishes open-access research on using epigenetics to advance understanding and treatment of human disease.

Medicine International

Medicine International

An International Open Access Journal Devoted to General Medicine.

Journal Cover
March-2023 Volume 25 Issue 3

Full Size Image

Sign up for eToc alerts
Recommend to Library

  • Article
  • Citations
    • Cite This Article
    • Download Citation
    • Create Citation Alert
    • Remove Citation Alert
    • Cited By
  • Similar Articles
    • Related Articles (in Spandidos Publications)
    • Similar Articles (Google Scholar)
    • Similar Articles (PubMed)
  • Download PDF
  • Download XML
  • View XML

  • Supplementary Files
    • Supplementary_Data1.pdf
    • Supplementary_Data2.mov
    • Supplementary_Data3.mov
Case Report Open Access

Vaginal yolk sac tumors in infants and children: A case report and literature review

  • Authors:
    • Zhongli Ma
    • Canyu Li
  • View Affiliations / Copyright

    Affiliations: Department of Gynecology, The Third Affiliated Hospital of Zhengzhou University, Zhengzhou, Henan 450052, P.R. China
    Copyright: © Ma et al. This is an open access article distributed under the terms of Creative Commons Attribution License.
  • Article Number: 120
    |
    Published online on: February 8, 2023
       https://doi.org/10.3892/ol.2023.13706
  • Expand metrics +
Metrics: Total Views: 0 (Spandidos Publications: | PMC Statistics: )
Metrics: Total PDF Downloads: 0 (Spandidos Publications: | PMC Statistics: )
Cited By (CrossRef): 0 citations Loading Articles...

This article is mentioned in:



Abstract

A vaginal yolk sac tumor (YST) is a rare malignant germ cell tumor for infants and children, and it has been >50 years since the first case was reported. The treatment strategy has changed markedly in the past 50 years, from radical surgical treatment to conservative surgery combined with chemotherapy, and then to combined chemotherapy alone. The present study reports the case of a primary vaginal YST in a 13‑month‑old girl that was successfully treated by tumor resection combined with chemotherapy. The clinical symptoms, imaging features and treatment characteristics are described in detail, as well as the postoperative treatment. There was no local recurrence or metastasis for the 2 years of follow‑up to date. A literature review was also conducted to investigate the clinicopathological features, treatment and prognosis of this tumor. Overall, surgery combined with bleomycin, etoposide and carboplatin combination chemotherapy can be an effective option for vaginal YST.

Introduction

A yolk sac tumor (YST), also known as an endodermal sinus tumor, is a rare and highly malignant germ cell tumor (MGCT) (1), which usually occurs in children. Most of the tumors originate from the gonads (testis and ovaries), with only 20% originating from other locations, including the mediastinum, vagina, cervix, vulva, pelvic cavity, liver, prostate and diaphragm, among others (2–4). In post-pubertal women, the most common location of extragonadal YSTs (EGYST) is the mediastinum (5). Primary pelvic EGYSTs are extremely rare in post-pubertal women (6). A YST was first described in rats by Teilum in 1959 (7). YST is the most observed histology for vaginal GCTs. Primary YSTs of the vagina are very rare and only constitute 3–8% of all GCTs (1,8); they have been reported to occur in young girls, typically under the age of 3 years (1,8), with a presentation of painless vagina bleeding. Assays of serum α-fetoprotein (AFP) can potentially aid in the diagnosis, monitor the effectiveness of treatment and detect recurrences (9). Ultrasonography, computed tomography (CT) and magnetic resonance imaging (MRI) are common inspection methods. The final diagnosis is based on pathological results (9,10). Over time, the treatment strategy has changed from radical surgical treatment to conservative surgery with adjuvant chemotherapy (11,12). Due to the rarity of the tumors, most of the literature regarding vaginal YSTs consists of case reports, and there is no published standardized clinical practice guideline for vaginal YSTs in children. The reported cases each provide a limited view of the diagnosis and treatment of the tumor. The present study reports the case of a 13-month-old girl with a vaginal YST that was treated with minimally invasive surgery and adjuvant chemotherapy, and reviews the relevant literature to outline the clinical management of diagnosis, treatment and survival.

