Spandidos Publications Logo
  • About
    • About Spandidos
    • Aims and Scopes
    • Abstracting and Indexing
    • Editorial Policies
    • Reprints and Permissions
    • Job Opportunities
    • Terms and Conditions
    • Contact
  • Journals
    • All Journals
    • Oncology Letters
      • Oncology Letters
      • Information for Authors
      • Editorial Policies
      • Editorial Board
      • Aims and Scope
      • Abstracting and Indexing
      • Bibliographic Information
      • Archive
    • International Journal of Oncology
      • International Journal of Oncology
      • Information for Authors
      • Editorial Policies
      • Editorial Board
      • Aims and Scope
      • Abstracting and Indexing
      • Bibliographic Information
      • Archive
    • Molecular and Clinical Oncology
      • Molecular and Clinical Oncology
      • Information for Authors
      • Editorial Policies
      • Editorial Board
      • Aims and Scope
      • Abstracting and Indexing
      • Bibliographic Information
      • Archive
    • Experimental and Therapeutic Medicine
      • Experimental and Therapeutic Medicine
      • Information for Authors
      • Editorial Policies
      • Editorial Board
      • Aims and Scope
      • Abstracting and Indexing
      • Bibliographic Information
      • Archive
    • International Journal of Molecular Medicine
      • International Journal of Molecular Medicine
      • Information for Authors
      • Editorial Policies
      • Editorial Board
      • Aims and Scope
      • Abstracting and Indexing
      • Bibliographic Information
      • Archive
    • Biomedical Reports
      • Biomedical Reports
      • Information for Authors
      • Editorial Policies
      • Editorial Board
      • Aims and Scope
      • Abstracting and Indexing
      • Bibliographic Information
      • Archive
    • Oncology Reports
      • Oncology Reports
      • Information for Authors
      • Editorial Policies
      • Editorial Board
      • Aims and Scope
      • Abstracting and Indexing
      • Bibliographic Information
      • Archive
    • Molecular Medicine Reports
      • Molecular Medicine Reports
      • Information for Authors
      • Editorial Policies
      • Editorial Board
      • Aims and Scope
      • Abstracting and Indexing
      • Bibliographic Information
      • Archive
    • World Academy of Sciences Journal
      • World Academy of Sciences Journal
      • Information for Authors
      • Editorial Policies
      • Editorial Board
      • Aims and Scope
      • Abstracting and Indexing
      • Bibliographic Information
      • Archive
    • International Journal of Functional Nutrition
      • International Journal of Functional Nutrition
      • Information for Authors
      • Editorial Policies
      • Editorial Board
      • Aims and Scope
      • Abstracting and Indexing
      • Bibliographic Information
      • Archive
    • International Journal of Epigenetics
      • International Journal of Epigenetics
      • Information for Authors
      • Editorial Policies
      • Editorial Board
      • Aims and Scope
      • Abstracting and Indexing
      • Bibliographic Information
      • Archive
    • Medicine International
      • Medicine International
      • Information for Authors
      • Editorial Policies
      • Editorial Board
      • Aims and Scope
      • Abstracting and Indexing
      • Bibliographic Information
      • Archive
  • Articles
  • Information
    • Information for Authors
    • Information for Reviewers
    • Information for Librarians
    • Information for Advertisers
    • Conferences
  • Language Editing
Spandidos Publications Logo
  • About
    • About Spandidos
    • Aims and Scopes
    • Abstracting and Indexing
    • Editorial Policies
    • Reprints and Permissions
    • Job Opportunities
    • Terms and Conditions
    • Contact
  • Journals
    • All Journals
    • Biomedical Reports
      • Information for Authors
      • Editorial Policies
      • Editorial Board
      • Aims and Scope
      • Abstracting and Indexing
      • Bibliographic Information
      • Archive
    • Experimental and Therapeutic Medicine
      • Information for Authors
      • Editorial Policies
      • Editorial Board
      • Aims and Scope
      • Abstracting and Indexing
      • Bibliographic Information
      • Archive
    • International Journal of Epigenetics
      • Information for Authors
      • Editorial Policies
      • Editorial Board
      • Aims and Scope
      • Abstracting and Indexing
      • Bibliographic Information
      • Archive
    • International Journal of Functional Nutrition
      • Information for Authors
      • Editorial Policies
      • Editorial Board
      • Aims and Scope
      • Abstracting and Indexing
      • Bibliographic Information
      • Archive
    • International Journal of Molecular Medicine
      • Information for Authors
      • Editorial Policies
      • Editorial Board
      • Aims and Scope
      • Abstracting and Indexing
      • Bibliographic Information
      • Archive
    • International Journal of Oncology
      • Information for Authors
      • Editorial Policies
      • Editorial Board
      • Aims and Scope
      • Abstracting and Indexing
      • Bibliographic Information
      • Archive
    • Medicine International
      • Information for Authors
      • Editorial Policies
      • Editorial Board
      • Aims and Scope
      • Abstracting and Indexing
      • Bibliographic Information
      • Archive
    • Molecular and Clinical Oncology
      • Information for Authors
      • Editorial Policies
      • Editorial Board
      • Aims and Scope
      • Abstracting and Indexing
      • Bibliographic Information
      • Archive
    • Molecular Medicine Reports
      • Information for Authors
      • Editorial Policies
      • Editorial Board
      • Aims and Scope
      • Abstracting and Indexing
      • Bibliographic Information
      • Archive
    • Oncology Letters
      • Information for Authors
      • Editorial Policies
      • Editorial Board
      • Aims and Scope
      • Abstracting and Indexing
      • Bibliographic Information
      • Archive
    • Oncology Reports
      • Information for Authors
      • Editorial Policies
      • Editorial Board
      • Aims and Scope
      • Abstracting and Indexing
      • Bibliographic Information
      • Archive
    • World Academy of Sciences Journal
      • Information for Authors
      • Editorial Policies
      • Editorial Board
      • Aims and Scope
      • Abstracting and Indexing
      • Bibliographic Information
      • Archive
  • Articles
  • Information
    • For Authors
    • For Reviewers
    • For Librarians
    • For Advertisers
    • Conferences
  • Language Editing
Login Register Submit
  • This site uses cookies
  • You can change your cookie settings at any time by following the instructions in our Cookie Policy. To find out more, you may read our Privacy Policy.

