Spandidos Publications Logo
  • About
    • About Spandidos
    • Aims and Scopes
    • Abstracting and Indexing
    • Editorial Policies
    • Reprints and Permissions
    • Job Opportunities
    • Terms and Conditions
    • Contact
  • Journals
    • All Journals
    • Oncology Letters
      • Oncology Letters
      • Information for Authors
      • Editorial Policies
      • Editorial Board
      • Aims and Scope
      • Abstracting and Indexing
      • Bibliographic Information
      • Archive
    • International Journal of Oncology
      • International Journal of Oncology
      • Information for Authors
      • Editorial Policies
      • Editorial Board
      • Aims and Scope
      • Abstracting and Indexing
      • Bibliographic Information
      • Archive
    • Molecular and Clinical Oncology
      • Molecular and Clinical Oncology
      • Information for Authors
      • Editorial Policies
      • Editorial Board
      • Aims and Scope
      • Abstracting and Indexing
      • Bibliographic Information
      • Archive
    • Experimental and Therapeutic Medicine
      • Experimental and Therapeutic Medicine
      • Information for Authors
      • Editorial Policies
      • Editorial Board
      • Aims and Scope
      • Abstracting and Indexing
      • Bibliographic Information
      • Archive
    • International Journal of Molecular Medicine
      • International Journal of Molecular Medicine
      • Information for Authors
      • Editorial Policies
      • Editorial Board
      • Aims and Scope
      • Abstracting and Indexing
      • Bibliographic Information
      • Archive
    • Biomedical Reports
      • Biomedical Reports
      • Information for Authors
      • Editorial Policies
      • Editorial Board
      • Aims and Scope
      • Abstracting and Indexing
      • Bibliographic Information
      • Archive
    • Oncology Reports
      • Oncology Reports
      • Information for Authors
      • Editorial Policies
      • Editorial Board
      • Aims and Scope
      • Abstracting and Indexing
      • Bibliographic Information
      • Archive
    • Molecular Medicine Reports
      • Molecular Medicine Reports
      • Information for Authors
      • Editorial Policies
      • Editorial Board
      • Aims and Scope
      • Abstracting and Indexing
      • Bibliographic Information
      • Archive
    • World Academy of Sciences Journal
      • World Academy of Sciences Journal
      • Information for Authors
      • Editorial Policies
      • Editorial Board
      • Aims and Scope
      • Abstracting and Indexing
      • Bibliographic Information
      • Archive
    • International Journal of Functional Nutrition
      • International Journal of Functional Nutrition
      • Information for Authors
      • Editorial Policies
      • Editorial Board
      • Aims and Scope
      • Abstracting and Indexing
      • Bibliographic Information
      • Archive
    • International Journal of Epigenetics
      • International Journal of Epigenetics
      • Information for Authors
      • Editorial Policies
      • Editorial Board
      • Aims and Scope
      • Abstracting and Indexing
      • Bibliographic Information
      • Archive
    • Medicine International
      • Medicine International
      • Information for Authors
      • Editorial Policies
      • Editorial Board
      • Aims and Scope
      • Abstracting and Indexing
      • Bibliographic Information
      • Archive
  • Articles
  • Information
    • Information for Authors
    • Information for Reviewers
    • Information for Librarians
    • Information for Advertisers
    • Conferences
  • Language Editing
Spandidos Publications Logo
  • About
    • About Spandidos
    • Aims and Scopes
    • Abstracting and Indexing
    • Editorial Policies
    • Reprints and Permissions
    • Job Opportunities
    • Terms and Conditions
    • Contact
  • Journals
    • All Journals
    • Biomedical Reports
      • Information for Authors
      • Editorial Policies
      • Editorial Board
      • Aims and Scope
      • Abstracting and Indexing
      • Bibliographic Information
      • Archive
    • Experimental and Therapeutic Medicine
      • Information for Authors
      • Editorial Policies
      • Editorial Board
      • Aims and Scope
      • Abstracting and Indexing
      • Bibliographic Information
      • Archive
    • International Journal of Epigenetics
      • Information for Authors
      • Editorial Policies
      • Editorial Board
      • Aims and Scope
      • Abstracting and Indexing
      • Bibliographic Information
      • Archive
    • International Journal of Functional Nutrition
      • Information for Authors
      • Editorial Policies
      • Editorial Board
      • Aims and Scope
      • Abstracting and Indexing
      • Bibliographic Information
      • Archive
    • International Journal of Molecular Medicine
      • Information for Authors
      • Editorial Policies
      • Editorial Board
      • Aims and Scope
      • Abstracting and Indexing
      • Bibliographic Information
      • Archive
    • International Journal of Oncology
      • Information for Authors
      • Editorial Policies
      • Editorial Board
      • Aims and Scope
      • Abstracting and Indexing
      • Bibliographic Information
      • Archive
    • Medicine International
      • Information for Authors
      • Editorial Policies
      • Editorial Board
      • Aims and Scope
      • Abstracting and Indexing
      • Bibliographic Information
      • Archive
    • Molecular and Clinical Oncology
      • Information for Authors
      • Editorial Policies
      • Editorial Board
      • Aims and Scope
      • Abstracting and Indexing
      • Bibliographic Information
      • Archive
    • Molecular Medicine Reports
      • Information for Authors
      • Editorial Policies
      • Editorial Board
      • Aims and Scope
      • Abstracting and Indexing
      • Bibliographic Information
      • Archive
    • Oncology Letters
      • Information for Authors
      • Editorial Policies
      • Editorial Board
      • Aims and Scope
      • Abstracting and Indexing
      • Bibliographic Information
      • Archive
    • Oncology Reports
      • Information for Authors
      • Editorial Policies
      • Editorial Board
      • Aims and Scope
      • Abstracting and Indexing
      • Bibliographic Information
      • Archive
    • World Academy of Sciences Journal
      • Information for Authors
      • Editorial Policies
      • Editorial Board
      • Aims and Scope
      • Abstracting and Indexing
      • Bibliographic Information
      • Archive
  • Articles
  • Information
    • For Authors
    • For Reviewers
    • For Librarians
    • For Advertisers
    • Conferences
  • Language Editing
Login Register Submit
  • This site uses cookies
  • You can change your cookie settings at any time by following the instructions in our Cookie Policy. To find out more, you may read our Privacy Policy.

    I agree
Search articles by DOI, keyword, author or affiliation
Search
Advanced Search
presentation
Oncology Reports
Join Editorial Board Propose a Special Issue
Print ISSN: 1021-335X Online ISSN: 1791-2431
Journal Cover
August-2014 Volume 32 Issue 2

Full Size Image

Sign up for eToc alerts
Recommend to Library

Journals

International Journal of Molecular Medicine

International Journal of Molecular Medicine

International Journal of Molecular Medicine is an international journal devoted to molecular mechanisms of human disease.

