Spandidos Publications Logo
  • About
    • About Spandidos
    • Aims and Scopes
    • Abstracting and Indexing
    • Editorial Policies
    • Reprints and Permissions
    • Job Opportunities
    • Terms and Conditions
    • Contact
  • Journals
    • All Journals
    • Oncology Letters
      • Oncology Letters
      • Information for Authors
      • Editorial Policies
      • Editorial Board
      • Aims and Scope
      • Abstracting and Indexing
      • Bibliographic Information
      • Archive
    • International Journal of Oncology
      • International Journal of Oncology
      • Information for Authors
      • Editorial Policies
      • Editorial Board
      • Aims and Scope
      • Abstracting and Indexing
      • Bibliographic Information
      • Archive
    • Molecular and Clinical Oncology
      • Molecular and Clinical Oncology
      • Information for Authors
      • Editorial Policies
      • Editorial Board
      • Aims and Scope
      • Abstracting and Indexing
      • Bibliographic Information
      • Archive
    • Experimental and Therapeutic Medicine
      • Experimental and Therapeutic Medicine
      • Information for Authors
      • Editorial Policies
      • Editorial Board
      • Aims and Scope
      • Abstracting and Indexing
      • Bibliographic Information
      • Archive
    • International Journal of Molecular Medicine
      • International Journal of Molecular Medicine
      • Information for Authors
      • Editorial Policies
      • Editorial Board
      • Aims and Scope
      • Abstracting and Indexing
      • Bibliographic Information
      • Archive
    • Biomedical Reports
      • Biomedical Reports
      • Information for Authors
      • Editorial Policies
      • Editorial Board
      • Aims and Scope
      • Abstracting and Indexing
      • Bibliographic Information
      • Archive
    • Oncology Reports
      • Oncology Reports
      • Information for Authors
      • Editorial Policies
      • Editorial Board
      • Aims and Scope
      • Abstracting and Indexing
      • Bibliographic Information
      • Archive
    • Molecular Medicine Reports
      • Molecular Medicine Reports
      • Information for Authors
      • Editorial Policies
      • Editorial Board
      • Aims and Scope
      • Abstracting and Indexing
      • Bibliographic Information
      • Archive
    • World Academy of Sciences Journal
      • World Academy of Sciences Journal
      • Information for Authors
      • Editorial Policies
      • Editorial Board
      • Aims and Scope
      • Abstracting and Indexing
      • Bibliographic Information
      • Archive
    • International Journal of Functional Nutrition
      • International Journal of Functional Nutrition
      • Information for Authors
      • Editorial Policies
      • Editorial Board
      • Aims and Scope
      • Abstracting and Indexing
      • Bibliographic Information
      • Archive
    • International Journal of Epigenetics
      • International Journal of Epigenetics
      • Information for Authors
      • Editorial Policies
      • Editorial Board
      • Aims and Scope
      • Abstracting and Indexing
      • Bibliographic Information
      • Archive
    • Medicine International
      • Medicine International
      • Information for Authors
      • Editorial Policies
      • Editorial Board
      • Aims and Scope
      • Abstracting and Indexing
      • Bibliographic Information
      • Archive
  • Articles
  • Information
    • Information for Authors
    • Information for Reviewers
    • Information for Librarians
    • Information for Advertisers
    • Conferences
  • Language Editing
Spandidos Publications Logo
  • About
    • About Spandidos
    • Aims and Scopes
    • Abstracting and Indexing
    • Editorial Policies
    • Reprints and Permissions
    • Job Opportunities
    • Terms and Conditions
    • Contact
  • Journals
    • All Journals
    • Biomedical Reports
      • Information for Authors
      • Editorial Policies
      • Editorial Board
      • Aims and Scope
      • Abstracting and Indexing
      • Bibliographic Information
      • Archive
    • Experimental and Therapeutic Medicine
      • Information for Authors
      • Editorial Policies
      • Editorial Board
      • Aims and Scope
      • Abstracting and Indexing
      • Bibliographic Information
      • Archive
    • International Journal of Epigenetics
      • Information for Authors
      • Editorial Policies
      • Editorial Board
      • Aims and Scope
      • Abstracting and Indexing
      • Bibliographic Information
      • Archive
    • International Journal of Functional Nutrition
      • Information for Authors
      • Editorial Policies
      • Editorial Board
      • Aims and Scope
      • Abstracting and Indexing
      • Bibliographic Information
      • Archive
    • International Journal of Molecular Medicine
      • Information for Authors
      • Editorial Policies
      • Editorial Board
      • Aims and Scope
      • Abstracting and Indexing
      • Bibliographic Information
      • Archive
    • International Journal of Oncology
      • Information for Authors
      • Editorial Policies
      • Editorial Board
      • Aims and Scope
      • Abstracting and Indexing
      • Bibliographic Information
      • Archive
    • Medicine International
      • Information for Authors
      • Editorial Policies
      • Editorial Board
      • Aims and Scope
      • Abstracting and Indexing
      • Bibliographic Information
      • Archive
    • Molecular and Clinical Oncology
      • Information for Authors
      • Editorial Policies
      • Editorial Board
      • Aims and Scope
      • Abstracting and Indexing
      • Bibliographic Information
      • Archive
    • Molecular Medicine Reports
      • Information for Authors
      • Editorial Policies
      • Editorial Board
      • Aims and Scope
      • Abstracting and Indexing
      • Bibliographic Information
      • Archive
    • Oncology Letters
      • Information for Authors
      • Editorial Policies
      • Editorial Board
      • Aims and Scope
      • Abstracting and Indexing
      • Bibliographic Information
      • Archive
    • Oncology Reports
      • Information for Authors
      • Editorial Policies
      • Editorial Board
      • Aims and Scope
      • Abstracting and Indexing
      • Bibliographic Information
      • Archive
    • World Academy of Sciences Journal
      • Information for Authors
      • Editorial Policies
      • Editorial Board
      • Aims and Scope
      • Abstracting and Indexing
      • Bibliographic Information
      • Archive
  • Articles
  • Information
    • For Authors
    • For Reviewers
    • For Librarians
    • For Advertisers
    • Conferences
  • Language Editing
Login Register Submit
  • This site uses cookies
  • You can change your cookie settings at any time by following the instructions in our Cookie Policy. To find out more, you may read our Privacy Policy.

    I agree
Search articles by DOI, keyword, author or affiliation
Search
Advanced Search
presentation
Molecular Medicine Reports
Join Editorial Board Propose a Special Issue
Print ISSN: 1791-2997 Online ISSN: 1791-3004
Journal Cover
January-2018 Volume 17 Issue 1

Full Size Image

Sign up for eToc alerts
Recommend to Library

Journals

International Journal of Molecular Medicine

International Journal of Molecular Medicine

International Journal of Molecular Medicine is an international journal devoted to molecular mechanisms of human disease.

International Journal of Oncology

International Journal of Oncology

International Journal of Oncology is an international journal devoted to oncology research and cancer treatment.

Molecular Medicine Reports

Molecular Medicine Reports

Covers molecular medicine topics such as pharmacology, pathology, genetics, neuroscience, infectious diseases, molecular cardiology, and molecular surgery.

Oncology Reports

Oncology Reports

Oncology Reports is an international journal devoted to fundamental and applied research in Oncology.

Experimental and Therapeutic Medicine

Experimental and Therapeutic Medicine

Experimental and Therapeutic Medicine is an international journal devoted to laboratory and clinical medicine.