    I agree
Search articles by DOI, keyword, author or affiliation
Search
Advanced Search
presentation
Molecular Medicine Reports
Join Editorial Board Propose a Special Issue
Print ISSN: 1791-2997 Online ISSN: 1791-3004
Journal Cover
May-2018 Volume 17 Issue 5

Full Size Image

Sign up for eToc alerts
Recommend to Library

Journals

International Journal of Molecular Medicine

International Journal of Molecular Medicine

International Journal of Molecular Medicine is an international journal devoted to molecular mechanisms of human disease.

International Journal of Oncology

International Journal of Oncology

International Journal of Oncology is an international journal devoted to oncology research and cancer treatment.

Molecular Medicine Reports

Molecular Medicine Reports

Covers molecular medicine topics such as pharmacology, pathology, genetics, neuroscience, infectious diseases, molecular cardiology, and molecular surgery.

Oncology Reports

Oncology Reports

Oncology Reports is an international journal devoted to fundamental and applied research in Oncology.

Experimental and Therapeutic Medicine

Experimental and Therapeutic Medicine

Experimental and Therapeutic Medicine is an international journal devoted to laboratory and clinical medicine.

Oncology Letters

Oncology Letters

Oncology Letters is an international journal devoted to Experimental and Clinical Oncology.

Biomedical Reports

Biomedical Reports

Explores a wide range of biological and medical fields, including pharmacology, genetics, microbiology, neuroscience, and molecular cardiology.

