Spandidos Publications Logo
  • About
    • About Spandidos
    • Aims and Scopes
    • Abstracting and Indexing
    • Editorial Policies
    • Reprints and Permissions
    • Job Opportunities
    • Terms and Conditions
    • Contact
  • Journals
    • All Journals
    • Oncology Letters
      • Oncology Letters
      • Information for Authors
      • Editorial Policies
      • Editorial Board
      • Aims and Scope
      • Abstracting and Indexing
      • Bibliographic Information
      • Archive
    • International Journal of Oncology
      • International Journal of Oncology
      • Information for Authors
      • Editorial Policies
      • Editorial Board
      • Aims and Scope
      • Abstracting and Indexing
      • Bibliographic Information
      • Archive
    • Molecular and Clinical Oncology
      • Molecular and Clinical Oncology
      • Information for Authors
      • Editorial Policies
      • Editorial Board
      • Aims and Scope
      • Abstracting and Indexing
      • Bibliographic Information
      • Archive
    • Experimental and Therapeutic Medicine
      • Experimental and Therapeutic Medicine
      • Information for Authors
      • Editorial Policies
      • Editorial Board
      • Aims and Scope
      • Abstracting and Indexing
      • Bibliographic Information
      • Archive
    • International Journal of Molecular Medicine
      • International Journal of Molecular Medicine
      • Information for Authors
      • Editorial Policies
      • Editorial Board
      • Aims and Scope
      • Abstracting and Indexing
      • Bibliographic Information
      • Archive
    • Biomedical Reports
      • Biomedical Reports
      • Information for Authors
      • Editorial Policies
      • Editorial Board
      • Aims and Scope
      • Abstracting and Indexing
      • Bibliographic Information
      • Archive
    • Oncology Reports
      • Oncology Reports
      • Information for Authors
      • Editorial Policies
      • Editorial Board
      • Aims and Scope
      • Abstracting and Indexing
      • Bibliographic Information
      • Archive
    • Molecular Medicine Reports
      • Molecular Medicine Reports
      • Information for Authors
      • Editorial Policies
      • Editorial Board
      • Aims and Scope
      • Abstracting and Indexing
      • Bibliographic Information
      • Archive
    • World Academy of Sciences Journal
      • World Academy of Sciences Journal
      • Information for Authors
      • Editorial Policies
      • Editorial Board
      • Aims and Scope
      • Abstracting and Indexing
      • Bibliographic Information
      • Archive
    • International Journal of Functional Nutrition
      • International Journal of Functional Nutrition
      • Information for Authors
      • Editorial Policies
      • Editorial Board
      • Aims and Scope
      • Abstracting and Indexing
      • Bibliographic Information
      • Archive
    • International Journal of Epigenetics
      • International Journal of Epigenetics
      • Information for Authors
      • Editorial Policies
      • Editorial Board
      • Aims and Scope
      • Abstracting and Indexing
      • Bibliographic Information
      • Archive
    • Medicine International
      • Medicine International
      • Information for Authors
      • Editorial Policies
      • Editorial Board
      • Aims and Scope
      • Abstracting and Indexing
      • Bibliographic Information
      • Archive
  • Articles
  • Information
    • Information for Authors
    • Information for Reviewers
    • Information for Librarians
    • Information for Advertisers
    • Conferences
  • Language Editing
Spandidos Publications Logo
  • About
    • About Spandidos
    • Aims and Scopes
    • Abstracting and Indexing
    • Editorial Policies
    • Reprints and Permissions
    • Job Opportunities
    • Terms and Conditions
    • Contact
  • Journals
    • All Journals
    • Biomedical Reports
      • Information for Authors
      • Editorial Policies
      • Editorial Board
      • Aims and Scope
      • Abstracting and Indexing
      • Bibliographic Information
      • Archive
    • Experimental and Therapeutic Medicine
      • Information for Authors
      • Editorial Policies
      • Editorial Board
      • Aims and Scope
      • Abstracting and Indexing
      • Bibliographic Information
      • Archive
    • International Journal of Epigenetics
      • Information for Authors
      • Editorial Policies
      • Editorial Board
      • Aims and Scope
      • Abstracting and Indexing
      • Bibliographic Information
      • Archive
    • International Journal of Functional Nutrition
      • Information for Authors
      • Editorial Policies
      • Editorial Board
      • Aims and Scope
      • Abstracting and Indexing
      • Bibliographic Information
      • Archive
    • International Journal of Molecular Medicine
      • Information for Authors
      • Editorial Policies
      • Editorial Board
      • Aims and Scope
      • Abstracting and Indexing
      • Bibliographic Information
      • Archive
    • International Journal of Oncology
      • Information for Authors
      • Editorial Policies
      • Editorial Board
      • Aims and Scope
      • Abstracting and Indexing
      • Bibliographic Information
      • Archive
    • Medicine International
      • Information for Authors
      • Editorial Policies
      • Editorial Board
      • Aims and Scope
      • Abstracting and Indexing
      • Bibliographic Information
      • Archive
    • Molecular and Clinical Oncology
      • Information for Authors
      • Editorial Policies
      • Editorial Board
      • Aims and Scope
      • Abstracting and Indexing
      • Bibliographic Information
      • Archive
    • Molecular Medicine Reports
      • Information for Authors
      • Editorial Policies
      • Editorial Board
      • Aims and Scope
      • Abstracting and Indexing
      • Bibliographic Information
      • Archive
    • Oncology Letters
      • Information for Authors
      • Editorial Policies
      • Editorial Board
      • Aims and Scope
      • Abstracting and Indexing
      • Bibliographic Information
      • Archive
    • Oncology Reports
      • Information for Authors
      • Editorial Policies
      • Editorial Board
      • Aims and Scope
      • Abstracting and Indexing
      • Bibliographic Information
      • Archive
    • World Academy of Sciences Journal
      • Information for Authors
      • Editorial Policies
      • Editorial Board
      • Aims and Scope
      • Abstracting and Indexing
      • Bibliographic Information
      • Archive
  • Articles
  • Information
    • For Authors
    • For Reviewers
    • For Librarians
    • For Advertisers
    • Conferences
  • Language Editing
Login Register Submit
  • This site uses cookies
  • You can change your cookie settings at any time by following the instructions in our Cookie Policy. To find out more, you may read our Privacy Policy.

