Spandidos Publications Logo
  • About
    • About Spandidos
    • Aims and Scopes
    • Abstracting and Indexing
    • Editorial Policies
    • Reprints and Permissions
    • Job Opportunities
    • Terms and Conditions
    • Contact
  • Journals
    • All Journals
    • Oncology Letters
      • Oncology Letters
      • Information for Authors
      • Editorial Policies
      • Editorial Board
      • Aims and Scope
      • Abstracting and Indexing
      • Bibliographic Information
      • Archive
    • International Journal of Oncology
      • International Journal of Oncology
      • Information for Authors
      • Editorial Policies
      • Editorial Board
      • Aims and Scope
      • Abstracting and Indexing
      • Bibliographic Information
      • Archive
    • Molecular and Clinical Oncology
      • Molecular and Clinical Oncology
      • Information for Authors
      • Editorial Policies
      • Editorial Board
      • Aims and Scope
      • Abstracting and Indexing
      • Bibliographic Information
      • Archive
    • Experimental and Therapeutic Medicine
      • Experimental and Therapeutic Medicine
      • Information for Authors
      • Editorial Policies
      • Editorial Board
      • Aims and Scope
      • Abstracting and Indexing
      • Bibliographic Information
      • Archive
    • International Journal of Molecular Medicine
      • International Journal of Molecular Medicine
      • Information for Authors
      • Editorial Policies
      • Editorial Board
      • Aims and Scope
      • Abstracting and Indexing
      • Bibliographic Information
      • Archive
    • Biomedical Reports
      • Biomedical Reports
      • Information for Authors
      • Editorial Policies
      • Editorial Board
      • Aims and Scope
      • Abstracting and Indexing
      • Bibliographic Information
      • Archive
    • Oncology Reports
      • Oncology Reports
      • Information for Authors
      • Editorial Policies
      • Editorial Board
      • Aims and Scope
      • Abstracting and Indexing
      • Bibliographic Information
      • Archive
    • Molecular Medicine Reports
      • Molecular Medicine Reports
      • Information for Authors
      • Editorial Policies
      • Editorial Board
      • Aims and Scope
      • Abstracting and Indexing
      • Bibliographic Information
      • Archive
    • World Academy of Sciences Journal
      • World Academy of Sciences Journal
      • Information for Authors
      • Editorial Policies
      • Editorial Board
      • Aims and Scope
      • Abstracting and Indexing
      • Bibliographic Information
      • Archive
    • International Journal of Functional Nutrition
      • International Journal of Functional Nutrition
      • Information for Authors
      • Editorial Policies
      • Editorial Board
      • Aims and Scope
      • Abstracting and Indexing
      • Bibliographic Information
      • Archive
    • International Journal of Epigenetics
      • International Journal of Epigenetics
      • Information for Authors
      • Editorial Policies
      • Editorial Board
      • Aims and Scope
      • Abstracting and Indexing
      • Bibliographic Information
      • Archive
    • Medicine International
      • Medicine International
      • Information for Authors
      • Editorial Policies
      • Editorial Board
      • Aims and Scope
      • Abstracting and Indexing
      • Bibliographic Information
      • Archive
  • Articles
  • Information
    • Information for Authors
    • Information for Reviewers
    • Information for Librarians
    • Information for Advertisers
    • Conferences
  • Language Editing
Spandidos Publications Logo
  • About
    • About Spandidos
    • Aims and Scopes
    • Abstracting and Indexing
    • Editorial Policies
    • Reprints and Permissions
    • Job Opportunities
    • Terms and Conditions
    • Contact
  • Journals
    • All Journals
    • Biomedical Reports
      • Information for Authors
      • Editorial Policies
      • Editorial Board
      • Aims and Scope
      • Abstracting and Indexing
      • Bibliographic Information
      • Archive
    • Experimental and Therapeutic Medicine
      • Information for Authors
      • Editorial Policies
      • Editorial Board
      • Aims and Scope
      • Abstracting and Indexing
      • Bibliographic Information
      • Archive
    • International Journal of Epigenetics
      • Information for Authors
      • Editorial Policies
      • Editorial Board
      • Aims and Scope
      • Abstracting and Indexing
      • Bibliographic Information
      • Archive
    • International Journal of Functional Nutrition
      • Information for Authors
      • Editorial Policies
      • Editorial Board
      • Aims and Scope
      • Abstracting and Indexing
      • Bibliographic Information
      • Archive
    • International Journal of Molecular Medicine
      • Information for Authors
      • Editorial Policies
      • Editorial Board
      • Aims and Scope
      • Abstracting and Indexing
      • Bibliographic Information
      • Archive
    • International Journal of Oncology
      • Information for Authors
      • Editorial Policies
      • Editorial Board
      • Aims and Scope
      • Abstracting and Indexing
      • Bibliographic Information
      • Archive
    • Medicine International
      • Information for Authors
      • Editorial Policies
      • Editorial Board
      • Aims and Scope
      • Abstracting and Indexing
      • Bibliographic Information
      • Archive
    • Molecular and Clinical Oncology
      • Information for Authors
      • Editorial Policies
      • Editorial Board
      • Aims and Scope
      • Abstracting and Indexing
      • Bibliographic Information
      • Archive
    • Molecular Medicine Reports
      • Information for Authors
      • Editorial Policies
      • Editorial Board
      • Aims and Scope
      • Abstracting and Indexing
      • Bibliographic Information
      • Archive
    • Oncology Letters
      • Information for Authors
      • Editorial Policies
      • Editorial Board
      • Aims and Scope
      • Abstracting and Indexing
      • Bibliographic Information
      • Archive
    • Oncology Reports
      • Information for Authors
      • Editorial Policies
      • Editorial Board
      • Aims and Scope
      • Abstracting and Indexing
      • Bibliographic Information
      • Archive
    • World Academy of Sciences Journal
      • Information for Authors
      • Editorial Policies
      • Editorial Board
      • Aims and Scope
      • Abstracting and Indexing
      • Bibliographic Information
      • Archive
  • Articles
  • Information
    • For Authors
    • For Reviewers
    • For Librarians
    • For Advertisers
    • Conferences
  • Language Editing
Login Register Submit
  • This site uses cookies
  • You can change your cookie settings at any time by following the instructions in our Cookie Policy. To find out more, you may read our Privacy Policy.

    I agree
Search articles by DOI, keyword, author or affiliation
Search
Advanced Search
presentation
Oncology Reports
Join Editorial Board Propose a Special Issue
Print ISSN: 1021-335X Online ISSN: 1791-2431
Journal Cover
April-2018 Volume 39 Issue 4

Full Size Image

Sign up for eToc alerts
Recommend to Library

Journals

International Journal of Molecular Medicine

International Journal of Molecular Medicine

International Journal of Molecular Medicine is an international journal devoted to molecular mechanisms of human disease.

International Journal of Oncology

International Journal of Oncology

International Journal of Oncology is an international journal devoted to oncology research and cancer treatment.

Molecular Medicine Reports

Molecular Medicine Reports

Covers molecular medicine topics such as pharmacology, pathology, genetics, neuroscience, infectious diseases, molecular cardiology, and molecular surgery.

Oncology Reports

Oncology Reports

Oncology Reports is an international journal devoted to fundamental and applied research in Oncology.

Experimental and Therapeutic Medicine

Experimental and Therapeutic Medicine

Experimental and Therapeutic Medicine is an international journal devoted to laboratory and clinical medicine.

Oncology Letters

Oncology Letters

Oncology Letters is an international journal devoted to Experimental and Clinical Oncology.

Biomedical Reports

Biomedical Reports

Explores a wide range of biological and medical fields, including pharmacology, genetics, microbiology, neuroscience, and molecular cardiology.

Molecular and Clinical Oncology

Molecular and Clinical Oncology

International journal addressing all aspects of oncology research, from tumorigenesis and oncogenes to chemotherapy and metastasis.

World Academy of Sciences Journal

World Academy of Sciences Journal

Multidisciplinary open-access journal spanning biochemistry, genetics, neuroscience, environmental health, and synthetic biology.

International Journal of Functional Nutrition

International Journal of Functional Nutrition

Open-access journal combining biochemistry, pharmacology, immunology, and genetics to advance health through functional nutrition.

International Journal of Epigenetics

International Journal of Epigenetics

Publishes open-access research on using epigenetics to advance understanding and treatment of human disease.

Medicine International

Medicine International

An International Open Access Journal Devoted to General Medicine.