Molecular and Clinical Oncology

Molecular and Clinical Oncology

International journal addressing all aspects of oncology research, from tumorigenesis and oncogenes to chemotherapy and metastasis.

World Academy of Sciences Journal

World Academy of Sciences Journal

Multidisciplinary open-access journal spanning biochemistry, genetics, neuroscience, environmental health, and synthetic biology.

International Journal of Functional Nutrition

International Journal of Functional Nutrition

Open-access journal combining biochemistry, pharmacology, immunology, and genetics to advance health through functional nutrition.

International Journal of Epigenetics

International Journal of Epigenetics

Publishes open-access research on using epigenetics to advance understanding and treatment of human disease.

Medicine International

Medicine International

An International Open Access Journal Devoted to General Medicine.

Journal Cover
May-2018 Volume 17 Issue 5

Full Size Image

Sign up for eToc alerts
Recommend to Library

  • Article
  • Citations
    • Cite This Article
    • Download Citation
    • Create Citation Alert
    • Remove Citation Alert
    • Cited By
  • Similar Articles
    • Related Articles (in Spandidos Publications)
    • Similar Articles (Google Scholar)
    • Similar Articles (PubMed)
  • Download PDF
  • Download XML
  • View XML
Article Open Access

Low molecular weight fucoidan attenuates experimental abdominal aortic aneurysm through interfering the leukocyte-endothelial cells interaction

  • Authors:
    • Min Zhou
    • Yong Ding
    • Liang Cai
    • Yonggang Wang
    • Changpo Lin
    • Zhenyu Shi
  • View Affiliations / Copyright

    Affiliations: Department of Vascular Surgery, Zhongshan Hospital, Institute of Vascular Surgery, Fudan University, Shanghai 200032, P.R. China
    Copyright: © Zhou et al. This is an open access article distributed under the terms of Creative Commons Attribution License.
  • Pages: 7089-7096
    |
    Published online on: March 16, 2018
       https://doi.org/10.3892/mmr.2018.8765
  • Expand metrics +
Metrics: Total Views: 0 (Spandidos Publications: | PMC Statistics: )
Metrics: Total PDF Downloads: 0 (Spandidos Publications: | PMC Statistics: )
Cited By (CrossRef): 0 citations Loading Articles...

This article is mentioned in:



Abstract

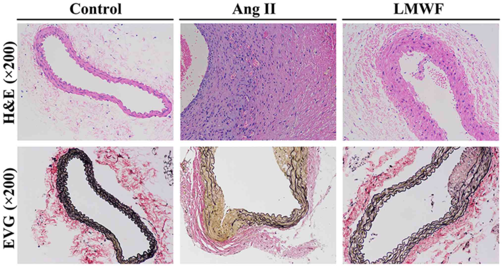
Low molecular weight fucoidan (LMWF) is a sulfated polysaccharide extracted from Saccharina Japonica that presents high affinity for P-selectin and abolish selectin-dependent recruitment of leukocytes. We hypothesized that dietary intake of LMWF, as a competitive binding agent of P‑selectin, could limit the inflammatory infiltration and aneurysmal growth in an Angiotensin II‑induced abdominal aortic aneurysm (AAA) mouse model. The Gene Expression Omnibus database was used for gene expressions and gene set enrichment analysis. Kyoto Encyclopedia of Genes and Genomes pathway enrichment analysis showed that focal adhesion was involved in the development of AAA. However, dietary intake of LMWF could limit the enlargement of AAA, decreasing maximal aortic diameter and preserving elastin lamellae. Although LMWF did not decrease the circulatory monocytes count and lower the expression of P‑selectin in endothelium, it reduced macrophages infiltration in media and adventitia. Furthermore, matrix metalloproteinase expression was markedly downregulated, accompanied with reduced expression of inflammatory mediators, including interleukin 1β, tumor necrosis factor‑α and monocyte chemotactic protein‑1. The present study revealed a novel target for the treatment of AAA and the anti‑inflammatory effects of LMWF.
View Figures