    I agree
Search articles by DOI, keyword, author or affiliation
Search
Advanced Search
presentation
Molecular Medicine Reports
Join Editorial Board Propose a Special Issue
Print ISSN: 1791-2997 Online ISSN: 1791-3004
Journal Cover
November 2012 Volume 6 Issue 5

Full Size Image

Sign up for eToc alerts
Recommend to Library

Journals

International Journal of Molecular Medicine

International Journal of Molecular Medicine

International Journal of Molecular Medicine is an international journal devoted to molecular mechanisms of human disease.

International Journal of Oncology

International Journal of Oncology

International Journal of Oncology is an international journal devoted to oncology research and cancer treatment.

Molecular Medicine Reports

Molecular Medicine Reports

Covers molecular medicine topics such as pharmacology, pathology, genetics, neuroscience, infectious diseases, molecular cardiology, and molecular surgery.

Oncology Reports

Oncology Reports

Oncology Reports is an international journal devoted to fundamental and applied research in Oncology.

Experimental and Therapeutic Medicine

Experimental and Therapeutic Medicine

Experimental and Therapeutic Medicine is an international journal devoted to laboratory and clinical medicine.

Oncology Letters

Oncology Letters

Oncology Letters is an international journal devoted to Experimental and Clinical Oncology.

Biomedical Reports

Biomedical Reports

Explores a wide range of biological and medical fields, including pharmacology, genetics, microbiology, neuroscience, and molecular cardiology.

Molecular and Clinical Oncology

Molecular and Clinical Oncology

International journal addressing all aspects of oncology research, from tumorigenesis and oncogenes to chemotherapy and metastasis.

World Academy of Sciences Journal

World Academy of Sciences Journal

Multidisciplinary open-access journal spanning biochemistry, genetics, neuroscience, environmental health, and synthetic biology.

International Journal of Functional Nutrition

International Journal of Functional Nutrition

Open-access journal combining biochemistry, pharmacology, immunology, and genetics to advance health through functional nutrition.

International Journal of Epigenetics

International Journal of Epigenetics

Publishes open-access research on using epigenetics to advance understanding and treatment of human disease.

Medicine International

Medicine International

An International Open Access Journal Devoted to General Medicine.

Journal Cover
November 2012 Volume 6 Issue 5

Full Size Image

Sign up for eToc alerts
Recommend to Library

  • Article
  • Citations
    • Cite This Article
    • Download Citation
    • Create Citation Alert
    • Remove Citation Alert
    • Cited By
  • Similar Articles
    • Related Articles (in Spandidos Publications)
    • Similar Articles (Google Scholar)
    • Similar Articles (PubMed)
  • Download PDF
  • Download XML
  • View XML
Article

The effect of vascular endothelial growth factor C expression in tumor-associated macrophages on lymphangiogenesis and lymphatic metastasis in breast cancer

  • Authors:
    • Mingxing Ding
    • Xiaoyan Fu
    • Haidong Tan
    • Ruiquan Wang
    • Zhimei Chen
    • Shiping Ding
  • View Affiliations / Copyright

    Affiliations: Department of Medical Sciences, Jinhua College of Profession and Technology, Jinhua 321007, P.R. China, Department of Oncology, Jinhua People's Hospital, Jinhua 321000, P.R. China, Institute of Cell Biology, Zhejiang University School of Medicine, Hangzhou 310058, P.R. China
  • Pages: 1023-1029
    |
    Published online on: August 21, 2012
       https://doi.org/10.3892/mmr.2012.1043
  • Expand metrics +
Metrics: Total Views: 0 (Spandidos Publications: | PMC Statistics: )
Metrics: Total PDF Downloads: 0 (Spandidos Publications: | PMC Statistics: )
Cited By (CrossRef): 0 citations Loading Articles...

This article is mentioned in:



Abstract

The aim of this study was to investigate the effect of vascular endothelial growth factor-C (VEGF-C) expression in tumor-associated macrophages (TAMs) on lymphatic microvessel density (LMVD) and lymphatic endothelial cell proliferation (LECP) and to determine the role of VEGF-C expression in lymphangiogenesis in patients with breast cancer. Breast cancer tissue specimens confirmed by pathological analysis were obtained from 75 patients. Samples were observed by microscopy analysis after immunohistochemical double‑staining. The total number of TAMs and the number of VEGF-C-positive TAMs were determined. LMVD and LECP were calculated for the intratumoral and peritumoral areas. Correlation analysis was performed among these indexes, lymph vessel invasion (LVI) and lymph node metastasis in the peritumoral regions. Immunohistochemical double-staining demonstrated that VEGF-C was markedly expressed in TAMs. The number of TAMs, LMVD and LECP in the peritumoral areas was significantly higher than that in the intratumoral areas (P<0.001). We observed positive correlations between the following parameters: the number of TAMs and the peritumoral LMVD (P<0.001), the percentage of TAMs expressing VEGF-C and the peritumoral LMVD (P<0.001), the number of TAMs and the peritumoral LECP (P<0.001), and the percentage of TAMs expressing VEGF-C and the peritumoral LECP (P<0.001). Furthermore, the total number of TAMs and VEGF-C-positive TAMs, LMVD and LECP in cases with lymph node metastasis or LVI were significantly higher compared to those in cases without lymph node metastasis or LVI (P<0.01 or P<0.05). Our findings suggest that TAMs play a critical role in tumor-induced lymphangiogenesis through upregulating VEGF-C, which may contribute to lymphatic invasion in breast cancer.

