Spandidos Publications Logo
  • About
    • About Spandidos
    • Aims and Scopes
    • Abstracting and Indexing
    • Editorial Policies
    • Reprints and Permissions
    • Job Opportunities
    • Terms and Conditions
    • Contact
  • Journals
    • All Journals
    • Oncology Letters
      • Oncology Letters
      • Information for Authors
      • Editorial Policies
      • Editorial Board
      • Aims and Scope
      • Abstracting and Indexing
      • Bibliographic Information
      • Archive
    • International Journal of Oncology
      • International Journal of Oncology
      • Information for Authors
      • Editorial Policies
      • Editorial Board
      • Aims and Scope
      • Abstracting and Indexing
      • Bibliographic Information
      • Archive
    • Molecular and Clinical Oncology
      • Molecular and Clinical Oncology
      • Information for Authors
      • Editorial Policies
      • Editorial Board
      • Aims and Scope
      • Abstracting and Indexing
      • Bibliographic Information
      • Archive
    • Experimental and Therapeutic Medicine
      • Experimental and Therapeutic Medicine
      • Information for Authors
      • Editorial Policies
      • Editorial Board
      • Aims and Scope
      • Abstracting and Indexing
      • Bibliographic Information
      • Archive
    • International Journal of Molecular Medicine
      • International Journal of Molecular Medicine
      • Information for Authors
      • Editorial Policies
      • Editorial Board
      • Aims and Scope
      • Abstracting and Indexing
      • Bibliographic Information
      • Archive
    • Biomedical Reports
      • Biomedical Reports
      • Information for Authors
      • Editorial Policies
      • Editorial Board
      • Aims and Scope
      • Abstracting and Indexing
      • Bibliographic Information
      • Archive
    • Oncology Reports
      • Oncology Reports
      • Information for Authors
      • Editorial Policies
      • Editorial Board
      • Aims and Scope
      • Abstracting and Indexing
      • Bibliographic Information
      • Archive
    • Molecular Medicine Reports
      • Molecular Medicine Reports
      • Information for Authors
      • Editorial Policies
      • Editorial Board
      • Aims and Scope
      • Abstracting and Indexing
      • Bibliographic Information
      • Archive
    • World Academy of Sciences Journal
      • World Academy of Sciences Journal
      • Information for Authors
      • Editorial Policies
      • Editorial Board
      • Aims and Scope
      • Abstracting and Indexing
      • Bibliographic Information
      • Archive
    • International Journal of Functional Nutrition
      • International Journal of Functional Nutrition
      • Information for Authors
      • Editorial Policies
      • Editorial Board
      • Aims and Scope
      • Abstracting and Indexing
      • Bibliographic Information
      • Archive
    • International Journal of Epigenetics
      • International Journal of Epigenetics
      • Information for Authors
      • Editorial Policies
      • Editorial Board
      • Aims and Scope
      • Abstracting and Indexing
      • Bibliographic Information
      • Archive
    • Medicine International
      • Medicine International
      • Information for Authors
      • Editorial Policies
      • Editorial Board
      • Aims and Scope
      • Abstracting and Indexing
      • Bibliographic Information
      • Archive
  • Articles
  • Information
    • Information for Authors
    • Information for Reviewers
    • Information for Librarians
    • Information for Advertisers
    • Conferences
  • Language Editing
Spandidos Publications Logo
  • About
    • About Spandidos
    • Aims and Scopes
    • Abstracting and Indexing
    • Editorial Policies
    • Reprints and Permissions
    • Job Opportunities
    • Terms and Conditions
    • Contact
  • Journals
    • All Journals
    • Biomedical Reports
      • Information for Authors
      • Editorial Policies
      • Editorial Board
      • Aims and Scope
      • Abstracting and Indexing
      • Bibliographic Information
      • Archive
    • Experimental and Therapeutic Medicine
      • Information for Authors
      • Editorial Policies
      • Editorial Board
      • Aims and Scope
      • Abstracting and Indexing
      • Bibliographic Information
      • Archive
    • International Journal of Epigenetics
      • Information for Authors
      • Editorial Policies
      • Editorial Board
      • Aims and Scope
      • Abstracting and Indexing
      • Bibliographic Information
      • Archive
    • International Journal of Functional Nutrition
      • Information for Authors
      • Editorial Policies
      • Editorial Board
      • Aims and Scope
      • Abstracting and Indexing
      • Bibliographic Information
      • Archive
    • International Journal of Molecular Medicine
      • Information for Authors
      • Editorial Policies
      • Editorial Board
      • Aims and Scope
      • Abstracting and Indexing
      • Bibliographic Information
      • Archive
    • International Journal of Oncology
      • Information for Authors
      • Editorial Policies
      • Editorial Board
      • Aims and Scope
      • Abstracting and Indexing
      • Bibliographic Information
      • Archive
    • Medicine International
      • Information for Authors
      • Editorial Policies
      • Editorial Board
      • Aims and Scope
      • Abstracting and Indexing
      • Bibliographic Information
      • Archive
    • Molecular and Clinical Oncology
      • Information for Authors
      • Editorial Policies
      • Editorial Board
      • Aims and Scope
      • Abstracting and Indexing
      • Bibliographic Information
      • Archive
    • Molecular Medicine Reports
      • Information for Authors
      • Editorial Policies
      • Editorial Board
      • Aims and Scope
      • Abstracting and Indexing
      • Bibliographic Information
      • Archive
    • Oncology Letters
      • Information for Authors
      • Editorial Policies
      • Editorial Board
      • Aims and Scope
      • Abstracting and Indexing
      • Bibliographic Information
      • Archive
    • Oncology Reports
      • Information for Authors
      • Editorial Policies
      • Editorial Board
      • Aims and Scope
      • Abstracting and Indexing
      • Bibliographic Information
      • Archive
    • World Academy of Sciences Journal
      • Information for Authors
      • Editorial Policies
      • Editorial Board
      • Aims and Scope
      • Abstracting and Indexing
      • Bibliographic Information
      • Archive
  • Articles
  • Information
    • For Authors
    • For Reviewers
    • For Librarians
    • For Advertisers
    • Conferences
  • Language Editing
Login Register Submit
  • This site uses cookies
  • You can change your cookie settings at any time by following the instructions in our Cookie Policy. To find out more, you may read our Privacy Policy.

    I agree
Search articles by DOI, keyword, author or affiliation
Search
Advanced Search
presentation
Molecular Medicine Reports
Join Editorial Board Propose a Special Issue
Print ISSN: 1791-2997 Online ISSN: 1791-3004
Journal Cover
August-2022 Volume 26 Issue 2

Full Size Image

Sign up for eToc alerts
Recommend to Library

Journals

International Journal of Molecular Medicine

International Journal of Molecular Medicine

International Journal of Molecular Medicine is an international journal devoted to molecular mechanisms of human disease.

International Journal of Oncology

International Journal of Oncology

International Journal of Oncology is an international journal devoted to oncology research and cancer treatment.

Molecular Medicine Reports

Molecular Medicine Reports

Covers molecular medicine topics such as pharmacology, pathology, genetics, neuroscience, infectious diseases, molecular cardiology, and molecular surgery.