Figure 1

Figure 2

Figure 3

Figure 4

Figure 5

View References

1 

Sampson UK, Norman PE, Fowkes FG, Aboyans V, Song Y, Harrell FE Jr, Forouzanfar MH, Naghavi M, Denenberg JO, McDermott MM, et al: Estimation of global and regional incidence and prevalence of abdominal aortic aneurysms 1990 to 2010. Global heart. 9:159–170. 2014. View Article : Google Scholar : PubMed/NCBI

2 

Thomas M, Gavrila D, McCormick ML, Miller FJ Jr, Daugherty A, Cassis LA, Dellsperger KC and Weintraub NL: Deletion of p47phox attenuates angiotensin II-induced abdominal aortic aneurysm formation in apolipoprotein E-deficient mice. Circulation. 114:404–413. 2006. View Article : Google Scholar : PubMed/NCBI

3 

Sharma AK, Lu G, Jester A, Johnston WF, Zhao Y, Hajzus VA, Saadatzadeh MR, Su G, Bhamidipati CM, Mehta GS, et al: Experimental abdominal aortic aneurysm formation is mediated by IL-17 and attenuated by mesenchymal stem cell treatment. Circulation. 126 11 Suppl 1:S38–S45. 2012. View Article : Google Scholar : PubMed/NCBI

4 

Harrison SC, Smith AJ, Jones GT, Swerdlow DI, Rampuri R, Bown MJ; Aneurysm Consortium, ; Folkersen L, Baas AF, de Borst GJ, et al: Interleukin-6 receptor pathways in abdominal aortic aneurysm. Eur Heart J. 34:3707–3716. 2013. View Article : Google Scholar : PubMed/NCBI

5 

Li MW, Mian MO, Barhoumi T, Rehman A, Mann K, Paradis P and Schiffrin EL: Endothelin-1 overexpression exacerbates atherosclerosis and induces aortic aneurysms in apolipoprotein E knockout mice. Arterioscler Thromb Vasc Biol. 33:2306–2315. 2013. View Article : Google Scholar : PubMed/NCBI

6 

Hannawa KK, Cho BS, Sinha I, Roelofs KJ, Myers DD, Wakefield TJ, Stanley JC, Henke PK and Upchurch GR Jr: Attenuation of experimental aortic aneurysm formation in P-selectin knockout mice. Ann N Y Acad Sci. 1085:353–359. 2006. View Article : Google Scholar : PubMed/NCBI

7 

Piqueras L, Kubes P, Alvarez A, O'Connor E, Issekutz AC, Esplugues JV and Sanz MJ: Angiotensin II induces leukocyte-endothelial cell interactions in vivo via AT(1) and AT(2) receptor-mediated P-selectin upregulation. Circulation. 102:2118–2123. 2000. View Article : Google Scholar : PubMed/NCBI

8 

Xu Y, Zhang Q, Luo D, Wang J and Duan D: Low molecular weight fucoidan modulates P-selectin and alleviates diabetic nephropathy. Int J Biol Macromol. 91:233–240. 2016. View Article : Google Scholar : PubMed/NCBI

9 

Jin W, Wang J, Jiang H, Song N, Zhang W and Zhang Q: The neuroprotective activities of heteropolysaccharides extracted from Saccharina Japonica. Carbohydr Polym. 97:116–120. 2013. View Article : Google Scholar : PubMed/NCBI

10 

Huang da W, Sherman BT and Lempicki RA: Systematic and integrative analysis of large gene lists using DAVID bioinformatics resources. Nat Protoc. 4:44–57. 2009. View Article : Google Scholar : PubMed/NCBI

11 

Huang da W, Sherman BT and Lempicki RA: Bioinformatics enrichment tools: Paths toward the comprehensive functional analysis of large gene lists. Nucleic Acids Res. 37:1–13S. 2009. View Article : Google Scholar : PubMed/NCBI

