Spandidos Publications Logo
  • About
    • About Spandidos
    • Aims and Scopes
    • Abstracting and Indexing
    • Editorial Policies
    • Reprints and Permissions
    • Job Opportunities
    • Terms and Conditions
    • Contact
  • Journals
    • All Journals
    • Oncology Letters
      • Oncology Letters
      • Information for Authors
      • Editorial Policies
      • Editorial Board
      • Aims and Scope
      • Abstracting and Indexing
      • Bibliographic Information
      • Archive
    • International Journal of Oncology
      • International Journal of Oncology
      • Information for Authors
      • Editorial Policies
      • Editorial Board
      • Aims and Scope
      • Abstracting and Indexing
      • Bibliographic Information
      • Archive
    • Molecular and Clinical Oncology
      • Molecular and Clinical Oncology
      • Information for Authors
      • Editorial Policies
      • Editorial Board
      • Aims and Scope
      • Abstracting and Indexing
      • Bibliographic Information
      • Archive
    • Experimental and Therapeutic Medicine
      • Experimental and Therapeutic Medicine
      • Information for Authors
      • Editorial Policies
      • Editorial Board
      • Aims and Scope
      • Abstracting and Indexing
      • Bibliographic Information
      • Archive
    • International Journal of Molecular Medicine
      • International Journal of Molecular Medicine
      • Information for Authors
      • Editorial Policies
      • Editorial Board
      • Aims and Scope
      • Abstracting and Indexing
      • Bibliographic Information
      • Archive
    • Biomedical Reports
      • Biomedical Reports
      • Information for Authors
      • Editorial Policies
      • Editorial Board
      • Aims and Scope
      • Abstracting and Indexing
      • Bibliographic Information
      • Archive
    • Oncology Reports
      • Oncology Reports
      • Information for Authors
      • Editorial Policies
      • Editorial Board
      • Aims and Scope
      • Abstracting and Indexing
      • Bibliographic Information
      • Archive
    • Molecular Medicine Reports
      • Molecular Medicine Reports
      • Information for Authors
      • Editorial Policies
      • Editorial Board
      • Aims and Scope
      • Abstracting and Indexing
      • Bibliographic Information
      • Archive
    • World Academy of Sciences Journal
      • World Academy of Sciences Journal
      • Information for Authors
      • Editorial Policies
      • Editorial Board
      • Aims and Scope
      • Abstracting and Indexing
      • Bibliographic Information
      • Archive
    • International Journal of Functional Nutrition
      • International Journal of Functional Nutrition
      • Information for Authors
      • Editorial Policies
      • Editorial Board
      • Aims and Scope
      • Abstracting and Indexing
      • Bibliographic Information
      • Archive
    • International Journal of Epigenetics
      • International Journal of Epigenetics
      • Information for Authors
      • Editorial Policies
      • Editorial Board
      • Aims and Scope
      • Abstracting and Indexing
      • Bibliographic Information
      • Archive
    • Medicine International
      • Medicine International
      • Information for Authors
      • Editorial Policies
      • Editorial Board
      • Aims and Scope
      • Abstracting and Indexing
      • Bibliographic Information
      • Archive
  • Articles
  • Information
    • Information for Authors
    • Information for Reviewers
    • Information for Librarians
    • Information for Advertisers
    • Conferences
  • Language Editing
Spandidos Publications Logo
  • About
    • About Spandidos
    • Aims and Scopes
    • Abstracting and Indexing
    • Editorial Policies
    • Reprints and Permissions
    • Job Opportunities
    • Terms and Conditions
    • Contact
  • Journals
    • All Journals
    • Biomedical Reports
      • Information for Authors
      • Editorial Policies
      • Editorial Board
      • Aims and Scope
      • Abstracting and Indexing
      • Bibliographic Information
      • Archive
    • Experimental and Therapeutic Medicine
      • Information for Authors
      • Editorial Policies
      • Editorial Board
      • Aims and Scope
      • Abstracting and Indexing
      • Bibliographic Information
      • Archive
    • International Journal of Epigenetics
      • Information for Authors
      • Editorial Policies
      • Editorial Board
      • Aims and Scope
      • Abstracting and Indexing
      • Bibliographic Information
      • Archive
    • International Journal of Functional Nutrition
      • Information for Authors
      • Editorial Policies
      • Editorial Board
      • Aims and Scope
      • Abstracting and Indexing
      • Bibliographic Information
      • Archive
    • International Journal of Molecular Medicine
      • Information for Authors
      • Editorial Policies
      • Editorial Board
      • Aims and Scope
      • Abstracting and Indexing
      • Bibliographic Information
      • Archive
    • International Journal of Oncology
      • Information for Authors
      • Editorial Policies
      • Editorial Board
      • Aims and Scope
      • Abstracting and Indexing
      • Bibliographic Information
      • Archive
    • Medicine International
      • Information for Authors
      • Editorial Policies
      • Editorial Board
      • Aims and Scope
      • Abstracting and Indexing
      • Bibliographic Information
      • Archive
    • Molecular and Clinical Oncology
      • Information for Authors
      • Editorial Policies
      • Editorial Board
      • Aims and Scope
      • Abstracting and Indexing
      • Bibliographic Information
      • Archive
    • Molecular Medicine Reports
      • Information for Authors
      • Editorial Policies
      • Editorial Board
      • Aims and Scope
      • Abstracting and Indexing
      • Bibliographic Information
      • Archive
    • Oncology Letters
      • Information for Authors
      • Editorial Policies
      • Editorial Board
      • Aims and Scope
      • Abstracting and Indexing
      • Bibliographic Information
      • Archive
    • Oncology Reports
      • Information for Authors
      • Editorial Policies
      • Editorial Board
      • Aims and Scope
      • Abstracting and Indexing
      • Bibliographic Information
      • Archive
    • World Academy of Sciences Journal
      • Information for Authors
      • Editorial Policies
      • Editorial Board
      • Aims and Scope
      • Abstracting and Indexing
      • Bibliographic Information
      • Archive
  • Articles
  • Information
    • For Authors
    • For Reviewers
    • For Librarians
    • For Advertisers
    • Conferences
  • Language Editing
Login Register Submit
  • This site uses cookies
  • You can change your cookie settings at any time by following the instructions in our Cookie Policy. To find out more, you may read our Privacy Policy.

    I agree
Search articles by DOI, keyword, author or affiliation
Search
Advanced Search
presentation
Molecular Medicine Reports
Join Editorial Board Propose a Special Issue
Print ISSN: 1791-2997 Online ISSN: 1791-3004
Journal Cover
December-2018 Volume 18 Issue 6

Full Size Image

Sign up for eToc alerts
Recommend to Library

Journals

International Journal of Molecular Medicine

International Journal of Molecular Medicine

International Journal of Molecular Medicine is an international journal devoted to molecular mechanisms of human disease.

International Journal of Oncology

International Journal of Oncology

International Journal of Oncology is an international journal devoted to oncology research and cancer treatment.

