International Journal of Molecular Medicine is an international journal devoted to molecular mechanisms of human disease.
International Journal of Oncology is an international journal devoted to oncology research and cancer treatment.
Covers molecular medicine topics such as pharmacology, pathology, genetics, neuroscience, infectious diseases, molecular cardiology, and molecular surgery.
Oncology Reports is an international journal devoted to fundamental and applied research in Oncology.
Experimental and Therapeutic Medicine is an international journal devoted to laboratory and clinical medicine.
Oncology Letters is an international journal devoted to Experimental and Clinical Oncology.
Explores a wide range of biological and medical fields, including pharmacology, genetics, microbiology, neuroscience, and molecular cardiology.
International journal addressing all aspects of oncology research, from tumorigenesis and oncogenes to chemotherapy and metastasis.
Multidisciplinary open-access journal spanning biochemistry, genetics, neuroscience, environmental health, and synthetic biology.
Open-access journal combining biochemistry, pharmacology, immunology, and genetics to advance health through functional nutrition.
Publishes open-access research on using epigenetics to advance understanding and treatment of human disease.
An International Open Access Journal Devoted to General Medicine.
It is now generally accepted that neoplastic disorders arise through the acquisition of genomic changes by suitably primed target cells (1). These somatic mutations are often cytogenetically visible in the form of balanced or unbalanced chromosome aberrations (1). Many hematologic malignancies are characterized by balanced chromosomal abnormalities resulting in chimeric genes of pathogenetic, diagnostic and prognostic importance (1). In fact, more than 200 different genes are now known to be rearranged through translocations in leukemias and leukemia-like disorders (1), with some genes being particularly promiscuous, having numerous partners in different fusions and disorders (1).
To date, the RUNX1 gene (previously AML1, CBFA2 in 21q22) has been shown to fuse in-frame with 23 different partner genes, encoding a structurally heterogeneous group of proteins, in acute myeloid and lymphoblastic leukemia (AML and ALL), chronic myeloid leukemia (CML; the fusion here occurs secondarily), and myelodysplastic syndromes (MDS) (2,3). Some of the fusions are common, such as the ETV6/RUNX1 [t(12;21)(p13;q22)] in ALL, RUNX1/RUNX1T1 (also known as AML1/ETO) [t(8;21)(q22;q22)] in AML and RUNX1/MECOM [t(3;21)(q26;q22)] in MDS, AML and CML in the blastic phase, whereas many of them have only been reported in single cases, i.e., they have not yet been shown to be recurrent (2,3). Whereas the prognostic impact of frequent RUNX1 fusions is well known, corresponding knowledge regarding infrequent chimeras is lacking (4,5). Considering that most treatment protocols are in part based on the presence of certain genetic changes in acute leukemias, it is of potential clinical value to obtain further information also about rare RUNX1 fusions, even in disease subgroups that cannot be treated with medications specifically directed against the leukemogenic defect. It is important to underscore that this may be the case also for rare pathogenetic mechanisms where information is gathered by the addition of single case reports, as recently exemplified by the story of the rare MLL/ARHGAP26 (GRAF) fusion in pediatric AML (6–8). For this reason, we here present the molecular genetic and clinical features of a case of AML with t(7;21)(p22;q22), a rare but recurrent chromosomal translocation that was first described in 2006 by Paulsson et al(9).
The study was approved by the Regional Committee for Medical Research Ethics (REK Sør, http://helseforskning.etikkom.no), and written informed consent was obtained from the patient.