Oncology Letters

Oncology Letters

Oncology Letters is an international journal devoted to Experimental and Clinical Oncology.

Biomedical Reports

Biomedical Reports

Explores a wide range of biological and medical fields, including pharmacology, genetics, microbiology, neuroscience, and molecular cardiology.

Molecular and Clinical Oncology

Molecular and Clinical Oncology

International journal addressing all aspects of oncology research, from tumorigenesis and oncogenes to chemotherapy and metastasis.

World Academy of Sciences Journal

World Academy of Sciences Journal

Multidisciplinary open-access journal spanning biochemistry, genetics, neuroscience, environmental health, and synthetic biology.

International Journal of Functional Nutrition

International Journal of Functional Nutrition

Open-access journal combining biochemistry, pharmacology, immunology, and genetics to advance health through functional nutrition.

International Journal of Epigenetics

International Journal of Epigenetics

Publishes open-access research on using epigenetics to advance understanding and treatment of human disease.

Medicine International

Medicine International

An International Open Access Journal Devoted to General Medicine.

Journal Cover
January-2018 Volume 17 Issue 1

Full Size Image

Sign up for eToc alerts
Recommend to Library

  • Article
  • Citations
    • Cite This Article
    • Download Citation
    • Create Citation Alert
    • Remove Citation Alert
    • Cited By
  • Similar Articles
    • Related Articles (in Spandidos Publications)
    • Similar Articles (Google Scholar)
    • Similar Articles (PubMed)
  • Download PDF
  • Download XML
  • View XML
Article Open Access

Effects of Lycium barbarum (goji berry) on dry eye disease in rats

  • Authors:
    • Kaung‑Jen Chien
    • Chi‑Ting Horng
    • Yu‑Syuan Huang
    • Yi‑Hsien Hsieh
    • Chau‑Jong Wang
    • Jai‑Sing Yang
    • Chi‑Cheng Lu
    • Fu‑An Chen
  • View Affiliations / Copyright

    Affiliations: Department of Pediatrics, Kaohsiung Veterans General Hospital, Kaohsiung 81362, Taiwan, R.O.C., Department of Pharmacy and Master Program, Tajen University, Pingtung 90741, Taiwan, R.O.C., Institute of Biochemistry, Microbiology and Immunology, Chung Shang Medical University, Taichung 40201, Taiwan, R.O.C., Department of Medical Research, China Medical University Hospital, China Medical University, Taichung 40447, Taiwan, R.O.C., Department of Pharmacy, Buddhist Tzu Chi General Hospital, Hualien 97002, Taiwan, R.O.C.
    Copyright: © Chien et al. This is an open access article distributed under the terms of Creative Commons Attribution License.
  • Pages: 809-818
    |
    Published online on: November 3, 2017
       https://doi.org/10.3892/mmr.2017.7947
  • Expand metrics +
Metrics: Total Views: 0 (Spandidos Publications: | PMC Statistics: )
Metrics: Total PDF Downloads: 0 (Spandidos Publications: | PMC Statistics: )
Cited By (CrossRef): 0 citations Loading Articles...

This article is mentioned in:



Abstract

Lycium barbarum (goji berry) has long been used as a food and traditional herbal medicine. This study aimed to investigate the beneficial effect of the goji berry on dry eye disease in rats. Male Sprague‑Dawley rats with induced dry eye disease were randomly assigned to four groups: Vehicle (control), low‑dose goji berry extract [GBE; 250 mg/kg/body weight (bw)], median‑dose GBE (350 mg/kg/bw), and high‑dose GBE (500 mg/kg/bw). Three methods, Schirmer's test, tear break‑up time (BUT) measurement and keratoconjunctival fluorescein staining, were used to evaluate the effect of GBE on symptoms of dry eye disease experienced by the rats. The results of the present study revealed that both the Schirmer's test score and tear BUT significantly increased following 1 week of GBE administration. Furthermore, the severity of the keratoconjunctival staining decreased significantly. In addition, the results suggested that administration of GBE may ameliorate dry eye disease symptoms in a dose‑dependent manner. There were no mortalities and no apparent abnormal histopathology changes in the liver or kidney tissues of rats administered GBE for 21 consecutive days. Polysaccharides and betaine present in GBE may have important effects in alleviating dry eye disease induced by oxidative stress and inflammation. In conclusion, the goji berry is a safe, functional food with beneficial effects in alleviating dry eye disease.

Introduction

Dry eye disease is an ocular surface disorder that can affect quality of life by causing ocular discomfort and visual disturbances. Historically, dry eye disease has been defined by tear film abnormalities, ocular discomfort and potential damage to the interpalpebral ocular surface. According to a previous study, ocular disease affects ~20% of people globally depending on age and sex (1), and specific geographic locations, environments and lifestyles can increase the risk of developing dry eye disease. A further study estimated that 7.4–33.4% of the global population experience ocular disease throughout their lifetime, the highest proportion of which occurs within Asian populations (2). The treatment options for dry eye disease are limited to palliation with artificial tears and tear conservation techniques. In the majority of mild or temporary cases of dry eye disease, such as response to seasonal changes, environmental factors, medication, or illness, therapeutic palliation generally provides adequate relief; however, patients with chronic, moderate, and severe cases may continue to experience symptoms despite maximum use of palliative treatment. In the most severe forms of dry eye disorders, associated with corneal ulcers, treatment may enhance endophthalmitis (3). Considering the adverse symptoms experienced as a result of current treatment options, herbal medicine has becoming increasingly proposed as an attractive form of alternative therapy.

Lycium barbarum (Solanaceae) is a particularly well-known traditional medicinal plant. Fruits of the plant commonly termed goji berries (gou qi zi in Chinese) have long been consumed for nutritional and medicinal purposes throughout Asia. Goji berries are widely used in cooking due to their sweet flavor and general health benefits (4). Furthermore, goji berries are often processed into tinctures due to their anti-aging and antioxidant effects (5). In addition, goji berries have been reported to have various pharmaceutical properties, including immune enhancement, reducing the risks of hypoglycemia, hypolipidemia and metabolic syndromes; as well as antioxidative, antitumor, anti-inflammatory, hepatoprotective and renal protective activities (5–7). Furthermore, goji berries have been demonstrated to ameliorate the adverse side effects of chemotherapy and radiotherapy, and to improve the general wellbeing of patients with various stages of cancer (8–15). According to ancient Chinese materia medica, goji berry can be consumed to nourish the liver and kidneys, and to improve vision. Scientific research has since revealed that the consumption of goji berries facilitates retinal and macular functioning, enhances the protective effects exerted by ganglion cells on to the retina, and decreases retinal ischemia injury (16,17). Thus, goji berry has been considered to improve the pathogenesis of glaucoma in clinical applications. Additionally, goji berries decrease the risk of cataracts, prevent irreversible loss of central vision in older people and ameliorate diabetic retinopathy (8,9,18–20). Despite the substantial literature, relatively little has been established regarding the implications of goji berry consumption on the pathogenesis of dry eye disease. Therefore, the present study aimed to determine the beneficial effects of goji berry consumption in rats with a model of dry eye disease.