Introduction

Tumor metastasis to the lymph nodes is a defining feature of cancer progression and is associated with poor prognosis. A number of studies have demonstrated that tumor-induced lymphangiogenesis plays an important role in the metastatic progression of tumors (1,2). Notably, studies on the correlation between tumor-associated macrophages (TAMs) and metastases of cervical (3), lung (4) and skin cancers (5) have led to the discovery of the role of TAMs in tumor formation, growth, invasion and metastasis. Vascular endothelial growth factor-C (VEGF-C) acts predominantly via VEGF receptor-3 (VEGFR-3), a receptor expressed on the surface of lymphatic endothelial cells, and plays a critical role in lymphangiogenesis. Studies have also revealed that VEGF-C is expressed in more than half of human solid tumors, and its expression level correlates with tumor-lymph node metastasis (1,2,6). One hypothesis is that TAMs secrete VEGF-C to promote lymphangiogenesis either by inducing hyperplasia via enhanced budding from the existing lymphatic vessels or by directly transforming the lymphatic endothelial cells (7). A recent study demonstrated that VEGF-C expressed by TAMs is closely related to lymph vessel invasion (LVI) in breast cancer (8). However, the role of TAMs and secreted VEGF-C in lymphangiogenesis in breast cancer patients remains to be elucidated. A highly specific and sensitive lymphatic marker, D2-40 (9) may be used to study the correlation between tumor-induced lymphangiogenesis and tumor metastasis. In this study, we performed immunohistochemical double-staining to detect CD68, VEGF-C, D2-40, and Ki-67 expression in 75 clinical breast tumor tissues. We also examined the percentage of TAMs expressing VEGF-C and determined the lymphatic microvessel density (LMVD) and lymphatic endothelial cell proliferation (LECP) in breast cancer tissues in order to elucidate the effect of TAMs on lymphangiogenesis and lymphatic metastasis of breast cancer.

Materials and methods

Patients and samples

We studied paraffin-embedded breast cancer tissue specimens confirmed by pathological analysis obtained from 75 patients at the Jinhua People’s Hospital from January 2006 to June 2008. Each block of paraffin contained the intratumoral and peritumoral areas. Peritumoral was defined as the location in pre-existing mammary stroma at a maximal distance of 2 mm from the tumor periphery. The patients from whom these specimens were obtained had not received any chemotherapy or radiotherapy prior to surgery. The 75 patients consisted of 1 male and 74 females. A total of 73 had infiltrating ductal carcinoma, while 2 had Paget disease. A total of 34 cases had lymph node metastasis, while 41 cases did not. The age of the patients ranged from 42 to 63 years, and the average age at diagnosis was 52.05±9.71 years. According to the 6th edition of the American Joint Committee on Cancer (AJCC) tumor-node-metastasis (TNM) staging system, the number of cases in stages 0, I, II, III, and IV were 3, 23, 39, 8 and 2, respectively. This study was approved by the institutional review board of the Jinhua People’s Hospital (Jinhua, China) and written informed consent was obtained from each participant.

Reagents

The primary antibodies for macrophage- and lymphatic endothelial cell-specific markers, rat anti-human CD68 monoclonal antibody (GM081410), and mouse anti-human D2-40 monoclonal antibody (GM361910), were bought from Gene Technology Co., Ltd. (Shanghai, China). Rabbit anti-human VEGF-C polyclonal antibody (BA0548) and rabbit anti-human Ki-67 (proliferation marker) polyclonal antibody (BA1508) were purchased from Wuhan Boster Biological Engineering Co., Ltd. (Wuhan, China). An immunohistochemical double-staining kit (KIT-9999) was purchased from Maxim Biotechnology Development Co., Ltd. (Fuzhou, China).

Immunohistochemical double-staining

All specimens were serially sectioned into 4-μm slices. One of the sections was used for hematoxylin and eosin (H&E) staining, and the remaining sections were used for immunohistochemical double-staining. For CD68/VEGF-C double-staining, the protocol was as follows. First, the sections were sequentially dewaxed, hydrated in graded ethanol, and immersed in 0.01 M citrate buffer (pH 6.0) and heated in a pressure cooker for 3 min for antigen retrieval. The sections were treated with peroxidase-blocking and serum-blocking solutions prior to overnight incubation with primary anti-CD68 antibody (1:100) at 4°C. Biotin-labeled secondary antibody, streptavidin-alkaline phosphatase solution, and 5-bromo-4-chloro-3-indolyl phosphate/nitroblue tetrazolium (BCIP/NBT) were added, and the progress of the reaction was monitored under a microscope. A dark purple color indicated positive staining, and the sections were washed with distilled water. Next, the sections were treated with serum-blocking solutions and incubated overnight with primary anti-VEGF-C antibody (1:100) at 4°C. Biotin-labeled secondary antibody, streptavidin-peroxidase solution and 3-amino-9-ethylcarbazole (AEC) were added, and the progress of the reaction was monitored under a microscope. A dark red color indicated positive staining, and the reaction was terminated with water. The sections were re-stained with hematoxylin and mounted in a water-based mounting medium. In the D2-40/Ki-67 double-staining experiment, the first primary antibody was for D2-40 and the second primary antibody was for Ki-67. In all experiments, colon tissue was used as a positive control and phosphate-buffered saline (PBS) was used instead of a primary antibody as a negative control.

Immunohistochemical evaluation

In the double-stained sections, cells with dark purple cytoplasmic membranes were positive for CD68 and D2-40 antigens, which indicated that they were macrophages and lymphatic endothelial cells, respectively. Ki-67 staining was performed to detect the ability of the tumor to induce lymphangiogenesis. Cells that expressed VEGF-C and Ki-67 stained dark red in the cytoplasm and nucleus, respectively. Thus, a dark purple cytoplasm and membrane with dark red particles in the cytoplasm indicated that the cell was a VEGF-C-expressing macrophage, and a dark purple membrane with a dark red nucleus indicated that the cell was a proliferating lymphatic endothelial cell. The method used to count the TAMs was based on the study reported by Schoppmann et al(1). Briefly, we selected 3 zones in the region that demonstrated the most intense staining for TAMs under low magnification (×40 and ×100), and we then counted the TAMs in these zones under high magnification (×200, 0.7386 mm2). For analysis, we considered the average of the 3 counts. Next, we counted the number of TAMs that were positive for VEGF-C expression and determined the VEGF-C positive expression rate in the TAMs. A cavity with the following features was identified as a lymph microvessel: D2-40-positive endothelial cells, intact wall, no muscle or fibrous wall and no red blood cells. LMVD of the intratumoral and peritumoral areas was determined according to the method reported by Omachi et al(10). First, we identified the region that was the most intensely stained for D2-40 (hot region) under low magnification. We then selected 3 zones in the hot region and counted the average number of lymphatic microvessels under high magnification (×200). LECP was calculated according to the method reported by Van der Auwera et al(9) and presented as a percentage. Thus, this method involves counting the number of Ki-67 positive cells per 100 endothelial cells of the lymphatic microvessels. According to Arnaout-Alkarain et al(11), LVI was considered positive by Ki-67 staining in the D2-40-positive lymphatic microvessels in the tumor stoma. All researchers involved in the counting and measuring processes were unaware of the stage of the clinical specimens.

