Spandidos Publications Logo
  • About
    • About Spandidos
    • Aims and Scopes
    • Abstracting and Indexing
    • Editorial Policies
    • Reprints and Permissions
    • Job Opportunities
    • Terms and Conditions
    • Contact
  • Journals
    • All Journals
    • Oncology Letters
      • Oncology Letters
      • Information for Authors
      • Editorial Policies
      • Editorial Board
      • Aims and Scope
      • Abstracting and Indexing
      • Bibliographic Information
      • Archive
    • International Journal of Oncology
      • International Journal of Oncology
      • Information for Authors
      • Editorial Policies
      • Editorial Board
      • Aims and Scope
      • Abstracting and Indexing
      • Bibliographic Information
      • Archive
    • Molecular and Clinical Oncology
      • Molecular and Clinical Oncology
      • Information for Authors
      • Editorial Policies
      • Editorial Board
      • Aims and Scope
      • Abstracting and Indexing
      • Bibliographic Information
      • Archive
    • Experimental and Therapeutic Medicine
      • Experimental and Therapeutic Medicine
      • Information for Authors
      • Editorial Policies
      • Editorial Board
      • Aims and Scope
      • Abstracting and Indexing
      • Bibliographic Information
      • Archive
    • International Journal of Molecular Medicine
      • International Journal of Molecular Medicine
      • Information for Authors
      • Editorial Policies
      • Editorial Board
      • Aims and Scope
      • Abstracting and Indexing
      • Bibliographic Information
      • Archive
    • Biomedical Reports
      • Biomedical Reports
      • Information for Authors
      • Editorial Policies
      • Editorial Board
      • Aims and Scope
      • Abstracting and Indexing
      • Bibliographic Information
      • Archive
    • Oncology Reports
      • Oncology Reports
      • Information for Authors
      • Editorial Policies
      • Editorial Board
      • Aims and Scope
      • Abstracting and Indexing
      • Bibliographic Information
      • Archive
    • Molecular Medicine Reports
      • Molecular Medicine Reports
      • Information for Authors
      • Editorial Policies
      • Editorial Board
      • Aims and Scope
      • Abstracting and Indexing
      • Bibliographic Information
      • Archive
    • World Academy of Sciences Journal
      • World Academy of Sciences Journal
      • Information for Authors
      • Editorial Policies
      • Editorial Board
      • Aims and Scope
      • Abstracting and Indexing
      • Bibliographic Information
      • Archive
    • International Journal of Functional Nutrition
      • International Journal of Functional Nutrition
      • Information for Authors
      • Editorial Policies
      • Editorial Board
      • Aims and Scope
      • Abstracting and Indexing
      • Bibliographic Information
      • Archive
    • International Journal of Epigenetics
      • International Journal of Epigenetics
      • Information for Authors
      • Editorial Policies
      • Editorial Board
      • Aims and Scope
      • Abstracting and Indexing
      • Bibliographic Information
      • Archive
    • Medicine International
      • Medicine International
      • Information for Authors
      • Editorial Policies
      • Editorial Board
      • Aims and Scope
      • Abstracting and Indexing
      • Bibliographic Information
      • Archive
  • Articles
  • Information
    • Information for Authors
    • Information for Reviewers
    • Information for Librarians
    • Information for Advertisers
    • Conferences
  • Language Editing
Spandidos Publications Logo
  • About
    • About Spandidos
    • Aims and Scopes
    • Abstracting and Indexing
    • Editorial Policies
    • Reprints and Permissions
    • Job Opportunities
    • Terms and Conditions
    • Contact
  • Journals
    • All Journals
    • Biomedical Reports
      • Information for Authors
      • Editorial Policies
      • Editorial Board
      • Aims and Scope
      • Abstracting and Indexing
      • Bibliographic Information
      • Archive
    • Experimental and Therapeutic Medicine
      • Information for Authors
      • Editorial Policies
      • Editorial Board
      • Aims and Scope
      • Abstracting and Indexing
      • Bibliographic Information
      • Archive
    • International Journal of Epigenetics
      • Information for Authors
      • Editorial Policies
      • Editorial Board
      • Aims and Scope
      • Abstracting and Indexing
      • Bibliographic Information
      • Archive
    • International Journal of Functional Nutrition
      • Information for Authors
      • Editorial Policies
      • Editorial Board
      • Aims and Scope
      • Abstracting and Indexing
      • Bibliographic Information
      • Archive
    • International Journal of Molecular Medicine
      • Information for Authors
      • Editorial Policies
      • Editorial Board
      • Aims and Scope
      • Abstracting and Indexing
      • Bibliographic Information
      • Archive
    • International Journal of Oncology
      • Information for Authors
      • Editorial Policies
      • Editorial Board
      • Aims and Scope
      • Abstracting and Indexing
      • Bibliographic Information
      • Archive
    • Medicine International
      • Information for Authors
      • Editorial Policies
      • Editorial Board
      • Aims and Scope
      • Abstracting and Indexing
      • Bibliographic Information
      • Archive
    • Molecular and Clinical Oncology
      • Information for Authors
      • Editorial Policies
      • Editorial Board
      • Aims and Scope
      • Abstracting and Indexing
      • Bibliographic Information
      • Archive
    • Molecular Medicine Reports
      • Information for Authors
      • Editorial Policies
      • Editorial Board
      • Aims and Scope
      • Abstracting and Indexing
      • Bibliographic Information
      • Archive
    • Oncology Letters
      • Information for Authors
      • Editorial Policies
      • Editorial Board
      • Aims and Scope
      • Abstracting and Indexing
      • Bibliographic Information
      • Archive
    • Oncology Reports
      • Information for Authors
      • Editorial Policies
      • Editorial Board
      • Aims and Scope
      • Abstracting and Indexing
      • Bibliographic Information
      • Archive
    • World Academy of Sciences Journal
      • Information for Authors
      • Editorial Policies
      • Editorial Board
      • Aims and Scope
      • Abstracting and Indexing
      • Bibliographic Information
      • Archive
  • Articles
  • Information
    • For Authors
    • For Reviewers
    • For Librarians
    • For Advertisers
    • Conferences
  • Language Editing
Login Register Submit
  • This site uses cookies
  • You can change your cookie settings at any time by following the instructions in our Cookie Policy. To find out more, you may read our Privacy Policy.

    I agree
Search articles by DOI, keyword, author or affiliation
Search
Advanced Search
presentation
Oncology Reports
Join Editorial Board Propose a Special Issue
Print ISSN: 1021-335X Online ISSN: 1791-2431
Journal Cover
October 2013 Volume 30 Issue 4

Full Size Image

Sign up for eToc alerts
Recommend to Library

Journals

International Journal of Molecular Medicine

International Journal of Molecular Medicine

International Journal of Molecular Medicine is an international journal devoted to molecular mechanisms of human disease.