Molecular Medicine Reports

Molecular Medicine Reports

Covers molecular medicine topics such as pharmacology, pathology, genetics, neuroscience, infectious diseases, molecular cardiology, and molecular surgery.

Oncology Reports

Oncology Reports

Oncology Reports is an international journal devoted to fundamental and applied research in Oncology.

Experimental and Therapeutic Medicine

Experimental and Therapeutic Medicine

Experimental and Therapeutic Medicine is an international journal devoted to laboratory and clinical medicine.

Oncology Letters

Oncology Letters

Oncology Letters is an international journal devoted to Experimental and Clinical Oncology.

Biomedical Reports

Biomedical Reports

Explores a wide range of biological and medical fields, including pharmacology, genetics, microbiology, neuroscience, and molecular cardiology.

Molecular and Clinical Oncology

Molecular and Clinical Oncology

International journal addressing all aspects of oncology research, from tumorigenesis and oncogenes to chemotherapy and metastasis.

World Academy of Sciences Journal

World Academy of Sciences Journal

Multidisciplinary open-access journal spanning biochemistry, genetics, neuroscience, environmental health, and synthetic biology.

International Journal of Functional Nutrition

International Journal of Functional Nutrition

Open-access journal combining biochemistry, pharmacology, immunology, and genetics to advance health through functional nutrition.

International Journal of Epigenetics

International Journal of Epigenetics

Publishes open-access research on using epigenetics to advance understanding and treatment of human disease.

Medicine International

Medicine International

An International Open Access Journal Devoted to General Medicine.

Journal Cover
December-2018 Volume 18 Issue 6

Full Size Image

Sign up for eToc alerts
Recommend to Library

  • Article
  • Citations
    • Cite This Article
    • Download Citation
    • Create Citation Alert
    • Remove Citation Alert
    • Cited By
  • Similar Articles
    • Related Articles (in Spandidos Publications)
    • Similar Articles (Google Scholar)
    • Similar Articles (PubMed)
  • Download PDF
  • Download XML
  • View XML
Article Open Access

Proanthocyanidins exert a neuroprotective effect via ROS/JNK signaling in MPTP‑induced Parkinson's disease models in vitro and in vivo

  • Authors:
    • Hucheng Chen
    • Jiyu Xu
    • Yuan Lv
    • Ping He
    • Chunyan Liu
    • Jie Jiao
    • Shiwei Li
    • Xuhua Mao
    • Xue Xue
  • View Affiliations / Copyright

    Affiliations: Department of Nuclear Medicine, Nanjing First Hospital, Nanjing Medical University, Nanjing, Jiangsu 210006, P.R. China, Department of Clinical Laboratory, Yixing People Hospital, Affiliated Jiangsu University, Yixing, Jiangsu 214200, P.R. China
    Copyright: © Chen et al. This is an open access article distributed under the terms of Creative Commons Attribution License.
  • Pages: 4913-4921
    |
    Published online on: September 25, 2018
       https://doi.org/10.3892/mmr.2018.9509
  • Expand metrics +
Metrics: Total Views: 0 (Spandidos Publications: | PMC Statistics: )
Metrics: Total PDF Downloads: 0 (Spandidos Publications: | PMC Statistics: )
Cited By (CrossRef): 0 citations Loading Articles...

This article is mentioned in:



Abstract

The pathological alterations of Parkinson's disease (PD) predominantly manifest as a loss of dopaminergic neurons in the substantia nigra, which may be caused by oxidative stress damage. Proanthocyanidins (PCs) are a class of compounds found in various plants, which have significant antioxidant and free radical‑scavenging activity. The present study investigated the protective effects and underlying mechanisms of PCs in a 1‑methyl‑4‑phenyl‑1,2,3,6‑tetrahydropyridine (MPTP)‑induced PD model in vitro and in vivo. MTT assays were used to detect cell viability, and flow cytometry and TUNEL assays were used to detect cell apoptosis. Mitochondrial membrane potential (MMP) alterations were investigated using a JC‑1 MMP Assay kit. The pole test was used to measure motor behavior in a mouse model of PD. Levels of reactive oxygen species (ROS) were measured using the fluorescent probe, 2',7'‑dichlorodihydrofluorescein diacetate. Immunohistochemistry and western blotting were performed to detect the expression levels of proteins associated with PD. In vitro, it was demonstrated that in MPTP‑treated PC12 cells, PCs increased cell viability and reduced cell apoptosis in a dose‑dependent manner. In vivo, it was revealed that PC treatment inhibited striatal dopamine depletion, which resulted in significant improvements in PD‑like movement impairment. Reactive oxygen species (ROS) production and MPTP‑induced apoptosis were also inhibited. Furthermore, the results demonstrated that the neuroprotective activity of PCs may be mediated via the inhibition of ROS generation, as well as modulation of c‑Jun N‑terminal kinase activation. Taken together, these data revealed that PCs may exert neuroprotective effects in in vivo and in vitro PD models, and may have potential in the prevention or treatment of PD.

Introduction

Parkinson's disease (PD) is a common chronic degenerative disease of the nervous system, which is primarily characterized by a substantial loss of substantia nigra dopaminergic neurons, leading to a reduction of dopamine (DA) levels in the striata, accompanied by cognitive impairment and functional defects (1). DA replacement therapy is the predominant treatment for PD, although this does not prevent or reduce dopaminergic neuron degeneration. Therefore, the development of novel drugs that protect dopaminergic neurons without causing dyskinesia is urgently required.

Oxidative stress is thought to be a main cause of dopaminergic neuron degeneration in PD (2,3). In vivo and in vitro, 1-methyl-4-phenyl-1,2,3,6-tetrahydropyridine (MPTP) is often used to establish a model of PD. MPTP traverses the blood-brain barrier and is decomposed into 1-methyl-4-phenylpyridinium ion (MPP+) by monoamine oxidase B (4). MPP+ subsequently damages the neurons in the substantia nigra, resulting in decreased formation of DA and the production of superoxide anions. It has been reported that MPTP induces a decline in tyrosine hydroxylase (TH) production in PC12 cells and other cellular models, which is the rate-limiting enzyme for the biosynthesis of DA (5–7). In addition, MPTP induces apoptosis and the production of intracellular reactive oxygen species (ROS) in a mouse model (8).

Proanthocyanidins (PCs) are natural phenolic compounds that are present in various plants. PCs have gained increasing attention in the fields of nutrition and medicine, due to their antioxidative, anti-inflammatory (9) and anticancer (10) effects. Epidemiological research has suggested that PCs may reduce the risk of PD (11). Levels of antioxidative indicators, including superoxide dismutase (SOD), catalase, glutathione and glutathione peroxidase, as well as total antioxidant capacity, are increased by PC intervention, whereas malondialdehyde (MDA) concentration is decreased, in mouse models of oxidative damage (12). In addition, it has been reported that PCs protect rats from cisplatin-induced renal injury and reduce toxic damage through its antioxidative effects (13). Basli et al (14) provided evidence suggesting that the neuroprotective effects of PCs are associated with their antioxidant activity (14). Strathearn et al (12) reported that neurodegeneration in a cellular model of PD is reduced by anthocyanin- and PC-rich botanical extracts, via the improvement of mitochondrial function (12). Therefore, it may be hypothesized that PCs exert neuroprotective functions against the neurodegenerative process in PD. The present study explored the effects of PC pretreatment on MPTP-induced PD in vitro and in vivo.

