Spandidos Publications Logo
  • About
    • About Spandidos
    • Aims and Scopes
    • Abstracting and Indexing
    • Editorial Policies
    • Reprints and Permissions
    • Job Opportunities
    • Terms and Conditions
    • Contact
  • Journals
    • All Journals
    • Oncology Letters
      • Oncology Letters
      • Information for Authors
      • Editorial Policies
      • Editorial Board
      • Aims and Scope
      • Abstracting and Indexing
      • Bibliographic Information
      • Archive
    • International Journal of Oncology
      • International Journal of Oncology
      • Information for Authors
      • Editorial Policies
      • Editorial Board
      • Aims and Scope
      • Abstracting and Indexing
      • Bibliographic Information
      • Archive
    • Molecular and Clinical Oncology
      • Molecular and Clinical Oncology
      • Information for Authors
      • Editorial Policies
      • Editorial Board
      • Aims and Scope
      • Abstracting and Indexing
      • Bibliographic Information
      • Archive
    • Experimental and Therapeutic Medicine
      • Experimental and Therapeutic Medicine
      • Information for Authors
      • Editorial Policies
      • Editorial Board
      • Aims and Scope
      • Abstracting and Indexing
      • Bibliographic Information
      • Archive
    • International Journal of Molecular Medicine
      • International Journal of Molecular Medicine
      • Information for Authors
      • Editorial Policies
      • Editorial Board
      • Aims and Scope
      • Abstracting and Indexing
      • Bibliographic Information
      • Archive
    • Biomedical Reports
      • Biomedical Reports
      • Information for Authors
      • Editorial Policies
      • Editorial Board
      • Aims and Scope
      • Abstracting and Indexing
      • Bibliographic Information
      • Archive
    • Oncology Reports
      • Oncology Reports
      • Information for Authors
      • Editorial Policies
      • Editorial Board
      • Aims and Scope
      • Abstracting and Indexing
      • Bibliographic Information
      • Archive
    • Molecular Medicine Reports
      • Molecular Medicine Reports
      • Information for Authors
      • Editorial Policies
      • Editorial Board
      • Aims and Scope
      • Abstracting and Indexing
      • Bibliographic Information
      • Archive
    • World Academy of Sciences Journal
      • World Academy of Sciences Journal
      • Information for Authors
      • Editorial Policies
      • Editorial Board
      • Aims and Scope
      • Abstracting and Indexing
      • Bibliographic Information
      • Archive
    • International Journal of Functional Nutrition
      • International Journal of Functional Nutrition
      • Information for Authors
      • Editorial Policies
      • Editorial Board
      • Aims and Scope
      • Abstracting and Indexing
      • Bibliographic Information
      • Archive
    • International Journal of Epigenetics
      • International Journal of Epigenetics
      • Information for Authors
      • Editorial Policies
      • Editorial Board
      • Aims and Scope
      • Abstracting and Indexing
      • Bibliographic Information
      • Archive
    • Medicine International
      • Medicine International
      • Information for Authors
      • Editorial Policies
      • Editorial Board
      • Aims and Scope
      • Abstracting and Indexing
      • Bibliographic Information
      • Archive
  • Articles
  • Information
    • Information for Authors
    • Information for Reviewers
    • Information for Librarians
    • Information for Advertisers
    • Conferences
  • Language Editing
Spandidos Publications Logo
  • About
    • About Spandidos
    • Aims and Scopes
    • Abstracting and Indexing
    • Editorial Policies
    • Reprints and Permissions
    • Job Opportunities
    • Terms and Conditions
    • Contact
  • Journals
    • All Journals
    • Biomedical Reports
      • Information for Authors
      • Editorial Policies
      • Editorial Board
      • Aims and Scope
      • Abstracting and Indexing
      • Bibliographic Information
      • Archive
    • Experimental and Therapeutic Medicine
      • Information for Authors
      • Editorial Policies
      • Editorial Board
      • Aims and Scope
      • Abstracting and Indexing
      • Bibliographic Information
      • Archive
    • International Journal of Epigenetics
      • Information for Authors
      • Editorial Policies
      • Editorial Board
      • Aims and Scope
      • Abstracting and Indexing
      • Bibliographic Information
      • Archive
    • International Journal of Functional Nutrition
      • Information for Authors
      • Editorial Policies
      • Editorial Board
      • Aims and Scope
      • Abstracting and Indexing
      • Bibliographic Information
      • Archive
    • International Journal of Molecular Medicine
      • Information for Authors
      • Editorial Policies
      • Editorial Board
      • Aims and Scope
      • Abstracting and Indexing
      • Bibliographic Information
      • Archive
    • International Journal of Oncology
      • Information for Authors
      • Editorial Policies
      • Editorial Board
      • Aims and Scope
      • Abstracting and Indexing
      • Bibliographic Information
      • Archive
    • Medicine International
      • Information for Authors
      • Editorial Policies
      • Editorial Board
      • Aims and Scope
      • Abstracting and Indexing
      • Bibliographic Information
      • Archive
    • Molecular and Clinical Oncology
      • Information for Authors
      • Editorial Policies
      • Editorial Board
      • Aims and Scope
      • Abstracting and Indexing
      • Bibliographic Information
      • Archive
    • Molecular Medicine Reports
      • Information for Authors
      • Editorial Policies
      • Editorial Board
      • Aims and Scope
      • Abstracting and Indexing
      • Bibliographic Information
      • Archive
    • Oncology Letters
      • Information for Authors
      • Editorial Policies
      • Editorial Board
      • Aims and Scope
      • Abstracting and Indexing
      • Bibliographic Information
      • Archive
    • Oncology Reports
      • Information for Authors
      • Editorial Policies
      • Editorial Board
      • Aims and Scope
      • Abstracting and Indexing
      • Bibliographic Information
      • Archive
    • World Academy of Sciences Journal
      • Information for Authors
      • Editorial Policies
      • Editorial Board
      • Aims and Scope
      • Abstracting and Indexing
      • Bibliographic Information
      • Archive
  • Articles
  • Information
    • For Authors
    • For Reviewers
    • For Librarians
    • For Advertisers
    • Conferences
  • Language Editing
Login Register Submit
  • This site uses cookies
  • You can change your cookie settings at any time by following the instructions in our Cookie Policy. To find out more, you may read our Privacy Policy.

