Spandidos Publications Logo
  • About
    • About Spandidos
    • Aims and Scopes
    • Abstracting and Indexing
    • Editorial Policies
    • Reprints and Permissions
    • Job Opportunities
    • Terms and Conditions
    • Contact
  • Journals
    • All Journals
    • Oncology Letters
      • Oncology Letters
      • Information for Authors
      • Editorial Policies
      • Editorial Board
      • Aims and Scope
      • Abstracting and Indexing
      • Bibliographic Information
      • Archive
    • International Journal of Oncology
      • International Journal of Oncology
      • Information for Authors
      • Editorial Policies
      • Editorial Board
      • Aims and Scope
      • Abstracting and Indexing
      • Bibliographic Information
      • Archive
    • Molecular and Clinical Oncology
      • Molecular and Clinical Oncology
      • Information for Authors
      • Editorial Policies
      • Editorial Board
      • Aims and Scope
      • Abstracting and Indexing
      • Bibliographic Information
      • Archive
    • Experimental and Therapeutic Medicine
      • Experimental and Therapeutic Medicine
      • Information for Authors
      • Editorial Policies
      • Editorial Board
      • Aims and Scope
      • Abstracting and Indexing
      • Bibliographic Information
      • Archive
    • International Journal of Molecular Medicine
      • International Journal of Molecular Medicine
      • Information for Authors
      • Editorial Policies
      • Editorial Board
      • Aims and Scope
      • Abstracting and Indexing
      • Bibliographic Information
      • Archive
    • Biomedical Reports
      • Biomedical Reports
      • Information for Authors
      • Editorial Policies
      • Editorial Board
      • Aims and Scope
      • Abstracting and Indexing
      • Bibliographic Information
      • Archive
    • Oncology Reports
      • Oncology Reports
      • Information for Authors
      • Editorial Policies
      • Editorial Board
      • Aims and Scope
      • Abstracting and Indexing
      • Bibliographic Information
      • Archive
    • Molecular Medicine Reports
      • Molecular Medicine Reports
      • Information for Authors
      • Editorial Policies
      • Editorial Board
      • Aims and Scope
      • Abstracting and Indexing
      • Bibliographic Information
      • Archive
    • World Academy of Sciences Journal
      • World Academy of Sciences Journal
      • Information for Authors
      • Editorial Policies
      • Editorial Board
      • Aims and Scope
      • Abstracting and Indexing
      • Bibliographic Information
      • Archive
    • International Journal of Functional Nutrition
      • International Journal of Functional Nutrition
      • Information for Authors
      • Editorial Policies
      • Editorial Board
      • Aims and Scope
      • Abstracting and Indexing
      • Bibliographic Information
      • Archive
    • International Journal of Epigenetics
      • International Journal of Epigenetics
      • Information for Authors
      • Editorial Policies
      • Editorial Board
      • Aims and Scope
      • Abstracting and Indexing
      • Bibliographic Information
      • Archive
    • Medicine International
      • Medicine International
      • Information for Authors
      • Editorial Policies
      • Editorial Board
      • Aims and Scope
      • Abstracting and Indexing
      • Bibliographic Information
      • Archive
  • Articles
  • Information
    • Information for Authors
    • Information for Reviewers
    • Information for Librarians
    • Information for Advertisers
    • Conferences
  • Language Editing
Spandidos Publications Logo
  • About
    • About Spandidos
    • Aims and Scopes
    • Abstracting and Indexing
    • Editorial Policies
    • Reprints and Permissions
    • Job Opportunities
    • Terms and Conditions
    • Contact
  • Journals
    • All Journals
    • Biomedical Reports
      • Information for Authors
      • Editorial Policies
      • Editorial Board
      • Aims and Scope
      • Abstracting and Indexing
      • Bibliographic Information
      • Archive
    • Experimental and Therapeutic Medicine
      • Information for Authors
      • Editorial Policies
      • Editorial Board
      • Aims and Scope
      • Abstracting and Indexing
      • Bibliographic Information
      • Archive
    • International Journal of Epigenetics
      • Information for Authors
      • Editorial Policies
      • Editorial Board
      • Aims and Scope
      • Abstracting and Indexing
      • Bibliographic Information
      • Archive
    • International Journal of Functional Nutrition
      • Information for Authors
      • Editorial Policies
      • Editorial Board
      • Aims and Scope
      • Abstracting and Indexing
      • Bibliographic Information
      • Archive
    • International Journal of Molecular Medicine
      • Information for Authors
      • Editorial Policies
      • Editorial Board
      • Aims and Scope
      • Abstracting and Indexing
      • Bibliographic Information
      • Archive
    • International Journal of Oncology
      • Information for Authors
      • Editorial Policies
      • Editorial Board
      • Aims and Scope
      • Abstracting and Indexing
      • Bibliographic Information
      • Archive
    • Medicine International
      • Information for Authors
      • Editorial Policies
      • Editorial Board
      • Aims and Scope
      • Abstracting and Indexing
      • Bibliographic Information
      • Archive
    • Molecular and Clinical Oncology
      • Information for Authors
      • Editorial Policies
      • Editorial Board
      • Aims and Scope
      • Abstracting and Indexing
      • Bibliographic Information
      • Archive
    • Molecular Medicine Reports
      • Information for Authors
      • Editorial Policies
      • Editorial Board
      • Aims and Scope
      • Abstracting and Indexing
      • Bibliographic Information
      • Archive
    • Oncology Letters
      • Information for Authors
      • Editorial Policies
      • Editorial Board
      • Aims and Scope
      • Abstracting and Indexing
      • Bibliographic Information
      • Archive
    • Oncology Reports
      • Information for Authors
      • Editorial Policies
      • Editorial Board
      • Aims and Scope
      • Abstracting and Indexing
      • Bibliographic Information
      • Archive
    • World Academy of Sciences Journal
      • Information for Authors
      • Editorial Policies
      • Editorial Board
      • Aims and Scope
      • Abstracting and Indexing
      • Bibliographic Information
      • Archive
  • Articles
  • Information
    • For Authors
    • For Reviewers
    • For Librarians
    • For Advertisers
    • Conferences
  • Language Editing
Login Register Submit
  • This site uses cookies
  • You can change your cookie settings at any time by following the instructions in our Cookie Policy. To find out more, you may read our Privacy Policy.