International Journal of Oncology

International Journal of Oncology

International Journal of Oncology is an international journal devoted to oncology research and cancer treatment.

Molecular Medicine Reports

Molecular Medicine Reports

Covers molecular medicine topics such as pharmacology, pathology, genetics, neuroscience, infectious diseases, molecular cardiology, and molecular surgery.

Oncology Reports

Oncology Reports

Oncology Reports is an international journal devoted to fundamental and applied research in Oncology.

Experimental and Therapeutic Medicine

Experimental and Therapeutic Medicine

Experimental and Therapeutic Medicine is an international journal devoted to laboratory and clinical medicine.

Oncology Letters

Oncology Letters

Oncology Letters is an international journal devoted to Experimental and Clinical Oncology.

Biomedical Reports

Biomedical Reports

Explores a wide range of biological and medical fields, including pharmacology, genetics, microbiology, neuroscience, and molecular cardiology.

Molecular and Clinical Oncology

Molecular and Clinical Oncology

International journal addressing all aspects of oncology research, from tumorigenesis and oncogenes to chemotherapy and metastasis.

World Academy of Sciences Journal

World Academy of Sciences Journal

Multidisciplinary open-access journal spanning biochemistry, genetics, neuroscience, environmental health, and synthetic biology.

International Journal of Functional Nutrition

International Journal of Functional Nutrition

Open-access journal combining biochemistry, pharmacology, immunology, and genetics to advance health through functional nutrition.

International Journal of Epigenetics

International Journal of Epigenetics

Publishes open-access research on using epigenetics to advance understanding and treatment of human disease.

Medicine International

Medicine International

An International Open Access Journal Devoted to General Medicine.

Journal Cover
August-2014 Volume 32 Issue 2

Full Size Image

Sign up for eToc alerts
Recommend to Library

  • Article
  • Citations
    • Cite This Article
    • Download Citation
    • Create Citation Alert
    • Remove Citation Alert
    • Cited By
  • Similar Articles
    • Related Articles (in Spandidos Publications)
    • Similar Articles (Google Scholar)
    • Similar Articles (PubMed)
  • Download PDF
  • Download XML
  • View XML
Article

Prognostic factors in Epstein-Barr virus-associated stage I-III gastric carcinoma: Implications for a unique type of carcinogenesis

  • Authors:
    • Shih-Chiang Huang
    • Kwai-Fong Ng
    • Kuang-Hua  Chen
    • Jun‑Te  Hsu
    • Keng-Hao Liu
    • Ta-Sen  Yeh
    • Tse-Ching  Chen
  • View Affiliations / Copyright

    Affiliations: Department of Pathology, Chang Gung Memorial Hospital, Chang Gung University, College of Medicine, Guishan, Taoyuan 333, Taiwan, R.O.C., Department of Surgery, Chang Gung Memorial Hospital, Chang Gung University, College of Medicine, Guishan, Taoyuan 333, Taiwan, R.O.C.
  • Pages: 530-538
    |
    Published online on: June 5, 2014
       https://doi.org/10.3892/or.2014.3234
  • Expand metrics +
Metrics: Total Views: 0 (Spandidos Publications: | PMC Statistics: )
Metrics: Total PDF Downloads: 0 (Spandidos Publications: | PMC Statistics: )
Cited By (CrossRef): 0 citations Loading Articles...

This article is mentioned in:



Abstract

Epstein-Barr virus-associated gastric carcinoma (EBVaGC) has distinct clinicopathological features. However, the prognostic factors remain unclear, particularly in UICC/AJCC stage I-III cancer. We retrospectively enrolled 1,020 patients with stage I-III gastric cancer that received radical gastrectomy with lymphadenectomy. Formalin-fixed, paraffin‑embedded surgical specimens were retrieved to construct tissue microarrays. EBV positivity was identified by in situ hybridization with EBV-encoded small RNA, and the histological classification was reviewed. Fifty-two cases of EBVaGC were identified, exhibiting a male predominance (p=0.003), a higher prevalence in stump cancer (p<0.001), and poorly differentiated carcinoma (p=0.010) compared with the controls. The survival analysis revealed no difference in survival between the EBVaGC cases and the EBV-negative cases (p=0.977). The multivariate analysis showed that EBVaGC cases with a tumor size >5 cm, non-lymphoepithelioma-like carcinoma (LELC), or a lymph node ratio >0.15 had a worse overall survival (hazard ratio 2.884, 12.178 and 19.352; p=0.027, 0.005 and <0.0001, respectively). The depth of tumor invasion and the number of lymph node metastases did not reach statistical significance (p=0.834 and 0.833, respectively). These prognostic factors, tumor size, LELC classification and lymph node ratio, may reflect a unique type of carcinogenesis of EBVaGC and may be considered when selecting high-risk patients for adjuvant treatment.

Introduction

Epstein-Barr virus (EBV) is a ubiquitous γ-herpes virus that maintains a life-long latent infection in B lymphocytes in over 90% of adults following salivary transmission during childhood or adolescence (1). Since its discovery in tumor cells of Burkitt’s lymphoma 40 years ago, EBV has been associated with various types of cancers, including lymphoid neoplasms, nasopharyngeal and gastric epithelial malignancies, and a subset of mesenchymal tumors (1,2). EBV-associated gastric carcinoma (EBVaGC) accounts for ~10% of gastric cancer cases (3–5). Gastric cancer has the fourth highest incidence of all types of cancers worldwide, and the burden of EBVaGC is estimated at 75,000–90,000 new cases annually, representing the largest subpopulation among EBV-related tumors (1,6).

From the viewpoint of the clinical distribution, EBVaGC presents the distinct characteristics of a male preponderance, proximal location and high incidence in stump cancer (3–5,7,8). In fact, EBVaGC is a heterogeneous histological group consisting of lymphoepithelioma-like carcinoma (LELC) and conventional adenocarcinoma (3,4,7). More than 80% of LELC cases are associated with EBV infection, while only 5–10% of ordinary adenocarcinoma cases are positive for EBV infection. The LELC histotype has been demonstrated to present a significantly favorable prognosis as a result of extensive infiltration of CD8+ T cells and mature dendritic cells within these tumors (9–11). Nevertheless, controversy still exists regarding the prognostic significance of EBV infection itself. Several studies reported a better prognosis in EBVaGC, but a favorable outcome may not be observed after adjusting for other clinicopathological features (11,12). Other researchers have failed to show that EBVaGC differs from EBV-negative gastric cancer in terms of survival (8,13–15). There is a paucity of studies regarding the impact of clinicopathological factors on survival in EBVaGC. A recent study showed that advanced stage and histological classification were meaningful indicators of survival (11).