Journal Cover
April-2018 Volume 39 Issue 4

Full Size Image

Sign up for eToc alerts
Recommend to Library

  • Article
  • Citations
    • Cite This Article
    • Download Citation
    • Create Citation Alert
    • Remove Citation Alert
    • Cited By
  • Similar Articles
    • Related Articles (in Spandidos Publications)
    • Similar Articles (Google Scholar)
    • Similar Articles (PubMed)
  • Download PDF
  • Download XML
  • View XML
Article Open Access

Yap regulates gastric cancer survival and migration via SIRT1/Mfn2/mitophagy

Retraction in: /10.3892/or.2024.8767
  • Authors:
    • Hongzhu Yan
    • Chengmin Qiu
    • Weiwei Sun
    • Minmin Gu
    • Feng Xiao
    • Jue Zou
    • Li Zhang
  • View Affiliations / Copyright

    Affiliations: Department of Pathology, Seventh People's Hospital of Shanghai University of TCM, Shanghai 200137, P.R. China, Department of Pathology, Songjiang Hospital Affiliated First People's Hospital, Shanghai Jiao Tong University, Shanghai 201600, P.R. China
    Copyright: © Yan et al. This is an open access article distributed under the terms of Creative Commons Attribution License.
  • Pages: 1671-1681
    |
    Published online on: February 7, 2018
       https://doi.org/10.3892/or.2018.6252
  • Expand metrics +
Metrics: Total Views: 0 (Spandidos Publications: | PMC Statistics: )
Metrics: Total PDF Downloads: 0 (Spandidos Publications: | PMC Statistics: )
Cited By (CrossRef): 0 citations Loading Articles...

This article is mentioned in:



Abstract

Gastric cancer is the fifth most common cancer worldwide and Hippo-Yap is the novel signaling pathway which plays an important role in gastric cancer tumor development and progression. However, little insight is available to date regarding the specific role of Yes-associated protein (Yap) in gastric cancer. In the present study, we identified the mechanism through which Yap sustains gastric cancer viability and migration. Yap was greatly upregulated in gastric cancer cells and its expression promoted cellular migration and survival. Functional studies found that knockdown of Yap reduced the mitophagy activity, which subsequently caused mitochondrial apoptosis and cellular oxidative stress. The latter impaired adhesive protein expression, alleviated F-actin expression, blunted lamellipodium formation, leading to inhibition of cancer cell motility. Mechanistically, Yap preserved Sirtuin 1 (SIRT1) activity which manipulated mitofusin 2 (Mfn2) expression and subsequent mitophagy. Loss of Yap reduced SIRT1 expression and inhibited Mfn2-mediated mitophagy. Collectively, our results identified Hippo-Yap as a tumor promoter in gastric cancer that was mediated via activation of the SIRT1/Mfn2/mitophagy axis, with potential applications to gastric cancer therapy involving cancer survival and migration.

Introduction

Gastric cancers continue to pose a significant burden of morbidity and mortality globally (1). It is estimated that gastric cancer is the fifth most common cancer worldwide, and the third leading cause of cancer-related death (2). While important advances have been made in the early detection and treatment of gastric cancers, the majority of patients continue to present with clinical evidence of regional or distant disease (3). While treatment for gastric cancers has traditionally involved combinations of aggressive surgical resection, chemotherapy, and radiotherapy, the percentage of patients achieving 5-year survival remains under 20% (4). Moreover, the detection rate of early gastric cancers is low due to the lack of specific symptoms of early gastric cancer, and therefore, most patients (>70%) develop advanced-stage disease (5). Some patients even lose the opportunity to undergo surgical resection. Metastatic potential may also exist in advanced gastric cancer, thus the overall prognosis is poor. Thereby, due to the intractable nature of these diseases, it is not surprising that attention has turned towards the mechanisms underlying cancer cell survival and migration.

Mitophagy, is an essential housekeeping process that is required to maintain tumor homeostasis. Studies suggest that mitophagy is important for eliminating impaired mitochondria both under baseline conditions and in response to stress. Mitophagy activation may reduce mitochondrial oxidative stress injury, alleviate mitochondrial calcium overload, block mitochondrial pro-apoptotic factor leakage and promote cellular ATP generation (6–8). These data hint that mitophagy is vital for cellular homeostasis. However, research has linked impaired mitophagy to cancer suppression in hepatocellular carcinoma, renal carcinoma, cervical cancer and colorectal cancer (9–11). As for gastric cancers, little evidence is available concerning the role of mitophagy in gastric cancer progression involving cellular migration and survival. Therefore, it is necessary to establish the regulatory role of mitophagy in the biological function of gastric cancers.

Ample evidence has focused on the anti-apoptotic effect of mitophagy on cancer survival. However, there is little research evidence to suggest whether mitophagy has the ability to manipulate cancer migration. Cellular migration involves drastic structural changes, a process that demands high levels of energy and fully functional mitochondria whose quality and quantity are balanced by mitophagy (12). Moreover, several studies have proposed the direct regulatory effect of mitophagy on cellular migration via stress fibers such as F-actin and tubulin (13). Moreover, excessive reactive oxygen species (ROS) or oxidative stress have been found to influence F-actin homeostasis in cancers (14). This information indicates the possible relationship between mitophagy and F-actin-based migration.

Several factors have been found to be related to activation of mitophagy. In response to hypoxic stress, FUNDC1 is dephosphorylated and mediates mitophagy activation, which provides a survival advantage for cardiomyocytes (15). Moreover, under high glucose attack, Bnip3 is activated and offers beneficial actions on β-cells (16). Recently, mitofusin 2 (Mfn2) is a novel controller for mitophagy activation (17). In damaged mitochondria with lower mitochondrial membrane potential, Mfn2 is phosphorylated at Thr-111 and Ser-442 and selectively activates mitophagy (18), resulting in the removal of bad mitochondria by lysosomes. This process could be enhanced by JNK pathways (19). In contrast, loss of Mfn2 is associated with enhanced mitochondrial dysfunction. For example, Mfn2 deficiency in the heart leads to cardiomyopathy (20). The age-induced reduction in Mfn2 levels is involved in musculoskeletal disorders (17). However, whether Mfn2 is involved in gastric cancer cell survival and migration remains unknown.

Yes-associated protein (Yap) is overexpressed and has an oncogenic role in several types of tumors including gastric cancer (21). Yap inhibition by siRNA inhibits gastric carcinoma growth and tumor metastasis, suggesting the vital role of Yap in cancer cell migration and survival (22). Moreover, recent studies have indicated that the Hippo pathway controls the mitochondrial function via Bcl-xL (23), demonstrating the possible relationship between Yap and mitochondria. Whether mitophagy is signaled by Yap and contributes to cancer progression is incompletely understood. In the present study, we explored the role of Yap in gastric cancer migration and survival, particularly focusing on Mfn2-mediated mitophagy.

Materials and methods

Ethics statement

The present study was conducted in accordance with the Declaration of Helsinki and the guidelines of the Ethics Committee of Shanghai Jiao Tong University Institutional Animal Care and Use Committee. All experimental protocols were approved by the Ethics Committee of Shanghai Jiao Tong University Institutional Animal Care and Use Committee. The animals were cared for in accordance with the Guide to the Care and Use of Experimental Animals (Vol. 1, 2nd edition, 1993, and Vol. 2, 1984, available from the Canadian Council on Animal Care, Constitution Square, Tower 2, Suite 315, 350 Albert Street, Ottawa, ON K1R 1B1, Canada, or on their Web site at www.ccac.ca), or the Guide for the Care and Use of Laboratory Animals (1996, published by National Academy Press, 2101 Constitution Ave. NW, Washington, DC 20055, USA).

Cell culture

The human normal gastric mucosal cell line GES-1 and human gastric cancer cell line AGS were all purchased from the American Type Culture Collection (ATCC) (Manassas, VA, USA) (24). Next, the cell lines were incubated in the Roswell Park Memorial Institute (RPMI)-1640 medium containing 10% fetal bovine serum (FBS) in an incubator with 5% CO2 at 37°C.

ROS detection and NAO staining

To detect cellular ROS production, DCFH-DA (Beyotime Institute of Biotechnology, Jiangsu, China) was used. In brief, cells were incubated in FBS-free DMEM containing DCFH-DA (10 µM) for 30 min (25). Then, the cells were washed with PBS. Flow cytometric analyses were performed using a BD FACSCalibur™ flow cytometer (BD Biosciences, San Jose, CA, USA).

To measure the oxidation of cardiolipin, 10-N-nonyl acridine orange (NAO; 2 mmol/l; Molecular Probes, Eugene, OR, USA) was used. In normal cells, NAO interacts with non-oxidized cardiolipin and produces a characteristic green fluorescence (26). However, after cardiolipin is oxidized, NAO cannot bind to it. We evaluate the fluorescence intensity to reflect the cardiolipin oxidation. Image-Pro Plus 6.0; Media Cybernetics, Rockville, MD, USA) was used to obtain the mean densities of the region of interest (27), which was normalized to that of the control group.