    I agree
Search articles by DOI, keyword, author or affiliation
Search
Advanced Search
presentation
Molecular Medicine Reports
Join Editorial Board Propose a Special Issue
Print ISSN: 1791-2997 Online ISSN: 1791-3004
Journal Cover
November-2016 Volume 14 Issue 5

Full Size Image

Sign up for eToc alerts
Recommend to Library

Journals

International Journal of Molecular Medicine

International Journal of Molecular Medicine

International Journal of Molecular Medicine is an international journal devoted to molecular mechanisms of human disease.

International Journal of Oncology

International Journal of Oncology

International Journal of Oncology is an international journal devoted to oncology research and cancer treatment.

Molecular Medicine Reports

Molecular Medicine Reports

Covers molecular medicine topics such as pharmacology, pathology, genetics, neuroscience, infectious diseases, molecular cardiology, and molecular surgery.

Oncology Reports

Oncology Reports

Oncology Reports is an international journal devoted to fundamental and applied research in Oncology.

Experimental and Therapeutic Medicine

Experimental and Therapeutic Medicine

Experimental and Therapeutic Medicine is an international journal devoted to laboratory and clinical medicine.

Oncology Letters

Oncology Letters

Oncology Letters is an international journal devoted to Experimental and Clinical Oncology.

Biomedical Reports

Biomedical Reports

Explores a wide range of biological and medical fields, including pharmacology, genetics, microbiology, neuroscience, and molecular cardiology.

Molecular and Clinical Oncology

Molecular and Clinical Oncology

International journal addressing all aspects of oncology research, from tumorigenesis and oncogenes to chemotherapy and metastasis.

World Academy of Sciences Journal

World Academy of Sciences Journal

Multidisciplinary open-access journal spanning biochemistry, genetics, neuroscience, environmental health, and synthetic biology.

International Journal of Functional Nutrition

International Journal of Functional Nutrition

Open-access journal combining biochemistry, pharmacology, immunology, and genetics to advance health through functional nutrition.

International Journal of Epigenetics

International Journal of Epigenetics

Publishes open-access research on using epigenetics to advance understanding and treatment of human disease.

Medicine International

Medicine International

An International Open Access Journal Devoted to General Medicine.