International Journal of Oncology

International Journal of Oncology

International Journal of Oncology is an international journal devoted to oncology research and cancer treatment.

Molecular Medicine Reports

Molecular Medicine Reports

Covers molecular medicine topics such as pharmacology, pathology, genetics, neuroscience, infectious diseases, molecular cardiology, and molecular surgery.

Oncology Reports

Oncology Reports

Oncology Reports is an international journal devoted to fundamental and applied research in Oncology.

Experimental and Therapeutic Medicine

Experimental and Therapeutic Medicine

Experimental and Therapeutic Medicine is an international journal devoted to laboratory and clinical medicine.

Oncology Letters

Oncology Letters

Oncology Letters is an international journal devoted to Experimental and Clinical Oncology.

Biomedical Reports

Biomedical Reports

Explores a wide range of biological and medical fields, including pharmacology, genetics, microbiology, neuroscience, and molecular cardiology.

Molecular and Clinical Oncology

Molecular and Clinical Oncology

International journal addressing all aspects of oncology research, from tumorigenesis and oncogenes to chemotherapy and metastasis.

World Academy of Sciences Journal

World Academy of Sciences Journal

Multidisciplinary open-access journal spanning biochemistry, genetics, neuroscience, environmental health, and synthetic biology.

International Journal of Functional Nutrition

International Journal of Functional Nutrition

Open-access journal combining biochemistry, pharmacology, immunology, and genetics to advance health through functional nutrition.

International Journal of Epigenetics

International Journal of Epigenetics

Publishes open-access research on using epigenetics to advance understanding and treatment of human disease.

Medicine International

Medicine International

An International Open Access Journal Devoted to General Medicine.

Journal Cover
October 2013 Volume 30 Issue 4

Full Size Image

Sign up for eToc alerts
Recommend to Library

  • Article
  • Citations
    • Cite This Article
    • Download Citation
    • Create Citation Alert
    • Remove Citation Alert
    • Cited By
  • Similar Articles
    • Related Articles (in Spandidos Publications)
    • Similar Articles (Google Scholar)
    • Similar Articles (PubMed)
  • Download PDF
  • Download XML
  • View XML
Article

ADAM10 is overexpressed in human hepatocellular carcinoma and contributes to the proliferation, invasion and migration of HepG2 cells

  • Authors:
    • Shao Yuan
    • Shi Lei
    • Shengli Wu
  • View Affiliations / Copyright

    Affiliations: Department of Otorhinolaryngology, The First Affiliated Hospital of Xi'an Jiaotong University, Xi'an, Shaanxi 710061, P.R. China, Department of Hepatobiliary Surgery, The First Affiliated Hospital of Xi'an Jiaotong University, Xi'an, Shaanxi 710061, P.R. China
  • Pages: 1715-1722
    |
    Published online on: August 2, 2013
       https://doi.org/10.3892/or.2013.2650
  • Expand metrics +
Metrics: Total Views: 0 (Spandidos Publications: | PMC Statistics: )
Metrics: Total PDF Downloads: 0 (Spandidos Publications: | PMC Statistics: )
Cited By (CrossRef): 0 citations Loading Articles...

This article is mentioned in:



Abstract

The overexpression of A disintegrin and metalloproteinase 10 (ADAM10) has been found to be closely associated with the development and progression of various types of tumors. However, ADAM10 expression in hepatocellular carcinoma (HCC) and its significance remain largely unknown. The present study aimed to investigate the expression of ADAM10 in human HCC and the effect of ADAM10 gene silencing by siRNA on the proliferation, invasion and migration of HepG2 human hepatoma cells. Immunohistochemistry was performed to examine the expression of ADAM10 in human HCC tissues and in the adjacent non-cancer tissues from 30 patients with HCC. RNA interference was used to knock down ADAM10 expression in HepG2 human hepatoma cells and the proliferation and migration as well as the invasive ability of the treated cells were observed in vitro. The expression of ADAM10 protein in HCC tissues was significantly higher when compared to that in adjacent non-tumor tissues (P<0.05). The high expression of ADAM10 in cancer was significantly correlated with clinical outcomes (P<0.05). Silencing of ADAM10 resulted in inhibition of proliferation and migration as well as invasion of HepG2 human hepatoma cells (P<0.05). These studies suggest that ADAM10 plays an important role in regulating proliferation, invasion and migration of HepG2 cells. High expression of ADAM10 may be a valuable predictive factor for HCC prognosis, and ADAM10 is potentially an important therapeutic target for the prevention of tumor development and progression in HCC.

Introduction

Hepatocellular carcinoma (HCC) is one of the leading causes of cancer-related mortality worldwide (1), and despite the extensive application of intensive surveillance programs, considerable therapeutic progress, and technological improvement observed over the past few years, prognosis of this tumor remains poor due to the high recurrence rate and metastatic potential of HCC cells, even when treatments have been considered potentially curative (2,3). The incidence of intrahepatic or extrahepatic metastases is high in HCC with an infiltrative growth pattern according to clinicopathologic study (4). However, there is no effective chemotherapeutic agent which prevents recurrence and metastasis in HCC patients.

The A disintegrin and metalloproteinase (ADAM) family is a class of type I transmembrane proteins that contain two main structural domains: the disintegrin domain and the matrix metalloproteinase domain. Members of the ADAM family function as sheddases by cleaving type I and type II integral single membrane proteins to generate soluble forms of these proteins (5) and have been found to be involved in the etiologies of a variety of diseases and conditions (6–8). Members of the ADAM family can degrade the extracellular matrix (ECM) and control cell adhesion and movement through regulation of intercellular adhesion, protease activity and cell activities that are closely related to the metastasis of human tumors (9,10). To date, 13 catalytically active ADAMs have been identified in the human genome (11,12). One member of the ADAM family, A disintegrin and metalloproteinase 10 (ADAM10), has recently been reported to play important roles in cell migration, tumor development and metastasis by proteolytic shedding of cell surface proteins and has been demonstrated to be a positive regulator of cancer progression in renal cell carcinoma (13), pancreatic carcinoma (14), lung cancer (15), gastric carcinoma (16), oral squamous cell carcinoma (17) and melanoma (18). Proteolytically active ADAM10 acts as an ectodomain sheddase, which releases extracellular regions of membrane-bound proteins (e.g., adhesion molecules, growth factors, cytokines, chemokines and receptors). Through these actions it is able to sculpt the tumor microenvironment and modulate key processes involved in cancer progression, including cell proliferation, migration and angiogenesis (19). The emerging role of ADAM10 as a significant contributor to these pathologies has led to its intense interest as a potential drug target for tumor treatment (6). However, ADAM10 expression in HCC and its significance in HCC progression remain largely unknown. In the present study, we investigated the expression of ADAM10 in human HCC tissues and the adjacent non-cancerous tissues from 30 HCC patients using immunohistochemistry. Moreover, the effects of ADAM10 gene silencing by siRNA on the proliferation, invasion and migration of HepG2 human hepatoma cells were observed in vitro.