    I agree
Search articles by DOI, keyword, author or affiliation
Search
Advanced Search
presentation
Molecular Medicine Reports
Join Editorial Board Propose a Special Issue
Print ISSN: 1791-2997 Online ISSN: 1791-3004
Journal Cover
February-2017 Volume 15 Issue 2

Full Size Image

Sign up for eToc alerts
Recommend to Library

Journals

International Journal of Molecular Medicine

International Journal of Molecular Medicine

International Journal of Molecular Medicine is an international journal devoted to molecular mechanisms of human disease.

International Journal of Oncology

International Journal of Oncology

International Journal of Oncology is an international journal devoted to oncology research and cancer treatment.

Molecular Medicine Reports

Molecular Medicine Reports

Covers molecular medicine topics such as pharmacology, pathology, genetics, neuroscience, infectious diseases, molecular cardiology, and molecular surgery.

Oncology Reports

Oncology Reports

Oncology Reports is an international journal devoted to fundamental and applied research in Oncology.

Experimental and Therapeutic Medicine

Experimental and Therapeutic Medicine

Experimental and Therapeutic Medicine is an international journal devoted to laboratory and clinical medicine.

Oncology Letters

Oncology Letters

Oncology Letters is an international journal devoted to Experimental and Clinical Oncology.

Biomedical Reports

Biomedical Reports

Explores a wide range of biological and medical fields, including pharmacology, genetics, microbiology, neuroscience, and molecular cardiology.

Molecular and Clinical Oncology

Molecular and Clinical Oncology

International journal addressing all aspects of oncology research, from tumorigenesis and oncogenes to chemotherapy and metastasis.

World Academy of Sciences Journal

World Academy of Sciences Journal

Multidisciplinary open-access journal spanning biochemistry, genetics, neuroscience, environmental health, and synthetic biology.

International Journal of Functional Nutrition

International Journal of Functional Nutrition

Open-access journal combining biochemistry, pharmacology, immunology, and genetics to advance health through functional nutrition.

International Journal of Epigenetics

International Journal of Epigenetics

Publishes open-access research on using epigenetics to advance understanding and treatment of human disease.

Medicine International

Medicine International

An International Open Access Journal Devoted to General Medicine.

Journal Cover
February-2017 Volume 15 Issue 2

Full Size Image

Sign up for eToc alerts
Recommend to Library

  • Article
  • Citations
    • Cite This Article
    • Download Citation
    • Create Citation Alert
    • Remove Citation Alert
    • Cited By
  • Similar Articles
    • Related Articles (in Spandidos Publications)
    • Similar Articles (Google Scholar)
    • Similar Articles (PubMed)
  • Download PDF
  • Download XML
  • View XML
Article Open Access

Clinical significance of Wip1 overexpression and its association with the p38MAPK/p53/p16 pathway in NSCLC

  • Authors:
    • Shize Yang
    • Siyuan Dong
    • Xiaohan Qu
    • Xinwen Zhong
    • Qigang Zhang
  • View Affiliations / Copyright

    Affiliations: Department of Thoracic Surgery, The First Affiliated Hospital of China Medical University, Shenyang, Liaoning 110000, P.R. China
    Copyright: © Yang et al. This is an open access article distributed under the terms of Creative Commons Attribution License.
  • Pages: 719-723
    |
    Published online on: December 13, 2016
       https://doi.org/10.3892/mmr.2016.6032
  • Expand metrics +
Metrics: Total Views: 0 (Spandidos Publications: | PMC Statistics: )
Metrics: Total PDF Downloads: 0 (Spandidos Publications: | PMC Statistics: )
Cited By (CrossRef): 0 citations Loading Articles...

