Spandidos Publications Logo
  • About
    • About Spandidos
    • Aims and Scopes
    • Abstracting and Indexing
    • Editorial Policies
    • Reprints and Permissions
    • Job Opportunities
    • Terms and Conditions
    • Contact
  • Journals
    • All Journals
    • Oncology Letters
      • Oncology Letters
      • Information for Authors
      • Editorial Policies
      • Editorial Board
      • Aims and Scope
      • Abstracting and Indexing
      • Bibliographic Information
      • Archive
    • International Journal of Oncology
      • International Journal of Oncology
      • Information for Authors
      • Editorial Policies
      • Editorial Board
      • Aims and Scope
      • Abstracting and Indexing
      • Bibliographic Information
      • Archive
    • Molecular and Clinical Oncology
      • Molecular and Clinical Oncology
      • Information for Authors
      • Editorial Policies
      • Editorial Board
      • Aims and Scope
      • Abstracting and Indexing
      • Bibliographic Information
      • Archive
    • Experimental and Therapeutic Medicine
      • Experimental and Therapeutic Medicine
      • Information for Authors
      • Editorial Policies
      • Editorial Board
      • Aims and Scope
      • Abstracting and Indexing
      • Bibliographic Information
      • Archive
    • International Journal of Molecular Medicine
      • International Journal of Molecular Medicine
      • Information for Authors
      • Editorial Policies
      • Editorial Board
      • Aims and Scope
      • Abstracting and Indexing
      • Bibliographic Information
      • Archive
    • Biomedical Reports
      • Biomedical Reports
      • Information for Authors
      • Editorial Policies
      • Editorial Board
      • Aims and Scope
      • Abstracting and Indexing
      • Bibliographic Information
      • Archive
    • Oncology Reports
      • Oncology Reports
      • Information for Authors
      • Editorial Policies
      • Editorial Board
      • Aims and Scope
      • Abstracting and Indexing
      • Bibliographic Information
      • Archive
    • Molecular Medicine Reports
      • Molecular Medicine Reports
      • Information for Authors
      • Editorial Policies
      • Editorial Board
      • Aims and Scope
      • Abstracting and Indexing
      • Bibliographic Information
      • Archive
    • World Academy of Sciences Journal
      • World Academy of Sciences Journal
      • Information for Authors
      • Editorial Policies
      • Editorial Board
      • Aims and Scope
      • Abstracting and Indexing
      • Bibliographic Information
      • Archive
    • International Journal of Functional Nutrition
      • International Journal of Functional Nutrition
      • Information for Authors
      • Editorial Policies
      • Editorial Board
      • Aims and Scope
      • Abstracting and Indexing
      • Bibliographic Information
      • Archive
    • International Journal of Epigenetics
      • International Journal of Epigenetics
      • Information for Authors
      • Editorial Policies
      • Editorial Board
      • Aims and Scope
      • Abstracting and Indexing
      • Bibliographic Information
      • Archive
    • Medicine International
      • Medicine International
      • Information for Authors
      • Editorial Policies
      • Editorial Board
      • Aims and Scope
      • Abstracting and Indexing
      • Bibliographic Information
      • Archive
  • Articles
  • Information
    • Information for Authors
    • Information for Reviewers
    • Information for Librarians
    • Information for Advertisers
    • Conferences
  • Language Editing
Spandidos Publications Logo
  • About
    • About Spandidos
    • Aims and Scopes
    • Abstracting and Indexing
    • Editorial Policies
    • Reprints and Permissions
    • Job Opportunities
    • Terms and Conditions
    • Contact
  • Journals
    • All Journals
    • Biomedical Reports
      • Information for Authors
      • Editorial Policies
      • Editorial Board
      • Aims and Scope
      • Abstracting and Indexing
      • Bibliographic Information
      • Archive
    • Experimental and Therapeutic Medicine
      • Information for Authors
      • Editorial Policies
      • Editorial Board
      • Aims and Scope
      • Abstracting and Indexing
      • Bibliographic Information
      • Archive
    • International Journal of Epigenetics
      • Information for Authors
      • Editorial Policies
      • Editorial Board
      • Aims and Scope
      • Abstracting and Indexing
      • Bibliographic Information
      • Archive
    • International Journal of Functional Nutrition
      • Information for Authors
      • Editorial Policies
      • Editorial Board
      • Aims and Scope
      • Abstracting and Indexing
      • Bibliographic Information
      • Archive
    • International Journal of Molecular Medicine
      • Information for Authors
      • Editorial Policies
      • Editorial Board
      • Aims and Scope
      • Abstracting and Indexing
      • Bibliographic Information
      • Archive
    • International Journal of Oncology
      • Information for Authors
      • Editorial Policies
      • Editorial Board
      • Aims and Scope
      • Abstracting and Indexing
      • Bibliographic Information
      • Archive
    • Medicine International
      • Information for Authors
      • Editorial Policies
      • Editorial Board
      • Aims and Scope
      • Abstracting and Indexing
      • Bibliographic Information
      • Archive
    • Molecular and Clinical Oncology
      • Information for Authors
      • Editorial Policies
      • Editorial Board
      • Aims and Scope
      • Abstracting and Indexing
      • Bibliographic Information
      • Archive
    • Molecular Medicine Reports
      • Information for Authors
      • Editorial Policies
      • Editorial Board
      • Aims and Scope
      • Abstracting and Indexing
      • Bibliographic Information
      • Archive
    • Oncology Letters
      • Information for Authors
      • Editorial Policies
      • Editorial Board
      • Aims and Scope
      • Abstracting and Indexing
      • Bibliographic Information
      • Archive
    • Oncology Reports
      • Information for Authors
      • Editorial Policies
      • Editorial Board
      • Aims and Scope
      • Abstracting and Indexing
      • Bibliographic Information
      • Archive
    • World Academy of Sciences Journal
      • Information for Authors
      • Editorial Policies
      • Editorial Board
      • Aims and Scope
      • Abstracting and Indexing
      • Bibliographic Information
      • Archive
  • Articles
  • Information
    • For Authors
    • For Reviewers
    • For Librarians
    • For Advertisers
    • Conferences
  • Language Editing
Login Register Submit
  • This site uses cookies
  • You can change your cookie settings at any time by following the instructions in our Cookie Policy. To find out more, you may read our Privacy Policy.

    I agree
Search articles by DOI, keyword, author or affiliation
Search
Advanced Search
presentation
Oncology Reports
Join Editorial Board Propose a Special Issue
Print ISSN: 1021-335X Online ISSN: 1791-2431
Journal Cover
2014-March Volume 31 Issue 3

Full Size Image

Sign up for eToc alerts
Recommend to Library

Journals

International Journal of Molecular Medicine

International Journal of Molecular Medicine

International Journal of Molecular Medicine is an international journal devoted to molecular mechanisms of human disease.

International Journal of Oncology

International Journal of Oncology

International Journal of Oncology is an international journal devoted to oncology research and cancer treatment.

Molecular Medicine Reports

Molecular Medicine Reports

Covers molecular medicine topics such as pharmacology, pathology, genetics, neuroscience, infectious diseases, molecular cardiology, and molecular surgery.

