Spandidos Publications Logo
  • About
    • About Spandidos
    • Aims and Scopes
    • Abstracting and Indexing
    • Editorial Policies
    • Reprints and Permissions
    • Job Opportunities
    • Terms and Conditions
    • Contact
  • Journals
    • All Journals
    • Oncology Letters
      • Oncology Letters
      • Information for Authors
      • Editorial Policies
      • Editorial Board
      • Aims and Scope
      • Abstracting and Indexing
      • Bibliographic Information
      • Archive
    • International Journal of Oncology
      • International Journal of Oncology
      • Information for Authors
      • Editorial Policies
      • Editorial Board
      • Aims and Scope
      • Abstracting and Indexing
      • Bibliographic Information
      • Archive
    • Molecular and Clinical Oncology
      • Molecular and Clinical Oncology
      • Information for Authors
      • Editorial Policies
      • Editorial Board
      • Aims and Scope
      • Abstracting and Indexing
      • Bibliographic Information
      • Archive
    • Experimental and Therapeutic Medicine
      • Experimental and Therapeutic Medicine
      • Information for Authors
      • Editorial Policies
      • Editorial Board
      • Aims and Scope
      • Abstracting and Indexing
      • Bibliographic Information
      • Archive
    • International Journal of Molecular Medicine
      • International Journal of Molecular Medicine
      • Information for Authors
      • Editorial Policies
      • Editorial Board
      • Aims and Scope
      • Abstracting and Indexing
      • Bibliographic Information
      • Archive
    • Biomedical Reports
      • Biomedical Reports
      • Information for Authors
      • Editorial Policies
      • Editorial Board
      • Aims and Scope
      • Abstracting and Indexing
      • Bibliographic Information
      • Archive
    • Oncology Reports
      • Oncology Reports
      • Information for Authors
      • Editorial Policies
      • Editorial Board
      • Aims and Scope
      • Abstracting and Indexing
      • Bibliographic Information
      • Archive
    • Molecular Medicine Reports
      • Molecular Medicine Reports
      • Information for Authors
      • Editorial Policies
      • Editorial Board
      • Aims and Scope
      • Abstracting and Indexing
      • Bibliographic Information
      • Archive
    • World Academy of Sciences Journal
      • World Academy of Sciences Journal
      • Information for Authors
      • Editorial Policies
      • Editorial Board
      • Aims and Scope
      • Abstracting and Indexing
      • Bibliographic Information
      • Archive
    • International Journal of Functional Nutrition
      • International Journal of Functional Nutrition
      • Information for Authors
      • Editorial Policies
      • Editorial Board
      • Aims and Scope
      • Abstracting and Indexing
      • Bibliographic Information
      • Archive
    • International Journal of Epigenetics
      • International Journal of Epigenetics
      • Information for Authors
      • Editorial Policies
      • Editorial Board
      • Aims and Scope
      • Abstracting and Indexing
      • Bibliographic Information
      • Archive
    • Medicine International
      • Medicine International
      • Information for Authors
      • Editorial Policies
      • Editorial Board
      • Aims and Scope
      • Abstracting and Indexing
      • Bibliographic Information
      • Archive
  • Articles
  • Information
    • Information for Authors
    • Information for Reviewers
    • Information for Librarians
    • Information for Advertisers
    • Conferences
  • Language Editing
Spandidos Publications Logo
  • About
    • About Spandidos
    • Aims and Scopes
    • Abstracting and Indexing
    • Editorial Policies
    • Reprints and Permissions
    • Job Opportunities
    • Terms and Conditions
    • Contact
  • Journals
    • All Journals
    • Biomedical Reports
      • Information for Authors
      • Editorial Policies
      • Editorial Board
      • Aims and Scope
      • Abstracting and Indexing
      • Bibliographic Information
      • Archive
    • Experimental and Therapeutic Medicine
      • Information for Authors
      • Editorial Policies
      • Editorial Board
      • Aims and Scope
      • Abstracting and Indexing
      • Bibliographic Information
      • Archive
    • International Journal of Epigenetics
      • Information for Authors
      • Editorial Policies
      • Editorial Board
      • Aims and Scope
      • Abstracting and Indexing
      • Bibliographic Information
      • Archive
    • International Journal of Functional Nutrition
      • Information for Authors
      • Editorial Policies
      • Editorial Board
      • Aims and Scope
      • Abstracting and Indexing
      • Bibliographic Information
      • Archive
    • International Journal of Molecular Medicine
      • Information for Authors
      • Editorial Policies
      • Editorial Board
      • Aims and Scope
      • Abstracting and Indexing
      • Bibliographic Information
      • Archive
    • International Journal of Oncology
      • Information for Authors
      • Editorial Policies
      • Editorial Board
      • Aims and Scope
      • Abstracting and Indexing
      • Bibliographic Information
      • Archive
    • Medicine International
      • Information for Authors
      • Editorial Policies
      • Editorial Board
      • Aims and Scope
      • Abstracting and Indexing
      • Bibliographic Information
      • Archive
    • Molecular and Clinical Oncology
      • Information for Authors
      • Editorial Policies
      • Editorial Board
      • Aims and Scope
      • Abstracting and Indexing
      • Bibliographic Information
      • Archive
    • Molecular Medicine Reports
      • Information for Authors
      • Editorial Policies
      • Editorial Board
      • Aims and Scope
      • Abstracting and Indexing
      • Bibliographic Information
      • Archive
    • Oncology Letters
      • Information for Authors
      • Editorial Policies
      • Editorial Board
      • Aims and Scope
      • Abstracting and Indexing
      • Bibliographic Information
      • Archive
    • Oncology Reports
      • Information for Authors
      • Editorial Policies
      • Editorial Board
      • Aims and Scope
      • Abstracting and Indexing
      • Bibliographic Information
      • Archive
    • World Academy of Sciences Journal
      • Information for Authors
      • Editorial Policies
      • Editorial Board
      • Aims and Scope
      • Abstracting and Indexing
      • Bibliographic Information
      • Archive
  • Articles
  • Information
    • For Authors
    • For Reviewers
    • For Librarians
    • For Advertisers
    • Conferences
  • Language Editing
Login Register Submit
  • This site uses cookies
  • You can change your cookie settings at any time by following the instructions in our Cookie Policy. To find out more, you may read our Privacy Policy.