This article is mentioned in:



Abstract

Wip1 is deregulated in numerous human malignancies. However, its roles in non‑small cell lung cancer (NSCLC) remain unclear. In the current study, the expression of Wip1 was investigated in NSCLC and its clinical significance was detected. Immunohistochemical staining was used to measure the expression of (wild‑type p53 induced phosphatase 1) Wip1, p38 mitogen‑activated protein kinase (MAPK), p53, p16 protein in a group of 60 NSCLC and 20 normal lung tissues. In addition, western blotting was performed to detect the Wip1 protein in fresh tissues. The correlations between clinical characteristics and Wip1 expression were analyzed using SPSS, version 16.0 software. The expression of Wip1 was positive in 63.3% (38/60) of NSCLC tissues, and in none of the normal lung tissues (0/20; P<0.01). In addition, Wip1 overexpression was significantly associated with tumor length and differentiation (P=0.008 and 0.03, respectively). The expression of Wip1 was negatively correlated with that of p38MAPK, p53 and p16 (r=‑0.284, ‑0.352 and ‑0.348, respectively). The results of the current study demonstrated that Wip1 was frequently overexpressed in NSCLC, which may serve an essential role in the p38MAPK/p53/p16 signaling pathway.

Introduction

Lung cancer is one of the most common malignancies worldwide, and approximately 85% new cases are non-small cell lung cancer (NSCLC). Despite therapeutic advances, the majority of patients with lung cancer undergo locally advanced and distant metastasis, with an overall five-year survival rate less than 20% (1). Thus, it is imperative to further investigate the molecular mechanisms underlying the progression of NSCLC.

The protein phosphatase wild-type p53 induced phosphatase 1 (Wip1) is a major serine/threonine phosphatase of the protein phosphatase 2C family encoded by the protein phosphatase, Mg2+/Mn2+ dependent 1D gene (2). The overexpression and amplification of Wip1 had been previously identified in numerous types of human cancer including medulloblastomas (3), clear cell renal cell carcinoma (4), colorectal cancer (5) and breast cancer (6). In addition, Bulavin et al (7) demonstrated that Wip1 functioned as a proto-oncogene in breast cancer. ATM serine/threonine kinase is one of the master regulators of the DNA damage-induced response signaling pathway (8), which was previously identified to be inactivated by Wip1 expression and potentially reduced the rate of tumor evolution (9). In addition, p38 mitogen-activated protein kinase (MAPK) was considered as a downstream target of Wip1, which regulated the cell cycle by inhibiting cyclin D1 under stress (10) and directly suppressed p53 activities through Ser33 and Ser46 dephosphorylation by controlling cellular apoptosis (8). An additional study further confirmed that Wip1 overexpression in mesenchymal stem cells diminished the p38MAPK activity and reduced the levels of p16 (11). Accordingly, Wip1 overexpression was identified to suppress checkpoint kinase 1 (CHK1) activity, whereas downregulation of Wip1 elevated CHK1 to activate the G2/M checkpoint following DNA damage (12).

However, the expression and functions of Wip1 in NSCLC remain unclear. In the current study, the expression of Wip1 was identified in NSCLC, and its clinical significance was determined.

Materials and methods

Tissue collection

Between April and September 2014, a total of 60 NSCLC tissues were obtained from patients who underwent tumor resection at the First Affiliated Hospital of China Medical University (Heping, China). The patients were comprised of 34 males and 26 females with a mean age of 58.6 years (range, 42–72 years). None of the 60 patients received any chemotherapy or radiotherapy prior to the operation. All cases were pathologically diagnosed and staged according to the TNM classification system (13). The 60 fresh specimens of tumor tissue and 20 adjacent normal lung tissues (5 cm distance from the cancer) were immediately obtained during the surgery: One part was stored in 4% paraformaldehyde solution and then embedded in 10% paraffin for immunohistochemistry, and the other part was preserved in liquid nitrogen for western blot analysis.

In the cancer group, 34 cases were identified with lymph node involvement (N+).