Transwell assay

Cells in all groups were digested and added into a 24-well Transwell plate where the chambers were then transferred in a manner that may avoid the formation of bubbles. A total of 0.5 ml cell suspension was added into the chambers and they were then incubated in an incubator for 24 h (28). Subsequently, the extra liquids in the upper and lower chambers were discarded and cells in the upper chamber above the Transwell membrane was carefully wiped off using a cotton swab. Cells transferred in the lower chambers were fixed using pre-cooled formalin for 30 min, stained using 1% crystal violet for 10 min and washed in running water until they were totally clean (29). Cells were dried naturally and observed under the microscope. Images were captured and observation results were recorded.

Scratch assay

When cell attachment was observed at the plate bottom, a sterile spearhead was used to slightly draw a line in the well, ensuring that the widths of all scratches were the same. Images were captured and the cover of 6-well plate was marked properly to guarantee the same observation field (30). After 24 h, an Olympus inverted microscope was employed for observation of 6 fixed fields of vision.

Immunofluorescence

The cells were washed in PBS and permeabilized for 10 min at 4°C in a solution of 0.1% Triton X-100 and 0.1% sodium citrate in PBS. Cells were washed 3 times in PBS and incubated overnight at 4°C with the primary antibody (30). The primary antibodies used in the present study were as follows: Tomm20 (1:1,000, #ab78547), LAMP1 (1:1,000, #ab24170), F-actin (1:1,000, #ab205) and cyt-c (1:1,000, #ab133504) (all from Abcam, Cambridge, MA, USA), Sirt1 (1:500, #2310), Mfn2 (1:1,000, #11925) (both from Cell Signaling Technology, Inc., Danvers, MA, USA).

Immunoblotting

Immunoblotting was carried out as described previously (31,32). Briefly, the cells were washed with PBS and lysed in RIPA buffer containing 1.0% Triton X-100, 0.5% sodium deoxycholate, 0.1% SDS, 150 mM NaCl, 50 mM Tris-HCl (pH 8.0), 10 mg/ml pepstatin A, 10 mg/ml leupeptin and 1 mM phenylmethylsulfonyl fluoride (PMSF). After centrifugation for 10 min, supernatant with 20 mg protein for each sample was subjected to immunoblotting analysis (33). Primary antibodies used for immunoblotting were as follows: pro-caspase-3 (1:1,000; #9662), cleaved caspase-3 (1:1,000; #9664; both from Cell Signaling Technology), Bad (1:2,000; #ab90435; Abcam), Bax (1:2,000; #5023; Cell Signaling Technology), caspase-9 (1:1,000; #ab32539), Bnip3 (1:1,000; #ab109362; both from Abcam), LC3II (1:1,000; #3868; Cell Signaling Technology), p62 (1:1,000; #ab56416; Abcam), Beclin1 (1:1,000; #3495), Atg5 (1:1,000; #12994), Sirt1 (1:1,000; #2310), Mfn2 (1:1,000; #11925), FAK (1:1,000; #3285), integrin β1 (1:1,000; #34971), Talin-1 (1:1,000; #4021) (all from Cell Signaling Technology).

RNA isolation and quantitative RT-PCR (qPCR)

Total RNA was isolated from cells using TRIzol reagent (Invitrogen, Carlsbad, CA, USA). RNA (1 µg) from each sample was reversely transcribed into cDNA using a Reverse Transcription kit (Eurogentec, Fremont, CA, USA). qPCR was performed with primers and matched probes from the Universal Fluorescence-labeled Probe Library (Roche, Basel, Switzerland) (34). The primers used in the present study were as follows: FAK forward primer, 5′-GACTGGCCCAGTGTTCTTCGCTTC and reverse primer, 5′-GCTTCTGACAGAAGGAAAGCCAAC; integrin β1 forward primer, 5′-TCAAACAACTTCATGGTCCCAGTGCTC and reverse primer, 5′-TAAACCTGACTGGTTCGGGGGATTTCT; Talin-1 forward primer, 5′-CGACATGACCAAGTGGGAGCAGAAGTA and reverse primer, 5′-TGGAGCACCTTTAACCTGCTTTCCATC.

JC-1 staining and ATP detection

The mitochondrial potential was assessed using the probe JC-1, a sensitive fluorescent dye used to detect changes in mitochondrial potential (35). Briefly, after treatment, cells were incubated with 10 mg/ml JC-1 for 10 min at 37°C in the dark and monitored with a fluorescence microscope. Red-orange fluorescence was attributable to a potential-dependent aggregation in the mitochondria. Green fluorescence, reflecting the monomeric form of JC-1, appeared in the cytosol after mitochondrial membrane depolarization.

The level of ATP in cells was determined using the ATP Bioluminescence Assay kit. Briefly, harvested cultured cells were lysed with a lysis buffer, followed by centrifugation for 2 min at 4°C. Finally, the level of ATP was determined by mixing 50 µl of the supernatant with 50 µl of luciferase reagent (36), which catalyzed the light production from ATP and luciferin. The emitted light was linearly related to the ATP concentration and measured using a microplate luminometer.

MTT and TUNEL assay

MTT experiments were performed in 96-well plates. The cells were applied to the scaffold at a density of 104 cells/well. After 2 or 3 days of culture, the samples were washed 3 times with PBS, and then 50 µl of MTT was added to each well (37). The samples were then incubated for 4 h in a humid atmosphere. The MTT solution was removed and 200 µl DMSO was added to each sample and incubated for 10 min. After the addition of Sorensen's buffer, the absorbance was determined at a wavelength of 570 nm.

A TUNEL assay to detect DNA fragmentation in cell nuclei (a marker for apoptosis in testicular tissue), was performed using an In Situ Cell Death Detection kit (Roche, Mannheim, Germany), according to the manufacturer's protocol. DAPI was used to label the nuclei. The results are expressed as apoptotic cells/tubule cross-section (38).

Small RNA interference assay

To evaluate the functional role of Yap, siRNA was used to reduce its expression. For Yap, the sense strand siRNA, 5′-GCGACATTCAGGGUGACUAUU-3′ and antisense strand siRNA, 3′-TCGCUGUUCCTCCCACUGAUAAU-5′ were used (39). Briefly, cultured cells were washed with Opti-Minimal Essential Medium without serum or antibiotics and seeded in 6-well plates to 30–40% confluence. The transfection reagent and siRNA were diluted separately in serum-free media, mixed and incubated for 10 min at room temperature to form the siRNA/lipid complex. This complex was then added to each well at a final concentration of 70 nM/well of siRNA. At 48 h after transfection, cells were collected to determine Yap protein expression levels by western blot analysis (40).

Statistical analysis

Data analysis was conducted using SPSS 19.0 statistical software (SPSS, Inc., Chicago, IL, USA). Measurement data are presented as mean ± standard deviation (SD). The one-way analysis of variance (ANOVA) was conducted to analyze comparisons among multi-groups. P<0.05 was assigned as indicative of statistical significance.

Results

Yap is upregulated in gastric cancer and activates mitophagy

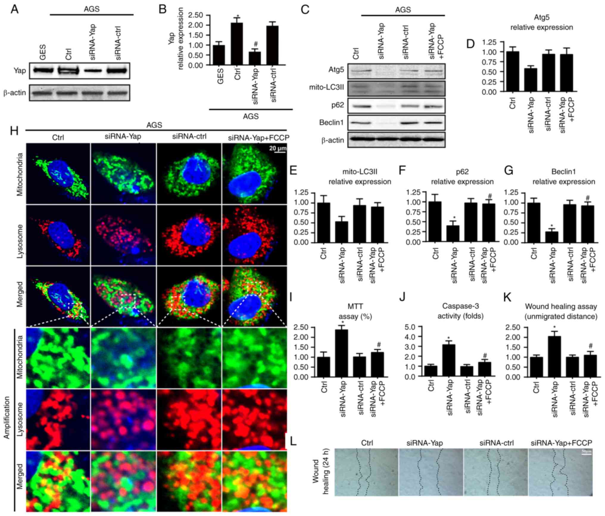
To determine the expression of Yap in gastric cancer in the present study, we carried out qRT-PCR and western blot analysis in normal gastric mucosal cell line GES-1 and gastric cancer cell line AGS. We found abundant Yap expression in AGS but not in the normal gastric mucosal cells (Fig. 1A and B), suggesting that Yap may be involved in the development of gastric cancer. To explain the role of Yap in gastric cancer, we stably knocked down Yap expression using the siRNA technique in AGS cells. The knockdown efficiency was confirmed by western blotting (Fig. 1A and B). Since mitophagy is vital for cancer biological function, we observed the change in mitophagy under Yap deficiency. Loss of Yap reduced mitophagy as evidenced by a lower content of mito-LC3II, p62, Beclin1 and Atg5 (Fig. 1C-G). These data indicated that Yap sustained mitophagy activity. To further provide more evidence for the role of Yap in mitophagy, we conducted the co-staining of mitochondria and lysosomes. As shown in Fig. 1H, loss of Yap reduced the overlap of mitochondria and lysosomes. However, there was no change concerning the mitochondria and lysosomes in the siRNA-control group. Altogether, these data confirmed that Yap is a vital signal for mitophagy activation.

