Spandidos Publications Logo
  • About
    • About Spandidos
    • Aims and Scopes
    • Abstracting and Indexing
    • Editorial Policies
    • Reprints and Permissions
    • Job Opportunities
    • Terms and Conditions
    • Contact
  • Journals
    • All Journals
    • Oncology Letters
      • Oncology Letters
      • Information for Authors
      • Editorial Policies
      • Editorial Board
      • Aims and Scope
      • Abstracting and Indexing
      • Bibliographic Information
      • Archive
    • International Journal of Oncology
      • International Journal of Oncology
      • Information for Authors
      • Editorial Policies
      • Editorial Board
      • Aims and Scope
      • Abstracting and Indexing
      • Bibliographic Information
      • Archive
    • Molecular and Clinical Oncology
      • Molecular and Clinical Oncology
      • Information for Authors
      • Editorial Policies
      • Editorial Board
      • Aims and Scope
      • Abstracting and Indexing
      • Bibliographic Information
      • Archive
    • Experimental and Therapeutic Medicine
      • Experimental and Therapeutic Medicine
      • Information for Authors
      • Editorial Policies
      • Editorial Board
      • Aims and Scope
      • Abstracting and Indexing
      • Bibliographic Information
      • Archive
    • International Journal of Molecular Medicine
      • International Journal of Molecular Medicine
      • Information for Authors
      • Editorial Policies
      • Editorial Board
      • Aims and Scope
      • Abstracting and Indexing
      • Bibliographic Information
      • Archive
    • Biomedical Reports
      • Biomedical Reports
      • Information for Authors
      • Editorial Policies
      • Editorial Board
      • Aims and Scope
      • Abstracting and Indexing
      • Bibliographic Information
      • Archive
    • Oncology Reports
      • Oncology Reports
      • Information for Authors
      • Editorial Policies
      • Editorial Board
      • Aims and Scope
      • Abstracting and Indexing
      • Bibliographic Information
      • Archive
    • Molecular Medicine Reports
      • Molecular Medicine Reports
      • Information for Authors
      • Editorial Policies
      • Editorial Board
      • Aims and Scope
      • Abstracting and Indexing
      • Bibliographic Information
      • Archive
    • World Academy of Sciences Journal
      • World Academy of Sciences Journal
      • Information for Authors
      • Editorial Policies
      • Editorial Board
      • Aims and Scope
      • Abstracting and Indexing
      • Bibliographic Information
      • Archive
    • International Journal of Functional Nutrition
      • International Journal of Functional Nutrition
      • Information for Authors
      • Editorial Policies
      • Editorial Board
      • Aims and Scope
      • Abstracting and Indexing
      • Bibliographic Information
      • Archive
    • International Journal of Epigenetics
      • International Journal of Epigenetics
      • Information for Authors
      • Editorial Policies
      • Editorial Board
      • Aims and Scope
      • Abstracting and Indexing
      • Bibliographic Information
      • Archive
    • Medicine International
      • Medicine International
      • Information for Authors
      • Editorial Policies
      • Editorial Board
      • Aims and Scope
      • Abstracting and Indexing
      • Bibliographic Information
      • Archive
  • Articles
  • Information
    • Information for Authors
    • Information for Reviewers
    • Information for Librarians
    • Information for Advertisers
    • Conferences
  • Language Editing
Spandidos Publications Logo
  • About
    • About Spandidos
    • Aims and Scopes
    • Abstracting and Indexing
    • Editorial Policies
    • Reprints and Permissions
    • Job Opportunities
    • Terms and Conditions
    • Contact
  • Journals
    • All Journals
    • Biomedical Reports
      • Information for Authors
      • Editorial Policies
      • Editorial Board
      • Aims and Scope
      • Abstracting and Indexing
      • Bibliographic Information
      • Archive
    • Experimental and Therapeutic Medicine
      • Information for Authors
      • Editorial Policies
      • Editorial Board
      • Aims and Scope
      • Abstracting and Indexing
      • Bibliographic Information
      • Archive
    • International Journal of Epigenetics
      • Information for Authors
      • Editorial Policies
      • Editorial Board
      • Aims and Scope
      • Abstracting and Indexing
      • Bibliographic Information
      • Archive
    • International Journal of Functional Nutrition
      • Information for Authors
      • Editorial Policies
      • Editorial Board
      • Aims and Scope
      • Abstracting and Indexing
      • Bibliographic Information
      • Archive
    • International Journal of Molecular Medicine
      • Information for Authors
      • Editorial Policies
      • Editorial Board
      • Aims and Scope
      • Abstracting and Indexing
      • Bibliographic Information
      • Archive
    • International Journal of Oncology
      • Information for Authors
      • Editorial Policies
      • Editorial Board
      • Aims and Scope
      • Abstracting and Indexing
      • Bibliographic Information
      • Archive
    • Medicine International
      • Information for Authors
      • Editorial Policies
      • Editorial Board
      • Aims and Scope
      • Abstracting and Indexing
      • Bibliographic Information
      • Archive
    • Molecular and Clinical Oncology
      • Information for Authors
      • Editorial Policies
      • Editorial Board
      • Aims and Scope
      • Abstracting and Indexing
      • Bibliographic Information
      • Archive
    • Molecular Medicine Reports
      • Information for Authors
      • Editorial Policies
      • Editorial Board
      • Aims and Scope
      • Abstracting and Indexing
      • Bibliographic Information
      • Archive
    • Oncology Letters
      • Information for Authors
      • Editorial Policies
      • Editorial Board
      • Aims and Scope
      • Abstracting and Indexing
      • Bibliographic Information
      • Archive
    • Oncology Reports
      • Information for Authors
      • Editorial Policies
      • Editorial Board
      • Aims and Scope
      • Abstracting and Indexing
      • Bibliographic Information
      • Archive
    • World Academy of Sciences Journal
      • Information for Authors
      • Editorial Policies
      • Editorial Board
      • Aims and Scope
      • Abstracting and Indexing
      • Bibliographic Information
      • Archive
  • Articles
  • Information
    • For Authors
    • For Reviewers
    • For Librarians
    • For Advertisers
    • Conferences
  • Language Editing
Login Register Submit
  • This site uses cookies
  • You can change your cookie settings at any time by following the instructions in our Cookie Policy. To find out more, you may read our Privacy Policy.

    I agree
Search articles by DOI, keyword, author or affiliation
Search
Advanced Search
presentation
Molecular Medicine Reports
Join Editorial Board Propose a Special Issue
Print ISSN: 1791-2997 Online ISSN: 1791-3004
Journal Cover
September-2018 Volume 18 Issue 3

Full Size Image

Sign up for eToc alerts
Recommend to Library

Journals

International Journal of Molecular Medicine

International Journal of Molecular Medicine

International Journal of Molecular Medicine is an international journal devoted to molecular mechanisms of human disease.

International Journal of Oncology

International Journal of Oncology

International Journal of Oncology is an international journal devoted to oncology research and cancer treatment.

Molecular Medicine Reports

Molecular Medicine Reports

Covers molecular medicine topics such as pharmacology, pathology, genetics, neuroscience, infectious diseases, molecular cardiology, and molecular surgery.

