Spandidos Publications Logo
  • About
    • About Spandidos
    • Aims and Scopes
    • Abstracting and Indexing
    • Editorial Policies
    • Reprints and Permissions
    • Job Opportunities
    • Terms and Conditions
    • Contact
  • Journals
    • All Journals
    • Oncology Letters
      • Oncology Letters
      • Information for Authors
      • Editorial Policies
      • Editorial Board
      • Aims and Scope
      • Abstracting and Indexing
      • Bibliographic Information
      • Archive
    • International Journal of Oncology
      • International Journal of Oncology
      • Information for Authors
      • Editorial Policies
      • Editorial Board
      • Aims and Scope
      • Abstracting and Indexing
      • Bibliographic Information
      • Archive
    • Molecular and Clinical Oncology
      • Molecular and Clinical Oncology
      • Information for Authors
      • Editorial Policies
      • Editorial Board
      • Aims and Scope
      • Abstracting and Indexing
      • Bibliographic Information
      • Archive
    • Experimental and Therapeutic Medicine
      • Experimental and Therapeutic Medicine
      • Information for Authors
      • Editorial Policies
      • Editorial Board
      • Aims and Scope
      • Abstracting and Indexing
      • Bibliographic Information
      • Archive
    • International Journal of Molecular Medicine
      • International Journal of Molecular Medicine
      • Information for Authors
      • Editorial Policies
      • Editorial Board
      • Aims and Scope
      • Abstracting and Indexing
      • Bibliographic Information
      • Archive
    • Biomedical Reports
      • Biomedical Reports
      • Information for Authors
      • Editorial Policies
      • Editorial Board
      • Aims and Scope
      • Abstracting and Indexing
      • Bibliographic Information
      • Archive
    • Oncology Reports
      • Oncology Reports
      • Information for Authors
      • Editorial Policies
      • Editorial Board
      • Aims and Scope
      • Abstracting and Indexing
      • Bibliographic Information
      • Archive
    • Molecular Medicine Reports
      • Molecular Medicine Reports
      • Information for Authors
      • Editorial Policies
      • Editorial Board
      • Aims and Scope
      • Abstracting and Indexing
      • Bibliographic Information
      • Archive
    • World Academy of Sciences Journal
      • World Academy of Sciences Journal
      • Information for Authors
      • Editorial Policies
      • Editorial Board
      • Aims and Scope
      • Abstracting and Indexing
      • Bibliographic Information
      • Archive
    • International Journal of Functional Nutrition
      • International Journal of Functional Nutrition
      • Information for Authors
      • Editorial Policies
      • Editorial Board
      • Aims and Scope
      • Abstracting and Indexing
      • Bibliographic Information
      • Archive
    • International Journal of Epigenetics
      • International Journal of Epigenetics
      • Information for Authors
      • Editorial Policies
      • Editorial Board
      • Aims and Scope
      • Abstracting and Indexing
      • Bibliographic Information
      • Archive
    • Medicine International
      • Medicine International
      • Information for Authors
      • Editorial Policies
      • Editorial Board
      • Aims and Scope
      • Abstracting and Indexing
      • Bibliographic Information
      • Archive
  • Articles
  • Information
    • Information for Authors
    • Information for Reviewers
    • Information for Librarians
    • Information for Advertisers
    • Conferences
  • Language Editing
Spandidos Publications Logo
  • About
    • About Spandidos
    • Aims and Scopes
    • Abstracting and Indexing
    • Editorial Policies
    • Reprints and Permissions
    • Job Opportunities
    • Terms and Conditions
    • Contact
  • Journals
    • All Journals
    • Biomedical Reports
      • Information for Authors
      • Editorial Policies
      • Editorial Board
      • Aims and Scope
      • Abstracting and Indexing
      • Bibliographic Information
      • Archive
    • Experimental and Therapeutic Medicine
      • Information for Authors
      • Editorial Policies
      • Editorial Board
      • Aims and Scope
      • Abstracting and Indexing
      • Bibliographic Information
      • Archive
    • International Journal of Epigenetics
      • Information for Authors
      • Editorial Policies
      • Editorial Board
      • Aims and Scope
      • Abstracting and Indexing
      • Bibliographic Information
      • Archive
    • International Journal of Functional Nutrition
      • Information for Authors
      • Editorial Policies
      • Editorial Board
      • Aims and Scope
      • Abstracting and Indexing
      • Bibliographic Information
      • Archive
    • International Journal of Molecular Medicine
      • Information for Authors
      • Editorial Policies
      • Editorial Board
      • Aims and Scope
      • Abstracting and Indexing
      • Bibliographic Information
      • Archive
    • International Journal of Oncology
      • Information for Authors
      • Editorial Policies
      • Editorial Board
      • Aims and Scope
      • Abstracting and Indexing
      • Bibliographic Information
      • Archive
    • Medicine International
      • Information for Authors
      • Editorial Policies
      • Editorial Board
      • Aims and Scope
      • Abstracting and Indexing
      • Bibliographic Information
      • Archive
    • Molecular and Clinical Oncology
      • Information for Authors
      • Editorial Policies
      • Editorial Board
      • Aims and Scope
      • Abstracting and Indexing
      • Bibliographic Information
      • Archive
    • Molecular Medicine Reports
      • Information for Authors
      • Editorial Policies
      • Editorial Board
      • Aims and Scope
      • Abstracting and Indexing
      • Bibliographic Information
      • Archive
    • Oncology Letters
      • Information for Authors
      • Editorial Policies
      • Editorial Board
      • Aims and Scope
      • Abstracting and Indexing
      • Bibliographic Information
      • Archive
    • Oncology Reports
      • Information for Authors
      • Editorial Policies
      • Editorial Board
      • Aims and Scope
      • Abstracting and Indexing
      • Bibliographic Information
      • Archive
    • World Academy of Sciences Journal
      • Information for Authors
      • Editorial Policies
      • Editorial Board
      • Aims and Scope
      • Abstracting and Indexing
      • Bibliographic Information
      • Archive
  • Articles
  • Information
    • For Authors
    • For Reviewers
    • For Librarians
    • For Advertisers
    • Conferences
  • Language Editing
Login Register Submit
  • This site uses cookies
  • You can change your cookie settings at any time by following the instructions in our Cookie Policy. To find out more, you may read our Privacy Policy.

    I agree
Search articles by DOI, keyword, author or affiliation
Search
Advanced Search
presentation
Molecular Medicine Reports
Join Editorial Board Propose a Special Issue
Print ISSN: 1791-2997 Online ISSN: 1791-3004
Journal Cover
June 2013 Volume 7 Issue 6

Full Size Image

Sign up for eToc alerts
Recommend to Library

Journals

International Journal of Molecular Medicine

International Journal of Molecular Medicine

International Journal of Molecular Medicine is an international journal devoted to molecular mechanisms of human disease.