As for TNM stage, 44 cases were at stage I~II and 16 were at stage III~IV. In addition, 16 cases were highly differentiated and 44 cases exhibited with moderate or low differentiation. There were 40 cases, which presented with a tumor length larger than 3 cm. In addition, there were 6 cases who presented with distant metastasis. The experimental protocol was established, according to the ethical guidelines of the Helsinki Declaration and was approved by the Human Ethics Committee of the First Affiliated Hospital of China Medical University. Written informed consent was obtained from individual participants.

Main reagents and immunohistochemistry

The rabbit anti-human Wip1 monoclonal antibody was purchased from Santa Cruz Biotechnology, Inc. (Santa Cruz, CA, USA; cat. no. sc-130655). The monoclonal mouse antibodies against p16 (cat. no. 6598), p53 (cat. no. 9284), phosphorylation of p38 (cat. no. 9215) and GAPDH (cat. no. 2118) were purchased from Cell Signaling Technology, Inc. (Danvers, MA, USA). Immunohistochemistry kit and Bicinchoninic Acid (BCA) Protein Extraction kit were obtained from OriGene Technologies, Inc. (Beijing, China). RIPA buffer was purchased from Sigma-Aldrich (Merck Millipore, Darmstadt, Germany).

A 4-µm section was prepared from the paraffin-embedded block and dehydrated, and incubated in 3% hydrogen peroxide for 12 min to block endogenous peroxidase, followed by trypsin treatment for 18 min. A 10% goat serum was introduced at room temperature for 20 min, and the Wip1 antibody (1:100) was added to the tissues and incubated at 4°C overnight. As for the negative control, the primary antibody was replaced with PBS. The secondary antibodies in a ready to use kit (SP-9000; ZSGB-BIO, Beijing, China) were added as appropriate and 3,3′-diaminobenzidine staining was visualized using the hematoxylin stain. Two pathologists scored the slides respectively. For Wip1 staining assessment, samples with more than 10% cells that were yellow/brown-stained were classified as positive.

Western blot analysis

Western blot was performed to detect the expression of Wip1 in fresh tissues. The RIPA buffer was used to extract the total protein. Next, the protein concentrations were quantified by the BCA Protein Assay kit. A total of 50 µg total protein of each sample was loaded onto the 10% SDS-PAGE and transferred to PVDF membranes (EMD Millipore, Billerica, MA, USA). Following blocking for 1 h in 5% non-fat milk, the membranes were incubated with primary antibodies overnight at 4°C (Wip1, 1:200; GAPDH, 1:1,000). On the second day, the membranes were incubated with the secondary antibodies followed by ECL chemiluminescence (Qihai Biotec, Shanghai, China). The results were analyzed using Gel-Pro-Analyzer software version 6.3 (Media Cybernetics, Inc., Rockville, MD, USA).

Statistical analysis

All statistical analyses were performed using SPSS software, version 16.0 (SPSS, Inc., Chicago, IL, USA). Fisher's exact test was used to determine the differences of the Wip1 protein in cancer tissues and normal tissues. The χ2 test was used to assess the association between the clinicopathological parameters. Spearman's rank correlation coefficient was applied to see the correlation between Wip1 and p53, Wip1 and p16, and Wip1 and p38MAPK, respectively. P<0.05 was considered to indicate a statistically significant difference.

Results

Wip1 protein expression in NSCLC and normal tissues

According to the immunohistochemistry data, the Wip1 expression was not detected in normal tissues (Fig. 1A). In NSCLC tissues, Wip1 was stained negative (Fig. 1B), light yellow (Fig. 1C) or yellowish-brown (Fig. 1D and E). Collectively, Wip1 was expressed in 63.3% (38/60) of NSCLC tissue, which was significantly greater than in normal tissues (0%; P<0.01; Table I). Furthermore, the expression of Wip1 was investigated using western blot analysis. The data indicated that there was a significant increase of Wip1 expression in the NSCLC tissues compared with the normal tissues (P<0.05; Fig. 2).

Figure 1.

Expression of Wip1 in NSCLC tissues and matched normal tissues. (A) Negative staining of Wip1 in matched normal tissues, ×100. (B and C) Negative staining of Wip1 in NSCLC tissues, ×400. (D and E) Positive staining of Wip1 in NSCLC tissues, ×100 and ×400, respectively. Wip1, wild-type p53 induced phosphatase 1; NSCLC, non-small cell lung cancer.

Figure 2.

Wip1 protein levels in squamous cancer adenocarcinoma tissuse were significantly upregulated. (A) Representative images western blot analysis results. (B) The quantification of Wip1 protein in different tissue types; GAPDH was set as the endogenous control. *P<0.05. Wip1, wild-type p53 induced phosphatase 1.

Table I.

The expression of Wip1 in cancer tissues and matched normal tissues.

Table I.