Oncology Reports

Oncology Reports

Oncology Reports is an international journal devoted to fundamental and applied research in Oncology.

Experimental and Therapeutic Medicine

Experimental and Therapeutic Medicine

Experimental and Therapeutic Medicine is an international journal devoted to laboratory and clinical medicine.

Oncology Letters

Oncology Letters

Oncology Letters is an international journal devoted to Experimental and Clinical Oncology.

Biomedical Reports

Biomedical Reports

Explores a wide range of biological and medical fields, including pharmacology, genetics, microbiology, neuroscience, and molecular cardiology.

Molecular and Clinical Oncology

Molecular and Clinical Oncology

International journal addressing all aspects of oncology research, from tumorigenesis and oncogenes to chemotherapy and metastasis.

World Academy of Sciences Journal

World Academy of Sciences Journal

Multidisciplinary open-access journal spanning biochemistry, genetics, neuroscience, environmental health, and synthetic biology.

International Journal of Functional Nutrition

International Journal of Functional Nutrition

Open-access journal combining biochemistry, pharmacology, immunology, and genetics to advance health through functional nutrition.

International Journal of Epigenetics

International Journal of Epigenetics

Publishes open-access research on using epigenetics to advance understanding and treatment of human disease.

Medicine International

Medicine International

An International Open Access Journal Devoted to General Medicine.

Journal Cover
September-2018 Volume 18 Issue 3

Full Size Image

Sign up for eToc alerts
Recommend to Library

  • Article
  • Citations
    • Cite This Article
    • Download Citation
    • Create Citation Alert
    • Remove Citation Alert
    • Cited By
  • Similar Articles
    • Related Articles (in Spandidos Publications)
    • Similar Articles (Google Scholar)
    • Similar Articles (PubMed)
  • Download PDF
  • Download XML
  • View XML
Article

Tanshinone IIA attenuates paraquat‑induced acute lung injury by modulating angiotensin‑converting enzyme 2/angiotensin‑(1‑7) in rats

  • Authors:
    • Yanxia Wang
    • Huajie Wu
    • Wen Niu
    • Jian Chen
    • Manlin Liu
    • Xin Sun
    • Zhichao Li
  • View Affiliations / Copyright

    Affiliations: Department of Pathology and Pathophysiology, Fourth Military Medical University, Xi'an, Shaanxi 710032, P.R. China, Department of Pediatrics of Xijing Hospital, Fourth Military Medical University, Xi'an, Shaanxi 710032, P.R. China
  • Pages: 2955-2962
    |
    Published online on: July 16, 2018
       https://doi.org/10.3892/mmr.2018.9281
  • Expand metrics +
Metrics: Total Views: 0 (Spandidos Publications: | PMC Statistics: )
Metrics: Total PDF Downloads: 0 (Spandidos Publications: | PMC Statistics: )
Cited By (CrossRef): 0 citations Loading Articles...

This article is mentioned in:



Abstract

Tanshinone IIA (TIIA) is an active compound that can be isolated from the Chinese herb, Salvia miltiorrhizae Bunge, also known as danshen. Previous studies have demonstrated that TIIA can effectively attenuate bleomycin‑induced pulmonary fibrosis in rats. However, it has not been determined whether TIIA can attenuate paraquat (PQ)‑induced acute lung injury (ALI). In the present study, the protective effects exhibited by TIIA on PQ‑induced ALI, as well as its underlying mechanisms, were investigated using Sprague‑Dawley (SD) rats. ALI animal models using rats were established via administration of PQ. Adult male SD rats were randomly divided into three groups: A control group, a PQ group and a PQ + TIIA group. Total cell count, total protein levels and lactic dehydrogenase (LDH) levels in bronchoalveolar lavage fluid (BALF), as well as myeloperoxidase (MPO) activity in lung tissues were determined. Lung histological alterations were also investigated. Angiotensin converting enzyme 2 (ACE2) and Angiotensin 1‑7 [Ang‑(1‑7)] expression levels in the lung were also analyzed. The results demonstrated that administration of PQ induced marked histological alterations, and markedly increased neutrophil infiltration, lung wet/dry weight ratio, total cell count, protein content and LDH levels in BALF. In addition, PQ was revealed to significantly decrease ACE2 and Ang‑(1‑7) expression levels in lung tissues. However, it was demonstrated that TIIA attenuated these effects. Therefore, the results of the present study suggest that that TIIA may exhibit a therapeutic effect regarding PQ‑induced ALI in rats, and that ACE2 and Ang‑(1‑7) may be involved in the underlying mechanisms of this effect.

Introduction

Acute lung injury (ALI) is a common disease with a high morbidity and mortality rate worldwide (1–2). More than 2 million ALI cases caused by chemical poisoning including paraquat are reported annually in China, resulting in over 150,000 deaths (1). Numerous factors may induce ALI, including pathogens, toxins, infections and autoimmune factors (1). A number of previous studies have revealed that acute inflammation and oxidative stress are involved in the development of ALI (2–4). Numerous animal models of ALI have been established to investigate the pathogenesis of this disease and to develop novel therapeutic treatments (1–4).

Paraquat (PQ) is a nonselective bipyridyl herbicide, which is widely used for crop management globally, however, its usage is particularly prevalent in developing countries (5). PQ is highly toxic to humans and animals when absorbed into the body via ingestion, skin contact or inhalation (5,6). When PQ accumulates in the lung, it can induce a systemic inflammatory response (5,6), which can subsequently result in severe lung injury, which is predominantly marked by edema, hemorrhage, interstitial inflammation and progressive fibrosis (7,8). At present, numerous drugs have been used for the attenuation of the adverse side effects exhibited by patients with PQ-induced lung injury; however, an effective and specific treatment strategy has not yet been established (9). To develop novel treatments for PQ poisoning, the underlying mechanisms of PQ-induced ALI require further investigation.

It has been well established that the renin-angiotensin system (RAS) serves a role in maintaining the homeostasis of blood pressure and electrolyte balance. However, previous studies have demonstrated that RAS is involved in a number of inflammatory diseases, including cardiovascular, renal and lung diseases (10–12). Angiotensin converting enzyme 2 (ACE2), a member of the RAS, suppresses the production of Angiotensin II (Ang-II) by catalyzing the conversion of Ang-II to Angiotensin 1–7 [Ang-(1–7)], and serves an important role in regulation of Ang-II (13). In addition, previous studies have revealed that Ang-II serves a role in the development of ALI and Ang-II has been demonstrated to be involved in the development of lung fibrosis (14,15). Furthermore, studies have also revealed that ACE2-deficient mice suffer from increased aggravation of lung injury compared with wild-type mice, whereas treatment with recombinant ACE2 and Ang-(1–7) was revealed to attenuate associated lung injury (16). All of these results suggest that ACE2/Ang-(1–7) may have a protective effect against lung injury and may serve as a therapeutic agent for the treatment of lung injury.