International Journal of Oncology

International Journal of Oncology

International Journal of Oncology is an international journal devoted to oncology research and cancer treatment.

Molecular Medicine Reports

Molecular Medicine Reports

Covers molecular medicine topics such as pharmacology, pathology, genetics, neuroscience, infectious diseases, molecular cardiology, and molecular surgery.

Oncology Reports

Oncology Reports

Oncology Reports is an international journal devoted to fundamental and applied research in Oncology.

Experimental and Therapeutic Medicine

Experimental and Therapeutic Medicine

Experimental and Therapeutic Medicine is an international journal devoted to laboratory and clinical medicine.

Oncology Letters

Oncology Letters

Oncology Letters is an international journal devoted to Experimental and Clinical Oncology.

Biomedical Reports

Biomedical Reports

Explores a wide range of biological and medical fields, including pharmacology, genetics, microbiology, neuroscience, and molecular cardiology.

Molecular and Clinical Oncology

Molecular and Clinical Oncology

International journal addressing all aspects of oncology research, from tumorigenesis and oncogenes to chemotherapy and metastasis.

World Academy of Sciences Journal

World Academy of Sciences Journal

Multidisciplinary open-access journal spanning biochemistry, genetics, neuroscience, environmental health, and synthetic biology.

International Journal of Functional Nutrition

International Journal of Functional Nutrition

Open-access journal combining biochemistry, pharmacology, immunology, and genetics to advance health through functional nutrition.

International Journal of Epigenetics

International Journal of Epigenetics

Publishes open-access research on using epigenetics to advance understanding and treatment of human disease.

Medicine International

Medicine International

An International Open Access Journal Devoted to General Medicine.

Journal Cover
June 2013 Volume 7 Issue 6

Full Size Image

Sign up for eToc alerts
Recommend to Library

  • Article
  • Citations
    • Cite This Article
    • Download Citation
    • Create Citation Alert
    • Remove Citation Alert
    • Cited By
  • Similar Articles
    • Related Articles (in Spandidos Publications)
    • Similar Articles (Google Scholar)
    • Similar Articles (PubMed)
  • Download PDF
  • Download XML
  • View XML
Article

Resveratrol reduces acute lung injury in a LPS‑induced sepsis mouse model via activation of Sirt1

Retraction in: /10.3892/mmr.2023.13137
  • Authors:
    • Tongxun Li
    • Jinglan Zhang
    • Jiliang Feng
    • Qiang Li
    • Lisong Wu
    • Qing  Ye
    • Jianping Sun
    • Yi Lin
    • Mengran Zhang
    • Rui Huang
    • Jun Cheng
    • Yongmei Cao
    • Guoan Xiang
    • Jinqian Zhang
    • Qinghua Wu
  • View Affiliations / Copyright

    Affiliations: Stroke Center, Beijing Anzhen Hospital, Capital Medical University, Beijing 100029, P.R. China , Surgery Intensive Care Unit, Beijing Anzhen Hospital, Capital Medical University, Beijing 100029, P.R. China, Department of Pathology, Beijing Youan Hospital, Capital Medical University, Beijing 100054, P.R. China, Department of Cardiac Surgery, Beijing Anzhen Hospital, Capital Medical University, Beijing 100029, P.R. China, Cardio-Thoracic Vascular Surgery, The 306th Hospital of PLA, Beijing 100101, P.R. China, Institute of Infectious Diseases, Beijing Ditan Hospital, Capital Medical University, Beijing 100015, P.R. China, Department of General Surgery, The Second People's Hospital of Guangdong Province, Guangzhou 510515, P.R. China, International Mongolian Hospital, Hohhot of Inner Mongolia, Hohhot 010065, P.R. China, Department of Vascular Surgery, Beijing Anzhen Hospital, Capital Medical University, Beijing 100029, P.R. China
  • Pages: 1889-1895
    |
    Published online on: April 26, 2013
       https://doi.org/10.3892/mmr.2013.1444
  • Expand metrics +
Metrics: Total Views: 0 (Spandidos Publications: | PMC Statistics: )
Metrics: Total PDF Downloads: 0 (Spandidos Publications: | PMC Statistics: )
Cited By (CrossRef): 0 citations Loading Articles...

This article is mentioned in:



Abstract

The development of acute lung injury (ALI) during sepsis almost doubles the mortality rate of patients. The efficacy of current treatment strategies is low as treatment is usually initiated following the onset of symptoms. Inflammation is one of the main mechanisms of autoimmune disorders and is a common feature of sepsis. The suppression of inflammation is therefore an important mechanism for the treatment of sepsis. Sirtuin 1 (Sirt1) has been demonstrated to play a role in the regulation of inflammation. Resveratrol, a potent Sirt1 activator, exhibits anti‑inflammatory properties. However, the role of resveratrol for the treatment of ALI during sepsis is not fully understood. In the present study, the anti‑inflammatory role of Sirt1 in the lipopolysaccharide (LPS)‑induced TC‑1 cell line and its therapeutic role in ALI was investigated in a mouse model of sepsis. The upregulation of matrix metalloproteinase-9, interleukin (IL)‑1β, IL‑6 and inducible nitric oxide synthase was induced by LPS in the mouse model of sepsis and the TC‑1 cell line, and resveratrol suppressed the overexpression of these proinflammatory molecules in a dose‑dependent manner. Resveratrol decreased pulmonary edema in the mouse model of sepsis induced by LPS. In addition, resveratrol improved lung function and reduced pathological alterations in the mouse model of sepsis. Knockdown of Sirt1 by RNA interference resulted in an increased susceptibility of TC‑1 cells to LPS stimulation and diminished the anti‑inflammatory effect of resveratrol. These results demonstrated that resveratrol inhibits LPS‑induced ALI and inflammation via Sirt1, and indicated that Sirt1 is an efficient target for the regulation of LPS‑induced ALI and inflammation. The present study provides insights into the treatment of ALI during sepsis.

Introduction

Sepsis is a disseminated inflammatory response elicited by microbial infection (1) and is the major cause of mortality in critically ill patients (2–4). Acute lung injury (ALI) is a clinical syndrome associated with respiratory dysfunction and is often a complication of sepsis. ALI has a mortality rate of ~50% (5). Since the most common cause of ALI in humans is sepsis, the administration of gram-negative bacterial endotoxin, lipopolysaccharide (LPS), has been used as an animal model of sepsis-related lung injury in a number of species (6–13). Previously, Rojas et al(14) reported that intraperitoneal administration of LPS to mice leads to a transient systemic inflammatory response and transient lung injury and dysfunction.