Materials and methods

Materials

Lycium barbarum was purchased from a herb store in Pingtung (Taiwan), and was botanically identified and verified at the Medicinal Plant Research Laboratory at Tajen University (Pingtung, Taiwan). Aqueous goji berry extract (GBE) was prepared in accordance with the previous study (21). Betaine (C5H11NO2, ≥98% perchloric acid titration) was purchased from Sigma-Aldrich (Merck KGaA, Darmstadt, Germany) and liquid chromatography-grade acetonitrile was purchased from Tedia Co. (Fairfield, OH, USA). The Cosmosil 5 NH2-MS high-performance liquid chromatography (HPLC) column (250×4.6 mm, internal diameter of 5 µm; Nakalai Tesque, Inc., Kyoto, Japan) was employed for subsequent analysis. All other chemicals utilized were of an analytical reagent grade.

Determination of polysaccharides and betaine in GBE

The polysaccharide content in GBE was measured using a phenol-sulfuric acid method (22). An aliquot of 1 ml GBE solution (40 µg/ml) was briefly mixed with 98% concentrated sulfuric acid (pH 0.3) (5 ml) and 5% phenol solution (1 ml). The mixture was then agitated in a water bath at 30°C for 30 min and following this, the absorbance was determined at 490 mm using a microplate reader (SpectraMax 190; Molecular Devices, LLC, Sunnyvale, CA, USA). The polysaccharide concentration in GBE was then calculated via reference to a calibration curve generated using galactose standard solutions. Following this, the betaine content in the GBE was then determined using a modified version of a previously described method (23). A pump system (Hitachi L-2130; Hitachi, Ltd., Tokyo, Japan) equipped with an L-2450 diode array detector and L-2200 autosampler was used to measure the betaine content via HPLC using the Cosmosil 5 NH2-MS HPLC column (250×4.6 mm, internal diameter of 5 µm, Nakalai Tesque, Inc.) at 195 nm. A mixture of water and acetonitrile (15:85, v/v) was used as the mobile phase, and the flow rate and injection volume were set to 1.0 ml/min and 10 µl, respectively.

Test animals

A total of 45 male Sprague-Dawley (SD) rats (340–350 g) were obtained from BioLASCO Taiwan Co. (Taipei, Taiwan) and housed under standard laboratory conditions (12 h light/dark regular cycle and room temperature of 22±2°C) in 1 atmospheric pressure (20.9% oxygen, normobaric conditions). Standard chow (content: >25% crude protein, >4.5% crude fat, <12% water, and <9% ash; Fwusow Industry Co., Ltd., Taichung, Taiwan) and sterilized water were available ad libitum. A week was allotted for the rats to become acclimatized to the laboratory environment and diet. Approval for this study was obtained from the Animal Care and Use Committee of the Kaohsiung Armed Forces General Hospital (no. A105-10).

Effect of GBE on dry eye disease in animal model

Five rats were initially used for validation of the results of the Schirmer's test, the tear break-up time (BUT), and the grading of corneal and conjunctival fluorescein staining post-nerve blockage (24,25). Schirmer's test is commonly used for the measurement of tear production, and was an indispensable component of this examination. A low Schirmer's test score, denoting a decrease in lacrimal glad output and potential damage to the ocular surface, is an indicator of dry eye disease (26). Initially, proparacaine (0.5%), a topical anesthetic eye drop, was injected into the inferior conjunctival cul-de-sac of the rats. A sterile Schirmer's strip was then immediately placed in the lateral canthus for 5 min. Following this, the length of the moistened strip was measured to determine tear production. Wetting length measurements <5 mm on the paper was considered to correspond with low Schirmer's test scores, and indicated a severe lack of tear production.

The tear BUT is a crucial metric of dry eye severity and reflects the overall tear quality throughout all layers of the tear film (27,28). Specifically, the tear BUT of an individual eye is the interval between a complete blink and the first appearance of a dry spot on the precorneal surface of the tear film. In the present study, following the application of the paper fluorescein strips (Haag-Streit AG, Koeniz, Switzerland) to the inferior conjunctival fornix, the rats resumed normal blinking. Their eye openings were observed until the first defect of the tear film was detectable using portable slit-lamp microscopy. The measurement was conducted in a quiet, enclosed room without ventilation currents. Ambient humidity and temperature were monitored, with a relative humidity of 40–50%. Values <10 sec were considered abnormal. Subsequently, the time period required for the dye to disappear was recorded and the average time durations of the trials were calculated. The procedure was repeated three times for each eye tested.

Fluorescein staining, using the Oxford grading scheme (Fig. 1), is the standard method used for the diagnosis dry eye disease and was hereby used to carry out daily keratoconjunctival staining for 21 days. Severity of staining was quantified using a chart comprising a series of panels, labeled A-E, of increasing severity. In each panel, fluorescein staining is represented by punctate dots. To grade the staining, comparisons were made between the panels and the appearance of staining on the exposed interpalpebral conjunctivas and corneas of the rats. The six Oxford scheme grades (0–5), which denote the severity of dry eye, were used to record the results. Specifically, the keratoconjunctival staining was rated mild (stage 0 or 1), moderate (stage 2 or 3), or severe (stage 4 or 5) (24). Significant changes within stages 2–5 post-GBE treatment were considered to be relevant.

Figure 1.

Grading of corneal and conjunctival staining (Oxford scheme).

For Experiment 1, atropine solution (1 mg/kg) was injected into the right lacrimal gland of each rat (n=5) to induce the formation of dry eye via the blocking of relevant nerves and causing direct damage to the lacrimal glands (29). The Schirmer's test score, tear BUT and keratoconjunctival fluorescein staining of the 5 rats were recorded daily to determine the development of dry eye disease. In Experiment 2, 40 rats were randomly divided into four groups: Vehicle (control), low-dose GBE (LGBE; 250 mg/kg/bw), median-dose GBE (MGBE; 350 mg/kg/bw) and high-dose GBE (HGBE; 500 mg/kg/bw). All 40 rats were experimentally induced to develop dry eye disease, and the LGBE, MGBE and HGBE groups were orally administered varying amounts of GBE at 7 days post-atropine injection to evaluate the therapeutic effects of goji berries. Schirmer's test. The tear BUT and keratoconjunctival staining were then performed daily for 21 days to evaluate the condition and severity of dry eye post-treatment as previously described (30,31).

Histopathological examination

Following experimentation, the rats were sacrificed using CO2. The kidneys and livers of all rats were then carefully removed, and the excised specimens were soaked in 10% formaldehyde for 1 week and then cut into 1 µm sections. The specimens were then stained with 0.4% hematoxylin and eosin for examination for 30 min at room temperature, and the tissues were reviewed under light microscopy. Subsequently, the difference in staining results between each group were compared for further evaluation of the safety of dietary GBE, and the morphometric data of the samples' associated corneas and conjunctivas were recorded in detail.

Statistical analysis

All data are expressed as the mean ± standard deviation. All statistical analyses were performed using SPSS software (version 11.5; SPSS, Inc., Chicago, IL, USA). Intergroup comparisons were performed using one-way analysis of variance, followed by a Duncan's test. **P<0.01 was considered to indicate a statistically significant difference.

Results

Determination of polysaccharides and betaine in GBE

A total of 42.2% of GBE was recovered from goji berries following aqueous extraction and lyophilization. Subsequently, the concentration of polysaccharide content within GBE was revealed to be 843.5 mg/g, indicating a high concentration of polysaccharides. Betaine is another component of goji berries. Fig. 2A and B depict the HPLC chromatograms of a betaine standard and GBE, respectively. From this analysis, the concentration of betaine in GBE was revealed to be 9.1 mg/g.