Materials and methods

Cell and drug treatments

PC12 cells (American Type Culture Collection, Manassas, VA, USA) were maintained at 37°C in an atmosphere containing 5% CO2 in Dulbecco's modified Eagle's medium (Gibco; Thermo Fisher Scientific, Inc., Waltham, MA, USA), supplemented with 10% fetal bovine serum (Gibco; Thermo Fisher Scientific, Inc.), 5% horse serum (Gibco; Thermo Fisher Scientific, Inc.), 100 µg/ml streptomycin and 100 U/ml penicillin. Nerve growth factor (Sigma-Aldrich; Merck KGaA, Darmstadt, Germany), at a final concentration of 100 ng/ml, was added to the medium 3 days prior to drug treatment to induce neuronal differentiation. Cells were treated with MPTP (Sigma-Aldrich; Merck KGaA) and/or PCs (cat. no. T2849; Target Molecule Corp., Boston, MA, USA).

Cell survival

The viability of cells was measured using the MTT assay. PC12 cells were cultured in 96-well plates at a density of 1×104 cells/well. Cells were exposed to 150 µmol/l MPTP following treatment with 0.5, 1 or 5 µg/ml PCs for 24, 48, 72 or 96 h at 37°C. The cells were then incubated with MTT (0.25 mg/ml) at 37°C for 4 h, after which, MTT formazan products were dissolved in dimethyl sulfoxide and the absorbance was measured at 570 nm using a microplate reader (Bio-Rad Laboratories, Inc., Hercules, CA, USA).

Assessment of apoptosis by flow cytometry

Cell apoptosis was detected using an Annexin V/Propidium Iodide (PI) Apoptosis Detection kit (Sigma-Aldrich; Merck KGaA), according to the manufacturer's protocol. Cells were exposed to 150 µmol/l MPTP following treatment with 0.5, 1 or 5 µg/ml PCs for 48 h at 37°C. Following this, these cells were harvested and 1×106 cells were fixed using 4% polyformaldehyde for 30 min at 4°C. Following this, the cells were resuspended in 300 ml PBS and were stained with Annexin V-fluorescein isothiocyanate and PI (5 µg/ml each) in the dark for 15 min at 37°C. Apoptotic cells were analyzed by flow cytometry (BD Biosciences, Franklin Lakes, NJ, USA). FlowJo software (version 10; FlowJo LLC, Ashland, OR, USA) was used to calculate the apoptosis rate.

Mitochondrial membrane potential (MMP) detection

MMP alterations were measured using a JC-1 MMP Assay kit (Beyotime Institute of Biotechnology, Shanghai, China), according to the manufacturer's protocol. Briefly, cells were exposed to 150 µmol/l MPTP following treatment with 0.5, 1 or 5 µg/ml PCs for 48 h at 37°C. The medium was then replaced with PBS, and 1×106 cells were incubated for 24 h with the JC-1 probe (10 µg/ml) at room temperature. JC-1 fluorescence was subsequently detected using a microplate reader (Molecular Devices, LLC, Sunnyvale, CA, USA) with an excitation and emission wavelength of 536–620 nm.

Animals and drug treatments

All animal handling procedures were conducted in accordance with the Guidelines for Laboratory Animal Research of Nanjing Medical University (Nanjing, China). The present study was approved by the Institutional Animal Care and Use Committee of Nanjing Medical University. A total of 20 male C57BL/6 mice (age, 9 weeks; weight, 20–22 g) were purchased from the Laboratory Animal Center of Nanjing Medical University. The mice were housed at 23±2°C and a relative humidity of 60±10% under a 12-h light/dark cycle, with free access to water and food. Mice were assigned to five groups: (i) Control group (n=4); (ii) MPTP (30 mg/kg) group (n=4); (iii) MPTP (30 mg/kg) + PC (300 mg/kg/day) group (n=4); (iv) MPTP (30 mg/kg) + PC (400 mg/kg/day) group (n=4); and (v) MPTP (30 mg/kg) + PC (500 mg/kg/day) group (n=4). PCs were intragastrically administered at 300, 400 or 500 mg/kg/day for 14 days consecutively, whereas the control group received an equivalent volume of saline. Treatment began 7 days prior to the initial MPTP treatment, from which point MPTP (20 mg/kg) dissolved in saline was intraperitoneally injected four times daily at 2 h intervals for a total of 7 days. All mice were sacrificed for further investigation 24 h after the last MPTP injection had been administered.

Behavioral tests

The pole test was used to measure motor behavior in the mouse model of PD. The pole test was performed as previously described (15), and began following 7 days of MPTP administration. Briefly, the mice were held on top of the pole (diameter, 8 mm; height, 55 cm; rough surface), and the time taken for the mice to climb down and place four feet on the floor was recorded as the time for locomotion activity (T-LA). Each trial had a cut-off limit of 30 sec. All measurements were performed three times to ensure accuracy.

Brain tissue preparation

Brain tissue preparation was performed as previously described (15,16). Briefly, 24 h after the last injection of MPTP, brains were obtained from the four mice in each group. One side of the brain was fixed in 4% paraformaldehyde for 72 h at 4°C, followed by incubation in 0.1 M phosphate buffer (pH 7.4) containing 25% sucrose at 4°C for 2–3 days. Following this, the brain tissues were frozen, and then substantia nigra tissues were then cut into 25 µm sections and stored in cryoprotectant at 4°C until further use in the immunohistochemistry (IHC) and terminal deoxynucleotidyl-transferase-mediated dUTP nick end labeling (TUNEL) experiments. For ROS and MMP assays, as well as western blotting, the other side of the substantia nigra was isolated and stored at −80°C until use.

TH IHC

Following three 10 min washes in PBS with 0.05% Tween-20 (PBST), sections were incubated for 1 h at 37°C with PBST containing 2% bovine serum albumin (Sigma-Aldrich; Merck KGaA). Sections were subsequently incubated overnight at 4°C with anti-TH antibody (1:1,000; cat. no. 25859-1-AP; ProteinTech Group, Inc., Chicago, IL, USA), followed by incubation with horseradish peroxidase-conjugated goat anti-rabbit immunoglobulin G (IgG) secondary antibody (1:5,000; cat. no. 10285-1-AP; ProteinTech Group, Inc.) for 1 h at 37°C and amplification with a DAB Vectastain ABC kit (Vector Laboratories, Inc., Burlingame, CA, USA), which was performed according to the manufacturer's instructions. Finally, sections were analyzed using a light Leica DM2700 P microscope (magnification, ×40; Leica Microsystems, Inc., Buffalo Grove, IL, USA). Quantification of TH activity was performed by counting the number of TH-immunoreactive (TH-IR) cells in 10 independent visual fields in the SNpc, and by measuring the optical density of TH-IR fibers in the ST using ImageJ software (version 1.48; National Institutes of Health, Bethesda, MD, USA).