Sirtuin 1 (Sirt1), a mammalian homolog of Sir2, is a NAD+-dependent class III histone deacetylase. Sirt1 has been demonstrated to be involved in a number of pathophysiological processes, including anti-inflammation (15–17), by the regulation of specific proinflammatory mediators. Knockdown of the Sirt1 gene leads to increased cytokine release, whereas Sirt1 activation inhibits the production of tumor necrosis factor-α, monocyte chemoattractant protein 1 and interleukin (IL)-8 (18–21). Resveratrol (trans-3,5,4′-trihydroxystilbene), a polyphenolic phytoalexin, is a potent activator of Sirt1 (22). A number of studies have demonstrated that resveratrol exerts anti-inflammatory properties (23–25). Resveratrol exhibits a chondroprotective function by the suppression of IL-1β production and reactive oxygen species (26). In human primary airway epithelial cells, resveratrol inhibits cytokine-stimulated inducible nitric oxide synthase (iNOS) expression and nitrite production (27). Resveratrol also protects cartilage against the development of experimentally induced inflammatory arthritis (28).

Sirt1 may represent a promising target for anti-inflammatory therapy (29). In the present study, the role of Sirt1 in LPS-induced ALI was investigated in mice by the activation of Sirt1 with resveratrol. In addition, the inhibitory role of Sirt1 on LPS-induced inflammation in TC-1 cells was determined by the activation of Sirt1 with resveratrol or the downregulation of Sirt1 by RNA interference. The results of the study indicate that resveratrol inhibits inflammation and ALI.

Materials and methods

Cell culture and treatment

Mice pulmonary alveolar epithelial cells, TC-1 (ScienCell Research Laboratories, Carlsbad, CA, USA), were cultured in Dulbecco’s Modified Eagle’s Medium supplemented with antibiotics (100 U/ml penicillin and 100 mg/ml streptomycin) and 10% fetal bovine serum, at 37°C in a humidified incubator with 5% CO2. LPS (E. coli serotype, O111:B4) and resveratrol (both Sigma-Aldrich, St. Louis, MO, USA) were used in this study.

Resveratrol was added 1 h prior to LPS treatment. The cells were treated with 15 or 30 μM resveratrol for 1 h followed by administration of 100 ng/ml LPS.

RNA interference

Independent siRNA sequences were used to silence SIRT1 expression. The sequences used were as follows: sense, 5′-ACUUUGCUGUAACCCUGUA(dTdT)-3′ and antisense, 5′-UACAGGGUUACAGCAAAGU(dTdT)-3′ (4). The siRNA concentration was 0.58 μg/1.5×105 cells (17,30).

Animal preparation and experimental protocol

This study was approved by the Ethics Committee of the Beijing Anzhen Hospital and Beijing Ditan Hospital, Capital Medical University (Beijing, China).

Male mice (8–10 weeks old) were used in all experiments. All adult male Wistar rats (270–300 g) were kept under specific pathogen-free conditions in the animal care facility at the Beijing Institute of Cardiopulmonary Vascular Disease, Beijing Anzhen Hospital (Beijing, China).

Mice were administered with LPS intraperitoneally (10 mg/kg body weight) and sacrificed at 18 h. To study recovery from endotoxemic ALI, a subset of mice were intraperitoneally injected with 15 or 30 mg/kg resveratrol at 6 and 12 h following LPS administration, and then sacrificed 18 h following initial LPS injection. The mice were used to evaluate the lung wet-to-dry (W/D) ratio, and the histology and molecular biology were analyzed.

Lung W/D ratio

The W/D ratio was determined in the right lung as described previously (31). Briefly, the right lung was separated, weighed (wet weight) and then dried in a microwave at low power (200 W) for 5 min.

Respiratory parameters

Airflow, airway and esophageal pressures were measured (32,33). Changes in esophageal pressure, which reflect chest wall pressure, were measured with a water-filled catheter (PE205) with side holes at the tip connected to a SCIREQ differential pressure transducer (SC-24; SCIREQ, Montreal, QC, Canada) (34,35). Transpulmonary pressure was calculated by the difference between airway and esophageal pressures (32). All signals were filtered (100 Hz), amplified in a four-channel conditioner, sampled at 200 Hz with a 12-bit analog-to-digital converter (DT2801A; Data Translation, Marlborough, MA, USA) and continuously recorded throughout the experiment using a personal computer. All data were analyzed using ANADAT data analysis software (RHT-InfoData, Inc., Montreal, QC, Canada).

Immunohistochemistry for Sirt1

The right lungs were removed, fixed in 3% buffered formaldehyde and embedded in paraffin. Sections (4 μm thick) were cut and stained with hematoxylin and eosin (H&E). Formalin-fixed paraffin-embedded lung biopsies of mice were deparaffinized with xylane and rehydrated in ethanol. Endogenous peroxidase activity was quenched by 3% hydrogen peroxide solution for 15 min. Next, the sections were blocked with l% BSA for l h and subsequently incubated with 0.25 mg/ml anti-Sirt1 monoclonal antibody overnight at 4°C. Following extensive washing, the sections were treated with a secondary antibody for 20 min (36).

Matrix metalloproteinase-9 (MMP-9), iNOS, IL-1β, IL-6 and Sirt1 mRNA expression

Quantitative real-time RT-PCR was performed to measure the expression of the MMP-9, iNOS, IL-1β, IL-6 and SIRT1 genes. PCR primers for target genes were purchased from Invitrogen Life Technologies (Carlsbad, CA, USA; Table I).

Table I

RT-PCR primers for MMP-9, iNOS, IL-1β, IL-6 and Sirt1.

Table I

RT-PCR primers for MMP-9, iNOS, IL-1β, IL-6 and Sirt1.

Target genePrimer
MMP-9Up-5′-TGT ACC GCT ATG GTT ACA CTC G-3′
Down-5′-GC CCA GAG ATT TCG ACT C-3′
iNOSUp-5′-TTC CAC CTG GGG TTC TTG-3′
Down-5′-GCT CAA GAG TCG GGG AAG TA-3′
IL-1βUp-5′-CTA TGT CTT GCC CGT GGA G-3′
Down-5′-CAT CAT CCC ACG AGT CAC A-3′
IL-6Up-5′-CTC CGC AAG AGA CTT CCA G-3′
Down-5′-CTC CTC TCC GGA CTT GTG A-3′
Sirt1Up-5′-TGC ACG ACG AAG ACG ACG AC-3′
Down-5′-GGT TAT CTC GGT ACC CAA TCG-3′

[i] MMP-9, matrix metalloproteinase-9; IL, interleukin; iNOS, inducible nitric oxide synthase; Sirt1, sirtuin 1.

Gelatin zymography

Gelatin zymography was performed as described previously (37,38). MMP-9 expression and proteolytic activities were presented as marked bands against the background of stained gelatin.

