Spandidos Publications Logo
  • About
    • About Spandidos
    • Aims and Scopes
    • Abstracting and Indexing
    • Editorial Policies
    • Reprints and Permissions
    • Job Opportunities
    • Terms and Conditions
    • Contact
  • Journals
    • All Journals
    • Oncology Letters
      • Oncology Letters
      • Information for Authors
      • Editorial Policies
      • Editorial Board
      • Aims and Scope
      • Abstracting and Indexing
      • Bibliographic Information
      • Archive
    • International Journal of Oncology
      • International Journal of Oncology
      • Information for Authors
      • Editorial Policies
      • Editorial Board
      • Aims and Scope
      • Abstracting and Indexing
      • Bibliographic Information
      • Archive
    • Molecular and Clinical Oncology
      • Molecular and Clinical Oncology
      • Information for Authors
      • Editorial Policies
      • Editorial Board
      • Aims and Scope
      • Abstracting and Indexing
      • Bibliographic Information
      • Archive
    • Experimental and Therapeutic Medicine
      • Experimental and Therapeutic Medicine
      • Information for Authors
      • Editorial Policies
      • Editorial Board
      • Aims and Scope
      • Abstracting and Indexing
      • Bibliographic Information
      • Archive
    • International Journal of Molecular Medicine
      • International Journal of Molecular Medicine
      • Information for Authors
      • Editorial Policies
      • Editorial Board
      • Aims and Scope
      • Abstracting and Indexing
      • Bibliographic Information
      • Archive
    • Biomedical Reports
      • Biomedical Reports
      • Information for Authors
      • Editorial Policies
      • Editorial Board
      • Aims and Scope
      • Abstracting and Indexing
      • Bibliographic Information
      • Archive
    • Oncology Reports
      • Oncology Reports
      • Information for Authors
      • Editorial Policies
      • Editorial Board
      • Aims and Scope
      • Abstracting and Indexing
      • Bibliographic Information
      • Archive
    • Molecular Medicine Reports
      • Molecular Medicine Reports
      • Information for Authors
      • Editorial Policies
      • Editorial Board
      • Aims and Scope
      • Abstracting and Indexing
      • Bibliographic Information
      • Archive
    • World Academy of Sciences Journal
      • World Academy of Sciences Journal
      • Information for Authors
      • Editorial Policies
      • Editorial Board
      • Aims and Scope
      • Abstracting and Indexing
      • Bibliographic Information
      • Archive
    • International Journal of Functional Nutrition
      • International Journal of Functional Nutrition
      • Information for Authors
      • Editorial Policies
      • Editorial Board
      • Aims and Scope
      • Abstracting and Indexing
      • Bibliographic Information
      • Archive
    • International Journal of Epigenetics
      • International Journal of Epigenetics
      • Information for Authors
      • Editorial Policies
      • Editorial Board
      • Aims and Scope
      • Abstracting and Indexing
      • Bibliographic Information
      • Archive
    • Medicine International
      • Medicine International
      • Information for Authors
      • Editorial Policies
      • Editorial Board
      • Aims and Scope
      • Abstracting and Indexing
      • Bibliographic Information
      • Archive
  • Articles
  • Information
    • Information for Authors
    • Information for Reviewers
    • Information for Librarians
    • Information for Advertisers
    • Conferences
  • Language Editing
Spandidos Publications Logo
  • About
    • About Spandidos
    • Aims and Scopes
    • Abstracting and Indexing
    • Editorial Policies
    • Reprints and Permissions
    • Job Opportunities
    • Terms and Conditions
    • Contact
  • Journals
    • All Journals
    • Biomedical Reports
      • Information for Authors
      • Editorial Policies
      • Editorial Board
      • Aims and Scope
      • Abstracting and Indexing
      • Bibliographic Information
      • Archive
    • Experimental and Therapeutic Medicine
      • Information for Authors
      • Editorial Policies
      • Editorial Board
      • Aims and Scope
      • Abstracting and Indexing
      • Bibliographic Information
      • Archive
    • International Journal of Epigenetics
      • Information for Authors
      • Editorial Policies
      • Editorial Board
      • Aims and Scope
      • Abstracting and Indexing
      • Bibliographic Information
      • Archive
    • International Journal of Functional Nutrition
      • Information for Authors
      • Editorial Policies
      • Editorial Board
      • Aims and Scope
      • Abstracting and Indexing
      • Bibliographic Information
      • Archive
    • International Journal of Molecular Medicine
      • Information for Authors
      • Editorial Policies
      • Editorial Board
      • Aims and Scope
      • Abstracting and Indexing
      • Bibliographic Information
      • Archive
    • International Journal of Oncology
      • Information for Authors
      • Editorial Policies
      • Editorial Board
      • Aims and Scope
      • Abstracting and Indexing
      • Bibliographic Information
      • Archive
    • Medicine International
      • Information for Authors
      • Editorial Policies
      • Editorial Board
      • Aims and Scope
      • Abstracting and Indexing
      • Bibliographic Information
      • Archive
    • Molecular and Clinical Oncology
      • Information for Authors
      • Editorial Policies
      • Editorial Board
      • Aims and Scope
      • Abstracting and Indexing
      • Bibliographic Information
      • Archive
    • Molecular Medicine Reports
      • Information for Authors
      • Editorial Policies
      • Editorial Board
      • Aims and Scope
      • Abstracting and Indexing
      • Bibliographic Information
      • Archive
    • Oncology Letters
      • Information for Authors
      • Editorial Policies
      • Editorial Board
      • Aims and Scope
      • Abstracting and Indexing
      • Bibliographic Information
      • Archive
    • Oncology Reports
      • Information for Authors
      • Editorial Policies
      • Editorial Board
      • Aims and Scope
      • Abstracting and Indexing
      • Bibliographic Information
      • Archive
    • World Academy of Sciences Journal
      • Information for Authors
      • Editorial Policies
      • Editorial Board
      • Aims and Scope
      • Abstracting and Indexing
      • Bibliographic Information
      • Archive
  • Articles
  • Information
    • For Authors
    • For Reviewers
    • For Librarians
    • For Advertisers
    • Conferences
  • Language Editing
Login Register Submit
  • This site uses cookies
  • You can change your cookie settings at any time by following the instructions in our Cookie Policy. To find out more, you may read our Privacy Policy.