Statistical analysis

SPSS 14.0 software was used to evaluate the statistical difference. The data were expressed as the mean ± SD and compared using Student’s t-test and F-test. The correlation analysis was performed using the Pearson method. P<0.05 were considered indicate a statistically significant difference.

Results

VEGF-C expression in TAMs in breast cancer tissue

High expression of CD68 was observed in all specimens obtained from the 75 breast cancer patients. The membrane and cytoplasm of CD68-expressing cells stained dark purple. Dark red particles in the dark purple cytoplasm indicated VEGF-C-expressing TAMs (Fig. 1). TAMs were morphologically different from other macrophages; they were generally larger, oval or irregular in shape, and had abundant cytoplasm. In addition, they were not distributed evenly in the peritumoral and intratumoral regions; the distribution was dense in the former and scanty in the latter (Fig. 2). VEGF-C expression was observed in a variety of cells, but mainly in the breast cancer cells and inflammatory cells (particularly in the TAMs) in the tumor stroma. While the tumor cells demonstrated weak expression of VEGF-C, the stromal cells surrounding the tumor, particularly the TAMs, demonstrated strong expression. In our specimens, the number of TAMs was 133.96±46.96. The average abundance of VEGF-C-positive cells was 29.56±13.93% in the peritumoral areas, while those in the intratumoral areas it was 60.43±20.23 and 28.02±15.30%, respectively. The number of TAMs in the peritumoral areas was significantly greater than that in the intratumoral areas (P<0.001; Table I), which was correlated with increased VEGF-C expression.

Figure 1

TAMs expressing VEGF-C in specimens obtained from breast cancer tissue. Arrow indicates VEGF-C-expressing TAMs, which reveal dark red particles in a dark purple cytoplasm. (CD68 and VEGF-C immunohistochemical double-staining. Magnification, ×400). TAMs, tumor-associated macrophages; VEGF-C, vascular endothelial growth factor-C.

Figure 2

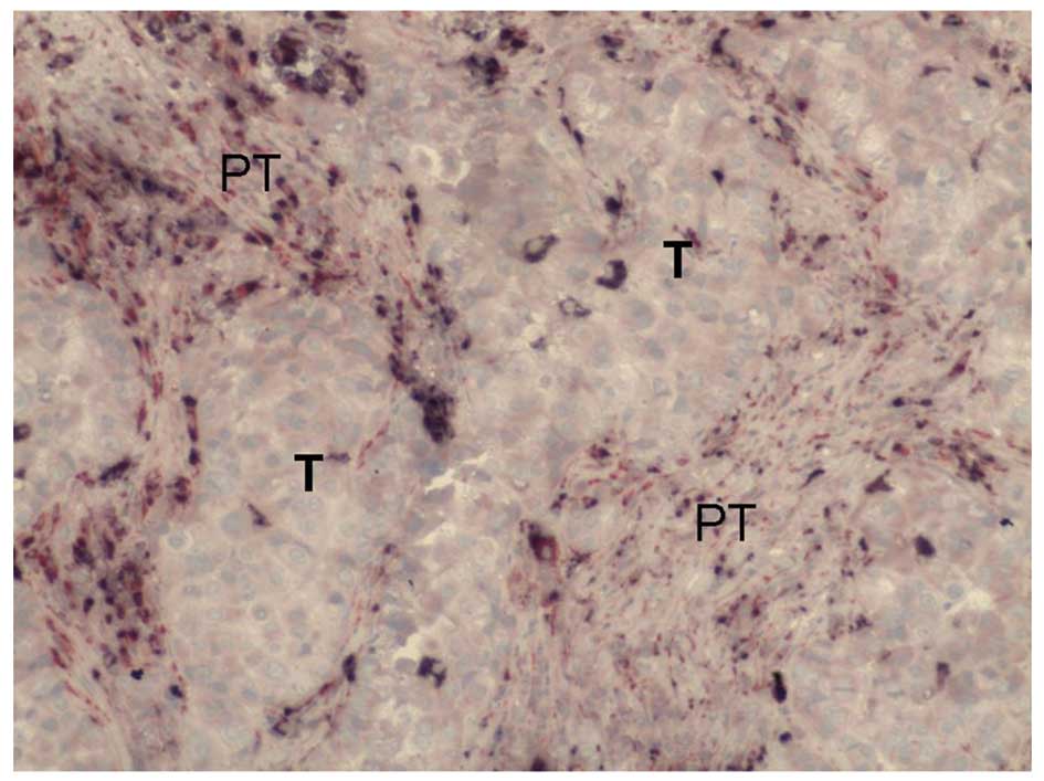
Distribution of VEGF-C-expressing TAMs in the peritumoral and intratumoral regions of breast cancer tissue (CD68 and VEGF-C immunohistochemical double-staining. Magnification, ×200). T, intratumoral regions; PT, peritumoral regions. TAMs, tumor-associated macrophages; VEGF-C, vascular endothelial growth factor-C.

Table I

Comparison of TAMs, VEGF-C-positive TAMs, LMVD and LECP in different areas of breast cancer tissues.

Table I

Comparison of TAMs, VEGF-C-positive TAMs, LMVD and LECP in different areas of breast cancer tissues.