Figure 1.

Yap is upregulated in gastric cancer and sustains mitophagy activity. (A and B) Expression of Yap in normal gastric mucosal cell line GES-1 and gastric cancer cell line AGS. Yap was upregulated in gastric cancer when compared to the normal cells. Meanwhile, siRNA was used to knockdown the expression of Yap in gastric cancer in order to conduct loss-of-function assay for Yap. The knockdown efficiency was examined via western blot analyses. (C-G) The change in expression of mitophagy markers such as mitochondrially contained LC3II, Beclin1, p62 and Atg5. Loss of Yap was associated with mitophagy inhibition. Meanwhile, FCCP, an activator of mitophagy, was used to conduct gain-of-function assay for mitophagy. (H) The co-staining of mitochondria and lysosomes. The overlap of mitochondria and lysosomes indicated mitophagy which was demonstrated by orange fluorescence. (I) MTT assay was used to detect cellular viability. (J) The change in caspase-3 activity. (K and L) Wound healing assay was used to detect cellular mobilization. After 24 h, the distance was measured and is expressed as the unmigrated distance. *P<0.05 vs. the Ctrl group, #P<0.05 vs. the siRNA-Yap group. Yap, Yes-associated protein; Atg5, autophagy protein 5.

Next, we used MTT, caspase-3 activity and wound healing assay to examine the influence of mitophagy on gastric cancer viability and migration. Meanwhile, FCCP, an activator of mitophagy, was used as the gain-of-function assay in Yap-deleted AGS cells. Compared to the control group, loss of Yap reduced cellular viability as revealed by a lower OD value and increased caspase-3 activity (Fig. 1I and J). However, re-activation of mitophagy by FCCP under Yap deficiency reversed cellular viability (Fig. 1I and J). Similarly, results from the wound healing assay also uncovered that Yap promoted cancer mobilization (Fig. 1K and L). Loss of Yap reduced the distance of cancer mobilization and this tendency was reversed by FCCP (Fig. 1K and L). Collectively, these data indicated that Yap maintained gastric cancer viability and mobilization via mitophagy.

Mitophagy inhibits gastric cancer death via blocking the caspase-9-related apoptosis pathway

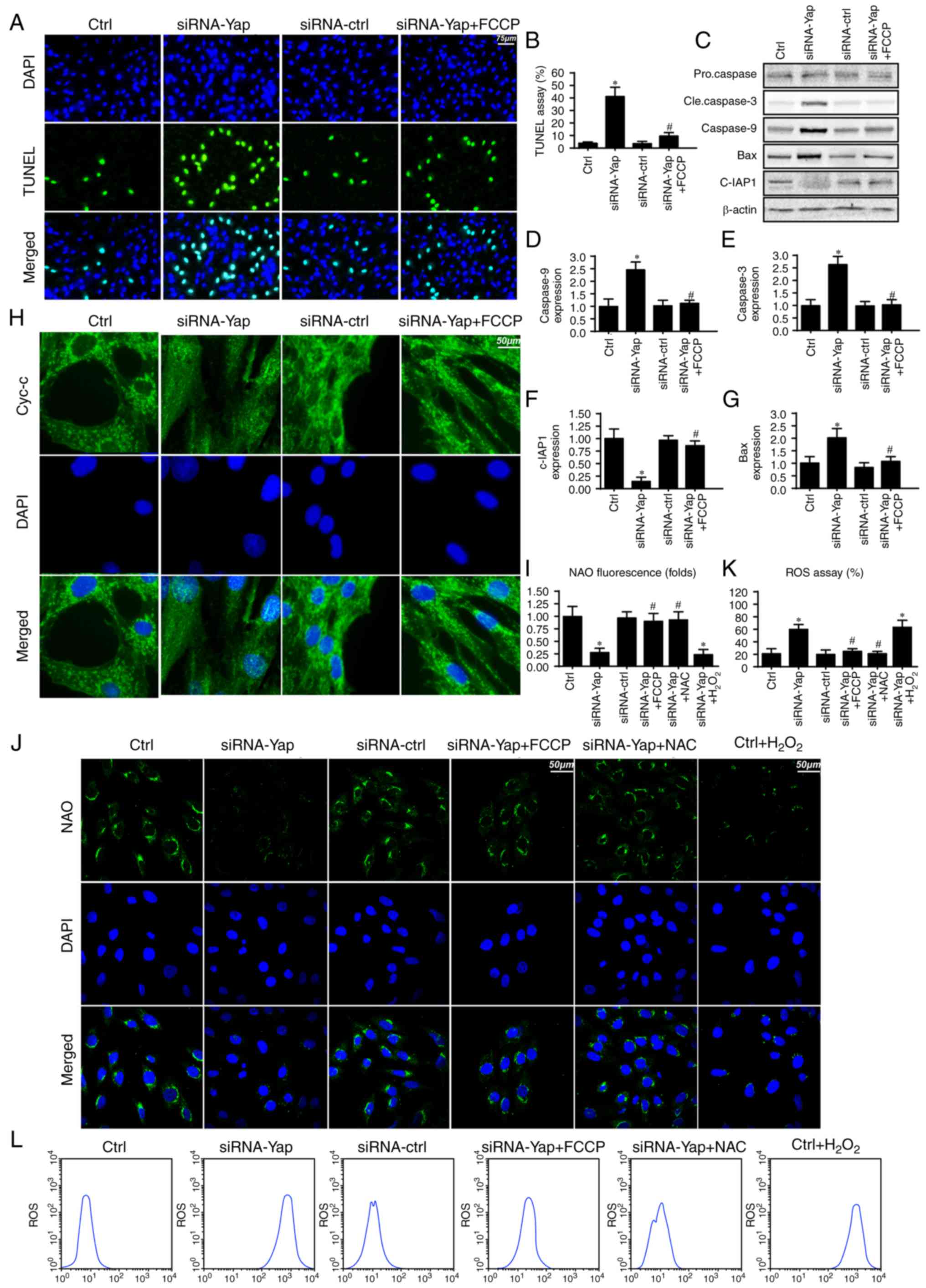
To further investigate the mechanism by which mitophagy sustains cellular viability, we firstly detected the cellular apoptotic rate under Yap deficiency. Loss of Yap increased the number of TUNEL-positive cells (Fig. 2A and B). However, this harmful effect of Yap deficiency was reversed by re-activation of mitophagy. These data indicated that Yap preserved gastric cancer cell viability via blocking cellular apoptosis.

Figure 2.

Mitophagy is responsible for gastric cancer viability via inhibition of the caspase-9 apoptotic pathway. (A and B) Cellular death was detected via TUNEL assay. The number of TUNEL-positive cells was calculated. (C-G) Change in the expression of apoptotic proteins such as caspase-3, caspase-9, Bax and c-IAP1. Loss of Yap increased the expression of pro-apoptotic proteins and decreased c-IAP1, which was reversed by mitophagy activation by FCCP. (H) Cytochrome c (cyt-c) leakage assay. (I and J) Staining of oxidative cardiolipin. NAO interacted the non-oxidative cardiolipin and demonstrated green fluorescence. However, after cardiolipin was oxidized, NAO failed to interact with cardiolipin and therefore the green fluorescence was reduced. (K and L) The change in cellular oxidative stress. Loss of Yap was associated with ROS overproduction and reactivation of mitophagy by FCCP reduced the ROS outburst. *P<0.05 vs. the Ctrl group, #P<0.05 vs. siRNA-Yap group. Yap, Yes-associated protein; NAO, 10-N-nonyl acridine orange; ROS, reactive oxygen species.

Since mitophagy is a self-clearing system for mitochondria; therefore, we proposed that Yap-regulated mitophagy has the ability to reduce the caspase-9-related mitochondrial apoptosis pathway. Firstly, we measured the change in proteins related to the caspase-9 apoptosis pathway. Loss of Yap increased caspase-3 and −9 and Bax expression but reduced c-IAP1 content (Fig. 2C-G). These data indicated that Yap deletion initiated caspase-9-related cellular apoptosis. However, upon reactivation of mitophagy by FCCP, the apoptotic markers were abated (Fig. 2C-G).