    I agree
Search articles by DOI, keyword, author or affiliation
Search
Advanced Search
presentation
Oncology Reports
Join Editorial Board Propose a Special Issue
Print ISSN: 1021-335X Online ISSN: 1791-2431
Journal Cover
December-2022 Volume 48 Issue 6

Full Size Image

Sign up for eToc alerts
Recommend to Library

Journals

International Journal of Molecular Medicine

International Journal of Molecular Medicine

International Journal of Molecular Medicine is an international journal devoted to molecular mechanisms of human disease.

International Journal of Oncology

International Journal of Oncology

International Journal of Oncology is an international journal devoted to oncology research and cancer treatment.

Molecular Medicine Reports

Molecular Medicine Reports

Covers molecular medicine topics such as pharmacology, pathology, genetics, neuroscience, infectious diseases, molecular cardiology, and molecular surgery.

Oncology Reports

Oncology Reports

Oncology Reports is an international journal devoted to fundamental and applied research in Oncology.

Experimental and Therapeutic Medicine

Experimental and Therapeutic Medicine

Experimental and Therapeutic Medicine is an international journal devoted to laboratory and clinical medicine.

Oncology Letters

Oncology Letters

Oncology Letters is an international journal devoted to Experimental and Clinical Oncology.

Biomedical Reports

Biomedical Reports

Explores a wide range of biological and medical fields, including pharmacology, genetics, microbiology, neuroscience, and molecular cardiology.

Molecular and Clinical Oncology

Molecular and Clinical Oncology

International journal addressing all aspects of oncology research, from tumorigenesis and oncogenes to chemotherapy and metastasis.

World Academy of Sciences Journal

World Academy of Sciences Journal

Multidisciplinary open-access journal spanning biochemistry, genetics, neuroscience, environmental health, and synthetic biology.

International Journal of Functional Nutrition

International Journal of Functional Nutrition

Open-access journal combining biochemistry, pharmacology, immunology, and genetics to advance health through functional nutrition.

International Journal of Epigenetics

International Journal of Epigenetics

Publishes open-access research on using epigenetics to advance understanding and treatment of human disease.

Medicine International

Medicine International

An International Open Access Journal Devoted to General Medicine.

Journal Cover
December-2022 Volume 48 Issue 6

Full Size Image

Sign up for eToc alerts
Recommend to Library

  • Article
  • Citations
    • Cite This Article
    • Download Citation
    • Create Citation Alert
    • Remove Citation Alert
    • Cited By
  • Similar Articles
    • Related Articles (in Spandidos Publications)
    • Similar Articles (Google Scholar)
    • Similar Articles (PubMed)
  • Download PDF
  • Download XML
  • View XML
Article Open Access

Kidney in VHL disease: Early clear cell proliferation occurs in the distal tubular system

  • Authors:
    • Nayef S. A-Gharaibeh
    • Constance J. Temm
    • Sharon B. Shively
    • Alexander O. Vortmeyer
  • View Affiliations / Copyright

    Affiliations: Department of Pathology, Indiana University School of Medicine, Indianapolis, IN 46202, USA, Surgical Neurology Branch, National Institute of Neurological Disorders and Stroke, Bethesda, MD 20892, USA
    Copyright: © A-Gharaibeh et al. This is an open access article distributed under the terms of Creative Commons Attribution License.
  • Article Number: 222
    |
    Published online on: November 1, 2022
       https://doi.org/10.3892/or.2022.8437
  • Expand metrics +
Metrics: Total Views: 0 (Spandidos Publications: | PMC Statistics: )
Metrics: Total PDF Downloads: 0 (Spandidos Publications: | PMC Statistics: )
Cited By (CrossRef): 0 citations Loading Articles...

This article is mentioned in:



Abstract

Renal clear cell carcinoma commonly occurs in patients with von Hippel‑Lindau disease (VHL). Kidneys of VHL disease patients (VHL kidneys) contain an abundance of independent clear cell proliferation events that have been hypothesized to represent precursor structures of clear cell carcinoma. In the present study, it was tried to identify the site of origin of clear cell proliferation, and the immunophenotype of clear cells. Using 3D histological tracking, the topographic origin of microscopic clear cell proliferation was investigated by identification of informative structures of interest and immunohistochemical staining for cluster of differentiation 10 (CD10) and cytokeratin 7 (CK7) in consecutive serial sections. In addition, the CD10/CK7 immunophenotype of proliferating clear cells was evaluated. Clear cell proliferation uniformly occurred in the distal tubular system. Some clear cell proliferation, however, revealed proximal tubule immunophenotype. It was concluded that early proliferation of VHL‑deficient clear cells occurs in the distal tubular system. Despite the association with the distal tubular system, the immunohistochemical profile of early clear cell proliferation may be inconsistent with its distal tubular origin.

Introduction

Renal clear cell carcinoma (RCCC) commonly occurs in patients with VHL disease (1). Tumorigenesis occurs secondary to germline VHL gene mutation and inactivation of the VHL wild-type allele in the cancer cell of origin. Biology and topography of the cell of origin have remained controversial (2). Following original histochemical (3), and immunofluorescent (4,5) studies, the main approach for determination of the RCCC cell of origin has been the immunohistochemical characterization of the neoplastic clear cells with a series of markers specific for proximal or distal tubules, or collecting ducts. Several such studies were conducted with remarkably different results. Certain studies firmly concluded the clear cancer cells to be derived from proximal tubules (3–8), while other studies identified the origin of neoplastic clear cells in the distal tubular system (9–11). Others found evidence for both proximal and distal tubular differentiation and hypothesized that the RCCC cell of origin may exhibit different degrees of differentiation (12–14); this hypothesis implied that immunohistochemical study may be more appropriate for study of cancer cell differentiation potential rather than for study of cancer cell origin.