PeritumoralIntratumoral
TAMs/×200, 0.7386 mm2133.96±46.96a60.43±20.23
VEGF-C expression of TAMs (%)29.56±13.9328.02±15.30
LMVD/×200, 0.7386 mm212.99±7.97a2.06±2.93
LECP (%)6.24±4.00a2.07±2.19

a P<0.001 compared with intratumoral areas.

{ label (or @symbol) needed for fn[@id='tfn2-mmr-06-05-1023'] } TAMs, tumor-associated macrophages; VEGF-C, vascular endothelial growth factor-C; LMVD, lymphatic microvessel density; LECP, lymphatic endothelial cell proliferation.

LMVD and LECP in the D2-40-positive lymphatic microvessel

We observed varying degrees of D2-40 expression in the tissue samples obtained from the 75 breast cancer patients. The membranes and cytoplasm of cells expressing D2-40 stained dark purple (Figs. 3 and 4). The D2-40-positive lymphatic microvessels were irregular, thin-walled, without smooth muscles in the vessel wall, mostly of expanding shape, variable in size, and without red blood cells and neutrophils; these features are consistent with those typical of lymphatic vessels. The lymphatic microvessels in both the intratumoral and peritumoral areas contained D2-40-expressing cells, but their morphology and distribution demonstrated significant heterogeneity. Morphologically, most of the lymphatic microvessels in the peritumoral areas were expanded, whereas those in the intratumoral areas had cord-like and crack-like shapes (Figs. 3 and 4). The LMVD in peritumoral areas was significantly higher (F=54.96, P<0.001; Table I) than that in both intratumoral areas and normal breast tissue (Fig. 5). In 88% (66 out of 75) of the cases, the nucleus of the endothelial cells of the D2-40-positive lymphatic microvessels stained dark red, which indicated varying degrees of Ki-67 expression and suggested LECP (Fig. 6). LECP in the peritumoral areas was significantly higher than that in the intratumoral areas (F=25.35, P<0.001; Table I).

Figure 3

D2-40-positive lymphatic microvessels in the peritumoral regions of breast cancer. (D2-40/Ki-67 immunohistochemical double-staining. Magnification, ×200). PT, peritumoral areas.

Figure 4

D2-40-positive lymphatic microvessels in the intratumoral regions of breast cancer (D2-40 and Ki-67 immunohistochemical double-staining. Magnification, ×200).

Figure 5

D2-40-positive lymphatic microvessels in the peritumoral and intratumoral regions of breast cancer. (D2-40 and Ki-67 immunohistochemical double-staining. Magnification, ×200). PT, peritumoral regions; T, intratumoral regions.

Figure 6

Ki-67-expressing endothelial cells in D2-40-positive lymphatic microvessels in the peritumoral region of breast cancer. The nucleus of the endothelial cells of the D2-40-positive lymphatic microvessels stained dark red, which indicated varying degrees of Ki-67 expression. (D2-40 and Ki-67 immunohistochemical double-staining. Magnification, ×400)

Correlation between the number of TAMs and VEGF-C positivity in TAMs with LMVD and LECP in the peritumoral regions

There were positive correlations between the number of TAMs and LMVD in the peritumoral area (r=0.528, P<0.001) and between VEGF-C positive expression in the TAMs and the LMVD in the peritumoral area (r=0.874, P<0.001). Furthermore, LECP in the peritumoral area was positively correlated with the number of peritumoral TAMs (r=0.849, P<0.001) and with VEGF-C positivity in the TAMs (r=0.413, P<0.001; Fig. 7A-D).

Figure 7

Scatter plots reveal correlations between the number of TAMs and the VEGF-C-positive TAMs with LMVD and LECP in the peritumoral regions. There was a significant correlation between (A) TAMs and LMVD and (B) TAMs and peritumoural LECP%, respectively. Furthermore, there was a significant correlation between (C) VEGF-C-positive TAMs and LMVD and (D) VEGF-C-positive TAMs and LECP% in the peritumoral areas. LMVD, lymphatic microvessel density; LECP, lymphatic endothelial cell proliferation; LVI, lymph vessel invasion.

Correlation between peritumoral LMVD and LECP and lymph node metastasis

Lymph node metastasis and LVI were observed in 42.67% (32/75) and 48% (36/75) of the total breast cancer cases, respectively (Fig. 8, Table II). The LMVD in cases with lymph node metastasis or LVI (15.36±8.36 or 18.12±9.06, respectively) was significantly higher than that in cases without lymph node metastasis or LVI (9.95±6.46 or 11.11±6.76, respectively; P<0.05). Similarly, the LECP in cases with lymph node metastasis or LVI (8.98±2.92 or 9.68±2.77%, respectively) was significantly higher than that in cases without lymph node metastasis or LVI (3.01±2.32 or 3.59±2.40%, respectively; P<0.001).

Figure 8

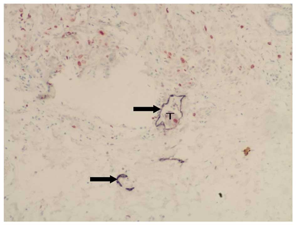
LVI in D2-40-positive lymphatic microvessels of the peritumoral region of breast cancer tissue and Ki-67 expression in the cavity. T, tumor cells. D2-40 and Ki-67 immunohistochemical double-staining. Magnification, ×200.

Table II

Comparison of LMVD and LECP in the presence or absence of lymph node metastasis and LVI.

Table II

Comparison of LMVD and LECP in the presence or absence of lymph node metastasis and LVI.

nLMVD/×200, 0.7386 mm2LECP (%)
Lymph node metastasis
 Positive3215.36±8.36a8.98±2.92b
 Negative439.95±6.463.01±2.32
LVI
 Positive3618.12 ± 9.06a9.68±2.77b
 Negative3911.11±6.763.59±2.40

a P<0.05,

b P<0.001 compared with the negative group.

{ label (or @symbol) needed for fn[@id='tfn5-mmr-06-05-1023'] } LMVD, lymphatic microvessel density; LECP, lymphatic endothelial cell proliferation; LVI, lymph vessel invasion.