TIIA, an active compound in Salvia miltiorrhizae Bunge, also known as danshen, exhibits anti-inflammatory effects and has been used to treat inflammatory diseases such as bleomycin-induced pulmonary fibrosis in rats and LPS-treated acute lung injury in mice (15,17). Our previous studies have revealed that treatment with TIIA attenuates lung injury induced by lipopolysaccharide (LPS) and bleomycin (15,17,18), and that ACE2/Ang-(1–7) is involved in the underlying mechanisms associated with the therapeutic effect of TIIA on bleomycin-induced pulmonary fibrosis in rats (15,17,18). The present study aimed to determine whether TIIA exhibits therapeutic effects regarding PQ-induced ALI, and to determine its underlying mechanisms. The results of the present study demonstrated that TIIA attenuated PQ-induced lung injury and indicated that its effects were associated with ACE2/Ang-(1–7).

Materials and methods

Experimental groups

All experiments involving animals were approved by the Animal Care and Use Committee of the Fourth Military Medical University (Xi'an, China) in accordance with the Declaration of the National Institutes of Health Guide for Care and Use of Laboratory Animals (19). Male Sprague-Dawley rats (n=30; body weight, 250±15 g, aged 9 weeks) obtained from the Animal Center of the Fourth Military Medical University were used in the present study. Rats were housed at a temperature of 22±2°C with a 12-h light-dark cycle and 21% O2, and were fed regular laboratory chow and water ad libitum. A total of 30 rats were randomly divided into 3 groups: Control group (saline-treated group; n=10), PQ group (paraquat-treated group; n=10), and PQ + TIIA group (paraquat and TIIA-treated group; n=10). The rats in the control and PQ groups were intratracheally administered 0.9% saline or PQ (35 mg/kg) on the first day. The rats in PQ + TIIA group were intratracheally administered PQ (35 mg/kg) on the first day, and then administered TIIA (25 mg/kg) daily for a further 3 days (7,15). The dose of TIIA administrated was determined in accordance with a previous study (15). At the termination of drug treatments, all rats were fasted overnight (12 h), anesthetized using 20% urethane (1,000 mg/kg) via intraperitoneal injection and then sacrificed via exsanguination. Lung tissue was then collected for subsequent experiments.

Reagents

Tanshinone IIA (sulfonate; purity of 99%) was purchased from the National Institute for the Control of Pharmaceutical and Biological Products (Beijing, China). Kits for determining myeloperoxidase (MPO) activity and LDH were obtained from Nanjing Jiancheng Bioengineering Institute (Nanjing, China). An ELISA kit for the detection of Ang-(1–7) (cat. no. E-33102) was purchased from Beijing Chenglin Biotechnology Co., Ltd. (Beijing, China). ACE2 mouse monoclonal antibodies (cat. no. ab108252) were purchased from Abcam (Cambridge, UK). Ang-(1–7) rabbit polyclonal antibodies (cat. no. P3638Rb-r) were purchased from Wuhan EIAab Science Co., Ltd. (Wuhan, China). β-actin (cat. no. YM1110) was purchased from ImmunoWay Biotechnology Co. (Plano, TX, USA). Goat anti-mouse antibody (cat. no. K175622C) and Goat anti-rabbit antibody (cat. no. K166616H) were purchased from OriGene Technologies, Inc. (Beijing, China). The BCA kit was purchased from Nanjing Jiancheng Bioengineering Institute (Nanjing, China). Goat serum (cat. no. ZLI-9022) was purchased from OriGene Technologies, Inc. Mouse serum was made in our laboratory.

Wet/dry weight (W/D) ratio

The W/D ratio was used to determine lung water content as well as the severity of ALI. At the end of all experiments, the rats were sacrificed and the lungs were isolated from the thoracic cavity. The middle lobe of the right lung was immediately weighed. Following this, the lobes were incubated in a drying oven at 50°C for 96 h and weighed again. Following this, the W/D ratio was determined.

MPO activity analysis

MPO is predominantly secreted by neutrophils and can be used to determine neutrophil infiltration as an index of inflammation (20). Left lungs were obtained from rats, and the MPO activity was determined. Briefly, lung tissues were frozen and homogenized and then treated in accordance with the protocol of the MPO detection kit. Finally, MPO of lung tissues were detected using a spectrophotometer at a wavelength of 460 nm.

Collection of bronchoalveolar lavage fluid (BALF) and determination of total protein levels

BALF in the left lungs of the rats were collected using 5 ml phosphate-balanced saline solution (18). Collected BALF was centrifuged at 800 × g for 10 min at 4°C, and the supernatant was collected and stored at −70°C. Total protein content was determined in accordance with the manufacturer's instructions of the BCA kit (21).

Determination of total cell count, total protein levels and lactate dehydrogenase (LDH) activity in BALF

Total cell count in BALF was determined using a hemocytometer. Total protein content in BALF was determined using the bicinchoninic acid protein assay (Pierce; Thermo Fisher Scientific, Inc., Waltham, MA, USA). The activity of LDH, an indicator of cell/tissue damage (22), was determined at a wavelength of 460 nm using an LDH determination kit according to the manufacturer's protocol.

Lung histological analysis

Lung tissues were fixed in 10% formaldehyde for 72 h at 37°C, embedded in paraffin and then cut into 5-µm-thick sections. Following this, sections were subjected to hematoxylin and eosin (H&E) staining for 30 min and Trichrome Masson's staining for 1 h at room temperature. All sections were investigated using an Olympus BX50 bright field microscope (magnification, ×20) equipped with an image analysis program (Image ProPlus, version 6.0; Media Cybernetics, Inc., Rockville, MD, USA).

Immunohistochemical staining analysis

Lung sections (5 µm) were prepared as described above and then deparaffinized, rehydrated and blocked via incubation with 0.3% H2O2 for 30 min at room temperature. Following antigen retrieval performed via treatment with citrate buffer in a microwave for 10 min, the sections were blocked for 1 h with normal goat serum at 37°C. Following this, the sections were incubated with the ACE2 mouse monoclonal antibodies (1:200) and Ang-(1–7) rabbit polyclonal antibodies (1:200) at 4°C overnight. Sections were washed using PBS and then incubated goat anti-mouse antibody and goat anti-mouse antibody for 60 min at 37°C. Chromagen detection was performed for 8 min at room temperature using the 3′3′-diaminobenzidine signal detection method. Negative controls were performed using mouse serum as the primary antibody. Staining was revealed to be positive when deep brown color was observed. All sections were investigated using an Olympus BX50 bright field microscope equipped with an image analysis program (Image ProPlus, version 6.0; Media Cybernetics, Inc.) and the morphological semiquantitative analysis was performed on microscopic images. The integrated optical density was determined for arbitrary areas, and 10 fields of view were investigated per sample (magnification, ×20).

Western blot analysis

Rat lung tissues were homogenized in liquid nitrogen and total lysates were then isolated from rat lung tissues using radioimmunoprecipitation assay lysis buffer (Beyotime Institute of Biotechnology, Haimen, China). Following protein quantitation using a coomassie brilliant blue assay, protein samples (50 µg) were separated via 12% SDS-PAGE and then transferred onto nitrocellulose membranes. Membranes were then blocked using 5% non-fat milk for 1 h at 37°C and then incubated with mouse monoclonal antibodies against ACE2 (1:400) and β-actin (1:1,000) overnight at 4°C. β-actin was used as a loading control. The blots were visualized using the ECL Plus reagent (Sigma-Aldrich; Merck KGaA, Darmstadt, Germany) and then densitometrically analyzed using ImageJ software version 1.37 (National Institutes of Health, Bethesda, MD, USA).