The expression of Wip1 in cancer tissues and matched normal tissues.

GroupTotalWip1 +veWip1 -veP-value
Cancer tissue603822<0.001
Normal tissue20020

[i] Wip1, wild-type p53 induced phosphatase 1.

Association between Wip1 expression and clinicopathological factors of patients

The associations between Wip1 expression and clinicopathological factors are summarized in Table II. The increased expression of Wip1 indicated a significant association with tumor length (P<0.01) and degree of differentiation (P<0.05), which may serve as a necessary prognostic marker for patients. However, no significant correlation was detected between Wip1 and other clinicopathological features including gender, lymph node metastasis, smoking history, age, pathological type, TNM stage and distant metastasis. In addition, western blot analysis demonstrated that were was no correlation between Wip1 and pathological types (data not shown; Fig. 2).

Table II.

Association between Wip1 expression and clinicopathological factors in 60 patients with non-small cell lung cancer.

Table II.

Association between Wip1 expression and clinicopathological factors in 60 patients with non-small cell lung cancer.

CharacteristicsTotalWip1 positive (n=38)Wip1 negative (n=22)P-value
Gender
  Male342014
  Female261880.407
Lymph node metastasis
  NO261610
  N+3422120.801
Smoking history
  Positive281810
  Negative3220120.886
Age (years)
  ≥60301812
  <603020100.592
Pathological type
  Squamous cancer221210
  Adenocarcinoma3826120.282
Tumor length (cm)
  >3 cm403010
  ≤3 cm208120.008
TNM stage
  I~II442618
  III~IV161240.408
Differentiation
  High1669
  Moderate + low4432130.03
Distant metastasis
  Present642
  Absent5434201

[i] Wip1, wild-type p53 induced phosphatase 1; smoking history, one pack of cigarettes lasts for more than ten years.

Association between Wip1, p53, p16 and p38MAPK

According to the immunohistochemistry data, the expression of p53 was inversely correlated with Wip1 (r=−0.352). A total of 16/25 (64%) tumors with negative Wip1 exhibited strong staining for p53. In contrast, 25/35 (71.4%) cases with positive Wip1 exhibited weak staining for p53.

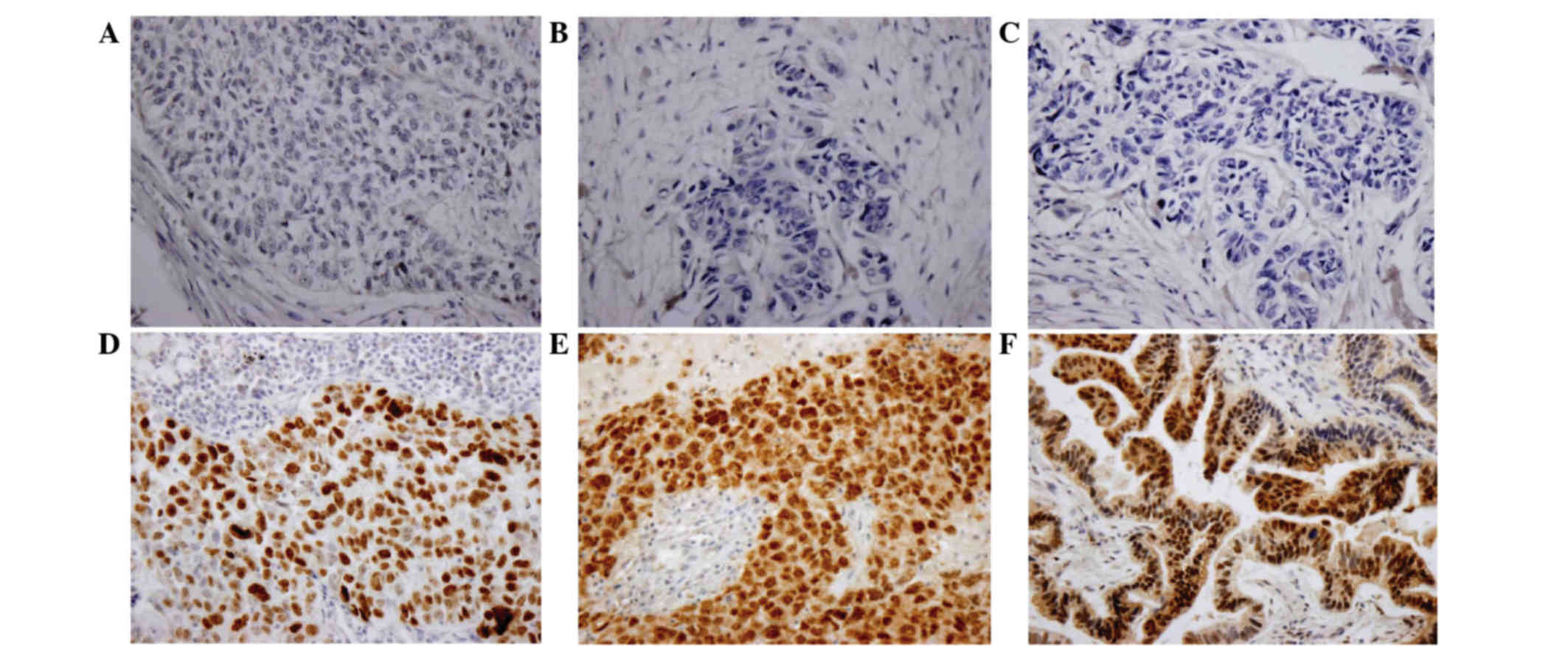
Subsequently, whether Wip1 was correlated with the levels of p38MAPK in NSCLC was investigated. Out of 29 Wip1-positive tumors, 21 (72.4%) did not stain for p38MAPK. On the contrary, only 61.3% (19/31) of tumors expressing negative Wip1 displayed strong staining for p38MAPK (Table III; r=−0.284). In addition, 15 cases (15/26, 57.7%) of negative Wip1 exhibited high p16 expression (r=−0.348; Fig. 3).