Journal Cover
November-2016 Volume 14 Issue 5

Full Size Image

Sign up for eToc alerts
Recommend to Library

  • Article
  • Citations
    • Cite This Article
    • Download Citation
    • Create Citation Alert
    • Remove Citation Alert
    • Cited By
  • Similar Articles
    • Related Articles (in Spandidos Publications)
    • Similar Articles (Google Scholar)
    • Similar Articles (PubMed)
  • Download PDF
  • Download XML
  • View XML
Article

A3 adenosine receptor agonist, CF102, protects against hepatic ischemia/reperfusion injury following partial hepatectomy

  • Authors:
    • Gil Ohana
    • Shira Cohen
    • Lea Rath‑Wolfson
    • Pnina Fishman
  • View Affiliations / Copyright

    Affiliations: Department of Surgery A/B, Rabin Medical Center, Campus Golda, Sackler Faculty of Medicine Tel‑Aviv University, Petah Tikva 49100, Israel, Can‑Fite BioPharma, Ltd., Kiryat‑Matalon, Petah Tikva 49170, Israel, Department of Pathology, Rabin Medical Center, Campus Golda, Sackler Faculty of Medicine Tel‑Aviv University, Petah Tikva 49100, Israel
  • Pages: 4335-4341
    |
    Published online on: September 19, 2016
       https://doi.org/10.3892/mmr.2016.5746
  • Expand metrics +
Metrics: Total Views: 0 (Spandidos Publications: | PMC Statistics: )
Metrics: Total PDF Downloads: 0 (Spandidos Publications: | PMC Statistics: )
Cited By (CrossRef): 0 citations Loading Articles...

This article is mentioned in:



Abstract

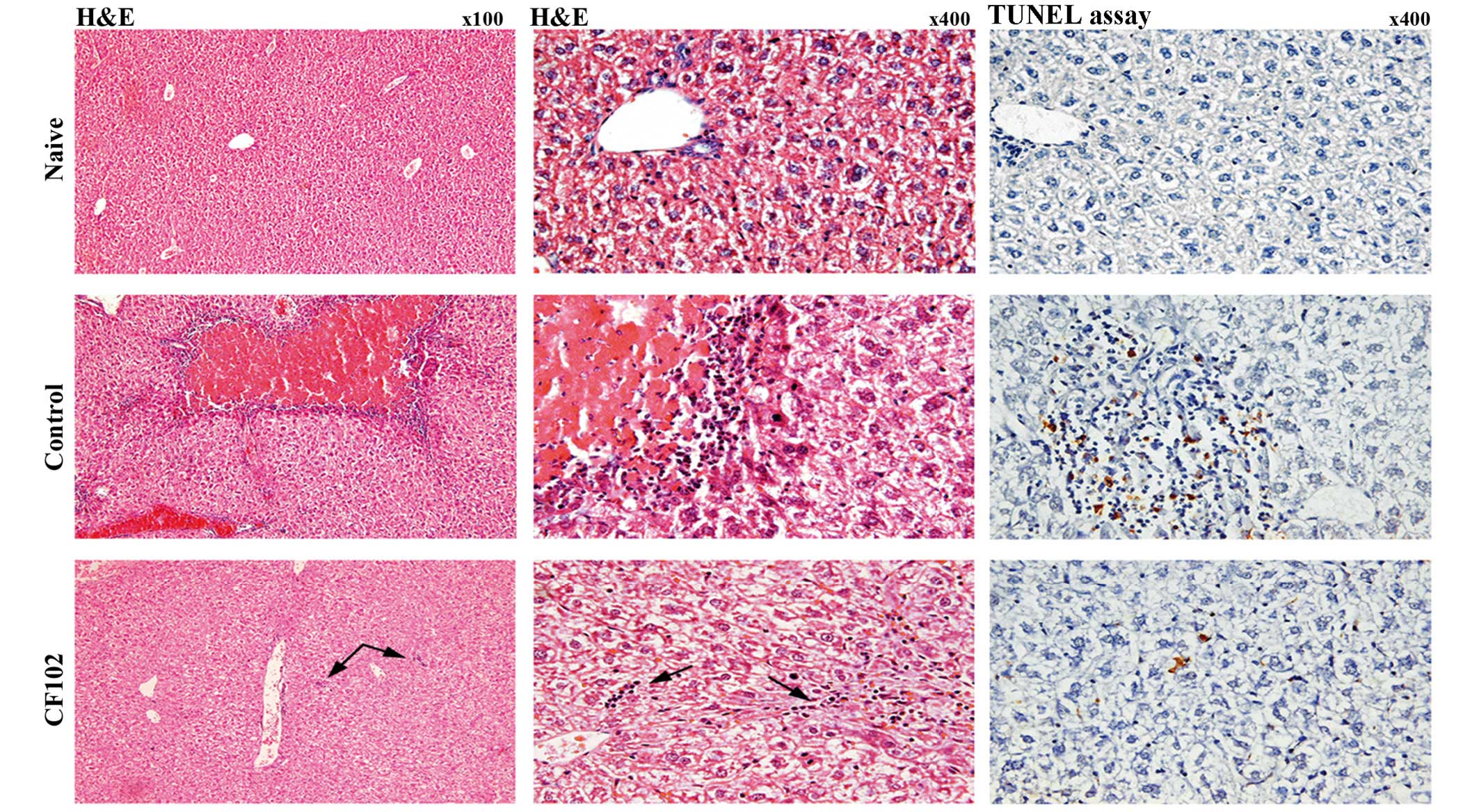
Ischemia/reperfusion (IR) injury during clinical hepatic procedures is characterized by inflammatory conditions and the apoptosis of hepatocytes. Nuclear factor‑κB (NF‑κB), nitric oxide and the expression levels of inflammatory cytokines, tumor necrosis factor‑α and interleukin‑1 were observed to increase following IR and mediate the inflammatory response in the liver. CF102 is a highly selective A3 adenosine receptor (A3AR) agonist, and has been identified to induce an anti‑inflammatory and protective effect on the liver via the downregulation of the NF‑κB signaling pathway. The present study aimed to determine the effect of CF102 on protecting the liver against IR injury. The potential protective effect of CF102 (100 µg/kg) was assessed using an IR injury model on 70% of the liver of Wistar rats, which was induced by clamping the hepatic vasculature for 30 min. The regenerative effect of CF102 was assessed by the partial hepatectomy of 70% of the liver during 10 min of IR. CF102 reduced the levels of liver enzymes following IR injury. A higher regeneration rate in the CF102 treatment group was observed compared with the control group, suggesting that CF102 had a positive effect on the proliferation of hepatocytes following hepatectomy. CF102 had a protective effect on the liver of Wistar rats subsequent to IR injury during hepatectomy. This may be due to an anti‑inflammatory and anti‑apoptotic effect mediated by the A3AR.
View Figures