Oncology Reports

Oncology Reports

Oncology Reports is an international journal devoted to fundamental and applied research in Oncology.

Experimental and Therapeutic Medicine

Experimental and Therapeutic Medicine

Experimental and Therapeutic Medicine is an international journal devoted to laboratory and clinical medicine.

Oncology Letters

Oncology Letters

Oncology Letters is an international journal devoted to Experimental and Clinical Oncology.

Biomedical Reports

Biomedical Reports

Explores a wide range of biological and medical fields, including pharmacology, genetics, microbiology, neuroscience, and molecular cardiology.

Molecular and Clinical Oncology

Molecular and Clinical Oncology

International journal addressing all aspects of oncology research, from tumorigenesis and oncogenes to chemotherapy and metastasis.

World Academy of Sciences Journal

World Academy of Sciences Journal

Multidisciplinary open-access journal spanning biochemistry, genetics, neuroscience, environmental health, and synthetic biology.

International Journal of Functional Nutrition

International Journal of Functional Nutrition

Open-access journal combining biochemistry, pharmacology, immunology, and genetics to advance health through functional nutrition.

International Journal of Epigenetics

International Journal of Epigenetics

Publishes open-access research on using epigenetics to advance understanding and treatment of human disease.

Medicine International

Medicine International

An International Open Access Journal Devoted to General Medicine.

Journal Cover
2014-March Volume 31 Issue 3

Full Size Image

Sign up for eToc alerts
Recommend to Library

  • Article
  • Citations
    • Cite This Article
    • Download Citation
    • Create Citation Alert
    • Remove Citation Alert
    • Cited By
  • Similar Articles
    • Related Articles (in Spandidos Publications)
    • Similar Articles (Google Scholar)
    • Similar Articles (PubMed)
  • Download PDF
  • Download XML
  • View XML
Article

Nicotine promotes cell proliferation and induces resistance to cisplatin by α7 nicotinic acetylcholine receptor‑mediated activation in Raw264.7 and El4 cells

  • Authors:
    • Yan Yan Wang
    • Yao Liu
    • Xiao Yan Ni
    • Zhen Huan Bai
    • Qiong Yun Chen
    • Ye Zhang
    • Feng Guang Gao
  • View Affiliations / Copyright

    Affiliations: Basic Medicine Science, Medical College, Xiamen University, Xiamen, Fujian 361005, P.R. China
  • Pages: 1480-1488
    |
    Published online on: December 31, 2013
       https://doi.org/10.3892/or.2013.2962
  • Expand metrics +
Metrics: Total Views: 0 (Spandidos Publications: | PMC Statistics: )
Metrics: Total PDF Downloads: 0 (Spandidos Publications: | PMC Statistics: )
Cited By (CrossRef): 0 citations Loading Articles...

This article is mentioned in:



Abstract

Although nicotine is a risk factor for carcinogenesis and atherosclerosis, epidemiological data indicate that nicotine has therapeutic benefits in treating Alzheimer's disease. Our previous studies also showed that nicotine-treated dendritic cells have potential antitumor effects. Hence, the precise effects of nicotine on the biological characterizations of cells are controversial. The aim of the present study was to assess the roles of α7 nicotinic acetylcholine receptors (nAChRs), Erk1/2-p38-JNK and PI3K-Akt pathway in nicotine-mediated proliferation and anti-apoptosis effects. The results firstly showed that nicotine treatment clearly augmented cell viability and upregulated PCNA expression in both Raw264.7 and El4 cells. Meanwhile, nicotine afforded protection against cisplatin-induced toxicity through inhibiting caspase-3 activation and upregulating anti-apoptotic protein expression. Further exploration demonstrated that nicotine efficiently abolished cisplatin-promoted mitochondria translocation of Bax and the release of cytochrome c. The pretreatment of α-bungarotoxin and tubocurarine chloride significantly attenuated nicotine-augmented cell viability, abolished caspase-3 activation and α7 nAChR upregulation. Both Erk-JNK-p38 and PI3K-Akt signaling pathways could be activated by nicotine treatment in Raw264.7 and El4 cells. Notably, when Erk-JNK and PI3K-Akt activities were inhibited, nicotine-augmented cell proliferation and anti-apoptotic effects were abolished accordingly. The results presented here indicate that nicotine could achieve α7 nAChR-mediated proliferation and anti-apoptotic effects by activating Erk-JNK and PI3K-Akt pathways respectively, providing potential therapeutic molecules to deal with smoking-associated human diseases.

Introduction

Cigarette smoking, which causes lung and other types of cancer, is also a risk factor of both established tumor metastasis and increases overall mortality in cancer patients (1,2). In addition, smokers have increased vulnerability to atherosclerosis and are predisposed to allergic airway diseases (3,4). These studies suggest that by altering cell viability, smoking enables tumor cells and vascular endothelial cells to evade appropriate immune responses. Nicotine, a major component of cigarette smoke, is widely accepted as a risk factor for carcinogenesis and atherosclerosis (1). However, to date, little is known about how and to what extent nicotine contributes to the adverse effects of chronic tobacco use, apart from its psychoactive actions and addictive properties. Although nicotine could promote lung cancer development, reduce the efficacy of chemotherapeutic agents (5) and activate hypoxia-inducible factor-1α expression (6), the fast synaptic transmission in key regions controlling behavior mediated by nicotine via nicotine acetylcholine receptors (nAChRs) was also reported (3), indicating that nicotine might be a survival agonist against various stresses inducing apoptosis (4). We previously studied the biological roles of nicotine and found that nicotine activates bone marrow-derived dendritic cells and nicotine-treated dendritic cells have potential antitumor effects (7–9). Hence, the exact effect of nicotine on cell survival has not been fully characterized and remains controversial.

nAChRs, which belong to a family of ionotropic receptors consisting of α-subunits or a combination of α and β-subunits, are widely distributed throughout the central and peripheral nervous system (10). In addition, non-neuronal cells such as monocytes, endothelial cells and epithelial cells were also found to express nAChRs (11). Despite documented data showing that α1, α3, α5 nAChRs play important roles in regulating cell proliferation, apoptosis and facilitating tumor formation (12–14), α7 nAChR, which is the main receptor of nACh in non-neuronal cells, has acquired more attention in recent years. For example, α7 nAChR was found to be involved in gastric and colon cancer migration (15,16) and to also upregulate PPARβ/δ expression in human lung carcinoma (17). The fact that inhibition of α7-nicotinic receptor reduces tumorigenicity in A549 NSCLC xenografts (18) and facilitates lung cancer treatment (19) indicated that α7 nAChR plays important roles in tumor proliferation, angiogenesis and apoptosis (20–22). To date, however, the exact role of α7 nAChR in nicotine-mediated cell proliferation and anti-apoptotic effects has not been fully elucidated, and is important for potential tumor therapeutic target molecule discovery.