Correlation between the total number of TAMs and VEGF-C-positive TAMs in the peritumoral regions and lymph node metastasis

The number of TAMs in the peritumoral regions in cases with lymph node metastasis or LVI (157.14±61.96 or 155.00±55.74, respectively) was significantly higher than the number of TAMs in the cases without lymph node metastasis or LVI (108.35±40.25 or 103.63±47.19, respectively; P<0.01). Furthermore, the percentage of TAMs positively expressing VEGF-C in the peritumoral regions in cases with lymph node metastasis or LVI (35.41±16.46 or 26.39±15.09%, respectively) was significantly higher than that in cases without lymph node metastasis or LVI (23.13±13.01 or 33.99±16.71%, respectively; P<0.05; Table III).

Table III

Comparison of total number of TAMs and VEGF-C-positive TAMs in the peritumoral regions in the presence or absence of lymph node metastasis and LVI.

Table III

Comparison of total number of TAMs and VEGF-C-positive TAMs in the peritumoral regions in the presence or absence of lymph node metastasis and LVI.

nTAMs/×200, 0.7386 mm2VEGF-C expression of TAMs (%)
Lymph node metastasis
 Positive32157.14±61.96a35.41±16.46b
 Negative43108.35±40.2523.13±13.01
LVI
 Positive36155.00±55.74a26.39±15.09b
 Negative39103.63±47.1933.99±16.71

a P<0.01,

b P<0.05 compared with the negative group.

{ label (or @symbol) needed for fn[@id='tfn8-mmr-06-05-1023'] } TAMs, tumor-associated macrophages; VEGF-C, vascular endothelial growth factor-C; LVI, lymph vessel invasion.

Discussion

TAMs account for approximately 30–50% of the inflammatory cells in the tumor stroma and, thus, represent the predominant inflammatory cell type in this region (12). Increasing evidence demonstrates that TAMs play a role in promoting tumorigenesis, growth, invasion and metastasis (particularly tumor angiogenesis and lymphangiogenesis). A plausible mechanism to account for these observations involves autocrine secretion of various growth factors and inhibitory cytokines that promote the formation of blood vessels and lymphatic vessels (7,12,13). The majority of studies on the function of TAMs in lymph node metastasis involved immunohistochemical analysis. Certain studies have investigated VEGF-C expression in TAMs. However, in the majority of the studies, only a single marker was used. These studies failed to exactly compare the expression and distribution of VEGF-C in TAMs as VEGF-C is expressed in the TAMs as well as in a variety of cells, including the tumor cells. Recently, it has been revraled that both TAMs and various cancer cell types, including cervical cancer cells and epidermal squamous carcinoma cells, express VEGF-C and/or VEGF-D. Together, VEGF-C and VEGF-D bind VEGFR-3 and activate the MEK/ERK and PI3-kinase/Akt pathways to stimulate lymphatic endothelial cell mitosis and proliferation and promote lymphangiogenesis in the peritumoral areas. This, in turn, induces tumor metastasis (3,5). Our study differs from previous studies in that double-staining was performed. This technique allowed unambiguous determination of VEGF-C expression specifically within TAMs. In our study, we identified that tumor cells weakly express VEGF-C, while TAMs markedly express VEGF-C. Moreover, the total number of TAMs and those specifically expressing VEGF-C were both significantly higher in the peritumoral areas compared to the intratumoral areas. TAMs are the primary source of VEGF-C in breast cancer tissue. Thus, we suggest that TAMs may promote lymphangiogenesis in one of two ways - either by inducing hyperplasia via budding from the existing lymphatic vessels or by directly transforming the lymphatic endothelial cells. As a result, LMVD and LECP would also be expected to be elevated in the peritumoral regions.

As predicted, our data demonstrated that LMVD and LECP in the peritumoral areas were much higher than in the intratumoral areas. Our results are consistent with those from numerous previous studies (14–18), which have also primarily observed lymphangiogenesis in the peritumoral areas. Peritumoral lymphatic vessels were considered to be the main channel for lymph node metastasis. Recently, 107 cases of breast cancers with lymph node metastasis were analyzed. The study found that inflammatory infiltration and VEGF-C expression in macrophages are closely related to LVI (LVI plays an important role in tumor-induced lymphangiogenesis and lymphatic metastasis) (8). However, that study differed from the present study as the former used podoplanin as a marker to identify lymphatic vessels and failed to detect LECP. Additionally, in our study, the total number of TAMs and those specifically expressing VEGF-C were positively correlated with LMVD and LECP. This suggests that a higher number of TAMs and increased expression of VEGF-C in TAMs are causal factors resulting in increased LECP and LMVD in the peritumoral areas. This is notable, particularly when compared to other studies. Statistics from previous studies have revealed low correlation between 4 separate data sets. While it is unclear whether this is simply due to selection bias when counting, the data is nonetheless intriguing. Significantly, an additional study limited its focus to the peritumoral area, and no correlation data was presented for the intratumoral area (19). This further factor that makes our study presented here unique. One possible explanation for our results is that cancer cells recruit a large number of TAMs to the tumor stroma; these TAMs secrete large amounts of VEGF-C that bind to VEGFR-3 and activate a variety of signaling pathways, including MEK/ERK and PI3-kinase/Akt. Notably, activation of these signaling pathways by VEGF-C was revealed to stimulate lymphatic endothelial cell proliferation, angiogenesis and lymphangiogenesis in a rat tumor model (20). This study, in addition to several other preclinical and clinical studies, support the role of VEGF-C in tumor progression (20–23).