Materials and methods

Ethics statement

The study was approved by the Ethics Committee of the First Affiliated Hospital of Xi’an Jiaotong University. All experiments were performed in accordance with the principles of the Declaration of Helsinki. All participants provided their written informed consent to participate in the study.

Patient information

A total of 30 HCC patients who were treated with partial liver resection surgery at the Department of Hepatobiliary Surgery of the First Affiliated Hospital of Xi’an Jiaotong University from 2008 to 2011 were enrolled in this study. These patients included 24 males and 6 females, with a mean age of 53.16 years (range, 34–73 years). The patients were pathologically diagnosed with HCC at histological grade I (n=4), grade II (n=19) and grade III (n=7), and classified as stage I (n=7), stage II (n=17) and stage III (n=6). Histological grading and staging were according to the modified nuclear grading scheme outlined by the Edmondson and Steiner and Okuda system, respectively (20,21). No prior treatments (including chemotherapy or radiotherapy) were conducted before liver resection surgery.

Tissue samples and cell lines

The paraffin-embedded HCC tissues and the corresponding non-cancerous tissues from the 30 patients mentioned above were collected for pathological analysis. The human hepatoma cell line HepG2 was obtained from the Center of Biomedical Experimental Research at the Medical School, Xi’an Jiaotong University.

Immunohistochemical staining

Immunohistochemical staining was performed using streptavidin-peroxidase technique, and diaminobenzidine (DAB) was used as a chromogen. Rabbit polyclonal antibody against human ADAM10 protein was obtained from Santa Cruz Biotechnology, Inc. (Santa Cruz, CA, USA). The primary antibody for the negative control group was replaced with PBS. Five representative high-power fields (x400 magnification) for each tissue section were selected for histological evaluation. Two parameters, positive rate (PR) and staining intensity (SI), were used to describe the expression based on the extent and intensity of positively stained cells in the samples. PR is the percentage of positively stained cells in the tissues: ≤10% stained cells was defined as negative (scored as 0), 11–30% stained cells was defined as positive with low frequency (scored as 1), 31–60% stained cells was defined as positive with medium frequency (scored as 2), and >60% stained cells was defined as positive with high frequency (scored as 3). SI is the ranked staining intensity of positively stained cells in the samples, which ranged from 0 to 3, dim positive, mediate positive and strong positive, respectively. Since the expression of the protein was comprehensively evaluated based on both extent and intensity, the sum of both parameters provide the final scores for ADAM10 in each sample, in which the final score <4 was defined as low/negative expression, and the final score ≥4 was defined as high expression.

Cell culture

HepG2 cells were cultured in Dulbecco’s modified Eagle’s medium (DMEM) (Invitrogen Life Technologies, Carlsbad, CA, USA) containing 10% fetal bovine serum (FBS) and 1% penicillin/streptomycin (Invitrogen Life Technologies) and incubated at 37ºC in an atmosphere containing 5% CO2.

siRNA transfection

For downregulation of endogenous ADAM10 expression, the following siRNA duplex (Aoke Biological Technology Co., Ltd., Shanghai, China) was used: 5′-AGACAUUAUGAAGGAUUAUTT-3′. As a negative control, the unspecific scrambled siRNA duplex (5′-AGGUAGUGUA AUCGCCUUGTT-3′) was used.

At 24 h before transfection, 1×105 HepG2 cells were seeded in 6-well plates. Transfection of siRNA was carried out using Lipofectamine 2000 (Invitrogen Life Technologies) and 10 nM siRNA duplex/well. Transfection was performed as previously described (18). Specific silencing of targeted genes was confirmed by at least 3 independent experiments.

Four groups were established in this study: blank control group, Lipo2000 group (cells were treated with Lipofectamine 2000), control siRNA group (cells were treated with Lipofectamine 2000 plus the negative control siRNA), and ADAM10-siRNA group (cells were treated with Lipofectamine 2000 plus ADAM10 siRNA).

Real-time RT-PCR

Real-time RT-PCR for ADAM10 transcripts in HepG2 cells was carried out using the PrimeScript RT reagent kit following the manufacturer’s instructions (Takara Bio, Inc., Shiga, Japan). ADAM10 gene-specific amplification was confirmed by PCR with specific primers (5′-CTGCCCAGCATCTGACCCTAA-3′ and 5′-TTGCCATC AGAACTGGCACAC-3′) and subjected to melting curve analysis. GAPDH was used as an internal control for standardization. All RT-PCR tests were performed in triplicate. The data were analyzed using the comparative Ct method.

Western blot analysis

Cells were washed twice with cold phosphate-buffered saline (PBS; 137 mM NaCl, 2.7 mM KCl, 10 mM sodium phosphate dibasic, 2 mM potassium phosphate monobasic, pH 7.4) and lysed on ice in buffer (150 mM NaCl, 50 mM Tris-HCl, 2 mM EDTA, 1% NP-40, pH 7.4) containing protease inhibitors. Equal amounts of protein (20 μg/lane) from the cell lysates were electrophoresed under non-reducing conditions on 10% acrylamide gels. After SDS-PAGE, proteins were transferred to a polyvinylidene difluoride membrane. The membrane was incubated for 2 h in PBS plus 0.1% Tween-20 and 5% nonfat skim milk to block nonspecific binding. Subsequently, the membrane was incubated for 2 h with an antibody against ADAM10 (R&D Systems, Minneapolis, MN, USA). After washing, proteins were visualized using an ECL detection kit with the appropriate HRP-conjugated secondary antibody (Amersham Pharmacia Biotech, Piscataway, NJ, USA). The membranes were stripped and probed with monoclonal antibodies for GAPDH for the loading control as per standard protocols.