Figure 2.

High-performance liquid chromatography chromatograms of (A) betaine standard and (B) goji berry extract. mAU, mass absorbance unit.

Effect of GBE on dry eye disease in an animal model

The results of Experiment 1 revealed significantly decreased tear production within 7 days after atropine injection, which validated the animal model for further study of dry eye disease. Following this, the results between eyes (right, dry eye; left, normal eye) in the rats were compared, and reductions in both the Schirmer's test scores (1.2±0.3 mm) and tear BUTs (1.5±0.5 sec) were demonstrated in the right eyes of the rats. By contrast, the Schirmer's test scores and tear BUTs were >10 mm/5 min and >10 sec, respectively, for the left eyes. Experiment 2 was then performed to investigate the influence of GBE on a set of objective parameters in the four groups (n=10). At 7 days after atropine injection, GBE at different doses was administered to the rats with the exception of the control group. Changes of the Schirmer's test score, tear BUT, and keratoconjunctival staining were measured daily.

The Schirmer's test scores (mm) are presented in Fig. 3. The range score of normal mice was obtained in the first experiment; the Schirmer test score was ~10 mm and the normal tear BUT in rats without dry eye disease was ~10 sec. The scores for the control group were 1.2±0.1, 1.3±0.5, 1.2±0.3 and 1.3±0.4 mm, at weeks 0 (baseline), 1, 2 and 3, respectively. Notably, the dry eye condition remained unchanged over the 3 weeks (<5 mm) in the absence of GBE treatment. For the LGBE group, the scores were 1.2±0.4, 2.3±0.8, 6.8±1.5, and 7.4±1.8 mm, at weeks 0, 1, 2 and 3, respectively. These scores suggest that the adverse symptoms of dry eye can be significantly alleviated following 1 week of LGBE therapy (P<0.01). Similarly, the scores for the MGBE group were 1.1±0.8, 6.2±1.5, 7.4±2.1, and 8.2±1.5 mm, at weeks 0, 1, 2 and 3, respectively; thus, significant suppression of dry eye disease symptoms was apparent following 1 week of GBE administration (P<0.01). A similar pattern was observed in the HGBE group, the scores of which were 1.3±7.1, 8.2±1.1, and 9.4±0.5, at weeks 0, 1, 2 and 3, respectively. A normal Schirmer's test score in rats with no dry eye disease was ~10 mm. In conclusion, the reduction in Schirmer's test score caused by dry eye disease was normalized (9.4±0.5 mm) following 3 weeks of HGBE treatment, indicating that administration of GBE significantly increased tear volume and enhanced the secretion of tears.

Figure 3.

Changes of Schirmer's test scores following GBE treatment in the four rat groups (n=10 per group). **P<0.01 vs. baseline in each group. GBE, goji berry extract; LGBE, low-dose GBE; MGBE, median-dose GBE; HGBE, high-dose GBE.

Fig. 4 presents the results of tear BUTs analysis. The tear BUTs in the control group were all <5 sec. The tear BUTs results for the LGBE group were: 1.2±0.4, 3.4±1.4, 6.7±1.5 and 7.2±2.4 sec for weeks 0, 1, 2 and 3, respectively. These results therefore demonstrate that the precorneal tear film was stabilized after 1 week of LGBE therapy (P<0.01). The tear BUTs in the MGBE group were 1.4±0.8, 5.8±1.2, 7.5±2.1 and 7.9±2.4 sec, at weeks 0, 1, 2 and 3, respectively. Similarly to the results obtained by the LGBE group, the results of the MGBE group demonstrate that the viscosity of the tear film was stable following 1 week of GBE administration (P<0.01). Furthermore, the same pattern was observed in the HGBE group; the tear BUTs were 1.3±0.5, 6.7±2.5, 8.4±0.4 and 8.8±1.2 sec, at weeks 0, 1, 2 and 3, respectively (P<0.01). The normal tear BUT in rats without dry eye disease was ~10 sec. In conclusion, the tear BUTs were significantly normalized (8.8±1.2 sec) following 3 weeks of HGBE treatment, demonstrating that administration of GBE significantly stabilizes the tear film and decreases the rate of tear evaporation.

Figure 4.

Changes in tear break-up time following GBE treatment in the four rat groups (n=10 per group). **P<0.01 vs. baseline in each group. GBE, goji berry extract; LGBE, low-dose GBE; MGBE, median-dose GBE; HGBE, high-dose GBE.

Finally, the results of keratoconjunctival staining suggested that dry eye disease may result in keratopathy and conjunctival epithelial damage due to a lack of protection otherwise provided by naturally produced tears. Microscopic analysis of the keratoconjunctival-stained tissue revealed that 37.5, 37.5, and 25.0% of the rats exhibited mild, moderate or severe morphological changes following induction of dry eye prior to GBE administration (Table I). However, the rats morphologies improved following GBE treatment: The proportion of rats post-GBE administration with mild, moderate, and severe changes were 82.5, 12.5, and 5.0%, respectively. The majority (82.5%) of mild changes were observed after 3 weeks of treatment (P<0.05). Furthermore, the corneal and conjunctival lesions of the dry-eyed rats were ameliorated by GBE administration. Thus, the results suggest that administration of GBE enhances tear flow and has a protective effect on the ocular surface of the eye.

Table I.

Morphological changes visualized following 21 days of GBE treatment (n=40).

Table I.

Morphological changes visualized following 21 days of GBE treatment (n=40).

Morphological changeBaseline (dry eye)21 days post-therapy P-valuea
Mild37.5% (15/40)  82.5% (33/40)<0.05
Moderate37.5% (15/40)12.5% (5/40)<0.05
Severe  25% (10/40)5% (2/40)<0.05

a Data was shown to be a statistically significant difference.

Histopathological examination

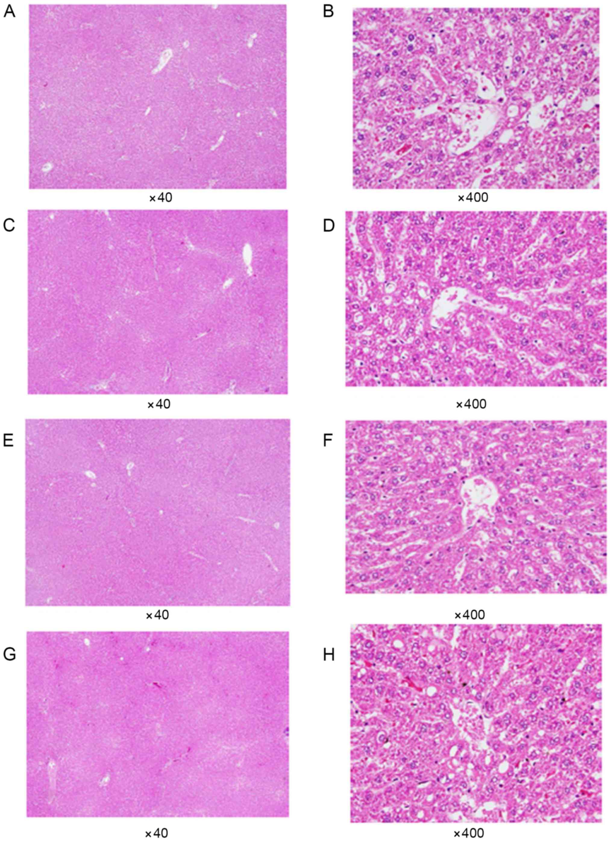
All rats (except those belonging to the control group) received daily administration of GBE via oral gavage for 21 days consecutively. Subsequently, each group was histopathologically examined using light microscopy to observe the morphological differences in the kidney and liver tissues of the rats. As shown in Figs. 5 and 6, no abnormal histopathological changes were observed in any of the liver or kidney tissues from the rats that were administered doses of GBE.