12 

Daugherty A and Cassis LA: Mouse models of abdominal aortic aneurysms. Arterioscler Thromb Vasc Biol. 24:429–434. 2004. View Article : Google Scholar : PubMed/NCBI

13 

Livak KJ and Schmittgen TD: Analysis of relative gene expression data using real-time quantitative PCR and the 2(-Delta Delta C(T)) method. Methods. 25:402–408. 2001. View Article : Google Scholar : PubMed/NCBI

14 

Biros E, Moran CS, Rush CM, Gäbel G, Schreurs C, Lindeman JH, Walker PJ, Nataatmadja M, West M, Holdt LM, et al: Differential gene expression in the proximal neck of human abdominal aortic aneurysm. Atherosclerosis. 233:211–218. 2014. View Article : Google Scholar : PubMed/NCBI

15 

Biros E, Gäbel G, Moran CS, Schreurs C, Lindeman JH, Walker PJ, Nataatmadja M, West M, Holdt LM, Hinterseher I, et al: Differential gene expression in human abdominal aortic aneurysm and aortic occlusive disease. Oncotarget. 6:12984–12996. 2015. View Article : Google Scholar : PubMed/NCBI

16 

Yoshida S, Fuster JJ and Walsh K: Adiponectin attenuates abdominal aortic aneurysm formation in hyperlipidemic mice. Atherosclerosis. 235:339–346. 2014. View Article : Google Scholar : PubMed/NCBI

17 

Lu HY, Huang CY, Shih CM, Chang WH, Tsai CS, Lin FY and Shih CC: Dipeptidyl peptidase-4 inhibitor decreases abdominal aortic aneurysm formation through GLP-1-dependent monocytic activity in mice. PLoS One. 10:e01210772015. View Article : Google Scholar : PubMed/NCBI

18 

Hlawaty H, Suffee N, Sutton A, Oudar O, Haddad O, Ollivier V, Laguillier-Morizot C, Gattegno L, Letourneur D and Charnaux N: Low molecular weight fucoidan prevents intimal hyperplasia in rat injured thoracic aorta through the modulation of matrix metalloproteinase-2 expression. Biochem Pharmacol. 81:233–243. 2011. View Article : Google Scholar : PubMed/NCBI

19 

Alsac JM, Delbosc S, Rouer M, Journé C, Louedec L, Meilhac O and Michel JB: Fucoidan interferes with Porphyromonas gingivalis-induced aneurysm enlargement by decreasing neutrophil activation. J Vasc Surg. 57:796–805. 2013. View Article : Google Scholar : PubMed/NCBI

20 

da Cunha V, Tham DM, Martin-McNulty B, Deng G, Ho JJ, Wilson DW, Rutledge JC, Vergona R, Sullivan ME and Wang YX: Enalapril attenuates angiotensin II-induced atherosclerosis and vascular inflammation. Atherosclerosis. 178:9–17. 2005. View Article : Google Scholar : PubMed/NCBI

21 

Cui W, Zheng Y, Zhang Q, Wang J, Wang L, Yang W, Guo C, Gao W, Wang X and Luo D: Low-molecular-weight fucoidan protects endothelial function and ameliorates basal hypertension in diabetic Goto-Kakizaki rats. Lab Invest. 94:382–393. 2014. View Article : Google Scholar : PubMed/NCBI

22 

Iida Y, Xu B, Schultz GM, Chow V, White JJ, Sulaimon S, Hezi-Yamit A, Peterson SR and Dalman RL: Efficacy and mechanism of angiotensin II receptor blocker treatment in experimental abdominal aortic aneurysms. PLoS One. 7:e496422012. View Article : Google Scholar : PubMed/NCBI

23 

Mieth A, Revermann M, Babelova A, Weigert A, Schermuly RT and Brandes RP: L-type calcium channel inhibitor diltiazem prevents aneurysm formation by blood pressure-independent anti-inflammatory effects. Hypertension. 62:1098–1104. 2013. View Article : Google Scholar : PubMed/NCBI