Oncology Reports

Oncology Reports

Oncology Reports is an international journal devoted to fundamental and applied research in Oncology.

Experimental and Therapeutic Medicine

Experimental and Therapeutic Medicine

Experimental and Therapeutic Medicine is an international journal devoted to laboratory and clinical medicine.

Oncology Letters

Oncology Letters

Oncology Letters is an international journal devoted to Experimental and Clinical Oncology.

Biomedical Reports

Biomedical Reports

Explores a wide range of biological and medical fields, including pharmacology, genetics, microbiology, neuroscience, and molecular cardiology.

Molecular and Clinical Oncology

Molecular and Clinical Oncology

International journal addressing all aspects of oncology research, from tumorigenesis and oncogenes to chemotherapy and metastasis.

World Academy of Sciences Journal

World Academy of Sciences Journal

Multidisciplinary open-access journal spanning biochemistry, genetics, neuroscience, environmental health, and synthetic biology.

International Journal of Functional Nutrition

International Journal of Functional Nutrition

Open-access journal combining biochemistry, pharmacology, immunology, and genetics to advance health through functional nutrition.

International Journal of Epigenetics

International Journal of Epigenetics

Publishes open-access research on using epigenetics to advance understanding and treatment of human disease.

Medicine International

Medicine International

An International Open Access Journal Devoted to General Medicine.

Journal Cover
August-2022 Volume 26 Issue 2

Full Size Image

Sign up for eToc alerts
Recommend to Library

  • Article
  • Citations
    • Cite This Article
    • Download Citation
    • Create Citation Alert
    • Remove Citation Alert
    • Cited By
  • Similar Articles
    • Related Articles (in Spandidos Publications)
    • Similar Articles (Google Scholar)
    • Similar Articles (PubMed)
  • Download PDF
  • Download XML
  • View XML
Article Open Access

Hyperoside ameliorates TNF‑α‑induced inflammation, ECM degradation and ER stress‑mediated apoptosis via the SIRT1/NF‑κB and Nrf2/ARE signaling pathways in vitro

  • Authors:
    • Tian Xie
    • Jun Yuan
    • Ling Mei
    • Ping Li
    • Ruijie Pan
  • View Affiliations / Copyright

    Affiliations: Department of Orthopedics, Wuhan Hospital of Traditional Chinese Medicine, Wuhan, Hubei 430014, P.R. China, College of Acupuncture and Bone Injury, Hubei University of Chinese Medicine, Wuhan, Hubei 430061, P.R. China
    Copyright: © Xie et al. This is an open access article distributed under the terms of Creative Commons Attribution License.
  • Article Number: 260
    |
    Published online on: June 20, 2022
       https://doi.org/10.3892/mmr.2022.12776
  • Expand metrics +
Metrics: Total Views: 0 (Spandidos Publications: | PMC Statistics: )
Metrics: Total PDF Downloads: 0 (Spandidos Publications: | PMC Statistics: )
Cited By (CrossRef): 0 citations Loading Articles...

This article is mentioned in:



Abstract

Intervertebral disc degeneration (IDD) is the main pathogenesis of numerous cases of chronic neck and back pain, and has become the leading cause of spinal‑related disability worldwide. Hyperoside is an active flavonoid glycoside that exhibits anti‑inflammation, anti‑oxidation and anti‑apoptosis effects. The purpose of the present study was to investigate the effect of hyperoside on tumor necrosis factor (TNF)‑α‑induced IDD progression in human nucleus pulposus cells (NPCs) and its potential mechanism. The activity and apoptosis of NPCs were detected by Cell Counting Kit‑8 and flow cytometry analyses, respectively. The expression of interleukin (IL)‑6 and IL‑1β was detected with ELISA kits. Western blotting was used to detect the expression levels of proteins. The results showed that hyperoside effectively alleviated TNF‑α‑induced NPC apoptosis, and hyperoside treatment inhibited the upregulation of inducible nitric oxide synthase, cyclooxygenase‑2, IL‑1β and IL‑6 in TNF‑α‑stimulated NPCs. Compared with the findings in the TNF‑α group, the intervention of hyperoside attenuated the upregulated expression of aggrecan and collagen II, and downregulated the expressions of matrix metalloproteinase (MMP) 3, MMP13 and a disintegrin and metalloproteinase with thrombospondin motifs 5. In addition, hyperoside upregulated sirtuin‑1 (SIRT1) and nuclear factor E2‑related factor 2 (Nrf2) protein expression, and inhibition of SIRT1 or Nrf2 signaling reversed the protective effect of hyperoside on TNF‑α‑induced NPCs. In summary, hyperoside ameliorated TNF‑α‑induced inflammation, extracellular matrix degradation, and endoplasmic reticulum stress‑mediated apoptosis, which may be associated with the regulation of the SIRT1/NF‑κB and Nrf2/antioxidant responsive element signaling pathways by hyperoside.

Introduction

Intervertebral disc degeneration (IDD) is considered to be the root cause of the occurrence and development of intervertebral disc (IVD) herniation, and its occurrence is affected by a series of factors, including genetic susceptibility, cell senescence, mechanical load, matrix degradation, inflammation and apoptosis (1). With the increasing aging population in the world, IDD has become the leading cause of spinal-related disability worldwide (2). However, the disease cannot be alleviated through drug therapy or surgical treatment in the clinic at present (3). Therefore, there is an urgent need for an effective treatment to alleviate the progression of IDD.

IVD is an avascular organ composed of peripheral ring and central nucleus pulposus, of which human nucleus pulposus cells (HNPCs) are responsible for regulating the synthesis and decomposition of extracellular matrix (ECM) components (4). In the pathogenesis of IDD, the reduction in the number of NPCs and the loss of ECM are important features (5). Previous studies have shown that the process of IDD is closely associated with inflammatory reactions (6,7). The nucleus pulposus secretes pro-inflammatory molecules, such as tumor necrosis factor (TNF)-α, interleukin (IL)-1β, IL-6 and IL-17, of which TNF-α is the most prominent, promoting the degradation of ECM, and leading to cell phenotypic changes and a series of degenerative events (8). In addition, endoplasmic reticulum (ER) stress is also one of the potential factors for the induction of IDD by inducing NPC apoptosis and ECM degradation (9). Thus, finding effective drugs to inhibit ECM degradation, inflammatory response and ER stress-induced apoptosis in HNPCs may be a feasible strategy for the prevention and treatment of IDD.

Hyperoside is an active flavonoid glycoside present in numerous medicinal plants such as Epimedium, Hypericum perforatum and Hypericum (10). Previous studies have shown that hyperoside has a wide range of pharmacological effects, including anti-inflammation (11), anti-oxidation (12) and anti-apoptosis (13). For example, hyperoside plays an anti-inflammatory role in sepsis-related cardiac insufficiency (14), acute lung injury (15) and acute liver injury (16). In addition, hyperoside was able to attenuate the IL-1β-induced ECM destruction of chondrocytes (10). However, the role of hyperoside in IDD has not been investigated thus far.