    I agree
Search articles by DOI, keyword, author or affiliation
Search
Advanced Search
presentation
Molecular Medicine Reports
Join Editorial Board Propose a Special Issue
Print ISSN: 1791-2997 Online ISSN: 1791-3004
Journal Cover
October-2016 Volume 14 Issue 4

Full Size Image

Sign up for eToc alerts
Recommend to Library

Journals

International Journal of Molecular Medicine

International Journal of Molecular Medicine

International Journal of Molecular Medicine is an international journal devoted to molecular mechanisms of human disease.

International Journal of Oncology

International Journal of Oncology

International Journal of Oncology is an international journal devoted to oncology research and cancer treatment.

Molecular Medicine Reports

Molecular Medicine Reports

Covers molecular medicine topics such as pharmacology, pathology, genetics, neuroscience, infectious diseases, molecular cardiology, and molecular surgery.

Oncology Reports

Oncology Reports

Oncology Reports is an international journal devoted to fundamental and applied research in Oncology.

Experimental and Therapeutic Medicine

Experimental and Therapeutic Medicine

Experimental and Therapeutic Medicine is an international journal devoted to laboratory and clinical medicine.

Oncology Letters

Oncology Letters

Oncology Letters is an international journal devoted to Experimental and Clinical Oncology.

Biomedical Reports

Biomedical Reports

Explores a wide range of biological and medical fields, including pharmacology, genetics, microbiology, neuroscience, and molecular cardiology.

Molecular and Clinical Oncology

Molecular and Clinical Oncology

International journal addressing all aspects of oncology research, from tumorigenesis and oncogenes to chemotherapy and metastasis.

World Academy of Sciences Journal

World Academy of Sciences Journal

Multidisciplinary open-access journal spanning biochemistry, genetics, neuroscience, environmental health, and synthetic biology.

International Journal of Functional Nutrition

International Journal of Functional Nutrition

Open-access journal combining biochemistry, pharmacology, immunology, and genetics to advance health through functional nutrition.

International Journal of Epigenetics

International Journal of Epigenetics

Publishes open-access research on using epigenetics to advance understanding and treatment of human disease.

Medicine International

Medicine International

An International Open Access Journal Devoted to General Medicine.

Journal Cover
October-2016 Volume 14 Issue 4

Full Size Image

Sign up for eToc alerts
Recommend to Library

  • Article
  • Citations
    • Cite This Article
    • Download Citation
    • Create Citation Alert
    • Remove Citation Alert
    • Cited By
  • Similar Articles
    • Related Articles (in Spandidos Publications)
    • Similar Articles (Google Scholar)
    • Similar Articles (PubMed)
  • Download PDF
  • Download XML
  • View XML
Article Open Access

Curcumin ameliorates high‑fat diet‑induced spermatogenesis dysfunction

  • Authors:
    • Yang Mu
    • Wen‑Jie Yan
    • Tai‑Lang Yin
    • Jing Yang
  • View Affiliations / Copyright

    Affiliations: Reproductive Medical Center, Renmin Hospital of Wuhan University, Wuhan, Hubei 430060, P.R. China
    Copyright: © Mu et al. This is an open access article distributed under the terms of Creative Commons Attribution License.
  • Pages: 3588-3594
    |
    Published online on: September 5, 2016
       https://doi.org/10.3892/mmr.2016.5712
  • Expand metrics +
Metrics: Total Views: 0 (Spandidos Publications: | PMC Statistics: )
Metrics: Total PDF Downloads: 0 (Spandidos Publications: | PMC Statistics: )
Cited By (CrossRef): 0 citations Loading Articles...

This article is mentioned in:



Abstract

Curcumin, a type of natural active ingredient, is derived from rhizoma of Curcuma, which possesses antioxidant, antitumorigenic and anti‑inflammatory activities. The present study aimed to investigate whether treatment with curcumin reduced high‑fat diet (HFD)‑induced spermatogenesis dysfunction. Sprague‑Dawley rats fed a HFD were treated with or without curcumin for 8 weeks. The testis/body weight, histological analysis and serum hormone levels were used to evaluate the effects of curcumin treatment on spermatogenesis dysfunction induced by the HFD. In addition, the expression levels of apoptosis associated proteins, Fas, B‑cell lymphoma (Bcl)‑xl, Bcl‑associated X protein (Bax) and cleaved‑caspase 3, were determined in the testis. The results of the present study suggested that curcumin treatment attenuated decreased testis/body weight and abnormal hormone levels. Morphological changes induced by a HFD were characterized as atrophied seminiferous tubules, decreased spermatogenetic cells and interstitial cells were improved by curcumin treatment. In addition, curcumin treatment reduced apoptosis in the testis, and decreased expression of Fas, Bax and cleaved‑caspase 3, as well as increased expression of Bcl‑xl. In conclusion, the present study revealed that curcumin treatment reduced HFD‑induced spermatogenesis dysfunction in male rats.