ELISA analysis

Concentrations of Ang-(1–7) in lung tissue were determined using ELISA kits according to the manufacturer's instructions.

Statistical analysis

All data are presented as the mean ± standard deviation of three independent experiments. Statistical analysis was performed using one-way analysis of variance following by the Bonferroni post hoc test, using GraphPad Prism 5.0 software (GraphPad Software Inc., La Jolla, CA, USA). P<0.05 was considered to indicate a statistically significant difference.

Results

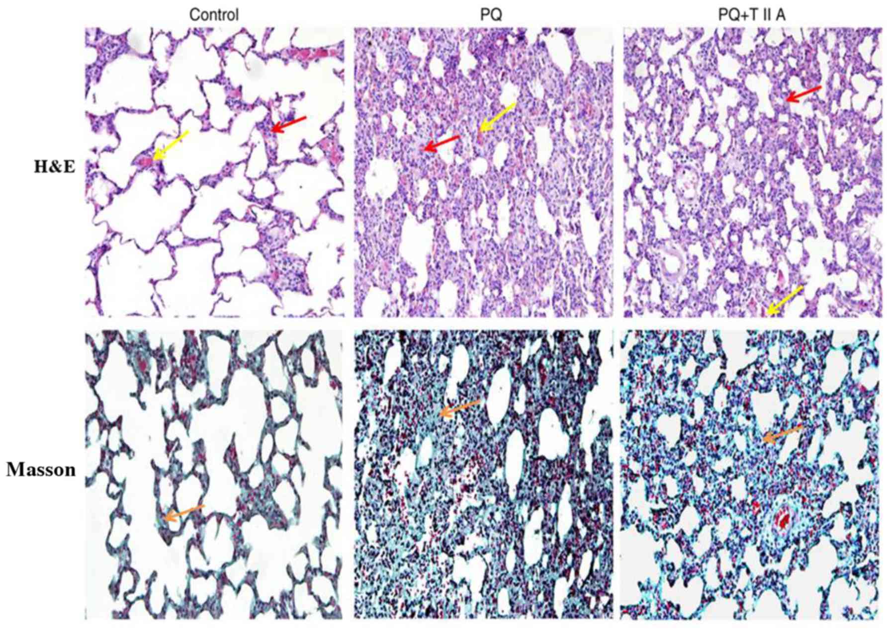
TIIA attenuates adverse histopathological effects in lung tissue with PQ-induced ALI

Results of the histopathological analyses performed via H&E and Masson's staining, using lung sections obtained from the three different experimental groups, are presented in Fig. 1. The results revealed normal lung tissue structure and clear pulmonary alveoli in the control group. Marked differences in lung histology were demonstrated between the PQ group and PQ + TIIA group. In the PQ group, lung edema, hemorrhage, alveolar septal thickening, influx of inflammatory cells and fibrin deposition were observed. By contrast, similar effects were exhibited by the PQ + TIIA group but to a lesser extent compared with those exhibited by the PQ group, which suggests that TIIA attenuated lung injury.

Figure 1.

Histopathological analyses of rat lung tissue in different experimental groups. Marked increases in lung hemorrhage (yellow arrow), edema (red arrow), alveolar septal thickening (red arrow), influx of inflammatory cells (red arrow) and fibrin deposition (orange arrow) were observed in the PQ group compared with the control group. However, lung damage was markedly attenuated in PQ + TIIA group compared with the PQ group, thus suggesting that TIIA has a therapeutic effect against PQ induced acute lung injury (magnification ×200). HE, hematoxylin and eosin; PQ, paraquat; TIIA, Tanshinone IIA.

TIIA attenuates the W/D ratio and neutrophil infiltration in lung tissues following administration of PQ

To further investigate the effect of TIIA on PQ-induced lung edema, alterations in the lung W/D ratio were determined. The results demonstrated that the W/D ratio was significantly increased in the PQ group compared with the control group (Fig. 2A). However, the W/D ratio exhibited by the PQ group was significantly attenuated following treatment with TIIA (Fig. 2A). In addition, to investigate neutrophil infiltration in the lungs, MPO activity was determined. PQ administration significantly increased MPO activity in BALF compared with the control group (Fig. 2B); however, MPO activity was significantly suppressed in the PQ + TIIA group compared with the PQ group (Fig. 2B).

Figure 2.

Effect of TIIA on the W/D ratio and MPO activity levels in PQ-induced acute lung injury. (A) W/D ratio of rats in different experimental groups. The lung W/D ratio of rats in the PQ group was significantly increased compared with the control group; however, the W/D ratio in the PQ + TIIA group was significantly decreased compared with the PQ group. (B) The MPO activity in the BALF of rats in different experimental groups was determined. The results demonstrated that administration of PQ significantly increased MPO activity compared with the control group; however, this was significantly attenuated following treatment with TIIA. **P<0.01 vs. control group; #P<0.05 vs. PQ group. PQ, paraquat; TIIA, Tanshinone IIA; W/D, wet/dry weight; BALF, bronchoalveolar lavage fluid.

TIIA attenuates increased LDH and protein levels, as well as the total cell count, in the BALF of rats with PQ-induced ALI

Rats treated with PQ exhibited a significant increase in BALF LDH levels compared with the control group (Table I), whereas this effect was significantly attenuated following treatment with TIIA (Table I). In addition, the total cell count and total protein levels in BALF were significantly enhanced in the PQ group compared with control group (Table I); however, this effect was significantly attenuated following treatment with TIIA (Table I).

Table I.

Effects of Tanshinone IIA on LDH concentration, total cell count and protein concentration in bronchoalveolar lavage fluid.

Table I.

Effects of Tanshinone IIA on LDH concentration, total cell count and protein concentration in bronchoalveolar lavage fluid.

GroupsProtein concentration (µg/ml)Total cells (1×104/ml)LDH (U/ml)
Control30.51±3.2318.65±1.099.53±0.99
PQ 75.36±5.76a 63.17±4.89a 75.56±2.14a
PQ + TIIA 41.47±3.56b 35.43±5.30b 39.03±3.18b

a P<0.01 vs. Control group

b P<0.05 vs. PQ group. TIIA, Tanshinone IIA; PQ, paraquat; LDH, lactic dehydrogenase.

TIIA attenuates the suppressed ACE2 expression in the lung tissues of rats with PQ-induced ALI

Immunohistochemical staining revealed that the expression of ACE2 was significantly decreased in the PQ group compared with the control group, whereas the expression of ACE2 was significantly attenuated following treatment with TIIA compared with the PQ group (Fig. 3A and B). Furthermore, the protein level of ACE2 was investigated by western blot analysis, the results of which demonstrated that the protein expression levels of ACE2 were significantly suppressed following administration of PQ compared with the control group; however, treatment with TIIA significantly attenuated this effect (Fig. 4A and B).