Since stage I–III gastric cancer patients comprise a population with diverse outcomes, there is considerable interest in understanding the predictors of this cancer’s behavior beyond the Union for International Cancer Control/American Joint Committee on Cancer (UICC/AJCC) stage. These factors, including the tumor size and lymph node (LN) ratio, defined as the ratio of metastatic to retrieved lymph nodes, have not yet been examined specifically in EBVaGC. Therefore, the present study was conducted to investigate the prognostic significance of the relevant clinicopathological parameters in stage I–III EBVaGC and to determine the predictive factors that would aid in the identification of high-risk patients who may benefit from adjuvant therapy.

Materials and methods

Case selection

We retrospectively enrolled gastric cancer cases according to the following criteria: radical resection with lymph node dissection and final pathologic stage I to III according to the 2010 UICC/AJCC staging system. From January 1999 to December 2006, 1,020 consecutive surgically resected specimens of gastric carcinoma were retrieved from the archives of the Department of Pathology at Chang Chung Memorial Hospital, Linkou, Taiwan. Clinical information concerning the patient characteristics and outcome was collected from the medical records. The survival period was traced until December 31, 2012. The study was approved by the institutional review board at our hospital.

Tissue microarrays and EBV-encoded small RNA in situ hybridization

The formalin-fixed and paraffin-embedded tissue samples were arrayed using an automated tissue-arraying machine (Beecher ATA-27; Beecher Instruments, Sun Prairie, WI, USA). All hematoxylin and eosin-stained slides were reviewed to choose representative tumor areas. Three 1.0-mm tissue cores were taken from tissue blocks and transferred to receipt blocks. The tissue microarrays were used for EBV-encoded small RNA (EBER) in situ hybridization.

EBER in situ hybridization was performed on tissue microarray slides using the EBV Probe ISH kit from Leica Microsystems in an automated immunostaining machine (BOND-MAX™; Leica, Wetzlar, Germany). The procedures were conducted according to the manufacturer’s instructions. Only cases with universal and strong nuclear staining within almost all tumor cells were interpreted as EBV-positive.

Pathological analysis

More than two hematoxylin and eosin-stained slides of each EBVaGC were reviewed blindly by two pathologists (Dr S.C. Huang and Dr T.C. Chen) to determine the tumor type. We subclassified the EBVaGC specimens into LELC, tubular adenocarcinoma, poorly cohesive adenocarcinoma and mucinous adenocarcinoma. LELC was defined by the Watanabe’s and Shibata’s criteria: well circumscribed, undifferentiated carcinoma, non-desmoplastic stroma with dense lymphoplasmacytic infiltration (10,16). Tubular adenocarcinoma, poorly cohesive adenocarcinoma, and mucinous adenocarcinoma were defined as tumors with >50% of the tumor cells growing in a tubular pattern, poor cohesion and mucin pools, respectively, according to WHO classification (17). Mixed carcinoma was defined as a mixture of tubular adenocarcinoma and poorly cohesive carcinoma if either component accounted for >10% of the tumor.

Immunohistochemistry of HER2

We used a HER2 monoclonal antibody (A485, 1:200; Dako, Carpinteria, CA, USA) for immunostaining. Tissue sections of EBVaGC were prepared at a thickness of 3-μm and deparaffinized in xylene and rehydrated in a graded ethanol series. The slides were submitted to antigen retrieval, antibody incubation and chromogen counterstaining in an automated immunostainer (BOND-MAX™). Optimal positive and negative controls were also performed at the same time. Two experienced pathologists interpreted the HER2 status according to the recommendation for gastric cancer (18).

Statistical analysis

Statistical analysis was performed on an SPSS platform (version 17; SPSS, Chicago, IL, USA). The associations between the clinicopathological characteristics and the EBV status were evaluated by independent t-test, Pearson’s χ2 or Fisher exact test, according to the variable type. A multivariate logistic regression model was applied to the variables with a p-value <0.05 in the univariate analysis. For the comparison of LELC and non-LELC EBVaGC, the Mann-Whitney U test was employed for some continuous variables, including age, size and LN ratio. The overall survival was measured from the date of surgery to the date of death. Kaplan-Meier estimate was performed to calculate the overall survival, and the statistical significance of different variables was examined by the log-rank test. The Cox proportional hazard regression model was undertaken to determine the independent prognostic factors. Two-sided p-values were calculated, and p<0.05 was considered to be significant for all statistical analyses.

Results

Patient characteristics and pathological findings

A total of 52 EBVaGCs (5.1%) were identified by EBER in situ hybridization from 1,020 stage I–III gastric cancers. The clinical and pathologic features of the cases of EBVaGC and EBV-negative gastric cancer are summarized in Table I. The EBVaGC cases included 43 men and 9 women with a mean age of 64.83 years. The multivariate logistic regression analysis demonstrated that EBVaGC had a male predominance [odds ratio (OR) 3.120, 95% confidence interval (CI) 1.473–6.612, p=0.003] and a higher incidence in stump cancers (OR 5.957, 95% CI 2.423–14.648, p<0.0001) and poorly differentiated adenocarcinoma (OR 2.494, 95% CI 1.249–4.981, p=0.010) in comparison to EBV-negative gastric cancer. The EBVaGCs tended to occur more frequently in the proximal and middle portion than EBV-negative gastric cancer (57.7 vs. 32.0%), although the multivariate analysis failed due to the occurrence of non-convergence in the logistic regression models. No significant difference was found in regards to patient age, Lauren’s classification, depth of invasion, metastatic node number, UICC/AJCC stage, lymphovascular permeation, perineural invasion and Helicobacter infection status between the EBVaGCs and EBV-negative gastric cancer. The tumor size and LN ratio were also not significantly different.

Table I

Clinicopathological findings of stage I–III gastric cancer patients classified by EBV status.

Table I

Clinicopathological findings of stage I–III gastric cancer patients classified by EBV status.