Introduction

Infertility is defined as when couples who have an active sex life without using protective measures for >1 year, fail to get pregnant, which affects 10–15% (1,2). Of this, ~25–30% are infertile couples due to problems with the man (3). Obesity, an acknowledged major risk factor for male infertility (4–6), leads to decreased sperm number and reproductive dysfunction (7,8). Germ cell apoptosis in the testis is a key pathophysiological process in obesity-induced male spermatogenesis dysfunction (9), therefore inhibiting apoptosis in the testis may improve male spermatogeneses function.

Curcumin, a type of natural active ingredient derived from rhizoma of Curcuma, has protective effects in a series of diseases, including cardiovascular disease (10,11), cancer, Alzheimer's disease (12) and diabetes (13). Curcumin has been previously found to serve a significant role in antioxidant, antimutative, anti-inflammatory and antitumorigenic responses (14–17), and recent studies indicated that curcumin can ameliorate high-glucose-induced neural defects by suppressing cellular stress and apoptosis (18). The present study investigated the hypothesis that curcumin treatment can improve spermatogenesis dysfunction induced by a high-fat diet (HFD). Testis/body weight, histological analysis and serum hormone levels were determined to reflect spermatogenesis function of adult rats. Since germ cell apoptosis is an important process during HFD-induced spermatogenesis dysfunction (9), apoptosis associated proteins, Fas, B-cell lymphoma (Bcl)-xl, Bcl-associated X protein (Bax) and cleaved-caspase 3 were also assessed.

Materials and methods

Animal care and treatment

A total of 30 male Sprague-Dawley rats (permit number, 42000500002649), weighing 200–250 g were used in the present study. All animals experiments performed in the present study were approved by the Institutional Animal Care and Use Committee of Renmin Hospital of Wuhan University (Wuhan, China). The animals were allowed free access to food and water at all times and were maintained on a 12 h light/dark cycle at a controlled temperature (20–25°C) and humidity (50±5%), which was also pathogen-free. The composition of the HFD is shown in Table I. Curcumin (Sigma-Aldrich, St. Louis, MO, USA) was dissolved by olive oil and administered orally by oral gavage. The rats were randomly divided into three groups: i) Control; ii) HFD; iii) curcumin treatment groups. All rats were subjected to a HFD for 8 weeks, with the exception of those in the control group ad libitum feeding. The rats in curcumin treatment group were orally administered curcumin treatment (100 mg/kg/day) for 8 weeks, while in the control and HFD groups, an identical volume vehicle was used. Following treatment, the rats were anesthetized with sodium pentobarbital (45 mg/kg) intraperitoneally and blood samples were collected from the abdominal aorta. The rats were subsequently euthanized with 200 mg/kg sodium pentobarbital intraperitoneally and the testes were collected to calculate testis/body weight.

Table I

Macronutrient composition of diets for rats.

Table I

Macronutrient composition of diets for rats.

NutrientControl
High-fat diet
g, %kJ, %g, %kJ, %
Protein20192014
Carbohydrate76724531
Saturated fat493555
kJ/g17.524.1
Histological analysis

The collected testis tissues were fixed with 4% paraformaldehyde, dehydrated and embedded in paraffin (Thermo Fisher Scientific, Inc., Waltham, MA, USA). The testis tissue sections (5 μm) were sectioned with a microtome and stained with hematoxylin and eosin to examine the morphology. The tissue sections (5 μm) were observed under light microscopy (Nikon E100; Nikon, Tokyo, Japan), and the photomicrographs were obtained by Photo Imaging System (Canon 600D; Canon, Tokyo, Japan). The diameter of seminiferous tubules was measured by Image-Pro Plus 6.0 (Media Cybernetics, Inc., Rockville, MD, USA). In each group, 120 seminiferous tubules (5 fields/rat, randomized 4 seminiferous tubules/field) in 6 rats' testes were counted. Additionally, 30 fields (5 fields/rat) in 6 rats/group were randomly selected to count spermatogenetic cells and interstitial cells.

Hormone levels assay

Blood samples were obtained from the abdominal aorta. Following centrifugation (1,506 × g) for 10 min at 4°C, the sera were obtained for further detection. Serum levels of estradiol (E2), testosterone (T), follicle stimulating hormone (FSH), luteinizing hormone (LH) and leptin were measured using kits, according to the manufacturer's protocol (Elabscience Biotechnology Co., Ltd., Wuhan, China).

Immunohistochemistry

The protein expression levels of Fas, Bcl-xl and leptin receptors were tested by immunohistochemistry. The sections were deparaffinized and were subsequently boiled for 15 min in sodium citrate buffer for antigen retrieval. Following elimination of internal peroxidase activity, the sections were incubated with rabbit anti-Fas (1:50; cat no. BA0408), rabbit anti-leptin-receptor (1:50; cat no. BA1233; Wuhan Boster Biological Technology, Ltd., Wuhan, China) and rabbit anti-Bcl-xl (1:100; cat. no. 10783-AP; Proteintech Group, Inc., Chicago, IL, USA) antibodies at 4°C overnight. The tissue sections were exposed to biotinylated sheep anti-rabbit immunoglobulin G solution (Proteintech Group, Inc.) at 37°C for 30 min and were subsequently incubated with horseradish peroxidase-labeled streptavidin (Proteintech Group, Inc.) at 37°C for 30 min. Finally, the tissue sections were observed under light microscopy (Nikon E100; Nikon), and the photomicrographs were obtained by Photo Imaging System (Canon 600D; Canon). In each group 30 fields (5 fields/rat) in 6 rat testis were randomly selected. Positive expression was assessed using Image-Pro Plus 6.0 and a mean of the integrated optical density was obtained.