Figure 1

Figure 2

Figure 3

Figure 4

Figure 5

Figure 6

View References

1 

Lentsch AB, Atsushi K, Yoshidome H, MacMasters KM and Edwards MJ: Inflammatory mechanisms and therapeutic strategies for warm hepatic ischemia/reperfusion injury. Hepatology. 32:169–173. 2000. View Article : Google Scholar : PubMed/NCBI

2 

Semenza GL: HIF-1: Mediator of physiological and pathophysiological response to hypoxia. J Appl Physiol (1985). 88:1474–1480. 2000.PubMed/NCBI

3 

Li C and Jackson RM: Reactive species mechanisms of cellular hypoxia-reoxygenation injury. Am J Physiol Cell Physiol. 282:C227–C241. 2002. View Article : Google Scholar : PubMed/NCBI

4 

Jaeschke H: Mechanisms of reperfusion injury after warm ischemia of the liver. J Hepatobiliary Pancreat Surg. 5:402–408. 1998. View Article : Google Scholar : PubMed/NCBI

5 

Okuaki Y, Miyazaki H, Zeniya M, Ishikawa T, Ohkawa Y, Teuno S, Sakaguchi M, Hara M, Takahashi H and Toda G: Splenectomy-reduced hepatic injury induced by ischemia/reperfusion in the rat. Liver. 16:188–194. 1996. View Article : Google Scholar : PubMed/NCBI

6 

Zwacka RM, Zhang Y, Halldorson J, Schlossberg H, Dudus L and Ehgelhardt JF: CD4(+) T-lymphocytes mediate ischemia/reperfusion-induced inflammatory responses in mouse liver. J Clin Invest. 100:279–289. 1997. View Article : Google Scholar : PubMed/NCBI

