Spandidos Publications Logo
  • About
    • About Spandidos
    • Aims and Scopes
    • Abstracting and Indexing
    • Editorial Policies
    • Reprints and Permissions
    • Job Opportunities
    • Terms and Conditions
    • Contact
  • Journals
    • All Journals
    • Oncology Letters
      • Oncology Letters
      • Information for Authors
      • Editorial Policies
      • Editorial Board
      • Aims and Scope
      • Abstracting and Indexing
      • Bibliographic Information
      • Archive
    • International Journal of Oncology
      • International Journal of Oncology
      • Information for Authors
      • Editorial Policies
      • Editorial Board
      • Aims and Scope
      • Abstracting and Indexing
      • Bibliographic Information
      • Archive
    • Molecular and Clinical Oncology
      • Molecular and Clinical Oncology
      • Information for Authors
      • Editorial Policies
      • Editorial Board
      • Aims and Scope
      • Abstracting and Indexing
      • Bibliographic Information
      • Archive
    • Experimental and Therapeutic Medicine
      • Experimental and Therapeutic Medicine
      • Information for Authors
      • Editorial Policies
      • Editorial Board
      • Aims and Scope
      • Abstracting and Indexing
      • Bibliographic Information
      • Archive
    • International Journal of Molecular Medicine
      • International Journal of Molecular Medicine
      • Information for Authors
      • Editorial Policies
      • Editorial Board
      • Aims and Scope
      • Abstracting and Indexing
      • Bibliographic Information
      • Archive
    • Biomedical Reports
      • Biomedical Reports
      • Information for Authors
      • Editorial Policies
      • Editorial Board
      • Aims and Scope
      • Abstracting and Indexing
      • Bibliographic Information
      • Archive
    • Oncology Reports
      • Oncology Reports
      • Information for Authors
      • Editorial Policies
      • Editorial Board
      • Aims and Scope
      • Abstracting and Indexing
      • Bibliographic Information
      • Archive
    • Molecular Medicine Reports
      • Molecular Medicine Reports
      • Information for Authors
      • Editorial Policies
      • Editorial Board
      • Aims and Scope
      • Abstracting and Indexing
      • Bibliographic Information
      • Archive
    • World Academy of Sciences Journal
      • World Academy of Sciences Journal
      • Information for Authors
      • Editorial Policies
      • Editorial Board
      • Aims and Scope
      • Abstracting and Indexing
      • Bibliographic Information
      • Archive
    • International Journal of Functional Nutrition
      • International Journal of Functional Nutrition
      • Information for Authors
      • Editorial Policies
      • Editorial Board
      • Aims and Scope
      • Abstracting and Indexing
      • Bibliographic Information
      • Archive
    • International Journal of Epigenetics
      • International Journal of Epigenetics
      • Information for Authors
      • Editorial Policies
      • Editorial Board
      • Aims and Scope
      • Abstracting and Indexing
      • Bibliographic Information
      • Archive
    • Medicine International
      • Medicine International
      • Information for Authors
      • Editorial Policies
      • Editorial Board
      • Aims and Scope
      • Abstracting and Indexing
      • Bibliographic Information
      • Archive
  • Articles
  • Information
    • Information for Authors
    • Information for Reviewers
    • Information for Librarians
    • Information for Advertisers
    • Conferences
  • Language Editing
Spandidos Publications Logo
  • About
    • About Spandidos
    • Aims and Scopes
    • Abstracting and Indexing
    • Editorial Policies
    • Reprints and Permissions
    • Job Opportunities
    • Terms and Conditions
    • Contact
  • Journals
    • All Journals
    • Biomedical Reports
      • Information for Authors
      • Editorial Policies
      • Editorial Board
      • Aims and Scope
      • Abstracting and Indexing
      • Bibliographic Information
      • Archive
    • Experimental and Therapeutic Medicine
      • Information for Authors
      • Editorial Policies
      • Editorial Board
      • Aims and Scope
      • Abstracting and Indexing
      • Bibliographic Information
      • Archive
    • International Journal of Epigenetics
      • Information for Authors
      • Editorial Policies
      • Editorial Board
      • Aims and Scope
      • Abstracting and Indexing
      • Bibliographic Information
      • Archive
    • International Journal of Functional Nutrition
      • Information for Authors
      • Editorial Policies
      • Editorial Board
      • Aims and Scope
      • Abstracting and Indexing
      • Bibliographic Information
      • Archive
    • International Journal of Molecular Medicine
      • Information for Authors
      • Editorial Policies
      • Editorial Board
      • Aims and Scope
      • Abstracting and Indexing
      • Bibliographic Information
      • Archive
    • International Journal of Oncology
      • Information for Authors
      • Editorial Policies
      • Editorial Board
      • Aims and Scope
      • Abstracting and Indexing
      • Bibliographic Information
      • Archive
    • Medicine International
      • Information for Authors
      • Editorial Policies
      • Editorial Board
      • Aims and Scope
      • Abstracting and Indexing
      • Bibliographic Information
      • Archive
    • Molecular and Clinical Oncology
      • Information for Authors
      • Editorial Policies
      • Editorial Board
      • Aims and Scope
      • Abstracting and Indexing
      • Bibliographic Information
      • Archive
    • Molecular Medicine Reports
      • Information for Authors
      • Editorial Policies
      • Editorial Board
      • Aims and Scope
      • Abstracting and Indexing
      • Bibliographic Information
      • Archive
    • Oncology Letters
      • Information for Authors
      • Editorial Policies
      • Editorial Board
      • Aims and Scope
      • Abstracting and Indexing
      • Bibliographic Information
      • Archive
    • Oncology Reports
      • Information for Authors
      • Editorial Policies
      • Editorial Board
      • Aims and Scope
      • Abstracting and Indexing
      • Bibliographic Information
      • Archive
    • World Academy of Sciences Journal
      • Information for Authors
      • Editorial Policies
      • Editorial Board
      • Aims and Scope
      • Abstracting and Indexing
      • Bibliographic Information
      • Archive
  • Articles
  • Information
    • For Authors
    • For Reviewers
    • For Librarians
    • For Advertisers
    • Conferences
  • Language Editing
Login Register Submit
  • This site uses cookies
  • You can change your cookie settings at any time by following the instructions in our Cookie Policy. To find out more, you may read our Privacy Policy.