A new approach was applied by Mandriota et al (15) who studied microscopic nests of clear cell accumulations in kidney tissue of VHL patients. By immunohistochemical analysis for carbonic anhydrase IX (CAIX), the authors were able to verify VHL inactivation in the clear cells, while immunohistochemistry for Tamm-Horsfall distal tubule protein (THP) identified associated distal tubular cells. Importantly, the authors concluded that groups of clear cells were exclusively observed in the distal tubular system, and not present in the proximal tubular system suggesting proliferative activity to be confined to the distal tubular system. Although these seminal findings were published in 2002, authoritative literature has been holding on to the concept of proximal tubular origin (16–20). Main arguments for proximal tubular origin continue to be shared positive immunoreactivity of cancer cells with markers for proximal tubules (17,20), or shared gene expression of cancer cells with proximal tubules (19). Certain degree of confusion has, however, been appreciated (17), as RCCCs may express or co-express a variety of markers of different tubular segments including the distal tubular system (17).

Histologic features were recently captured in entire tissue blocks of normal kidney tissue of VHL patients; quantitative numerical analysis of independent events of VHL-inactivation provided strong evidence that groups of VHL-inactivated cells in the human nephron are the result of cellular amplification (21). Our collection of H&E-stained sections at 50 µm intervals has allowed us to re-examine the question of origin of clear cell proliferation by a different and independent approach. First, authors are fully informed about the three-dimensional extension of every single histopathologic structure under study, and it could be claimed with absolute certainty that clear cell proliferations do not represent extensions of larger pathologic processes invisible on the original section. Secondly, H&E-stained sections for structures of interest were primarily analyzed, followed by investigation of CAIX+ structures. Thirdly, immunohistochemistry for cluster of differentiation 10 (CD10) and cytokeratin 7 (CK7) was performed to identify the tubular cells associated with clear cells proliferation.

An algorithm is a finite sequence of instructions to solve a problem (21), describes a series of rigorous steps that were taken to obtain suitable tissue blocks for analysis from VHL kidneys. For each case, the same protocol was applied: Transforming the kidney into cuboids, cuboid selection, creation of blocks, block selection, block of interest selection, serial sectioning, followed by additional steps to allow for 3d assessment.

Beyond analysis of pre-existent tubular cells, clear cell proliferation events for CD10 and CK7 were also investigated to study the faithfulness with which the clear cell immunophenotype is reflective of its tubular origin. In addition, results were associated with a recent study that identified distinct expression patterns of HIF-1 alpha and HIF-2 alpha in human kidneys (22).

Materials and methods

Patients

The present study was reviewed and approved (approval no. 609/2019) by the ethical committee of the Deanship of Research at Jordan University of Science and Technology. The VHL patients had died between the ages of 50 and 65 years (average 58.5 year). Tissues were collected during autopsy of four patients with confirmed germline mutations of the VHL gene and established clinical diagnosis of VHL disease at the National Institutes of Health between January 2000 and December 2006 (designated as ‘VHL kidneys’). Three patients were male and one female. Causes of death were pneumonia in two cases, metastatic renal cell carcinoma, and intracerebral hemorrhage. All patients had other VHL disease-associated tumors including hemangioblastomas, epididymal cystadenomas, endolymphatic sac tumors and microcystic adenomas of the pancreas. Clinical data of patients are presented in Table I.

Table I.

Clinical data of patients.

Table I.

Clinical data of patients.

Age, years/sexVHL-related pathologySurgeriesCause of death
Case 160/maleHBs cerebellum and spinal cordHB resection cerebellumIntracerebral hemorrhage
Case 265/male3 cerebellar HBs, renal cysts and RCCC, ECA1992 resection cerebellar HB, Radiotherapy for brainstem HBHemorrhagic pneumonia
Case 359/femaleHBs cerebellum and spinal cord, RCCC and cysts1990 spinal cord HBCerebellar hemorrhage
1990 partial nephrectomy
1990 cerebellar HB
1992 spinal HB resection
1998 right hip arthroplasty
Case 450/male2 HBs cerebellum, multiple HBs spinal cord, RCC and cysts both kidneys, MCA pancreas, ECAPartial nephrectomy, HB resection cerebellumSepsis, wide-spread metastatic renal cell carcinoma

[i] HB, hemangioblastoma; RCCC, renal clear cell carcinoma; MCA, microcystic adenoma; ECA, epididymal cystadenoma.

All patients had provided informed consent to be treated for VHL disease at NIH. This informed consent included autopsy to be performed. Certain of the patients demanded autopsy investigation for the purpose of improved understanding of this disease. Dissection was performed under IRB 03N-0164.

Preliminary studies

Preliminary studies were performed to identify reliable markers for the proximal and distal tubular systems on unstained sections that were cut previously for 3D reconstruction of paraffin blocks (21). Random kidney sections were immunostained for CD138, CD10, epithelial membrane antigen (EMA), E-cadherin (cat. no. GAO59; Dako; Agilent Technologies, Inc.), CK AE1/AE3 and CK7. All antibodies were in a ‘ready to use’ formal. For CK AE1/AE3 and CK7, no secondary antibody was used. For CD10 and CD138, EnVision-flex+ mouse link was used (ready to use; cat. no. K800221-2; Agilent Technologies, Inc.; 20 min incubation at room temperature). After de-paraffinizing slides with 5-µm sections in xylene, for those antibodies AE1/AE3 (cat. no. IR053), CD10 (cat. no. IR648), CD138 (cat. no. IR642), EMA (cat. no. IR629; all from Dako; Agilent Technologies, Inc.) and CAIX (cat. no. 379R-18; Cell Marque) all underwent antigen retrieval in a high pH buffer in the Dako PT module (for 20 min at 99-degree Fahrenheit) followed by 20 min incubation with the primary antibody at room temperature. Those for CK7 (cat. no. IR619; Dako; Agilent Technologies, Inc.) and E-cadherin were retrieved in low pH buffer in the PT module with 10 min primary antibody incubations. They were all visualized using the Dako Flex-hrp system and developed with DAB. Staining results were evaluated and best quality of staining was found for CD10 and CK7. Both antibodies reliably and specifically identified the proximal tubular system (CD10) and the distal tubular system (CK7) (23–25). Selected sections were also immunostained for Glut1 and vimentin. Tissue sections were first treated with hydrogen peroxide blocking agent, followed by antigen retrieval; low pH was applied for Glut1, Lab Vision RB-9052; high pH was used for vimentin, DAKo/Agilent IR630. They were then incubated with the primary antibody for 10 min at room temperature. For Glut1 there was an incubation with a linker Flex+R, then both were subjected to the detecting agent Flex-hrp (Agilent Flex kit) for 10 min followed by the color development using DAB for 10 min.