TUNEL staining

Tissue sections were washed in PBS and subsequently fixed for 30 min with 4% paraformaldehyde at room temperature. Following one wash with PBS, PBS containing 0.1% Triton X-100 was added to the sections for 2 min in order to lyse the cells at room temperature. Sections were subsequently washed once with PBS and mounted onto slides, and 3% H2O2 was added to the slides for 5 min at room temperature. Slides were then rinsed and then incubated with 50 µl TUNEL detection solution (Roche Diagnostics, Basel, Switzerland) for 60 min at room temperature. The TUNEL reaction was visualized by chromogenic staining with DAB (0.75 mg/ml; Sigma-Aldrich; Merck KGaA) at room temperature for 20 min. Sections were imaged and ten visual fields were analyzed using a light Leica DM2700 P microscope (Leica Microsystems, Inc.). The percentage of cell death was determined by calculating the number of TUNEL-positive cells within a total of 100 cells in one visual field using ImageJ software (version 1.48; National Institutes of Health, Bethesda, MD, USA).

Measurement of ROS formation

ROS was measured with the fluorescent probe 2′,7′-dichlorodihydrofluorescein diacetate (H2DCFDA; Sigma-Aldrich; Merck KGaA). Cells were exposed to 150 µmol/l MPTP following treatment with 0.5, 1 or 5 µg/ml PCs for 48 h at 37°C. The medium was then replaced with PBS, and 1×106 cells were incubated with 10 µmol/l H2DCFDA at 37°C for 30 min. Substantia nigra tissues were treated with collagenase (5 mg/ml) and then the cells were dislodged in the solution using a pipette. PC12 cells or single cell suspension of substantia nigra homogenate was incubated with 10 µmol/l H2DCFDA at 37°C for 30 min. The cells were subsequently washed twice with PBS and dissolved in 1% Triton X-100. Fluorescence was measured at an excitation wavelength of 485 nm and an emission wavelength of 530 nm, using a fluorescence microplate reader.

Western blotting

PC12 cells were exposed to 150 µmol/l MPTP following treatment with 0.5, 1 or 5 µg/ml PCs for 48 h at 37°C. Proteins from PC12 cells or substantia nigra were prepared as described previously (17). Protein concentration was measured using bicinchoninic acid assays (Beyotime Institute of Biotechnology, Shanghai, China) and adjusted to the same final concentration. Protein samples (20 µg/lane) were separated by 12% SDS-PAGE and transferred onto polyvinylidene fluoride membranes. Membranes were blocked with 5% skim milk in 50 mM Tris-buffered saline containing 0.1% Tween 20 (TBST) for 1 h at room temperature, and membranes were incubated overnight at 4°C with the following primary antibodies in the same blocking solution: TH (cat. no. 2792), c-Jun N-terminal kinase (JNK; cat. no. 9252), phosphorylated (p)-JNK (cat. no. 9255), c-Jun (cat. no. 9165), p-c-Jun (cat. no. 3270), B-cell lymphoma 2-like protein 11 (Bim; cat. no. 2933), cleaved caspase-3 (cat. no. 9654), cleaved poly (ADP-ribose) polymerase (PARP; cat. no. 94885) and GAPDH (1:2,000; cat. no. 2118) (all 1:1,000; Cell Signaling Technology, Inc., Danvers, MA, USA). Subsequently, membranes were washed with TBST and incubated with horseradish peroxidase-conjugated goat-anti-rabbit IgG (1:10,000; cat. no. 7074; Cell Signaling Technology, Inc.) or goat-anti-mouse IgG (1:10,000; cat. no. 7076; Cell Signaling Technology, Inc.) for 1 h at room temperature in TBST containing 5% skim milk. Cross-reactivity was visualized using enhanced chemiluminescence western blotting detection reagents (Sangon Biotech Co., Ltd., Shanghai, China) and was analyzed by densitometry using Tanon 5200 software (Tanon Science and Technology Co., Ltd., Shanghai, China).

Statistical analysis

All data were analyzed using Prism software 5.0 (GraphPad Software, Inc., La Jolla, CA, USA). Data are expressed as the mean ± standard error of the mean. All experiments were performed in triplicate. Statistical evaluation of the results was performed by one-way analysis of variance followed by Bonferroni's correction. P≤0.05 was considered to indicate a statistically significant difference.

Results

Effects of PCs on the proliferation and apoptosis of MPTP-treated PC12 cells

The simplest structure of PCs is a dimer formed by catechin, L-Epicatechin or catechin and L-Epicatechin, which is highly soluble in water and may be easily absorbed. Furthermore, PCs also have an important role in scavenging free radicals (18). The chemical structure of a PCs dimer formed from catechin is presented in Fig. 1A. To exclude the possibility that PCs induced PC12 cell toxicity, cell viability was determined in response to various concentrations of PCs at 24, 48, 72 and 96 h using the MTT assay, and the results revealed that PCs did not induce toxicity in PC12 cells (data not shown). The data demonstrated that MPTP markedly inhibited PC12 cell proliferation compared with the control, and this effect was gradually counteracted by increasing concentrations of PCs (Fig. 1B). Furthermore, the apoptotic rate for each group was assessed by flow cytometry. The typical quadrant analysis results obtained from PC12 cells, treated with or without PCs prior to MPTP treatment, are presented in Fig. 1C. Compared with the control group (3.0%), the percentage of apoptotic cells was significantly increased in the MPTP treatment group (22.5%). Conversely, PC pretreatment reduced the apoptotic percentage from 22.5 to 15.2% (0.5 µg/ml), 12.7% (1 µg/ml) and 7.5% (5 µg/ml). It was therefore concluded that PCs may reduce MPTP-induced apoptosis.

Figure 1.

Protective effects of PCs on MPTP-induced cytotoxicity and apoptosis in PC12 cells. (A) Chemical structure of PCs. (B) Cell viability was determined using MTT assays. (C) Flow cytometric analysis of the effects of PCs on MPTP-induced apoptosis. Three independent experiments were performed. **P<0.01 vs. untreated control cells; ##P<0.01 vs. the MPTP-only treated group. FITC, fluorescein isothiocyanate; MPTP, 1-methyl-4-phenyl-1,2,3,6-tetrahydropyridine; OD, optical density; PCs, proanthocyanidins; PI, propidium iodide; Q, quadrant.

PCs inhibit the reduction of MMP and accumulation of ROS induced by MPTP

Mitochondria are the major source of ROS in various mammalian cells, and excessive production of ROS in the mitochondria disrupts normal redox signaling. In addition, MMP is a marker of mitochondrial function, which is also involved in apoptosis (19). The production of ROS in PC12 cells was analyzed using a H2DCFDA fluorescence assay. As presented in Fig. 2A, exposure to MPTP increased ROS levels in PC12 cells. Pretreatment with PCs significantly inhibited the accumulation of ROS induced by MPTP. These results suggested that PCs protected mitochondrial function and suppressed ROS production in PC12 cells. Furthermore, enhanced MMP was observed in the control group and treatment with MPTP significantly reduced MMP in PC12 cells; however, pretreatment with PCs markedly restored reduced MMP (Fig. 2B and C).