Figure 5.

Histopathological evaluation of goji berry extract administration on liver tissue samples from rats after 3 weeks of treatment. Normal hepatic cells were visualized in all four groups. (A and B) Control group, (C and D) low-dose group, (E and F) median-dose group, and (G and H) high-dose group. Hematoxylin and eosin stain, ×40 and ×400 using light microscopy.

Figure 6.

Histopathological evaluation of goji berry extract administration on kidney tissue samples from rats after 3 weeks of treatment. Normal hepatic cells were visualized in all four groups. (A and B) Control group, (C and D) low-dose group, (E and F) median-dose group, and (G and H) high-dose group. Hematoxylin and eosin stain, ×40 and ×400 under light microscopy.

Discussion

Dry eye disease is the most common complaint reported to ophthalmological clinical practices, with 68% of people aged ≥60 years old presenting associated symptoms (32,33). Only 20% of patients with dry eye disease experiencing mild symptoms seek medical assistance, compared with 50% of patients experiencing moderate symptoms, and virtually all patients experiencing severe symptoms (34). The two predominant therapeutic approaches for the treatment of dry eye disease currently used in clinical practice are artificial tears, ointments and gels for mild to moderate cases, and anti-inflammatory drugs for severe cases to reduce ocular surface inflammation. In addition to clinical medication, herbal medicine may provide alternative treatment options for sufferers. Herbal medicine has attracted considerable attention for >5,000 years, particularly in China. To the best of our knowledge, this study was the first to investigate the therapeutic potential of goji berries for the treatment of dry eye disease in rats.

Current clinical diagnosis of dry eye disease uses slit-lamp examination (with and without staining, including fluorescein, rose bengal and lissamine green), Schirmer's test, tear BUT measurement, tear pH measurement, corneal smoothness evaluation, the cotton thread test, blinking rate calculation, tear clearance evaluation, meniscus height measurement, ocular protection index calculation, blinking reflex assessment, epithelial thickness measurement, corneal epithelial glycogen level measurement, tear film osmolality evaluation, tear volume measurement, impression cytology, corneal sensitivity evaluation and lid margin redness examination (35). In the present study, the Schirmer's test, tear BUT measurement and keratoconjunctival fluorescein staining were utilized to evaluate the effects of GBE administration on dry eye disease in rats. The results revealed that dry eye symptoms were successfully induced at 7 days after injection of atropine solution into the lacrimal glands of rats and dry eye symptoms were significantly alleviated (P<0.01) following 1 week of GBE administration at low, median and high doses. Furthermore, symptoms of dry eye disease were almost entirely eliminated by 3 weeks post-HGBE treatment. In addition, according to the keratoconjunctival staining results, the corneal and conjunctival lesions in dry-eye-afflicted rats were significantly ameliorated after 3 weeks of GBE treatment. Therefore, dry eye symptoms may be alleviated within a short treatment period of GBE administration. Schirmer's test and tear BUT measurement are the most common tests for the examination of tear physiology associated with dry eye disease. In the present study, it was determined that administration of GBE may enhance tear formation and outflow, stabilize the tear film shape in situ and decrease the possibility of tear evaporation.

The molecular mechanisms and various therapies associated with dry eye disease have become increasingly clinically relevant. Dry eye disease is a multifactorial disease with several implicated pathological mechanisms, including instability of the tear film, tear hyperosmolarity, oxidative stress and inflammation of the ocular surface (2,36). Tear hyperosmolarity has previously been revealed to initiate dry eye inflammation via the activation of epithelial and stromal cells on the ocular surface, which increase the presence of pro-inflammatory cytokines and various chemokines (37). Furthermore, hyperosmolarity can affect corneal epithelial barrier function, which may lead to the pathogenic infiltration of immune and stromal cells or cytokine release (38). Furthermore, dry eye disease can result in discomfort and visual disturbance (39–41). Finally, allergies and other inflammatory conditions of the ocular surface can destabilize the tear film.

Artificial tears, eye drops and anti-inflammatory drugs are clinically prescribed to reduce ocular surface inflammation. Recently, topical use of cyclosporine A, combined with epithelial keratopathy, has become a popular treatment option for patients with severe dry eye disease (42). Donnenfeld and Pfugfelder (43) demonstrated that topical cyclosporine A administration alleviated adverse symptoms experienced by patients with dry eye disease, evidenced by an increase in tear BUTs and a decrease in keratoconjunctival staining, following three months of treatment; however, nephrotoxicity and hypertension side effects of cyclosporine A administration were observed. In addition to this finding, goji berry with its inherent antihypertensive activity was suggested to act as an alternative therapeutic for patients with dry eye disease to avoid the contraindications induced by cyclosporin A administration (44). In a further study, symptoms of dry eye disease associated with ocular inflammation were reduced following administration of corticosteroids and tetracyclines (45). Furthermore, goji berries have previously been reported to exhibit anti-inflammatory and antimicrobial activity, which may also provide partial relief of the symptoms experienced by patients with dry eye disease (46).

Recently, a newly established model of dry eye disease, according to which oxidative stress induces the functional decline of lacrimal glands, was proposed; Uchino et al (47) revealed that free radicals were associated with ocular surface epithelial damage and a decrease in lacrimal gland secretory function. Other studies have demonstrated that oxidative stress reduces aqueous tear production and that antioxidants increase Schirmer's test scores and tear stability (48,49). Higuchi et al (50) revealed that excessive exposure to oxidative stress induced lacrimal gland pathophysiology; therefore suggesting that increases in reactive oxidative species (ROS) underpin the inflammatory mechanisms associated with dry eye disease. A further study demonstrated that radical scavengers and antioxidants were prominent components of the goji berry, both of which are beneficial for humans (51). Furthermore, antioxidant enzyme activity has been revealed to occur naturally in the eye, with the highest levels detected in the retina, lower levels detected in the sclera and cornea, and minimal levels detected in tears (52). In addition, antioxidant biomarkers, including glutathione reductase, superoxide dismutase and malondialdehyde (MDA), were present at elevated levels in the serum following long-term (i.e., >30 days) consumption of goji berries juice at the dose of 120 ml/day (8). Furthermore, Lycium barbarum polysaccharides (LBPs) have been suggested to significantly inhibit the generation of ROS, reduce the level of MDA and increase the functional abilities of antioxidants (51). The present study demonstrated that abundant polysaccharides were present in the GBE, therefore suggesting that LBPs exhibit an antioxidant activity in GBE and thus are implicated in relieving dry eye symptoms associated with oxidative stress.