Western blot analysis

The cells were lysed in RIPA buffer and the protein concentration was detected using the DC™ protein assay (Bio-Rad, Hercules, CA, USA). Protein expression levels were determined by general methods using 30 mg protein with primary antibodies against MMP-9 (1:500, Cell Signaling Technology, Inc., Danvers, MA, USA) and iNOS, IL-1β, IL-6 and Sirt1 (1:500, Santa Cruz Biotechnology, Inc., Santa Cruz, CA, USA). Horseradish peroxidase-conjugated secondary antibodies were used for ECL-plus (GE Healthcare, Waukesha, WI, USA) detection. The results were normalized against β-actin (1:5,000, Abcam, Cambridge, UK).

Statistical analysis

Both conditions were satisfied, one-way analysis of variance (ANOVA) for repeated measures was used to compare the time course of the mean airway pressure (MAP), inferior vena cava (IVC) and right atrium (RA) dimensions. The W/D ratio was analyzed using two-way ANOVA followed by Tukey’s test. To compare non-parametric data, two-way ANOVA on ranks followed by the Dunn’s post-hoc test were selected. All statistical analysis was performed using SPSS version 13.0 (SPSS, Inc., Chicago, IL, USA). P<0.05 was considered to indicate a statistically significant difference.

Results

Resveratrol decreases pulmonary edema induced by LPS

Pulmonary edema is a hallmark of ALI and the gold standard for the measurement of edema is the amount of water in the lungs.

Fig. 1 presents the wet-dry weight ratio (uncorrected for residual blood) for the control, LPS- and resveratrol-treated animals at various concentrations following LPS administration. Edema was marked following LPS administration and then gradually decreased following treatment with resveratrol, particularly in 30 μM resveratrol-treated cells (P<0.01).

Figure 1

Res decreased pulmonary edema induced by LPS. The graph demonstrates the wet-dry weight ratio (uncorrected for residual blood) for control and LPS- and Res-treated animals at various concentrations following LPS administration. Edema was marked following LPS treatment and decreased following administration of Res. LPS, lipopolysaccharide; Res, resveratrol. *P<0.05, LPS+Res15 vs. LPS and LPS+saline; **P<0.01, LPS+Res30 vs. LPS and LPS+saline.

Resveratrol improves the lung function of mice treated with LPS

As demonstrated in Table II, changes in lung functions were observed following the administration of LPS and a significant difference was demonstrated between LPS-treated and control animals in Penh (a dimensionless number hypothesized to be associated with airway resistance), relaxation time, minute ventilation, tidal volume, end inspiratory pause and respiratory frequency. All changes in function were restored following treatment with resveratrol in a dose-dependent manner. These variables, identified to be significantly different between LPS-treated and control animals, are presented at 18 h following LPS.

Table II

Resveratrol improved the lung function of mice treated with LPS.

Table II

Resveratrol improved the lung function of mice treated with LPS.

GroupPenhRelaxation time (sec)Minute volume (ml/min)End inspiratory pause (ms)Tidal volume (ml)Frequency (breaths/min)
Control0.44±0.010.07±0.0118.43±11.64.58±0.00.24±0.0447±23.1
LPS0.64±0.020.13±0.038.12±2.55.18±0.00.19±0.0222±9.2
LPS + saline0.67±0.020.12±0.042.13±3.65.13±0.00.18±0.0198±1.8
LPS + Res150.53±0.01a0.10±0.0a78.68±1.3a4.73±0.0a0.20±0.0a318±10.5a
LPS + Res300.48±0.01b0.08±0.0b108.66±5.8b4.42±0.0b0.23±0.0b408±12.2b

{ label (or @symbol) needed for fn[@id='tfn2-mmr-07-06-1889'] } Data represent the mean ± SE from 4 different experiments with 3 mice in each group (n=2).

a P<0.05, vs. 15 mg/kg Res and

b P<0.01, vs. 30 mg/kg Res.

{ label (or @symbol) needed for fn[@id='tfn5-mmr-07-06-1889'] } LPS, lipopolysaccharide; Res, resveratrol.

Resveratrol reduces pathological changes in the lungs of mice treated with LPS via Sirt1

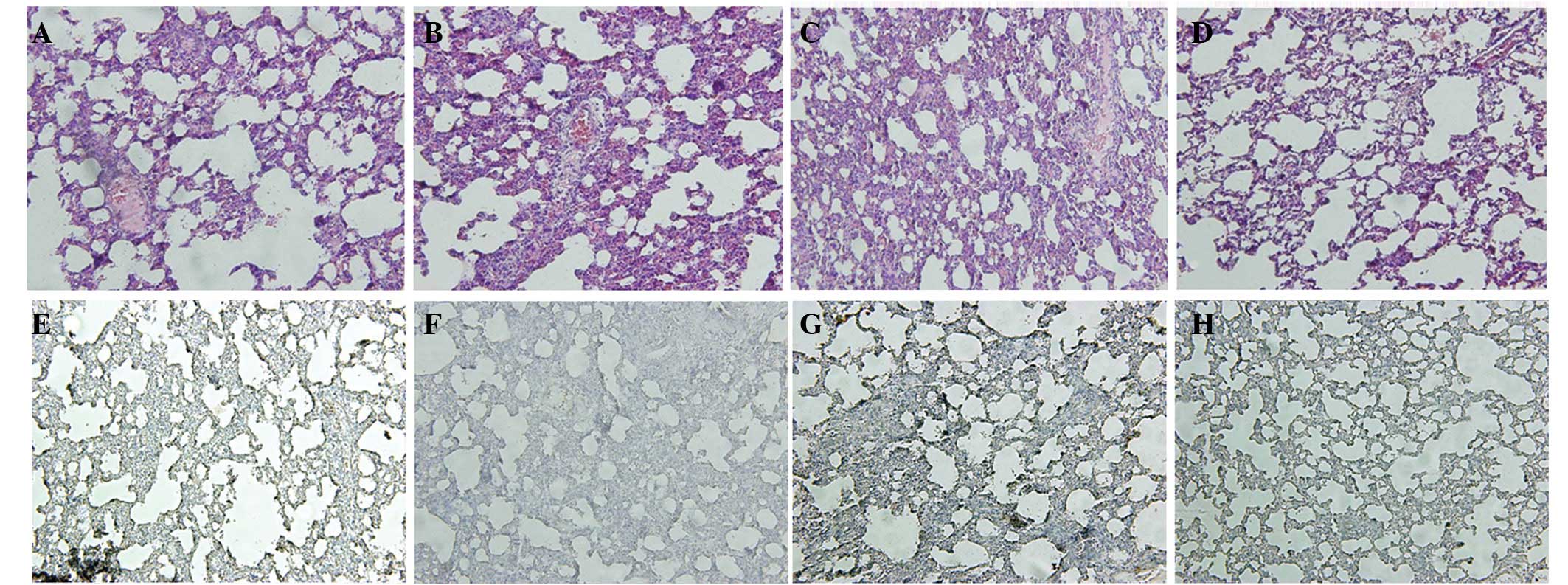
Photomicrographs of H&E-stained sections of lung tissues from the control (Fig. 2A), LPS-untreated (Fig. 2B), 15 (Fig. 2C) and 30 μM resveratrol-treated mice (Fig. 2D) are presented. Following LPS administration, congestion and infiltration of inflammatory cells, which appeared to be predominantly neutrophils, were identified. Further inflammation and septal thickening were observed. The changes were restored by resveratrol, particularly at 30 μM, although increased numbers of neutrophils were still present. The results revealed that resveratrol blocked ALI of mice induced by LPS in a dose-dependent manner.