Apart from the downstream protein alteration, we also observed that Yap loss aggravated cytochrome c (cyt-c) leakage from mitochondria via immunofluorescence (Fig. 2H). However, this trend was reversed by mitophagy activation by FCCP (Fig. 2H). The cyt-c release was derived from mitochondrial oxidative stress. In healthy cells, mitochondrial cardiolipin retains cyt-c in the inner membrane of mitochondria. However, upon oxidation, cardiolipin may liberate cyt-c contributing to cyt-c leakage into the cytoplasm via mPTP. Therefore, we used NAO to observe cardiolipin oxidation. As shown in Fig. 2I and J, loss of Yap increased the expression of oxidized cardiolipin (CL). However, activation of mitophagy may reduce cardiolipin oxidation. Since cardiolipin oxidation is derived from excessive ROS, we aimed to ascertain whether Yap-regulated mitophagy had the ability to alleviate cellular oxidative stress. As shown in Fig. 2K and L, Yap deletion caused ROS overproduction via flow cytometric analysis. Upon re-activation of mitophagy in Yap-deleted gastric cells by FCCP, the ROS content was reduced. Notably, we used the exogenous H2O2 to mimic the ROS outburst in the control gastric cancer cells, which was used as the positive control group. Meanwhile, NAC, a ROS scavenger, was used to remove the oxidative stress in Yap-deleted cells, which was used as the negative control group. Exogenous H2O2 not only increased the cellular ROS content (Fig. 2L) but also induced cardiolipin (Fig. 2J). However, NAC had the ability to reduce oxidative stress (Fig. 2L) and (Fig. 2J) in Yap-deleted cells. Altogether, these data indicated that Yap was the housekeeper for gastric cancer cell survival via activation of mitophagy which blocked the caspase-9-related apoptotic pathways.

Mitophagy handles F-actin-based cellular migration via reducing oxidative stress

Apart from cellular apoptosis, cellular migration is another factor for the development of gastric cancer. Since cancer migration is related to the F-actin-mediated cytoskeletal rearrangement, F-actin may contribute to the formation of lamellipodia which directs the cancer cells to move in some direction. In the present study, we used the cell membrane dye DiO to observe the change in lamellipodium. We found that loss of Yap impaired the formation of lamellipodia (Fig. 3A and B). The shorter and less lamellipodium appeared in response to the Yap loss (Fig. 3A and B), which was accompanied by a lower number of migrated cells via Transwell assay (Fig. 3C and D). However, activation of mitophagy reversed the formation of lamellipodium and therefore facilitated cellular migration. These data indicated that Yap regulated lamellipodium-based migration via mitophagy.

Figure 3.

Mitophagy regulates F-actin homeostasis and cancer migration. (A and B) The change in cancer cell lamellipodia. The cellular membrane dye DiO was used to label the lamellipodia in the cellular membrane. Meanwhile, the white and black image was acquired and was amplified to observe the length of lamellipodia. (C and D) The change in cellular migration via Transwell assay. (E and F) The lamellipodia were formed by the F-actin. The F-actin antibody was used to observe the change in F-actin intensity. (G-I) The mRNA change in adhesive proteins of FAK, integrin β1 and Talin-1. (J-M) The change in FAK, integrin β1 and Talin-1 at the protein level. *P<0.05 vs. the Ctrl group, #P<0.05 vs. the siRNA-Yap group. Yap, Yes-associated protein.

The lamellipodium consists of F-actin, a kind of stress fiber (41). We found that Yap loss caused F-actin downregulation via immunofluorescence assay (Fig. 3E and F). However, activation of mitophagy reversed the F-actin expression despite deletion of Yap. To ascertain the underlying mechanism underlying F-actin collapse under Yap inhibition, we focused on the ROS-induced oxidative stress. Previous research suggests that F-actin is regulated by oxidative stress and excessive ROS may impair F-actin synthesis (42). In the present study, we found that exogenous H2O2 treatment reduced the F-actin immunofluorescence intensity which was similar to the results noted in the Yap-deleted cells (Fig. 3E and F). However, removal of ROS via NAC in Yap-deleted cells, restored the F-actin content, comparable to the effect of mitophagy reactivation in Yap-deleted cells.

Apart from cytoskeletal rearrangement, adhesive proteins are also implicated in cellular migration (43). The expression of the adhesive markers FAK, integrin β1 and Talin-1 were analyzed using qPCR (Fig. 3G-I) and western blot analyses (Fig. 3J-M). The results revealed that Yap inhibition reduced FAK, Integrin β1 and Talin-1 expression at the mRNA and protein levels. In contrast, mitophagy activation by FCCP exerted opposite effects in relation to Yap deletion. Altogether, these results indicatedan important role of Yap in modulating gastric cancer migration via mitophagy.

Yap modulates mitophagy via the SIRT1/Mfn2 pathway

To ascertain the mechanism by which Yap sustains mitophagy activity, we focused on Mfn2 expression which is a novel receptor of mitophagy (44). We demonstrated that loss of Yap expression reduced Mfn2 expression when compared to the control group (Fig. 4A and C). Furthermore, several studies have suggested that Sirtuin 1 (SIRT1) is the upstream inducer of Mfn2 expression (45), and therefore, we aimed to ascertain whether SIRT1 is involved in Mfn2 regulation by Yap. Firstly, we found that loss of Yap was associated with the downregulation of SIRT1 (Fig. 4A and B). Furthermore, SIRT1 activator SRT1720 was used and it reversed SIRT1 expression albeit Yap deletion (Fig. 4A and B). Moreover, application of SRT1720 further restored siRNA-Yap-reduced Mfn2 expression (Fig. 4A-C). These data established the regulatory role of SIRT1 in Mfn2 expression.

Figure 4.

Yap modulates mitophagy via the SIRT1/Mfn2 pathways. (A-C) Change in SIRT1 and Mfn2 expression. Yap reduced the SIRT1 expression which alleviated the Mfn2 content. SRT (SRT1720), an activator of SIRT1, was used to reverse the SIRT1 expression in response to Yap deficiency. Restoration of SIRT1 reversed the Mfn2 expression. (D) The co-staining of SIRT1 and Mfn2. Loss of SIRT1 due to Yap deficiency was responsible for Mfn2 inactivation. (E-G) Recovery of SIRT1/Mfn2 pathways enhanced the expression of mitophagy markers, mito-LC3II, Atg5 and p62. *P<0.05 vs. the Ctrl group, #P<0.05 vs. the siRNA-Yap group. Yap, Yes-associated protein; Mfn2, mitofusin 2; SIRT1, Sirtuin 1; Atg5, autophagy protein 5.

To provide further evidence for the role of SIRT1 in Mfn2 expression, we co-stained for SIRT1 and Mfn2. As shown in Fig. 4D, compared to the control group, loss of Yap reduced the SIRT1 and Mfn2 expression. However, SIRT1 activator SRT1720 reversed the SIRT1 expression and subsequent upregulated the Mfn2 content. Next, to demonstrate whether the SIRT/Mfn2 pathway was responsible for mitophagy activation, we examined the proteins involved in mitophagy. As shown in Fig. 4A and E-G, compared to the Yap-silenced group, reactivation of SIRT1 reversed the mitophagy activity as evidenced by increased mito-LC3II, Atg5 and p62. Altogether, these findings demonstrated that Yap signaled mitophagy via the SIRT1/Mfn2 pathway.

SIRT1/Mfn2 pathway is also involved in mitochondrial protection

Finally, to ascertain whether SIRT1 and Mfn2 are involved in gastric cancer viability, we observed mitochondrial function under SIRT1 activation. Firstly, mitochondria are the center for cellular energy metabolism. However, loss of Yap reduced ATP production (Fig. 5A). This harmful effect was reversed by SIRT1 reactivation. Since the mitochondrial membrane potential is the source of ATP production (33), we consequently assessed the change in mitochondrial potential. Compared to the control group, loss of Yap reduced the membrane potential, which was restored via SIRT1 activator (Fig. 5B and D). Furthermore, loss of Yap is associated with increased mPTP opening rate. In contrast, reactivation of SIRT1 suppressed the extensive mPTP opening (Fig. 5C). The mPTP opening provides a channel for proton leakage into the cytoplasm, finally leading to membrane potential collapse.

Figure 5.

SIRT1/Mfn2 pathways are involved in mitochondrial homeostasis. (A) The change in cellular ATP content. Loss of Yap contributed to ATP deficiency which was inhibited via SIRT1 activation. (B and D) The change in mitochondrial membrane potential. (C) The mPTP opening rate. (E and F) The change in cellular oxidative markers. (H) Caspase-3 activity was used to demonstrate cellular viability. *P<0.05 vs. the Ctrl group, #P<0.05 vs. the siRNA-Yap group. Yap, Yes-associated protein; Mfn2, mitofusin 2; SIRT1, Sirtuin 1.