Proliferation assay

The 3-[4,5-dimethylthiazol-2-yl]-2,5-diphenyltetrazolium bromide (MTT) (Sigma Corporation, USA) colorimetric assay was used to screen for cell proliferation. Briefly, HepG2 cells were seeded into eight 96-well plates at a density of 2×103 cells/well and incubated in RPMI-1640 medium for 24, 48, 72 and 96 h after treatment, respectively. Twenty microliters of MTT (5 mg/ml) was added into each well, and the cell culture was continued for 4 h. After aspiration of the medium, the cells were lysed with DMSO (Sigma Corporation). The absorbance was measured using a microplate reader at a wavelength of 490 nm. The cell growth curve was plotted with OD values as the ordinate against time as the abscissa. The experiment was repeated 3 times.

Soft agar colony formation assay

Briefly, 4×103 HepG2 cells were mixed with 0.5% top agar and seeded on 24-well plates with 1% base agar. These cells were then cultured in an incubator with 5% CO2 and 95% humidity at 37ºC for 10 days. Finally, the cell colonies in soft agar were photographed and counted by a microscope. All of the experiments were independently repeated at least 3 times.

Cell migration assay

The effect of ADAM10 knockdown on HepG2 cell migration was measured as the ability of cells to migrate through Transwell filters (6.5-mm diameter, 5-μm pore size). Transwell filters were coated with Matrigel for 1.5 h before adding the cells. At 24 h after the siRNA transfection, cells were detached by trypsinization, and 1×105 cells were seeded into Transwell filters in 100 ml of starvation medium. Growth medium (500 ml) was placed in the lower compartment, and the cells were left to migrate for 24 h. Non-migratory cells were removed by a cotton swab, and the transmigrated cells at the backside of the filter were stained with Giemsa. HepG2 cells on each filter were counted at x400 magnification to quantitate HepG2 cell migration. Images of 3 random fields from 3 replicate wells were obtained. Migration was determined as the mean of the cells that had migrated per x400 field and was expressed as a percentage of the blank control.

In vitro invasion assay

HepG2 cell invasive behavior was evaluated using 24-well Transwell units with 8-μm porosity polycarbonate filters. The filters were coated with 50 μl of 8 mg/ml reconstituted basement membrane substance (Matrigel; BD Biosciences, San Diego, CA, USA). The coated filters were air-dried at 4ºC prior to the addition of the cells. The basement membrane was hydrated with 50 μl serum-free RPMI-1640 medium 30 min before use. The cells were digested with trypsin, and the cell density was adjusted to 1×106/ml using serum-free RPMI-1640 medium. A total of 200 μl of cell suspension was added into each upper Transwell chamber, and 600 μl of RPMI-1640 medium containing 5% fetal bovine serum was added into the lower chamber. There were three duplicates for each cell group. The cells were then incubated for 24 h in a humidified atmosphere of 5% CO2 at 37ºC. Cells were fixed with methanol and stained with Giemsa. Cells on the upper surface of the filter were removed by wiping with a cotton swab, and invasion was determined by counting the cells that migrated to the lower side of the filter with optical microscopy at x400 magnification. A total of 5 visual fields at the center and in the surrounding areas was counted, and the average was calculated (22). The experiment was repeated 3 times.

Data and statistical analysis

All data are presented as the means ± standard error of the mean. Statistical analysis was performed using SPSS 16.0 software. Differences among groups were tested by one-way analysis of variance (ANOVA). A P-value <0.05 was considered to indicate a statistically significant result.

Results

Expression of ADAM10 protein in paired HCC and corresponding non-cancerous tissue samples

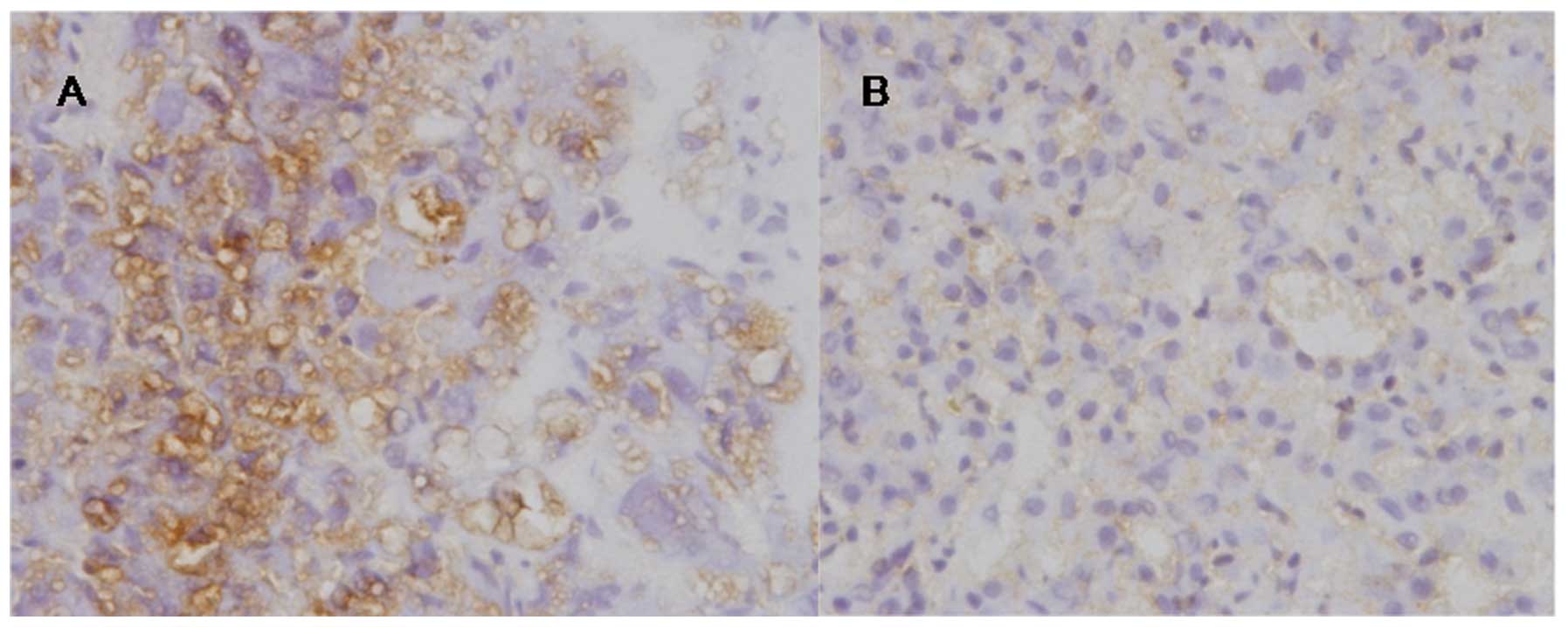
ADAM10 was detected in 22 out of 30 (73.33%) HCC tissues and in only 1 out of the 30 (3.33%) corresponding non-cancerous tissues (Fig. 1). The frequency of ADAM10 in HCC tissues was significantly higher than that in the non-cancerous tissues (P<0.05).