Figure 2

Resveratrol blocked LPS-induced ALI in mice and the concentration of resveratrol correlated with Sirt1 expression. HE-stained sections of lung tissue from (A) control; (B) mice prior to LPS administration; (C) 15 and (D) 30 μM resveratrol-treated mice. Following LPS administration, congestion and infiltration of inflammatory cells (predominantly neutrophils) were observed, followed by further inflammation and septal thickening. Changes were restored by resveratrol, particularly at 30 μM, although increased numbers of neutrophils were still present (magnification, ×200). The results indicate that resveratrol blocked LPS-induced ALI in mice in a dose-dependent manner. Sirt1 expression was analyzed by immunohistochemistry in the lungs of (E) LPS-treated; (F) control; (G) 15 and (H) 30 μM resveratrol-treated mice. Sirt1 expression was induced by resveratrol in a dose-dependent manner. Groups treated with 15 μM resveratrol expressed higher levels of Sirt1. LPS, lipopolysaccharide; ALI, acute lung injury; Sirt1, sirtuin 1.

The expression of Sirt1 in mouse lungs treated with LPS (Fig. 2E) was analyzed by immunohistochemistry and was demonstrated to be significantly decreased compared with the control (Fig. 2F). Sirt1 expression was induced by resveratrol in a dose-dependent manner. Sirt1 expression was higher in samples treated with 15 μM resveratrol (Fig. 2G) compared with 30 μM (Fig. 2H). These observations indicate that resveratrol-induced inhibition of ALI induced by LPS correlates with Sirt1 expression in mice.

Resveratrol blocks LPS-induced overexpression of MMP-9 and other inflammatory factors in mice and TC-1 cells

As demonstrated in Fig. 3A, LPS markedly induced the upregulation of MMP-9 in the lungs of LPS-treated mice. mRNA expression levels of MMP-9, iNOS, IL-1β and IL-6 (Fig. 3B) were shown to be significantly induced by LPS in cells, however, the levels of Sirt1 were markedly decreased (P<0.01; Fig. 3C).

Figure 3

Resveratrol decreased the levels of inflammatory factors in TC-1 cells treated with LPS via Sirt1. (A) LPS induced the upregulation of MMP-9 in LPS-treated TC-1 cells. The release of MMP-9 in the culture media was observed and was markedly inhibited by resveratrol in a dose-dependent manner. (B) mRNA expression of MMP-9, iNOS, IL-1β and IL-6 was induced by LPS in TC-1. Resveratrol inhibited the proinflammatory factors in a dose-dependent manner. (C) LPS reduced the levels of Sirt1 in TC-1 cells and resveratrol induced the overexpression of Sirt1. (D) Western blot analysis revealed that the upregulation of MMP-9, iNOS, IL-1β and IL-6 expression was attenuated by treating cells with resveratrol prior to LPS treatment. LPS, lipopolysaccharide; Sirt1, sirtuin 1; MMP-9, matrix metalloproteinase-9; IL, interleukin; iNOS, inducible nitric oxide synthase.

Release of MMP-9 in the culture medium was observed in LPS-treated cells and was inhibited by resveratrol in a dose-dependent manner (Fig. 3A). In addition, resveratrol inhibited a number of proinflammatory factors in a dose-dependent manner (Fig. 3B). Western blot analysis demonstrated that the upregulation of MMP-9, iNOS, IL-1β and IL-6 (Fig. 3D) were attenuated by resveratrol-treatment prior to the administration of LPS.

Resveratrol inhibits inflammation via Sirt1

RNA interference was used to knockdown Sirt1 expression in TC-1 cells. Expression of Sirt1 was reduced 48 h following treatment with siRNA targeting the Sirt1 gene (Fig. 4A). The inhibitory effect of resveratrol on the upregulation of MMP-9, iNOS, IL-1β and IL-6 was attenuated in cells in which Sirt1 expression was knocked down (Fig. 4B and C).

Figure 4

Resveratrol inhibited inflammation via Sirt1 in a dose-dependent manner in TC-1 cells treated with LPS. (A) Western blot analysis revealed that Sirt1 siRNA transfection markedly reduced Sirt1 expression, compared with control siRNA or DDW transfection. Following Sirt1 or control siRNA transfection, the cells were pretreated with resveratrol in the presence of LPS treatment. (B) MMP-9 expression in the medium was examined by gelatin zymography and (C) protein expression of MMP-9, iNOS, IL-1β and IL-6 was determined by western blot analysis. LPS, lipopolysaccharide; Sirt1, sirtuin 1; MMP-9, matrix metalloproteinase-9; IL, interleukin; iNOS, inducible nitric oxide synthase; DDW, double distilled water.

Discussion

Sepsis is the most common clinical setting in which ALI develops. Bacterial endotoxin, also known as LPS, is well-known to induce lung injury and a number of studies have used LPS-treated mice as a model of lung inflammation and injury (39–41). Compared with other species (e.g. swine and sheep), mice are highly resistant to LPS, therefore, large doses of the toxin are required to cause a response in the lungs (42).

In humans, a clinical constellation of findings called the systemic inflammatory response syndrome (SIRS) defines a population at risk for ALI (43); SIRS is caused by the systemic release of an array of proinflammatory cytokines (15). The intraperitoneal administration of endotoxin to mice causes transient SIRS and transient lung injury and dysfunction. The response is characterized by successive waves of cytokine release into the circulation, early evidence of lung fibrogenesis, and prolonged increases in growth factors that may participate in lung repair. The response of mice to LPS includes lethargy, weight loss and an acutely increased release of a host of inflammatory cytokines into the circulation. This systemic inflammatory response is hypothesized to reflect that of humans with sepsis. At present, effective treatment methods and therapeutics have not been developed against sepsis and ALI induced by sepsis. Resveratrol is a potent activator of Sirt1 and is known to exhibit a number of effects on metabolism, as well as anticancer, anti-ageing and anti-inflammatory properties (23,44,45,22).

In the present study, resveratrol was shown to decrease pulmonary edema induced by LPS. Rojas et al found that edema was identified 2 h following LPS, peaked at 6 h and then gradually decreased. Even 48 h following LPS administration, lung water was still ~10% higher compared with control animals (14). In the present study, Fig. 1 demonstrates that edema in the sepsis mouse model was marked following LPS administration and then decreased following treatment with resveratrol, particularly at a concentration of 30 μM. The results indicate that resveratrol may decrease pulmonary edema induced by LPS in a dose-dependent manner.