Apart from energy production, mitochondria also produce excessive ROS to induce cellular apoptosis (46). In the present study, we found that cellular anti-oxidant factors such as GSH and SOD were downregulated in response to the loss of Yap (Fig. 5E and G). In contrast, MDA, an end product of lipid peroxidation, was upregulated (Fig. 5F), indicative of cellular oxidative stress. However, recovery of SIRT1 exerted an opposite effect and reduced the levels of these markers of cellular oxidative stress (Fig. 5E-G). Furthermore, we also assessed caspase-3 activity to ascertain whether SIRT1/Mfn2 is involved in cellular damage. Restoration of SIRT1 via its activator reduced the caspase-3 activity when compared to the Yap deficiency group (Fig. 5H). Collectively, these data indicate that the SIRT1/Mfn2 pathway regulated by Yap is vital for mitochondrial function and cellular viability.

Discussion

Gastric cancer is a multifactorial process, and many molecular alterations have been shown to influence tumor initiation and development through abnormal gene expression or protein alterations (1). Gastric cancer is the fifth leading cause of cancer-related death in both males and females worldwide and accounts for 8.8% of all such deaths (33). Over the past several decades, studies concerning gastric cancer have provided knowledge about the genetic, epigenetic, transcriptome and metabolic alterations underlying this disease. Although the exact cause of gastric cancer is unclear, its pathogenesis is the same as that of other malignant tumors. it is a multi-step, multi-factorial comprehensive disease. Gastric cancer cases can be divided into early- and advanced-stage gastric cancer. In recent years, the 5-year mortality rate has significantly decreased for early gastric cancer patients given the development of enteroscopy and surgical techniques. However, for advanced gastric cancer, the 5-year mortality remains 30–50% (3). Early-stage gastric cancers are limited to the mucosa or submucosa, regardless of the size of the lesion and the presence of lymph node metastasis. Cancer that extends beyond the submucosa to invade the gastric muscular layer is middle-stage gastric cancers (47), whereas tumors that infiltrate into or beyond the subserosa to nearby organs or metastasize are advanced-stage gastric cancers. In brief, advanced-stage gastric cancer patients have a reduced survival rate and the tumors exhibit a more aggressive or invasive property. Since the stage of the tumor determines treatment effectiveness and treatment strategy, it is worthwhile to explore the mechanism of gastric cancer progression such as survival, migration, invasion and apoptosis.

In the present study, we identified that Yap is a necessary factor for maintaining gastric cancer migration and viability. Yes-associated protein (Yap) is a 65 kDa proline-rich phosphoprotein, which is located at locus 11q22 (48). A previous study reported that YAP may have oncogenic functions, and elevated YAP expression is associated with malignant tumors (21,49). In the present study, we found that Yap expression is increased in gastric cancer when compared to that noted in normal gastric mucosal cells. Moreover, Yap expression was associated with gastric cancer cell viability and migration, suggesting the tumor-promotive effect of Yap. To the best of our knowledge, this is the first study to describe the role of Yap in gastric cancer migration and survival, which supports the mechanism involved in the tumor development and progression by Yap. More importantly, our data offer a potential therapeutic target to intervene against gastric cancer involving cancer cell survival and migration. However, more clinical data are needed to support our theory.

We determined that Yap promoted cancer cell survival and mobilization via mitophagy. Loss of Yap abated the level of mitophagy, leading to the activation of the caspase-9-related apoptotic pathways (50). Moreover, mitophagy inactivation was also related to excessive oxidative stress which caused F-actin degradation and lamellipodium collapse, finally leading to impairment in cancer cell motility. Although the majority of studies have uncovered the anti-apoptotic action of mitophagy on cell fate regardless of cancer cells or normal cells (51,52), little attention has focused on the relationship between cellular migration and mitophagy. We demonstrated that mitophagy contributed to the cellular migration by reducing ROS. Previous studies have found that oxidative injury may induce F-actin degradation and collapse, which eventually blunts the formation of lamellipodium. These findings were similar to our results. Based on this, we confirmed the core role of mitophagy in cellular migration (53). Notably, we also found that mitophagy had the ability to increase ATP production. Considering that the cellular migration is dependent on energy production, the ATP-promotive effect of mitophagy could be another factor to enhance cellular migration.

We found that Yap was the upstream controller of mitophagy, which elucidated the regulatory machinery of mitophagy. Mechanistically, Yap preserved Mfn2 expression which enhanced mitophagy activity. Furthermore, SIRT1 was signaled by Yap and sustained Mfn2-required mitophagy. These data hint at the possible links between Yap and mitochondria. Recent research has found that Yap preserves mitochondrial function via regulation of JNK pathways (54). In the present study, we confirmed that the protective effect of Yap on mitochondria was attributed to mitophagy activation. Accordingly, our findings provide more information to the role of Yap in tumorigenesis involving mitochondrial homeostasis.

Collectively, the results of our study illustrate the important role of Yap in gastric cancer migration and survival (Fig. 6). Yap signals Sirt1 which activates Mfn2-mediated mitophagy, contributing to mitochondrial homeostasis. The Yap/SIRT1/Mfn2/mitophagy pathways block the caspase-9-related apoptotic axis and enhance F-actin-based cellular migration, responsible for gastric cancer cell migration and survival. These data identify Yap/SIRT1/Mfn2/mitophagy pathways as a potential target for the treatment of gastric cancer, and highlight a new strategy for treating gastric cancer involving Yap protein and Mfn2-mediated mitophagy.

Figure 6.

Yap sustains gastric cancer migration and viability via mitophagy. Yap activates SIRT1 which enhances the mitophagy receptor Mfn2 expression, strongly maintaining mitophagy activity. Mitophagy blocks the caspase-9 apoptotic pathway, abates cellular oxidative and prevents mitochondrial function. These protective effects of Yap/SIRT1/Mfn2 contribute to cell survival and migration. Yap, Yes-associated protein; Mfn2, mitofusin 2; SIRT1, Sirtuin 1

Acknowledgements

Not applicable.

Funding

The present study was supported by grants from the project of Songjiang District Science and Technology Commission (no. 15SJGG29).

Availability of data and materials

All data generated or analyzed during this study are included in this published article.

Authors' contributions

HZY, CMQ and WWS were involved in conception and design, performance of experiments, data analysis and interpretation, as well as manuscript writing. MMG, FX, JZ and LZ were involved in data analysis and interpretation.

Ethics approval and consent to participate

Not applicable.

Consent for publication

Not applicable.

Competing interests

The authors declare that they have no competing interests.

Authors' information

Not applicable.

References

1 

Procaccio L, Schirripa M, Fassan M, Vecchione L, Bergamo F, Prete AA, Intini R, Manai C, Dadduzio V, Boscolo A, et al: Immunotherapy in gastrointestinal cancers. Biomed Res Int. 2017:43465762017. View Article : Google Scholar : PubMed/NCBI

2 

Garattini SK, Basile D, Cattaneo M, Fanotto V, Ongaro E, Bonotto M, Negri FV, Berenato R, Ermacora P, Cardellino GG, et al: Molecular classifications of gastric cancers: Novel insights and possible future applications. World J Gastrointest Oncol. 9:194–208. 2017. View Article : Google Scholar : PubMed/NCBI

3 

McLean MH and El-Omar EM: Genetics of gastric cancer. Nat Rev Gastroenterol Hepatol. 11:664–674. 2014. View Article : Google Scholar : PubMed/NCBI

4 

Lee YC, Chiang TH, Chou CK, Tu YK, Liao WC, Wu MS and Graham DY: Association between Helicobacter pylori eradication and gastric cancer incidence: a systematic review and meta-analysis. Gastroenterology. 150:1113–1124 e5. 2016. View Article : Google Scholar : PubMed/NCBI

5 

Veitch AM, Uedo N, Yao K and East JE: Optimizing early upper gastrointestinal cancer detection at endoscopy. Nat Rev Gastroenterol Hepatol. 12:660–667. 2015. View Article : Google Scholar : PubMed/NCBI

6 

Rizzo NR, Hank NC and Zhang J: Detecting presence of cardiovascular disease through mitochondria respiration as depicted through biophotonic emission. Redox Biol. 8:11–17. 2016. View Article : Google Scholar : PubMed/NCBI

7 

Du K, Ramachandran A and Jaeschke H: Oxidative stress during acetaminophen hepatotoxicity: Sources, pathophysiological role and therapeutic potential. Redox Biol. 10:148–156. 2016. View Article : Google Scholar : PubMed/NCBI

8 

Zhou H, Wang S, Zhu P, Hu S, Chen Y and Ren J: Empagliflozin rescues diabetic myocardial microvascular injury via AMPK-mediated inhibition of mitochondrial fission. Redox Biol. 15:335–346. 2018. View Article : Google Scholar : PubMed/NCBI

9 

Lin YW, Lee LM, Lee WJ, Chu CY, Tan P, Yang YC, Chen WY, Yang SF, Hsiao M and Chien MH: Melatonin inhibits MMP-9 transactivation and renal cell carcinoma metastasis by suppressing Akt-MAPKs pathway and NF-κB DNA-binding activity. J Pineal Res. 60:277–290. 2016. View Article : Google Scholar : PubMed/NCBI