EBV statusUnivariate analysisMultivariate analysis



ParametersNegative (n=968)Positive (n=52)P-valueOdds ratio95% CIP-value
Age (years), mean ± SD63.65±13.5164.83±11.020.536
Gender0.001
 Male567 (58.6)43 (82.7)3.1201.473–6.6120.003
 Female401 (41.4)9 (17.3)1
Stump cancer<0.0001
 Yes21 (2.2)10 (19.2)5.9572.423–14.648<0.001
 No947 (97.8)42 (80.8)1
Localizationa<0.001
 Upper149 (15.4)20 (38.5)
 Middle161 (16.6)10 (19.2)
 Lower620 (64.0)21 (40.4)
 Diffuse38 (3.9)1 (1.9)
Tumor size, mean ± SD (cm)4.43±3.174.44±2.360.966
Differentiation0.010
 Well/moderate397 (41.0)12 (23.1)1
 Poor571 (59.0)40 (76.9)2.4941.249–4.9810.010
Lauren’s classification0.120
 Intestinal489 (50.5)25 (48.1)
 Diffuse365 (37.7)16 (30.8)
 Mixed114 (11.8)11 (21.2)
Depth of invasion0.039
 T1/T2360 (37.2)12 (23.1)1
 T3/T4608 (62.8)40 (76.9)1.2330.604–2.5200.565
Nodal status0.753
 N0384 (39.7)17 (32.7)
 N1133 (13.7)7 (13.5)
 N2154 (15.9)10 (19.2)
 N3297 (30.7)18 (34.6)
Stage0.179
 I283 (29.2)9 (17.3)
 II177 (18.3)11 (21.2)
 III508 (52.5)32 (61.5)
LN ratio, mean ± SD0.21±0.270.19±0.210.702
Lymphatic invasionb0.204
 No475 (49.4)21 (40.4)
 Yes486 (50.6)31 (59.6)
Vascular invasionb0.863
 No838 (87.7)46 (88.5)
 Yes118 (12.3)6 (11.5)
Perineural invasionb0.892
 No505 (52.9)28 (53.8)
 Yes450 (47.1)24 (46.2)
HP infection0.462
 No771 (80.5)44 (84.6)
 Yes187 (19.5)8 (15.4)

{ label (or @symbol) needed for fn[@id='tfn1-or-32-02-0530'] } Data are numbers with percentages in parentheses, unless otherwise stated. EBV, Epstein-Barr virus; SD, standard deviation; LN ratio, lymph node ratio; HP, Helicobacter pylori; CI, confidence interval.

a There is the non-convergence in logistic regression models when the data are quasi-completely separated. The maximum likelihood estimation does not exist.

b Not all data are available in EBV-negative cases.

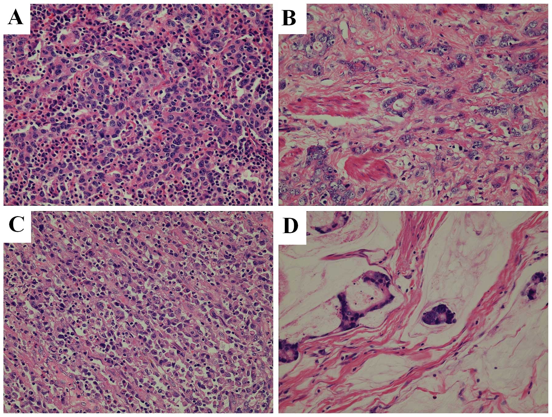
The 52 cases of EBVaGC were further subclassified into 19 LELC cases (36.5%) and 33 non-LELC cases (63.5%) (Fig. 1). The 33 non-LELC EBVaGC cases consisted of 29 cases of tubular adenocarcinoma (87.9%), 1 case of poorly cohesive carcinoma (3.0%), 1 case of mucinous adenocarcinoma (3.0%) and 2 cases of mixed carcinoma (6.1%). After excluding 1 case that suffered from surgical mortality, the clinicopathological parameters of LELC and non-LELC in the 51 cases of EBVaGC were not significantly different, with the exception of tumor differentiation (p=0.004) (Table II).

Figure 1

Histological classification of Epstein-Barr virus-associated gastric cancer: (A) lymphoepithelioma-like carcinoma, (B) tubular adenocarcinoma, (C) poorly cohesive carcinoma and (D) mucinous adenocarcinoma (magnification, ×400).

Table II

Clinicopathological findings of stage I–III EBV-associated gastric cancer patients classified by tumor histology.

Table II

Clinicopathological findings of stage I–III EBV-associated gastric cancer patients classified by tumor histology.

Tumor type

ParametersLELC (n=18)Non-LELC (n=33)P-value
Age (years), median (range)62 (44–81)70 (39–80)0.253
Gender0.703
 Male14 (77.8)28 (984.8)
 Female4 (22.2)5 (15.2)
Stump cancer0.727
 Yes4 (22.2)6 (18.2)
 No14 (77.8)27 (81.8)
Localization0.322
 Upper5 (27.8)15 (45.5)
 Middle3 (16.7)7 (21.2)
 Lower10 (55.6)10 (30.3)
 Diffuse01 (3.0)
Tumor size (cm), median (range)3.8 (1.0–6.0)4.5 (0.8–14.0)0.161
Differentiation0.004
 Well/moderate012 (36.4)
 Poor18 (100.0)21 (63.6)
Lauren’s classification0.106
 Intestinal5 (27.8)19 (57.6)
 Diffuse7 (38.9)9 (27.3)
 Mixed6 (33.3)5 (15.2)
Depth of invasion0.304
 T1/T26 (33.3)6 (18.2)
 T3/T412 (66.7)27 (81.8)
Nodal status0.282
 N09 (50.0)8 (24.2)
 N12 (11.1)5 (15.2)
 N23 (16.7)6 (18.2)
 N34 (22.2)14 (42.4)
Stage0.189
 I5 (27.8)4 (12.1)
 II5 (27.8)6 (18.2)
 III8 (44.4)23 (69.7)
LN ratio, median (range)0.03 (0–0.57)0.19 (0–0.81)0.116
Lymphatic invasion0.244
 No9 (50.0)11 (33.3)
 Yes9 (50.0)22 (66.7)
Vascular invasion0.078
 No18 (100.0)27 (81.8)
 Yes06 (18.2)
Perineural invasion0.147
 No12 (66.7)15 (45.5)
 Yes6 (33.3)18 (54.5)
HP infection0.686
 No15 (83.3)29 (87.9)
 Yes3 (16.7)4 (12.1)

[i] Figures are numbers with percentages in parentheses, unless otherwise stated. EBV, Epstein-Barr virus; LELC, lymphoepithelioma-like carcinoma; LN ratio, lymph node ratio; HP, Helicobacter pylori.

HER2 immunohistochemistry

Only one case of the 52 EBVaGCs (1.9%) demonstrated HER2 overexpression (strong intensity, score 3+).