Figure 2.

Effects of PCs on MPTP-mediated ROS generation and mitochondrial dysfunction in PC12 cells. Cells were treated with MPTP in the absence or presence of 0.5, 1 or 5 µg/ml PCs for 24 h. (A) ROS levels were detected with the fluorescent probe, 2′,7′-dichlorodihydrofluorescein diacetate. (B) Mitochondrial membrane potential was measured using the fluorescent probe JC-1. (C) Increased MMP was observed in the control group and treatment with MPTP significantly suppressed the MMP in PC12 cells; however, pretreatment with PCs significantly attenuated suppressed levels of MMP. Three independent experiments were performed. **P<0.01 vs. untreated control cells; #P<0.05, ##P<0.01 vs. the MPTP group. FITC, fluorescein isothiocyanate; MPTP, 1-methyl-4-phenyl-1,2,3,6-tetrahydropyridine; PCs, proanthocyanidins; ROS, reactive oxygen species.

Effects of PCs on JNK/c-Jun signaling

JNK/c-Jun signaling is commonly activated by various stress stimuli, and is a known mediator of cell apoptosis under various pathophysiological conditions (20). Therefore, MPTP-induced cell apoptosis and the potential protective effects of PCs were examined by western blotting. Administration of MPTP significantly increased p-JNK/JNK and p-c-Jun/c-Jun expression ratios. Furthermore, proapoptotic proteins Bim, cleaved caspase-3 and cleaved PARP were detected; MPTP significantly increased the expression of these proteins, whereas PC pretreatment inhibited this increase (Fig. 3).

Figure 3.

Western blot analysis of the JNK/c-Jun signaling pathway in PC12 cells. Cells were treated with MPTP in the absence or presence of 0.5, 1 or 5 µg/ml PCs for 24 h. Three independent experiments were performed. **P<0.01 vs. untreated control cells; #P<0.05, ##P<0.01 vs. the MPTP group. Bim, B-cell lymphoma 2-like protein 11; JNK, c-Jun N-terminal kinase 1; MPTP, 1-methyl-4-phenyl-1,2,3,6-tetrahydropyridine; p, phosphorylated; PARP, poly (ADP-ribose) polymerase; PC, proanthocyanidins.

Effects of PCs against MPTP-induced movement impairment in the pole test

As presented in Fig. 4A, the PD mouse model group were of a lower weight compared with the control group; however, this effect was reduced following treatment with PCs. To determine the effects of PCs on MPTP-induced bradykinesia, a pole test was performed on day 7 after MPTP injection. In the MPTP group, T-LA was significantly prolonged to 7.2 sec on day 7, compared with the control group. However, on day 7, T-LA was significantly shortened in the 300, 400 and 500 mg/kg PC-treated groups to 5.9, 6.1 and 4.0 sec, respectively, compared with MPTP alone (Fig. 4B).

Figure 4.

Effects of PCs on MPTP-induced movement impairment in mice. PCs (300, 400 or 500 mg/kg/day) were orally administered for 7 days. Subsequently, MPTP was intraperitoneally injected once every day for 7 days. Following the last MPTP injection, the pole test was conducted and mouse weight was recorded. (A) Alterations in mouse weight in each group were recorded. (B) Latency time on the climbing pole was recorded with a 30 sec cut-off limit. Three independent experiments were performed. *P<0.05 vs. the untreated control group; #P<0.05 and ##P<0.01 vs. the MPTP group. MPTP, 1-methyl-4-phenyl-1,2,3,6-tetrahydropyridine; PCs, proanthocyanidins.

PC treatment partially protects dopaminergic neurons

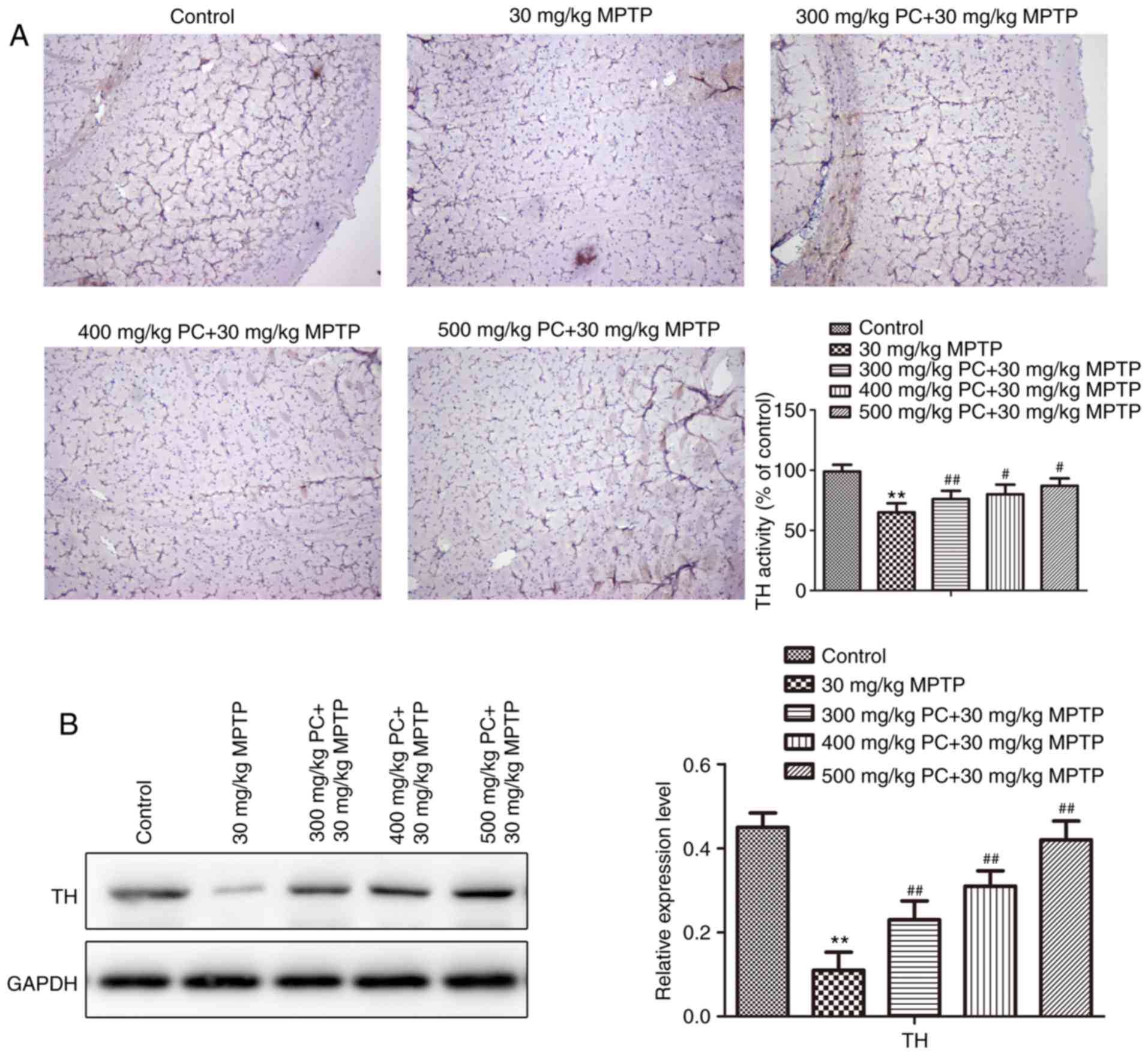
The neuroprotective action of PCs and the functional viability of dopaminergic neurons in the substantia nigra pars compacta were further assessed by determining the expression of the rate-limiting enzyme for DA biosynthesis, TH. As evidenced by IHC and western blot analysis (Fig. 5A and B), the expression of TH was reduced in MPTP mice compared with the control group. Conversely, TH expression in PC-pretreated mice was more pronounced compared with in MPTP-induced mice. TH is a specific marker protein for the identification of midbrain dopaminergic neurons (21). Therefore, these results demonstrated that PCs may protect against neuronal loss in a mouse model of PD, thus suggesting that PCs exert a neuroprotective effect in vivo.