All immunohistochemical studies were performed with proper external controls additionally, internal controls stained through the sections. All of controls were human samples of patient cases.

Topographic origin of clear cell proliferation

An algorithm for tissue procurement, processing and 3d analysis of tissue blocks of interest was recently described (21). Having applied that approach, access was gained to seven serially sectioned VHL kidney blocks from 4 different patients as well as 3 serially sectioned control blocks (kidneys of patients with sporadic RCCC). As previously described, H&E-stained sections have been digitized at 50 µ intervals (21).

For the present study, histologic review of H&E-stained slides from 7 VHL kidney blocks (total of 140 slides) was performed, interrogating for structures of interest. All H&E-stained slides were scanned (20–30 per case, taken at depths of 50 µm) and 11 hybrid structures were identified. By immunohistochemical analysis of consecutive sections, they were all positive for CAIX. Structures of interest were defined as clear cell proliferations that occurred in continuity with normal tubular epithelium. ‘Hybrid’ structures of interest were defined as tubular structures that contained multiple renal tubular cells as well as a chain of multiple clear cells (Fig. 1). In those ‘hybrid’ structures of interest as defined above, it was generally difficult to identify the tubular segment of origin by histomorphology alone as there appeared to be distorting effect on the tubular epithelium secondary to the clear cell proliferation. In consecutive sections, immunohistochemistry was performed for CK7 and CD10 for definitive identification of the tubular segment. In addition, immunohistochemistry was performed for CAIX for confirmation of VHL deficiency in the clear cell proliferation event.

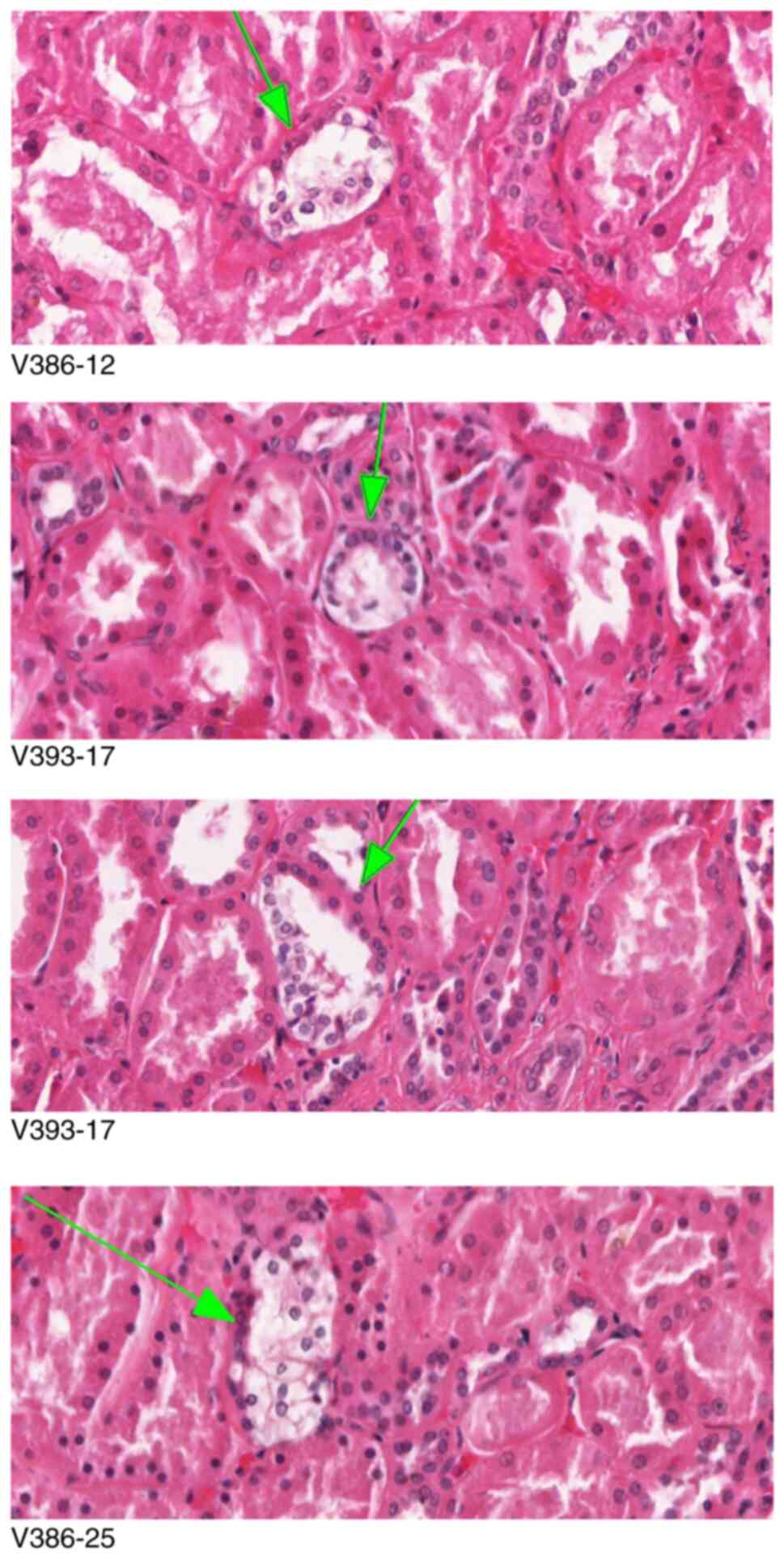
Figure 1.

‘Hybrid’ structures of interest (H&E-stained sections). Both normal tubular cells (arrows) and a clear cell chain were visible within the same tubular structure; clear and tubular cell components were of sufficient size to be represented in consecutive sections and to allow for immunohistochemical characterization (magnification, ×200).

After identification of the topographic origin of all ‘hybrid’ structures of interest discovered on H&E-stained sections, all immunohistochemical preparations for CAIX were re-examined, identifying 81 additional CAIX+ and three CAIX-negative clear cell chains and clusters that were also represented in consecutive sections, immunostained for CK7 and CD10. The consecutive sections were analyzed for the tubular cells associated with the CAIX+ clear cells.