Case report

A 13-month-old girl was referred to The Third Affiliated Hospital of Zhengzhou University (Zhengzhou, China) due to vaginal bleeding that had persisted for >20 days. The patient was born at full term with a birth weight of 3,700 g, without gestational or neonatal complications. The recorded Apgar score was 10 for both 1 and 5 min after delivery. On presentation, the patient was 80 cm tall (84% for age) and weighed 13 kg (99% for age), without a history of weight loss. The familial history was unremarkable. On physical examination, the patient's abdomen was soft and there was no hepatosplenomegaly. There were no obvious abnormalities in the appearance of the vulva. A small amount of blood was found in the vaginal orifices, and a small amount of bloody discharge and a partial tumor were visible from the vaginal opening. No more obvious abnormalities were discovered in the results. The blood routine examination, coagulation function and biochemical indicators were normal. The serum carcinoma embryonic antigen (CEA) level [chemiluminescence immunoassay; CEA assay kit; cat. no. 00937450(110761); Siemens Centaur xp] was 0.17 µg/l (normal range, 0–5 µg/l) and the carbohydrate antigen 125 (CA125) level [chemiluminescence immunoassay; CA125 assay kit; no. 01678114(128533); Siemens Centaur xp] (Siemens Healthineers) was 11.7 U/ml (normal range, 0–35 U/ml). The serum AFP level (chemiluminescence immunoassay; AFP determination kit; cat. no. 03305838(110764); Siemens Centaur xp; Siemens Healthineers) reached a markedly high value of 2,695 IU/ml (normal range, 0–6.723 IU/ml). Ultrasonography results showed a solid tumor with a diameter of ~3 cm and with high vascularity in the vagina. The vascularization of the tumor on color Doppler displayed abundant blood flow, scoring 3 according to the International Ovarian Tumor Analysis (IOTA) color score (13). The results of plain and contrast-enhanced MRI showed a heterogeneously enhanced tumor (28.8×16.5 mm) in the vagina, without vulva or bladder invasion (Fig. 1). There were no ascites in the peritoneal and pelvic cavities. No abnormality was observed in other parts of the pelvic and abdominal cavities. Imaging findings also showed no distant metastasis. Under general anesthesia, hysteroscopy results showed a tumor with a wide pedicle on the left side of the vagina (Video S1). Transvaginal resections of the tumor and 0.5 cm of the vaginal mucosa around the tumor were performed with no local tissue adhesion and little blood loss. During the operation, it was confirmed that the tumor was confined to the left vaginal mucosa and did not invade the cervix or rectum. The tumor had a dark red surface and was friable. The cross-section of the excised tumor was grayish-white and grayish-yellow (Fig. 2). Sections (4-µm thick) from 10% formalin-fixed (12 h at room temperature), paraffin-embedded blocks were cut for routine hematoxylin and eosin staining. The pathologist used a light microscope for observation (magnification, ×40 or ×15). Histopathological examination results showed numerous intracellular and extracellular periodic acid-Schiff-positive diastases and papillary elements with a Schiller-Duval body cellular structure (Fig. 3). The cells had large, vesicular nuclei and prominent nucleoli. The results of immunohistochemical staining (14) showed positive results for AFP (Fig. 4A), cytokeratin (CK; Fig. 4B), glypican-3 (Fig. S1), β-human chorionic gonadotropin (β-hCG; Fig. S2) and Sal-like protein 4 (SALL-4; Fig. S3), and negative results for of CD-30 (Fig. 4C) and organic cation/carnitine transporter 4 (OCT-4; Fig. 4D). The differential diagnosis included clear cell carcinoma, rhabdomyosarcoma and dysgerminoma. Based on the pathological and immunohistochemical findings, these diagnoses were excluded. The vaginal wall margin was negative. Preoperative imaging assessments showed no abnormalities in other sites, so the tumor was considered to originate in the vagina. As a result, the patient was diagnosed with a primary vaginal YST.

Figure 1.

MRI images of the tumor. (A) Coronal section, fat-saturated T1-weighted imaging. (B) Coronal section, fat-saturated T2-weighted imaging. (C) Median sagittal section, T2-weighted imaging. The contrast-enhanced MRI scanning results showed a heterogeneous mass (white arrows) occupying the vagina. MRI, magnetic resonance imaging.

Figure 2.

Images of the tumor during the surgery. (A) A grayish-red mass was present in the orificium vagina (white arrow). (B) The location of friable tumor on the left posterior wall (white arrow) of the vagina. (C) Grayish-white and grayish-yellow cross-section of the excised tumor.

Figure 3.

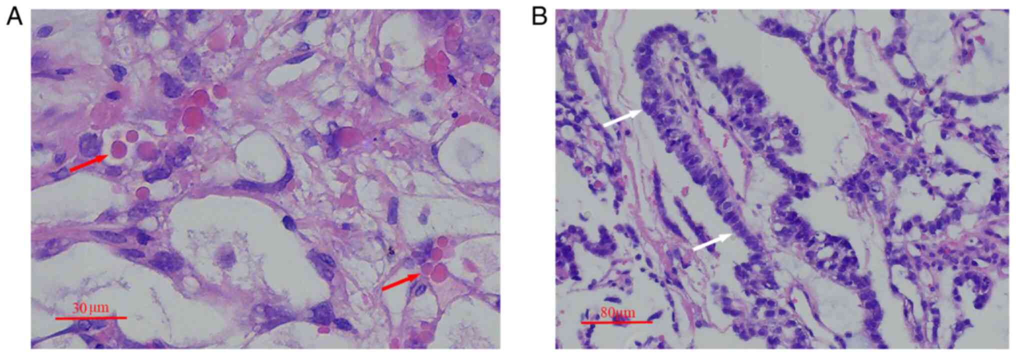
H&E staining of the tumor. (A) Numerous intracellular and extracellular periodic acid-Schiff-positive diastase (red arrows) (magnification, ×40; scale bar, 30 µm; H&E staining). (B) Papillary elements with a Schiller-Duval body (white arrows) (magnification, ×15; scale bar, 80 µm; H&E staining).

Figure 4.

Immunohistochemistry of the vaginal yolk sac tumor. Diffuse positive staining of (A) α-fetoprotein and (B) cytokeratin, and negative staining of (C) CD-30 and (D) organic cation/carnitine transporter 4 (magnification, ×10; scale bar, 100 µm; immunohistochemical staining).