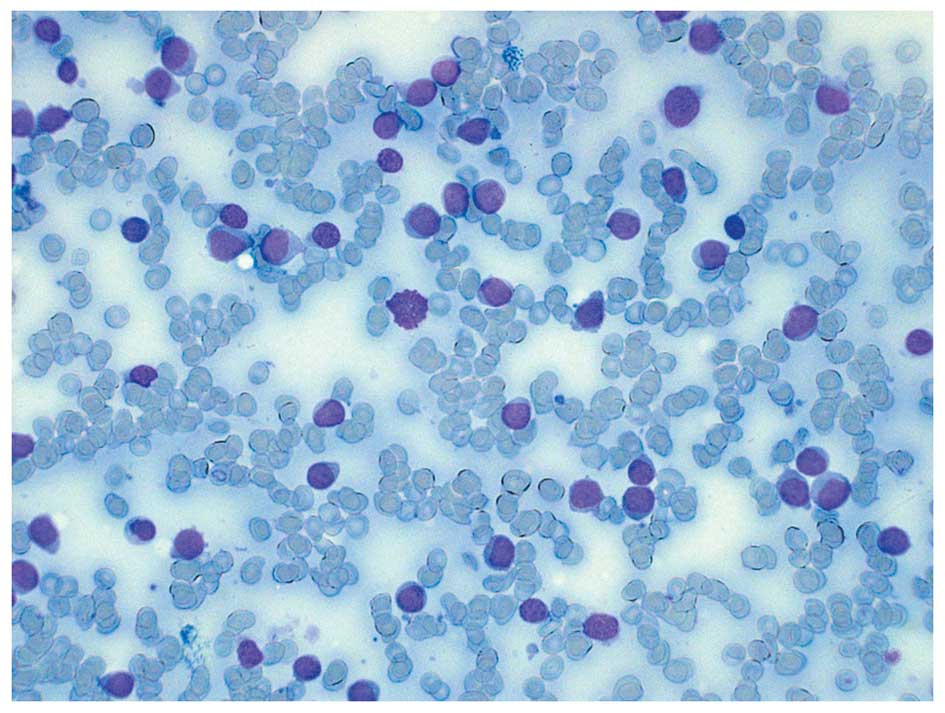
A 52-year-old woman was admitted to the hospital following a month of tiredness, sleepiness and symptoms of lower airway infection. She had been treated with antibiotics without any clinical improvement. Upon admission to the hospital, she had fever, severe anemia (hemoglobin 5.8 g/l), thrombocytopenia (116×109/l) and leukocytosis (34×109/l). A bone marrow aspirate showed >70% myeloblasts. The immunophenotypical features of the malignant cells confirmed the diagnosis of acute myeloblastic leukemia without differentiation. The myeloblasts expressed CD34, CD117, HLA-DR antigens, CD13, and partly CD11b, in addition to CD7 and CD56, but were negative for myeloperoxidase as well as B- and T-cell lineage markers. The clinical, blood sample and bone marrow findings (Fig. 1) were conclusive for acute myeloblastic leukemia without maturation (formerly FAB M0).
The patient was transferred to the regional hospital and standard induction chemotherapy was administered. Following complete remission five months later, she received an allogenic bone marrow transplant with reduced conditioning (preferred because of complications during initial therapy) from a sibling donor. The patient is, at the time of the preparation of this manuscript, still in remission with a good chimerism status nine months after the primary diagnosis, although she is now being treated for complications due to graft vs. host disease and cytomegalovirus reactivation.
Bone marrow cells were cytogenetically investigated by standard methods. Chromosome preparations were made from metaphase cells of a 24-h culture, G-banded using Leishman’s stain and karyotyped according to ISCN 2009 guidelines (10). As part of our standard cytogenetic diagnosis of AML patients, interphase FISH analyses of bone marrow cells were performed with the Cytocell Multiprobe AML/MDS panel (Cytocell, http://www.cytocell.co.uk/) searching for −5/del(5q), PML/RARα, del(17p) (TP53), AML1/ETO, trisomy 8, −7/del(7q), CBFβ/MYH11 and del(20q). The del(5q) probe contains the probe for the EGR1 gene in 5q31.1 labeled in red as well as a control probe at 5p15.31 flanking the marker D5S30 labeled in green. Fluorescent signals were captured and analyzed using the CytoVision system (Applied Imaging, Newcastle, UK).