Figure 1

Immunohistochemical staining of ADAM10 protein of HCC and the corresponding non-cancerous tissues of magnification x200. (A) Strong immunostaining for ADAM10 protein in HCC tissue. (B) ADAM10 protein expression is absent in non-cancerous liver tissue. HCC, hepatocellular carcinoma; ADAM10, A disintegrin and metalloproteinase 10.

Increase in ADAM10 expression correlates with worse prognosis and shorter survival of patients after surgery

All of the 30 patients were completely followed up. During follow-up, 13 patients died, whereas 17 patients were alive at the end of the study. The median follow-up period was 28 months (3–45 months). The median survival time was 22.3 months (95% CI, 20.09–26.46). We compared the expression of ADAM10 in the patients according to different gender, age, status of HBV infection, history of alcohol consumption and smoking, disease stage, histological differentiation, microvascular invasion and clinical outcome. The levels of ADAM10 expression did not significantly vary between males and females, elderly and younger, and HBV infected and uninfected patients. No significant difference was identified between patients with and without a history of alcohol consumption or smoking. The expression levels of ADAM10 did correlate with the clinical outcomes although the level did not vary significantly among HCC samples at different clinical stages, degree of histological differentiation and microvascular invasion. It was observed that 12 of the 13 HCC patients who passed away had tumors with high ADAM10 expression. This percentage was significantly higher than the percentage in the living HCC patients (92.31 vs. 58.82%, P=0.040, Table I). Using the Kaplan-Meier method, the overall survival rates were estimated for the 30 patients. Overall survival was significantly shorter in the ADAM10 high expression group than that in the ADAM10 low/negative expression group (p=0.044) (Fig. 2). This result implies that high expression of ADAM10 may be a valuable predictive factor for HCC prognosis.

Figure 2

Kaplan-Meier curves based on ADAM10 expression. Kaplan-Meier estimates for overall survival (months) based on ADAM10 status. ADAM10, A disintegrin and metalloproteinase 10.

Table I

Correlation between the expression of ADAM10 in the 30 cases of HCC tissues and multiple clinicopathological features of the corresponding patients.

Table I

Correlation between the expression of ADAM10 in the 30 cases of HCC tissues and multiple clinicopathological features of the corresponding patients.

Expression of ADAM10

FeaturesCase−+P-value
Gender
 Female6240.680
 Male24618
Age (years)
 <53.1614680.061
 ≥53.1616214
HBV infection
 No4130.935
 Yes26719
Alcohol history
 No13580.201
 Yes17314
Smoking history
 No225170.418
 Yes835
Clinical stage of disease
 I7250.889
 II17413
 III624
Histological grade
 I4220.488
 II19415
 III725
Microvascular invasion
 Presence12480.396
 Absence18414
Clinical outcome
 Alive177100.040
 Deceased13112

[i] −, Low/negative expression of ADAM10 in cancer tissues; +, high expression of ADAM10 in cancer tissues. ADAM10, A disintegrin and metalloproteinase 10; HCC, hepatocellular carcinoma.

Knockdown of ADAM10 in HepG2 cells

The expression of ADAM10 was examined by real-time RT-PCR and western blotting to validate the silencing efficiency of the target gene after RNAi. Stable ADAM10 siRNA-transfected HepG2 cells (ADAM10-siRNA) and a mock-transfected control cell line (control siRNA) were established as described above. Compared to the parental HepG2 cells and control siRNA cells, both mRNA and protein expression of ADAM10 was significantly reduced in the ADAM10 siRNA cells at 24 h after siRNA transfection (all P<0.05; Fig. 3A and B), which persisted for at least 96 h (data not shown).

Figure 3

Knockdown of ADAM10 expression in HepG2 cells at 24 h after siRNA transfection. (A) ADAM10 mRNA levels were determined by real-time RT-PCR. Relative fold induction for ADAM10 mRNA (means ± SD) in the mock- and ADAM10 siRNA-transfected HepG2 cells is presented relative to the expression in the parental HepG2 cells (*P<0.05 compared with the parental HepG2 cells). (B) Western blot analysis for ADAM10 protein expression in the indicated cell lines. GAPDH was used as a loading control. Parental HepG2 cells, control siRNA (mock-transfected control), and ADAM10-siRNA represent the 3 different clones, respectively. ADAM10, A disintegrin and metalloproteinase 10.

Gene silencing of ADAM10 reduces cell proliferation and cell colony formation in HepG2 cells

To examine whether the knockdown of ADAM10 expression had any affect on cell growth, an MTT cell proliferation assay was performed. Compared to the blank control group, the Lipo2000 group, and the control siRNA group cells, ADAM10-siRNA group cells showed decreased cell proliferation, supporting the role of ADAM10 in cell growth in HepG2 cells (P<0.05, Fig. 4). In addition, the affect of gene silencing of ADAM10 on the cell colony formation of HepG2 cells was also investigated by a soft agar colony formation assay. The results indicated that the cell colony number significantly decreased in the ADAM10-siRNA group compared to the blank control group, Lipo2000 group, and control siRNA group (P<0.05, Fig. 5A and B).

Figure 4

Gene silencing of ADAM10 reduces cell proliferation in HepG2 cells. Cell proliferation was analyzed using the MTT assay. Cells were monitored for 96 h, and the average OD490 (± SD) for each cell line is shown. Cells transfected with ADAM10 siRNA (ADAM10-siRNA) showed reduced cell growth relative to the blank control group, Lipo2000 group, and control siRNA group cells, at 72 and 96 h after treatment, respectively (*P<0.05 compared with the blank control group, Lipo2000 group and control siRNA group, respectively). ADAM10, A disintegrin and metalloproteinase 10.

Figure 5

Gene silencing of ADAM10 reduces cell colony formation in HepG2 cells. (A) ADAM10 knockdown by siRNA reduced cell colony formation, as shown by the representative dishes of colony formation of cells in the blank control group (dish a), Lipo2000 group (dish b), control siRNA group (dish c), and ADAM10-siRNA group (dish d). (B) The mean numbers of colonies of 3 independent experiments (means ± SD) are indicated by the histograms (*P<0.05 compared with the blank control group, Lipo2000 group and control siRNA group, respectively). ADAM10, A disintegrin and metalloproteinase 10.