Sirtuin-1 (SIRT1) is an NAD+-dependent deacetylase that functions in a variety of inflammatory and immune responses (17). A previous study suggested that upregulating SIRT1 inhibited the IL-1β-stimulated apoptosis and inflammation of NPCs by activating the PI3K/Akt signaling pathway, and regulated ECM remodeling (18). In addition, SIRT1 inhibited the IL-1β-mediated inflammatory response in HNPCs by regulating the Toll-like receptor (TLR)2/SIRT1/NF-κB pathway (19). Notably, hyperoside was able to reduce lipopolysaccharide (LPS)-induced inflammation, oxidative stress and apoptosis by upregulating SIRT1 (20). A pervious study showed that hyperoside could attenuate H2O2-induced L02 cell damage by activating the nuclear factor E2-related factor 2 (Nrf2)-antioxidant responsive element (ARE) signaling pathway (21). Hou et al (22) reported that hyperoside showed a protective effect on myocardial ischemia-reperfusion injury by inhibiting ER stress and activating the Nrf2 signaling pathway, and activating the Kelch-like ECH-associated protein 1 (Keap1)/Nrf2/ARE signaling pathway was conducive to reducing oxidative stress-IDD degeneration (23). Thus, it was hypothesized that hyperoside may play a protective role in IDD by regulating the SIRT1/NF-κB and Nrf2/ARE signaling pathways.

As aforementioned, the purpose of the present study was to investigate the effects of hyperoside on TNF-α-induced apoptosis of NPCs, ECM degradation and inflammatory response, as well as ER stress, and to assess the underlying mechanism. The present results may provide a new basis for understanding the molecular mechanism of the occurrence and development of IDD, and may suggest the possibility of hyperoside becoming a candidate drug for the treatment of IDD.

Materials and methods

Cell culture

HNPCs were obtained from AcceGen Biotechnology (cat. no. ABI-TC102D). The cells were cultured in DMEM with F12 nutrient mixture (Gibco; Thermo Fisher Scientific, Inc.) supplemented with 10% fetal bovine serum (HyClone; Cytiva), 100 U/ml penicillin and 100 µg/ml streptomycin (Invitrogen; Thermo Fisher Scientific, Inc.) at 37°C in a humidified atmosphere with 5% CO2. Cells in logarithmic growth phase were used for subsequent experiments.

Cell Counting Kit-8 (CCK-8) assay

A CCK-8 assay was performed to assess cell viability. Briefly, cells were inoculated in 96-well plates at a density of 8×103 cells/well, and then treated with different concentrations (10, 20 and 50 µM) of hyperoside (Beijing Solarbio Science & Technology Co., Ltd.; cat. no: 482-36-0; Purity ≥98%) (20), 50 ng/ml TNF-α, 1 µM EX527 (24) or 5 µM ML385 (25) for 24 h. Next, 10 µl CCK-8 reagent was added into each well, and the cells were cultured for additional 4 h at 37°C with 5% CO2. The absorbance in each well was then measured at a wavelength of 450 nm by using a microplate reader (BioTek Instruments, Inc.).

Flow cytometric analysis

To quantitatively assess the induced apoptotic cell death rate, an annexin V-FITC apoptosis detection assay was performed according to the manufacturer's protocol (Beyotime Institute of Biotechnology). Briefly, cells were inoculated on a si-well plate and cultured with different treatments for 24 h at 37°C and 5% CO2. Subsequently, the cells were collected, washed twice with PBS and resuspended in 500 µl with 1X binding buffer at a concentration of 1×106 cells/ml prior to the addition of 5 µl annexin V-FITC. The cells were then gently vortexed and incubated for 20 min at room temperature in the dark. Next, 10 µl of propidium iodide (PI) was added to and incubated for additional 5 min at room temperature in the dark. The stained cells were analyzed using a flow cytometer (BD FACSCalibur; BD Biosciences), and labeled as viable (annexin V and PI negative), early apoptotic (annexin V positive and PI negative) or late apoptotic (annexin V and PI positive). The data were analyzed with FlowJo software (version 10.2; FlowJo LLC).

ELISA

ELISA kits (Beyotime Institute of Biotechnology) were applied to detect the levels of the inflammatory cytokines IL-6 (cat. no. P1326) and IL-1β (cat. no. PI305).

Western blotting

Cells from each group were collected, and total protein was extracted using RIPA lysis buffer (Beijing Solarbio Science & Technology Co., Ltd.). Protein concentration was determined using the BCA Protein Detection kit (Beyotime Institute of Biotechnology) according to the manufacturer's protocol. Total protein (30 µg per lane) was separated by 12% SDS-PAGE and transferred into a PVDF membrane. The membranes were blocked in 5% non-fat milk at room temperature for 4 h. Upon washing 3 times with 1X TBS-0.1% Tween 20 for 5 min each, the following primary antibodies (all purchased from Abcam) were added to the membrane and incubated overnight at 4°C: Anti-Bcl-2 (1:1,000; cat. no. Ab32124), anti-Bax (1:1,000; cat. no. Ab32503), anti-glucose-regulated protein (GRP)78 (1:1,000; cat. no. Ab21685), anti-phosphorylated (p)-protein kinase RNA-like ER kinase (PERK) (1:5,000; cat. no. Ab192591), anti-activating transcription factor 6 (ATF6) (1:1,000; cat. no. Ab122897), anti-the C/EBP homologous protein (CHOP) (1:1,000; cat. no. Ab11419), anti-caspase 12 (1:1,000; cat. no. Ab62484), anti-PERK (1:1,000; cat. no. Ab229912), anti-inducible nitric oxide synthase (iNOS) (1:10,000; cat. no. Ab178945), anti-cyclooxygenase (COX)-2 (1:5,000; cat. no. Ab62331), anti-aggrecan (1:1,000; cat. no. Ab3778), anti-collagen II (1:1,000; cat. no. Ab34712), anti-MMP3 (1:1,000; cat. no. Ab52915), anti-MMP13 (1:10,000; cat. no. Ab219620), anti-a disintegrin and metalloproteinase with thrombospondin motifs (ADAMTS)5 (1:5,000; cat. no. Ab41037), anti-SIRT1 (1:1,000; cat. no. Ab110304), anti-p-NF-κB (1:1,000; cat. no. Ab239882), anti-NF-κB (1:1,000; cat. no. Ab220803), anti-Nrf2 (1:1,000; cat. no. Ab137550), anti-heme oxygenase-1 (HO-1) (1:10,000; cat. no. Ab52947), anti-NAD(P)H quinone dehydrogenase 1 (NQO1) (1:5,000; cat. no. Ab80588) and anti-GAPDH (1:1,000; cat. no. Ab8245). Subsequently, the membranes were incubated with a horseradish peroxidase-conjugated secondary antibody (cat. no. Ab150077; 1:5,000) at room temperature for 4 h. Protein bands were visualized using an ECL solution and imaged with a gel imager (C150; Azure Biosystems, Inc.). The gray value of the protein bands was analyzed with ImageJ (version 1.51; National Institutes of Health), and GAPDH as used as the loading control for normalization.

Statistical analysis

All data were analyzed using GraphPad Prism 7 software (GraphPad Software, Inc.). Data are presented as the mean ± SD from ≥3 independent experimental repeats. Statistical differences between 2 groups were compared using an unpaired Student's t-test, statistical differences among ≥2 groups were compared using one-way ANOVA followed by Tukey's post hoc test. P<0.05 was considered to indicate a statistically significant difference.