Figure 5.

Effects of PCs against MPTP-induced neurotoxicity in vivo. Dopaminergic neurons were detected by TH immunostaining and western blot analysis. (A) The number of TH-positive neurons in the substantia nigra was counted (magnification, ×200) and (B) TH protein expression was detected. Three independent experiments were performed. **P<0.01 vs. the untreated control group; #P<0.05, ##P<0.01 vs. the MPTP group. MPTP, 1-methyl-4-phenyl-1,2,3,6-tetrahydropyridine; PCs, proanthocyanidins; TH, tyrosine hydroxylase.

PCs reduce MPTP-induced apoptosis via ROS-JNK signaling

Analysis of TUNEL staining in the substantia nigra further suggested that the control and PC-pretreated groups presented with fewer TUNEL-positive cells compared with in the MPTP group (Fig. 6A). ROS levels were subsequently detected. As presented in Fig. 6B, MPTP exposure led to a significant elevation in ROS levels in primary mice substantia nigra cells compared with in the control group. Pretreatment with PCs inhibited ROS generation in the MPTP group. Furthermore, western blot analysis demonstrated that MPTP increased JNK/c-Jun signaling pathway protein expression, whereas PCs reversed this increase (Fig. 6C).

Figure 6.

Effects of PCs on MPTP-induced apoptosis. (A) A TUNEL assay was performed to detect apoptosis, and TUNEL-positive cells were detected (magnification, ×200). (B) ROS levels were measured using the fluorescent probe, 2′,7′-dichlorodihydrofluorescein diacetate. (C) JNK/c-Jun signaling pathway proteins were detected via western blot analysis. Three independent experiments were performed. **P<0.01 vs. the untreated control group; #P<0.05, ##P<0.01 vs. the MPTP group. Bim, B cell lymphoma 2-like protein 11; JNK, c-Jun N-terminal kinase 1; MPTP, 1-methyl-4-phenyl-1,2,3,6-tetrahydropyridine; p, phosphorylated; PARP, poly (ADP-ribose) polymerase; PCs, proanthocyanidins; TUNEL, terminal deoxynucleotidyl-transferase-mediated dUTP nick end labeling.

Discussion

In order to investigate the effects of PCs on dopaminergic neurons, an MPTP-induced experimental model of PD was established in vitro and in vivo. The results demonstrated that, in vitro, PCs significantly protected PC12 cells against MPTP-induced toxicity, apoptosis and high ROS levels. In vivo, the data revealed that treatment with PCs prevented neuronal loss in the substantia nigra and prevented apoptosis in a dose-dependent manner. Furthermore, western blotting and immunohistochemical analysis for dopaminergic TH expression revealed that PCs prevented the decrease in TH induced by MPTP. Western blot analysis also revealed that the ROS/JNK signaling pathway was involved in the action of PCs. The results of the present study consistently demonstrated that PCs protected neurons from the impairments induced by MPTP treatment via the ROS/JNK signaling pathway.

PD is a movement disorder characterized by progressive loss of nigrostriatal dopaminergic neurons. Therapeutic strategies that slow or stop the neurodegenerative processes of PD are urgently required. The identification of polyphenolic compounds or polyphenols with potential neuroprotective properties has increased considerably during the last few years. Catechins, such as epigallocatechin-3-gallate, have been reported to exert several actions on the CNS, including anxiolytic, sedative and neuroprotective effects on animal models of Alzheimer's disease and PD. Notably, PCs are composed of catechin and epicatechin oligomers (22,23). Hartley et al (24) reported that PCs prevent the early motor and non-motor symptoms of PD, and may represent a promising therapeutic tool in PD via their neuroprotective potential (14). The neuroprotective effects of PCs are exerted via decreasing MDA and SOD levels, in vitro and in vivo (25). Recently, PCs have been reported to possess neuroprotective effects by targeting β-amyloid fibrillization and neurotoxicity (26). The results of the present study also revealed that PCs exerted neuroprotective effects in vitro and in vivo.

Overwhelming evidence has indicated that the apoptotic death of nigrostriatal dopaminergic neurons is initiated by oxidative stress (27). Oxidative stress is self-propagating, in that initial oxidative damage creates additional free radicals and damages mitochondria, leading to further ROS production (28,29). Mitochondrial dysfunction and the overproduction of ROS may also enhance neuronal excitability and increase seizure susceptibility (13). Mitochondrial dysfunction is a common trigger for apoptosis, by inducing the sequential activation of proapoptotic caspase-3 and PARP (30).

Evidence indicates that activation of JNK regulates ROS-induced neuronal apoptosis (31,32). MPP+ is selectively transported to the cell through the high affinity DA transporter, and is absorbed by the mitochondria within dopaminergic neurons. By inhibiting the mitochondrial electron transfer complex I, it destroys the process of phosphoric oxide phosphorylation and increases cellular ROS expression levels (24). Large amounts of ROS in the mitochondria are released into the cytoplasm, which stimulates JNK phosphorylation and activates signal cascades. The activated JNK subsequently enters the nucleus to activate c-Jun, which further regulates Bim, caspase-3 and PARP to promote the apoptosis of cells (33,34), eventually leading to the death of dopaminergic neurons.

In conclusion, PCs may represent a safe and affordable intervention for the clinical treatment of PD. PCs effectively prevented mitochondrial apoptosis, ROS production and JNK activation in neurons. The results of the present study provided experimental evidence to support the potential use of PCs as a therapeutic agent in PD.

Acknowledgements

Not applicable.

Funding

No funding was received.

Availability of data and materials

The datasets used or analysed during the current study are available from the corresponding author on reasonable request.

Authors' contributions

XX, HC and JX conceived and designed the study. HC, JX, YL, PH and CL performed the experiments. JJ, XM and SL analyzed the data. XX and XM wrote the manuscript. All authors read and approved the manuscript.