Gene silencing of ADAM10 reduces cell migration in HepG2 cells

The effect of gene silencing of ADAM10 on the cell migration ability of HepG2 cells was investigated by Transwell invasion assay (Fig. 6A). The results indicated that ADAM10 siRNA cells had a significantly reduced ability to pass through the basement membrane when compared to the cells in the other 3 groups (all P<0.05; Fig. 6B). These data support the notion that ADAM10 expression is essential for cell migration.

Figure 6

Gene silencing of ADAM10 reduces cell migration in HepG2 cells. (A) A Matrigel Transwell invasion assay was used to test the migration ability of the cells (a, blank control group; b, Lipo2000 group; c, control siRNA group and d, ADAM10-siRNA group) to pass through the basement membrane. (B) Values represent the cell number (means ± SD) per visible field (*P<0.05 compared with the blank control group, Lipo2000 group and control siRNA group, respectively). ADAM10, A disintegrin and metalloproteinase 10.

Gene silencing of ADAM10 reduces the invasive ability of HepG2 cells

The invasive ability of HepG2 cells was investigated using a Matrigel invasion assay. The invasion assay results indicated that HepG2 cells had a significantly lower ability to pass through the basement membrane compared to the cells in the other three groups (all P<0.05; Fig. 7A and B). These results indicate that ADAM10 plays a key role in hepatocarcinoma cell invasion.

Figure 7

Gene silencing of ADAM10 reduces the invasive ability of HepG2 cells. (A) A Matrigel Transwell invasion assay was used to test the ability of HepG2 cells to invade the filter membrane (a, blank control group; b, Lipo2000 group; c, control siRNA group and d, ADAM10-siRNA group). (B) Values represent the cell number (means ± SD) per visible field (*P<0.05 compared with blank control group, Lipo2000 group and control siRNA group, respectively). ADAM10, A disintegrin and metalloproteinase 10.

Discussion

Various members of the ADAM family including ADAM10 have been shown to be overexpressed in malignant tumors and may be related to the biological behavior. For example, downregulation of ADAM10 has been shown to suppress cell proliferation and decrease the metastatic potential of adenoid cystic carcinoma cells (23). We hypothesized that the expression of ADAM10 is increased in HCC and their downregulation of ADAM10 may influence the biological behavior of HepG2 cells. However, previous reports that may relate to this hypothesis are scarce. Thus, the purpose of this study was to evaluate the expression of ADAM10 in HCC tissues and adjacent non-tumor tissues and to analyze the relationship between the gene silencing of ADAM10 and the proliferation, invasion and migration capability of HepG2 cells in vitro.

In this study, we characterized the expression of ADAM10 in HCC tissues. Immunohistochemical analysis indicated that ADAM10 expression was significantly elevated in HCC tissues when compared to that in the adjacent non-tumor tissues, suggesting that ADAM10 may be associated with hepatocarcinogenesis. Further survival analysis demonstrated that the high expression of ADAM10 in HCC was significantly correlated with worse prognosis and shorter survival of patients following surgery, suggesting that high expression of ADAM10 may be a valuable predictive factor for HCC prognosis.

Currently, surgery is the preferred treatment method for liver cancer, yet the 5-year survival rate remains extremely low due to the high recurrence rate and the metastatic potential of HCC cells. It is reported that up to 70% of the patients show relapse within 5 years after curative resection (24). Autopsy studies confirm that nearly one-third of all HCC patients have lymph node metastasis, which is the leading cause for distant metastasis and mortality (25). In other studies, overexpression of ADAM10 has been demonstrated to be a potential prognostic indicator for high risk of recurrence and metastasis (18,23,26). Based on these data, it is reasonable to speculate that ADAM10 may play a role in HCC growth and metastasis.

To provide evidence supporting this supposition, we investigated the effects of ADAM10 silencing on the proliferation, invasion and migration of human hepatoma HepG2 cells in vitro. The expression of ADAM10 was specifically knocked down in the human HepG2 cell line using RNAi. Downregulation of ADAM10 resulted in suppression of tumor cell proliferation, which strongly supports that ADAM10 is involved in the process of tumor development. Our data are in line with previous reports showing that ADAM10 expression is correlated with the proliferation of tumor cells. Ko et al(17) demonstrated that the expression of ADAM10 was correlated with increased growth of oral squamous cell carcinoma cells. Arima et al(27) confirmed that suppression of ADAM10 expression leads to a significant decrease in prostate cancer cell growth. The effect of ADAM10 on tumor cell growth may be related to its protease activity. ADAM10 can cleave several critical transmembrane molecules including amyloid precursor protein (28,29). It must be noted that soluble amyloid precursor protein has been related to the growth of several types of cells (30,31), which suggests that ADAM10 may influence the proliferation of HepG2 cells via amyloid precursor protein shedding.

In addition, in the present study, the transfection of ADAM10 siRNA resulted in a significant reduction in cellular invasion and migration of HepG2 cells, which strongly indicates that ADAM10 is involved in the process of HCC metastasis. Our finding is in agreement with previous reports on the functional roles of ADAM10. Biological behaviors of cancer cells are regulated by multiple growth factors and cytokines. Many cytokines and growth factors involved in this process are synthesized as membrane bound proforms which undergo proteolytic shedding for activation. ADAM10 is one of the representative proteases that mediate proteolytic shedding, and this process appears to be involved in the pathophysiology of various diseases such as cancer (9). Tumor metastasis is dependent on the ability of the tumor to degrade the surrounding ECM and reduced cell adhesion. Studies have demonstrated that ADAM10 can cleave and remodel ECM proteins such as CD44. Pan et al(32) found that in the pituitary adenoma cell line, AtT-20, ADAM10 facilitated cell migration through modulation of CD44 and L1 cleavage. In another study, Anderegg et al(33) showed that ADAM10 is the predominant protease involved in the constitutive shedding of endogenous CD44 from melanoma cells. Multiple cell signaling pathways are responsible for cellular proliferation and migration (34). ADAM10 may also promote tumor metastasis by influencing cell-cell signaling. E-cadherin is a transmembrane molecule which functions as an adhesion molecule. Increased expression of ADAM10 may lead to elevated shedding of E-cadherin and loss of cell-cell contact (18). Expression levels of several components of the Notch pathway, which can be cleaved by ADAM10, were upregulated in melanomas compared with common melanocytic nevi (35). Guo et al(15) presented further evidence that ADAM10 promotes non-small cell lung cancer (NSCLC) cell migration and invasion via the activation of the Notch1 signaling pathway. In another study, Gutwein et al(36) demonstrated that the release of cell-associated adhesion molecules such as L1 may be relevant to promote cell migration, and L1 release in AR breast carcinoma cells is mediated by ADAM10. Taken together, ADAM10 is able to modulate a variety of cell-cell and cell-ECM interactions and can consequently digest the basement membrane, facilitate cell migration and promote tumor metastasis. Importantly, in the present study, we discovered that downregulation of ADAM10 via ADAM10-specific siRNA significantly inhibited the proliferation, invasion and migration capability of HepG2 cells, which suggests that ADAM10 is a promising new therapeutic target for the treatment of HCC. In the future, studies using undifferentiated and aggressive hepatocarcinoma cell lines with metastatic potential, such as MHCC97-H and SNU398 may be used to further reveal the role of ADAM10 in hepatocarcinogenesis and HCC progression.