In the present study, to investigate the roles of α7 nAChR in nicotine-mediated cell proliferation and anti-apoptotic effects, Raw264.7 and El4 cells were treated with nicotine and cell proliferation was firstly determined by CCK-8 assay and western blot analysis, respectively. Then, the roles of α7 nAChR in nicotine-augmented cell proliferation and anti-apoptotic effects were further explored by pre-incubation of cells with α7 nAChR specific antagonist α-bungarotoxin and broad spectrum nicotinic antagonist tubocurarine chloride. The effects of nicotine on cisplatin-induced mitochondria translocation of Bax and the release of cytochrome c from mitochondria were investigated by mitochondria isolation and western blot analysis. Using kinase inhibitors, the roles of Erk-JNK-p38 and PI3K-Akt phosphorylation in nicotine-mediated cell proliferation and anti-apoptosis effects were further investigated. The results showed that, firstly, nicotine treatment clearly augmented cell viability, upregulated Mcl-1 and Bcl-2 expression and decreased caspase-3 activation in Raw264.7 and El4 cells. Secondly, the pretreatment of α-bungarotoxin and tubocurarine chloride efficiently attenuated nicotine-augmented cell proliferation, α7 nAChR upregulation and abolished the inhibitory effects of nicotine on cisplatin-induced caspase-3 activation. Further exploration demonstrated that nicotine efficiently abolished cisplatin-promoted mitochondria translocation of Bax and the release of cytochrome c. Notably, both Erk-JNK-p38 and PI3K-Akt signaling pathways could be activated by nicotine treatment in Raw264.7 and El4 cells. When Erk-JNK and PI3K-Akt activities were inhibited, nicotine-augmented cell proliferation ability and anti-apoptotic effects were reversed accordingly. The results presented here indicate that nicotine could achieve α7 nAChR-mediated proliferation and anti-apoptotic effects by activating the Erk-JNK and PI3K-Akt pathways respectively, providing potential molecules to deal with tobacco-associated human diseases.

Materials and methods

Reagents

Reagents were purchased from the following companies: nicotine, α-bungarotoxin and tubocurarine chloride were obtained from Sigma-Aldrich (St. Louis, MO, USA). Cisplatin (DDP) was purchased from Calbiochem (San Diego, CA, USA). Annexin V/PI Apoptosis Detection kit was obtained from Promega (Madison, WI, USA). Cell Counting Kit-8 (CCK-8) was from Dojindo Laboratories (Kumamoto, Japan). p38 MAPK inhibitor SB203580, JNK MAPK inhibitor SP600125, Erk1/2 inhibitor U0126, PI3K inhibitor LY294002 and Akt inhibitor Wortmanin were from Cayman Chemical (Ann Arbor, MI, USA). Antibodies to β-actin, Cox IV, PCNA, α7 nAChR, Bcl-2, Mcl-1, Bax, cleaved caspase-3, cytochrome c, phospho-p38, phospho-Erk1/2, phospho-Mek1/2, phospho-c-Raf, phospho-Msk, phospho-p90Rsk, phospho-JNK were from Cell Signaling Technology (Beverly, MA, USA). Mitochondria isolation kit for cultured cells was from Thermo Fisher Scientific (Rockford, IL, USA). RPMI-1640 medium, Dulbecco’s modified Eagle’s medium (DMEM) and fetal bovine serum (FBS) were purchased from HyClone (Logan, UT, USA).

Cell line

The Raw264.7 and El4, macrophage and T lymphoma cell lines respectively, were obtained from Shanghai Cell Bank (Shanghai, China). Cells were cultured in DMEM with 10% FBS at 37°C in 5% CO2 and passed every 1–2 days to maintain logarithmic growth. Cells were synchronized by serum starvation for at least 12 h before the treatment of nicotine for indicated periods or concentrations. To investigate the role of α7 nAChR in nicotine-mediated proliferation and anti-apoptotic effect, the cells were pretreated with 1 μg/ml α7 nAChR specific antagonist α-bungarotoxin or broad spectrum nicotinic antagonist tubocurarine chloride prior to the indicated nicotine treatment.

Cell apoptosis assay

Cell apoptosis assay was determined by flow cytometry according to the method previously described (23). Briefly, 5×104 Raw264.7 or El4 cells seeded in 24-well plates were pretreated with 10 μM U0126, SB203580 or SP6001250 1 h prior to 24-h 10−7 M nicotine stimulation and were further treated with 2 μg/ml cisplatin for 17 h. Then, the cells were removed by trypsinization, rinsed with PBS and re-suspended in binding buffer containing Annexin V-FITC and propidium iodide (PI) for 20 min at room temperature. The samples were analyzed on FACSCalibur and data were analyzed with CellQuest software.

Cell proliferation assay

Cell proliferation assay was performed as previously described (24). Briefly, 5×104 El4 or Raw264.7 cells were inoculated in 96-well plate in 100 μl/well medium in a humidified incubator (37°C, 5% CO2). Then, the cells were treated with 10 μM LY294002/Wortmanin or 1 μg/ml tubocurarine chloride/α-bungarotoxin 60 min prior to 10−7 mol/l nicotine stimulation for indicated periods. CCK-8 solutions (10 μl) were added to each well of the plate and OD450 value was detected with the wavelength of 450 nm.

Mitochondria isolation

To explore the effect of nicotine on cisplatin-induced mitochondrial translocation of Bax and the release of cytochrome c, 2×107 Raw264.7 cells were treated with 10−7 mol/l nicotine for 8 h prior to cisplatin (1 μg/ml) treatment. The mitochondria isolation was performed according to the standard procedure. Briefly, cell pellet was harvested by 850 × g centrifuging and vortexed at medium speed in 800 μl Mitochondria Isolation Reagent A. Then, 10 μl Mitochondria Isolation Reagent B was added and incubated on ice for 5 min with further lysis by 800 μl Mitochondria Isolation Reagent C. After 15 min 12,000 × g centrifugation, the pellet contained isolated mitochondria and the supernatant contained cytosol fraction. The Bax translocation and cytochrome c release were determined by western blot analysis, respectively. β-actin and Cox IV were used as internal control.

Western blot analysis

Proteins were obtained in lysis buffer as previously described (7). For analysis of PI3K-Akt, MAPK kinases phosphorylation and upregulation of Bcl-2, Mcl-1, PCNA, α7 nAChR induced by nicotine stimulation, 2×107 Raw264.7 or El4 cells were treated with 10−7 mol/l nicotine stimulation for indicated periods. To explore the role of α7 nAChR in nicotine-augmented cell proliferation and anti-apoptotic effect, cells were treated with 1 μg/ml tubocurarine chloride or α-bungarotoxin 60 min prior to 24 h 10−7 mol/l nicotine stimulation. Proteins were loaded onto SDS-PAGE gels for electrophoresis and then transferred onto PVDF membranes. After blocking in 5% fat-free milk in TBST for 1.5 h, the membranes were incubated with primary antibodies at 4°C overnight. Subsequently, the membranes were incubated with corresponding HRP-conjugated secondary antibodies at room temperature for 1.5 h. After washing six times with TBST (for 10 min each), bound antibodies were visualized using enhanced chemiluminescence ECL. β-actin was used as loading control.