Ethics approval and consent to participate

The present study was approved by the Institutional Animal Care and Use Committee of Nanjing Medical University.

Patient consent for publication

Not applicable.

Competing interests

The authors declare that they have no competing interests.

References

1 

Keeney PM, Xie J, Capaldi RA and Bennett JP Jr: Parkinson's disease brain mitochondrial complex I has oxidatively damaged subunits and is functionally impaired and misassembled. J Neurosci. 26:5256–5264. 2006. View Article : Google Scholar : PubMed/NCBI

2 

Jenner P: Oxidative stress in Parkinson's disease. Ann Neurol. 53 Suppl 3:S26–S38. 2003. View Article : Google Scholar : PubMed/NCBI

3 

Reynolds A, Laurie C, Mosley RL and Gendelman HE: Oxidative stress and the pathogenesis of neurodegenerative disorders. Int Rev Neurobiol. 82:297–325. 2007. View Article : Google Scholar : PubMed/NCBI

4 

Sharpe MA, Han J, Baskin AM and Baskin DS: Design and synthesis of a MAO-B-selectively activated prodrug based on MPTP: A mitochondria-targeting chemotherapeutic agent for treatment of human malignant gliomas. ChemMedChem. 10:621–628. 2015. View Article : Google Scholar : PubMed/NCBI

5 

Chalimoniuk M, Snoek GT, Adamczyk A, Małecki A and Strosznajder JB: Phosphatidylinositol transfer protein expression altered by aging and Parkinson disease. Cell Mol Neurobiol. 26:1151–1164. 2006. View Article : Google Scholar

6 

Lee WS, Tsai WJ, Yeh PH, Wei BL and Chiou WF: Divergent role of calcium on Abeta- and MPTP-induced cell death in SK-N-SH neuroblastoma. Life Sci. 78:1268–1275. 2006. View Article : Google Scholar : PubMed/NCBI

7 

Dalia A, Neff NH and Hadjiconstantinou M: Tyrosine hydroxylase and aromatic L-amino acid decarboxylase in mesencephalic cultures after MPP+: The consequences of treatment with GM1 ganglioside. Brain Res. 742:260–264. 1996. View Article : Google Scholar : PubMed/NCBI

8 

Kim MJ, Kim DW, Jeong HJ, Sohn EJ, Shin MJ, Ahn EH, Kwon SW, Kim YN, Kim DS, Park J, et al: Tat-Frataxin protects dopaminergic neuronal cells against MPTP-induced toxicity in a mouse model of Parkinson's disease. Biochimie. 94:2448–2456. 2012. View Article : Google Scholar : PubMed/NCBI

9 

Rocarodríguez MM, Lópeztinoco C, Murri M, Fernández-Deudero A, García-Palacios MV, García-Valero MA, Tinahones-Madueño FJ and Aguilar-Diosdado M: Postpartum development of endothelial dysfunction and oxidative stress markers in women with previous gestational diabetes mellitus. J Endocrinol Invest. 37:503–509. 2014. View Article : Google Scholar : PubMed/NCBI

10 

Prasad R, Vaid M and Katiyar SK: Grape proanthocyanidin inhibit pancreatic cancer cell growth in vitro and in vivo through induction of apoptosis and by targeting the PI3K/Akt pathway. PLoS One. 7:e430642012. View Article : Google Scholar : PubMed/NCBI

11 

Gao X, Cassidy A, Schwarzschild MA, Rimm EB and Ascherio A: Habitual intake of dietary flavonoids and risk of Parkinson disease. Neurology. 78:1138–1145. 2012. View Article : Google Scholar : PubMed/NCBI

12 

Strathearn KE, Yousef GG, Grace MH, Roy SL, Tambe MA, Ferruzzi MG, Wu QL, Simon JE, Lila MA and Rochet JC: Neuroprotective effects of anthocyanin- and proanthocyanidin-rich extracts in cellular models of Parkinson's disease. Brain Res. 1555:60–77. 2014. View Article : Google Scholar : PubMed/NCBI

13 

Saad AA, Youssef MI and Elshennawy LK: Cisplatin induced damage in kidney genomic DNA and nephrotoxicity in male rats: The protective effect of grape seed proanthocyanidin extract. Food Chem Toxicol. 47:14992009. View Article : Google Scholar : PubMed/NCBI

14 

Basli A, Soulet S, Chaher N, Mérillon JM, Chibane M, Monti JP and Richard T: Wine polyphenols: Potential agents in neuroprotection. Oxid Med Cell Longev. 2012:8057622012. View Article : Google Scholar : PubMed/NCBI

15 

Park G, Park YJ, Yang HO and Oh MS: Ropinirole protects against 1-methyl-4-phenyl-1, 2, 3, 6-tetrahydropyridine (MPTP)-induced neurotoxicity in mice via anti-apoptotic mechanism. Pharmacol Biochem Behav. 104:163–168. 2013. View Article : Google Scholar : PubMed/NCBI

16 

Kim HG, Ju MS, Shim JS, Kim MC, Lee SH, Huh Y, Kim SY and Oh MS: Mulberry fruit protects dopaminergic neurons in toxin-induced Parkinson's disease models. Br J Nutr. 104:8–16. 2010. View Article : Google Scholar : PubMed/NCBI

17 

Lamine A, Létourneau M, Doan ND, Maucotel J, Couvineau A, Vaudry H, Chatenet D, Vaudry D and Fournier A: Characterizations of a synthetic pituitary adenylate cyclase-activating polypeptide analog displaying potent neuroprotective activity and reduced in vivo cardiovascular side effects in a Parkinson's disease model. Neuropharmacology. 108:440–450. 2015. View Article : Google Scholar : PubMed/NCBI

18 

Ariga T and Asao Y: Isolation, identification and organoleptic astringency of dimeric proanthocyanidins occurring in Azuki Beans. J Agric Chem Soc Japan. 45:2709–2712. 2014.

19 

Celardo I, Martins LM and Gandhi S: Unravelling mitochondrial pathways to Parkinson's disease. Br J Pharmacol. 171:1943–1957. 2014. View Article : Google Scholar : PubMed/NCBI

20 

Leppä S and Bohmann D: Diverse functions of JNK signaling and c-Jun in stress response and apoptosis. Oncogene. 18:6158–6162. 1999. View Article : Google Scholar : PubMed/NCBI

21 

Freund TF, Bolam JP, Björklund A, Stenevi U, Dunnett SB, Powell JF and Smith AD: Efferent synaptic connections of grafted dopaminergic neurons reinnervating the host neostriatum: A tyrosine hydroxylase immunocytochemical study. J Neurosci. 5:603–16. 1985. View Article : Google Scholar : PubMed/NCBI

22 

Dragicevic N, Smith A, Lin X, Yuan F, Copes N, Delic V, Tan J, Cao C, Shytle RD and Bradshaw PC: Green tea epigallocatechin-3-gallate (EGCG) and other flavonoids reduce Alzheimer's amyloid-induced mitochondrial dysfunction. J Alzheimers Dis. 26:507–521. 2011. View Article : Google Scholar : PubMed/NCBI

23 

Laschober GT, Ruli D, Hofer E, Muck C, Carmona-Gutierrez D, Ring J, Hutter E, Ruckenstuhl C, Micutkova L, Brunauer R, et al: Identification of evolutionarily conserved genetic regulators of cellular aging. Aging Cell. 9:1084–1097. 2010. View Article : Google Scholar : PubMed/NCBI

24 

Hartley A, Stone JM, Heron C, Cooper JM and Schapira AH: Complex I inhibitors induce dose-dependent apoptosis in PC12 cells: Relevance to Parkinson's disease. J Neurochem. 63:1987–1990. 1994. View Article : Google Scholar : PubMed/NCBI

25 

Kuchta K, Qiao HX, Huang HB, Fang L, Chen Y and Wang RW: The neuroprotective activity of a proanthocyanidin enriched Ginkgo biloba L. leaves extract in vitro and in vivo. Planta Medica. 81 Suppl 1:S1–S381. 2016.