Survival analysis

According to the available survival data, the mean survival duration for the 51 cases of EBVaGC and the 943 cases of EBV-negative gastric cancer was 87.74 (95% CI 70.37–105.11) and 88.1 (95% CI 84.09–92.12) months, respectively. The follow-up duration for the 51 cases of EBVaGC ranged from 1.2 to 166 months (median 45.04 months). EBV infection itself was not a prognostic factor in stage I–III gastric cancer (p=0.977) (Fig. 2). According to the survival analysis of EBVaGC, the log-rank analysis revealed that tumor location, tumor size >5 cm, depth of tumor invasion, number of lymph node metastasis, LN ratio, lymphovascular invasion, perineural invasion and LELC subtype reached statistical significance as prognostic factors (Table III). In the Cox proportional hazard model, tumor size >5 cm [hazard ratio (HR) 2.884, 95% CI 1.129–7.365, p=0.027], LN ratio >0.15 (HR 19.352, 95% CI 4.383–85.441, p<0.0001), and non-LELC subtypes (HR 12.178, 95% CI 2.135–69.474, p=0.005) had an unfavorable effect on survival. However, the depth of tumor invasion and nodal status lost their statistical significance (p=0.834 and 0.844, respectively). Tumor location was excluded due to the occurrence of the monotone likelihood, and the maximum likelihood estimation did not exist. The median survival for cases with a tumor size >5 cm was 22.1 months with a 5-year survival rate of 13.3% compared to 74.9% in tumors with a size ≤5 cm (Fig. 3A). LELC EBVaGC had a 5-year survival rate of 87.5%, which was superior to the non-LELC cases with a 5-year survival rate of 38.4% and a median survival of 32.7 months (Fig. 3B). Cases with an LN ratio >0.15 had a median survival of 28.3 months and a 13.4% 5-year survival rate, whereas cases with an LN ratio ≤0.15 had a 96.0% 5-year survival rate (Fig. 3C).

Figure 2

Comparison of Kaplan-Meier estimated survival curves of gastric cancer according to the results of EBV-encoded small RNA (EBER) in situ hybridization.

Figure 3

Overall survival analysis of 51 Epstein-Barr virus-associated gastric cancer cases according to different prognostic factors: (A) tumor size, (B) histological lymphoepithelioma-like carcinoma (LELC) classification and (C) lymph node ratio (LN ratio).

Table III

Survival analysis of patients with stage I–III EBV-associated gastric cancer.

Table III

Survival analysis of patients with stage I–III EBV-associated gastric cancer.

Univariate analysisMultivariate analysis


Clinicopathological factorsMean survival (months)95% CIP-valueHazard ratio95% CIP-value
Age (years)0.116
 ≤65 (n=25)120.8191.59–150.03
 >65 (n=26)79.7351.57–107.90
Gender0.859
 Male (n=42)101.6277.56–125.68
 Female (n=9)80.2449.32–111.15
Locationa<0.0001
 Upper (n=20)79.6849.76–109.61
 Middle (n=10)102.7760.51–145.02
 Lower (n=20)119.8286.44–153.21
 Diffuse (n=1)6.676.67–6.67
Tumor size (cm)<0.0001
 ≤5 (n=35)135.28112.41–158.141
 >5 (n=16)30.5817.45–43.712.8841.129–7.3650.027
Differentiation0.892
 Well/moderate (n=12)86.4851.27–121.69
 Poor (n=39)105.1980.19–130.20
Histological classification<0.0001
 LELC (n=18)158.97136.27–181.681
 Non-LELC (n=33)67.0444.61–89.4712.1782.135–69.4740.005
Depth of invasion0.0320.834
 T1/T2 (n=12)145.23118.37–172.09
 T3/T4 (n=39)90.1065.54–114.65
Nodal status<0.00010.844
 N0 (n=17)160.30145.92–174.69
 N1 (n=7)116.7386.43–147.03
 N2 (n=9)79.0027.26–131.93
 N3 (n=18)37.4220.87–53.98
LN ratio<0.0001
 ≤0.15 (n=27)151.83134.94–168.721
 >0.15 (n=24)44.7222.92–66.5119.3524.383–85.441<0.0001
Lymphatic invasion0.0010.699
 No (n=20)146.21123.60–168.81
 Yes (n=31)72.1046.34–97.87
Vascular invasion0.0030.935
 No (n=45)114.5791.82–137.31
 Yes (n=6)36.976.17–67.77
Perineural invasion0.0020.464
 No (n=27)132.40106.92–157.88
 Yes (n=24)63.6336.68–90.58
HP infection0.846
 No (n=44)101.7679.04–124.47
 Yes (n=7)104.2942.14–166.44

{ label (or @symbol) needed for fn[@id='tfn5-or-32-02-0530'] } EBV, Epstein-Barr virus; LELC, lymphoepithelioma-like carcinoma; LN ratio, lymph node ratio; HP, Helicobacter pylori; CI, confidence interval.

a This factor was excluded from the Cox proportional hazard model due to occurrence of the monotone likelihood and the maximum likelihood estimation did not exist.

Discussion

In the present study, EBVaGC constituted 5.1% of the cases of stage I–III gastric cancer and was associated with demographic features that have been described in previous studies. According to a large-scale meta-analysis of 70 studies including 15,952 cases of gastric cancer, EBVaGC had a prevalence estimate of 8.7% (95% CI 7.5–10.0%, range 1.33–19.9%) (5). The meta-analysis revealed that EBVaGC presented a 2-fold higher incidence in males (11.1%) than in females and occurred twice as often in the gastric cardia or corpus than in the antrum (13.6 or 13.1 vs. 5.2%) compared to EBV-negative gastric cancers. Stump cancer had a 4-fold higher incidence of EBV positivity (35.1%). The above results are similar to the finding of our study, which revealed a male preponderance and a higher incidence in stump cancer. Regarding the location in the stomach, EBVaGC seems to occur more frequently in the upper third and less frequently in the lower third than EBV-negative gastric cancer. No significant difference was observed in prevalence between the intestinal, diffuse and mixed tumor types. In addition, the present study revealed that poorly differentiated carcinoma has a higher likeliness of EBV positivity. Taiwan is an endemic area for nasopharyngeal cancer, which is also associated with EBV infection. The data gathered at our institute indicated that EBVaGC was a rare (1/6, 16.6%) event of secondary cancer in patients with nasopharyngeal cancer in Taiwan (19). Furthermore, the incidence of EBVaGC is similar worldwide, with 8.3% in Asia, 9.2% in Europe and 9.9% in America (5). EBV-associated gastric cancer and nasopharyngeal cancer express latency I and latency II protein, respectively (1,2). EBVaGC may be a universal and distinct variant of gastric cancer with characteristic clinical features that are independent from nasopharyngeal cancer.