Results

Hyperoside enhances TNF-α-induced HNPCs viability

The viability of HNPCs was detected by CCK-8 assay. The results showed that hyperoside (Fig. 1A) produced no obvious damage to the viability of HNPCs at concentrations ≤50 µM, indicating that hyperoside had a good biocompatibility (Fig. 1B). Subsequently, the effect of hyperoside on TNF-α-induced HNPCs viability was examined. As revealed in Fig. 1C, cell viability was downregulated by 50% after TNF-α induction. Compared with the TNF-α group, hyperoside intervention led to a concentration-dependent increase in viability of HNPCs.

Figure 1.

Hyperoside enhances TNF-α-induced viability of HNPCs. (A) Chemical structure formula of hyperoside. (B) The effect of different concentrations (0, 10, 20 and 50 µM) of hyperoside on viability of HNPCs. (C) Hyperoside on TNF-α-induced HNPCs viability. ***P<0.001 vs. control and ##P<0.01 vs. TNF-α. HNPCs, human nucleus pulposus cells.

Hyperoside inhibits TNF-α-induced ER stress-mediated apoptosis in HNPCs

The effect of hyperoside on TNF-α-induced apoptosis was detected by flow cytometry. As revealed in Fig. 2A, TNF-α induced significant apoptosis in HNPCs, and the percentage of late apoptosis reached 8.78%, while treatment with hyperoside reversed cell apoptosis in a concentration-dependent manner. To further verify the protective effect of hyperoside on ER stress-induced apoptosis, the expression levels of apoptosis-related proteins and ER stress proteins were examined by western blotting (Fig. 2B). The results demonstrated that, compared with those in the TNF-α-induced group, the expression levels of the ER stress proteins GRP78, p-PERK and ATF6 were significantly decreased in the hyperoside-treated groups, while the expression levels of apoptotic proteins, including CHOP, Bax and caspase 12, were also markedly decreased in the hyperoside-treated groups, whereas the expression levels of Bcl-2 were significantly increased.

Figure 2.

Hyperoside inhibits TNF-α-induced endoplasmic reticulum stress-mediated apoptosis in HNPCs. (A) Flow cytometry was used to detect the effect of hyperoside on TNF-α-induced apoptosis of HNPCs. (B) The expression levels of Bcl-2, Bax, GRP78, p-PERK, ATF6, CHOP and caspase 12 proteins were detected by western blot analysis. ***P<0.001 vs. control; #P<0.05, ##P<0.01 and ###P<0.001 vs. TNF-α. HNPCs, human nucleus pulposus cells; GRP, glucose-regulated protein; p-PERK, ATF, activating transcription factor 6; p-, phosphorylated; PERK, protein kinase RNA-like ER kinase; CHOP, C/EBP homologous protein.

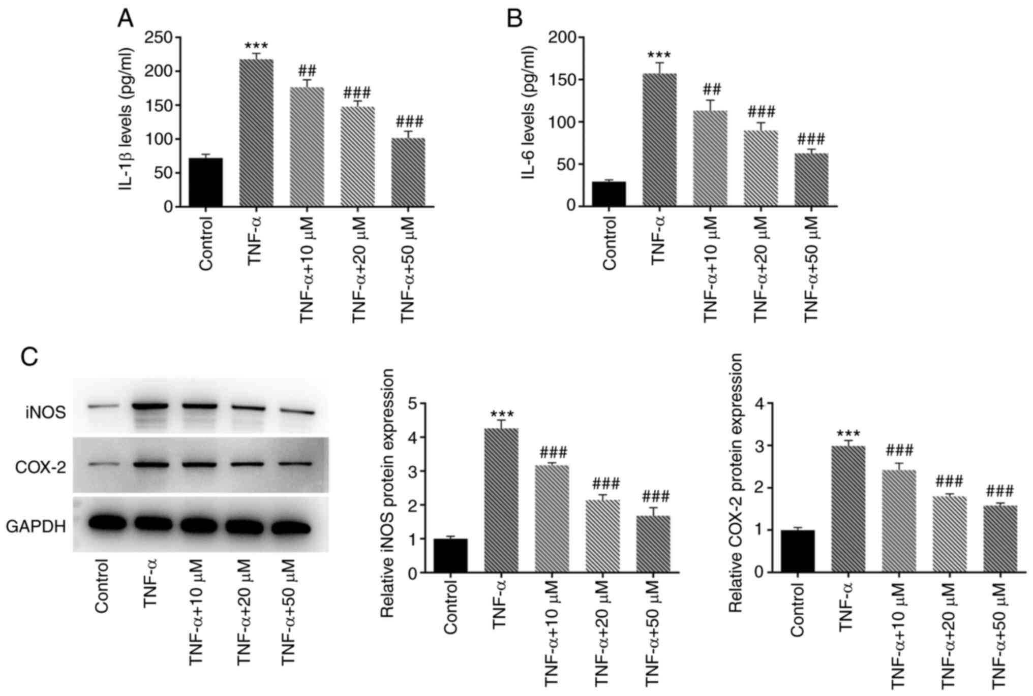
Hyperoside reduces TNF-α-induced inflammation in HNPCs

ELISA was used to evaluate the effect of hyperoside on TNF-α-induced inflammatory factors in HNPCs (Fig. 3A and B). The results demonstrated that, compared with that in the TNF-α group, hyperoside inhibited the expression of IL-1β and IL-6 in a concentration-dependent manner. Subsequently, the expression level of inflammation-related proteins was detected (Fig. 3C). The western blot results indicated that hyperoside could also reduce the protein expression of iNOS and COX-2 in a concentration-dependent manner compared with that in the TNF-α group.

Figure 3.

Hyperoside reduces TNF-α-induced inflammation in human nucleus pulposus cells. (A and B) The expression level of inflammatory cytokines (A) IL-1β and (B) IL-6 were detected by ELISA. (C) Western blotting was performed to detect the expression levels of COX-2 and iNOS. ***P<0.001 vs. control; ##P<0.01 and ###P<0.001 vs. TNF-α. COX, cyclooxygenase; iNOS, inducible nitric oxide synthase.

Hyperoside inhibits TNF-α-induced degradation of ECM in HNPCs

The expression of ECM degradation-related proteins was detected by western blotting (Fig. 4). Compared with that of the TNF-α group, treatment with hyperoside attenuated the TNF-α-induced degradation of ECM in a concentration-dependent manner, and upregulated the expression of aggrecan and collagen II. Hyperoside also reduced the TNF-α-induced expression levels of MMP3, MMP13 and ADAMTS5, thus exerting protective effects against TNF-α-induced ECM degradation.

Figure 4.

Hyperoside inhibits TNF-α-induced degradation of ECM in human nucleus pulposus cells. The expression of ECM degradation related proteins (Aggrecan, Collagen II, MMP3, MMP13 and ADAMTS5) was detected by western blot analysis. ***P<0.001 vs. control; #P<0.05, ##P<0.01 and ###P<0.001 vs. TNF-α. ECM, extracellular matrix; MMP, matrix metalloproteinase.