7 

Liu P, McGuire GM, Fischer MA, Farhood A, Smith CW and Jaeschke H: Activation of Kupffer cells and neutrophils for reactive oxygen formation is responsible for endotoxin-enhanced liver injury after hepatic ischemia. Shock. 3:56–62. 1995. View Article : Google Scholar : PubMed/NCBI

8 

Gao W, Bentely RC, Madden JF and Clavien PA: Apoptosis of sinusoidal endothelial cells is a critical mechanism of prevention of injury in rat liver transplantation. Hepatology. 27:1652–1660. 1998. View Article : Google Scholar : PubMed/NCBI

9 

Cursio R, Gugenheim J, Ricci JE, Crenesse D, Rostagno P, Maulon L, Saint-Paul MC, Ferrua B and Auberger AP: A caspase inhibitor fully protects rats against lethal normothermic liver ischemia by inhibition of liver apoptosis. FASEB J. 13:253–261. 1999.PubMed/NCBI

10 

Kohli V, Selzner M, Madden JF, Bentley RC and Clavien PA: Endothelial cell and hepatocyte deaths occur by apoptosis after ischemia-reperfusion injury in the rat liver. Transplantation. 67:1099–1105. 1999. View Article : Google Scholar : PubMed/NCBI

11 

Murry CE, Jenning RB and Reimer KA: Preconditioning with ischemia: A delay of lethal cell injury in ischemic myocardium. Circulation. 74:1124–1136. 1986. View Article : Google Scholar : PubMed/NCBI

12 

Teoh NC and Farrell GC: Hepatic ischemia reperfusion injury: Pathogenic mechanisms and basis for hepatoprotection. J Gastroenterol Hepatol. 18:891–902. 2003. View Article : Google Scholar : PubMed/NCBI

13 

Peralta C, Closa D, Xaus C, Gelpi E, Roselló-Catafau J and Hotter G: Hepatic preconditioning in rats is defined by a balance of adenosine and xanthine. Hepatology. 28:768–773. 1998. View Article : Google Scholar : PubMed/NCBI

14 

Teoh N, Pena A Dela and Farrel G: Hepatic ischemia preconditioning in mice is associated with activation of NF-kappaB, p38 kinase, and cell cycle entry. Hepatology. 36:94–102. 2002. View Article : Google Scholar : PubMed/NCBI

15 

Gross ER, Hsu AK and Gross GJ: Opioid-induced cardioprotection occurs via glycogen synthase kinase beta inhibition during reperfusion in intact rat hearts. Circ Res. 94:960–966. 2004. View Article : Google Scholar : PubMed/NCBI

16 

Vaughn BP, Robson SC and Longhi MS: Purinergic signaling in liver disease. Dig Dis. 32:516–24. 2014. View Article : Google Scholar : PubMed/NCBI

17 

Sun X, Imai M, Nowak-Machen M, Guckelberger O, Enjyoj K, Wu Y, Khalpey Z, Berberat P, Munasinghe J and Robson SC: Liver damage and systemic inflammatory responses are exacerbated by the genetic deletion of CD39 in total hepatic ischemia. Purinergic Signal. 7:427–434. 2011. View Article : Google Scholar : PubMed/NCBI

18 

Black RG Jr, Guo Y, Ge ZD, Murphree SS, Prabhu SD, Jones WK, Bolli R and Auchampach JA: Gene dosage-dependent effects of cardiac-specific overexpression of the A3 adenosine receptor. Circ Res. 91:165–172. 2002. View Article : Google Scholar : PubMed/NCBI

19 

Cross HR, Murphy E, Black RG, Auchampach J and Steenbergen C: Overexpression of A(3) adenosine receptors decreases heart rate, preserves energetics, and protects ischemic hearts. Am J Physiol Heart Circ Physiol. 283:H1562–H1568. 2002. View Article : Google Scholar : PubMed/NCBI

20 

Matot I, Weiniger CF, Zeira E, Galun E, Joshi BV and Jacobson KA: A3 adenosine receptors and mitogen-activated protein kinases in lung injury following in vivo reperfusion. Crit Care. 10:R652006. View Article : Google Scholar : PubMed/NCBI

21 

Chen GJ, Harvey BK, Shen H, Chou J, Victor A and Wang Y: Activation of A3 adenosine receptors reduces ischemic brain injury in rodents. J Neurosci Res. 84:1848–1855. 2006. View Article : Google Scholar : PubMed/NCBI