Total RNA (1 μg) was reverse-transcribed in a 20-μl reaction volume using iScript Advanced cDNA Synthesis kit for RT-qPCR according to the manufacturer’s instructions (Bio-Rad). cDNA corresponding to 50 ng total RNA was used as the template in subsequent PCR assays. The 25-μl PCR volume contained 12.5 μl Premix Ex Taq™ DNA Polymerase Hot Start version (Takara), 1 μl of diluted cDNA, and 0.2 μM of each of the forward and reverse primers. For the detection of the RUNX1-USP42 fusion transcript, the forward RUNX1–765F (GGATGTTCCAGATGGCACTCTGG) and the reverse USP42–562R (ACGTCCCCAGGATTACTGAGTGCC) primers were used. For the amplification of a possible USP42-RUNX1 fusion transcript, the primers USP42–116F (CAGAAT CAGCCTGGCAGCTCCGA) and RUNX1–1489R (GCCGA CATGCCGATGCCGAT) were used. The PCR was run on a C-1000 Thermal cycler (Bio-Rad) with an initial denaturation at 94°C for 30°sec, followed by 35 cycles of 7°sec at 98°C, 2°min at 68°C, and a final extension for 5°min at 68°C. PCR products (4 μl) were stained with GelRed (Biotium), analyzed by electrophoresis through 1.0% agarose gel and photographed. The remaining PCR products were excised from the gel, purified using the Qiagen Gel extraction kit (Qiagen), and cloned to the pCR4-TOPO vector using TOPO TA cloning kits for sequencing (Invitrogen). Colonies were sequenced at GATC Biotech (Germany, http://www.gatc-biotech.com/en/home.html). The BLAST software (http://www.ncbi.nlm.nih.gov/BLAST/) was used for computer analysis of sequence data.
The G-banding analysis showed del(5)(q31) in all 15 cells analyzed which was confirmed by interphase FISH (Fig. 2A and C). The AML1/ETO probe (RUNX1/RUNX1T1) showed abnormal signals, i.e., splitting of the RUNX1 probe was observed in the majority of interphase nuclei examined in spite of no cytogenetically visible rearrangement of this chromosome arm (Fig. 2B). In the same experiment two metaphase cells were found which demonstrated that part of the RUNX1 probe was unexpectedly located on 7p22 (Fig. 2C and D). Other FISH analyses detected no PML/RARα, del(17p), trisomy 8, −7/del(7q), CBFβ/MYH11 or del(20q). Therefore, the whole karyotype was: 46,XX,del(5)(q31)[15].nuc ish (EGR1×1)[196/206],(ETOx2,AML1×3)[186/222].ish t(7;21)(p22;q22) (AML1+;AML1+)[2] (Fig. 1).
PCR amplification using the RUNX1–765F and USP42–562R primers generated two RUNX1-USP42 fragments of 500- and 300-bp in size whereas PCR with primers USP42–116F and RUNX1–1489R did not amplified any cDNA fragment (Fig. 2E). Sequencing of the two amplified fragments showed that, in the 300-bp fragment, exon 6 of RUNX1 (accession number NM_001754 version 3) was fused to exon 3 of USP42 (accession number NM_032172 version 2), whereas in the 500-bp long fragment exon 7 of RUNX1 was fused to exon 3 of USP42 (Fig. 2F).
The cryptic t(7;21)(p22;q22) chromosomal translocation was first described in a 7-year-old boy with AML-M0 together with aberrant expression of T-lymphocyte-associated markers (9). The translocation was an unexpected finding after FISH had been performed using whole chromosome painting probes for chromosome 7 while screening pediatric leukemias for the t(7;12)(q36;p13) translocation (9). In the present study, we also detected the t(7;21) unexpectedly as a result of our standard cytogenetic diagnosis of AML patients using interphase FISH analyses of bone marrow cells and searching for −5/del(5q), PML/RARα, del(17p), AML1/ETO, trisomy 8, −7/del(7q), CBFβ/MYH11 and del(20q). The finding of a split RUNX1 probe in 186 of 222 interphase nuclei examined triggered further investigations which led to the detection of the t(7;21). Notably, AML with t(7;21) seems to be associated with AML-M0 [our patient was also undifferentiated AML-M0] or myelomonocytic differentiation. One patient was found to present with MDS RAEB-2 (11,12). Since the AML M0 subset makes up <5% of all AMLs (14), it seems likely that the 7;21-translocation is unusual in leading to this particular undifferentiated myeloid leukemia in a dysproportionate number of cases (admittedly, they may also display monocytic differentiation according to a few reports). These leukemias are immunophenotypically characterized by the aberrant expression of CD7 as well as CD56 (present case and 5 previously reported cases) (9,12,13).