Statistical analysis

Each experiment was repeated at least 3 times and confirmed that similar data were obtained. All data are expressed as mean and standard errors. Statistical significance was tested using one-way ANOVA with post Newman-Keuls test or two-way ANOVA with post Bonferroni test. Statistical differences were considered to be significant if P<0.05.

Results

Nicotine treatment augments cell proliferation abilities in Raw264.7 and El4 cells

Our previous studies showed that nicotine could activate bone marrow-derived dendritic cells and nicotine-treated dendritic cells have potential antitumor effects (7–9). To explore the effect of nicotine on cell proliferation, both Raw264.7 and El4 cells were treated with 10−5–10−8 mol/l nicotine for 12 h or 10−7 mol/l nicotine for indicated periods and cell viabilities, PCNA expression were determined by CCK-8 assay and western blot analysis, respectively. The results showed that compared to PBS-treated control, 10−6–10−8 mol/l nicotine treatment clearly augmented Raw264.7 cell viability (***P<0.001, one-way ANOVA with post Newman-Keuls test) (Fig. 1A). Meanwhile, 16, 24 and 48 h 10−7 mol/l nicotine treatment augmented Raw264.7 cell proliferation to 137.5, 118.7 and 126.7% respectively (Fig. 1C). PCNA protein determination also showed that nicotine treatment upregulated PCNA expression in Raw264.7 cells (Fig. 1E). Cell viability and PCNA expression investigations in El4 cells presented similar results (Fig. 1B, D and F). These results illustrate that nicotine augments cell proliferation in both a concentration and period manner.

Figure 1

Nicotine treatment augments cell proliferation in Raw264.7 and El4 cells. (A, C and E) 3×104 Raw264.7 cells or (B, D and F) El4 cells were treated with the indicated concentrations of nicotine for 24 h (A and B) or 10−7 mol/l nicotine for the indicated periods (C–F). Then, the cell viabilities of Raw264.7 (A and C) and El4 (B and D) were determined by CCK-8 assay. Data are given as mean ± SEM, n=4. ***P<0.001, *P<0.05, one way ANOVA with post Newman-Keuls test. Meanwhile, the whole cellular protein of (E) Raw264.7 or (F) El4 stimulated with 10−7 mol/l nicotine for 24 h was extracted and the effects of nicotine on PCNA expression were determined by western blot analysis. β-actin was used as internal control. A representative of three independent experiments is shown (n=3). Ni, nicotine.

α7 nAChR is involved in nicotine-augmented cell proliferation in both Raw264.7 and El4 cells

α7 nAChR, expressed in non-neuronal cells such as monocytes and endothelial cells, is one of the most abundant nicotinic acetylcholine receptors (11). To investigate the role of α7 nAChR in nicotine-increased cell proliferation, Raw264.7 and El4 cells were pretreated with α7 nAChR specific antagonist α-bungarotoxin or non-specific antagonist tubocurarine chloride prior to nicotine treatment. Then, cell viability, α7 nAChR and PCNA expression were determined by CCK-8 assay and western blot analysis, respectively. The results showed that compared with vehicle-treated cells, nicotine treatment significantly enhanced cell viability in both Raw264.7 and El4 cells (Fig. 2A and B). The pretreatment of α-bungarotoxin or tubocurarine chloride clearly abolished the effect of nicotine on cell viability. For example, the pretreatment of α-bungarotoxin or tubocurarine chloride achieved ~83 and 73% inhibitory rate, respectively, in Raw264.7 cells (***P<0.001, one-way ANOVA with post Newman-Keuls test). As nicotine significantly upregulated α7 nAChR and PCNA expression in both Raw264.7 and El4 cells, the preincubation of α-bungarotoxin or tubocurarine chloride abolished the effect of nicotine on α7 nAChR and PCNA expression (Fig. 2C and D). These data indicate that the upregulation of α7 nAChR induced by nicotine treatment contributes to nicotine-enhanced cell proliferation abilities.

Figure 2

α7 nAChR is involved in nicotine-augmented cell proliferation in Raw264.7 and El4 cells. To explore the role of α7 nAChR in nicotine-augmented cell proliferation, Raw264.7 and El4 cells were pretreated with 1 μg/ml tubocurarine chloride or α-bungarotoxin prior to 10−7 mol/l nicotine stimulation. Cell viabilities of (A) Raw264.7 and (B) El4 cells were determined by CCK-8 assay. Data are given as mean ± SEM, n=4. ***P<0.001, one way ANOVA with post Newman-Keuls test. PCNA and α7 nAChR expression of (C) Raw264.7 and (D) El4 cells was determined by western blot analysis. β-actin was used as internal control. A representative of three independent experiments is shown (n=3). BTX, α-bungarotoxin; TC, tubocurarine chloride.

Nicotine treatment upregulates anti-apoptotic protein Mcl-1 and Bcl-2 expression in Raw264.7 and El4 cells

To explore the effect of nicotine on anti-apoptotic protein Mcl-1 and Bcl-2 expression, Raw264.7 and El4 cells were treated with 10−7M nicotine for indicated periods, the expression of Mcl-1 and Bcl-2 was determined by western blot analysis. The results showed that the expression of Mcl-1 and Bcl-2 was continuously augmented by nicotine treatment in both Raw264.7 (Fig. 3A) and El4 (Fig. 3B) cells, indicating that nicotine treatment might achieve anti-apoptotic effects on these cells.

Figure 3

Nicotine treatment upregulates Mcl-1 and Bcl-2 expression in Raw264.7 and El4 cells. To explore the effects of nicotine on anti-apoptotic protein Mcl-1 and Bcl-2 expression, 2×107 (A) Raw264.7 and (B) El4 cells treated with 10−7 mol/l nicotine for the indicated periods and whole cellular protein was extracted. The effect of nicotine on Mcl-1 or Bcl-2 expression in (A) Raw264.7 and (B) El4 cells was determined by western blot analysis. β-actin was used as internal control. A representative of three independent experiments is shown (n=3). Ni, nicotine.

α7 nAChR is involved in nicotine-inhibited cisplatin-induced caspase-3 activation in both Raw264.7 and El4 cells

To investigate the role of α7 nAChR in nicotine-mediated anti-apoptotic effects, Raw264.7 and El4 cells were treated with α-bungarotoxin or tubocurarine chloride prior to nicotine stimulation, the cleaved caspase-3 was determined by western blot analysis. The results showed that compared with cisplatin-treated cells, nicotine treatment significantly inhibited cisplatin-induced cleaved caspase-3 in both Raw264.7 (Fig. 4A) and El4 (Fig. 4B) cells. Notably, the effect of nicotine on cisplatin-induced caspase-3 activation was efficiently abolished by the pretreatment of α-bungarotoxin or tubocurarine chloride (Fig. 4), indicating that the upregulation of α7 nAChR induced by nicotine contributed to nicotine-mediated anti-apoptotic effects.