Hyperoside regulates the SIRT1/NF-κB and Nrf2/ARE signaling pathways

To further study the mechanism of hyperoside, western blotting was used to detect the expression of SIRT1/NF-κB and Nrf2/ARE signaling pathways-related proteins (Fig. 5). The results revealed that TNF-α induced the downregulation of SIRT1, Nrf2, HO-1 and NQO1 proteins, and the upregulation of p-NF-κB p65 protein, while hyperoside treatment concentration dependently reversed these effects. The aforementioned results indicated that hyperoside may play its role by regulating the SIRT1/NF-κB and Nrf2/ARE signaling pathways.

Figure 5.

Hyperoside regulates the SIRT1/NF-κB and Nrf2/ARE signaling pathways. Western blot analysis was used to detect the expression of SIRT1/NF-κB and Nrf2/ARE pathway-related proteins (SIRT1, p-NF-κB, NF-κB, Nrf2, HO-1 and NQO1). ***P<0.001 vs. control; #P<0.05, ##P<0.01 and ###P<0.001 vs. TNF-α. SIRT, sirtuin; Nrf, nuclear factor E2-related factor 2; ARE, antioxidant responsive element; p-, phosphorylated; HO, heme oxygenase; NQO1, NAD(P)H quinone dehydrogenase.

EX527 (a SIRT1 inhibitor) and ML385 (a Nrf2 inhibitor) reverse the protective effect of hyperoside on TNF-α-induced HNPCs

The SIRT1 inhibitor EX527 and the Nrf2 inhibitor EX527 were employed to verify the mechanism of the protective effect of hyperoside on TNF-α-induced HNPCs. CCK-8 assay (Fig. 6A) and flow cytometry (Fig. 6B) were performed to detect cell viability and apoptosis, respectively. The results demonstrated that both EX527 and ML385 could partially reverse the protective effect of hyperoside on TNF-α-induced viability of HNPCs and promote apoptosis. The expression levels of apoptosis-related proteins (CHOP, Bax, caspase 12 and Bcl-2) and ER stress proteins (GRP78, p-PERK and ATF6) further verified that EX527 and ML385 reversed the inhibitory effect of hyperoside on TNF-α-induced apoptosis mediated by ER stress to a certain extent (Fig. 6C). Next, the effects of EX527 and ML385 on the expression of intracellular inflammatory factors were observed, and treatment with the inhibitor exacerbated the expression of intracellular inflammatory factors (IL-1β and IL-6) (Fig. 7A and B) and inflammation-related proteins (iNOS and COX-2) (Fig. 7C) compared with the findings in the TNF-α + hyperoside group. Finally, the expression of ECM degradation-related proteins (aggrecan, collagen II, MMP3, MMP13 and ADAMTS5) in HNPCs was detected, and similar results were obtained (Fig. 7D), suggesting that hyperoside may improve TNF-α-induced inflammation, ECM degradation and ER stress-mediated apoptosis through the SIRT1/NF-κB and Nrf2/ARE signaling pathways.

Figure 6.

EX527 and ML385 reverse the inhibitory effect of hyperoside on TNF-α-induced endoplasmic reticulum stress-mediated apoptosis of human nucleus pulposus cells. (A) Cell viability and (B) apoptosis were detected by Cell Counting Kit-8 and flow cytometry, respectively. (C) The expression levels of Bcl-2, Bax, GRP78, p-PERK, ATF6, CHOP and caspase 12 proteins were detected by western blotting. ***P<0.001 vs. control; ###P<0.001 vs. TNF-α; +P<0.05, ++P<0.01 and +++P<0.001 vs. TNF-α + hyperoside. GRP, glucose-regulated protein; p-, phosphorylated; PERK, protein kinase RNA-like ER kinase; ATF, activating transcription factor 6; CHOP, C/EBP homologous protein.

Figure 7.

EX527 and ML385 reverse the inhibitory effect of hyperoside on TNF-α-induced inflammation and ECM degradation of human nucleus pulposus cells. (A and B) The expression level of inflammatory cytokines (A) IL-1β and (B) IL-6 were detected by ELISA. (C) Western blotting was performed to detect the expression levels of COX-2 and iNOS. (D) The expression of ECM degradation-related proteins (Aggrecan, Collagen II, MMP3, MMP13 and ADAMTS5) was detected by western blotting. ***P<0.001 vs. control; ###P<0.001 vs. TNF-α; +P<0.05, ++P<0.01 and +++P<0.001 vs. TNF-α + hyperoside. ECM, extracellular matrix; COX, cyclooxygenase; iNOS, inducible nitric oxide synthase; MMP, matrix metalloproteinase.

Discussion

IDD is one of the main causes of low back pain, which seriously affects the life and health of patients (26). The development of IDD is characterized by cellular and biochemical changes in the microenvironment of the IVD, resulting in progressive functional and structural impairment (27). The main pathological characteristics of IDD include production of pro-inflammatory mediators, loss of ECM, cell senescence and cell death (1,28,29). These changes further lead to the disruption of normal disc function. Inflammation is considered to be the main factor leading to IDD (7). Shamji et al (30) showed that the expression levels of macrophage products such as IL-4, IL-6, IL-12 and interferon γ in herniated IVD tissue were significantly increased. Second, the degradation of ECM, resulting in the loss of type II collagen and nucleus pulposus (NP) proteoglycans, is also one of the characteristics of IDD (31). There is abundant evidence that TNF-α could stimulate the expression of a variety of MMPs and ADAMTS5, leading to the degradation of aggregates and collagen (8,32). In addition, the ER is responsible for lipid biosynthesis, calcium storage and protein folding (33). Previous studies have shown that persistent ER stress could induce programmed cell death, particularly apoptosis (34,35). A recent study has also reported that cholesterol induces IDD by activating ER stress in NP cells (36). In summary, controlling the inflammatory response, ER stress-induced apoptosis and the degradation of ECM is considered to be a potential and feasible strategy for the treatment of patients with IDD.

Hyperoside, as one of the main components of Traditional Chinese Medicine (Huangkui capsule, which a patented drug), has multiple biological effects, including anti-inflammatory, antiviral, antioxidant and anticancer effects (37,38). Previous studies have confirmed that hyperoside has an anti-apoptotic effect in hamster lung fibroblast (V79-4) (39) and PC12 (40) cells. In addition, hyperoside protects myocardium from ischemia-reperfusion injury by inhibiting ER stress and activating the Nrf2 signaling pathway (41). Hyperoside can upregulate pituitary adenylate-cyclase-activating polypeptide to inhibit the activation of NOD-, LRR- and pyrin domain-containing protein 3 inflammasomes, thus effectively inhibiting N-methyl-4-phenyl-1,2,3,6-tetrahydropyridine-induced neuroinflammation (42). Therefore, the present study focused on the effects of hyperoside on TNF-α-induced HNPCs inflammation, ECM degradation and ER stress. Consistent with the protective effect of hyperoside previously reported (41), in the present study, hyperoside could concentration-dependently inhibit the TNF-α-induced, ER stress-mediated apoptosis of HNPCs, and reduce TNF-α-induced inflammation and ECM degradation.