Subsequent molecular genetic investigations of the bone marrow cells showed that the result of the t(7;21)(p22;q22) is the fusion of USP42 (on 7p22) and RUNX1 (on 21q22) to generate a RUNX1-USP42 chimera (9). Including the present case, a RUNX1-USP42 chimera has now been found in 8 cases while the reciprocal USP42-RUNX1 was noted in 5 (9,11–13). These findings suggest that RUNX1-USP42 is the leukemogenic fusion. The incidence has hitherto been higher in males (n=6) than in females (n=2) and all but one patient (the first described case) were adults (age >30 years) (9,11–13).
Although recurrent, the RUNX1-USP42 fusion seems to be rare. Paulsson et al(9) screened 35 additional AML cases, Foster et al(11) screened 100 AML/MDS with normal karyotypes, and Giguére and Hebert (13) examined 95 leukemias without finding additional cases of RUNX1-USP42. Jeandidier et al(12) studied 397 AML cases and found only 3 cases with RUNX1-USP42 fusion. An interesting observation was that all 3 had additional 5q abnormalities resulting in loss of material from that chromosome arm. In total, 6 out of 8 cases (the present one included) with the t(7;21)(p22;q22)/RUNX1-USP42 fusion had cytogenetically visible changes of 5q resulting in loss of material (9,11–13). In the series presented by Jeandidier et al(12), 3 out of 35 leukemias with 5q- had the t(7;21)(p22;q22)/RUNX1-USP42 fusion gene (8.5%). In only one case was there direct evidence as to whether 5q- or t(7;21) was the primary cytogenetic abnormality. The patient described by Paulsson et al(9) had only the t(7;21) at the primary diagnosis (detected as RUNX1-USP42 fusion), whereas a 5q- occurred secondarily as an additional anomaly in a later sample.
There are 4 types of RUNX1-USP42 chimeric transcripts, defined here as types 1 to 4 (Fig. 3). The RUNX1-USP42 type 1 was described as that in which exon 7 of RUNX1 is fused to exon 3 of USP42(9,11). The type 2 was defined as the transcript in which exon 7 of RUNX1 is fused to exon 3 of USP42 but exon 6 of RUNX1 is spliced out from the fusion (9,11). In the type 3 fusion transcript, exon 6 of RUNX1 is fused to exon 3 of USP42. In type 4, finally, exon 5 of RUNX1 is fused to exon 3 of USP42(11). In all RUNX1-USP42 fusion transcripts, the predicted fusion protein would be expected to contain the Runt homology domain (RHD) which is responsible for heterodimerization with CBFB and DNA binding, and the catalytic UCH (ubiquitin carboxyl terminal hydroxylase) domain of the USP42 protein (9,11). The function of this fusion protein and its cellular consequences leading to leukemia are unknown. It might exert its leukemogenic effect as other RUNX1 fusions do in which the RHD is retained but the transactivation domain of RUNX1 is removed, i.e., by acting as a dominant-negative inhibitor of wild-type RUNX1 in transcription activation (3). In fact, these RUNX1 fusions mimic the RUNX1α variant which has higher affinity to DNA binding but suppresses the transcription activation of RUNX1β (3). RUNX1-USP42 might also affect the regulation of TP53 since the USP42 interacts and deubiqitinates this protein (15). More information concerning the cellular function of the normal USP46 is clearly needed in order to understand the role of RUNX1-USP42 fusions in leukemias.