Four cycles of vincristine (1 mg/m2 from days 1 to 5), cyclophosphamide (60 mg/m2 from days 1 to 5) and actinomycin D (0.2 mg/m2 from days 1 to 5) were administered every 4 weeks from day 13 after surgery. On day 12 after surgery, the serum AFP level dropped to 106.5 IU/ml before the first cycle of chemotherapy, and then decreased to 2.70 IU/ml (within the normal range) after the second cycle of chemotherapy. The serum AFP level remained normal during the third and fourth cycles of chemotherapy. Pelvic ultrasound examination and a second-look hysteroscopic examination were performed and no positive results were found 6 months after the first surgery (Video S2). Pelvic CT and MRI scans were not suggested, as the results of the CT examination performed recently in a local hospital were negative. The surgical scar was almost invisible, with little influence on sexual and reproductive functions. The serum AFP level increased to 22.4 IU/ml within nearly 1 year of the surgery. The imaging result was negative, and no abnormal vaginal bleeding was found. Due to the COVID-19 situation in the area where the patient lived, the patient received chemotherapy treatment 4 months after the blood AFP level was found to be elevated. Combined chemotherapy was administered for the second time using a belomycin, etoposide and carboplatin (BEP) regimen, which consisted of 80 mg/m2 etoposide from days 1 to 3, 200 mg/m2 carboplatin on day 2 and 8 mg/m2 bleomycin on day 3, every 4 weeks for 4 cycles. The serum AFP level decreased to 2.04 IU/ml after the second cycle of chemotherapy (Fig. 5). The side effects of the chemotherapy were tolerable. To date, the patient has been followed up for 2 years, and the AFP is at a normal level, without any sign of recurrence. A perfect score was recorded for the Activities of Daily Living scale (15). Regular medical check-ups, including abdominal and rectal examinations, serum AFP analysis, and ultrasonography of the pelvis and abdomen, were performed as follow-up. Future follow-up examinations will occur once every 1 month for the first year, once every 2 months for the second year, once every 3 months for the third and fourth years, and then once every 6 months for the fifth year and afterwards. A complete blood analysis, and renal and liver function tests will be performed every year (16).

Figure 5.

Trend in AFP level and treatment timeline. Day 0 (S1) is the day of surgery. S2 is the day of the second hysteroscopic examination. VAC and PEB are the chemotherapeutic regimens. AFP, α-fetoprotein; VAC, vincristine, cyclophosphamide and actinomycin D; PEB, carboplatin, etoposide and bleomycin.

Literature review

In November 2022, the PubMed (https://pubmed.ncbi.nlm.nih.gov/), Medline (https://www.medline.com/) and Embase (https://www.embase.com/) databases were searched for relevant studies published since January 2000. The keywords ‘vaginal’ and ‘yolk sac tumor’ or ‘endodermal sinus tumor’ were used in the search. Studies were included if they met the following criteria: i) Referring to vaginal YST or endodermal sinus tumor; ii) concerning patients with a diagnosis of histologically confirmed YST or endodermal sinus tumor; iii) containing relevant information on clinical course, treatments, outcomes and follow-up; iv) written in English; v) containing one or multiple clinical case reports or letters; and vi) patients were <12 years old. The exclusion criteria were as follows: i) An origin outside of the vagina and extension or metastases to the vagina; ii) mixed tumors; iii) incomplete data on diagnosis, treatment or follow-up; and iv) repeated case reports (Fig. 6). Reviewers resolved all discrepancies by discussion during the study identification process. All included cases were reviewed to consider the age at the time of diagnosis, symptoms, tumor size, serum AFP level, treatment and follow-up. Table I summarizes 12 typical and representative studies on vaginal YSTs, and describes the therapeutic strategies used in the literature.

Figure 6.

Methodology of the present study.

Table I.

Review of primary vaginal yolk sac tumors in 12 representative cases from the literature.

Table I.

Review of primary vaginal yolk sac tumors in 12 representative cases from the literature.