Figure 3.

Effect of TIIA on ACE2 expression in PQ-induced lung tissue was investigated via immunohistochemical analysis. (A) ACE2 immunohistochemical analysis of rat lung tissue in different experimental groups (magnification, ×200). (B) IOD value of ACE2 staining. ACE2 expression was revealed to be significantly decreased in the PQ group compared with the control group; however, this effect was significantly attenuated following treatment with TIIA. *P<0.05 vs. control group, ##P<0.01 vs. PQ group. IOD, integrated optical density; PQ, paraquat; TIIA, Tanshinone IIA; ACE2, angiotensin converting enzyme 2.

Figure 4.

Effect of TIIA on the expression of ACE2 in PQ-induced lung tissue as revealed by western blot analysis. (A) Western blot analysis of ACE2 protein expression in the lung tissues of rats in different experimental groups. (B) Quantification of the expression levels of ACE2 as revealed by western blot analysis. ACE2 expression was significantly decreased in the PQ group compared with the control group; however, this effect was significantly attenuated following treatment with TIIA. *P<0.05 vs. control group; ##P<0.01 vs. PQ group. PQ, paraquat; TIIA, Tanshinone IIA; ACE2, angiotensin converting enzyme 2.

TIIA attenuates decreased expression levels of Ang-(1–7) in in the lung tissues of rats with PQ-induced ALI

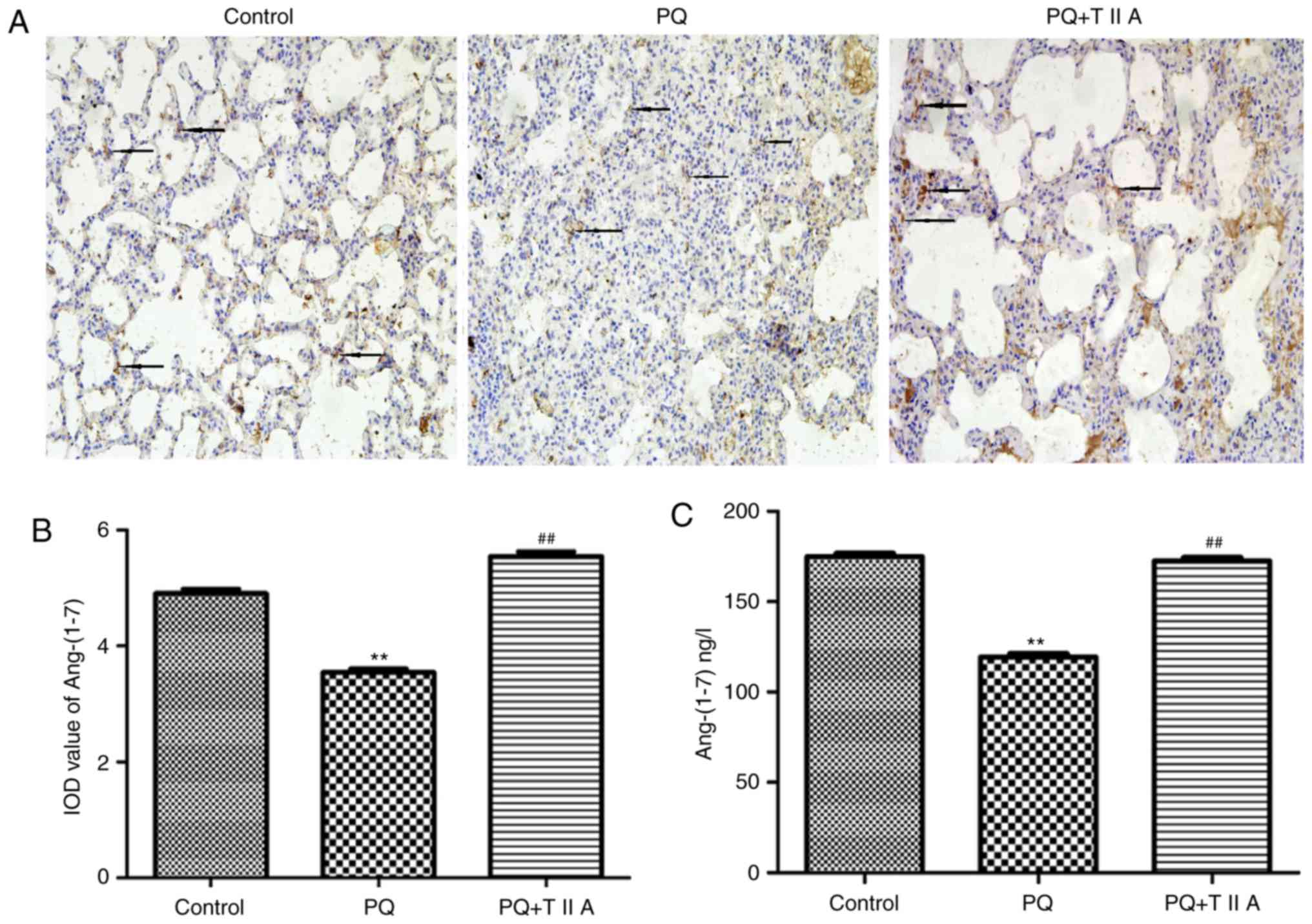
Expression levels of Ang-(1–7) were demonstrated to be significantly suppressed in the PQ group compared with the control group; however, the expression of Ang-(1–7) was significantly increased in the PQ + TIIA group compared with the PQ group (Fig. 5A and B). Furthermore, the protein expression levels of Ang-(1–7) were determined by ELISA. The results revealed that Ang-(1–7) expression was significantly decreased following administration of PQ compared with the control group; however, treatment with TIIA significantly attenuated this effect (Fig. 5C).

Figure 5.

Effect of TIIA on Ang-(1–7) expression levels in PQ-induced acute lung injury. (A) Immunohistochemical analysis of rat lung tissue in different experimental groups was performed to determine the expression of Ang-(1–7; (positive expression indicated by the arrows). (B) IOD value of Ang-(1–7) staining. (C) ELISA analysis was performed to determine the expression levels of Ang-(1–7) in rat lung tissues in the different experimental groups. Ang-(1–7) expression was significantly decreased in the PQ group compared with the control group, whereas this effect was significantly attenuated following treatment with TIIA. **P<0.01 vs. control group; ##P<0.01 vs. PQ group (magnification, ×100; scale bars=100 µm). IOD, integrated optical density; PQ, paraquat; TIIA, Tanshinone IIA; Ang-(1–7), angiotensin 1–7.

Discussion

Small quantities of PQ can be rapidly distributed among numerous organs in the body and cause multiple organ damage (23). PQ is a strong pneumotoxicant, particularly due to its ability to accumulate in the lung, which is facilitated by alveolar epithelial cells via the polyamine uptake pathway, resulting in ALI (23). Despite the mechanism underlying the development of lung injury by PQ remaining undetermined, previous studies have demonstrated that oxidative and inflammatory mediators induced by PQ may result in tissue injury (24). Current treatments for PQ poisoning primarily consist of anti-inflammatory and anti-oxidative treatments for the attenuation of PQ-induced ALI (25,26). However, the effectiveness of such treatments has been contested (12,27). Therefore, further investigation for a suitable and effective treatment is required to improve therapeutic outcomes for PQ-induced ALI.