In addition to LBPs, the present study revealed the presence of betaine in the extract. Betaine primarily functions as an osmolyte and methyl donor for transmethylation, however, it also exerts a protective function to cells, proteins and enzymes against environmental stressors. Betaine has also been demonstrated to regulate cellular functioning and survival under various stressful conditions (53), and to inhibit the expression of pro-inflammatory cytokines [tumor necrosis factor-α, interleukin (IL)-1β, IL-6, IL-8 and chemokine ligand 2] and chemokines (54). Hua et al (55) determined that betaine could be utilized as a therapeutic treatment for dry eye disease, by increasing the levels of pro-inflammatory cytokines and chemokines in the tear fluid, increasing the expression of immune activation and adhesion molecules by the conjunctival epithelium, and increasing the number of T-lymphocytes in the conjunctiva. Furthermore, betaine may provide technical effects on the improvement of moisture control and nutritional benefits (56). Elevated tear osmolality is one of the key pathological factors in dry eye disease, leading to ocular discomfort, and is associated with damage to the ocular surface and inflammation. Garrett et al (57) demonstrated that the betaine in GBE may stabilize epithelial cell volume under hyperosmotic stress-induced apoptosis conditions. Therefore, administration of GBE betaine may relieve symptoms of dry eye disease via a mechanism associated with the therapeutic administration of artificial tears to refresh the precorneal surface in moist environments.

Regarding the safety of GBE treatment, there were no mortalities in the groups receiving GBE treatment, and histopathological examinations of kidney and liver tissue samples acquired from all animal participants revealed no apparent abnormal histopathological changes. In addition, a previous toxicological study on rats revealed no indication of toxicity following oral intake of goji berry juice; even at the maximum dosage (10 ml/kg/day), the researchers observed no mortality or organ damage and did not find a median lethal dose of GBE (58).

In conclusion, dry eye disease can reduce visual functioning and quality of life, and is a common eye problem presented to ophthalmologists. In this study, administration of GBE significantly ameliorates the symptoms of dry eye in rats according to three measures: The Schirmer's test score, tear BUT and keratoconjunctival fluorescein staining. Furthermore, the beneficial effects of goji berries may be associated with their polysaccharide and betaine content, both of which promote antioxidant and anti-inflammatory activity. Nutraceutical approaches for both therapeutic and preventative treatments for dry eye disease are currently under intensive investigation. Compared with artificial tears or eye drops, GBE may be an excellent dietary supplement for the relief of dry eye disease symptoms.

In conclusion, the current study indicates that goji berries are a safe food supplement with substantial benefits that ameliorate the symptoms of dry eye disease by enhancing the tear volume and repairing the damaged ocular surface cells. Future studies should focus on the investigation of the underlying molecular mechanisms of the therapeutic effects of GBE associated with dry eye disease.

Acknowledgements

This study was financially supported by clinical research grants from the Kaohsiung Armed Forces General Hospital (Kaohsiung, Taiwan).

References

1 

Dogru M and Tsubota K: Pharmacotherapy of dry eye. Expert Opin Pharmacother. 12:325–334. 2011. View Article : Google Scholar : PubMed/NCBI

2 

Lin PY, Tsai SY, Cheng CY, Liu JH, Chou P and Hsu WM: Prevalence of dry eye among an elderly chinese population in Taiwan: The Shihpai eye study. Ophthalmology. 110:1096–1101. 2003. View Article : Google Scholar : PubMed/NCBI

3 

Klotz SA, Penn CC, Negvesky GJ and Butrus SI: Fungal and parasitic infections of the eye. Clin Microbiol Rev. 13:662–685. 2000. View Article : Google Scholar : PubMed/NCBI

4 

Bo R, Ma X, Feng Y, Zhu Q, Huang Y, Liu Z, Liu C, Gao Z, Hu Y and Wang D: Optimization on conditions of Lycium barbarum polysaccharides liposome by RSM and its effects on the peritoneal macrophages function. Carbohyd Polym. 117:215–222. 2015. View Article : Google Scholar

5 

Cheng J, Zhou ZW, Sheng HP, He LJ, Fan XW, He ZX, Sun T, Zhang X, Zhao RJ, Gu L, et al: An evidence-based update on the pharmacological activities and possible molecular targets of Lycium barbarum polysaccharides. Drug Des Devel Ther. 9:33–78. 2014.PubMed/NCBI

6 

Qian D, Zhao Y, Yang G and Huang L: Systematic review of chemical constituents in the genus Lycium (Solanaceae). Molecules. 22:pii: E911. 2017. View Article : Google Scholar

7 

Xing X, Liu F, Xiao J and So KF: Neuro-protective mechanisms of Lycium barbarum. Neuromolecular Med. 18:253–263. 2016. View Article : Google Scholar : PubMed/NCBI

8 

Amagase H, Sun BX and Borek C: Lycium barbarum (goji) juice improves in vivo antioxidant biomarkers in serum of healthy adults. Nutr Res. 29:19–25. 2009. View Article : Google Scholar : PubMed/NCBI

9 

Li SY, Yang D, Yeung CM, Yu WY, Chang RC, So KF, Wong D and Lo AC: Lycium barbarum polysaccharides reduce neuronal damage, blood-retinal barrier disruption and oxidative stress in retinal ischemia/reperfusion injury. PLoS One. 6:e163802011. View Article : Google Scholar : PubMed/NCBI

10 

Gan L, Zhang SH, Liu Q and Xu HB: A polysaccharide-protein complex from Lycium barbarum upregulates cytokine expression in human peripheral blood mononuclear cells. Eur J Pharmacol. 471:217–222. 2003. View Article : Google Scholar : PubMed/NCBI

11 

Li XM, Ma YL and Liu XJ: Effect of the Lycium barbarum polysaccharides on age-related oxidative stress in aged mice. J Ethnopharmacol. 111:504–511. 2007. View Article : Google Scholar : PubMed/NCBI

12 

Yu MS, Lai CS, Ho YS, Zee SY, So KF, Yuen WH and Chang RC: Characterization of the effects of anti-aging medicine Fructus lycii on beta-amyloid peptide neurotoxicity. Int J Mol Med. 20:261–268. 2007.PubMed/NCBI

13 

Ha KT, Yoon SJ, Choi DY, Kim DW, Kim JK and Kim CH: Protective effect of Lycium chinense fruit on carbon tetrachloride-induced hepatotoxicity. J Ethnopharmacol. 96:529–535. 2005. View Article : Google Scholar : PubMed/NCBI

14 

Luo Q, Cai Y, Yan J, Sun M and Corke H: Hypoglycemic and hypolipidemic effects and antioxidant activity of fruit extracts from Lycium barbarum. Life Sci. 76:137–149. 2004. View Article : Google Scholar : PubMed/NCBI

15 

Gong H, Shen P, Jin L, Xing C and Tang F: Therapeutic effects of Lycium barbarum polysaccharide (LBP) on irradiation or chemotherapy-induced myelosuppressive mice. Cancer Biother Radiopharm. 20:155–162. 2005. View Article : Google Scholar : PubMed/NCBI

16 

He M, Pan H, Chang RC, So KF, Brecha NC and Pu M: Activation of the Nrf2/HO-1 antioxidant pathway contributes to the protective effects of Lycium barbarum polysaccharides in the rodent retina after ischemia-reperfusion-induced damage. PLoS One. 9:e848002014. View Article : Google Scholar : PubMed/NCBI

17 

Mi XS, Feng Q, Lo AC, Chang RC, Lin B, Chung SK and So KF: Protection of retinal ganglion cells and retinal vasculature by Lycium barbarum polysaccharides in a mouse model of acute ocular hypertension. PLoS One. 7:e454692012. View Article : Google Scholar : PubMed/NCBI