First authorYear of publicationReported cases, nAge at diagnosis, monthsAFP, ng/mlTumor size (max diameter), cmBiopsySurgeryBrachytherapyChemotherapy (no. of cycles)Follow-up result (months)(Refs.)
Neels et al2004110393246YesNoNoPEI (5)CR (36)(43)
Kumar et al200511293314NoSvNoPEB (5)CR (12)(30)
Lacy et al20061723644.7YesNoNoPEB (5)CR (21)(41)
Terenziani et al2007Case 1/26/243006/1043403.7/10Yes/YesNoNoPEB (6)/PEB (4)CR (168)/CR (35)(42)
Watanabe et al2010Case 1/212/4634247/4.45/2Yes/NoSel/StrNoPEB (3) + JEB (3)/JEB (4)CR (19)/CR (14)(24)
Tang et al2014Case 11381275NoSpvNoPEB (8)CR (27)(47)
Case 21222552No (DT)NoNoBIP (1) + IP (4)CR (57)
Case 37236504.5YesNoNoPEB (6) + VIP (6)AWR (27)
Case 47205924No (DT)NoNoJEB + A (6) + PEB (6)PR (29)
Rajagopal et al2015Cases 1/2/617/18/2380892/2139/6.7/3.3/4.8YesNoNoPEB (6/4/12)CR (60)/CR(11)
>10000a (156)/CR (300)
Case 32387680a7YesNoNoPEB (6) + JEB (6) + VAC (2)CR (240)
Case 41610580a3YesNoNoPVB (8) + PEB (3) + VAC (4)Lost to follow-up (17)
Case 532180a3YesStrYesPEB (10) + JEB (7) + VAC (2)CR (288)
Bhatt et al20151655653.7NoStrNoPEB (6)CR (24)(9)
Lightfoot et al201811413863.6YesNoNoPEB (4)CR (12)(18)
Mayhew et al2021111116365YesNoNoPEB (4)CR (12)(46)
Meng et al20221414b6002c3.9cYesNoNoPEB (6.4c)CR (98.2c)(19)
(1 case DOD)
521b12605c3.7cNoStrNoPEB (6.4c)CR (107c)
(1 case local relapse after 6 months)
11321003.4YesNoNoPV (4) + PVB (8)CR (95)
Yin et al20221311b78403.6cYesNoNoPEB (4.5)CR (94c)(12)
(1 case DOD)
Cases 1/2/820/44/1015100/646/87543.7cYesNoNoPEB (3.7c) + PEV (2.3c) + VAC (1)CR (281)/CR (278)/CR (96)
Cases 13/209/3219766/331476/9YesNoNoPEB (5) + PE (1)/CEB (6) + PEV (2) + PEB (2)CR (69)/CR (10)
Cases 18/19/2136/15/10 54000/1000/69777/5/4NoStvrNoPEB (10)/NVEB (1) + PEB (2)/VPEB(2) + CEB (1) + PEB (2)CR (122)/CR (62)/CR (51)

a IU/ml;

b mean;

c average; C, chemotherapy; AFP, α-fetoprotein; Stvr, transabdominal vaginal lesion resection; Sv, vaginohysterectomy; B, brachytherapy; Str, tumor resection; Spv, partial vaginectomy; Sel, exploratory laparotomy; DT, discharged tumor fragment; CR, complete remission; PR, partial response; AWR, alive with relapse; DOD, died of disease; PEB, cisplatin, etoposide and bleomycin; PEV, cisplatin, etoposide and vincristine; VAC, vincristine, dactinomycin and cyclophosphamide; PE, cisplatin and etoposide; NVEB, nedaplatin, vindesine, etoposide and bleomycin; CEB, carboplatin, etoposide and bleomycin; VPEB, vincristine, cisplatin, etoposide and bleomycin; VI, vincristine, irinotecan; IE, ifosfamide, etoposide; VDC, vincristine, adriamycin, cyclophosphamide; PEI, cisplatin, etoposide and ifosfamide; JEB+A, carboplatin, etoposide, bleomycin and tetrahydropyranyl Adriamycin.

Discussion

MGCTs account for 3% of all childhood malignant tumors (17). Vaginal MGCTs can cause vaginal bleeding. YSTs originating in the vagina account for 3–8% of all reported GCT cases, and patients in most GCT cases are under the age of 3 years (1,8). Rhabdomyosarcoma (RMS) is considered the most common pathological type of vaginal tumor in prepubertal females, followed by YST (18). However, Meng et al (19) found that YST may be the most common pathological type of vaginal tumor in Chinese children, followed by RMS. Vaginal YST should be considered for a young girl with vaginal bleeding. Any vaginal bleeding in children >10 days should be considered abnormal, and further investigation is necessary to eliminate vaginal malignant tumors in prepubertal females (20).

The clinical presentation of vaginal YST includes vaginal bleeding, blood-tinged vaginal discharge or a friable mass. A rectal examination helps to assess the extent of the tumor and rule out the possibility of invasion. Ultrasonography is usually used as the first choice for diagnosis and follow-up. CT and MRI are non-invasive methods for estimating the primary site, extravaginal invasion and possible distant metastasis (10,21). According to previous studies, vaginal YST is uniformly isointense on T1-weighted imaging (T1WI), heterogeneously hyperintense on T2WI and heterogeneously enhanced after administrating contrast agents, which is different from vaginal RMS. Diffusion-weighted MRI may also be useful for differentiating vaginal YST and RMS (10). Serum AFP is a sensitive and reliable YST marker and plays an important role in evaluating the treatment efficacy, remission status or disease progression (22). It is useful to examine the lectin affinity fractionation of AFP, which can improve the specificity and sensitivity of the final diagnosis (23). However, not all vaginal YSTs are AFP-positive (24). A biopsy or complete pathological examination of the tumor and an elevated serum AFP level confirm the final diagnosis (18). Pathological examination typically shows a loose reticular pattern of cells. Papillary structures with a vascular core lined by a single layer of cells (Schiller-Duval bodies) may be seen in yolk sac tumors from any site and are pathognomonic when present (17). Further histological patterns have been proposed by some studies (8,25), including festoon, reticular, solid and polyvesicular. Most tumors exhibit more than one of these patterns. Immunohistochemically, CK AE1/AE3, CD117, AFP, glypican-3, SALL-4, OCT-4, CD30 and β-hCG are usually assessed to provide an accurate diagnosis. YSTs are characterized by the positive expression of AFP (variable, focal), glypican-3 (patchy), CK AE1/AE3, SALL4 and LIN28, and the lack of expression of OCT-4, CD-30 and phospholipase A-2-activating protein, and have variability in the expression of CK7, CK20 and β-hCG (2).