Immunohistochemical characterization of clear cell proliferations

Re-examination was performed of all 92 CAIX+ and three CAIX-negative clear cell chains and clusters including consecutive slides immunostained for CD10 and CK7. The purpose of this analysis was to examine whether clear cells would be immunoreactive for CD10 or CK7.

Results

Identification of topographic origin of clear cell proliferation

A total of 11 ‘hybrid’ structures of interest (clear cell proliferation adjacent to a tubular cell segment) were identified on H&E-stained sections by light microscopy and characterized by immunohistochemistry on consecutive sections (Fig. 1). These ‘hybrid’ structures were identified in two out of three VHL kidneys. They were identified in three different blocks on 4 different slides. The renal tubular cells that were continuous with the clear cell proliferation were consistently positive for CK7 and consistently negative for CD10 (Fig. 2). The clear cells were consistently positive for CAIX.

Figure 2.

Clear cell proliferation occurs in distal tubules. Immunohistochemical analysis for CK7 identified distal tubular cells in two separate tubular profiles, while clear cells were negative for CK7. Both tubular and clear cells were negative for CD10. The designation at the bottom of each picture identified the tissue block and the number of the serial section. Upper panel, H&E (magnification ×200); middle panel, immunohistochemical analysis for CK7 (magnification, ×200); bottom panel, immunohistochemical analysis for CD10 (magnification ×200). CK7, cytokeratin 7; CD10, cluster of differentiation 10.

Additionally, identified in the CAIX-immunostained sections were 81 CAIX+ clear cell chains or clusters. In total, 18 of these clear cell proliferations were identified in two out of three VHL kidneys. They were identified in four different blocks on 5 different slides (Table II). The renal tubular cells were consistently positive for CK7 and consistently negative for CD10.

Table II.

A total of 18 ‘hybrid’ structures of interest discovered on carbonic anhydrase IX+ -stained sections in two patients of four different blocks on five different slides.

Table II.

A total of 18 ‘hybrid’ structures of interest discovered on carbonic anhydrase IX+ -stained sections in two patients of four different blocks on five different slides.

Patient 1Patient 2


Block 12Block 25Block 26Block 17Block 17
Slide 150Slide 29Slide 26Slide 62Slide 205
25272

Additionally, identified in the CAIX-immunostained sections were three CAIX-negative clear cell chains or clusters (Fig. 3), as previously identified and associated with de-repression of HIF-2alpha (22). In contrast to those previously described Schietke type II lesions, however, the CAIX-negative clusters/chains in the present study showed only faint or no immunoreactivity with anti-Glut1 or anti-vimentin (Fig. 3). Similar to Schietke type II lesions, they were immunonegative for E-cadherin.

Figure 3.

CAIX-negative clear cell proliferations. Upper row demonstrated weak immunoreactivity with anti-Glut1 (magnification, ×200) and anti-vimentin (magnification, ×200) and negative reactivity with anti-E-cadherin (20X). Middle row demonstrated CAIX-negative clear cell cluster that has disappeared on consecutive sections, and therefore cannot be further characterized (magnification, ×200). Lower row shows clear cell cluster, negative for CAIX (magnification, ×200), Glut1 (magnification, ×200), vimentin (magnification, ×200) and E-cadherin (magnification, ×200). CAIX, carbonic anhydrase IX.

In total, 29 distal tubules containing clear cell proliferation were therefore identified, all with CAIX+. A proximal tubule containing clear cell proliferation was not detected, suggesting that clear cell proliferation uniformly occurred in the distal tubular system.

The ninety-five clear cell proliferation events stained variably for either CD10 or CK7. A total of 39 events were negative for both CK7 and CD10 (41.0%), 4 events were positive for CD10 (4.3%), and 52 events were positive for CK7 (54.7%) (Fig. 4). No event was positive for both CD10 and CK7 (Table III). Of the 3 CAIX-negative proliferation events, two were strongly positive for CK7, and one was weakly positive for CK7; none was positive for CD10.

Figure 4.

Clear cell proliferation events are variably positive for CK7 and CD10. The designation at the bottom of each picture identifies the tissue block and the number of the serial section. Upper panel, clear cell proliferation, positive for CK7 (magnification, ×200) and negative for CD10 (magnification, ×200) by immunohistochemistry (arrows). Middle panel, clear cell proliferation, negative for both CK7 (magnification, ×200) and CD10 (magnification, ×200) (arrows). Bottom, clear cell proliferation, positive for CD10 (magnification, ×200) and negative for CK7 (magnification, ×200) (arrows). CK7, cytokeratin 7; CD10, cluster of differentiation 10.

Table III.

Total number of lesions were analyzed according to H&E and immunohistochemical staining.

Table III.

Total number of lesions were analyzed according to H&E and immunohistochemical staining.

CAIX-stained lesionsHybrid structure of interestClear cell immunophenotype



CAIX-positiveCAIX-negative H&E-stainedCAIX-stainedCK7-positiveCD10-positiveBoth CK7/CD10 negativeBoth CK7/CD10 positive
9231118524390

[i] CAIX, carbonic anhydrase IX; CK7, cytokeratin 7; CD10, cluster of differentiation 10.

Additionally, a single pathologic event in the VHL kidney was identified on H&E-stained slide #111 (this lesion has multiple adherent clear cells that replace about 80% of the tubular circumference and 20% are normal tubular cells), then three consecutive serial sections were used for immunohistochemical studies (Fig. 5). Immunohistochemistry for CK7 (slide #108) identified the normal tubular cells as distal tubular cells. Immunohistochemical analysis for CAIX (slide #107) confirmed VHL deficiency of the clear cell proliferation. Immunohistochemical analysis for CD10 (slide #109) was positive in the clear cell proliferation, suggestive of proximal tubular differentiation in VHL-deficient clear cells.

Figure 5.