10 

Pariente R, Pariente JA, Rodriguez AB and Espino J: Melatonin sensitizes human cervical cancer HeLa cells to cisplatin-induced cytotoxicity and apoptosis: Effects on oxidative stress and DNA fragmentation. J Pineal Res. 60:55–64. 2016. View Article : Google Scholar : PubMed/NCBI

11 

Prieto-Dominguez N, Ordóñez R, Fernández A, Méndez-Blanco C, Baulies A, Garcia-Ruiz C, Fernández-Checa JC, Mauriz JL and González-Gallego J: Melatonin-induced increase in sensitivity of human hepatocellular carcinoma cells to sorafenib is associated with reactive oxygen species production and mitophagy. J Pineal Res. 61:396–407. 2016. View Article : Google Scholar : PubMed/NCBI

12 

Burridge K: Focal adhesions: A personal perspective on a half century of progress. FEBS J. 284:3355–3361. 2017. View Article : Google Scholar : PubMed/NCBI

13 

Zhou H, Zhu P, Guo J, Hu N, Wang S, Li D, Hu S, Ren J, Cao F and Chen Y: Ripk3 induces mitochondrial apoptosis via inhibition of FUNDC1 mitophagy in cardiac IR injury. Redox Biol. 13:498–507. 2017. View Article : Google Scholar : PubMed/NCBI

14 

Shi X and Sun X: Regulation of paclitaxel activity by microtubule-associated proteins in cancer chemotherapy. Cancer Chemother Pharmacol. 80:909–917. 2017. View Article : Google Scholar : PubMed/NCBI

15 

Zhou H, Li D, Zhu P, Hu S, Hu N, Ma S, Zhang Y, Han T, Ren J, Cao F and Chen Y: Melatonin suppresses platelet activation and function against cardiac ischemia/reperfusion injury via PPARγ/FUNDC1/mitophagy pathways. J Pineal Res. 63:2017. View Article : Google Scholar :

16 

Tol MJ, Ottenhoff R, van Eijk M, Zelcer N, Aten J, Houten SM, Geerts D, van Roomen C, Bierlaagh MC, Scheij S, et al: A PPARγ-bnip3 axis couples adipose mitochondrial fusion-fission balance to systemic insulin sensitivity. Diabetes. 65:2591–2605. 2016. View Article : Google Scholar : PubMed/NCBI

17 

Sebastián D, Sorianello E, Segalés J, Irazoki A, Ruiz-Bonilla V, Sala D, Planet E, Berenguer-Llergo A, Muñoz JP, Sánchez-Feutrie M, et al: Mfn2 deficiency links age-related sarcopenia and impaired autophagy to activation of an adaptive mitophagy pathway. EMBO J. 35:1677–1693. 2016. View Article : Google Scholar : PubMed/NCBI

18 

Leboucher GP, Tsai YC, Yang M, Shaw KC, Zhou M, Veenstra TD, Glickman MH and Weissman AM: Stress-induced phosphorylation and proteasomal degradation of mitofusin 2 facilitates mitochondrial fragmentation and apoptosis. Mol Cell. 47:547–557. 2012. View Article : Google Scholar : PubMed/NCBI

19 

Peng J, Ren KD, Yang J and Luo XJ: Mitochondrial E3 ubiquitin ligase 1: A key enzyme in regulation of mitochondrial dynamics and functions. Mitochondrion. 28:49–53. 2016. View Article : Google Scholar : PubMed/NCBI

20 

Zhao T, Huang X, Han L, Wang X, Cheng H, Zhao Y, Chen Q, Chen J, Cheng H, Xiao R and Zheng M: Central role of mitofusin 2 in autophagosome-lysosome fusion in cardiomyocytes. J Biol Chem. 287:23615–23625. 2012. View Article : Google Scholar : PubMed/NCBI

21 

Ahmed AA, Mohamed AD, Gener M, Li W and Taboada E: YAP and the Hippo pathway in pediatric cancer. Mol Cell Oncol. 4:e12951272017. View Article : Google Scholar : PubMed/NCBI

22 

Qiao Y, Chen J, Lim YB, Finch-Edmondson ML, Seshachalam VP, Qin L, Jiang T, Low BC, Singh H, Lim CT and Sudol M: YAP regulates actin dynamics through ARHGAP29 and promotes metastasis. Cell Rep. 19:1495–1502. 2017. View Article : Google Scholar : PubMed/NCBI

23 

Nakamura M, Zhai P, Del Re DP, Maejima Y and Sadoshima J: Mst1-mediated phosphorylation of Bcl-xL is required for myocardial reperfusion injury. JCI Insight. 1(pii): e862172016.PubMed/NCBI

24 

Griffiths HR, Gao D and Pararasa C: Redox regulation in metabolic programming and inflammation. Redox Biol. 12:50–57. 2017. View Article : Google Scholar : PubMed/NCBI

25 

Lin C, Chao H, Li Z, Xu X, Liu Y, Hou L, Liu N and Ji J: Melatonin attenuates traumatic brain injury-induced inflammation: A possible role for mitophagy. J Pineal Res. 61:177–186. 2016. View Article : Google Scholar : PubMed/NCBI

26 

Oliver PM, Crooks JA, Leidl M, Yoon EJ, Saghatelian A and Weibel DB: Localization of anionic phospholipids in Escherichia coli cells. J Bacteriol. 196:3386–3398. 2014. View Article : Google Scholar : PubMed/NCBI

27 

Yu S, Wang X, Geng P, Tang X, Xiang L, Lu X, Li J, Ruan Z, Chen J, Xie G, et al: Melatonin regulates PARP1 to control the senescence-associated secretory phenotype (SASP) in human fetal lung fibroblast cells. J Pineal Res. 63:2017. View Article : Google Scholar

28 

Quintana C, Cabrera J, Perdomo J, Estévez F, Loro JF, Reiter RJ and Quintana J: Melatonin enhances hyperthermia-induced apoptotic cell death in human leukemia cells. J Pineal Res. 61:381–395. 2016. View Article : Google Scholar : PubMed/NCBI

29 

Mao L, Dauchy RT, Blask DE, Dauchy EM, Slakey LM, Brimer S, Yuan L, Xiang S, Hauch A, Smith K, et al: Melatonin suppression of aerobic glycolysis (Warburg effect), survival signalling and metastasis in human leiomyosarcoma. J Pineal Res. 60:167–177. 2016. View Article : Google Scholar : PubMed/NCBI

30 

Fuhrmann DC and Brüne B: Mitochondrial composition and function under the control of hypoxia. Redox Biol. 12:208–215. 2017. View Article : Google Scholar : PubMed/NCBI

31 

Jin Q, Li R, Hu N, Xin T, Zhu P, Hu S, Ma S, Zhu H, Ren J and Zhou H: DUSP1 alleviates cardiac ischemia/reperfusion injury by suppressing the Mff-required mitochondrial fission and Bnip3-related mitophagy via the JNK pathways. Redox Biol. 14:576–587. 2018. View Article : Google Scholar : PubMed/NCBI

32 

Shi C, Cai Y, Li Y, Li Y, Hu N, Ma S, Hu S, Zhu P, Wang W and Zhou H: Yap promotes hepatocellular carcinoma metastasis and mobilization via governing cofilin/F-actin/lamellipodium axis by regulation of JNK/Bnip3/SERCA/CaMKII pathways. Redox Biol. 14:59–71. 2018. View Article : Google Scholar : PubMed/NCBI

33 

Li M, Pi H, Yang Z, Reiter RJ, Xu S, Chen X, Chen C, Zhang L, Yang M, Li Y, et al: Melatonin antagonizes cadmium-induced neurotoxicity by activating the transcription factor EB-dependent autophagy-lysosome machinery in mouse neuroblastoma cells. J Pineal Res. 61:353–369. 2016. View Article : Google Scholar : PubMed/NCBI

34 

Nduhirabandi F, Lamont K, Albertyn Z, Opie LH and Lecour S: Role of toll-like receptor 4 in melatonin-induced cardioprotection. J Pineal Res. 60:39–47. 2016. View Article : Google Scholar : PubMed/NCBI

35 

Liu Z, Gan L, Xu Y, Luo D, Ren Q, Wu S and Sun C: Melatonin alleviates inflammasome-induced pyroptosis through inhibiting NF-κB/GSDMD signal in mice adipose tissue. J Pineal Res. 63:2017. View Article : Google Scholar

36 

Lin S, Hoffmann K, Gao C, Petrulionis M, Herr I and Schemmer P: Melatonin promotes sorafenib-induced apoptosis through synergistic activation of JNK/c-jun pathway in human hepatocellular carcinoma. J Pineal Res. 62:2017. View Article : Google Scholar