In the early stages of tumorigenesis, the tumor-associated lymphatic vessel is the primary channel for entry of the tumor cells into the lymph nodes. There are 2 different hypotheses regarding the mechanism of metastasis. One hypothesis is that metastasis occurs through the already existing lymphatic vessels. The other is that the invasion occurs through newly formed lymphatic vessels (lymphangiogenesis) (6). In primary solid tumors, VEGF-C and VEGF-D induce lymphangiogenesis, which provides a direct channel for tumor cells to invade the lymph nodes (24–26). For a long time, it was considered that the spreading of tumor cells through the channel provided by the lymphatic vessels was a key factor in tumor metastasis. LVI by the tumor cells is the first step of micrometastasis; however, not all LVIs develop into metastatic lesions. Studies have revealed that the increased number of lymphatic vessels in solid tumors is closely related to tumor LVI (18,27). Therefore, LVI may be used as an independent predictor of tumor metastasis and prognosis (28,29). In this study, we further analyzed the correlation between LMVD in the peritumoral areas of breast cancer and lymph node metastasis. The results demonstrated that LMVD is positively correlated with LVI and lymph node metastasis. This suggests that the increase of LMVD in the peritumoral areas may be related to LVI and lymph node metastasis. Notably, the LMVD in the peritumoral areas of metastatic melanoma was much higher than that in non-metastatic melanoma (14). LMVD in the peritumoral area is an independent prognostic factor for disease-free survival and overall survival. It has been revealed that LMVD in infiltrated breast cancer is significantly associated with LVI, and the risk of lymphatic metastasis is significantly higher in LVI-positive cases (19,27). On the basis of these findings, we consider that, although LVI is not equivalent to lymph node metastasis, it is an early-stage event that is closely related to lymph node metastasis. Increased LVI may induce an increase in lymph node metastasis, which may affect the treatment and prognosis for cancer patients.

The results from this study reveal that the total number of TAMs and particularly those expressing VEGF-C are significantly higher in the peritumoral regions associated with lymph node metastasis. It is unclear whether this is simply an association or whether the TAMs in this region support the metastatic process. Despite this fact, this is an unique observation that has not been studied in detail in previous studies. Thus, our findings support a potential role for VEGF-C-expressing TAMs in peritumoral regions in the metastatic process and support the need for further investigation.

We have revealed that the formation of new lymphatic vessels is closely related to metastasis. We provide strong evidence that TAMs induce lymphangiogenesis in the peritumoral areas through VEGF-C secretion. This leads to an increase in LMVD and eventually promotes lymph node metastasis in patients with breast cancer.

References

1 

Sleeman JP and Thiele W: Tumor metastasis and the lymphatic vasculature. Int J Cancer. 125:2747–2756. 2009.PubMed/NCBI

2 

Achen MG and Stacker SA: Molecular control of lymphatic metastasis. Ann N Y Acad Sci. 1131:225–234. 2008.

3 

Schoppmann SF, Birner P, Stockl J, et al: Tumor-associated macrophages express lymphatic endothelial growth factors and are related to peritumoral lymphangiogenesis. Am J Pathol. 161:947–956. 2002.

4 

Zhang B, Wang J, Gao J, et al: Alternatively activated RAW264.7 macrophages enhance tumor lymphangiogenesis in mouse lung adenocarcinoma. J Cell Biochem. 107:134–143. 2009.

5 

Moussai D, Mitsui H, Pettersen JS, et al: The human cutaneous squamous cell carcinoma microenvironment is characterized by increased lymphatic density and enhanced expression of macrophage-derived VEGF-C. J Invest Dermatol. 131:229–236. 2011.PubMed/NCBI

6 

Sundar SS and Ganesan TS: Role of lymphangiogenesis in cancer. J Clin Oncol. 25:4298–4307. 2007. View Article : Google Scholar

7 

Kerjaschki D: The crucial role of macrophages in lymphangiogenesis. J Clin Invest. 115:2316–2319. 2005.

8 

Schoppmann SF, Fenzl A, Nagy K, et al: VEGF-C expressing tumor-associated macrophages in lymph node positive breast cancer: impact on lymphangiogenesis and survival. Surgery. 139:839–846. 2006.

9 

Van der Auwera I, Van den Eynden GG, Colpaert CG, et al: Tumor lymphangiogenesis in inflammatory breast carcinoma: a histomorphometric study. Clin Cancer Res. 11:7637–7642. 2005.

10 

Omachi T, Kawai Y, Mizuno R, et al: Immunohistochemical demonstration of proliferating lymphatic vessels in colorectal carcinoma and its clinicopathological significance. Cancer Lett. 246:167–172. 2007.

11 

Arnaout-Alkarain A, Kahn HJ, Narod SA, Sun PA and Marks AN: Significance of lymph vessel invasion identified by the endothelial lymphatic marker D2-40 in node negative breast cancer. Mod Pathol. 20:183–191. 2007.PubMed/NCBI

12 

Solinas G, Germano G, Mantovani A and Allavena P: Tumor-associated macrophages (TAM) as major players of the cancer-related inflammation. J Leukoc Biol. 86:1065–1073. 2009.

13 

Knowles HJ and Harris AL: Macrophages and the hypoxic tumour microenvironment. Front Biosci. 12:4298–4314. 2007. View Article : Google Scholar : PubMed/NCBI

14 

Massi D, Puig S, Franchi A, et al: Tumour lymphangiogenesis is a possible predictor of sentinel lymph node status in cutaneous melanoma: a case-control study. J Clin Pathol. 59:166–173. 2006. View Article : Google Scholar : PubMed/NCBI

15 

Fernandez MI, Bolenz C, Trojan L, et al: Prognostic implications of lymphangiogenesis in muscle-invasive transitional cell carcinoma of the bladder. Eur Urol. 53:571–578. 2008. View Article : Google Scholar : PubMed/NCBI

16 

Trojan L, Rensch F, Voss M, et al: The role of the lymphatic system and its specific growth factor, vascular endothelial growth factor C, for lymphogenic metastasis in prostate cancer. BJU Int. 98:903–906. 2006. View Article : Google Scholar : PubMed/NCBI

17 

Aishima S, Nishihara Y, Iguchi T, et al: Lymphatic spread is related to VEGF-C expression and D2-40-positive myofibroblasts in intrahepatic cholangiocarcinoma. Mod Pathol. 21:256–264. 2008. View Article : Google Scholar : PubMed/NCBI