18 

Bucheli P, Vidal K, Shen L, Gu Z, Zhang C, Miller LE and Wang J: Goji berry effects on macular characteristics and plasma antioxidant levels. Optom Vis Sci. 88:257–262. 2011. View Article : Google Scholar : PubMed/NCBI

19 

Chan HC, Chang RC, Koon-Ching Ip A, Chiu K, Yuen WH, Zee SY and So KF: Neuroprotective effects of Lycium barbarum Lynn on protecting retinal ganglion cells in an ocular hypertension model of glaucoma. Exp Neurol. 203:269–273. 2007. View Article : Google Scholar : PubMed/NCBI

20 

Qi B, Ji Q, Wen Y, Liu L, Guo X, Hou G, Wang G and Zhong J: Lycium barbarum polysaccharides protect human lens epithelial cells against oxidative stress-induced apoptosis and senescence. PLoS One. 9:e1102752014. View Article : Google Scholar : PubMed/NCBI

21 

Horng CT, Huang JK, Wang HY, Huang CC and Chen FA: Antioxidant and antifatigue activities of polygonatum alte-lobatum hayata rhizomes in rats. Nutrients. 6:5327–5337. 2014. View Article : Google Scholar : PubMed/NCBI

22 

Dubois M, Gilles KA, Hamilton JK, Rebers P and Smith F: Colorimetric method for determination of sugars and related substances. Anal Chem. 28:350–356. 1956. View Article : Google Scholar

23 

Lee HW, Kim YH, Kim YH, Lee GH and Lee MY: Discrimination of Lycium chinense and Lycium barbarum by taste pattern and betaine analysis. Int J Clin Exp Med. 7:2053–2059. 2014.PubMed/NCBI

24 

Bron AJ, Evans VE and Smith JA: Grading of corneal and conjunctival staining in the context of other dry eye tests. Cornea. 22:640–650. 2003. View Article : Google Scholar : PubMed/NCBI

25 

Ma YS, Weng SW, Lin MW, Lu CC, Chiang JH, Yang JS, Lai KC, Lin JP, Tang NY, Lin JG and Chung JG: Antitumor effects of emodin on LS1034 human colon cancer cells in vitro and in vivo: Roles of apoptotic cell death and LS1034 tumor xenografts model. Food Chem Toxicol. 50:1271–1278. 2012. View Article : Google Scholar : PubMed/NCBI

26 

Kashkouli MB, Pakdel F, Amani A, Asefi M, Aghai GH and Falavarjani KG: A modified Schirmer test in dry eye and normal subjects: Open versus closed eye and 1-minute versus 5-minute tests. Cornea. 29:384–387. 2010. View Article : Google Scholar : PubMed/NCBI

27 

Lemp MA: Advances in understanding and managing dry eye disease. Am J Ophthalmol. 146:350–356. 2008. View Article : Google Scholar : PubMed/NCBI

28 

Liao CL, Lai KC, Huang AC, Yang JS, Lin JJ, Wu SH, Wood Gibson W, Lin JG and Chung JG: Gallic acid inhibits migration and invasion in human osteosarcoma U-2 OS cells through suppressing the matrix metalloproteinase-2/-9, protein kinase B (PKB) and PKC signaling pathways. Food Chem Toxicol. 50:1734–1740. 2012. View Article : Google Scholar : PubMed/NCBI

29 

Altinors DD, Bozbeyoglu S, Karabay G and Akova YA: Evaluation of ocular surface changes in a rabbit dry eye model using a modified impression cytology technique. Curr Eye Res. 32:301–307. 2007. View Article : Google Scholar : PubMed/NCBI

30 

McCarty CA, Bansal AK, Livingston PM, Stanislavsky YL and Taylor HR: The epidemiology of dry eye in Melbourne, Australia. Ophthalmology. 105:1114–1119. 1998. View Article : Google Scholar : PubMed/NCBI

31 

Lai KC, Huang AC, Hsu SC, Kuo CL, Yang JS, Wu SH and Chung JG: Benzyl isothiocyanate (BITC) inhibits migration and invasion of human colon cancer HT29 cells by inhibiting matrix metalloproteinase-2/-9 and urokinase plasminogen (uPA) through PKC and MAPK signaling pathway. J Agric Food Chem. 58:2935–2942. 2010. View Article : Google Scholar : PubMed/NCBI

32 

Uchino M and Schaumberg DA: Dry eye disease: Impact on quality of life and vision. Curr Ophthalmol Rep. 1:51–57. 2013. View Article : Google Scholar : PubMed/NCBI

33 

Bhavsar AS, Bhavsar SG and Jain SM: A review on recent advances in dry eye: Pathogenesis and management. Oman J Ophthalmol. 4:50–56. 2011. View Article : Google Scholar : PubMed/NCBI

34 

Gayton JL: Etiology, prevalence, and treatment of dry eye disease. Clin Ophthalmol. 3:405–412. 2009. View Article : Google Scholar : PubMed/NCBI

35 

Johnson EJ, Chung HY, Caldarella SM and Snodderly DM: The influence of supplemental lutein and docosahexaenoic acid on serum, lipoproteins, and macular pigmentation. Am J Clin Nutr. 87:1521–1529. 2008.PubMed/NCBI

36 

Messmer EM: The pathophysiology, diagnosis, and treatment of dry eye disease. Dtsch Arztebl Int. 112:71–81. 2015.PubMed/NCBI

37 

Stevenson W, Chauhan SK and Dana R: Dry eye disease: An immune-mediated ocular surface disorder. Arch Ophthalmol. 130:90–100. 2012. View Article : Google Scholar : PubMed/NCBI

38 

Zheng Q, Ren Y, Reinach PS, She Y, Xiao B, Hua S, Qu J and Chen W: Reactive oxygen species activated NLRP3 inflammasomes prime environment-induced murine dry eye. Exp Eye Res. 125:1–8. 2014. View Article : Google Scholar : PubMed/NCBI

39 

Liu H, Begley C, Chen M, Bradley A, Bonanno J, McNamara NA, Nelson JD and Simpson T: A link between tear instability and hyperosmolarity in dry eye. Invest Ophthalmol Vis Sci. 50:3671–3679. 2009. View Article : Google Scholar : PubMed/NCBI

40 

Deng R, Hua X, Li J, Chi W, Zhang Z, Lu F, Zhang L, Pflugfelder SC and Li DQ: Oxidative stress markers induced by hyperosmolarity in primary human corneal epithelial cells. PLoS One. 10:e01265612015. View Article : Google Scholar : PubMed/NCBI

41 

Xiao B, Wang Y, Reinach PS, Ren Y, Li J, Hua S, Lu H and Chen W: Dynamic ocular surface and lacrimal gland changes induced in experimental murine dry eye. PLoS One. 10:e01153332015. View Article : Google Scholar : PubMed/NCBI

42 

Karn PR, Kim HD, Kang H, Sun BK, Jin SE and Hwang SJ: Supercritical fluid-mediated liposomes containing cyclosporin A for the treatment of dry eye syndrome in a rabbit model: Comparative study with the conventional cyclosporin A emulsion. Int J Nanomedicine. 9:3791–3800. 2014.PubMed/NCBI

43 

Donnenfeld E and Pflugfelder SC: Topical ophthalmic cyclosporine: Pharmacology and clinical uses. Surv Ophthalmol. 54:321–338. 2009. View Article : Google Scholar : PubMed/NCBI