Due to the rarity of such tumors, there are no clinical practice guidelines, expert consensus or standard treatment principles or protocols for treating vaginal YSTs. Before 1965, radical surgery and radiotherapy were the main methods to treat vaginal YSTs (26). Radical surgery guaranteed complete tumor removal, but the prognosis was very poor with a survival rate of 56.3% (27). Meanwhile, the sexual and reproductive functions of patients were severely damaged, and even the functions of the bladder and rectum were adversely affected (28–30). Therefore, treatment effects on sexual and reproductive functions should be considered in the long-term treatment process, especially when deciding the scope of surgical resection.

Improvements to surgery and the application of adjuvant chemotherapy have since allowed young patients to receive relatively conservative surgical regimens that can preserve their reproductive and sexual functions (31,32). Moreover, diversified treatment options contribute to a higher cure rate (32). Numerous published reports on a combination of chemotherapy and less invasive surgery have confirmed the usefulness of this combined method (24,33,34), including the report by Mauz-Korholz et al (35) about nationwide multicenter clinical trials in Germany. Therefore, it is necessary and valuable to perform early surgical resection of vaginal YSTs for patients, without tumor residue or organ invasion or metastasis. Complete resection of the tumor can provide a complete tissue specimen for pathological examination to rule out mixed germ cell tumors, which is critical to treatment plans. However, this regimen should still be carefully evaluated, as there are risks and complications associated with any type of surgery. Furthermore, it is not clear whether the best time to operate is before or after chemotherapy. After reviewing treatment options published over the past 20 years, it was found that conservative treatment is showing a growing trend (2,11,18,19,36,37). A number of studies tended to adopt a biopsy combined with chemotherapy or chemotherapy combined with conservative surgery (38,39). Local tumor resection followed by chemotherapy can also be an effective option (9,39,40).

For infants and young children with vaginal YSTs, chemotherapy alone can also eliminate tumor tissue and restore serum AFP to a normal level according to some reports (9,18,19,36,41,42), which may avoid damaging vaginal or pelvic structures. Neels et al (43) suggested that vaginal YST with distant metastases and good response to chemotherapy could be cured with intensive chemotherapy without surgery after their study. By analyzing the reported cases, Bhatt et al (9) found that the efficacy of platinum chemotherapy alone was equivalent to that of surgery combined with platinum chemotherapy, and the recurrence rates of the two methods were 14 and 13%, respectively. Cisplatin-based multiagent chemotherapy has been playing an important role in improving outcomes in children with malignant GCTs since the 1970s (26). The most frequently used chemotherapeutic drugs nowadays include etoposide, cisplatin, cyclophosphamide and bleomycin. Despite their effectiveness for inhibiting tumor growth, they have some significant and long-term toxic effects, such as hearing impairment, secondary malignancy, pulmonary fibrosis and infertility in and after the whole course of treatment. The longest period of follow-up for a patient receiving chemotherapy was 25 years, and the patient had two spontaneous vaginal deliveries (11). However, it is hard to fully assess the long-term consequences of these toxic effects, as such a case is still in the minority. The PEB chemotherapy regimen is currently considered to be the most effective regimen with minimal side effects (19,44). Yuan et al (15) suggested that PEB chemotherapy should be adopted for patients who experienced early stage disease and received non-surgical treatment. Based on the summary and analysis of 12 patients with vaginal YST, Han et al (45) suggested that standardized PEB chemotherapy could be used for patients diagnosed with vaginal YSTs by pathology before surgery. The study found that most patients could achieve complete responses with a good prognosis after chemotherapy. According to existing reports, all the patients receiving chemotherapy alone have been treated with over 4 cycles of chemotherapy (18,19,36,44,46). However, due to the scarcity of case reports and serial reports, there is limited evidence of the effectiveness of chemotherapy alone and a lack of critical information on the dosage and duration of chemotherapy used for patients.

In the present case, based on the systemic preoperative evaluation and hysteroscopy, the tumor was considered to be localized at the vaginal wall. Therefore, a complete tumor resection was performed without affecting the vaginal structure, instead of just a biopsy. This procedure was advisable according to the treatment plan published by the Children's Oncology Group (18,19). Moreover, since mixed germ cell tumors could not be ruled out, a complete resection would help to give a more accurate diagnosis, which is important as the subsequent treatment may vary based on the final pathological results. Mixed component YSTs may exhibit recurrence even after effective chemotherapy (19). Tang et al (47) indicated that chemotherapy alone was more suitable for simple YSTs and that chemotherapy combined with local surgery should be used for tumors with mixed components.

In conclusion, more attention should be paid to vaginal bleeding in infants, and a complete evaluation is essential. Imaging findings from ultrasonography or MRI benefit the diagnosis. The final diagnosis is determined by histological examination and AFP levels, which are also helpful during follow-up. Prospective studies on a larger scale are needed to determine the long-term effectiveness and safety of chemotherapy alone among patients with vaginal YSTs. Thus far, conservative surgery combined with adjuvant chemotherapy has been considered effective, and it may be less toxic than chemotherapy alone potentially in the long term due to the lower number of chemotherapy cycles.

Supplementary Material

Supporting Data
Supporting Data
Supporting Data

Acknowledgements

Not applicable.

Funding

Funding: No funding was received.

Availability of data and materials

The datasets used and/or analyzed during the current study are available from the corresponding author on reasonable request.