Selected images of 3D reconstruction of a single pathologic event in VHL kidney. The event was originally identified on H&E-stained slide 111 received from the paraffin block V385-25. From archived consecutive serial sections, sections 107, 108 and 109 were used for immunohistochemical studies. Immunohistochemistry for CK7 (magnification, ×40) identified normal tubular cells as distal tubular cells. Immunohistochemical analysis for CAIX (magnification, ×40) confirmed VHL deficiency of clear cell proliferation. Immunohistochemical analysis for CD10 (magnification, ×40) is positive in the clear cell proliferation. VHL kidney, kidney of von Hippel-Lindau disease patient; CAIX, carbonic anhydrase IX; CK7, cytokeratin 7; CD10, cluster of differentiation 10.

Discussion

It is challenging to histologically study minute cellular proliferation with standard histologic techniques. An obvious limitation of routine histology is that a section represents only a very small amount of tissue, while most of that tissue remains in the tissue block. Once a minute-sized cellular proliferation event is identified in a tissue section, it cannot be further characterized in consecutive sections as the structure of interest is lost when additional sections are performed from that block.

To allow for the creation of serial sections of minute pathologic events, an algorithm was recently developed for 3-dimensional histologic analysis (21). This approach is rewarding in tissues that contain a multiplicity of independent pathologic events, as it has been shown in kidney tissue of VHL kidney. Importantly, this approach not only allows for more detailed characterization of small pathologic events, but also for their quantification.

The limitations of the present study include the low number of cases examined; however, VHL is a rare syndrome with a reported incidence varying from 1/39,000 to 1/91,000 (26). Our way around the low number of cases was to examine as numerous sections as possible from the tissue blocks obtained by performing multiple level sections, analyzing them in consecutive order, tracking all clear cell changes, and correlating the findings to immunohistochemical findings. All immunohistochemical studies were performed with proper external controls-additionally, internal controls stained through the sections. Immunogenicity can be lost over time (given that the tissue was collected years ago). This could be a theoretical explanation for weak Glut1 and vimentin staining in our Schietke type II lesions; however, all our immunostained sections displayed effective internal control. Therefore, there may be more than just two types of early pathogenetic lesions in the VHL kidney, and further investigation is warranted.

An additional limitation is the lack of statistical and morphometric analysis to determine the size distribution of lesions and their classification as arising from proximal or distal tubes. Still, it is strongly considered that morphometric analysis is extremely relevant for the study of the development of clustering clear cells. In the present study, however, structures composed of pre-existent tubular cells and a rim of proliferating clear cells were analyzed. In our view, morphometric analysis is only relevant at a later stage of clear cell proliferation. Our current knowledge, however, is limited regarding the evidence for differentiation into benign and malignant processes at far earlier microscopic stages (15,22). More work on the earliest proliferative changes in the VHL kidney is required.

VHL kidneys reveal an abundance of independent pathologic events, predominantly characterized by intratubular proliferation of VHL-deficient clear cells (21). As there is evidence for a protracted growth from single VHL-deficient clear cells to larger clear cell clusters, it is reasonable to hypothesize that they represent potential cancer precursor structures (21).

While single cell clear cell changes or ‘small chains’ were virtually innumerable, there are exact counts of large chains and cell clusters (21). To address our specific question of tubule of origin, the pathologic event needed to fulfill additional criteria. As immunohistochemistry was performed on serial sections, the lesion needed to reveal multiple normal tubular cells adherent to multiple clear cells.

Multicellular aggregations of VHL-inactivated clear cells were previously identified in the distal tubular system only (15). Using an independent approach, clear cell proliferation was also found to occur exclusively in the distal tubular system. Beyond the previous study, all analyzed microscopic structures were proven to be confined to the tubular system, as their extensions were documented in three dimensions.

As transcription factor HIF if currently under evaluation as a putative therapeutic target, differentiation between CAIX+ lesions (HIF1 alpha+; Schietke type I) and CAIX-negative lesions (HIF2 alpha+; Schietke type II) is of additional interest (22). In the present study, CAIX-immunostained slides numerically revealed far more type I than type II lesions. Large ‘hybrid’ structures, originally identified in H&E-stained sections consistently showed CAIX+ clear cell proliferations. Upon examination of the entire slide, however, smaller CAIX-negative clear cell proliferations were also detected. By immunohistochemical analysis for CK7 and CD10, the CAIX-negative and CAIX+ clear cell proliferations were not distinct from each other. The relatively low number of CAIX-negative proliferation events compared with CAIX+ proliferation events in the present study may be a random event, as the purpose of this study was not quantitative differentiation between type I and type II lesions. Intuitively, a predominance of type I lesions would be consistent with benign cystic growth and only few type II lesions with more aggressive potential. Our current knowledge, however, is extremely limited. While benign cystic growth may transform into malignancy (27) in the VHL kidney, evidence for differentiation into benign and malignant processes at far earlier microscopic stages has been provided (15,22). Further research on earliest proliferative changes in the VHL kidney is required.

Furthermore, first evidence was provided that immunohistochemical reactivity of early proliferating clear cells can markedly differ from that of the tubule of origin, and therefore may not allow to predict the origin of the clear cells. A total of 52/95 clear cell proliferations (54.7%) were positive for CK7, and therefore congruent with their site of origin. By contrast, 39/95 clear cell proliferations (41.0%) were negative for both CK7 and CD10. Most remarkably, however, 4/95 clear cell proliferations (4.3%) were positive for proximal marker CD10, although the clear cell proliferation occurred in the distal tubular system. The results therefore demonstrated that the immunophenotype of VHL-deficient clear cells in the kidney does not necessarily reflect their site of origin. While more investigation is necessary, this result is consistent with the clear cell to represent an intratubular progenitor cell the immunophenotype of which may relate to its state of differentiation. VHL deficiency of the clear cell and upregulation of hypoxia-associated proteins may further contribute to aberrant immunophenotype. Multiple immunohistochemical studies have produced highly variable results in regard to shared immunoreactivity of RCCC clear cells with the proximal and distal renal tubular system (17). The present study demonstrated that variability of immunohistochemical reaction is already evident in earliest stages of clear cell proliferation.

In summary, our results confirmed and expanded previous findings that proliferation of VHL-inactivated clear cells is confined to the distal renal tubules. Earliest clear cell proliferations reveal a diverse immunophenotype, likely in analogy to frank renal cancer.