Terminal deoxynucleotidyl transferase dUTP nick end labeling (TUNEL)

Tissue sections were processed, according to the manufacturer's protocol for the TUNEL kit (Roche Applied Science, Indianapolis, IN, USA). Positively labeled nuclei were stained a brown color, while negatively labeled nuclei were blue. A total of 30 fields were randomly selected in each group (5 fields/rat) and 100 cells were counted in each field under a microscope (Nikon E100; Nikon), and the number of positive cells was recorded. The apoptosis index (number of apoptotic cells in each field/100) was computed for each field.

Western blot analysis

Lysis buffer (720 μl radioimmunoprecipitation buffer, 100 mmol/l PMSF, 100 μl cocktail, 100 μl Phos-stop, 20 mmol/l NaF and 100 mmol/l Na3VO4 in 1 ml) was used to extract the total proteins from fresh testicular tissues. The protein concentrations were tested using the Bicinchoninic Acid Protein Assay kit (Thermo Fisher Scientific, Inc.) and a plate reader (Bio-Tek Instruments, Inc., Winooski, VT, USA). Equal quantities of protein (30 μg) were separated with denaturing sodium dodecyl sulphate 10% polyacrylamide gels under reducing and denaturing conditions and were subsequently transferred onto a polyvinylidene difluoride (PVDF) membrane (EMD Millipore, Billerica, MA, USA). The PVDF membrane was blocked with 5% (w/v) non-fat milk and 0.1% Tween in Tris-buffered saline (pH 7.4) at room temperature for 1 h. Following blocking, the membrane was incubated overnight at 4°C with the following rabbit primary antibodies: Anti-GAPDH antibody (1:200; Santa Cruz Biotechnology, Inc., Santa Cruz, CA, USA; cat. no. sc-25778), anti-Bax antibody (1:1,000; Cell Signaling Technology, Inc., Danvers, MA, USA; cat. no. 14796) and anti-cleaved-caspase 3 antibody (1:1,000; Cell Signaling Technology, Inc.; cat. no. 9664). Following the incubation with primary antibody, the membrane was incubated with IRDye 800CW-conjugated secondary antibody (LI-COR Biosciences, Lincoln, NE, USA; cat. no. 926-32211) for 1 h. Finally, the membrane was scanned using a two-color infrared imaging system (Odyssey, LI-COR Biosciences). Densitometric analysis was performed by Odyssey, as previous described (19), and the results were expressed as the ratio between targeted proteins and GAPDH band intensities.

Statistical analysis

All statistical analyses were performed with SPSS 19.0 (IBS SPSS, Chicago, IL, USA). All data are expressed as the mean ± standard error of the mean. Multiple group comparison was performed by analysis of variance, followed by the post-hoc least significant difference test assuming equal variances; otherwise Tamhane's T2 post-hoc test. All statistical analyses were two-sided. P<0.05 was considered to indicate a statistically significant difference.

Results

Histomorphological changes

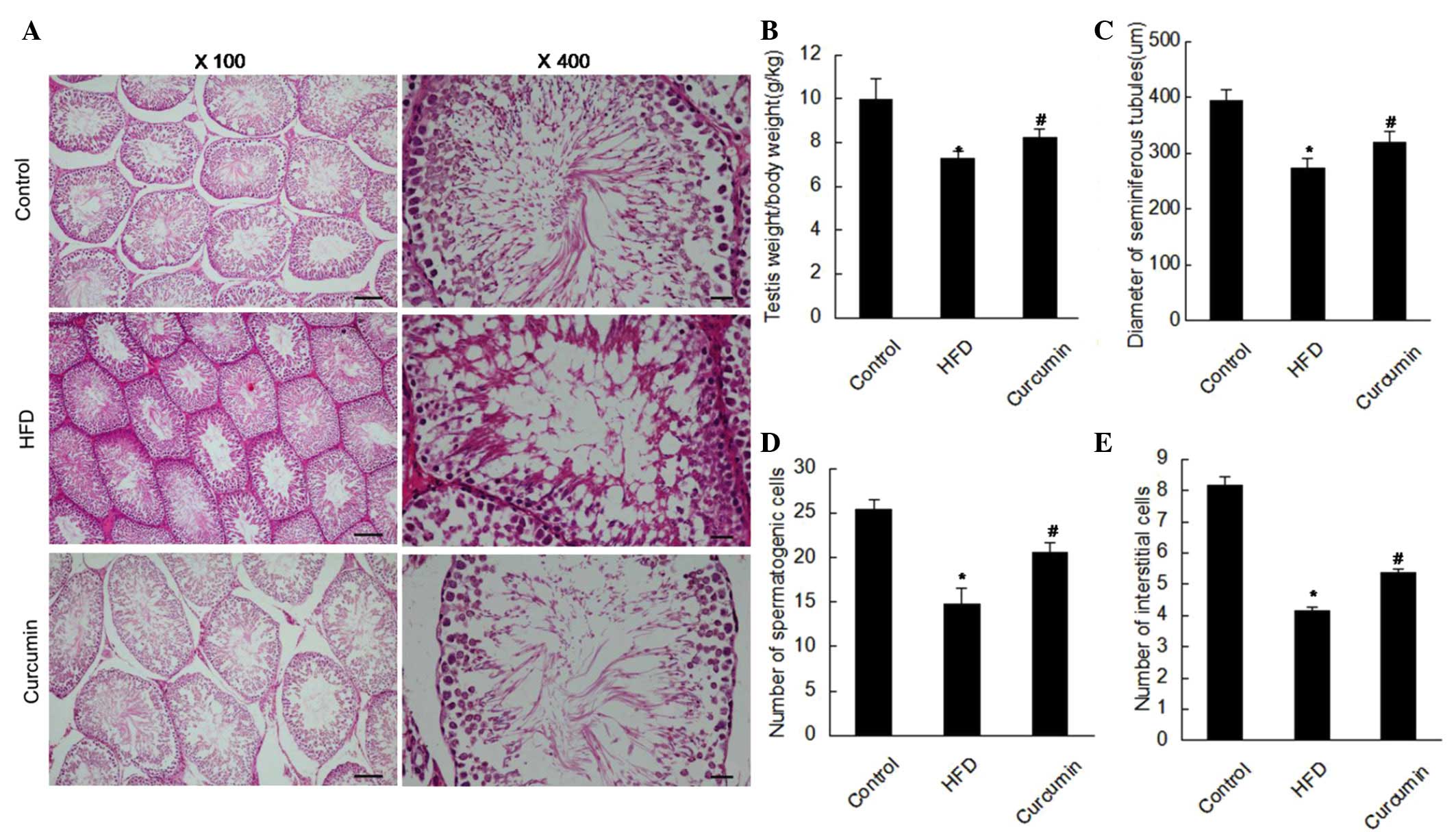
Following a HFD for 8 weeks, the testis/body weight was reduced and treatment with curcumin increased the testis/body weight (Table II; Fig. 1). The testicular structure of the control group under the light microscope manifested as larger seminiferous tubules, abundant spermatogenetic and interstitial cells. As shown in Fig. 1, atrophic seminiferous tubules and more vacuoles were observed in the HFD group. Notably, decreased spermatogenetic and interstitial cells were observed in the HFD group. However, these histological changes were improved following treatment with curcumin (Table III; Fig. 1).