Figure 4

α7 nAChR is involved in nicotine-decreased cisplatin-induced caspase-3 activation in Raw264.7 and El4 cells. To explore the role of α7 nAChR in nicotine-mediated anti-apoptotic effect, 2×107 Raw264.7 or El4 cells were pretreated with tubocurarine chloride or α-bungarotoxin prior to 10−7 mol/l nicotine stimulation which was further treated with 1 μg/ml cisplatin. The cleaved caspase-3 of (A) Raw264.7 and (B) El4 cells was assessed by western blot analysis. A representative of three independent experiments is shown (n=3). β-actin was used as internal control. BTX, α-bungarotoxin; TC, tubocurarine chloride; DDP, cisplatin.

The mitochondrial translocation of Bax is involved in nicotine-inhibited cisplatin-induced cytochrome c release in Raw264.7 cells

To investigate the role of Bax translocation in nicotine-mediated anti-apoptotic effects, Raw264.7 cells were stimulated with nicotine prior to cisplatin treatment and mitochondria/cytosol fraction was extracted. The mitochondrial translocation of Bax and the release of cytochrome c were determined by western blot analysis. The results showed that the decreased cytochrome c level and increased Bax existence in mitochondria was derived from cisplatin treatment (Fig. 5A). On the other hand, cisplatin stimulation was found to augment cytochrome c level and decrease Bax expression in cytoplasm (Fig. 5B), indicating that mitochondrial translocation of Bax was involved in cisplatin-induced cytochrome c release in Raw264.7 cells. The pretreatment of nicotine abolished cisplatin’s effects on Bax translocation and cytochrome c release (Fig. 5). Therefore, nicotine achieved anti-apoptotic effects by attenuating Bax translocation from cytoplasm to mitochondria.

Figure 5

Nicotine attenuates cisplatin-induced mitochondrial translocation of Bax and cytochrome c release in Raw264.7 cells. To investigate the effect of nicotine on cisplatin-induced mitochondrial translocation and cytochrome c release, 2×107 Raw264.7 cells were treated with 10−7 mol/l nicotine prior to cisplatin (1 μg/ml) treatment. Then, (A) mitochondria and (B) cytosol fraction were extracted and the levels of Bax and cytochrome c in both mitochondria and cytoplasm were determined by western blot analysis, respectively. A representative of three independent experiments is shown (n=3). β-actin and Cox IV were used as cytoplasm and mitochondria internal control respectively. DDP, cisplatin.

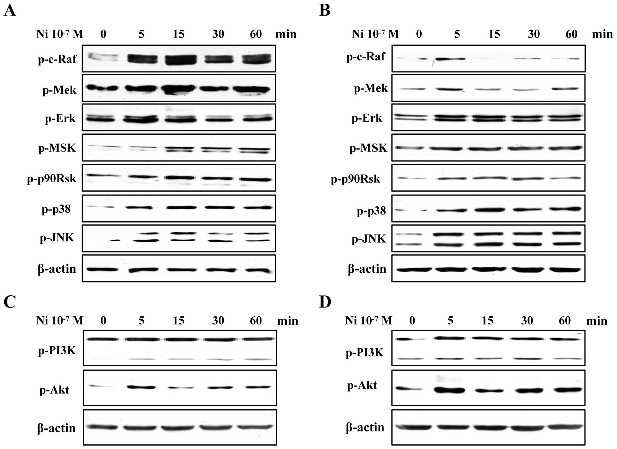
Nicotine activates MAPK and PI3K-Akt pathways in both Raw264.7 and El4 cells

Erk1/2-p38-JNK and PI3K-Akt pathways are reported to be involved in regulating anti-apoptosis protein expression (25–27) and promoting lung and colon cancer cell proliferation (27,28), respectively. To investigate the roles of Erk1/2-p38-JNK and PI3K-Akt pathways in nicotine-mediated anti-apoptotic effects and promoting cell proliferation, Raw264.7 and El4 cells were treated with nicotine and the effects of nicotine on Erk1/2-p38-JNK and PI3K-Akt pathway activation was determined by western blot analysis. The results showed that Erk1/2-p38-JNK kinases and other components of these pathways, such as c-Raf, Mek, MSK and p90Rsk, were clearly activated by nicotine (10−7 M) treatment in both Raw264.7 (Fig. 6A) and El4 (Fig. 6B) cells. Meanwhile, the augmented phosphorylation levels of PI3K p55 (Tyr199), PI3K p85 (Tyr458) and Akt were visible within 5 min and continued to 60 min in both Raw264.7 (Fig. 6C) and El4 cells (Fig. 6D). These results indicate that nicotine treatment activated the MAPK and PI3K-Akt pathways.

Figure 6

Nicotine efficiently activates Erk1/2-p38-JNK and PI3K-Akt pathways in both Raw264.7 and El4 cells. To determine effect of nicotine on MAPK and PI3K-Akt pathway activation, 2×107 Raw264.7 (A and C) or El4 (B and D) cells were treated with 10−7 mol/l nicotine for the indicated periods and the phosphorylation of Erk1/2, MSK, p90rsk, Mek, c-raf, p38, SAPK/JNK (A and B) and PI3K, Akt (C and D) were determined by western blot analysis. β-actin was used as internal control. A representative of three independent experiments is shown (n=3). Ni, nicotine.

The PI3K-Akt pathway is involved in nicotine-augmented cell proliferation

To investigate the role of the PI3K-Akt pathway in nicotine-augmented cell proliferation, Raw264.7 and El4 cells were pretreated with PI3K-Akt kinase inhibitor prior to nicotine stimulation and cell viabilities were determined by CCK-8 assay. The results showed that while nicotine obviously augmented both Raw264.7 and El4 cell proliferation, the inhibition of PI3K kinase activities which was derived from LY294002 pretreatment achieved 36.6 and 44.9% inhibitory rates in Raw264.7 (Fig. 7A) and El4 (Fig. 7B) cells, respectively. Meanwhile, the usage of Wortmanin which is an inhibitor of Akt kinase also abolished the effects of nicotine on cell proliferation, which revealed 42.1 and 79.5% inhibitory rates in Raw264.7 (Fig. 7A) and El4 (Fig. 7B) cells, respectively (***P<0.001, one-way ANOVA with post Newman-Keuls test) (Fig. 7). Hence, nicotine-induced PI3K-Akt activation is involved in the nicotine effects on cell proliferation.

Figure 7

PI3K-Akt pathway activation is involved in nicotine-augmented cell proliferation in Raw264.7 and El4 cells. To explore the role of PI3K-Akt pathway in nicotine-augmented cell proliferation, 5×104 Raw264.7 or El4 cells were pretreated with 10 μM LY294002 or Wortmanin prior to 10−7 mol/l nicotine stimulation. Then, cell viabilities of (A) Raw264.7 or (B) El4 cells were determined by CCK-8 assay. Data are given as mean ± SEM, n=4. ***P<0.001, one way ANOVA with post Newman-Keuls test. A representative of three independent experiments is shown (n=3).