Figure 3.

Immunohistochemical staining for p53, p16 and p38MAPK in NSCLC tissues. Negative expression of (A) p53, (B) p16 and (C) p38MAPK in NSCLC tissues. Positive expressions of (D) p53, (E) p16 and (F) p38MAPK in NSCLC tissues. Magnification, 400x. MAPK, mitogen-activated protein kinase; NSCLC, non-small cell lung cancer.

Table III.

Associations between Wip1, p53, p16 and p38 mitogen-activated protein kinase.

Table III.

Associations between Wip1, p53, p16 and p38 mitogen-activated protein kinase.

p53p16p38



Wip1(+)(−)(+)(−)(+)(−)
(+)1025826821
(−)16915111912
r−0.352−0.348−0.284

[i] Wip1, wild-type p53 induced phosphatase 1.

Discussion

Oncogene activation and cancer suppressor gene inactivation are the key factors of tumor initiation and progression. As previously reported, the Wip1 gene has been identified as one of the p53 target genes induced by ionizing radiation (2), which inhibits the activity of p53 (7), downregulated the expression of p38 mitogen activated protein kinase (14) and reduced the level of p16 protein levels (15). Increased evidence suggests that Wip1 serves a vital role in human cancer.

In the current study, it was identified that Wip1 was significantly increased in NSCLC tissues when compared with normal tissues. Statistical analysis indicated that the overexpression of Wip1 was notably associated with tumor length and histological differentiation. By contrast, a previous study suggested that Wip1 expression was not associated with tumor size and pathological staging (16). It was identified that Wip1 expression was increased in the low and moderate differentiation groups when compared with the high differentiation group, which indicates that Wip1 may be a novel prognostic predictor for NSCLC.

Currently, the common treatment for NSCLC is surgical resection, combined with chemotherapy and/or radiotherapy prior and subsequent to surgery. However, the survival rate with this strategy is not satisfactory (17). Therefore, inhibiting positive regulators of cell proliferation, activating tumor suppressors and inducing apoptosis are primary interventional strategies in modern cancer therapy. A previous study indicated that Wip1 overexpression in transgenic mice promoted cell transformation and accelerated tumor progression (18). Consistently, another study demonstrated that small interfering RNA knockdown of Wip1 in medulloblastoma cells increased the p53 expression and induced apoptosis (19,20).

Further studies demonstrated that Wip1 overexpression disrupted the homeostasis maintained by the p38MAPK-p53-Wip1 pathway, caused the inactivation of Wnt-p53 through p38MAPK dephosphorylation (15). In the present study, the correlation between the expression of Wip1 and p53, p38MAPK and p16 was investigated in NSCLC tissues. A clear correlation between Wip1 and p38MAPK was observed. In addition, Wip1 expression was observed to be concomitant with reduced p53 levels. These data suggest that Wip1 functionally inactivates p53 and regulates the p38MAPK-p53-Wip1 signal transduction pathway. Previously, Bulavin et al (21) reported that Wip1-null mouse embryonic fibroblasts exhibited significant p16 accumulation and reduced cyclin-dependent kinase 4 activity through p38MAPK signaling in a p53-independent manner.

In summary, the current study demonstrated that Wip1 was frequently overexpressed and associated with the progression of NSCLC, which may serve an essential role in the p38MAPK/p53/p16 signaling pathway.