Figure 1

Oral treatment with curcumin prevents HFD-induced male spermatogenesis dysfunction. (A) Hematoxylin and eosin staining of the testis in the three groups (n=6; magnification, ×100 and ×400; scale bar, 100 and 20 μm on the left and right, respectively). (B) Testicular/body weight was determined for the three groups (n=10). (C–E) Quantitative analysis of morphological changes of the testis in three groups are presented (n=6). The data are expressed as the mean ± standard error of the mean (*P<0.05, HFD vs. control group; #P<0.05, curcumin treatment vs. HFD group. HFD, high-fat diet.

Table II

Testicular weight and testicular/body weight of the three groups.

Table II

Testicular weight and testicular/body weight of the three groups.

GroupnBody weight (g)Testicular weight (g)Testicular/body weight (g/kg)
Control10315.80±14.743.14±0.219.97±0.93
High-fat diet10 371.40±12.05a2.70±0.16a7.27±0.35a
Curcumin10353.20±5.762.90±0.12b8.21±0.38b

{ label (or @symbol) needed for fn[@id='tfn1-mmr-14-04-3588'] } The data are expressed as the mean ± standard error of the mean.

a P<0.05 vs. control group;

b P<0.05 vs. high-fat diet group.

Table III

Comparison of diameters of seminiferous tubules and the quantity of spermatogenetic cells and interstitial cells in the three groups.

Table III

Comparison of diameters of seminiferous tubules and the quantity of spermatogenetic cells and interstitial cells in the three groups.

GroupnSeminiferous tubule diameter (μm)Quantity of spermatogenetic cellsQuantity of interstitial cells
Control6395.08±19.9125.40±1.148.16±0.29
High-fat diet6 273.70±16.55a14.80±1.79a4.16±0.12a
Curcumin6 319.94±20.55b20.60±1.14b5.37±0.11b

{ label (or @symbol) needed for fn[@id='tfn4-mmr-14-04-3588'] } The data are expressed as the mean ± standard error of the mean.

a P<0.05 vs. control group;

b P<0.05 vs. HFD group.

Determination of endogenous hormone

Rats fed with an HFD exhibited abnormal serum hormone levels, manifested as reduced serum levels of T, FSH and LH, and increased serum levels of leptin and E2. Serum hormone levels were observed to be restored following treatment with curcumin (Figs. 2 and 5).

Figure 2

Curcumin treatment improves defective serum hormone levels of (A) T, (B) E2, (C) FSH and (D) LH induced by HFD. (n=8; *P<0.05, HFD vs. control group; #P<0.05, curcumin treatment group vs. HFD group). FSH, follicle-stimulating hormone; LH, luteinizing hormone; T, testosterone; E2, estradiol; HFD, high-fat diet.

Figure 5

Curcumin treatment decreases the expression of leptin receptors and reduces serum leptin level. (A) Immunohistochemical staining for the expression of leptin receptors in the testis (n=6; magnification ×100 and ×400; scale bar 100 and 20 μm on the upper and lower panels, respectively). Arrows indicate positive expression. (B) The mean OD of leptin receptors (n=6) and (C) serum leptin levels (n=8) were quantified. The data are expressed as the mean ± standard error of the mean (*P<0.05, HFD vs. control; #P<0.05, curcumin vs. HFD group). HFD, high-fat diet; OD, optical density.

Expression levels of apoptosis associated proteins and leptin receptors

A HFD resulted in more apoptotic cells in the testis, characterized by elevated expression levels of Fas, Bax and cleaved-caspase 3, and reduced expression of Bcl-xl. Following treatment with curcumin, these changes were attenuated (Figs. 3 and 4). The expression of leptin receptors was found to be increased in the testis of rats fed a HFD by immunohistochemistry staining, and curcumin treatment reduced these increased leptin receptors (Fig. 5).

Figure 3

Curcumin supplementation attenuates apoptosis in the testis. (A) Immunohistochemical staining for the protein expression levels of Bcl-xl and Fas, and TUNEL for the apoptotic cells in the testis (n=6; magnification ×100 and ×400; scale bar 100 and 20 μm on the upper and lower panels, respectively). Bcl-xl and Fas are predominantly observed in the interstitial cells. Arrows indicate positive expression. (B–D) Quantitative analysis of AI and the OD (n=6). The data are expressed as the mean ± standard error of the mean (*P<0.05, HFD vs. control group; #P<0.05, curcumin vs. HFD group). HFD, high-fat diet; Bcl, B-cell lymphoma; OD, optical density; AI, apoptosis index; TUNEL, terminal deoxynucleotidyl transferase dUTP nick end labeling.