In addition, our results showed that EBV infection itself seems not to be a prognostic factor, and risk stratification by tumor size, histological classification, and LN ratio may help identify high-risk patients. According to the literature, a favorable outcome was observed only in those cases categorized as LELC, and EBV infection itself was not associated with any survival advantage (10,11,13–15). Our results also support this prevailing opinion. LELC-type EBVaGC presents a striking benefit for both the 3- and 5-year survival rate. This unique histological subtype is distinguished by the presence of a non-desmoplastic stroma infiltrated with an abundance of lymphocytes and plasma cells (10,16). These extensive intratumoral inflammatory components are composed of activated cytotoxic T, nature killer and mature dendritic cells (9,15,20). The T cell infiltration has been correlated to intratumoral FoxP3-positive regulatory T cells (21). Some authors hypothesized that the intratumoral inflammatory reaction represents an effective host immune reaction against tumor cells (9,20,22). In colon, breast and lung malignancies, tumor-infiltrating lymphocytes also express a cytotoxic T-cell phenotype and are related to a survival advantage (22).

Likewise, the intratumoral inflammation pattern and intensity have been reported to influence the survival of EBVaGC patients (9,11,22). Song et al purported that a typical Crohn’s disease-like lymphocytic reaction may share a similar morphology with LELC on the basis of the similar survival benefit in both groups (11). Grogg et al found that increased lymphocyte infiltration of the tumor indicated a better prognosis as EBVaGC had a higher lymphocyte count (450/10 HPF) than EBV-negative gastric cancer (21/10 HPF) (22). The amount of intratumoral T and dendritic cells was also more plentiful in EBVaGC without lymph node metastasis than in EBVaGC with node metastasis (9). Although the underlying mechanism of the antitumor immune reaction is not well elucidated, the accurate classification of EBVaGC into LELC or non-LELC is not only associated with patient prognosis but also implies a different tumor-host interaction.

Tumor size has been regarded as an important prognostic factor due to its close relationship to histological grade, UICC/AJCC stage, vascular invasion and neural permeation (23). We observed that a tumor size >5 cm is an independent parameter of poor prognosis in stage I–III EBVaGC instead of the depth of tumor invasion. EBVaGC frequently grows in ulcerated or saucer-like tumors featured by well-delineated and pushing borders (7,10,16). This macroscopic pattern corresponds to a microscopic expanding front rather than to infiltrative invasion. EBVaGC may follow a different encroachment fashion from EBV-negative gastric cancer. That may be why tumor size is a powerful predictor. Indeed, tumor size is a paramount component for UICC/AJCC tumor stage in some malignancies, including lung and breast cancers (24). For gastric cancer, some authors have found that tumor size is a simple prognostic indicator and could even improve the accuracy of UICC/AJCC staging for gastric cancer (25,26). Due to the heterogeneity of gastric cancer, tumor size may be a significant outcome indicator in some subgroups, such as EBVaGC, as shown by the present study.

The LN ratio is an emerging parameter that may be more useful than UICC/AJCC lymph node stage due to its consistent prognostic power whenever the type of lymphadenectomy or total number of resected nodes varies (27–30). This study suggests that an LN ratio >0.15 is an independent and powerful predictor that is superior to the UICC/AJCC nodal status in stage I–III EBVaGC. The mean number of harvested lymph nodes from the EBVaGC group in our study was 30.5 with 6 cases having a total of <15 lymph nodes (11.8%) (data not shown). An LN ratio >0.15 retained its statistical significance in the Cox regression multivariate analysis and had the strongest hazard ratio compared with the other factors. Most previous studies have divided LN ratio into categories corresponding to 0, 1–9, 10–25 and >25% to stratify patient risk, which is intended to imitate the AJCC/UICC node status (27,28). Our data demonstrated that a simple threshold of 0.15 could achieve considerable discernability for patient outcome. Metastatic foci of EBVaGC in lymph nodes still maintain an EBV genome (9). The occurrence of node metastasis does not signify tumor escape by virus deletion, but it may imply alteration of the tumor to lose the target antigen or to attenuate the immune defense. Indeed, a better prognosis observed in EBVaGC has been attributed to less lymph node involvement (12). The relationship between tumor molecular alteration and lymph node metastasis still requires further study, but the LN ratio may be used as another simple approach to predict this host-tumor interaction and its effect on patient outcome.

EBV is thought to play a critical role, not only in stimulation of an immunologic reaction, but also in gastric carcinogenesis. Through the presentation of an undefined antigen, EBV attracts strikingly numerous lymphocytes and plasma cells that are intimately admixed with tumor cells by upregulation of major histocompatibility complex class II molecules and IL1-β cytokines (9,31). Aside from the differences in protein expression and chromosomal aberrations compared with EBV-negative counterparts, EBVaGC exhibits characteristic molecular features, including a global and non-random CpG island methylation epigenotype, which is activated by DNMT1 through the phosphorylation of STAT3 from viral LMP2A effect (7,32–36). Considering the unique host-tumor interaction and the molecular alterations detected in EBVaGC, our data suggest that the use of the histological classification, tumor size, and LN ratio could discriminate the prognosis of patients with stage I–III EBVaGC. For therapeutic options that utilize virus-host interactions in EBV-associated tumors, demethylating agents, such as 5-azacytidine, can induce lytic infection of EBV, leading to lysis of the infected tumor cells, by restoring the expression of the BMRF1, BZLF1 and BRLF1 genes after removing promoter methylation (37,38). These novel antitumor drugs may provide a maximal survival benefit to those high-risk patients with a large tumor size, non-LELC tumors or a high LN ratio.

It is important to characterize the tumor pathway and processes for personalized medicine. The present study is one of our serial investigations aimed at the molecular classification of gastric cancers. EBVaGC and HER-2-overexpressing gastric cancers may represent distinct subsets since only one EBVaGC case had HER-2 overexpression. The incidence of 1.9% was much lower than that of 6.1% in the general population of gastric cancer, as demonstrated in our previous study (39). In addition, the low incidence of HER2 amplification is also consistent with the results reported by a Korean group (1/123, 0.8%) (11).

In conclusion, we conducted a large-scale study involving 1,020 stage I–III gastric cancer cases from a single institute. We identified 52 cases of EBVaGC. EBVaGC showed a male preponderance and a higher incidence in stump cancer and poorly differentiated carcinoma. The survival analysis suggested that tumor size, LELC classification, and LN ratio were important prognostic factor. These influential factors most likely reflect EBVaGC’s unique mode of carcinogenesis and host-tumor interaction and should be considered in the identification of high-risk patients who may benefit from adjuvant regimens or virus-specific treatments.

Acknowledgements

We thank the Tissue Bank, Chang Gung Memorial Hospital, for excellent tissue processing. This study was supported by a grant from the Department of Health (DOH99-TD-C-111-006), a grant from the National Science Council (101-2320-B-182A-008), and a grant from the Chang Gung Memorial Hospital (CMRPG340547, CMRPG3B1192 and CMRPG3A1182).