The Erk-JNK pathway is involved in nicotine-mediated anti-apoptotic effects

To explore the role of Erk-p38-JNK MAPK pathway in nicotine-augmented anti-apoptotic effects, Raw264.7 and EL4 cells were pretreated with kinase inhibitors prior to nicotine stimulation and cell apoptosis was determined by flow cytometry. The results showed that while nicotine pretreatment decreased cisplatin-induced apoptosis from 51.2 to 33.8% and 24.5 to 12.6% in Raw264.7 (Fig. 8A) and El4 (Fig. 8B) cells, respectively, the usages of Erk kinase U0126 and JNK kinase SP600125 clearly abolished the effects of nicotine on cell anti-apoptosis in both Raw264.7 (Fig. 8A) and El4 (Fig. 8B) cells, respectively (***P<0.001, one-way ANOVA with post Newman-Keuls test) (Fig. 8). The inhibition of p38 kinase activities by the usage of SB203580 did not reverse nicotine’s effects on cell apoptosis, indicating that p38 phosphorylation is not associated with nicotine’s anti-apoptotic function. These results indicate that the Erk-JNK MAPK pathway is involved in nicotine-augmented anti-apoptotic effects.

Figure 8

The phosphorylation of Erk1/2-JNK is responsible for nicotine-mediated anti-apoptotic effects in Raw264.7 and El4 cells. To explore the role of Erk1/2, JNK and p38 in nicotine-mediated anti-apoptotic effects, 5×104 Raw264.7 (A) or El4 (B) cells were pre-incubated with 10 μM U0126, SB203580 or SP600125 prior to 10−7 mol/l nicotine stimulation which were further treated with 2 μg/ml cisplatin. Then, cell apoptosis was assessed by flow cytometry with Annexin V/PI staining. Data are given as mean ± SEM, n=4. ***P<0.001; **P<0.01, one way ANOVA with post Newman-Keuls test. A representative of three independent experiments is shown (n=3).

Discussion

In recent years, our studies have focused on the effect of neurotransmitter on immune cells and we have found that nicotine, an acetylcholine agonist, could activate bone marrow-derived dendritic cells and have potential antitumor effects (7–9). Further exploration showed that the biological effect of nicotine on lymphocyte is dependent on nicotine dose, duration of exposure and lipopolysaccharide existing in experiment system (23). However, other studies indicated that inhibition of α7 nACh mediated signaling could reduce tumorigenicity (18) and facilitate lung cancer treatment (19). Hence, the exact roles of α7 nACh in acetylcholine-mediated biological characterizations remain controversial and require further investigation. In the present study, Erk-JNK and PI3K-Akt signaling pathways were found to be respectively responsible for α7 nACh-mediated cell proliferation and anti-apoptotic effects which were supported by the following data; firstly, nicotine-augmented cell viabilities, upregulated α7 nACh and PCNA expression were obviously abrogated by the pretreatment of α7 nAChR antagonist α-bungarotoxin and tubocurarine chloride; secondly, nicotine attenuated cisplatin-induced caspase-3 activation and cytochrome c release from mitochondria were reversed by the treatment of α-bungarotoxin or tubocurarine chloride. Further studies showed that nicotine could efficiently activate the Erk-JNK-p38 and PI3K-Akt signaling pathway. The inhibition of Erk-JNK MAPK activities significantly decreased nicotine-mediated anti-apoptotic effects. Of note, the downregulation of nicotine-augmented proliferation abilities was achieved by the usage of PI3K-Akt kinase inhibitor.

AChRs, which is an integral membrane protein that responds to the binding of acetylcholine, can be classified as nAChR and mAChR according to their relative affinities and sensitivities to nicotine or muscarine. As nAChRs are widely expressed by nervous system (10) and non-neuronal cells (11), α1, α3, α5 nAChRs has been found to regulate cell proliferation and apoptosis (12–14). In the present study, the pretreatment of α7 nAChR specific antagonist α-bungarotoxin or non-specific antagonist tubocurarine chloride not only abrogated nicotine-augmented α7 nAChR upregulation, cell proliferation (Fig. 2) but also reversed nicotine-mediated anti-apoptotic effects (Fig. 4), indicating that α7 nAChR might be mainly acetylcholine receptor in Raw264.7 and El4 cells. However, it should be noted that α7 nAChR, which was found to be involved in tumor migration (15,16) and PPARβ/δ expression (17), has also been documented to facilitate dendritic cell-mediated antitumor immune response (7–9). Hence, the exact roles of α7 nAChR and other AChRs in nicotine-mediated proliferation and anti-apoptotic effects require further investigation.

Bcl-2 and Mcl-1, which belong to the Bcl-2 family, are located in the outer mitochondrial membrane and protect cells against a variety of apoptotic stimuli (29). In the present study, both Bcl-2 and Mcl-1 expression was upregulated by nicotine treatment in both Raw264.7 and El4 cells (Fig. 3). Hence, nicotine clearly inhibited cisplatin-induced mitochondrial dependent caspase-3 activation (Fig. 4) and cytochrome c release (Fig. 5). The decreased Bax level in mitochondria and increased Bax level in cytoplasm induced by nicotine stimulation (Fig. 5) indicated that Bax translocation from cytoplasm to mitochondria might be a key step involved in nicotine-mediated anti-apoptotic effects. Upon apoptotic signalling, Bak/Bax translocated to the mitochondrial outer membrane, inserted its transmembrane domain, oligomerized and released cytochrome c (30). Cytochrome c then binds to and penetrates lipid structures which contain the inner mitochondrial membrane lipid cardiolipin, leading to protein conformational changes and increased peroxidase activity (31). Hence, the exact mechanisms of Bax in nicotine decreased cytochrome c release remain to be further examined.

Erk-JNK, one of the vital signal transduction pathways transmitting and converting stress signaling into apoptosis signaling (32), has been reported to upregulate Fas ligand expression (33) and is necessary for mitochondrial mediated apoptosis (34). Meanwhile, JNK activation playing an anti-apoptotic function was also documented (35). In the present study, the inhibition of Erk-JNK kinase abrogated nicotine-mediated anti-apoptotic effects in both Raw264.7 and El4 cells (Fig. 8), indicating that Erk-JNK phosphorylation facilitated cell survival in Raw264.7 and El4 cells. Although p38 could be efficiently activated (Fig. 6), the preincubation of SB203580 could not reverse nicotine-mediated anti-apoptotic effects, indicating that p38 phosphorylation is not associated with the anti-apoptotic function of nicotine.

Collectively, our study revealed that nicotine could achieve α7 nAChR-mediated proliferation effects by activating the PI3K-Akt pathway. Nicotine’s anti-apoptotic effect might result from Bcl-2 family protein upregulation and Erk-JNK MAPK kinase phosphorylation, which provides potential molecules to deal with nicotine-associated human diseases.

Acknowledgements

This study was supported by grants from the National Natural Science Foundation of China (No. 81273203), the Natural Science Foundation of Xiamen (No. 3502Z20104002) and a grant from the National Laboratory for Oncogenes and Related Genes of China (90-08-02).