Authors' contributions

ZM contributed to the study conception, reviewed the literature and drafted the manuscript. CL collected medical images (MRI scans and pathological section scans) and analyzed patient-related data. Both authors read and approved the final manuscript. ZM and CL confirm the authenticity of all the raw data.

Ethics approval and consent to participate

This case report has been approved by the Ethics Committee of the Third Affiliated Hospital of Zhengzhou University (Zhengzhou, China; approval no. 2023-031-01).

Patient's consent to publication

The patient's family provided oral consent for the publication of the article. The Ethics Committee of the Third Affiliated Hospital of Zhengzhou University (Zhengzhou, China) approved that the oral consent was sufficient for this case report.

Competing interests

The authors declare that they have no competing interests.

References

1 

Davidoff AM, Hebra A, Bunin N, Shochat SJ and Schnaufer L: Endodermal sinus tumor in children. J Pediatr Surg. 31:1075–1078; discussion 1078–1079. 1996. View Article : Google Scholar : PubMed/NCBI

2 

Wong YP, Yahaya A, Che Abdul Aziz R, Chia PY, Loh CK and Tan GC: Primary extragonadal vaginal yolk sac tumour: A case report. Malays J Pathol. 42:301–305. 2020.PubMed/NCBI

3 

Euscher ED: Germ cell tumors of the female genital tract. Surg Pathol Clin. 12:621–649. 2019. View Article : Google Scholar : PubMed/NCBI

4 

Ben Nsir A, Darmoul M, Arous SB and Hattab N: Metastatic sacrococcygeal yolk sac tumor: A misleading diagnosis. J Neurosci Rural Pract. 6:395–398. 2015. View Article : Google Scholar : PubMed/NCBI

5 

Ravishankar S, Malpica A, Ramalingam P and Euscher ED: Yolk Sac tumor in extragonadal pelvic sites: Still a diagnostic challenge. Am J Surg Pathol. 41:1–11. 2017. View Article : Google Scholar : PubMed/NCBI

6 

Rudaitis V, Mickys U, Katinaite J and Dulko J: Successful treatment of advanced stage yolk sac tumour of extragonadal origin: A case report and review of literature. Acta Med Litu. 23:110–116. 2016.PubMed/NCBI

7 

Teilum G: Endodermal sinus tumors of the ovary and testis. Comparative morphogenesis of the so-called mesoephroma ovarii (Schiller) and extraembryonic (yolk sac-allantoic) structures of the rat's placenta. Cancer. 12:1092–1105. 1959. View Article : Google Scholar : PubMed/NCBI

8 

Lopes LF, Chazan R, Sredni ST and de Camargo B: Endodermal sinus tumor of the vagina in children. Med Pediatr Oncol. 32:377–381. 1999. View Article : Google Scholar : PubMed/NCBI

9 

Bhatt MD, Braga LH, Stein N, Terry J and Portwine C: Vaginal Yolk Sac tumor in an infant: A case report and literature review of the last 30 years. J Pediatr Hematol Oncol. 37:e336–e340. 2015. View Article : Google Scholar : PubMed/NCBI

10 

Sun F, Zhao SH, Li HM, Bao L, Xu L and Wang DB: Computed tomography and magnetic resonance imaging appearances of malignant vaginal tumors in children: Endodermal sinus tumor and rhabdomyosarcoma. J Comput Assist Tomogr. 44:193–196. 2020. View Article : Google Scholar : PubMed/NCBI

11 

Rajagopal R, Ariffin H, Krishnan S, Abdullah WA and Lin HP: Pediatric vaginal yolk sac tumor: Reappraisal of treatment strategy in a rare tumor at a unique location. J Pediatr Hematol Oncol. 37:391–395. 2015. View Article : Google Scholar : PubMed/NCBI

12 

Yin M, Yang J, Wang T, Li S and Zhang X: Primary vaginal endodermal sinus tumor in infants and children: Experience from a tertiary center. BMC Pediatr. 22:5792022. View Article : Google Scholar : PubMed/NCBI

13 

Anfelter P, Testa A, Chiappa V, Froyman W, Fruscio R, Guerriero S, Alcazar JL, Mascillini F, Pascual MA, Sibal M, et al: Imaging in gynecological disease (17): Ultrasound features of malignant ovarian yolk sac tumors (endodermal sinus tumors). Ultrasound Obstet Gynecol. 56:276–284. 2020. View Article : Google Scholar : PubMed/NCBI

14 

Shojaei H, Hong H and Redline RW: High-level expression of divergent endodermal lineage markers in gonadal and extra-gonadal yolk sac tumors. Mod Pathol. 29:1278–1288. 2016. View Article : Google Scholar : PubMed/NCBI

15 

Yuan Z, Cao D, Yang J, Keng S and Huang H: Vaginal yolk sac tumors: Our experiences and results. Int J Gynecol Cancer. 27:1489–1493. 2017. View Article : Google Scholar : PubMed/NCBI

16 

Gantschnig BE, Fisher AG, Page J, Meichtry A and Nilsson I: Differences in activities of daily living (ADL) abilities of children across world regions: A validity study of the assessment of motor and process skills. Child Care Health Dev. 41:230–238. 2015. View Article : Google Scholar : PubMed/NCBI

17 

Saltzman AF, Gills JRR, LeBlanc DM, Velez MC, Craver RD and Roth CC: Multimodal management of a pediatric cervical yolk sac tumor. Urology. 85:1186–1189. 2015. View Article : Google Scholar : PubMed/NCBI