22 

Borea PA, Varani K, Vincenzi F, Baraldi PG, Tabrizi MA, Merighi S and Gessi S: The A3 adenosine receptor: History and perspectives. Pharmacol Rev. 67:74–102. 2015. View Article : Google Scholar : PubMed/NCBI

23 

Fishman P, Bar-Yehuda S, Ohana G, Barer F, Ochaion A, Erlanger A and Madi L: An agonist to the A3 adenosine receptor inhibits colon carcinoma growth in mice via modulation of GSK-3 beta and NF-kappa B. Oncogene. 23:2465–2471. 2004. View Article : Google Scholar : PubMed/NCBI

24 

Fishman P, Madi L, Bar-Yehuda S, Barer F, Del Valle L and Khalili K: Evidence for involvement of Wnt signaling pathway in IB-MECA mediated suppression of melanoma cells. Oncogene. 21:4060–4064. 2002. View Article : Google Scholar : PubMed/NCBI

25 

Hanada T and Yoshimura A: Regulation of cytokine signaling and inflammation. Cytokine Growth Factor Rev. 13:413–421. 2002. View Article : Google Scholar : PubMed/NCBI

26 

Fishman P, Bar-Yehuda S, Madi L, Rath-Wolfson L, Ochaion A, Cohen S and Baharav E: The PI3K-NF-kappa B signal transduction pathway is involved in mediating the anti-inflammatory effect of IB-MECA in adjuvant-induced arthritis. Arthritis Res Ther. 8:R332006. View Article : Google Scholar : PubMed/NCBI

27 

Shackelford RE, Alford BP, Xue Y, Thai SF, Adams DO and Pizzo S: Aspirin inhibits tumor necrosis factor-alpha gene expression in murine tissue macrophages. Mol Pharmacol. 52:421–429. 1997.PubMed/NCBI

28 

Ohana G, Bar-Yehuda S, Barer F and Fishman P: Differential effect of adenosine on tumor and normal cell growth: Focus on the A3 adenosine receptor. J Cell Physiol. 186:19–23. 2001. View Article : Google Scholar : PubMed/NCBI

29 

Cohen S, Stemmer SM, Zozulya G, Ochaion A, Patoka R, Barer F, Bar-Yehuda S, Rath-Wolfson L, Jacobson KA and Fishman P: CF102 an A3 adenosine receptor agonist mediates anti-tumor and anti-inflammatory effects in the liver. J Cell Physiol. 226:2438–2447. 2011. View Article : Google Scholar : PubMed/NCBI

30 

Higgins G and Anderson R: Experimental pathology of the liver: restoration of the liver of the white rat following partial surgical removal. Arch Pathol. 12:186–202. 1931.

31 

Kogure K, Zhang YQ, Shibata H and Kojima I: Immediate onset of DNA synthesis in remnant rat liver after 90% hepatectomy by administration of follistatin. J Hepatol. 29:977–984. 1998. View Article : Google Scholar : PubMed/NCBI

32 

Selzner M and Clavien PA: Failure of regeneration of the steatotic rat liver: Disruption at two different levels in the regeneration pathway. Hepatology. 31:35–42. 2000. View Article : Google Scholar : PubMed/NCBI

33 

Auchampach JA, Ge ZD, Wan TC, Moore J and Gross GJ: A3 adenosine receptor agonist IB-MECA reduces myocardial ischemia-reperfusion injury in dogs. Am J Physiol Heart Circ Physiol. 285:H607–H613. 2003. View Article : Google Scholar : PubMed/NCBI

34 

Fishman P, Bar-Yehuda S, Barer F, Madi L, Multani AS and Pathak S: The A3 adenosine receptor as a new target for cancer therapy and chemoprotection. Exp Cell Res. 269:230–236. 2001. View Article : Google Scholar : PubMed/NCBI

35 

Maddock HL, Mocanu MM and Yellon DM: Adenosine A(3) receptor activation protects the myocardium from reperfusion/reoxygenation injury. Am J Physiol Heart Circ Physiol. 283:H1307–H1313. 2002. View Article : Google Scholar : PubMed/NCBI

36 

Rivo J, Zeira E, Galun E and Matot I: Activation of A3 adenosine receptors provides lung protection against ischemia reperfusion injury associated with reduction in apoptosis. Am J Transplant. 4:1941–1948. 2004. View Article : Google Scholar : PubMed/NCBI