In conclusion, our data revealed that ADAM10 expression in HCC tissues was significantly higher than that in adjacent non-tumor tissues. High expression of ADAM10 may be a valuable predictive factor for HCC prognosis. Reduced ADAM10 expression not only impacted cell proliferation, but also decreased the metastatic potential of HepG2 cells, indicating that ADAM10 may participate in hepatocarcinogenesis and HCC progression. Thus, ADAM10 is a potential therapeutic target for the treatment of HCC.

Acknowledgements

The authors thank Dr Zuoren Wang for review of the manuscript and the helpful comments.

References

1 

El-Serag HB: Hepatocellular carcinoma. N Engl J Med. 365:1118–1127. 2011. View Article : Google Scholar : PubMed/NCBI

2 

Bruix J and Sherman M; American Association for the Study of Liver Diseases. Management of hepatocellular carcinoma: an update. Hepatology. 53:1020–1022. 2011. View Article : Google Scholar : PubMed/NCBI

3 

Wang N, Feng Y, Lau EP, et al: F-actin reorganization and inactivation of rho signaling pathway involved in the inhibitory effect of Coptidis Rhizoma on hepatoma cell migration. Integr Cancer Ther. 9:354–364. 2010. View Article : Google Scholar : PubMed/NCBI

4 

Kanai T, Hirohashi S, Upton MP, et al: Pathology of small hepatocellular carcinoma. A proposal for a new gross classification. Cancer. 60:810–819. 1987. View Article : Google Scholar : PubMed/NCBI

5 

Saftig P and Reiss K: The ‘A Disintegrin And Metalloproteases’ ADAM10 and ADAM17: novel drug targets with therapeutic potential? Eur J Cell Biol. 90:527–535. 2011.

6 

Crawford HC, Dempsey PJ, Brown G, Adam L and Moss ML: ADAM10 as a therapeutic target for cancer and inflammation. Curr Pharm Des. 15:2288–2299. 2009. View Article : Google Scholar : PubMed/NCBI

7 

Postina R, Schroeder A, Dewachter I, et al: A disintegrin-metalloproteinase prevents amyloid plaque formation and hippocampal defects in an Alzheimer disease mouse model. J Clin Invest. 113:1456–1464. 2004. View Article : Google Scholar

8 

Naus S, Blanchet MR, Gossens K, Zaph C, Bartsch JW, McNagny KM and Ziltener HJ: The metalloprotease-disintegrin ADAM8 is essential for the development of experimental asthma. Am J Respir Crit Care Med. 181:1318–1328. 2010. View Article : Google Scholar : PubMed/NCBI

9 

Murphy G: The ADAMs: signalling scissors in the tumour microenvironment. Nat Rev Cancer. 8:929–941. 2008. View Article : Google Scholar : PubMed/NCBI

10 

Lu X, Lu D, Scully M and Kakkar V: ADAM proteins - therapeutic potential in cancer. Curr Cancer Drug Targets. 8:720–732. 2008. View Article : Google Scholar : PubMed/NCBI

11 

Becherer JD and Blobel CP: Biochemical properties and functions of membrane-anchored metalloprotease-disintegrin proteins (ADAMs). Curr Top Dev Biol. 54:101–123. 2003. View Article : Google Scholar : PubMed/NCBI

12 

Huang J, Bridges LC and White JM: Selective modulation of integrin-mediated cell migration by distinct ADAM family members. Mol Biol Cell. 16:4982–4991. 2005. View Article : Google Scholar : PubMed/NCBI

13 

Doberstein K, Pfeilschifter J and Gutwein P: The transcription factor PAX2 regulates ADAM10 expression in renal cell carcinoma. Carcinogenesis. 32:1713–1723. 2011. View Article : Google Scholar : PubMed/NCBI

14 

Gaida MM, Haag N, Günther F, et al: Expression of A disintegrin and metalloprotease 10 in pancreatic carcinoma. Int J Mol Med. 26:281–288. 2010.PubMed/NCBI

15 

Guo J, He L, Yuan P, et al: ADAM10 overexpression in human non-small cell lung cancer correlates with cell migration and invasion through the activation of the Notch1 signaling pathway. Oncol Rep. 28:1709–1718. 2012.PubMed/NCBI

16 

Wang YY, Ye ZY, Li L, Zhao ZS, Shao QS and Tao HQ: ADAM 10 is associated with gastric cancer progression and prognosis of patients. J Surg Oncol. 103:116–123. 2011. View Article : Google Scholar : PubMed/NCBI

17 

Ko SY, Lin SC, Wong YK, Liu CJ, Chang KW and Liu TY: Increase of disintergin metalloprotease 10 (ADAM10) expression in oral squamous cell carcinoma. Cancer Lett. 245:33–43. 2007. View Article : Google Scholar : PubMed/NCBI

18 

Lee SB, Schramme A, Doberstein K, et al: ADAM10 is upregulated in melanoma metastasis compared with primary melanoma. J Invest Dermatol. 130:763–773. 2010. View Article : Google Scholar : PubMed/NCBI

19 

Turner SL, Blair-Zajdel ME and Bunning RA: ADAMs and ADAMTSs in cancer. Br J Biomed Sci. 66:117–128. 2009.PubMed/NCBI

20 

Pawlik TM, Gleisner AL, Anders RA, Assumpcao L, Maley W and Choti MA: Preoperative assessment of hepatocellular carcinoma tumor grade using needle biopsy: implications for transplant eligibility. Ann Surg. 245:435–442. 2007. View Article : Google Scholar

21 

Okuda K, Ohtsuki T, Obata H, et al: Natural history of hepatocellular carcinoma and prognosis in relation to treatment. Study of 850 patients. Cancer. 56:918–928. 1985. View Article : Google Scholar : PubMed/NCBI

22 

Yu Y, Chen W, Zhang Y, Hamburger AW, Pan H and Zhang Z: Suppression of salivary adenoid cystic carcinoma growth and metastasis by ErbB3 binding protein Ebp1 gene transfer. Int J Cancer. 120:1909–1913. 2007. View Article : Google Scholar : PubMed/NCBI