Regarding the protective role of hyperoside in an in vitro model of IDD, hyperoside was previously reported to reduce LPS-induced inflammation, oxidative stress and apoptosis by upregulating SIRT1, which activated Wnt/β-catenin (20). SIRT1 is the most important and most widely studied member of the sirtuin family, and plays a role in inflammatory, oxidative stress and immune responses (43,44). SIRT1 inhibits IL-1β-mediated NPCs inflammation by regulating the Toll-like receptor 2/SIRT1/NF-κB signaling pathway (19). In addition, Jiang et al (45) reported that hyperoside is considered an Nrf2 inducer, reducing the damage of N-acetyl-para-amino-phenol to liver by reducing the production of reactive oxygen species. Activation of the Keap1/Nrf2/ARE signaling pathway helps to reduce oxidative stress-induced disc degeneration (23). Shao et al (46) found that quercetin inhibited the expression of senescence-associated secreted phenotype factor via the Nrf2/NF-κB axis, and improved the progress of IDD. In addition, tea polyphenols could reduce oxidative stress-induced disc degeneration by regulating the Keap1/Nrf2/ARE signaling pathway (47). Similarly, the present study showed that hyperoside treatment relieved TNF-α-induced downregulation of SIRT1, Nrf2, HO-1 and NQO1 protein expressions and upregulation of p-NF-κB p65 protein expression in a concentration-dependent manner, and the SIRT1 inhibitor EX527 as well as the Nrf2 inhibitor ML385 reversed the protective effect of hyperoside on TNF-α-induced HNPCs. These results suggested that hyperoside may play a role in IDD by regulating the SIRT1/NF-κB and Nrf2/ARE signaling pathways.

Although the present study was the first to confirm the inhibitory effect of hyperoside on TNF-α-induced inflammatory response, ECM degradation and ER stress in HNPC cells, effects of hyperoside on other aspects related to IDD, such as cell senescence (48) and oxidative stress (7), were not observed. Furthermore, the present research results are only supported by in vitro experiments, and further verification in vivo will be the focus of our next study. Of note, the protective mechanism of hyperoside may not only be associated with the regulation of the SIRT1/NF-κB and Nrf2/ARE signaling pathways, but other pathways and the optimal concentration of hyperoside need to be further investigated.

In summary, to the best of our knowledge, the present study is the first one to report that hyperoside improves TNF-α-induced inflammation, ECM degradation and ER stress-mediated apoptosis, indicating that it may play a protective role in IDD, which is associated with the regulation of the SIRT1/NF-κB and Nrf2/ARE signaling pathways.

Acknowledgements

Not applicable.

Funding

The present study was supported by Wuhan Municipal Health Commission (grant no. WZ15B09).

Availability of data and materials

The datasets used and/or analyzed during the current study are available from the corresponding author on reasonable request.

Authors' contributions

TX and RP designed the study. JY, LM and PL performed the experiments. TX and LM revised the manuscript. JY, LM and PL collected and analyzed the data. RJ, TX and JY confirm the authenticity of all the raw data. All authors have read and approved the final manuscript.

Ethics approval and consent to participate

Not applicable.

Patient consent for publication

Not applicable.

Competing interests

The authors declare that they have no competing interests.

References

1 

Risbud MV and Shapiro IM: Role of cytokines in intervertebral disc degeneration: Pain and disc content. Nat Rev Rheumatol. 10:44–56. 2014. View Article : Google Scholar : PubMed/NCBI

2 

Kos N, Gradisnik L and Velnar T: A brief review of the degenerative intervertebral disc disease. Med Arch. 73:421–424. 2019. View Article : Google Scholar : PubMed/NCBI

3 

Dowdell J, Erwin M, Choma T, Vaccaro A, Iatridis J and Cho SK: Intervertebral disk degeneration and repair. Neurosurgery. 80 (3 Suppl):S46–S54. 2017. View Article : Google Scholar : PubMed/NCBI

4 

Li Z, Chen X, Xu D, Li S, Chan MTV and Wu WKK: Circular RNAs in nucleus pulposus cell function and intervertebral disc degeneration. Cell Prolif. 52:e127042019. View Article : Google Scholar : PubMed/NCBI

5 

Liao Z, Luo R, Li G, Song Y, Zhan S, Zhao K, Hua W, Zhang Y, Wu X and Yang C: Exosomes from mesenchymal stem cells modulate ER stress to protect against nucleus pulposus cell death and ameliorate intervertebral disc degeneration in vivo. Theranostics. 9:4084–4100. 2019. View Article : Google Scholar : PubMed/NCBI

6 

Navone SE, Marfia G, Giannoni A, Beretta M, Guarnaccia L, Gualtierotti R, Nicoli D, Rampini P and Campanella R: Inflammatory mediators and signalling pathways controlling intervertebral disc degeneration. Histol Histopathol. 32:523–542. 2017.PubMed/NCBI

7 

Zhang GZ, Deng YJ, Xie QQ, Ren EH, Ma ZJ, He XG, Gao YC and Kang XW: Sirtuins and intervertebral disc degeneration: Roles in inflammation oxidative stress and mitochondrial function. Clin Chim Acta. 508:33–42. 2020. View Article : Google Scholar : PubMed/NCBI

8 

Wang Y, Che M, Xin J, Zheng Z, Li J and Zhang S: The role of IL-1β and TNF-α in intervertebral disc degeneration. Biomed Pharmacother. 131:1106602020. View Article : Google Scholar : PubMed/NCBI

9 

Constable MD and Knoblich G: Sticking together? Re-binding previous other-associated stimuli interferes with self-verification but not partner-verification. Acta Psychol (Amst). 210:1031672020. View Article : Google Scholar : PubMed/NCBI

10 

Rosi IM, Bombardieri F, Steri D, Sternativo M and Rancati S: ‘Those plates that save me’: Experiences of Italian patients with implantable cardioverter defibrillator. Clin Nurs Res. 30:616–624. 2021. View Article : Google Scholar : PubMed/NCBI

11 

Ku SK, Zhou W, Lee W, Han MS, Na M and Bae JS: Anti-inflammatory effects of hyperoside in human endothelial cells and in mice. Inflammation. 38:784–99. 2015. View Article : Google Scholar : PubMed/NCBI

12 

Nirumand MC, Hajialyani M, Rahimi R, Farzaei MH, Zingue S, Nabavi SM and Bishayee A: Dietary plants for the prevention and management of kidney stones: Preclinical and clinical evidence and molecular mechanisms. Int J Mol Sci. 19:7652018. View Article : Google Scholar : PubMed/NCBI

13 

Charachit N, Sukhamwang A, Dejkriengkraikul P and Yodkeeree S: Hyperoside and quercitrin in houttuynia cordata extract attenuate UVB-induced human keratinocyte cell damage and oxidative stress via modulation of MAPKs and Akt signaling pathway. Antioxidants (Basel). 11:2212022. View Article : Google Scholar : PubMed/NCBI

14 

Zhang J, Liu Y and Liu L: Hyperoside prevents sepsis–associated cardiac dysfunction through regulating cardiomyocyte viability and inflammation via inhibiting miR-21. Biomed Pharmacother. 138:1115242021. View Article : Google Scholar : PubMed/NCBI