18 

Lightfoot MA, Bilgutay AN and Kirsch AJ: A rare case of pediatric vaginal yolk sac tumor. Urology. 119:137–139. 2018. View Article : Google Scholar : PubMed/NCBI

19 

Meng Z, Lin D, Liu C, Wang G and Sun N: Vaginal tumours in childhood: A descriptive analysis from a large paediatric medical centre. Pediatr Surg Int. 38:927–934. 2022. View Article : Google Scholar : PubMed/NCBI

20 

Striegel AM, Myers JB, Sorensen MD, Furness PD and Koyle MA: Vaginal discharge and bleeding in girls younger than 6 years. J Urol. 176:2632–2635. 2006. View Article : Google Scholar : PubMed/NCBI

21 

Wani NA, Robbani I, Andrabi AH, Iqbal A and Qayum A: Vaginal yolk sac tumor causing infantile hydrometra: Use of multidetector-row computed tomography. J Pediatr Adolesc Gynecol. 23:e115–e118. 2010. View Article : Google Scholar : PubMed/NCBI

22 

Tao T, Yang J, Cao D, Guo L, Chen J, Lang J and Shen K: Conservative treatment and long-term follow up of endodermal sinus tumor of the vagina. Gynecol Oncol. 125:358–361. 2012. View Article : Google Scholar : PubMed/NCBI

23 

Aihara M, Gotoh K, Maruyama K, Yamanaka M, Sakemoto M, Suzuki H, Kato M, Hotta T and Kang D: An abnormal alpha-fetoprotein fractionation provides additional information: A case of retroperitoneal germ cell tumor accompanied by liver cirrhosis Type C. Rinsho Byori. 64:1353–1356. 2016.(In Japanese). PubMed/NCBI

24 

Watanabe N, Okita H, Matsuoka K, Kiyotani C, Fujii E, Kumagai M and Nakagawa A: Vaginal yolk sac (endodermal sinus) tumors in infancy presenting persistent vaginal bleeding. J Obstet Gynaecol Res. 36:213–216. 2010. View Article : Google Scholar : PubMed/NCBI

25 

Harms D and Janig U: Germ cell tumours of childhood. Report of 170 cases including 59 pure and partial yolk-sac tumours. Virchows Arch A Pathol Anat Histopathol. 409:223–239. 1986. View Article : Google Scholar : PubMed/NCBI

26 

Beller FK, Nienhaus H, Gizycki BS, Schellong G, Bunte H and Schmandt W: Endodermal germ cell carcinoma (endodermal sinus tumor) of the vagina in infant girls. J Cancer Res Clin Oncol. 94:295–306. 1979. View Article : Google Scholar : PubMed/NCBI

27 

Young RH and Scully RE: Endodermal sinus tumor of the vagina: A report of nine cases and review of the literature. Gynecol Oncol. 18:380–392. 1984. View Article : Google Scholar : PubMed/NCBI

28 

Goyal S, Puri A, Mishra K, Aggarwal SK, Kumar M and Sonaker P: Endodermal sinus tumor of vagina posing a diagnostic challenge and managed by chemotherapy and novel posterior sagittal surgical approach: Lessons learned. J Obstet Gynaecol Res. 40:632–636. 2014. View Article : Google Scholar : PubMed/NCBI

29 

Kano M, Furugane R, Hogetsu K, Yamada Y, Maniwa J, Kobayashi T, Hashizume N, Mori T, Watanabe E, Takahashi M, et al: Vaginal yolk sac tumor resected by a novel laparo/endoscope-assisted posterior sagittal approach: A case report. Surg Case Rep. 8:1622022. View Article : Google Scholar : PubMed/NCBI

30 

Kumar V, Kini P, Vepakomma D and Basant M: Vaginal endodermal sinus tumor. Indian J Pediatr. 72:797–798. 2005. View Article : Google Scholar : PubMed/NCBI

31 

Rescorla F, Billmire D, Vinocur C, Colombani P, London W, Giller R, Cushing B, Lauer S, Cullen J, Davis M and Hawkins E: The effect of neoadjuvant chemotherapy and surgery in children with malignant germ cell tumors of the genital region: A pediatric intergroup trial. J Pediatr Surg. 38:910–912. 2003. View Article : Google Scholar : PubMed/NCBI

32 

Hou JY, Liu HC, Yeh TC, Sheu JC, Chen KH, Chang CY and Liang DC: Treatment results of extracranial malignant germ cell tumor with regimens of cisplatin, vinblastine, bleomycin or carboplatin, etoposide, and bleomycin with special emphasis on the sites of vagina and testis. Pediatr Neonatol. 56:301–306. 2015. View Article : Google Scholar : PubMed/NCBI

33 

Arafah M and Zaidi SN: A case of yolk sac tumor of the vagina in an infant. Arch Gynecol Obstet. 285:1403–1405. 2012. View Article : Google Scholar : PubMed/NCBI

34 

Alhumidi A, Al Shaikh S and Alhammadi A: Yolk sac tumor of vagina: A case report. Int J Clin Exp Pathol. 8:2183–2185. 2015.PubMed/NCBI