References

1 

Young LS and Rickinson AB: Epstein-Barr virus: 40 years on. Nat Rev Cancer. 4:757–768. 2004.PubMed/NCBI

2 

Deyrup AT: Epstein-Barr virus-associated epithelial and mesenchymal neoplasms. Hum Pathol. 39:473–483. 2008. View Article : Google Scholar : PubMed/NCBI

3 

Shibata D and Weiss LM: Epstein-Barr virus-associated gastric adenocarcinoma. Am J Pathol. 140:769–774. 1992.PubMed/NCBI

4 

Tokunaga M, Land CE, Uemura Y, Tokudome T, Tanaka S and Sato E: Epstein-Barr virus in gastric carcinoma. Am J Pathol. 143:1250–1254. 1993.PubMed/NCBI

5 

Murphy G, Pfeiffer R, Camargo MC and Rabkin CS: Meta-analysis shows that prevalence of Epstein-Barr virus-positive gastric cancer differs based on sex and anatomic location. Gastroenterology. 137:824–833. 2009. View Article : Google Scholar : PubMed/NCBI

6 

Parkin DM, Bray F, Ferlay J and Pisani P: Global cancer statistics, 2002. CA Cancer J Clin. 55:74–108. 2005. View Article : Google Scholar

7 

Fukayama M and Ushiku T: Epstein-Barr virus-associated gastric carcinoma. Pathol Res Pract. 207:529–537. 2011. View Article : Google Scholar : PubMed/NCBI

8 

Tokunaga M, Uemura Y, Tokudome T, et al: Epstein-Barr virus related gastric cancer in Japan: a molecular patho-epidemiological study. Acta Pathol Jpn. 43:574–581. 1993.PubMed/NCBI

9 

van Beek J, zur Hausen A, Snel SN, et al: Morphological evidence of an activated cytotoxic T-cell infiltrate in EBV-positive gastric carcinoma preventing lymph node metastases. Am J Surg Pathol. 30:59–65. 2006.PubMed/NCBI

10 

Watanabe H, Enjoji M and Imai T: Gastric carcinoma with lymphoid stroma. Its morphologic characteristics and prognostic correlations. Cancer. 38:232–243. 1976. View Article : Google Scholar : PubMed/NCBI

11 

Song HJ, Srivastava A, Lee J, et al: Host inflammatory response predicts survival of patients with Epstein-Barr virus-associated gastric carcinoma. Gastroenterology. 139:84–92. 2010. View Article : Google Scholar : PubMed/NCBI

12 

van Beek J, zur Hausen A, Klein Kranenbarg E, et al: EBV-positive gastric adenocarcinomas: a distinct clinicopathologic entity with a low frequency of lymph node involvement. J Clin Oncol. 22:664–670. 2004.PubMed/NCBI

13 

Park ES, Do IG, Park CK, et al: Cyclooxygenase-2 is an independent prognostic factor in gastric carcinoma patients receiving adjuvant chemotherapy and is not associated with EBV infection. Clin Cancer Res. 15:291–298. 2009. View Article : Google Scholar : PubMed/NCBI

14 

Chang MS, Lee HS, Kim CW, Kim YI and Kim WH: Clinicopathologic characteristics of Epstein-Barr virus-incorporated gastric cancers in Korea. Pathol Res Pract. 197:395–400. 2001. View Article : Google Scholar : PubMed/NCBI

15 

Kijima Y, Ishigami S, Hokita S, Koriyama C, Akiba S, Eizuru Y and Aikou T: The comparison of the prognosis between Epstein-Barr virus (EBV)-positive gastric carcinomas and EBV-negative ones. Cancer Lett. 200:33–40. 2003. View Article : Google Scholar : PubMed/NCBI

16 

Shibata D, Tokunaga M, Uemura Y, Sato E, Tanaka S and Weiss LM: Association of Epstein-Barr virus with undifferentiated gastric carcinomas with intense lymphoid infiltration. Lymphoepithelioma-like carcinoma. Am J Pathol. 139:469–474. 1991.PubMed/NCBI

17 

Lauwers GY, Carneiro F, Graham DY, et al: Gastric carcinoma. WHO Classification of Tumours of the Digestive System. Bosman FT, Carneiro F, Hruban RH and Theise ND: IARC; Lyon: pp. 48–58. 2010

18 

Hofmann M, Stoss O, Shi D, et al: Assessment of a HER2 scoring system for gastric cancer: results from a validation study. Histopathology. 52:797–805. 2008. View Article : Google Scholar : PubMed/NCBI

19 

Wang CC, Chen ML, Hsu KH, et al: Second malignant tumors in patients with nasopharyngeal carcinoma and their association with Epstein-Barr virus. Int J Cancer. 87:228–231. 2000. View Article : Google Scholar : PubMed/NCBI

20 

Minamoto T, Mai M, Watanabe K, et al: Medullary carcinoma with lymphocytic infiltration of the stomach. Clinicopathologic study of 27 cases and immunohistochemical analysis of the subpopulations of infiltrating lymphocytes in the tumor. Cancer. 66:945–952. 1990. View Article : Google Scholar

21 

Haas M, Büttner M, Rau TT, Fietkau R, Grabenbauer GG and Distel LV: Inflammation in gastric adenocarcinoma of the cardia: how do EBV infection, Her2 amplification and cancer progression influence tumor-infiltrating lymphocytes? Virchows Arch. 458:403–411. 2011. View Article : Google Scholar : PubMed/NCBI

22 

Grogg KL, Lohse CM, Pankratz VS, Halling KC and Smyrk TC: Lymphocyte-rich gastric cancer: associations with Epstein-Barr virus, microsatellite instability, histology, and survival. Mod Pathol. 16:641–651. 2003. View Article : Google Scholar : PubMed/NCBI

23 

Yokota T, Ishiyama S, Saito T, et al: Is tumor size a prognostic indicator for gastric carcinoma? Anticancer Res. 22:3673–3677. 2002.PubMed/NCBI

24 

Edge SB, Byrd DR, Compton CC, Fritz AG, et al: AJCC Cancer Staging Manual. 7th edition. Springer; New York, NY: pp. 117–126. 2010

25 

Saito H, Osaki T, Murakami D, et al: Macroscopic tumor size as a simple prognostic indicator in patients with gastric cancer. Am J Surg. 192:296–300. 2006. View Article : Google Scholar : PubMed/NCBI

26 

Lu J, Huang CM, Zheng CH, Li P, Xie JW, Wang JB and Lin JX: Consideration of tumor size improves the accuracy of TNM predictions in patients with gastric cancer after curative gastrectomy. Surg Oncol. 22:167–171. 2013. View Article : Google Scholar : PubMed/NCBI