15 

Hu X, Li H, Fu L, Liu F, Wang H, Li M, Jiang C and Yin B: The protective effect of hyperin on LPS-induced acute lung injury in mice. Microb Pathog. 127:116–120. 2019. View Article : Google Scholar : PubMed/NCBI

16 

Huang C, Yang Y, Li WX, Wu XQ, Li XF, Ma TT, Zhang L, Meng XM and Li J: Hyperin attenuates inflammation by activating PPAR-γ in mice with acute liver injury (ALI) and LPS-induced RAW264.7 cells. Int Immunopharmacol. 29:440–447. 2015. View Article : Google Scholar : PubMed/NCBI

17 

Han F, Li Z, Han S, Jia Y, Bai L, Li X and Hu D: SIRT1 suppresses burn injury-induced inflammatory response through activating autophagy in RAW264.7 macrophages. J Investig Med. 69:761–767. 2021. View Article : Google Scholar : PubMed/NCBI

18 

Qi W, Ren D, Wang P, Song Z, Wu H, Yao S, Geng L, Su Y and Bai X: Upregulation of Sirt1 by tyrosol suppresses apoptosis and inflammation and modulates ECM remodeling in interleukin-1β-stimulated human nucleus pulposus cells through activation of PI3K/Akt pathway. Int Immunopharmacol. 88:1069042020. View Article : Google Scholar : PubMed/NCBI

19 

Shen J, Fang J, Hao J, Zhong X, Wang D, Ren H and Hu Z: SIRT1 inhibits the catabolic effect of IL-1β through TLR2/SIRT1/NF-κB pathway in human degenerative nucleus pulposus cells. Pain Physician. 19:E215–E226. 2016.PubMed/NCBI

20 

Huang J, Zhou L, Chen J, Chen T, Lei B, Zheng N, Wan X, Xu J and Wang T: Hyperoside attenuate inflammation in HT22 cells via upregulating SIRT1 to activities Wnt/β-catenin and sonic hedgehog pathways. Neural Plast. 10:87064002021.PubMed/NCBI

21 

Xing HY, Cai YQ, Wang XF, Wang LL, Li P, Wang GY and Chen JH: The cytoprotective effect of hyperoside against oxidative stress is mediated by the Nrf2-ARE signaling pathway through GSK-3β inactivation. PLoS One. 10:e01451832015. View Article : Google Scholar : PubMed/NCBI

22 

Hou JY, Liu Y, Liu L and Li XM: Protective effect of hyperoside on cardiac ischemia reperfusion injury through inhibition of ER stress and activation of Nrf2 signaling. Asian Pac J Trop Med. 9:76–80. 2016. View Article : Google Scholar : PubMed/NCBI

23 

Edwards PD, Frenette-Ling C, Palme R and Boonstra R: A mechanism for population self-regulation: Social density suppresses GnRH expression and reduces reproductivity in voles. J Anim Ecol. 90:784–795. 2021. View Article : Google Scholar : PubMed/NCBI

24 

Du L Qian X, Li Y, Li XZ, He LL, Xu L, Liu YQ, Li CC, Ma P, Shu FL, et al: Sirt1 inhibits renal tubular cell epithelial-mesenchymal transition through YY1 deacetylation in diabetic nephropathy. Acta Pharmacol Sin. 42:242–251. 2021. View Article : Google Scholar : PubMed/NCBI

25 

Wang Z, Han N, Zhao K, Li Y, Chi Y and Wang B: Protective effects of pyrroloquinoline quinine against oxidative stress-induced cellular senescence and inflammation in human renal tubular epithelial cells via Keap1/Nrf2 signaling pathway. Int Immunopharmacol. 72:445–453. 2019. View Article : Google Scholar : PubMed/NCBI

26 

Roh EJ, Darai A, Kyung JW, Choi H, Kwon SY, Bhujel B, Kim KT and Han I: Genetic therapy for intervertebral disc degeneration. Int J Mol Sci. 22:15792021. View Article : Google Scholar : PubMed/NCBI

27 

Xue J, Hu B, Xing W, Li F, Huang Z, Zheng W, Wang B, Zhu Y and Yang X: Low expression of miR-142-3p promotes intervertebral disk degeneration. J Orthop Surg Res. 16:552021. View Article : Google Scholar : PubMed/NCBI

28 

Mascarenhas RO, Souza MB and Oliveira VC: Treatment of fibromyalgia in the 21st century-reply. JAMA Intern Med. 181:1011–1012. 2021. View Article : Google Scholar : PubMed/NCBI

29 

Zhao Y, Qiu C, Wang W, Peng J, Cheng X, Shangguan Y, Xu M, Li J, Qu R, Chen X, et al: Cortistatin protects against intervertebral disc degeneration through targeting mitochondrial ROS-dependent NLRP3 inflammasome activation. Theranostics. 10:7015–7033. 2020. View Article : Google Scholar : PubMed/NCBI

30 

Shamji MF, Setton LA, Jarvis W, So S, Chen J, Jing L, Bullock R, Isaacs RE, Brown C and Richardson WJ: Proinflammatory cytokine expression profile in degenerated and herniated human intervertebral disc tissues. Arthritis Rheum. 62:1974–1982. 2010.PubMed/NCBI

31 

Sive JI, Baird P, Jeziorsk M, Watkins A, Hoyland JA and Freemont AJ: Expression of chondrocyte markers by cells of normal and degenerate intervertebral discs. Mol Pathol. 55:91–97. 2002. View Article : Google Scholar : PubMed/NCBI

32 

Seguin CA, Pilliar RM, Roughley PJ and Kandel RA: Tumor necrosis factor-alpha modulates matrix production and catabolism in nucleus pulposus tissue. Spine (Phila Pa 1976). 30:1940–1948. 2005. View Article : Google Scholar : PubMed/NCBI

33 

Wang G, Yang ZQ and Zhang K: ER stress response in cancer: Molecular mechanism and therapeutic potential. Am J Transl Res. 2:65–74. 2010.PubMed/NCBI

34 

Fernandez A, Ordóñez R, Reiter RJ, González-Gallego J and Mauriz JL: Melatonin and ER stress: Relation to autophagy and apoptosis. J Pineal Res. 59:292–307. 2015. View Article : Google Scholar : PubMed/NCBI

35 

Yang L, Guan G, Lei L, Lv Q, Liu S, Zhan X, Jiang Z and Gu X: Palmitic acid induces human osteoblast-like Saos-2 cell apoptosis via ER stress and autophagy. Cell Stress Chaperones. 23:1283–1294. 2018. View Article : Google Scholar : PubMed/NCBI

36 

Yan J, Li S, Zhang Y, Deng Z, Wu J, Huang Z, Qin T, Xiao Y, Zhou J, Xu K and Ye W: Cholesterol induces pyroptosis and matrix degradation via mSREBP1-driven ER stress in intervertebral disc degeneration. Front Cell Dev Biol. 9:8031322021. View Article : Google Scholar : PubMed/NCBI

37 

Sun K, Luo J, Jing X, Xiang W, Guo J, Yao X, Liang S, Guo F and Xu T: Hyperoside ameliorates the progression of osteoarthritis: An in vitro and in vivo study. Phytomedicine. 80:1533872021. View Article : Google Scholar : PubMed/NCBI