Acknowledgements

The authors would like to acknowledge the Sandusky laboratory (Indiana University School of Medicine) for digitization of slides; Dr Carrie L. Philips (Indiana University School of Medicine, Department of Pathology) for providing information on markers and reviewing selected images; Miss Lee-Ann Baldridge (Indiana University School of Medicine, Histology Research Technician, Department of Pathology) for assistance with additional IHC stains and Mr Haitham Al-Gharaibeh (Internal Design Studio, Amman-Jordan) for assistance with image documentation.

Funding

The present study was partially supported by the Deanship of Research of Jordan University of Science of Technology (grant no. 609/2019), and by the Department of Pathology, University of Indiana Medical School.

Availability of data and materials

The datasets used and/or analyzed during the current study are available from the corresponding author on reasonable request.

Authors' contributions

CJT performed immunohistochemical staining and participated in writing parts of the manuscript. SBS assisted with additional immunohistochemistry and drafting the new manuscript. NSA-G participated in study execution, data interpretation and manuscript writing. AOV participated in study design, study execution, data interpretation and manuscript writing. All authors read and approved the final version of the manuscript.

Ethics approval and consent to participate

The present study was reviewed and approved (approval no. 609/2019) by the ethical committee of the Deanship of Research at Jordan University of Science and Technology. The VHL tissues were derived from autopsy patients. Autopsies were performed between 2001 and 2005. All tissues of interest were submitted to the Surgical Neurology Branch Tumor Bank Repository. The Tumor Bank contains specimens routinely procured at the time of surgery or autopsy under IRB Protocol 03N-0164. Written informed consent was provided by all patients for being treated for VHL disease at NIH. This informed consent included autopsy. Dissection was performed under IRB 03N-0164.

Patient consent for publication

Not applicable.

Competing interests

The authors declare that they have no competing interests.

Glossary

Abbreviations

Abbreviations:

VHL kidney

kidney of von Hippel-Lindau disease patient

RCCC

renal clear cell carcinoma

EMA

epithelial membrane antigen

THP

Tamm-Horsfall distal tubule protein

CAIX

carbonic anhydrase IX

H&E

hematoxylin and eosin

CK7

cytokeratin 7

CD10

cluster of differentiation 10

EMA

epithelial membrane antigen

Glut1

glucose transporter protein 1

HIF

hypoxia-inducible factor

References

1 

Lonser RR, Glenn GM, Walther M, Chew EY, Libutti SK, Linehan WM and Oldfield EH: Von Hippel-Lindau disease. Lancet. 361:2059–2067. 2003. View Article : Google Scholar : PubMed/NCBI

2 

Glasker S, Vergauwen E, Koch CA, Kutikov A and Vortmeyer AO: Von Hippel-Lindau disease: Current challenges and future propects. Onco Targets Ther. 13:5669–5690. 2020. View Article : Google Scholar : PubMed/NCBI

3 

Braunstein H and Adelman JU: Histochemical study of the enzymatic activity of human neoplasms. II. Histogenesis of renal cell carcinoma. Cancer. 19:935–938. 1966. View Article : Google Scholar : PubMed/NCBI

4 

Holthöfer H, Miettinen A, Paasivuo R, Lehto VP, Linder E, Alfthan O and Virtanen I: Cellular origin and differentiation of renal carcinomas. A fluorescence microscopic study with kidney-specific antibodies, antiintermediate filament antibodies, and lectins. Lab Invest. 49:317–326. 1983.PubMed/NCBI

5 

Wallace AC and Nairn RC: Renal tubular antigens in kidney tumors. Cancer. 29:977–981. 1972. View Article : Google Scholar : PubMed/NCBI

6 

Gröne HJ, Weber K, Helmchen U and Osborn M: Villin-a marker of brush border differentiation and cellular origin in human renal cell carcinoma. Am J Pathol. 124:294–302. 1986.PubMed/NCBI

7 

Kageyama Y, Sasaki S, Yamamura Y, Oshima H and Ikawa Y: Water channel protein subtype suggests the origin of renal cell carcinoma. J Urol. 156:291–295. 1996. View Article : Google Scholar : PubMed/NCBI

8 

Motzer RJ, Bander NH and Nanus DM: Renal-cell carcinoma. N Engl J Med. 335:865–875. 1996. View Article : Google Scholar : PubMed/NCBI

9 

Aizawa S, Kikuchi Y, Suzuki M and Furusato M: Renal cell carcinoma of lower nephron origin. Acta Pathol Jpn. 37:567–574. 1987.PubMed/NCBI

10 

Cao Y, Karsten U, Zerban H and Bannasch P: Expression of MUC1, Thomsen-Friedenreich-related antigens, and cytokeratin 19 in human renal cell carcinomas and tubular clear cell lesions. Virchows Arch. 436:119–126. 2000. View Article : Google Scholar : PubMed/NCBI

11 

Nogueira E, Klimek F, Weber E and Bannasch P: Collecting duct origin of rat renal clear cell tumors. Virchows Arch B Cell Pathol Incl Mol Pathol. 57:275–283. 1989. View Article : Google Scholar : PubMed/NCBI

12 

Cohen C, McCue PA and Derose PB: Histogenesis of renal cell carcinoma and renal oncocytoma. An immunohistochemical study. Cancer. 62:1946–1951. 1988. View Article : Google Scholar : PubMed/NCBI

13 

Droz D, Zachar D, Charbit L, Gogusev J, Chrétein Y and Iris L: Expression of the human nephron differentiation molecules in renal cell carcinomas. Am J Pathol. 137:895–905. 1990.PubMed/NCBI

14 

Markovic-Lipkovski J, Brasanac D, Todorovic V, Müller CA and Müller GA: Immunomorphological characteristics of renal cell carcinoma. Histol Histopathol. 10:651–659. 1995.PubMed/NCBI

15 

Mandriota SJ, Turner KJ, Davies DR, Murray PG, Morgan NV, Sowter HM, Wykoff CC, Maher ER, Harris AL, Ratcliffe PJ and Maxwell PH: HIF activation identifies early lesions in VHL kidneys: Evidence for site-specific tumor suppressor function in the nephron. Cancer Cell. 1:459–468. 2002. View Article : Google Scholar : PubMed/NCBI