Figure 4

Curcumin treatment reduces apoptosis-associated protein expression levels of Bax and cleaved-cas-3. (A) Western blotting analysis of the protein expression levels of Bax and cleaved-cas-3 was assessed in the testis tissues from the three groups (n=4). The fold-change in protein expression levels of (B) Bax and (C) cleaved-cas-3 was quantified relative to the expression of GAPDH. The data are expressed as the mean ± standard error of the mean (*P<0.05, HFD vs. control group; #P<0.05, curcumin vs. HFD group. HFD, high-fat diet; cas, caspase; Bax, B-cell lymphoma associated X protein.

Discussion

In order to investigate the effects of curcumin on male spermatogenesis function, the present study subjected the rats to a HFD to induce spermatogenesis dysfunction. The present results revealed that spermatogenesis function was disturbed in rats fed with a HFD, characterized as decreased testis/body weight, atrophied seminiferous tubules, reduced spermatogenetic and interstitial cells, and abnormal hormone levels, which is consistent with a previous study (7).

Curcumin has been demonstrated to have a series of pharmacological actions, including antioxidant, antimutative, anti-inflammatory and antitumorigenic actions (14–17). Over the last decade, the therapeutic effects of curcumin on various cancer types and Alzheimer's disease have been confirmed by clinical trials (20). The present study found that curcumin treatment improved atrophied testes manifested as increased testis/body weight, increased the diameter of seminiferous tubules, and increased the number of spermatogenetic and interstitial cells. Additionally, curcumin treatment improved the abnormal hormone levels. Taken together, curcumin had protective effects in HFD-induced spermatogenesis dysfunction.

The balance between cell proliferation and cell death is important in spermatogenesis function. As a type of cell death, apoptosis of testicular germ cells was an important physiological mechanism in regulating the germ cell population (21–24). Increased germ cell apoptosis was observed in testicular injury induced by stimuli (25–28), and additionally, suppressing apoptosis improved the sperm count (29–33). As shown in the present results, curcumin treatment decreased the protein expression levels of Fas, Bax and cleaved-caspase 3 and increased the expression of Bcl-xl. Notably, curcumin treatment reduced germ cell apoptosis induced by a HFD.

Leptin, also synthesized by seminiferous tubules (34,35), was found to have important effects on reproductive function (36), which has been confirmed by sterile leptin deficient ob mice (37). Additionally, leptin directly acted on the testis and modulated spermatogenesis (38). In addition, leptin served an inhibitory role in testicular steroidogenesis (39,40) and influenced the weight of the testis, the diameter of seminiferous tubules and the number of germ cells (41). In the present study, the leptin receptors in the testis and serum leptin level were increased in rats subjected to a HFD. Treatment with curcumin downregulated the increased levels of leptin receptors and the serum leptin level.

In conclusion, the present study revealed that curcumin reduced HFD-induced spermatogenesis dysfunction and apoptosis. Curcumin may be a potential novel therapeutic medicine for male patients suffering from obesity-induced infertility.

Acknowledgments

The present study was partially supported by the Key Research Project of the Ministry of Public Security (no. 2010 ZDYJHBST007).

References

1 

Botelho F, Figueiredo L, Leite R, Carvalho A, Tomada N and Vendeira P: Predictive factors of a successful testicular biopsy and subsequent clinical pregnancy. Andrologia. 44:237–242. 2012. View Article : Google Scholar : PubMed/NCBI

2 

Ferlin A, Arredi B and Foresta C: Genetic causes of male infertility. Reprod Toxicol. 22:133–141. 2006. View Article : Google Scholar : PubMed/NCBI

3 

Hammoud AO, Gibson M, Peterson CM, Hamilton BD and Carrell DT: Obesity and male reproductive potential. J Androl. 27:619–626. 2006. View Article : Google Scholar : PubMed/NCBI

4 

Pasquali R, Pelusi C, Genghini S, Cacciari M and Gambineri A: Obesity and reproductive disorders in women. Hum Reprod Update. 9:359–372. 2003. View Article : Google Scholar : PubMed/NCBI

5 

Pantasri T and Norman RJ: The effects of being overweight and obese on female reproduction: A review. Gynecol Endocrinol. 30:90–94. 2014. View Article : Google Scholar

6 

Jungheim ES, Travieso JL and Hopeman MM: Weighing the impact of obesity on female reproductive function and fertility. Nutr Rev. 71(Suppl 1): S3–S8. 2013. View Article : Google Scholar : PubMed/NCBI

7 

Jensen TK, Andersson AM, Jørgensen N, Andersen AG, Carlsen E, Petersen JH and Skakkebaek NE: Body mass index in relation to semen quality and reproductive hormones among 1,558 Danish men. Fertil Steril. 82:863–870. 2004. View Article : Google Scholar : PubMed/NCBI

8 

Kort HI, Massey JB, Elsner CW, Mitchell-Leef D, Shapiro DB, Witt MA and Roudebush WE: Impact of body mass index values on sperm quantity and quality. J Androl. 27:450–452. 2006. View Article : Google Scholar

9 

Palmer NO, Bakos HW, Owens JA, Setchell BP and Lane M: Diet and exercise in an obese mouse fed a high-fat diet improve metabolic health and reverse perturbed sperm function. Am J Physiol Endocrinol Metab. 302:E768–E780. 2012. View Article : Google Scholar : PubMed/NCBI