23 

Xu Q, Liu X, Chen W and Zhang Z: Inhibiting adenoid cystic carcinoma cell growth and metastasis by blocking the expression of ADAM 10 using RNA interference. J Transl Med. 8:1362010. View Article : Google Scholar : PubMed/NCBI

24 

Llovet JM, Schwartz M and Mazzaferro V: Resection and liver transplantation for hepatocellular carcinoma. Semin Liver Dis. 25:181–200. 2005. View Article : Google Scholar : PubMed/NCBI

25 

Zhu W, Owusu L, Zang S, Zhang Y, Xin Y and Yan C: GRP78 and GAL3, differentially regulated by lymph node homogenates, as potential biomarkers for lymph node metastasis in mouse hepatocellular carcinoma cells. Oncol Lett. 4:1374–1378. 2012.PubMed/NCBI

26 

Gavert N, Conacci-Sorrell M, Gast D, Schneider A, Altevogt P, Brabletz T and Ben-Ze’ev A: L1, a novel target of β-catenin signaling, transforms cells and is expressed at the invasive front of colon cancers. J Cell Biol. 168:633–642. 2005.

27 

Arima T, Enokida H, Kubo H, et al: Nuclear translocation of ADAM-10 contributes to the pathogenesis and progression of human prostate cancer. Cancer Sci. 98:1720–1726. 2007. View Article : Google Scholar : PubMed/NCBI

28 

Jorissen E, Prox J, Bernreuther C, et al: The disintegrin/metalloproteinase ADAM10 is essential for the establishment of the brain cortex. J Neurosci. 30:4833–4844. 2010. View Article : Google Scholar : PubMed/NCBI

29 

Jacobsen KT, Adlerz L, Multhaup G and Iverfeldt K: Insulin-like growth factor-1 (IGF-1)-induced processing of amyloid-β precursor protein (APP) and APP-like protein 2 is mediated by different metalloproteinases. J Biol Chem. 285:10223–10231. 2010.

30 

Venkataramani V, Rossner C, Iffland L, et al: Histone deacetylase inhibitor valproic acid inhibits cancer cell proliferation via down-regulation of the alzheimer amyloid precursor protein. J Biol Chem. 285:10678–10689. 2010. View Article : Google Scholar : PubMed/NCBI

31 

Fan X, Liu Y, Jiang J, et al: miR-20a promotes proliferation and invasion by targeting APP in human ovarian cancer cells. Acta Biochim Biophys Sin. 42:318–324. 2010. View Article : Google Scholar : PubMed/NCBI

32 

Pan Y, Han C, Wang C, et al: ADAM10 promotes pituitary adenoma cell migration by regulating cleavage of CD44 and L1. J Mol Endocrinol. 49:21–33. 2012. View Article : Google Scholar : PubMed/NCBI

33 

Anderegg U, Eichenberg T, Parthaune T, et al: ADAM10 is the constitutive functional sheddase of CD44 in human melanoma cells. J Invest Dermatol. 129:1471–1482. 2009. View Article : Google Scholar : PubMed/NCBI

34 

DeCicco-Skinner KL, Nolan SJ, Deshpande MM, Trovato EL, Dempsey TA and Wiest JS: Altered prostanoid signaling contributes to increased skin tumorigenesis in Tpl2 knockout mice. PLoS One. 8:e562122013. View Article : Google Scholar : PubMed/NCBI

35 

Massi D, Tarantini F, Franchi A, et al: Evidence for differential expression of Notch receptors and their ligands in melanocytic nevi and cutaneous malignant melanoma. Mod Pathol. 19:246–254. 2006. View Article : Google Scholar : PubMed/NCBI

36 

Gutwein P, Oleszewski M, Mechtersheimer S, Agmon-Levin N, Krauss K and Altevogt P: Role of Src kinases in the ADAM-mediated release of L1 adhesion molecule from human tumor cells. J Biol Chem. 275:15490–15497. 2000. View Article : Google Scholar : PubMed/NCBI

Related Articles

  • Abstract
  • View
  • Download
  • Twitter
Copy and paste a formatted citation
Spandidos Publications style
Yuan S, Lei S and Wu S: ADAM10 is overexpressed in human hepatocellular carcinoma and contributes to the proliferation, invasion and migration of HepG2 cells. Oncol Rep 30: 1715-1722, 2013.
APA
Yuan, S., Lei, S., & Wu, S. (2013). ADAM10 is overexpressed in human hepatocellular carcinoma and contributes to the proliferation, invasion and migration of HepG2 cells. Oncology Reports, 30, 1715-1722. https://doi.org/10.3892/or.2013.2650
MLA
Yuan, S., Lei, S., Wu, S."ADAM10 is overexpressed in human hepatocellular carcinoma and contributes to the proliferation, invasion and migration of HepG2 cells". Oncology Reports 30.4 (2013): 1715-1722.
Chicago
Yuan, S., Lei, S., Wu, S."ADAM10 is overexpressed in human hepatocellular carcinoma and contributes to the proliferation, invasion and migration of HepG2 cells". Oncology Reports 30, no. 4 (2013): 1715-1722. https://doi.org/10.3892/or.2013.2650
Copy and paste a formatted citation
x
Spandidos Publications style
Yuan S, Lei S and Wu S: ADAM10 is overexpressed in human hepatocellular carcinoma and contributes to the proliferation, invasion and migration of HepG2 cells. Oncol Rep 30: 1715-1722, 2013.
APA
Yuan, S., Lei, S., & Wu, S. (2013). ADAM10 is overexpressed in human hepatocellular carcinoma and contributes to the proliferation, invasion and migration of HepG2 cells. Oncology Reports, 30, 1715-1722. https://doi.org/10.3892/or.2013.2650
MLA
Yuan, S., Lei, S., Wu, S."ADAM10 is overexpressed in human hepatocellular carcinoma and contributes to the proliferation, invasion and migration of HepG2 cells". Oncology Reports 30.4 (2013): 1715-1722.
Chicago
Yuan, S., Lei, S., Wu, S."ADAM10 is overexpressed in human hepatocellular carcinoma and contributes to the proliferation, invasion and migration of HepG2 cells". Oncology Reports 30, no. 4 (2013): 1715-1722. https://doi.org/10.3892/or.2013.2650
Follow us
  • Twitter
  • LinkedIn
  • Facebook
About
  • Spandidos Publications
  • Careers
  • Cookie Policy
  • Privacy Policy
How can we help?
  • Help
  • Live Chat
  • Contact
  • Email to our Support Team