Danshen is a herbal drug that can be isolated from the dried root or rhizome of Salvia miltiorrhizae Bunge, and has been used clinically for the treatment of cardiovascular disease by improving microcirculation as well as promoting tissue repair and regeneration (15). TIIA has been demonstrated to be responsible for the majority of therapeutic properties exhibited by Danshen (17). TIIA can exert a number of biochemical effects, such as anti-oxidant and anti-inflammatory effects. Our previous studies have demonstrated that TIIA can attenuate lung injury induced by LPS and seawater (28–31), pulmonary fibrosis induced by bleomycin (15) and hypoxic pulmonary hypertension (32). As a result, the present study aimed to investigate whether TIIA can attenuate PQ-induced ALI. The pathological results demonstrated that PQ induced alveolar epithelial cell disruption, hemorrhaging, edema, hypoxemia, infiltration of inflammatory cells into the interstitial and alveoli spaces and diffuse alveolar collapse, which is consistent with the results of previous studies (22,32). However, TIIA was revealed to markedly attenuate such pathological alterations. Furthermore, PQ was revealed to significantly increase the W/D ratio, protein levels and LDH and MPO activity in BALF. The pathological results suggested that TIIA significantly attenuated these biochemical parameters.

At present, RAS is considered to represent an important factor in the inflammatory response, and Ang-II has been revealed to represent a growth factor involved in the regulation of cell growth and fibrosis, and may also be involved in the regulation of lung injury progression via numerous mechanisms (33,34). In addition, ACE2, a member of RAS, functions as a counter-regulator of ACE in the regulation of Ang-II and Ang-(1–7) production (35). Numerous studies have demonstrated that the ACE2/Ang-(1–7) axis exhibits protective effects in numerous organs by attenuating the pathological effects induced by the overactivation of the ACE/Ang-II axis, including hypertensive cardiac remodeling, liver fibrosis and LPS-induced lung fibrosis (36–39). A further study also revealed that ACE2 has a negative regulatory role regarding the severity of lung injury (40). In our previous study, it was demonstrated that TIIA attenuates bleomycin induced pulmonary fibrosis via modulation of the ACE2/Ang-(1–7) axis in rats (15). Therefore, a further aim of the present study was to investigate whether the therapeutic effect exhibited by TIIA against PQ-induced ALI is associated with the ACE2/Ang-(1–7) axis. In the present study, the results revealed that PQ significantly suppressed the expression of ACE2/Ang-(1–7); however, treatment with TIIA significantly attenuated the expression levels of ACE2/Ang-(1–7) post-treatment with PQ. Therefore, the results suggest that treatment with TIIA exhibits a therapeutic effect against PQ-induced ALI.

In conclusion, the present study investigated the protective effects, and underlying mechanisms of, TIIA associated with PQ-induced ALI using a rat animal model. The results suggest that TIIA serves an important role in PQ-induced ALI, and that the ACE-2/Ang-(1–7) axis is associated with the therapeutic effects exhibited by TIIA. The results of the present study may provide further insight into the underlying mechanisms regarding the therapeutic effect of TIIA on PQ-induced ALI, and improve clinical treatment strategies for patients with PQ-induced ALI. However, the present study did not perform knockdown of ACE2 and Ang-(1–7)/loss of function experiments. The absence of such experiments is a limitation of the present study, and thus should be investigated by future studies.

Acknowledgements

Not applicable.

Funding

This present study was funded by the National Nature Science Foundation of China (grant nos. 31671186, 81270328 and 81471816).

Availability of data and materials

All data generated or analyzed during this study are included in this published article.

Authors' contributions

ZL and XS conceived and designed the study, YW and HW performed the experiments and wrote the paper, and WN, JC and ML analyzed the data. All authors read and approved the final manuscript.

Ethics approval and consent to participate

All experiments involving animals were approved by the Animal Care and Use Committee of the Fourth Military Medical University (Xi'an, China) in accordance with the Declaration of the National Institutes of Health Guide for Care and Use of Laboratory Animals.

Consent for publication

Not applicable.

Competing interests

The authors declare that they have no competing interests.

References

1 

Sun S, Jiang Y, Wang R, Liu C, Liu X, Song N, Guo Y, Guo R, Du L, Jiang S, et al: Treatment of paraquat-induced lung injury with an anti-c5a antibody: Potential clinical application. Crit Care Med. 46:e419–e425. 2018. View Article : Google Scholar : PubMed/NCBI

2 

Han J, Ma D, Zhang M, Yang X and Tan D: Natural antioxidant betanin protects rats from paraquat-induced acute lung injury interstitial pneumonia. Biomed Res Int. 2015:6081742015. View Article : Google Scholar : PubMed/NCBI

3 

Cai L, Yi F, Dai Z, Huang X, Zhao YD, Mirza MK, Xu J, Vogel SM and Zhao YY: Loss of caveolin-1 and adiponectin induces severe inflammatory lung injury following LPS challenge through excessive oxidative/nitrative stress. Am J Physiol Lung Cell Mol Physiol. 306:L566–L573. 2014. View Article : Google Scholar : PubMed/NCBI

4 

Sunil VR, Vayas KN, Cervelli JA, Malaviya R, Hall L, Massa CB, Gow AJ, Laskin JD and Laskin DL: Pentoxifylline attenuates nitrogen mustard-induced acute lung injury, oxidative stress and inflammation. Exp Mol Pathol. 97:89–98. 2014. View Article : Google Scholar : PubMed/NCBI

5 

Amirshahrokhi K: Anti-inflammatory effect of thalidomide in paraquat-induced pulmonary injury in mice. Int Immunopharmacol. 17:210–215. 2013. View Article : Google Scholar : PubMed/NCBI

6 

Yin Y, Guo X, Zhang SL and Sun CY: Analysis of paraquat intoxication epidemic (2002–2011) within China. Biomed Environ Sci. 26:509–512. 2013.PubMed/NCBI

7 

Choi JS, Jou SS, Oh MH, Kim YH, Park MJ, Gil HW, Song HY and Hong SY: The dose of cyclophosphamide for treating paraquat-induced rat lung injury. Korean J Intern Med. 28:420–427. 2013. View Article : Google Scholar : PubMed/NCBI

8 

Liu MW, Su MX, Zhang W, Wang YQ, Chen M, Wang L and Qian CY: Protective effect of Xuebijing injection on paraquat-induced pulmonary injury via down-regulating the expression of p38 MAPK in rats. BMC Complement Altern Med. 14:4982014. View Article : Google Scholar : PubMed/NCBI

9 

Li Y, Cao Y, Zeng Z, Liang M, Xue Y, Xi C, Zhou M and Jiang W: Angiotensin-converting enzyme 2/angiotensin-(1–7)/Mas axis prevents lipopolysaccharide-induced apoptosis of pulmonary microvascular endothelial cells by inhibiting JNK/NF-κB pathways. Sci Rep. 5:82092015. View Article : Google Scholar : PubMed/NCBI