37 

Jacobson KA, Hoffmann C, Cattabeni F and Abbracchio MP: Adenosine-induced cell death: Evidence for receptor-mediated signaling. Apoptosis. 4:197–211. 1999. View Article : Google Scholar : PubMed/NCBI

38 

Abbracchio MP, Ceruti S, Brambilla R, Franceschi C, Malorni W, Jacobson KA, von Lubitz DK and Cattabeni F: Modulation of apoptsis by adenosine in the central nervous system: A possible role for the A3 adenosine receptor. Pathophysiological significance and therapeutic implications for neurodegenerative disorders. Ann NY Acad Sci. 825:11–22. 1997. View Article : Google Scholar : PubMed/NCBI

39 

Borghi-Scoazec G, Scoazec JY, Durand F, Bernuau J, Belghiti J, Feldmann G, Henin D and Degott C: Apoptosis after ischemia-reperfusion in human liver allografts. Liver Transpl Surg. 3:407–415. 1997. View Article : Google Scholar : PubMed/NCBI

40 

Zhang BH, Gong DZ and Mei MH: Protection of regenerating liver after partial hepatectomy from carbon tetrachloride hepatotoxicity in rats: Role of hepatic stimulator substance. J Gastroenterol Hepatol. 14:1010–1017. 1999. View Article : Google Scholar : PubMed/NCBI

Related Articles

  • Abstract
  • View
  • Download
  • Twitter
Copy and paste a formatted citation
Spandidos Publications style
Ohana G, Cohen S, Rath‑Wolfson L and Fishman P: A3 adenosine receptor agonist, CF102, protects against hepatic ischemia/reperfusion injury following partial hepatectomy. Mol Med Rep 14: 4335-4341, 2016.
APA
Ohana, G., Cohen, S., Rath‑Wolfson, L., & Fishman, P. (2016). A3 adenosine receptor agonist, CF102, protects against hepatic ischemia/reperfusion injury following partial hepatectomy. Molecular Medicine Reports, 14, 4335-4341. https://doi.org/10.3892/mmr.2016.5746
MLA
Ohana, G., Cohen, S., Rath‑Wolfson, L., Fishman, P."A3 adenosine receptor agonist, CF102, protects against hepatic ischemia/reperfusion injury following partial hepatectomy". Molecular Medicine Reports 14.5 (2016): 4335-4341.
Chicago
Ohana, G., Cohen, S., Rath‑Wolfson, L., Fishman, P."A3 adenosine receptor agonist, CF102, protects against hepatic ischemia/reperfusion injury following partial hepatectomy". Molecular Medicine Reports 14, no. 5 (2016): 4335-4341. https://doi.org/10.3892/mmr.2016.5746
Copy and paste a formatted citation
x
Spandidos Publications style
Ohana G, Cohen S, Rath‑Wolfson L and Fishman P: A3 adenosine receptor agonist, CF102, protects against hepatic ischemia/reperfusion injury following partial hepatectomy. Mol Med Rep 14: 4335-4341, 2016.
APA
Ohana, G., Cohen, S., Rath‑Wolfson, L., & Fishman, P. (2016). A3 adenosine receptor agonist, CF102, protects against hepatic ischemia/reperfusion injury following partial hepatectomy. Molecular Medicine Reports, 14, 4335-4341. https://doi.org/10.3892/mmr.2016.5746
MLA
Ohana, G., Cohen, S., Rath‑Wolfson, L., Fishman, P."A3 adenosine receptor agonist, CF102, protects against hepatic ischemia/reperfusion injury following partial hepatectomy". Molecular Medicine Reports 14.5 (2016): 4335-4341.
Chicago
Ohana, G., Cohen, S., Rath‑Wolfson, L., Fishman, P."A3 adenosine receptor agonist, CF102, protects against hepatic ischemia/reperfusion injury following partial hepatectomy". Molecular Medicine Reports 14, no. 5 (2016): 4335-4341. https://doi.org/10.3892/mmr.2016.5746
Follow us
  • Twitter
  • LinkedIn
  • Facebook
About
  • Spandidos Publications
  • Careers
  • Cookie Policy
  • Privacy Policy
How can we help?
  • Help
  • Live Chat
  • Contact
  • Email to our Support Team