References

1 

Siegel RL, Miller KD and Jemal A: Cancer statistics, 2015. CA Cancer J Clin. 65:5–29. 2015. View Article : Google Scholar : PubMed/NCBI

2 

Fiscella M, Zhang H, Fan S, Sakaguchi K, Shen S, Mercer WE, Van De Woude GF, O'Connor PM and Appella E: Wip1, a novel human protein phosphatase that is induced in response to ionizing radiation in a p53-dependent manner. Proc Natl Acad Sci USA. 94:6048–6053. 1997. View Article : Google Scholar : PubMed/NCBI

3 

Buss MC, Remke M, Lee J, Gandhi K, Schniederjan MJ, Kool M, Northcott PA, Pfister SM, Taylor MD and Castellino RC: The WIP1 oncogene promotes progression and invasion of aggressive medulloblastoma variants. Oncogene. 34:1126–1140. 2015. View Article : Google Scholar : PubMed/NCBI

4 

Liu S, Qi L, Han W, Wan X, Jiang S, Li Y, Xie Y, Liu L, Zeng F, Liu Z and Zu X: Overexpression of wip1 is associated with biologic behavior in human clear cell renal cell carcinoma. PLoS One. 9:e1102182014. View Article : Google Scholar : PubMed/NCBI

5 

Li ZT, Zhang L, Gao XZ, Jiang XH and Sun LQ: Expression and significance of the Wip1 proto-oncogene in colorectal cancer. Asian Pac J Cancer Prev. 14:1975–1979. 2013. View Article : Google Scholar : PubMed/NCBI

6 

Ruark E, Snape K, Humburg P, Loveday C, Bajrami I, Brough R, Rodrigues DN, Renwick A, Seal S, Ramsay E, et al: Mosaic PPM1D mutations are associated with predisposition to breast and ovarian cancer. Nature. 493:406–410. 2013. View Article : Google Scholar : PubMed/NCBI

7 

Bulavin DV, Demidov ON, Saito S, Kauraniemi P, Phillips C, Amundson SA, Ambrosino C, Sauter G, Nebreda AR, Anderson CW, et al: Amplification of PPM1D in human tumors abrogates p53 tumor-suppressor activity. Nat Genet. 31:210–215. 2002. View Article : Google Scholar : PubMed/NCBI

8 

Dudgeon C, Shreeram S, Tanoue K, Mazur SJ, Sayadi A, Robinson RC, Appella E and Bulavin DV: Genetic variants and mutations of PPM1D control the response to DNA damage. Cell Cycle. 12:2656–2664. 2013. View Article : Google Scholar : PubMed/NCBI

9 

Filipponi D, Muller J, Emelyanov A and Bulavin DV: Wip1 controls global heterochromatin silencing via ATM/BRCA1-dependent DNA methylation. Cancer Cell. 24:528–541. 2013. View Article : Google Scholar : PubMed/NCBI

10 

Casanovas O, Miró F, Estanyol JM, Itarte E, Agell N and Bachs O: Osmotic stress regulates the stability of cyclin D1 in a p38SAPK2-dependent manner. J Biol Chem. 275:35091–35097. 2000. View Article : Google Scholar : PubMed/NCBI

11 

Lee JS, Lee MO, Moon BH, Shim SH, Fornace AJ Jr and Cha HJ: Senescent growth arrest in mesenchymal stem cells is bypassed by Wip1-mediated downregulation of intrinsic stress signaling pathways. Stem Cells. 27:1963–1975. 2009. View Article : Google Scholar : PubMed/NCBI

12 

Liao Q, Guo X, Li X, Xiong W, Li X, Yang J, Chen P, Zhang W, Yu H, Tang H, et al: Prohibitin is an important biomarker for nasopharyngeal carcinoma progression and prognosis. Eur J Cancer Prev. 22:68–76. 2013. View Article : Google Scholar : PubMed/NCBI

13 

Goldstraw P, Crowley J, Chansky K, Giroux DJ, Groome PA, Rami-Porta R, Postmus PE, Rusch V and Sobin L: Internation Association for the Study of Lung Cancer: The IASLC Lung Cancer Staging Project: Proposals for the revision of the TNM stage groupings in the forthcoming (seventh) edition of the TNM classification of malignant tumours. J Thorac Oncol. 2:706–714. 2007. View Article : Google Scholar : PubMed/NCBI

14 

Koom WS, Park SY, Kim W, Kim M, Kim JS, Kim H, Choi IK, Yun CO and Seong J: Combination of radiotherapy and adenovirus-mediated p53 gene therapy for MDM2-overexpressing hepatocellular carcinoma. J Radiat Res. 53:202–210. 2012. View Article : Google Scholar : PubMed/NCBI