10 

Chou CH, Chuang LY, Lu CY and Guh JY: Interaction between TGF-β and ACE2-Ang-(1–7)-Mas pathway in high glucose-cultured NRK-52E cells. Mol Cell Endocrinol. 366:21–30. 2013. View Article : Google Scholar : PubMed/NCBI

11 

de Man FS, Tu L, Handoko ML, Rain S, Ruiter G, François C, Schalij I, Dorfmüller P, Simonneau G, Fadel E, et al: Dysregulated renin-angiotensin-aldosterone system contributes to pulmonary arterial hypertension. Am J Respir Crit Care Med. 186:780–789. 2012. View Article : Google Scholar : PubMed/NCBI

12 

Song B, Zhang ZZ, Zhong JC, Yu XY, Oudit GY, Jin HY, Lu L, Xu YL, Kassiri Z, Shen WF, et al: Loss of angiotensin-converting enzyme 2 exacerbates myocardial injury via activation of the CTGF-fractalkine signaling pathway. Circ J. 77:2997–3006. 2013. View Article : Google Scholar : PubMed/NCBI

13 

Tipnis SR, Hooper NM, Hyde R, Karran E, Christie G and Turner AJ: A human homolog of angiotensin-converting enzyme. Cloning and functional expression as a captopril-insensitive carboxypeptidase. J Biol Chem. 275:33238–33243. 2000. View Article : Google Scholar : PubMed/NCBI

14 

Li G, Yuzhen L, Yi C, Xiaoxiang C, Wei Z, Changqing Z and Shuang Y: DNaseI protects against Paraquat-induced acute lung injury and pulmonary fibrosis mediated by mitochondrial DNA. Biomed Res Int. 2015:3869522015.PubMed/NCBI

15 

Wu H, Li Y, Wang Y, Xu D, Li C, Liu M, Sun X and Li Z: Tanshinone IIA attenuates bleomycin-induced pulmonary fibrosis via modulating angiotensin-converting enzyme 2/angiotensin-(1–7) axis in rats. Int J Med Sci. 11:578–586. 2014. View Article : Google Scholar : PubMed/NCBI

16 

Imai Y, Kuba K, Rao S, Huan Y, Guo F, Guan B, Yang P, Sarao R, Wada T, Leong-Poi H, et al: Angiotensin-converting enzyme 2 protects from severe acute lung failure. Nature. 436:112–116. 2005. View Article : Google Scholar : PubMed/NCBI

17 

Xu M, Cao F, Liu L, Zhang B, Wang Y, Dong H, Cui Y, Dong M, Xu D, Liu Y, et al: Tanshinone IIA-induced attenuation of lung injury in endotoxemic mice is associated with reduction of hypoxia-inducible factor 1α expression. Am J Respir Cell Mol Biol. 45:1028–1035. 2011. View Article : Google Scholar : PubMed/NCBI

18 

Xu M, Dong MQ, Cao FL, Liu ML, Wang YX, Dong HY, Huang YF, Liu Y, Wang XB, Zhang B, et al: Tanshinone IIA reduces lethality and acute lung injury in LPS-treated mice by inhibition of PLA2 activity. Eur J Pharmacol. 607:194–200. 2009. View Article : Google Scholar : PubMed/NCBI

19 

National Council for Science and Technology: Regulations on the Management of Experimental Animals. State Council Bulletin. 2017.1 Supplement:(Chinese).

20 

Adam M, Meyer S, Knors H, Klinke A, Radunski UK, Rudolph TK, Rudolph V, Spin JM, Tsao PS, Costard-Jäckle A and Baldus S: Levosimendan displays anti-inflammatory effects and decreases MPO bioavailability in patients with severe heart failure. Sci Rep. 5:97042015. View Article : Google Scholar : PubMed/NCBI

21 

Ollivett TL, Caswell JL, Nydam DV, Duffield T, Leslie KE, Hewson J and Kelton D: Thoracic ultrasonography and bronchoalveolar lavage fluid analysis in holstein calves with subclinical lung lesions. J Vet Intern Med. 29:1728–1734. 2015. View Article : Google Scholar : PubMed/NCBI

22 

Ede LC, O'Brien J, Chonmaitree T, Han Y and Patel JA: Lactate dehydrogenase as a marker of nasopharyngeal inflammatory injury during viral upper respiratory infection: Implications for acute otitis media. Pediatr Res. 73:349–354. 2013. View Article : Google Scholar : PubMed/NCBI

23 

Tomita M, Okuyama T, Katsuyama H, Miura Y, Nishimura Y, Hidaka K, Otsuki T and Ishikawa T: Mouse model of paraquat-poisoned lungs and its gene expression profile. Toxicology. 231:200–209. 2007. View Article : Google Scholar : PubMed/NCBI

24 

Liu Z, Zhao H, Liu W, Li T, Wang Y and Zhao M: NLRP3 inflammasome activation is essential for paraquat-induced acute lung injury. Inflammation. 38:433–444. 2015. View Article : Google Scholar : PubMed/NCBI

25 

Liu S, Liu K, Sun Q, Liu W, Xu W, Denoble P, Tao H and Sun X: Consumption of hydrogen water reduces paraquat-induced acute lung injury in rats. J Biomed Biotechnol. 2011:3050862011. View Article : Google Scholar : PubMed/NCBI

26 

Novaes RD, Gonçalves RV, Cupertino MC, Marques DC, Rosa DD, Mdo Peluzio C, Neves CA and Leite JP: Bark extract of Bathysa cuspidata attenuates extra-pulmonary acute lung injury induced by paraquat and reduces mortality in rats. Int J Exp Pathol. 93:225–233. 2012. View Article : Google Scholar : PubMed/NCBI

27 

He F, Xu P, Zhang J, Zhang Q, Gu S, Liu Y and Wang J: Efficacy and safety of pulse immunosuppressive therapy with glucocorticoid and cyclophosphamide in patients with paraquat poisoning: A meta-analysis. Int Immunopharmacol. 27:1–7. 2015. View Article : Google Scholar : PubMed/NCBI

28 

Li J, Xu M, Fan Q, Xie X, Zhang Y, Mu D, Zhao P, Zhang B, Cao F, Wang Y, et al: Tanshinone IIA ameliorates seawater exposure-induced lung injury by inhibiting aquaporins (AQP) 1 and AQP5 expression in lung. Respir Physiol Neurobiol. 176:39–49. 2011. View Article : Google Scholar : PubMed/NCBI

29 

Li JH, Xu M, Xie XY, Fan QX, Mu DG, Zhang Y, Cao FL, Wang YX, Zhao PT, Zhang B, et al: Tanshinone IIA suppresses lung injury and apoptosis, and modulates protein kinase B and extracellular signal-regulated protein kinase pathways in rats challenged with seawater exposure. Clin Exp Pharmacol Physiol. 38:269–277. 2011. View Article : Google Scholar : PubMed/NCBI