24 

Mateo T, Abu Nabah YN, Abu Taha M, Mata M, Cerdá-Nicolás M, Proudfoot AE, Stahl RA, Issekutz AC, Cortijo J, Morcillo EJ, et al: Angiotensin II-induced mononuclear leukocyte interactions with arteriolar and venular endothelium are mediated by the release of different CC chemokines. J Immunol. 176:5577–5586. 2006. View Article : Google Scholar : PubMed/NCBI

25 

Iida Y, Xu B, Xuan H, Glover KJ, Tanaka H, Hu X, Fujimura N, Wang W, Schultz JR, Turner CR and Dalman RL: Peptide inhibitor of CXCL4-CCL5 heterodimer formation, MKEY, inhibits experimental aortic aneurysm initiation and progression. Arterioscler Thromb Vasc Biol. 33:718–726. 2013. View Article : Google Scholar : PubMed/NCBI

26 

Li B, Juenet M, Aid-Launais R, Maire M, Ollivier V, Letourneur D and Chauvierre C: Development of polymer microcapsules functionalized with fucoidan to target P-selectin overexpressed in cardiovascular diseases. Adv Healthc Mater. 6:2017. View Article : Google Scholar

27 

Bonnard T, Serfaty JM, Journé C, Ho Tin Noe B, Arnaud D, Louedec L, Derkaoui SM, Letourneur D, Chauvierre C and Le Visage C: Leukocyte mimetic polysaccharide microparticles tracked in vivo on activated endothelium and in abdominal aortic aneurysm. Acta Biomater. 10:3535–3545. 2014. View Article : Google Scholar : PubMed/NCBI

28 

Rouzet F, Bachelet-Violette L, Alsac JM, Suzuki M, Meulemans A, Louedec L, Petiet A, Jandrot-Perrus M, Chaubet F and Michel JB: Radiolabeled fucoidan as a p-selectin targeting agent for in vivo imaging of platelet-rich thrombus and endothelial activation. J Nucl Med. 52:1433–1440. 2011. View Article : Google Scholar : PubMed/NCBI

29 

Chen A, Lan Y, Liu J, Zhang F, Zhang L, Li B and Zhao X: The structure property and endothelial protective activity of fucoidan from Laminaria japonica. Int J Biol Macromol. 105:1421–1429. 2017. View Article : Google Scholar : PubMed/NCBI

30 

Bouvard C, Galy-Fauroux I, Grelac F, Carpentier W, Lokajczyk A, Gandrille S, Colliec-Jouault S, Fischer AM and Helley D: Low-molecular-weight fucoidan induces endothelial cell migration via the PI3K/AKT pathway and modulates the transcription of genes involved in angiogenesis. Mar Drugs. 13:7446–7462. 2015. View Article : Google Scholar : PubMed/NCBI

31 

Zhu Z, Zhang Q, Chen L, Ren S, Xu P, Tang Y and Luo D: Higher specificity of the activity of low molecular weight fucoidan for thrombin-induced platelet aggregation. Thromb Res. 125:419–426. 2010. View Article : Google Scholar : PubMed/NCBI

32 

Bachelet L, Bertholon I, Lavigne D, Vassy R, Jandrot-Perrus M, Chaubet F and Letourneur D: Affinity of low molecular weight fucoidan for P-selectin triggers its binding to activated human platelets. Biochim Biophys Acta. 1790:141–146. 2009. View Article : Google Scholar : PubMed/NCBI

33 

Zhao X, Guo F, Hu J, Zhang L, Xue C, Zhang Z and Li B: Antithrombotic activity of oral administered low molecular weight fucoidan from Laminaria Japonica. Thromb Res. 144:46–52. 2016. View Article : Google Scholar : PubMed/NCBI