References

1 

Printz C: Gap narrows in African American smoking-related cancers, increases in breast and colorectal cancers. Cancer. 117:23572011. View Article : Google Scholar : PubMed/NCBI

2 

Li S, Peng Q, Chen Y, You J, Chen Z, Deng Y, Lao X, Wu H, Qin X and Zeng Z: DNA repair gene XRCC1 polymorphisms, smoking, and bladder cancer risk: a meta-analysis. PLoS One. 8:e734482013. View Article : Google Scholar : PubMed/NCBI

3 

Albuquerque EX, Pereira EF, Alkondon M and Rogers SW: Mammalian nicotinic acetylcholine receptors: from structure to function. Physiol Rev. 89:73–120. 2009. View Article : Google Scholar : PubMed/NCBI

4 

Cardinale A, Nastrucci C, Cesario A and Russo P: Nicotine: specific role in angiogenesis, proliferation and apoptosis. Crit Rev Toxicol. 42:68–89. 2012. View Article : Google Scholar : PubMed/NCBI

5 

Tournier JM and Birembaut P: Nicotinic acetylcholine receptors and predisposition to lung cancer. Curr Opin Oncol. 23:83–87. 2011. View Article : Google Scholar : PubMed/NCBI

6 

Guo L, Li L, Wang W, Pan Z, Zhou Q and Wu Z: Mitochondrial reactive oxygen species mediates nicotine-induced hypoxia-inducible factor-1α expression in human non-small cell lung cancer cells. Biochim Biophys Acta. 1822:852–861. 2012.PubMed/NCBI

7 

Jin HJ, Li HT, Sui HX, Xue MQ, Wang YN, Wang JX and Gao FG: Nicotine stimulated bone marrow-derived dendritic cells could augment HBV specific CTL priming by activating PI3K-Akt pathway. Immunol Lett. 146:40–49. 2012. View Article : Google Scholar : PubMed/NCBI

8 

Jin HJ, Sui HX, Wang YN and Gao FG: Nicotine up-regulated 4-1BBL expression by activating Mek-PI3K pathway augments the efficacy of bone marrow-derived dendritic cell vaccination. J lin Immunol. 33:246–254. 2013. View Article : Google Scholar : PubMed/NCBI

9 

Gao FG, Wan DF and Gu JR: Ex vivo nicotine stimulation augments the efficacy of therapeutic bone marrow-derived dendritic cell vaccination. Clin Cancer Res. 13:3706–3712. 2007. View Article : Google Scholar

10 

Changeux JP: The nicotinic acetylcholine receptor: the founding father of the pentameric ligand-gated ion channel superfamily. J Biol Chem. 287:40207–40215. 2012. View Article : Google Scholar : PubMed/NCBI

11 

Matteoli G and Boeckxstaens GE: The vagal innervation of the gut and immune homeostasis. Gut. 62:1214–1222. 2013. View Article : Google Scholar : PubMed/NCBI

12 

Al-Wadei MH, Al-Wadei HA and Schuller HM: Pancreatic cancer cells and normal pancreatic duct epithelial cells express an autocrine catecholamine loop that is activated by nicotinic acetylcholine receptors α3, α5, and α7. Mol Cancer Res. 10:239–249. 2012.PubMed/NCBI

13 

Al-Wadei MH, Al-Wadei HA and Schuller HM: Effects of chronic nicotine on the autocrine regulation of pancreatic cancer cells and pancreatic duct epithelial cells by stimulatory and inhibitory neurotransmitters. Carcinogenesis. 33:1745–1753. 2012. View Article : Google Scholar : PubMed/NCBI

14 

Wang S, Takayama K, Tanaka K, Takeshita M, Nakagaki N, Ijichi K, Li H and Nakanishi Y: Nicotine induces resistance to epidermal growth factor receptor tyrosine kinase inhibitor by α1 nicotinic acetylcholine receptor-mediated activation in PC9 cells. J Thorac Oncol. 8:719–725. 2013.

15 

Lien YC, Wang W, Kuo LJ, Liu JJ, Wei PL, Ho YS, Ting WC, Wu CH and Chang YJ: Nicotine promotes cell migration through alpha7 nicotinic acetylcholine receptor in gastric cancer cells. Ann Surg Oncol. 18:2671–2679. 2011. View Article : Google Scholar : PubMed/NCBI

16 

Wei PL, Kuo LJ, Huang MT, Ting WC, Ho YS, Wang W, An J and Chang YJ: Nicotine enhances colon cancer cell migration by induction of fibronectin. Ann Surg Oncol. 18:1782–1790. 2011. View Article : Google Scholar : PubMed/NCBI

17 

Sun X, Ritzenthaler JD, Zhong X, Zheng Y, Roman J and Han S: Nicotine stimulates PPARβ/δ expression in human lung carcinoma cells through activation of PI3K/mTOR and suppression of AP-2α. Cancer Res. 69:6445–6453. 2009.

18 

Paleari L, Sessa F, Catassi A, Servent D, Mourier G, Doria-Miglietta G, Ognio E, Cilli M, Dominioni L, Paolucci M, Calcaterra A, Cesario A, Margaritora S, Granone P and Russo P: Inhibition of non-neuronal α7-nicotinic receptor reduces tumorigenicity in A549 NSCLC xenografts. Int J Cancer. 125:199–211. 2009.

19 

Paleari L, Negri E, Catassi A, Cilli M, Servent D, D’Angelillo R, Cesario A, Russo P and Fini M: Inhibition of nonneuronal α7-nicotinic receptor for lung cancer treatment. Am J Respir Crit Care Med. 179:1141–1150. 2009.

20 

Shi D, Guo W, Chen W, Fu L, Wang J, Tian Y, Xiao X, Kang T, Huang W and Deng W: Nicotine promotes proliferation of human nasopharyngeal carcinoma cells by regulating α7AChR, ERK, HIF-1α and VEGF/PEDF signaling. PLoS One. 7:e438982012.PubMed/NCBI

21 

Cesario A, Russo P, Nastrucci C and Granone P: Is α7-nAChR a possible target for lung cancer and malignant pleural mesothelioma treatment? Curr Drug Targets. 13:688–694. 2012.

22 

Brown KC, Lau JK, Dom AM, Witte TR, Luo H, Crabtree CM, Shah YH, Shiflett BS, Marcelo AJ, Proper NA, Hardman WE, Egleton RD, Chen YC, Mangiarua EI and Dasgupta P: MG624, an α7-nAChR antagonist, inhibits angiogenesis via the Egr-1/FGF2 pathway. Angiogenesis. 15:99–114. 2012.