Whole body plethysmograph was used to measure a number of variables associated with breathing patterns and respiratory functions, a number of which were affected by LPS administration. Changes of lung function were identified to be significantly different between LPS-treated and control animals. All changes in function were restored following treatment with resveratrol in a dose-dependent manner. These alterations in breathing pattern are likely to be associated with the systemic inflammatory response and local inflammation and pulmonary edema. The 6 variables identified to be significantly different between LPS-treated and control animals are presented at 18 h following LPS. The results indicated that resveratrol improved lung function in mice treated with LPS.

Following LPS administration, the congestion and infiltration of inflammatory cells was observed, which appeared to be predominantly neutrophils (Fig. 2B) but not in the control (Fig. 2A). There was further inflammation and septal thickening (Fig. 2B). The changes were restored by resveratrol (Fig. 2C and D), particularly at the concentration of 30 μM (Fig. 2D), although increased numbers of neutrophils were still present. The expression of Sirt1 in the lungs of mice treated with LPS (Fig. 2F) significantly decreased compared with the control (Fig. 2E). Sirt1 expression was induced by resveratrol in a dose-dependent manner (Fig. 2G and H), particularly in the group treated with 30 μM (Fig. 2H). These results demonstrated that resveratrol blocked ALI of mice induced by LPS in a dose dependent manner and correlated with Sirt1.

LPS is commonly used to stimulate lung injury in mice and induces inflammation in various cell types (14). Mice and TC-1 cells were treated with LPS followed by resveratrol. The release of MMP-9 in the culture medium was observed in LPS-treated cells and was markedly inhibited by resveratrol in a dose-dependent manner (Fig. 3A). Resveratrol inhibited the expression of MMP-9, iNOS, IL-1β and IL-6 in TC-1 cells in a dose-dependent manner (Fig. 3). The results in the mouse model were consistent with those of TC-1 cells (data not shown). Resveratrol is a potent Sirt1 agonist and increases Sirt1 activity (46). Resveratrol was used to investigate the anti-inflammatory function of Sirt1 in LPS-induced ALI in mice. The results in mice indicated that resveratrol blocked LPS-induced inflammation of the lung, consistent with results observed in TC-1 cells (data not shown). These observations indicated that resveratrol blocked LPS-induced overexpression of MMP-9 and other inflammatory factors in mice and TC-1 cells.

Since resveratrol is a pharmacological activator of Sirt1 and may have off-target effects, the importance of Sirt1 in the anti-inflammatory activity of resveratrol was analyzed. Sirt1 expression is induced by LPS or inflammation (47,48). The inhibitory effect of resveratrol on the upregulation of MMP-9, iNOS, IL-1β and IL-6 was attenuated in TC-1 cells in which Sirt1 expression was knocked down (Fig. 4). These results indicate that the anti-inflammatory effects of resveratrol are largely dependent on the ability of Sirt1 to negatively regulate inflammation.

In conclusion, the upregulation of MMP-9, IL-1β, IL-6 and iNOS was induced in LPS-induced sepsis mouse models and the TC-1 cell line and resveratrol suppressed the overexpression of these pro-inflammatory molecules in a dose-dependent manner. Resveratrol decreased pulmonary edema in the sepsis mouse model. In addition, resveratrol improved lung function and prevented pathological alterations. Knockdown of Sirt1 by RNA interference rendered TC-1 cells more susceptible to LPS stimulation and diminished the anti-inflammatory effect of resveratrol. Resveratrol inhibited LPS-induced ALI and inflammation via Sirt1, indicating that Sirt1 is an efficient target for the regulation of LPS-induced ALI and inflammation. The results of the present study provide insights into the treatment of ALI during sepsis.

Acknowledgements

The present study was supported by a grant from the National Natural Science Foundation of China (no. 30600524).

References

1 

Lee WL and Slutsky AS: Sepsis and endothelial permeability. N Engl J Med. 363:689–691. 2010. View Article : Google Scholar : PubMed/NCBI

2 

Hotchkiss RS and Karl IE: The pathophysiology and treatment of sepsis. N Engl J Med. 348:138–150. 2003. View Article : Google Scholar : PubMed/NCBI

3 

Angus DC, Linde-Zwirble WT, Lidicker J, et al: Epidemiology of severe sepsis in the United States: analysis of incidence, outcome and associated costs of care. Crit Care Med. 29:1303–1310. 2001. View Article : Google Scholar : PubMed/NCBI

4 

Marshall JC, Vincent JL, Guyatt G, et al: Outcome measures for clinical research in sepsis: a report of the 2nd Cambridge Colloquium of the International Sepsis Forum. Crit Care Med. 33:1708–1716. 2005. View Article : Google Scholar : PubMed/NCBI

5 

Herridge MS, Cheung AM, Tansey CM, et al: One-year outcomes in survivors of the acute respiratory distress syndrome. N Engl J Med. 348:683–693. 2003.PubMed/NCBI

6 

Chung YJ, Jarvis B and Pestka J: Modulation of lipopolysaccharide-induced proinflammatory cytokine production by satratoxins and other macrocyclic trichothecenes in the murine macrophage. J Toxicol Environ Health A. 66:379–391. 2003. View Article : Google Scholar

7 

Brandolini L, Asti C, Ruggieri V, et al: Lipopolysaccharide-induced lung injury in mice. II Evaluation of functional damage in isolated parenchyma strips. Pulm Pharmacol Ther. 13:71–78. 2000. View Article : Google Scholar : PubMed/NCBI

8 

Bucher M and Taeger K: Endothelin-receptor gene-expression in rat endotoxemia. Intensive Care Med. 28:642–647. 2002. View Article : Google Scholar : PubMed/NCBI

9 

Emery DA, Nagaraja KV, Sivanandan V, et al: Endotoxin lipopolysaccharide from Escherichia coli and its effects on the phagocytic function of systemic and pulmonary macrophages in turkeys. Avian Dis. 35:901–909. 1991.