34 

Deux JF, Meddahi-Pellé A, Le Blanche AF, Feldman LJ, Colliec-Jouault S, Brée F, Boudghène F, Michel JB and Letourneur D: Low molecular weight fucoidan prevents neointimal hyperplasia in rabbit iliac artery in-stent restenosis model. Arterioscler Thromb Vasc Biol. 22:1604–1609. 2002. View Article : Google Scholar : PubMed/NCBI

35 

Tsai HL, Tai CJ, Huang CW, Chang FR and Wang JY: Efficacy of low-molecular-weight fucoidan as a supplemental therapy in metastatic colorectal cancer patients: A double-blind randomized controlled trial. Mar Drugs. 15:pii: E122. 2017. View Article : Google Scholar

36 

Hwang PA, Yan MD, Lin HT, Li KL and Lin YC: Toxicological evaluation of low molecular weight fucoidan in vitro and in vivo. Mar Drugs. 14:pii: E121. 2016. View Article : Google Scholar

Related Articles

  • Abstract
  • View
  • Download
  • Twitter
Copy and paste a formatted citation
Spandidos Publications style
Zhou M, Ding Y, Cai L, Wang Y, Lin C and Shi Z: Low molecular weight fucoidan attenuates experimental abdominal aortic aneurysm through interfering the leukocyte-endothelial cells interaction. Mol Med Rep 17: 7089-7096, 2018.
APA
Zhou, M., Ding, Y., Cai, L., Wang, Y., Lin, C., & Shi, Z. (2018). Low molecular weight fucoidan attenuates experimental abdominal aortic aneurysm through interfering the leukocyte-endothelial cells interaction. Molecular Medicine Reports, 17, 7089-7096. https://doi.org/10.3892/mmr.2018.8765
MLA
Zhou, M., Ding, Y., Cai, L., Wang, Y., Lin, C., Shi, Z."Low molecular weight fucoidan attenuates experimental abdominal aortic aneurysm through interfering the leukocyte-endothelial cells interaction". Molecular Medicine Reports 17.5 (2018): 7089-7096.
Chicago
Zhou, M., Ding, Y., Cai, L., Wang, Y., Lin, C., Shi, Z."Low molecular weight fucoidan attenuates experimental abdominal aortic aneurysm through interfering the leukocyte-endothelial cells interaction". Molecular Medicine Reports 17, no. 5 (2018): 7089-7096. https://doi.org/10.3892/mmr.2018.8765
Copy and paste a formatted citation
x
Spandidos Publications style
Zhou M, Ding Y, Cai L, Wang Y, Lin C and Shi Z: Low molecular weight fucoidan attenuates experimental abdominal aortic aneurysm through interfering the leukocyte-endothelial cells interaction. Mol Med Rep 17: 7089-7096, 2018.
APA
Zhou, M., Ding, Y., Cai, L., Wang, Y., Lin, C., & Shi, Z. (2018). Low molecular weight fucoidan attenuates experimental abdominal aortic aneurysm through interfering the leukocyte-endothelial cells interaction. Molecular Medicine Reports, 17, 7089-7096. https://doi.org/10.3892/mmr.2018.8765
MLA
Zhou, M., Ding, Y., Cai, L., Wang, Y., Lin, C., Shi, Z."Low molecular weight fucoidan attenuates experimental abdominal aortic aneurysm through interfering the leukocyte-endothelial cells interaction". Molecular Medicine Reports 17.5 (2018): 7089-7096.
Chicago
Zhou, M., Ding, Y., Cai, L., Wang, Y., Lin, C., Shi, Z."Low molecular weight fucoidan attenuates experimental abdominal aortic aneurysm through interfering the leukocyte-endothelial cells interaction". Molecular Medicine Reports 17, no. 5 (2018): 7089-7096. https://doi.org/10.3892/mmr.2018.8765
Follow us
  • Twitter
  • LinkedIn
  • Facebook
About
  • Spandidos Publications
  • Careers
  • Cookie Policy
  • Privacy Policy
How can we help?
  • Help
  • Live Chat
  • Contact
  • Email to our Support Team