15 

Saito-Ohara F, Imoto I, Inoue J, Hosoi H, Nakagawara A, Sugimoto T and Inazawa J: PPM1D is a potential target for 17q gain in neuroblastoma. Cancer Res. 63:1876–1883. 2003.PubMed/NCBI

16 

Yang DH, He JA, Li J, Ma WF, Hu XH, Xin SJ and Duan ZQ: Expression of proto-oncogene Wip1 in breast cancer and its clinical significance. Zhonghua Yi Xue Za Zhi. 90:519–522. 2010.(In Chinese). PubMed/NCBI

17 

Sculier JP: Nonsmall cell lung cancer. Eur Respir Rev. 22:33–36. 2013. View Article : Google Scholar : PubMed/NCBI

18 

Tarulli GA, De Silva D, Ho V, Kunasegaran K, Ghosh K, Tan BC, Bulavin DV and Pietersen AM: Hormone-sensing cells require Wip1 for paracrine stimulation in normal and premalignant mammary epithelium. Breast Cancer Res. 15:R102013. View Article : Google Scholar : PubMed/NCBI

19 

Xu H, Liu C, Zhao Z, Gao N, Chen G, Wang Y and Cui J: Clinical implications of GRHL3 protein expression in breast cancer. Tumour Biol. 35:1827–1831. 2014. View Article : Google Scholar : PubMed/NCBI

20 

Yang D, Zhang H, Hu X, Xin S and Duan Z: Abnormality of pl6/p38MAPK/p53/Wipl pathway in papillary thyroid cancer. Gland Surg. 1:33–38. 2012.PubMed/NCBI

21 

Bulavin DV, Phillips C, Nannenga B, Timofeev O, Donehower LA, Anderson CW, Appella E and Fornace AJ Jr: Inactivation of the Wip1 phosphatase inhibits mammary tumorigenesis through p38 MAPK-mediated activation of the p16 (Ink4a)-p19 (Arf) pathway. Nat Genet. 36:343–350. 2004. View Article : Google Scholar : PubMed/NCBI

Related Articles

  • Abstract
  • View
  • Download
  • Twitter
Copy and paste a formatted citation
Spandidos Publications style
Yang S, Dong S, Qu X, Zhong X and Zhang Q: Clinical significance of Wip1 overexpression and its association with the p38MAPK/p53/p16 pathway in NSCLC. Mol Med Rep 15: 719-723, 2017.
APA
Yang, S., Dong, S., Qu, X., Zhong, X., & Zhang, Q. (2017). Clinical significance of Wip1 overexpression and its association with the p38MAPK/p53/p16 pathway in NSCLC. Molecular Medicine Reports, 15, 719-723. https://doi.org/10.3892/mmr.2016.6032
MLA
Yang, S., Dong, S., Qu, X., Zhong, X., Zhang, Q."Clinical significance of Wip1 overexpression and its association with the p38MAPK/p53/p16 pathway in NSCLC". Molecular Medicine Reports 15.2 (2017): 719-723.
Chicago
Yang, S., Dong, S., Qu, X., Zhong, X., Zhang, Q."Clinical significance of Wip1 overexpression and its association with the p38MAPK/p53/p16 pathway in NSCLC". Molecular Medicine Reports 15, no. 2 (2017): 719-723. https://doi.org/10.3892/mmr.2016.6032
Copy and paste a formatted citation
x
Spandidos Publications style
Yang S, Dong S, Qu X, Zhong X and Zhang Q: Clinical significance of Wip1 overexpression and its association with the p38MAPK/p53/p16 pathway in NSCLC. Mol Med Rep 15: 719-723, 2017.
APA
Yang, S., Dong, S., Qu, X., Zhong, X., & Zhang, Q. (2017). Clinical significance of Wip1 overexpression and its association with the p38MAPK/p53/p16 pathway in NSCLC. Molecular Medicine Reports, 15, 719-723. https://doi.org/10.3892/mmr.2016.6032
MLA
Yang, S., Dong, S., Qu, X., Zhong, X., Zhang, Q."Clinical significance of Wip1 overexpression and its association with the p38MAPK/p53/p16 pathway in NSCLC". Molecular Medicine Reports 15.2 (2017): 719-723.
Chicago
Yang, S., Dong, S., Qu, X., Zhong, X., Zhang, Q."Clinical significance of Wip1 overexpression and its association with the p38MAPK/p53/p16 pathway in NSCLC". Molecular Medicine Reports 15, no. 2 (2017): 719-723. https://doi.org/10.3892/mmr.2016.6032
Follow us
  • Twitter
  • LinkedIn
  • Facebook
About
  • Spandidos Publications
  • Careers
  • Cookie Policy
  • Privacy Policy
How can we help?
  • Help
  • Live Chat
  • Contact
  • Email to our Support Team