37 

Zhou H, Du W, Li Y, Shi C, Hu N, Ma S, Wang W and Ren J: Effects of melatonin on fatty liver disease: The role of NR4A1/DNA-PKcs/p53 pathway, mitochondrial fission, and mitophagy. J Pineal Res. 64:e124502018. View Article : Google Scholar

38 

Zhang Y, Zhou H, Wu W, Shi C, Hu S, Yin T, Ma Q, Han T, Zhang Y, Tian F and Chen Y: Liraglutide protects cardiac microvascular endothelial cells against hypoxia/reoxygenation injury through the suppression of the SR-Ca2+-XO-ROS axis via activation of the GLP-1R/PI3K/Akt/survivin pathways. Free Radic Biol Med. 95:278–292. 2016. View Article : Google Scholar : PubMed/NCBI

39 

Zhou H, Hu S, Jin Q, Shi C, Zhang Y, Zhu P, Ma Q, Tian F and Chen Y: Mff-Dependent mitochondrial fission contributes to the pathogenesis of cardiac microvasculature ischemia/reperfusion injury via induction of mROS-mediated cardiolipin oxidation and HK2/VDAC1 disassociation-involved mPTP opening. J Am Heart Assoc. 6:e0053282017. View Article : Google Scholar : PubMed/NCBI

40 

Poku RA, Salako OO, Amissah F, Nkembo AT, Ntantie E and Lamango NS: Polyisoprenylated cysteinyl amide inhibitors induce caspase 3/7- and 8-mediated apoptosis and inhibit migration and invasion of metastatic prostate cancer cells. Am J Cancer Res. 7:1515–1527. 2017.PubMed/NCBI

41 

Zhou H, Zhang Y, Hu S, Shi C, Zhu P, Ma Q, Jin Q, Cao F, Tian F and Chen vY: Melatonin protects cardiac microvasculature against ischemia/reperfusion injury via suppression of mitochondrial fission-VDAC1-HK2-mPTP-mitophagy axis. J Pineal Res. 63:e124132017. View Article : Google Scholar :

42 

Wang C, Blough ER, Arvapalli R, Dai X, Paturi S, Manne N, Addagarla H, Triest WE, Olajide O and Wu M: Metabolic syndrome-induced tubulointerstitial injury: Role of oxidative stress and preventive effects of acetaminophen. Free Radic Biol Med. 65:1417–1426. 2013. View Article : Google Scholar : PubMed/NCBI

43 

Verma NK and Kelleher D: Not Just an adhesion molecule: LFA-1 contact tunes the T lymphocyte program. J Immunol. 199:1213–1221. 2017. View Article : Google Scholar : PubMed/NCBI

44 

Sebastián D and Zorzano áA: When MFN2 (mitofusin 2) met autophagy: A new age for old muscles. Autophagy. 12:2250–2251. 2016. View Article : Google Scholar : PubMed/NCBI

45 

Sooyeon L, Go KL and Kim JS: Deacetylation of mitofusin-2 by sirtuin-1: A critical event in cell survival after ischemia. Mol Cell Oncol. 3:e10874522015. View Article : Google Scholar : PubMed/NCBI

46 

Quijano C, Trujillo M, Castro L and Trostchansky A: Interplay between oxidant species and energy metabolism. Redox Biol. 8:28–42. 2016. View Article : Google Scholar : PubMed/NCBI

47 

Tan DX, Hardeland R, Back K, Manchester LC, Alatorre-Jimenez MA and Reiter RJ: On the significance of an alternate pathway of melatonin synthesis via 5-methoxytryptamine: Comparisons across species. J Pineal Res. 61:27–40. 2016. View Article : Google Scholar : PubMed/NCBI

48 

Eldred M: YAP is crucial for lung branching morphogenesis. Science. 356:150–151. 2017. View Article : Google Scholar : PubMed/NCBI

49 

Sundar R, Chenard-Poirier M, Collins DC and Yap TA: Imprecision in the Era of precision medicine in non-small cell lung cancer. Front Med. 4:392017. View Article : Google Scholar

50 

de Souza P, Guarido KL, Scheschowitsch K, da Silva LM, Werner MF, Assreuy J and da Silva-Santos JE: Impaired vascular function in sepsis-surviving rats mediated by oxidative stress and Rho-Kinase pathway. Redox Biol. 10:140–147. 2016. View Article : Google Scholar : PubMed/NCBI

51 

Doskey CM, Buranasudja V, Wagner BA, Wilkes JG, Du J, Cullen JJ and Buettner GR: Tumor cells have decreased ability to metabolize H2O2: Implications for pharmacological ascorbate in cancer therapy. Redox Biol. 10:274–284. 2016. View Article : Google Scholar : PubMed/NCBI

52 

Mailloux RJ and Treberg JR: Protein S-glutathionlyation links energy metabolism to redox signaling in mitochondria. Redox Biol. 8:110–118. 2016. View Article : Google Scholar : PubMed/NCBI

53 

Han J, Weisbrod RM, Shao D, Watanabe Y, Yin X, Bachschmid MM, Seta F, Janssen-Heininger YMW, Matsui R, Zang M, et al: The redox mechanism for vascular barrier dysfunction associated with metabolic disorders: Glutathionylation of Rac1 in endothelial cells. Redox Biol. 9:306–319. 2016. View Article : Google Scholar : PubMed/NCBI

54 

Kitsati N, Mantzaris MD and Galaris D: Hydroxytyrosol inhibits hydrogen peroxide-induced apoptotic signaling via labile iron chelation. Redox Biol. 10:233–242. 2016. View Article : Google Scholar : PubMed/NCBI

Related Articles

  • Abstract
  • View
  • Download
  • Twitter
Copy and paste a formatted citation
Spandidos Publications style
Yan H, Qiu C, Sun W, Gu M, Xiao F, Zou J and Zhang L: Yap regulates gastric cancer survival and migration via SIRT1/Mfn2/mitophagy Retraction in /10.3892/or.2024.8767. Oncol Rep 39: 1671-1681, 2018.
APA
Yan, H., Qiu, C., Sun, W., Gu, M., Xiao, F., Zou, J., & Zhang, L. (2018). Yap regulates gastric cancer survival and migration via SIRT1/Mfn2/mitophagy Retraction in /10.3892/or.2024.8767. Oncology Reports, 39, 1671-1681. https://doi.org/10.3892/or.2018.6252
MLA
Yan, H., Qiu, C., Sun, W., Gu, M., Xiao, F., Zou, J., Zhang, L."Yap regulates gastric cancer survival and migration via SIRT1/Mfn2/mitophagy Retraction in /10.3892/or.2024.8767". Oncology Reports 39.4 (2018): 1671-1681.
Chicago
Yan, H., Qiu, C., Sun, W., Gu, M., Xiao, F., Zou, J., Zhang, L."Yap regulates gastric cancer survival and migration via SIRT1/Mfn2/mitophagy Retraction in /10.3892/or.2024.8767". Oncology Reports 39, no. 4 (2018): 1671-1681. https://doi.org/10.3892/or.2018.6252
Copy and paste a formatted citation
x
Spandidos Publications style
Yan H, Qiu C, Sun W, Gu M, Xiao F, Zou J and Zhang L: Yap regulates gastric cancer survival and migration via SIRT1/Mfn2/mitophagy Retraction in /10.3892/or.2024.8767. Oncol Rep 39: 1671-1681, 2018.
APA
Yan, H., Qiu, C., Sun, W., Gu, M., Xiao, F., Zou, J., & Zhang, L. (2018). Yap regulates gastric cancer survival and migration via SIRT1/Mfn2/mitophagy Retraction in /10.3892/or.2024.8767. Oncology Reports, 39, 1671-1681. https://doi.org/10.3892/or.2018.6252
MLA
Yan, H., Qiu, C., Sun, W., Gu, M., Xiao, F., Zou, J., Zhang, L."Yap regulates gastric cancer survival and migration via SIRT1/Mfn2/mitophagy Retraction in /10.3892/or.2024.8767". Oncology Reports 39.4 (2018): 1671-1681.
Chicago
Yan, H., Qiu, C., Sun, W., Gu, M., Xiao, F., Zou, J., Zhang, L."Yap regulates gastric cancer survival and migration via SIRT1/Mfn2/mitophagy Retraction in /10.3892/or.2024.8767". Oncology Reports 39, no. 4 (2018): 1671-1681. https://doi.org/10.3892/or.2018.6252
Follow us
  • Twitter
  • LinkedIn
  • Facebook
About
  • Spandidos Publications
  • Careers
  • Cookie Policy
  • Privacy Policy
How can we help?
  • Help
  • Live Chat
  • Contact
  • Email to our Support Team