23 

Hu SX, Sui HX, Jin HJ, Ni XY, Liu XX, Xue MQ, Zhang Y and Gao FG: Lipopolysaccharide and dose of nicotine determine the effects of nicotine on murine bone marrow-derived dendritic cells. Mol Med Rep. 5:1005–1010. 2012.PubMed/NCBI

24 

Zhang SH and Huang Q: Etoposide induces apoptosis via the mitochondrial- and caspase-dependent pathways and in non-cancer stem cells in Panc-1 pancreatic cancer cells. Oncol Rep. 30:2765–2770. 2013.PubMed/NCBI

25 

Park HY, Kim GY, Kwon TK, Hwang HJ, Kim ND, Yoo YH and Choi YH: Apoptosis induction of human leukemia U937 cells by 7,8-dihydroxyflavone hydrate through modulation of the Bcl-2 family of proteins and the MAPKs signaling pathway. Mutat Res. 751:101–108. 2013. View Article : Google Scholar : PubMed/NCBI

26 

Zhu X, Jiang Y, Shan PF, Shen J, Liang QH, Cui RR, Liu Y, Liu GY, Wu SS, Lu Q, Xie H, Liu YS, Yuan LQ and Liao EY: Vaspin attenuates the apoptosis of human osteoblasts through ERK signaling pathway. Amino Acids. 44:961–968. 2013. View Article : Google Scholar : PubMed/NCBI

27 

Chi J, Zhu Y, Fu Y, Liu Y, Zhang X, Han L, Yin X and Zhao D: Cyclosporin A induces apoptosis in H9c2 cardiomyoblast cells through calcium-sensing receptor-mediated activation of the ERK MAPK and p38 MAPK pathways. Mol Cell Biochem. 367:227–236. 2012. View Article : Google Scholar : PubMed/NCBI

28 

Cucina A, Dinicola S, Coluccia P, Proietti S, D’Anselmi F, Pasqualato A and Bizzarri M: Nicotine stimulates proliferation and inhibits apoptosis in colon cancer cell lines through activation of survival pathways. J Surg Res. 178:233–241. 2012. View Article : Google Scholar : PubMed/NCBI

29 

Kale J, Liu Q, Leber B and Andrews DW: Shedding light on apoptosis at subcellular membranes. Cell. 151:1179–1184. 2012. View Article : Google Scholar : PubMed/NCBI

30 

Ferrer PE, Frederick P, Gulbis JM, Dewson G and Kluck RM: Translocation of a Bak C-terminus mutant from cytosol to mitochondria to mediate cytochrome C release: implications for Bak and Bax apoptotic function. PLoS One. 7:e315102012. View Article : Google Scholar : PubMed/NCBI

31 

Bergstrom CL, Beales PA, Lv Y, Vanderlick TK and Groves JT: Cytochrome c causes pore formation in cardiolipin-containing membranes. Proc Natl Acad Sci USA. 110:6269–6274. 2013. View Article : Google Scholar : PubMed/NCBI

32 

Li Y, Chen G, Zhao J, Nie X, Wan C, Liu J, Duan Z and Xu G: 2,3,7,8-Tetrachlorodibenzo-p-dioxin (TCDD) induces microglial nitric oxide production and subsequent rat primary cortical neuron apoptosis through p38/JNK MAPK pathway. Toxicology. 312:132–141. 2013. View Article : Google Scholar : PubMed/NCBI

33 

Davis RJ: Signal transduction by the JNK group of MAP kinases. Cell. 103:239–252. 2000. View Article : Google Scholar : PubMed/NCBI

34 

Faris M, Kokot N, Latinis K, Kasibhatla S, Green DR, Koretzky GA and Nel A: The c-Jun N-terminal kinase cascade plays a role in stress-induced apoptosis in Jurkat cells by up-regulating Fas ligand expression. J Immunol. 160:134–144. 1998.PubMed/NCBI

35 

Minamino T, Christou H, Hsieh CM, Liu Y, Dhawan V, Abraham NG, Perrella MA, Mitsialis SA and Kourembanas S: Targeted expression of heme oxygenase-1 prevents the pulmonary inflammatory and vascular responses to hypoxia. Proc Natl Acad Sci USA. 98:8798–8803. 2001. View Article : Google Scholar : PubMed/NCBI

Related Articles

  • Abstract
  • View
  • Download
  • Twitter
Copy and paste a formatted citation
Spandidos Publications style
Wang YY, Liu Y, Ni XY, Bai ZH, Chen QY, Zhang Y and Gao FG: Nicotine promotes cell proliferation and induces resistance to cisplatin by α7 nicotinic acetylcholine receptor‑mediated activation in Raw264.7 and El4 cells. Oncol Rep 31: 1480-1488, 2014.
APA
Wang, Y.Y., Liu, Y., Ni, X.Y., Bai, Z.H., Chen, Q.Y., Zhang, Y., & Gao, F.G. (2014). Nicotine promotes cell proliferation and induces resistance to cisplatin by α7 nicotinic acetylcholine receptor‑mediated activation in Raw264.7 and El4 cells. Oncology Reports, 31, 1480-1488. https://doi.org/10.3892/or.2013.2962
MLA
Wang, Y. Y., Liu, Y., Ni, X. Y., Bai, Z. H., Chen, Q. Y., Zhang, Y., Gao, F. G."Nicotine promotes cell proliferation and induces resistance to cisplatin by α7 nicotinic acetylcholine receptor‑mediated activation in Raw264.7 and El4 cells". Oncology Reports 31.3 (2014): 1480-1488.
Chicago
Wang, Y. Y., Liu, Y., Ni, X. Y., Bai, Z. H., Chen, Q. Y., Zhang, Y., Gao, F. G."Nicotine promotes cell proliferation and induces resistance to cisplatin by α7 nicotinic acetylcholine receptor‑mediated activation in Raw264.7 and El4 cells". Oncology Reports 31, no. 3 (2014): 1480-1488. https://doi.org/10.3892/or.2013.2962
Copy and paste a formatted citation
x
Spandidos Publications style
Wang YY, Liu Y, Ni XY, Bai ZH, Chen QY, Zhang Y and Gao FG: Nicotine promotes cell proliferation and induces resistance to cisplatin by α7 nicotinic acetylcholine receptor‑mediated activation in Raw264.7 and El4 cells. Oncol Rep 31: 1480-1488, 2014.
APA
Wang, Y.Y., Liu, Y., Ni, X.Y., Bai, Z.H., Chen, Q.Y., Zhang, Y., & Gao, F.G. (2014). Nicotine promotes cell proliferation and induces resistance to cisplatin by α7 nicotinic acetylcholine receptor‑mediated activation in Raw264.7 and El4 cells. Oncology Reports, 31, 1480-1488. https://doi.org/10.3892/or.2013.2962
MLA
Wang, Y. Y., Liu, Y., Ni, X. Y., Bai, Z. H., Chen, Q. Y., Zhang, Y., Gao, F. G."Nicotine promotes cell proliferation and induces resistance to cisplatin by α7 nicotinic acetylcholine receptor‑mediated activation in Raw264.7 and El4 cells". Oncology Reports 31.3 (2014): 1480-1488.
Chicago
Wang, Y. Y., Liu, Y., Ni, X. Y., Bai, Z. H., Chen, Q. Y., Zhang, Y., Gao, F. G."Nicotine promotes cell proliferation and induces resistance to cisplatin by α7 nicotinic acetylcholine receptor‑mediated activation in Raw264.7 and El4 cells". Oncology Reports 31, no. 3 (2014): 1480-1488. https://doi.org/10.3892/or.2013.2962
Follow us
  • Twitter
  • LinkedIn
  • Facebook
About
  • Spandidos Publications
  • Careers
  • Cookie Policy
  • Privacy Policy
How can we help?
  • Help
  • Live Chat
  • Contact
  • Email to our Support Team