35 

Mauz-Korholz C, Harms D, Calaminus G and Gobel U: Primary chemotherapy and conservative surgery for vaginal yolk-sac tumour. Maligne Keimzelltumoren Study Group. Lancet. 355:6252000. View Article : Google Scholar : PubMed/NCBI

36 

Dong W, Yang Q, Feng Y and Zhang J: A rare case of vaginal yolk sac tumor in an infant. Asian J Surg. 45:580–581. 2022. View Article : Google Scholar : PubMed/NCBI

37 

Yin M, Wang T and Yang JX: Yolk sac tumor of the uterus in a 2-year-old girl: A case report and literature review. J Pediatr Adolesc Gynecol. 35:177–181. 2022. View Article : Google Scholar : PubMed/NCBI

38 

Elbaz M, Qadiry RE, Fouraiji K, Jalal H and Elhoudzi J: Yolk sac tumor of vagina: A rare cause of vaginal bleeding in adolescents-a case report. Pan Afr Med J. 37:1692020. View Article : Google Scholar : PubMed/NCBI

39 

Fang X, Du W, Wang Q and Zhao X: Endoscopic surgery combining chemotherapy for vaginal yolk-sac tumor: A case report. Eur J Gynaecol Oncol. 36:335–338. 2015.PubMed/NCBI

40 

Chauhan S, Nigam JS, Singh P, Misra V and Thakur B: Endodermal sinus tumor of vagina in infants. Rare Tumors. 5:83–84. 2013. View Article : Google Scholar : PubMed/NCBI

41 

Lacy J, Capra M and Allen L: Endodermal sinus tumor of the infant vagina treated exclusively with chemotherapy. J Pediatr Hematol Oncol. 28:768–771. 2006. View Article : Google Scholar : PubMed/NCBI

42 

Terenziani M, Spreafico F, Collini P, Meazza C, Massimino M and Piva L: Endodermal sinus tumor of the vagina. Pediatr Blood Cancer. 48:577–578. 2007. View Article : Google Scholar : PubMed/NCBI

43 

Neels NJ, Tissing WJ, Pieters R, Oosterhuis JW, van de Ven CP and Devos AS: Treatment of an infant with a vaginal yolk sac tumour and distant metastases with chemotherapy only. Pediatr Blood Cancer. 43:296–297. 2004. View Article : Google Scholar : PubMed/NCBI

44 

Xie W, Shen K, Yang J, Cao D, Yu M and Wang Y: Conservative management of primary vaginal endodermal sinus tumor and rhabdomyosarcoma. Oncotarget. 8:63453–63460. 2017. View Article : Google Scholar : PubMed/NCBI

45 

Han J, Chang X, Hong Q, Yang W, Han W, Cheng H, He L and Wang H: Analysis of the effect of BEP regimen in the treatment of children with vaginal endodermal sinus tumors. J Clin Pediat Surg. 557–575. 2021.(In Chinese).

46 

Mayhew AC, Rytting H, Olson TA, Smith E and Childress KJ: Vaginal yolk sac tumor: A case series and review of the literature. J Pediatr Adolesc Gynecol. 34:54–60. e42021. View Article : Google Scholar : PubMed/NCBI

47 

Tang QL, Jiang XF, Yuan XP, Liu Y, Zhang L, Tang XF, Zhou JJ, Li HG, Fang JP and Xue L: Prognosis of eight Chinese cases of primary vaginal yolk sac tumor with a review of the literature. Asian Pac J Cancer Prev. 15:9395–9404. 2014. View Article : Google Scholar : PubMed/NCBI

Related Articles

  • Abstract
  • View
  • Download
  • Twitter
Copy and paste a formatted citation
Spandidos Publications style
Ma Z and Li C: Vaginal yolk sac tumors in infants and children: A case report and literature review. Oncol Lett 25: 120, 2023.
APA
Ma, Z., & Li, C. (2023). Vaginal yolk sac tumors in infants and children: A case report and literature review. Oncology Letters, 25, 120. https://doi.org/10.3892/ol.2023.13706
MLA
Ma, Z., Li, C."Vaginal yolk sac tumors in infants and children: A case report and literature review". Oncology Letters 25.3 (2023): 120.
Chicago
Ma, Z., Li, C."Vaginal yolk sac tumors in infants and children: A case report and literature review". Oncology Letters 25, no. 3 (2023): 120. https://doi.org/10.3892/ol.2023.13706
Copy and paste a formatted citation
x
Spandidos Publications style
Ma Z and Li C: Vaginal yolk sac tumors in infants and children: A case report and literature review. Oncol Lett 25: 120, 2023.
APA
Ma, Z., & Li, C. (2023). Vaginal yolk sac tumors in infants and children: A case report and literature review. Oncology Letters, 25, 120. https://doi.org/10.3892/ol.2023.13706
MLA
Ma, Z., Li, C."Vaginal yolk sac tumors in infants and children: A case report and literature review". Oncology Letters 25.3 (2023): 120.
Chicago
Ma, Z., Li, C."Vaginal yolk sac tumors in infants and children: A case report and literature review". Oncology Letters 25, no. 3 (2023): 120. https://doi.org/10.3892/ol.2023.13706
Follow us
  • Twitter
  • LinkedIn
  • Facebook
About
  • Spandidos Publications
  • Careers
  • Cookie Policy
  • Privacy Policy
How can we help?
  • Help
  • Live Chat
  • Contact
  • Email to our Support Team