38 

Li C, He Y, Yang Y, Gou Y, Li S, Wang R, Zeng S and Zhao X: Antioxidant and inflammatory effects of Nelumbo Nucifera Gaertn. Leaves. Oxid Med Cell Longev. 28:83759612021.PubMed/NCBI

39 

Piao MJ, Kang KA, Zhang R, Ko DO, Wang ZH, You HJ, Kim HS, Kim JS, Kang SS and Hyun JW: Hyperoside prevents oxidative damage induced by hydrogen peroxide in lung fibroblast cells via an antioxidant effect. Biochim Biophys Acta. 1780:1448–1457. 2008. View Article : Google Scholar : PubMed/NCBI

40 

Liu Z, Tao X, Zhang C, Lu Y and Wei D: Protective effects of hyperoside (quercetin-3-o-galactoside) to PC12 cells against cytotoxicity induced by hydrogen peroxide and tert-butyl hydroperoxide. Biomed Pharmacother. 59:481–490. 2005. View Article : Google Scholar : PubMed/NCBI

41 

Chiu MC and Hsieh MC: Latent human error analysis and efficient improvement strategies by fuzzy TOPSIS in aviation maintenance tasks. Appl Ergon. 54:136–147. 2016. View Article : Google Scholar : PubMed/NCBI

42 

Wan K, Lu C, Wang T, Qiao C, Lu L, Wu D, Lu M, Chen R, Fan L and Tang J: Hyperoside suppresses NLRP3 inflammasome in parkinson's disease via pituitary adenylate cyclase-activating polypeptide. Neurochem Int. 152:1052542022. View Article : Google Scholar : PubMed/NCBI

43 

Lou T, Huang Q, Su H, Zhao D and Li X: Targeting sirtuin 1 signaling pathway by ginsenosides. J Ethnopharmacol. 268:1136572021. View Article : Google Scholar : PubMed/NCBI

44 

Xu C, Song Y, Wang Z, Jiang J, Piao Y, Li L, Jin S, Li L, Zhu L and Yan G: Pterostilbene suppresses oxidative stress and allergic airway inflammation through AMPK/Sirt1 and Nrf2/HO-1 pathways. Immun Inflamm Dis. 9:1406–1417. 2021. View Article : Google Scholar : PubMed/NCBI

45 

Jiang Z, Wang J, Liu C, Wang X and Pan J: Hyperoside alleviated N-acetyl-para-amino-phenol-induced acute hepatic injury via Nrf2 activation. Int J Clin Exp Pathol. 12:64–76. 2019.PubMed/NCBI

46 

Shao Z, Wang B, Shi Y, Xie C, Huang C, Chen B, Zhang H, Zeng G, Liang H, Wu Y, et al: Senolytic agent quercetin ameliorates intervertebral disc degeneration via the Nrf2/NF-κB axis. Osteoarthritis Cartilage. 29:413–422. 2021. View Article : Google Scholar : PubMed/NCBI

47 

Song D, Ge J, Wang Y, Yan Q, Wu C, Yu H, Yang M, Yang H and Zou J: Tea polyphenol attenuates oxidative stress-induced degeneration of intervertebral discs by regulating the Keap1/Nrf2/ARE pathway. Oxid Med Cell Longev. 7:66841472021.PubMed/NCBI

48 

Chen D, Xia D, Pan Z, Xu D, Zhou Y, Wu Y, Cai N, Tang Q, Wang C, Yan M, et al: Metformin protects against apoptosis and senescence in nucleus pulposus cells and ameliorates disc degeneration in vivo. Cell Death Dis. 7:e24412016. View Article : Google Scholar : PubMed/NCBI

Related Articles

  • Abstract
  • View
  • Download
  • Twitter
Copy and paste a formatted citation
Spandidos Publications style
Xie T, Yuan J, Mei L, Li P and Pan R: Hyperoside ameliorates TNF‑α‑induced inflammation, ECM degradation and ER stress‑mediated apoptosis via the SIRT1/NF‑κB and Nrf2/ARE signaling pathways <em>in vitro</em>. Mol Med Rep 26: 260, 2022.
APA
Xie, T., Yuan, J., Mei, L., Li, P., & Pan, R. (2022). Hyperoside ameliorates TNF‑α‑induced inflammation, ECM degradation and ER stress‑mediated apoptosis via the SIRT1/NF‑κB and Nrf2/ARE signaling pathways <em>in vitro</em>. Molecular Medicine Reports, 26, 260. https://doi.org/10.3892/mmr.2022.12776
MLA
Xie, T., Yuan, J., Mei, L., Li, P., Pan, R."Hyperoside ameliorates TNF‑α‑induced inflammation, ECM degradation and ER stress‑mediated apoptosis via the SIRT1/NF‑κB and Nrf2/ARE signaling pathways <em>in vitro</em>". Molecular Medicine Reports 26.2 (2022): 260.
Chicago
Xie, T., Yuan, J., Mei, L., Li, P., Pan, R."Hyperoside ameliorates TNF‑α‑induced inflammation, ECM degradation and ER stress‑mediated apoptosis via the SIRT1/NF‑κB and Nrf2/ARE signaling pathways <em>in vitro</em>". Molecular Medicine Reports 26, no. 2 (2022): 260. https://doi.org/10.3892/mmr.2022.12776
Copy and paste a formatted citation
x
Spandidos Publications style
Xie T, Yuan J, Mei L, Li P and Pan R: Hyperoside ameliorates TNF‑α‑induced inflammation, ECM degradation and ER stress‑mediated apoptosis via the SIRT1/NF‑κB and Nrf2/ARE signaling pathways <em>in vitro</em>. Mol Med Rep 26: 260, 2022.
APA
Xie, T., Yuan, J., Mei, L., Li, P., & Pan, R. (2022). Hyperoside ameliorates TNF‑α‑induced inflammation, ECM degradation and ER stress‑mediated apoptosis via the SIRT1/NF‑κB and Nrf2/ARE signaling pathways <em>in vitro</em>. Molecular Medicine Reports, 26, 260. https://doi.org/10.3892/mmr.2022.12776
MLA
Xie, T., Yuan, J., Mei, L., Li, P., Pan, R."Hyperoside ameliorates TNF‑α‑induced inflammation, ECM degradation and ER stress‑mediated apoptosis via the SIRT1/NF‑κB and Nrf2/ARE signaling pathways <em>in vitro</em>". Molecular Medicine Reports 26.2 (2022): 260.
Chicago
Xie, T., Yuan, J., Mei, L., Li, P., Pan, R."Hyperoside ameliorates TNF‑α‑induced inflammation, ECM degradation and ER stress‑mediated apoptosis via the SIRT1/NF‑κB and Nrf2/ARE signaling pathways <em>in vitro</em>". Molecular Medicine Reports 26, no. 2 (2022): 260. https://doi.org/10.3892/mmr.2022.12776
Follow us
  • Twitter
  • LinkedIn
  • Facebook
About
  • Spandidos Publications
  • Careers
  • Cookie Policy
  • Privacy Policy
How can we help?
  • Help
  • Live Chat
  • Contact
  • Email to our Support Team