30 

Xie XY, Zhang B, Li JH, Fan QX, Zhang Y, Mu DG, Li WP, Xu M, Zhao PT, Jin FG and Li ZC: Sodium tanshinone iia sulfonate attenuates seawater aspiration-induced acute pulmonary edema by up-regulating Na(+),K(+)-ATPase activity. Exp Lung Res. 37:482–491. 2011. View Article : Google Scholar : PubMed/NCBI

31 

Zhang Y, Zhang B, Xu DQ, Li WP, Xu M, Li JH, Xie XY, Fan QX, Liu W, Mu DG, et al: Tanshinone IIA attenuates seawater aspiration-induced lung injury by inhibiting macrophage migration inhibitory factor. Biol Pharm Bull. 34:1052–1057. 2011. View Article : Google Scholar : PubMed/NCBI

32 

Wang J, Dong MQ, Liu ML, Xu DQ, Luo Y, Zhang B, Liu LL, Xu M, Zhao PT, Gao YQ and Li ZC: Tanshinone IIA modulates pulmonary vascular response to agonist and hypoxia primarily via inhibiting Ca2+ influx and release in normal and hypoxic pulmonary hypertension rats. Eur J Pharmacol. 640:129–138. 2010. View Article : Google Scholar : PubMed/NCBI

33 

Lin JL, Lin-Tan DT, Chen KH and Huang WH: Repeated pulse of methylprednisolone and cyclophosphamide with continuous dexamethasone therapy for patients with severe paraquat poisoning. Crit Care Med. 34:368–373. 2006. View Article : Google Scholar : PubMed/NCBI

34 

Zhang X, Yang J, Yu X, Cheng S, Gan H and Xia Y: Angiotensin II-induced early and late inflammatory responses through NOXs and MAPK pathways. Inflammation. 40:154–165. 2017. View Article : Google Scholar : PubMed/NCBI

35 

Zhong J, Basu R, Guo D, Chow FL, Byrns S, Schuster M, Loibner H, Wang XH, Penninger JM, Kassiri Z and Oudit GY: Angiotensin-converting enzyme 2 suppresses pathological hypertrophy, myocardial fibrosis, and cardiac dysfunction. Circulation. 122:717–728. 2010. View Article : Google Scholar : PubMed/NCBI

36 

Chen Q, Yang Y, Huang Y, Pan C, Liu L and Qiu H: Angiotensin-(1–7) attenuates lung fibrosis by way of Mas receptor in acute lung injury. J Surg Res. 185:740–747. 2013. View Article : Google Scholar : PubMed/NCBI

37 

Lubel JS, Herath CB, Tchongue J, Grace J, Jia Z, Spencer K, Casley D, Crowley P, Sievert W, Burrell LM and Angus PW: Angiotensin-(1–7), an alternative metabolite of the renin-angiotensin system, is up-regulated in human liver disease and has antifibrotic activity in the bile-duct-ligated rat. Clin Sci (Lond). 117:375–386. 2009. View Article : Google Scholar : PubMed/NCBI

38 

Mercure C, Yogi A, Callera GE, Aranha AB, Bader M, Ferreira AJ, Santos RA, Walther T, Touyz RM and Reudelhuber TL: Angiotensin(1–7) blunts hypertensive cardiac remodeling by a direct effect on the heart. Circ Res. 103:1319–1326. 2008. View Article : Google Scholar : PubMed/NCBI

39 

Passos-Silva DG, Verano-Braga T and Santos RA: Angiotensin-(1–7): Beyond the cardio-renal actions. Clin Sci (Lond). 124:443–456. 2013. View Article : Google Scholar : PubMed/NCBI

40 

Kuba K, Imai Y, Rao S, Gao H, Guo F, Guan B, Huan Y, Yang P, Zhang Y, Deng W, et al: A crucial role of angiotensin converting enzyme 2 (ACE2) in SARS coronavirus-induced lung injury. Nat Med. 11:875–879. 2005. View Article : Google Scholar : PubMed/NCBI

Related Articles

  • Abstract
  • View
  • Download
  • Twitter
Copy and paste a formatted citation
Spandidos Publications style
Wang Y, Wu H, Niu W, Chen J, Liu M, Sun X and Li Z: Tanshinone IIA attenuates paraquat‑induced acute lung injury by modulating angiotensin‑converting enzyme 2/angiotensin‑(1‑7) in rats. Mol Med Rep 18: 2955-2962, 2018.
APA
Wang, Y., Wu, H., Niu, W., Chen, J., Liu, M., Sun, X., & Li, Z. (2018). Tanshinone IIA attenuates paraquat‑induced acute lung injury by modulating angiotensin‑converting enzyme 2/angiotensin‑(1‑7) in rats. Molecular Medicine Reports, 18, 2955-2962. https://doi.org/10.3892/mmr.2018.9281
MLA
Wang, Y., Wu, H., Niu, W., Chen, J., Liu, M., Sun, X., Li, Z."Tanshinone IIA attenuates paraquat‑induced acute lung injury by modulating angiotensin‑converting enzyme 2/angiotensin‑(1‑7) in rats". Molecular Medicine Reports 18.3 (2018): 2955-2962.
Chicago
Wang, Y., Wu, H., Niu, W., Chen, J., Liu, M., Sun, X., Li, Z."Tanshinone IIA attenuates paraquat‑induced acute lung injury by modulating angiotensin‑converting enzyme 2/angiotensin‑(1‑7) in rats". Molecular Medicine Reports 18, no. 3 (2018): 2955-2962. https://doi.org/10.3892/mmr.2018.9281
Copy and paste a formatted citation
x
Spandidos Publications style
Wang Y, Wu H, Niu W, Chen J, Liu M, Sun X and Li Z: Tanshinone IIA attenuates paraquat‑induced acute lung injury by modulating angiotensin‑converting enzyme 2/angiotensin‑(1‑7) in rats. Mol Med Rep 18: 2955-2962, 2018.
APA
Wang, Y., Wu, H., Niu, W., Chen, J., Liu, M., Sun, X., & Li, Z. (2018). Tanshinone IIA attenuates paraquat‑induced acute lung injury by modulating angiotensin‑converting enzyme 2/angiotensin‑(1‑7) in rats. Molecular Medicine Reports, 18, 2955-2962. https://doi.org/10.3892/mmr.2018.9281
MLA
Wang, Y., Wu, H., Niu, W., Chen, J., Liu, M., Sun, X., Li, Z."Tanshinone IIA attenuates paraquat‑induced acute lung injury by modulating angiotensin‑converting enzyme 2/angiotensin‑(1‑7) in rats". Molecular Medicine Reports 18.3 (2018): 2955-2962.
Chicago
Wang, Y., Wu, H., Niu, W., Chen, J., Liu, M., Sun, X., Li, Z."Tanshinone IIA attenuates paraquat‑induced acute lung injury by modulating angiotensin‑converting enzyme 2/angiotensin‑(1‑7) in rats". Molecular Medicine Reports 18, no. 3 (2018): 2955-2962. https://doi.org/10.3892/mmr.2018.9281
Follow us
  • Twitter
  • LinkedIn
  • Facebook
About
  • Spandidos Publications
  • Careers
  • Cookie Policy
  • Privacy Policy
How can we help?
  • Help
  • Live Chat
  • Contact
  • Email to our Support Team