26 

Li L, Zhang Y, Sun B, Zhang H, Tao W, Tian J, Ye X and Chen S: The neuroprotective effects of Chinese bayberry leaves proanthocyanidins. J Funct Foods. 40:554–563. 2018. View Article : Google Scholar

27 

Agrawal S, Singh A, Tripathi P, Mishra M, Singh PK and Singh MP: Cypermethrin-induced nigrostriatal dopaminergic neurodegeneration alters the mitochondrial function: A proteomics study. Mol Neurobiol. 51:448–465. 2015. View Article : Google Scholar : PubMed/NCBI

28 

Huang QR, Li Q, Chen YH, Li L, Liu LL, Lei SH, Chen HP, Peng WJ and He M: Involvement of anion exchanger-2 in apoptosis of endothelial cells induced by high glucose through an mPTP-ROS-Caspase-3 dependent pathway. Apoptosis. 15:693–704. 2010. View Article : Google Scholar : PubMed/NCBI

29 

Lu M, Su C, Qiao C, Bian Y, Ding J and Hu G: Metformin prevents dopaminergic neuron death in MPTP/P-induced mouse model of Parkinson's disease via autophagy and mitochondrial ROS clearance. Int J Neuropsychopharmacol. 19:pyw0472016. View Article : Google Scholar : PubMed/NCBI

30 

Stefanis L, Burke RE and Greene LA: Apoptosis in neurodegenerative disorders. Curr Opin Neurol. 10:299–305. 1997. View Article : Google Scholar : PubMed/NCBI

31 

Hoehn MM and Yahr MD: Parkinsonism: Onset, progression, and mortality. Neurology. 17:427–442. 1967. View Article : Google Scholar : PubMed/NCBI

32 

Kim SY, Kim MY, Mo JS, Park JW and Park HS: SAG protects human neuroblastoma SH-SY5Y cells against 1-methyl-4-phenylpyridinium ion (MPP+)-induced cytotoxicity via the downregulation of ROS generation and JNK signaling. Neurosci Lett. 413:132–136. 2007. View Article : Google Scholar : PubMed/NCBI

33 

Voss T and Ravina B: Neuroprotection in Parkinson's disease: Myth or reality? Curr Neurol Neurosci Rep. 8:304–309. 2008. View Article : Google Scholar : PubMed/NCBI

34 

Zhang L, Xing Y, Ye CF, Ai HX, Wei HF and Li L: Learning-memory deficit with aging in APP transgenic mice of Alzheimer's disease and intervention by using tetrahydroxystilbene glucoside. Behav Brain Res. 173:246–254. 2006. View Article : Google Scholar : PubMed/NCBI

Related Articles

  • Abstract
  • View
  • Download
  • Twitter
Copy and paste a formatted citation
Spandidos Publications style
Chen H, Xu J, Lv Y, He P, Liu C, Jiao J, Li S, Mao X and Xue X: Proanthocyanidins exert a neuroprotective effect via ROS/JNK signaling in MPTP‑induced Parkinson's disease models in vitro and in vivo. Mol Med Rep 18: 4913-4921, 2018.
APA
Chen, H., Xu, J., Lv, Y., He, P., Liu, C., Jiao, J. ... Xue, X. (2018). Proanthocyanidins exert a neuroprotective effect via ROS/JNK signaling in MPTP‑induced Parkinson's disease models in vitro and in vivo. Molecular Medicine Reports, 18, 4913-4921. https://doi.org/10.3892/mmr.2018.9509
MLA
Chen, H., Xu, J., Lv, Y., He, P., Liu, C., Jiao, J., Li, S., Mao, X., Xue, X."Proanthocyanidins exert a neuroprotective effect via ROS/JNK signaling in MPTP‑induced Parkinson's disease models in vitro and in vivo". Molecular Medicine Reports 18.6 (2018): 4913-4921.
Chicago
Chen, H., Xu, J., Lv, Y., He, P., Liu, C., Jiao, J., Li, S., Mao, X., Xue, X."Proanthocyanidins exert a neuroprotective effect via ROS/JNK signaling in MPTP‑induced Parkinson's disease models in vitro and in vivo". Molecular Medicine Reports 18, no. 6 (2018): 4913-4921. https://doi.org/10.3892/mmr.2018.9509
Copy and paste a formatted citation
x
Spandidos Publications style
Chen H, Xu J, Lv Y, He P, Liu C, Jiao J, Li S, Mao X and Xue X: Proanthocyanidins exert a neuroprotective effect via ROS/JNK signaling in MPTP‑induced Parkinson's disease models in vitro and in vivo. Mol Med Rep 18: 4913-4921, 2018.
APA
Chen, H., Xu, J., Lv, Y., He, P., Liu, C., Jiao, J. ... Xue, X. (2018). Proanthocyanidins exert a neuroprotective effect via ROS/JNK signaling in MPTP‑induced Parkinson's disease models in vitro and in vivo. Molecular Medicine Reports, 18, 4913-4921. https://doi.org/10.3892/mmr.2018.9509
MLA
Chen, H., Xu, J., Lv, Y., He, P., Liu, C., Jiao, J., Li, S., Mao, X., Xue, X."Proanthocyanidins exert a neuroprotective effect via ROS/JNK signaling in MPTP‑induced Parkinson's disease models in vitro and in vivo". Molecular Medicine Reports 18.6 (2018): 4913-4921.
Chicago
Chen, H., Xu, J., Lv, Y., He, P., Liu, C., Jiao, J., Li, S., Mao, X., Xue, X."Proanthocyanidins exert a neuroprotective effect via ROS/JNK signaling in MPTP‑induced Parkinson's disease models in vitro and in vivo". Molecular Medicine Reports 18, no. 6 (2018): 4913-4921. https://doi.org/10.3892/mmr.2018.9509
Follow us
  • Twitter
  • LinkedIn
  • Facebook
About
  • Spandidos Publications
  • Careers
  • Cookie Policy
  • Privacy Policy
How can we help?
  • Help
  • Live Chat
  • Contact
  • Email to our Support Team