27 

Xu DZ, Geng QR, Long ZJ, et al: Positive lymph node ratio is an independent prognostic factor in gastric cancer after d2 resection regardless of the examined number of lymph nodes. Ann Surg Oncol. 16:319–326. 2009. View Article : Google Scholar : PubMed/NCBI

28 

Marchet A, Mocellin S, Ambrosi A, et al: The ratio between metastatic and examined lymph nodes (N ratio) is an independent prognostic factor in gastric cancer regardless of the type of lymphadenectomy: results from an Italian multicentric study in 1853 patients. Ann Surg. 245:543–552. 2007. View Article : Google Scholar

29 

Persiani R, Rausei S, Antonacci V, Biondi A, Casella F, Ciccoritti L and D’Ugo D: Metastatic lymph node ratio: a new staging system for gastric cancer. World J Surg. 33:2106–2111. 2009. View Article : Google Scholar : PubMed/NCBI

30 

Inoue K, Nakane Y, Iiyama H, et al: The superiority of ratio-based lymph node staging in gastric carcinoma. Ann Surg Oncol. 9:27–34. 2002. View Article : Google Scholar : PubMed/NCBI

31 

Chong JM, Sakuma K, Sudo M, et al: Interleukin-1β expression in human gastric carcinoma with Epstein-Barr virus infection. J Virol. 76:6825–6831. 2002.

32 

Lee HS, Chang MS, Yang HK, Lee BL and Kim WH: Epstein-barr virus-positive gastric carcinoma has a distinct protein expression profile in comparison with Epstein-barr virus-negative carcinoma. Clin Cancer Res. 10:1698–1705. 2004. View Article : Google Scholar : PubMed/NCBI

33 

zur Hausen A, van Grieken NC, Meijer GA, et al: Distinct chromosomal aberrations in Epstein-Barr virus-carrying gastric carcinomas tested by comparative genomic hybridization. Gastroenterology. 121:612–618. 2001.PubMed/NCBI

34 

Chang MS, Uozaki H, Chong JM, et al: CpG island methylation status in gastric carcinoma with and without infection of Epstein-Barr virus. Clin Cancer Res. 12:2995–3002. 2006. View Article : Google Scholar : PubMed/NCBI

35 

Chong JM, Sakuma K, Sudo M, et al: Global and non-random CpG-island methylation in gastric carcinoma associated with Epstein-Barr virus. Cancer Sci. 94:76–80. 2003. View Article : Google Scholar : PubMed/NCBI

36 

Hino R, Uozaki H, Murakami N, et al: Activation of DNA methyltransferase 1 by EBV latent membrane protein 2A leads to promoter hypermethylation of PTEN gene in gastric carcinoma. Cancer Res. 69:2766–2774. 2009. View Article : Google Scholar : PubMed/NCBI

37 

Fu DX, Tanhehco Y, Chen J, et al: Bortezomib-induced enzyme-targeted radiation therapy in herpesvirus-associated tumors. Nat Med. 14:1118–1122. 2008. View Article : Google Scholar : PubMed/NCBI

38 

Jung EJ, Lee YM, Lee BL, Chang MS and Kim WH: Lytic induction and apoptosis of Epstein-Barr virus-associated gastric cancer cell line with epigenetic modifiers and ganciclovir. Cancer Lett. 247:77–83. 2007. View Article : Google Scholar : PubMed/NCBI

39 

Hsu JT, Chen TC, Tseng JH, et al: Impact of HER-2 overexpression/amplification on the prognosis of gastric cancer patients undergoing resection: a single-center study of 1,036 patients. Oncologist. 16:1706–1713. 2011. View Article : Google Scholar : PubMed/NCBI

Related Articles

  • Abstract
  • View
  • Download
  • Twitter
Copy and paste a formatted citation
Spandidos Publications style
Huang S, Ng K, Chen K, Hsu JT, Liu K, Yeh T and Chen T: Prognostic factors in Epstein-Barr virus-associated stage I-III gastric carcinoma: Implications for a unique type of carcinogenesis. Oncol Rep 32: 530-538, 2014.
APA
Huang, S., Ng, K., Chen, K., Hsu, J., Liu, K., Yeh, T., & Chen, T. (2014). Prognostic factors in Epstein-Barr virus-associated stage I-III gastric carcinoma: Implications for a unique type of carcinogenesis. Oncology Reports, 32, 530-538. https://doi.org/10.3892/or.2014.3234
MLA
Huang, S., Ng, K., Chen, K., Hsu, J., Liu, K., Yeh, T., Chen, T."Prognostic factors in Epstein-Barr virus-associated stage I-III gastric carcinoma: Implications for a unique type of carcinogenesis". Oncology Reports 32.2 (2014): 530-538.
Chicago
Huang, S., Ng, K., Chen, K., Hsu, J., Liu, K., Yeh, T., Chen, T."Prognostic factors in Epstein-Barr virus-associated stage I-III gastric carcinoma: Implications for a unique type of carcinogenesis". Oncology Reports 32, no. 2 (2014): 530-538. https://doi.org/10.3892/or.2014.3234
Copy and paste a formatted citation
x
Spandidos Publications style
Huang S, Ng K, Chen K, Hsu JT, Liu K, Yeh T and Chen T: Prognostic factors in Epstein-Barr virus-associated stage I-III gastric carcinoma: Implications for a unique type of carcinogenesis. Oncol Rep 32: 530-538, 2014.
APA
Huang, S., Ng, K., Chen, K., Hsu, J., Liu, K., Yeh, T., & Chen, T. (2014). Prognostic factors in Epstein-Barr virus-associated stage I-III gastric carcinoma: Implications for a unique type of carcinogenesis. Oncology Reports, 32, 530-538. https://doi.org/10.3892/or.2014.3234
MLA
Huang, S., Ng, K., Chen, K., Hsu, J., Liu, K., Yeh, T., Chen, T."Prognostic factors in Epstein-Barr virus-associated stage I-III gastric carcinoma: Implications for a unique type of carcinogenesis". Oncology Reports 32.2 (2014): 530-538.
Chicago
Huang, S., Ng, K., Chen, K., Hsu, J., Liu, K., Yeh, T., Chen, T."Prognostic factors in Epstein-Barr virus-associated stage I-III gastric carcinoma: Implications for a unique type of carcinogenesis". Oncology Reports 32, no. 2 (2014): 530-538. https://doi.org/10.3892/or.2014.3234
Follow us
  • Twitter
  • LinkedIn
  • Facebook
About
  • Spandidos Publications
  • Careers
  • Cookie Policy
  • Privacy Policy
How can we help?
  • Help
  • Live Chat
  • Contact
  • Email to our Support Team