10 

Srivastava G and Mehta JL: Currying the heart: Curcumin and cardioprotection. J Cardiovasc Pharmacol Ther. 14:22–27. 2009. View Article : Google Scholar : PubMed/NCBI

11 

Wongcharoen W and Phrommintikul A: The protective role of curcumin in cardiovascular diseases. Int J Cardiol. 133:145–151. 2009. View Article : Google Scholar : PubMed/NCBI

12 

Shen L and Ji HF: The pharmacology of curcumin: Is it the degradation products? Trends Mol Med. 18:138–144. 2012. View Article : Google Scholar : PubMed/NCBI

13 

Maheshwari RK, Singh AK, Gaddipati J and Srimal RC: Multiple biological activities of curcumin: A short review. Life Sci. 78:2081–2087. 2006. View Article : Google Scholar : PubMed/NCBI

14 

Li M, Zhang Z, Hill DL, Wang H and Zhang R: Curcumin, a dietary component, has anticancer, chemosensitization and radiosensitization effects by down-regulating the MDM2 oncogene through the PI3K/mTOR/ETS2 pathway. Cancer Res. 67:1988–1996. 2007. View Article : Google Scholar : PubMed/NCBI

15 

Bruck R, Ashkenazi M, Weiss S, Goldiner I, Shapiro H, Aeed H, Genina O, Helpern Z and Pines M: Prevention of liver cirrhosis in rats by curcumin. Liver Int. 27:373–383. 2007. View Article : Google Scholar : PubMed/NCBI

16 

Shakibaei M, John T, Schulze-Tanzil G, Lehmann I and Mobasheri A: Suppression of NF-kappaB activation by curcumin leads to inhibition of expression of cyclo-oxygenase-2 and matrix metalloproteinase-9 in human articular chondrocytes: Implications for the treatment of osteoarthritis. Biochem Pharmacol. 73:1434–1445. 2007. View Article : Google Scholar : PubMed/NCBI

17 

Shen SQ, Zhang Y, Xiang JJ and Xiong CL: Protective effect of curcumin against liver warm ischemia/reperfusion injury in rat model is associated with regulation of heat shock protein and antioxidant enzymes. World J Gastroenterol. 13:1953–1961. 2007. View Article : Google Scholar : PubMed/NCBI

18 

Wu Y, Wang F, Reece EA and Yang P: Curcumin ameliorates high glucose-induced neural tube defects by suppressing cellular stress and apoptosis. Am J Obstet Gynecol. 212:802.e1–e8. 2015. View Article : Google Scholar

19 

Liu Y, Jiang XL, Liu Y, Jiang DS, Zhang Y, Zhang R, Chen Y, Yang Q, Zhang XD, Fan GC and Li H: Toll-interacting protein (Tollip) negatively regulates pressure overload-induced ventricular hypertrophy in mice. Cardiovasc Res. 101:87–96. 2014. View Article : Google Scholar :

20 

Hatcher H, Planalp R, Cho J, Torti FM and Torti SV: Curcumin: From ancient medicine to current clinical trials. Cell Mol Life Sci. 65:1631–1652. 2008. View Article : Google Scholar : PubMed/NCBI

21 

Allan DJ, Harmon BV and Roberts SA: Spermatogonial apoptosis has three morphologically recognizable phases and shows no circadian rhythm during normal spermatogenesis in the rat. Cell Prolif. 25:241–250. 1992. View Article : Google Scholar : PubMed/NCBI

22 

Bartke A: Apoptosis of male germ cells, a generalized or a cell type-specific phenomenon? Endocrinology. 136:3–4. 1995. View Article : Google Scholar : PubMed/NCBI

23 

Billig H, Furuta I, Rivier C, Tapanainen J, Parvinen M and Hsueh AJ: Apoptosis in testis germ cells: Developmental changes in gonadotropin dependence and localization to selective tubule stages. Endocrinology. 136:5–12. 1995.PubMed/NCBI

24 

Hikim AP, Wang C, Leung A and Swerdloff RS: Involvement of apoptosis in the induction of germ cell degeneration in adult rats after gonadotropin-releasing hormone antagonist treatment. Endocrinology. 136:2770–2775. 1995.PubMed/NCBI

25 

Lee J, Richburg JH, Shipp EB, Meistrich ML and Boekelheide K: The Fas system, a regulator of testicular germ cell apoptosis, is differentially up-regulated in Sertoli cell versus germ cell injury of the testis. Endocrinology. 140:852–858. 1999.PubMed/NCBI

26 

Sinha HA, Rajavashisth TB, SinhaHikim I, Lue Y, Bonavera JJ, Leung A, Wang C and Swerdloff RS: Significance of apoptosis in the temporal and stage-specific loss of germ cells in the adult rat after gonadotropin deprivation. Biol Reprod. 57:1193–1201. 1997. View Article : Google Scholar

27 

Yin Y, DeWolf WC and Morgentaler A: Experimental cryptorchidism induces testicular germ cell apoptosis by p53-dependent and -independent pathways in mice. Biol Reprod. 58:492–496. 1998. View Article : Google Scholar : PubMed/NCBI

28 

Hasegawa M, Zhang Y, Niibe H, Terry NH and Meistrich ML: Resistance of differentiating spermatogonia to radiation-induced apoptosis and loss in p53-deficient mice. Radiat Res. 149:263–270. 1998. View Article : Google Scholar : PubMed/NCBI

29 

Hockenbery DM, Oltvai ZN, Yin XM, Milliman CL and Korsmeyer SJ: Bcl-2 functions in an antioxidant pathway to prevent apoptosis. Cell. 75:241–251. 1993. View Article : Google Scholar : PubMed/NCBI