44 

Ciarcia R, Damiano S, Florio A, Spagnuolo M, Zacchia E, Squillacioti C, Mirabella N, Florio S, Pagnini U, Garofano T, et al: The protective effect of apocynin on cyclosporine a-induced hypertension and nephrotoxicity in rats. J Cell Biochem. 116:1848–1856. 2015. View Article : Google Scholar : PubMed/NCBI

45 

De Paiva CS, Corrales RM, Villarreal AL, Farley WJ, Li DQ, Stern ME and Pflugfelder SC: Corticosteroid and doxycycline suppress MMP-9 and inflammatory cytokine expression, MAPK activation in the corneal epithelium in experimental dry eye. Exp Eye Res. 83:526–535. 2006. View Article : Google Scholar : PubMed/NCBI

46 

Mocan A, Vlase L, Vodnar DC, Bischin C, Hanganu D, Gheldiu AM, Oprean R, Silaghi-Dumitrescu R and Crișan G: Polyphenolic content, antioxidant and antimicrobial activities of Lycium barbarum L. and Lycium chinense Mill. leaves. Molecules. 19:10056–10073. 2014. View Article : Google Scholar : PubMed/NCBI

47 

Uchino Y, Kawakita T, Miyazawa M, Ishii T, Onouchi H, Yasuda K, Ogawa Y, Shimmura S, Ishii N and Tsubota K: Oxidative stress induced inflammation initiates functional decline of tear production. PLoS One. 7:e458052012. View Article : Google Scholar : PubMed/NCBI

48 

Drouault-Holowacz S, Bieuvelet S, Burckel A, Rigal D, Dubray C, Lichon JL, Bringer P, Pilon F and Chiambaretta FR: Antioxidants intake and dry eye syndrome: A crossover, placebo-controlled, randomized trial. Eur J Ophthalmol. 19:337–342. 2009.PubMed/NCBI

49 

Blades KJ, Patel S and Aidoo KE: Oral antioxidant therapy for marginal dry eye. Eur J Clin Nutr. 55:589–597. 2001. View Article : Google Scholar : PubMed/NCBI

50 

Higuchi A, Inoue H, Kawakita T, Ogishima T and Tsubota K: Selenium compound protects corneal epithelium against oxidative stress. PLoS One. 7:e456122012. View Article : Google Scholar : PubMed/NCBI

51 

Wang JH, Wang HZ, Zhang M and Zhang SH: Effect of anti-aging Lycium barbarum polysaccharide. Acta Nutrimenta Sinica. 24:189–191. 2002.(In Chinese).

52 

Petrov A, Perekhvatova N, Skulachev M, Stein L and Ousler G: SkQ1 ophthalmic solution for dry eye treatment: Results of a phase 2 safety and efficacy clinical study in the environment and during challenge in the controlled adverse environment model. Adv Ther. 33:96–115. 2016. View Article : Google Scholar : PubMed/NCBI

53 

Kim YG, Lim HH, Lee SH, Shin MS, Kim CJ and Yang HJ: Betaine inhibits vascularization via suppression of Akt in the retinas of streptozotocin-induced hyperglycemic rats. Mol Med Rep. 12:1639–1644. 2015. View Article : Google Scholar : PubMed/NCBI

54 

Li JM, Ge CX, Xu MX, Wang W, Yu R, Fan CY and Kong LD: Betaine recovers hypothalamic neural injury by inhibiting astrogliosis and inflammation in fructose-fed rats. Mol Nutr Food Res. 59:189–202. 2015. View Article : Google Scholar : PubMed/NCBI

55 

Hua X, Su Z, Deng R, Lin J, Li DQ and Pflugfelder SC: Effects of L-carnitine, erythritol and betaine on pro-inflammatory markers in primary human corneal epithelial cells exposed to hyperosmotic stress. Curr Eye Res. 40:657–667. 2015. View Article : Google Scholar : PubMed/NCBI

56 

Schwab U, Törrönen A, Toppinen L, Alfthan G, Saarinen M, Aro A and Uusitupa M: Betaine supplementation decreases plasma homocysteine concentrations but does not affect body weight, body composition, or resting energy expenditure in human subjects. Am J Clin Nutr. 76:961–967. 2002.PubMed/NCBI

57 

Garrett Q, Khandekar N, Shih S, Flanagan JL, Simmons P, Vehige J and Willcox MD: Betaine stabilizes cell volume and protects against apoptosis in human corneal epithelial cells under hyperosmotic stress. Exp Eye Res. 108:33–41. 2013. View Article : Google Scholar : PubMed/NCBI

58 

Amagase H: General toxicity and histological analysis from acute toxicological study of a standardized Lycium barbarum (Goji) juice (GoChiTM) in rodents. Faseb J. 22:S7222008.

Related Articles

  • Abstract
  • View
  • Download
  • Twitter
Copy and paste a formatted citation
Spandidos Publications style
Chien KJ, Horng CT, Huang YS, Hsieh YH, Wang CJ, Yang JS, Lu CC and Chen FA: Effects of Lycium barbarum (goji berry) on dry eye disease in rats. Mol Med Rep 17: 809-818, 2018.
APA
Chien, K., Horng, C., Huang, Y., Hsieh, Y., Wang, C., Yang, J. ... Chen, F. (2018). Effects of Lycium barbarum (goji berry) on dry eye disease in rats. Molecular Medicine Reports, 17, 809-818. https://doi.org/10.3892/mmr.2017.7947
MLA
Chien, K., Horng, C., Huang, Y., Hsieh, Y., Wang, C., Yang, J., Lu, C., Chen, F."Effects of Lycium barbarum (goji berry) on dry eye disease in rats". Molecular Medicine Reports 17.1 (2018): 809-818.
Chicago
Chien, K., Horng, C., Huang, Y., Hsieh, Y., Wang, C., Yang, J., Lu, C., Chen, F."Effects of Lycium barbarum (goji berry) on dry eye disease in rats". Molecular Medicine Reports 17, no. 1 (2018): 809-818. https://doi.org/10.3892/mmr.2017.7947
Copy and paste a formatted citation
x
Spandidos Publications style
Chien KJ, Horng CT, Huang YS, Hsieh YH, Wang CJ, Yang JS, Lu CC and Chen FA: Effects of Lycium barbarum (goji berry) on dry eye disease in rats. Mol Med Rep 17: 809-818, 2018.
APA
Chien, K., Horng, C., Huang, Y., Hsieh, Y., Wang, C., Yang, J. ... Chen, F. (2018). Effects of Lycium barbarum (goji berry) on dry eye disease in rats. Molecular Medicine Reports, 17, 809-818. https://doi.org/10.3892/mmr.2017.7947
MLA
Chien, K., Horng, C., Huang, Y., Hsieh, Y., Wang, C., Yang, J., Lu, C., Chen, F."Effects of Lycium barbarum (goji berry) on dry eye disease in rats". Molecular Medicine Reports 17.1 (2018): 809-818.
Chicago
Chien, K., Horng, C., Huang, Y., Hsieh, Y., Wang, C., Yang, J., Lu, C., Chen, F."Effects of Lycium barbarum (goji berry) on dry eye disease in rats". Molecular Medicine Reports 17, no. 1 (2018): 809-818. https://doi.org/10.3892/mmr.2017.7947
Follow us
  • Twitter
  • LinkedIn
  • Facebook
About
  • Spandidos Publications
  • Careers
  • Cookie Policy
  • Privacy Policy
How can we help?
  • Help
  • Live Chat
  • Contact
  • Email to our Support Team