10 

Esbenshade AM, Newman JH, Lams PM, et al: Respiratory failure after endotoxin infusion in sheep: lung mechanics and lung fluid balance. J Appl Physiol. 53:967–976. 1982.PubMed/NCBI

11 

Müller G, Steinbach G, Berndt A and Köhler H: Effects of various applications of lipopolysaccharides on blood parameters of pigs. J Vet Med B Infect Dis Vet Public Health. 49:429–437. 2002.PubMed/NCBI

12 

Lentsch AB, Czermak BJ, Bless NM, et al: Essential role of alveolar macrophages in intrapulmonary activation of NF-kappaB. Am J Respir Cell Mol Biol. 20:692–698. 1999. View Article : Google Scholar : PubMed/NCBI

13 

Lentsch AB and Ward PA: Regulation of experimental lung inflammation. Respir Physiol. 128:17–22. 2001. View Article : Google Scholar : PubMed/NCBI

14 

Rojas M, Woods CR, Mora AL, et al: Endotoxin-induced lung injury in mice: structural, functional and biochemical responses. Am J Physiol Lung Cell Mol Physiol. 288:L333–L341. 2005. View Article : Google Scholar : PubMed/NCBI

15 

Howitz KT, Bitterman KJ, Cohen HY, et al: Small molecule activators of sirtuins extend Saccharomyces cerevisiae lifespan. Nature. 425:191–196. 2003. View Article : Google Scholar : PubMed/NCBI

16 

Kojima K, Ohhashi R, Fujita Y, et al: A role for SIRT1 in cell growth and chemoresistance in prostate cancer PC3 and DU145 cells. Biochem Biophys Res Commun. 373:423–428. 2008. View Article : Google Scholar : PubMed/NCBI

17 

Ford J, Jiang M and Milner J: Cancer-specific functions of SIRT1 enable human epithelial cancer cell growth and survival. Cancer Res. 65:10457–10463. 2005. View Article : Google Scholar : PubMed/NCBI

18 

Yang SR, Wright J, Bauter M, et al: Sirtuin regulates cigarette smoke-induced proinflammatory mediator release via RelA/p65 NF-kappaB in macrophages in vitro and in rat lungs in vivo: implications for chronic inflammation and aging. Am J Physiol Lung Cell Mol Physiol. 292:L567–L576. 2007. View Article : Google Scholar : PubMed/NCBI

19 

Yeung F, Hoberg JE, Ramsey CS, et al: Modulation of NF-kappaB-dependent transcription and cell survival by the SIRT1 deacetylase. EMBO J. 23:2369–2380. 2004. View Article : Google Scholar : PubMed/NCBI

20 

Rajendrasozhan S, Yang SR, Kinnula VL and Rahman I: SIRT1, an antiinflammatory and antiaging protein, is decreased in lungs of patients with chronic obstructive pulmonary disease. Am J Respir Crit Care Med. 177:861–870. 2008. View Article : Google Scholar : PubMed/NCBI

21 

Singh UP, Singh NP, Singh B, et al: Resveratrol (trans-3,5,4′-trihydroxystilbene) induces silent mating type information regulation-1 and down-regulates nuclear transcription factor-kappaB activation to abrogate dextran sulfate sodium-induced colitis. J Pharmacol Exp Ther. 332:829–839. 2010.

22 

Borra MT, Smith BC and Denu JM: Mechanism of human SIRT1 activation by resveratrol. J Biol Chem. 280:17187–17195. 2005. View Article : Google Scholar : PubMed/NCBI

23 

Bishayee A, Waghray A, Barnes KF, et al: Suppression of the inflammatory cascade is implicated in resveratrol chemoprevention of experimental hepatocarcinogenesis. Pharm Res. 27:1080–1091. 2010. View Article : Google Scholar : PubMed/NCBI

24 

Knobloch J, Sibbing B, Jungck D, et al: Resveratrol impairs the release of steroid-resistant inflammatory cytokines from human airway smooth muscle cells in chronic obstructive pulmonary disease. J Pharmacol Exp Ther. 335:788–798. 2010. View Article : Google Scholar

25 

Chung EY, Kim BH, Hong JT, et al: Resveratrol downregulates interferon-gamma-inducible inflammatory genes in macrophages: molecular mechanism via decreased STAT-1 activation. J Nutr Biochem. 22:902–909. 2011. View Article : Google Scholar

26 

Csaki C, Keshishzadeh N, Fischer K and Shakibaei M: Regulation of inflammation signalling by resveratrol in human chondrocytes in vitro. Biochem Pharmacol. 75:677–687. 2008. View Article : Google Scholar : PubMed/NCBI

27 

Donnelly LE, Newton R, Kennedy GE, et al: Anti-inflammatory effects of resveratrol in lung epithelial cells: molecular mechanisms. Am J Physiol Lung Cell Mol Physiol. 287:L774–L783. 2004. View Article : Google Scholar : PubMed/NCBI

28 

Elmali N, Baysal O, Harma A, et al: Effects of resveratrol in inflammatory arthritis. Inflammation. 30:1–6. 2007. View Article : Google Scholar : PubMed/NCBI

29 

Olholm J, Paulsen SK, Cullberg KB, et al: Antiinflammatory effect of resveratrol on adipokine expression and secretion in human adipose tissue explants. Int J Obes (Lond). 34:1546–1553. 2010. View Article : Google Scholar : PubMed/NCBI

30 

Kim DH, Longo M, Han Y, et al: Interferon induction by siRNAs and ssRNAs synthesised by phage polymerase. Nat Biotechnol. 22:321–325. 2004. View Article : Google Scholar : PubMed/NCBI

31 

Peterson BT, Brooks JA and Zack AG: Use of microwave oven for determination of postmortem water volume of lungs. J Appl Physiol. 52:1661–1663. 1982.PubMed/NCBI

32 

Riva DR, Oliveira MB, Rzezinski AF, et al: Recruitment maneuver in pulmonary and extrapulmonary experimental acute lung injury. Crit Care Med. 36:1900–1908. 2008. View Article : Google Scholar : PubMed/NCBI

33 

Pássaro CP, Silva PL, Rzezinski AF, et al: Pulmonary lesion induced by low and high positive end-expiratory pressure levels during protective ventilation in experimental acute lung injury. Crit Care Med. 37:1011–1017. 2009.PubMed/NCBI

34 

Baydur A, Behrakis PK, Zin WA, et al: A simple method for assessing the validity of the esophageal balloon technique. Am Rev Respir Dis. 126:788–791. 1982.PubMed/NCBI

35 

Baydur A, Sassoon CS and Stiles CM: Partitioning of respiratory mechanics in young adults. Effects of duration of anesthesia. Am Rev Respir Dis. 135:165–172. 1987.PubMed/NCBI

36 

Leite-Junior JH, Garcia CS, Souza-Fernandes AB, et al: Methylprednisolone improves lung mechanics and reduces the inflammatory response in pulmonary but not in extrapulmonary mild acute lung injury in mice. Crit Care Med. 36:2621–2628. 2008. View Article : Google Scholar : PubMed/NCBI

37 

Gursoy-Ozdemir Y, Qiu J, Matsuoka N, et al: Cortical spreading depression activates and upregulates MMP-9. J Clin Invest. 113:1447–1455. 2004. View Article : Google Scholar : PubMed/NCBI

38 

Qiu J, Xu J, Zheng Y, et al: High-mobility group box 1 promotes metalloproteinase-9 upregulation through Toll-like receptor 4 after cerebral ischemia. Stroke. 41:2077–2082. 2010. View Article : Google Scholar : PubMed/NCBI