30 

Kane DJ, Sarafian TA, Anton R, Hahn H, Gralla EB, Valentine JS, Ord T and Bredesen DE: Bcl-2 inhibition of neural death: Decreased generation of reactive oxygen species. Science. 262:1274–1277. 1993. View Article : Google Scholar : PubMed/NCBI

31 

Wong WY, Merkus HM, Thomas CM, Menkveld R, Zielhuis GA and Steegers-Theunissen RP: Effects of folic acid and zinc sulfate on male factor subfertility: A double-blind, randomized, placebo-controlled trial. Fertil Steril. 77:491–498. 2002. View Article : Google Scholar : PubMed/NCBI

32 

Joshi R, Adhikari S, Patro BS, Chattopadhyay S and Mukherjee T: Free radical scavenging behavior of folic acid: Evidence for possible antioxidant activity. Free Radic Biol Med. 30:1390–1399. 2001. View Article : Google Scholar : PubMed/NCBI

33 

Zago MP and Oteiza PI: The antioxidant properties of zinc: Interactions with iron and antioxidants. Free Radic Biol Med. 31:266–274. 2001. View Article : Google Scholar : PubMed/NCBI

34 

Campfield LA, Smith FJ and Burn P: The OB protein (leptin) pathway-a link between adipose tissue mass and central neural networks. Horm Metab Res. 28:619–632. 1996. View Article : Google Scholar : PubMed/NCBI

35 

Glander HJ, Lammert A, Paasch U, Glasow A and Kratzsch J: Leptin exists in tubuli seminiferi and in seminal plasma. Andrologia. 34:227–233. 2002. View Article : Google Scholar : PubMed/NCBI

36 

Caprio M, Fabbrini E, Isidori AM, Aversa A and Fabbri A: Leptin in reproduction. Trends Endocrinol Metab. 12:65–72. 2001. View Article : Google Scholar : PubMed/NCBI

37 

Zhang Y, Proenca R, Maffei M, Barone M, Leopold L and Friedman JM: Positional cloning of the mouse obese gene and its human homologue. Nature. 372:425–432. 1994. View Article : Google Scholar : PubMed/NCBI

38 

Ma Y, Chen B, Wang H, Hu K and Huang Y: Prediction of sperm retrieval in men with non-obstructive azoospermia using artificial neural networks: Leptin is a good assistant diagnostic marker. Hum Reprod. 26:294–298. 2011. View Article : Google Scholar

39 

Fui MN, Dupuis P and Grossmann M: Lowered testosterone in male obesity: Mechanisms, morbidity and management. Asian J Androl. 16:223–231. 2014. View Article : Google Scholar : PubMed/NCBI

40 

Isidori AM, Caprio M, Strollo F, Moretti C, Frajese G, Isidori A and Fabbri A: Leptin and androgens in male obesity: Evidence for leptin contribution to reduced androgen levels. J Clin Endocrinol Metab. 84:3673–3680. 1999.PubMed/NCBI

41 

Yuan M, Huang G, Li J, Zhang J, Li F, Li K, Gao B, Zeng L, Shan W, Lin P and Huang L: Hyperleptinemia directly affects testicular maturation at different sexual stages in mice and suppressor of cytokine signaling 3 is involved in this process. Reprod Biol Endocrinol. 12:152014. View Article : Google Scholar

Related Articles

  • Abstract
  • View
  • Download
  • Twitter
Copy and paste a formatted citation
Spandidos Publications style
Mu Y, Yan WJ, Yin TL and Yang J: Curcumin ameliorates high‑fat diet‑induced spermatogenesis dysfunction. Mol Med Rep 14: 3588-3594, 2016.
APA
Mu, Y., Yan, W., Yin, T., & Yang, J. (2016). Curcumin ameliorates high‑fat diet‑induced spermatogenesis dysfunction. Molecular Medicine Reports, 14, 3588-3594. https://doi.org/10.3892/mmr.2016.5712
MLA
Mu, Y., Yan, W., Yin, T., Yang, J."Curcumin ameliorates high‑fat diet‑induced spermatogenesis dysfunction". Molecular Medicine Reports 14.4 (2016): 3588-3594.
Chicago
Mu, Y., Yan, W., Yin, T., Yang, J."Curcumin ameliorates high‑fat diet‑induced spermatogenesis dysfunction". Molecular Medicine Reports 14, no. 4 (2016): 3588-3594. https://doi.org/10.3892/mmr.2016.5712
Copy and paste a formatted citation
x
Spandidos Publications style
Mu Y, Yan WJ, Yin TL and Yang J: Curcumin ameliorates high‑fat diet‑induced spermatogenesis dysfunction. Mol Med Rep 14: 3588-3594, 2016.
APA
Mu, Y., Yan, W., Yin, T., & Yang, J. (2016). Curcumin ameliorates high‑fat diet‑induced spermatogenesis dysfunction. Molecular Medicine Reports, 14, 3588-3594. https://doi.org/10.3892/mmr.2016.5712
MLA
Mu, Y., Yan, W., Yin, T., Yang, J."Curcumin ameliorates high‑fat diet‑induced spermatogenesis dysfunction". Molecular Medicine Reports 14.4 (2016): 3588-3594.
Chicago
Mu, Y., Yan, W., Yin, T., Yang, J."Curcumin ameliorates high‑fat diet‑induced spermatogenesis dysfunction". Molecular Medicine Reports 14, no. 4 (2016): 3588-3594. https://doi.org/10.3892/mmr.2016.5712
Follow us
  • Twitter
  • LinkedIn
  • Facebook
About
  • Spandidos Publications
  • Careers
  • Cookie Policy
  • Privacy Policy
How can we help?
  • Help
  • Live Chat
  • Contact
  • Email to our Support Team