18 

Schoppmann SF, Bayer G, Aumayr K, et al: Prognostic value of lymphangiogenesis and lymphovascular invasion in invasive breast cancer. Ann Surg. 240:306–312. 2004. View Article : Google Scholar : PubMed/NCBI

19 

Van den Eynden GG, Van der Auwera I, Van Laere SJ, et al: Comparison of molecular determinants of angiogenesis and lymphangiogenesis in lymph node metastases and in primary tumours of patients with breast cancer. J Pathol. 213:56–64. 2007.PubMed/NCBI

20 

Krishnan J, Kirkin V, Steffen A, et al: Differential in vivo and in vitro expression of vascular endothelial growth factor (VEGF)-C and VEGF-D in tumors and its relationship to lymphatic metastasis in immunocompetent rats. Cancer Res. 63:713–722. 2003.PubMed/NCBI

21 

Wissmann C and Detmar M: Pathways targeting tumor lymphangiogenesis. Clin Cancer Res. 12:6865–6868. 2006. View Article : Google Scholar : PubMed/NCBI

22 

Su JL, Yen CJ, Chen PS, et al: The role of the VEGF-C/VEGFR-3 axis in cancer progression. Br J Cancer. 96:541–545. 2007. View Article : Google Scholar : PubMed/NCBI

23 

Sica A, Schioppa T, Mantovani A and Allavena P: Tumour-associated macrophages are a distinct M2 polarised population promoting tumour progression: potential targets of anti-cancer therapy. Eur J Cancer. 42:717–727. 2006. View Article : Google Scholar

24 

Royston D and Jackson DG: Mechanisms of lymphatic metastasis in human colorectal adenocarcinoma. J Pathol. 217:608–619. 2009. View Article : Google Scholar : PubMed/NCBI

25 

He Y, Karpanen T and Alitalo K: Role of lymphangiogenic factors in tumor metastasis. Biochim Biophys Acta. 1654:3–12. 2004.PubMed/NCBI

26 

He Y, Rajantie I, Pajusola K, et al: Vascular endothelial cell growth factor receptor 3-mediated activation of lymphatic endothelium is crucial for tumor cell entry and spread via lymphatic vessels. Cancer Res. 65:4739–4746. 2005. View Article : Google Scholar : PubMed/NCBI

27 

Zhang XH, Huang DP, Guo GL, et al: Coexpression of VEGF-C and COX-2 and its association with lymphangiogenesis in human breast cancer. BMC Cancer. 8:42008. View Article : Google Scholar : PubMed/NCBI

28 

Wang XL, Fang JP, Tang RY and Chen XM: Different significance between intratumoral and peritumoral lymphatic vessel density in gastric cancer: a retrospective study of 123 cases. BMC Cancer. 10:2992010.PubMed/NCBI

29 

Botting SK, Fouad H, Elwell K, et al: Prognostic significance of peritumoral lymphatic vessel density and vascular endothelial growth factor receptor 3 in invasive squamous cell cervical cancer. Transl Oncol. 3:170–175. 2010. View Article : Google Scholar

Related Articles

  • Abstract
  • View
  • Download
  • Twitter
Copy and paste a formatted citation
Spandidos Publications style
Ding M, Fu X, Tan H, Wang R, Chen Z and Ding S: The effect of vascular endothelial growth factor C expression in tumor-associated macrophages on lymphangiogenesis and lymphatic metastasis in breast cancer. Mol Med Rep 6: 1023-1029, 2012.
APA
Ding, M., Fu, X., Tan, H., Wang, R., Chen, Z., & Ding, S. (2012). The effect of vascular endothelial growth factor C expression in tumor-associated macrophages on lymphangiogenesis and lymphatic metastasis in breast cancer. Molecular Medicine Reports, 6, 1023-1029. https://doi.org/10.3892/mmr.2012.1043
MLA
Ding, M., Fu, X., Tan, H., Wang, R., Chen, Z., Ding, S."The effect of vascular endothelial growth factor C expression in tumor-associated macrophages on lymphangiogenesis and lymphatic metastasis in breast cancer". Molecular Medicine Reports 6.5 (2012): 1023-1029.
Chicago
Ding, M., Fu, X., Tan, H., Wang, R., Chen, Z., Ding, S."The effect of vascular endothelial growth factor C expression in tumor-associated macrophages on lymphangiogenesis and lymphatic metastasis in breast cancer". Molecular Medicine Reports 6, no. 5 (2012): 1023-1029. https://doi.org/10.3892/mmr.2012.1043
Copy and paste a formatted citation
x
Spandidos Publications style
Ding M, Fu X, Tan H, Wang R, Chen Z and Ding S: The effect of vascular endothelial growth factor C expression in tumor-associated macrophages on lymphangiogenesis and lymphatic metastasis in breast cancer. Mol Med Rep 6: 1023-1029, 2012.
APA
Ding, M., Fu, X., Tan, H., Wang, R., Chen, Z., & Ding, S. (2012). The effect of vascular endothelial growth factor C expression in tumor-associated macrophages on lymphangiogenesis and lymphatic metastasis in breast cancer. Molecular Medicine Reports, 6, 1023-1029. https://doi.org/10.3892/mmr.2012.1043
MLA
Ding, M., Fu, X., Tan, H., Wang, R., Chen, Z., Ding, S."The effect of vascular endothelial growth factor C expression in tumor-associated macrophages on lymphangiogenesis and lymphatic metastasis in breast cancer". Molecular Medicine Reports 6.5 (2012): 1023-1029.
Chicago
Ding, M., Fu, X., Tan, H., Wang, R., Chen, Z., Ding, S."The effect of vascular endothelial growth factor C expression in tumor-associated macrophages on lymphangiogenesis and lymphatic metastasis in breast cancer". Molecular Medicine Reports 6, no. 5 (2012): 1023-1029. https://doi.org/10.3892/mmr.2012.1043
Follow us
  • Twitter
  • LinkedIn
  • Facebook
About
  • Spandidos Publications
  • Careers
  • Cookie Policy
  • Privacy Policy
How can we help?
  • Help
  • Live Chat
  • Contact
  • Email to our Support Team