16 

Bobulescu IA, Pop LM, Mani C, Turner K, Rivera C, Khatoon S, Kairamkonda S, Hannan R and Palle K: Renal lipid metabolism abnormalities in obesity and clear cell renal cell carcinoma. Metabolites. 11:6082021. View Article : Google Scholar : PubMed/NCBI

17 

Frew IJ and Moch H: A clearer view of the molecular complexity of clear cell renal cell carcinoma. Annu Rev Pathol. 10:263–289. 2015. View Article : Google Scholar : PubMed/NCBI

18 

Turajlic S, Larkin J and Swanton C: SnapShot: Renal cell carcinoma. Cell. 163:1556. e12015. View Article : Google Scholar : PubMed/NCBI

19 

Büttner F, Winter S, Rausch S, Reustle A, Kruck S, Junker K, Stenzl A, Agaimy A, Hartmann A, Bedke J, et al: Survival prediction of clear cell renal cell carcinoma based on gene expression similarity to the proximal tubule of the nephron. Eur Urol. 68:1016–1020. 2015. View Article : Google Scholar : PubMed/NCBI

20 

Sangoi AR, Karamchandani J, Kim J, Pai RK and McKenney JK: The use of immunohistochemistry in the diagnosis of metastatic clear cell renal cell carcinoma: A review of PAX-8, PAX-2, hKIM-1, RCCma, and CD10. Adv Anat Pathol. 17:377–393. 2010. View Article : Google Scholar : PubMed/NCBI

21 

Mubarak M, Al-Gharaibeh N, Sommaruga S, Li J and Vortmeyer AO: Histological tracking into the third dimension: Evolution of early tumorigenesis in VHL kidney. J Kidney Cancer VHL. 8:5–14. 2021. View Article : Google Scholar : PubMed/NCBI

22 

Schietke RE, Hackenbeck T, Tran M, Günther R, Klanke B, Warnecke CL, Knaup KX, Shukla D, Rosenberger C, Koesters R, et al: Renal tubular HIF-2α expression requires VHL inactivation and causes fibrosis and cysts. PLoS One. 7:e310342012. View Article : Google Scholar : PubMed/NCBI

23 

Holm-Nielsen P and Pallesen G: Expression of segment-specific antigens in the human nephron and in renal epithelial tumors. APMIS Suppl. 4:48–55. 1988.PubMed/NCBI

24 

Skinnider BF, Folpe AL, Hennigar RA, Lim SD, Cohen C, Tamboli P, Young A, de Peralta-Venturina M and Amin MB: Distribution of cytokeratins and vimentin in adult renal neoplasms and normal renal tissue: Potential utility of a cytokeratin antibody panel in the differential diagnosis of renal tumors. Am J Surg Pathol. 29:747–754. 2005. View Article : Google Scholar : PubMed/NCBI

25 

Wilkerson ML, Lin F, Liu H and Cheng L: The application of immunohistochemical biomarkers in urologic surgical pathology. Arch Pathol Lab Med. 138:1643–1665. 2014. View Article : Google Scholar : PubMed/NCBI

26 

van der Horst-Schrivers ANA, Sluiter WJ, Kruizinga RC, van Leeuwaarde RS, Giles R, Olderode-Berends MJW and Links TP: The incidence of consecutive manifestations in von Hippel-Lindau disease. Fam Cancer. 18:369–376. 2019. View Article : Google Scholar : PubMed/NCBI

27 

Solomon D and Schwartz A: Renal pathology in von Hippel-Lindau disease. Hum Pathol. 19:1072–1079. 1988. View Article : Google Scholar : PubMed/NCBI

Related Articles

  • Abstract
  • View
  • Download
  • Twitter
Copy and paste a formatted citation
Spandidos Publications style
A-Gharaibeh NS, Temm CJ, Shively SB and Vortmeyer AO: Kidney in VHL disease: Early clear cell proliferation occurs in the distal tubular system. Oncol Rep 48: 222, 2022.
APA
A-Gharaibeh, N.S., Temm, C.J., Shively, S.B., & Vortmeyer, A.O. (2022). Kidney in VHL disease: Early clear cell proliferation occurs in the distal tubular system. Oncology Reports, 48, 222. https://doi.org/10.3892/or.2022.8437
MLA
A-Gharaibeh, N. S., Temm, C. J., Shively, S. B., Vortmeyer, A. O."Kidney in VHL disease: Early clear cell proliferation occurs in the distal tubular system". Oncology Reports 48.6 (2022): 222.
Chicago
A-Gharaibeh, N. S., Temm, C. J., Shively, S. B., Vortmeyer, A. O."Kidney in VHL disease: Early clear cell proliferation occurs in the distal tubular system". Oncology Reports 48, no. 6 (2022): 222. https://doi.org/10.3892/or.2022.8437
Copy and paste a formatted citation
x
Spandidos Publications style
A-Gharaibeh NS, Temm CJ, Shively SB and Vortmeyer AO: Kidney in VHL disease: Early clear cell proliferation occurs in the distal tubular system. Oncol Rep 48: 222, 2022.
APA
A-Gharaibeh, N.S., Temm, C.J., Shively, S.B., & Vortmeyer, A.O. (2022). Kidney in VHL disease: Early clear cell proliferation occurs in the distal tubular system. Oncology Reports, 48, 222. https://doi.org/10.3892/or.2022.8437
MLA
A-Gharaibeh, N. S., Temm, C. J., Shively, S. B., Vortmeyer, A. O."Kidney in VHL disease: Early clear cell proliferation occurs in the distal tubular system". Oncology Reports 48.6 (2022): 222.
Chicago
A-Gharaibeh, N. S., Temm, C. J., Shively, S. B., Vortmeyer, A. O."Kidney in VHL disease: Early clear cell proliferation occurs in the distal tubular system". Oncology Reports 48, no. 6 (2022): 222. https://doi.org/10.3892/or.2022.8437
Follow us
  • Twitter
  • LinkedIn
  • Facebook
About
  • Spandidos Publications
  • Careers
  • Cookie Policy
  • Privacy Policy
How can we help?
  • Help
  • Live Chat
  • Contact
  • Email to our Support Team