The authors thank Kristin Andersen and Silje Bringsrud for their technical help. The present study was supported by grants from the Norwegian Cancer Society and the South-Eastern Norway Regional Healthy Authority.
|
Heim S and Mitelman F: Cancer Cytogenetics. 3rd edition. John Wiley & Sons, Inc; Hoboken, NJ: 2009 | |
|
Abe A, Katsumi A, Kobayashi M, et al: A novel RUNX1-C11orf41 fusion gene in a case of acute myeloid leukemia with a t(11;21)(p14;q22). Cancer Genet. 205:608–611. 2012. View Article : Google Scholar : PubMed/NCBI | |
|
De Braekeleer E, Douet-Guilbert N, Morel F, Le Bris MJ, Ferec C and De Braekeleer M: RUNX1 translocations and fusion genes in malignant hemopathies. Future Oncol. 7:77–91. 2011. | |
|
Cho EK, Bang SM, Ahn JY, et al: Prognostic value of AML 1/ ETO fusion transcripts in patients with acute myelogenous leukemia. Korean J Intern Med. 18:13–20. 2003.PubMed/NCBI | |
|
Gandemer V, Chevret S, Petit A, et al: Excellent prognosis of late relapses of ETV6/RUNX1-positive childhood acute lymphoblastic leukemia: lessons from the FRALLE 93 protocol. Haematologica. 97:1743–1750. 2012.PubMed/NCBI | |
|
Borkhardt A, Bojesen S, Haas OA, et al: The human GRAF gene is fused to MLL in a unique t(5;11)(q31;q23) and both alleles are disrupted in three cases of myelodysplastic syndrome/acute myeloid leukemia with a deletion 5q. Proc Natl Acad Sci USA. 97:9168–9173. 2000. | |
|
Panagopoulos I, Kitagawa A, Isaksson M, Morse H, Mitelman F and Johansson B: MLL/GRAF fusion in an infant acute monocytic leukemia (AML M5b) with a cytogenetically cryptic ins(5;11)(q31;q23q23). Genes Chromosomes Cancer. 41:400–404. 2004. View Article : Google Scholar | |
|
Wilda M, Perez AV, Bruch J, et al: Use of MLL/GRAF fusion mRNA for measurement of minimal residual disease during chemotherapy in an infant with acute monoblastic leukemia (AML-M5). Genes Chromosomes Cancer. 43:424–426. 2005. | |
|
Paulsson K, Bekassy AN, Olofsson T, Mitelman F, Johansson B and Panagopoulos I: A novel and cytogenetically cryptic t(7;21)(p22;q22) in acute myeloid leukemia results in fusion of RUNX1 with the ubiquitin-specific protease gene USP42. Leukemia. 20:224–229. 2006. View Article : Google Scholar : PubMed/NCBI | |
|
Schaffer LG, Slovak ML and Campbell LJ: ISCN 2009: an International System for Human Cytogenetic Nomenclature; Karger, Basel. 2009 | |
|
Foster N, Paulsson K, Sales M, et al: Molecular characterisation of a recurrent, semi-cryptic RUNX1 translocation t(7;21) in myelodysplastic syndrome and acute myeloid leukaemia. Br J Haematol. 148:938–943. 2010.PubMed/NCBI | |
|
Jeandidier E, Gervais C, Radford-Weiss I, et al: A cytogenetic study of 397 consecutive acute myeloid leukemia cases identified three with a t(7;21) associated with 5q abnormalities and exhibiting similar clinical and biological features, suggesting a new, rare acute myeloid leukemia entity. Cancer Genet. 205:365–372. 2012. View Article : Google Scholar | |
|
Giguere A and Hebert J: Microhomologies and topoisomerase II consensus sequences identified near the breakpoint junctions of the recurrent t(7;21)(p22;q22) translocation in acute myeloid leukemia. Genes Chromosomes Cancer. 50:228–238. 2011.PubMed/NCBI | |
|
Bennett J, Catovsky D, Daniel M, Flandrin G, Galton D, Gralnick H and Sultan C: Proposals for the classification of the acute leukaemias. French-American-British (FAB) co-operative group. Br J Haematol. 33:451–458. 1976. View Article : Google Scholar : PubMed/NCBI | |
|
Hock AK, Vigneron AM, Carter S, Ludwig RL and Vousden KH: Regulation of p53 stability and function by the deubiquitinating enzyme USP42. EMBO J. 30:4921–4930. 2011. View Article : Google Scholar : PubMed/NCBI |