39 

Matsuda N, Hattori Y, Takahashi Y, et al: Therapeutic effect of in vivo transfection of transcription factor decoy to NF-kappaB on septic lung in mice. Am J Physiol Lung Cell Mol Physiol. 287:L1248–L1255. 2004.PubMed/NCBI

40 

Oshikawa K and Sugiyama Y: Gene expression of Toll-like receptors and associated molecules induced by inflammatory stimuli in the primary alveolar macrophage. Biochem Biophys Res Commun. 305:649–655. 2003. View Article : Google Scholar : PubMed/NCBI

41 

Yull FE, Han W, Jansen ED, et al: Bioluminescent detection of endotoxin effects on HIV-1 LTR-driven transcription in vivo. J Histochem Cytochem. 51:741–749. 2003. View Article : Google Scholar : PubMed/NCBI

42 

Pietrantoni C, Minai OA, Yu NC, et al: Respiratory failure and sepsis are the major causes of ICU admissions and mortality in survivors of lung transplants. Chest. 123:504–509. 2003. View Article : Google Scholar : PubMed/NCBI

43 

Takala A, Nupponen I, Kylänpää-Bäck ML and Repo H: Markers of inflammation in sepsis. Ann Med. 34:614–623. 2002. View Article : Google Scholar

44 

Lagouge M, Argmann C, Gerhart-Hines Z, et al: Resveratrol improves mitochondrial function and protects against metabolic disease by activating SIRT1 and PGC-1alpha. Cell. 127:1109–1122. 2006. View Article : Google Scholar : PubMed/NCBI

45 

Sun W, Wang W, Kim J, et al: Anti-cancer effect of resveratrol is associated with induction of apoptosis via a mitochondrial pathway alignment. Adv Exp Med Biol. 614:179–186. 2008. View Article : Google Scholar : PubMed/NCBI

46 

Zhang HN, Li L, Gao P, et al: Involvement of the p65/RelA subunit of NF-kappaB in TNF-alpha-induced SIRT1 expression in vascular smooth muscle cells. Biochem Biophys Res Commun. 397:569–575. 2010. View Article : Google Scholar : PubMed/NCBI

47 

Lee SJ and Kim MM: Resveratrol with antioxidant activity inhibits matrix metalloproteinase via modulation of SIRT1 in human fibrosarcoma cells. Life Sci. 88:465–472. 2011. View Article : Google Scholar : PubMed/NCBI

48 

Niederer F, Ospelt C, Brentano F, et al: SIRT1 overexpression in the rheumatoid arthritis synovium contributes to proinflammatory cytokine production and apoptosis resistance. Ann Rheum Dis. 70:1866–1873. 2011. View Article : Google Scholar : PubMed/NCBI

Related Articles

  • Abstract
  • View
  • Download
  • Twitter
Copy and paste a formatted citation
Spandidos Publications style
Li T, Zhang J, Feng J, Li Q, Wu L, Ye Q, Sun J, Lin Y, Zhang M, Huang R, Huang R, et al: Resveratrol reduces acute lung injury in a LPS‑induced sepsis mouse model via activation of Sirt1 Retraction in /10.3892/mmr.2023.13137. Mol Med Rep 7: 1889-1895, 2013.
APA
Li, T., Zhang, J., Feng, J., Li, Q., Wu, L., Ye, Q. ... Wu, Q. (2013). Resveratrol reduces acute lung injury in a LPS‑induced sepsis mouse model via activation of Sirt1 Retraction in /10.3892/mmr.2023.13137. Molecular Medicine Reports, 7, 1889-1895. https://doi.org/10.3892/mmr.2013.1444
MLA
Li, T., Zhang, J., Feng, J., Li, Q., Wu, L., Ye, Q., Sun, J., Lin, Y., Zhang, M., Huang, R., Cheng, J., Cao, Y., Xiang, G., Zhang, J., Wu, Q."Resveratrol reduces acute lung injury in a LPS‑induced sepsis mouse model via activation of Sirt1 Retraction in /10.3892/mmr.2023.13137". Molecular Medicine Reports 7.6 (2013): 1889-1895.
Chicago
Li, T., Zhang, J., Feng, J., Li, Q., Wu, L., Ye, Q., Sun, J., Lin, Y., Zhang, M., Huang, R., Cheng, J., Cao, Y., Xiang, G., Zhang, J., Wu, Q."Resveratrol reduces acute lung injury in a LPS‑induced sepsis mouse model via activation of Sirt1 Retraction in /10.3892/mmr.2023.13137". Molecular Medicine Reports 7, no. 6 (2013): 1889-1895. https://doi.org/10.3892/mmr.2013.1444
Copy and paste a formatted citation
x
Spandidos Publications style
Li T, Zhang J, Feng J, Li Q, Wu L, Ye Q, Sun J, Lin Y, Zhang M, Huang R, Huang R, et al: Resveratrol reduces acute lung injury in a LPS‑induced sepsis mouse model via activation of Sirt1 Retraction in /10.3892/mmr.2023.13137. Mol Med Rep 7: 1889-1895, 2013.
APA
Li, T., Zhang, J., Feng, J., Li, Q., Wu, L., Ye, Q. ... Wu, Q. (2013). Resveratrol reduces acute lung injury in a LPS‑induced sepsis mouse model via activation of Sirt1 Retraction in /10.3892/mmr.2023.13137. Molecular Medicine Reports, 7, 1889-1895. https://doi.org/10.3892/mmr.2013.1444
MLA
Li, T., Zhang, J., Feng, J., Li, Q., Wu, L., Ye, Q., Sun, J., Lin, Y., Zhang, M., Huang, R., Cheng, J., Cao, Y., Xiang, G., Zhang, J., Wu, Q."Resveratrol reduces acute lung injury in a LPS‑induced sepsis mouse model via activation of Sirt1 Retraction in /10.3892/mmr.2023.13137". Molecular Medicine Reports 7.6 (2013): 1889-1895.
Chicago
Li, T., Zhang, J., Feng, J., Li, Q., Wu, L., Ye, Q., Sun, J., Lin, Y., Zhang, M., Huang, R., Cheng, J., Cao, Y., Xiang, G., Zhang, J., Wu, Q."Resveratrol reduces acute lung injury in a LPS‑induced sepsis mouse model via activation of Sirt1 Retraction in /10.3892/mmr.2023.13137". Molecular Medicine Reports 7, no. 6 (2013): 1889-1895. https://doi.org/10.3892/mmr.2013.1444
Follow us
  • Twitter
  • LinkedIn
  • Facebook
About
  • Spandidos Publications
  • Careers
  • Cookie Policy
  • Privacy Policy
How can we help?
  • Help
  • Live Chat
  • Contact
  • Email to our Support Team