    I agree
Search articles by DOI, keyword, author or affiliation
Search
Advanced Search
presentation
Molecular Medicine Reports
Join Editorial Board Propose a Special Issue
Print ISSN: 1791-2997 Online ISSN: 1791-3004
Journal Cover
March-2023 Volume 27 Issue 3

Full Size Image

Sign up for eToc alerts
Recommend to Library

Journals

International Journal of Molecular Medicine

International Journal of Molecular Medicine

International Journal of Molecular Medicine is an international journal devoted to molecular mechanisms of human disease.

International Journal of Oncology

International Journal of Oncology

International Journal of Oncology is an international journal devoted to oncology research and cancer treatment.

Molecular Medicine Reports

Molecular Medicine Reports

Covers molecular medicine topics such as pharmacology, pathology, genetics, neuroscience, infectious diseases, molecular cardiology, and molecular surgery.

Oncology Reports

Oncology Reports

Oncology Reports is an international journal devoted to fundamental and applied research in Oncology.

Experimental and Therapeutic Medicine

Experimental and Therapeutic Medicine

Experimental and Therapeutic Medicine is an international journal devoted to laboratory and clinical medicine.

Oncology Letters

Oncology Letters

Oncology Letters is an international journal devoted to Experimental and Clinical Oncology.

Biomedical Reports

Biomedical Reports

Explores a wide range of biological and medical fields, including pharmacology, genetics, microbiology, neuroscience, and molecular cardiology.

Molecular and Clinical Oncology

Molecular and Clinical Oncology

International journal addressing all aspects of oncology research, from tumorigenesis and oncogenes to chemotherapy and metastasis.

World Academy of Sciences Journal

World Academy of Sciences Journal

Multidisciplinary open-access journal spanning biochemistry, genetics, neuroscience, environmental health, and synthetic biology.

International Journal of Functional Nutrition

International Journal of Functional Nutrition

Open-access journal combining biochemistry, pharmacology, immunology, and genetics to advance health through functional nutrition.

International Journal of Epigenetics

International Journal of Epigenetics

Publishes open-access research on using epigenetics to advance understanding and treatment of human disease.

Medicine International

Medicine International

An International Open Access Journal Devoted to General Medicine.

Journal Cover
March-2023 Volume 27 Issue 3

Full Size Image

Sign up for eToc alerts
Recommend to Library

  • Article
  • Citations
    • Cite This Article
    • Download Citation
    • Create Citation Alert
    • Remove Citation Alert
    • Cited By
  • Similar Articles
    • Related Articles (in Spandidos Publications)
    • Similar Articles (Google Scholar)
    • Similar Articles (PubMed)
  • Download PDF
  • Download XML
  • View XML

  • Supplementary Files
    • Supplementary_Data.pdf
Article Open Access

Genetic and phenotypic continuum of HOXA genes: A case with double HOXA9/HOXA13 mutations

  • Authors:
    • Hager Jaouadi
    • Alexis Theron
    • Giulia Norscini
    • Jean-François Avierinos
    • Stéphane Zaffran
  • View Affiliations / Copyright

    Affiliations: Marseille Medical Genetics, U1251, National Institute of Health and Medical Research (INSERM), School of Medicine, Aix Marseille University, 13005 Marseille, France, Department of Cardiology, Public Assistance‑Hospitals of Marseille, La Timone Hospital, 13005 Marseille, France
    Copyright: © Jaouadi et al. This is an open access article distributed under the terms of Creative Commons Attribution License.
  • Article Number: 59
    |
    Published online on: January 27, 2023
       https://doi.org/10.3892/mmr.2023.12946
  • Expand metrics +
Metrics: Total Views: 0 (Spandidos Publications: | PMC Statistics: )
Metrics: Total PDF Downloads: 0 (Spandidos Publications: | PMC Statistics: )
Cited By (CrossRef): 0 citations Loading Articles...

This article is mentioned in:



Abstract

The HOXA genes cluster plays a key role in embryologic development. Mutations in HOXA genes have been linked to different human phenotypes, including developmental delay, limb anomalies, and urogenital malformations. The present study reported a clinical and genetic investigation of a female patient with polymalformative syndrome including left arm agenesis, bicornuate uterus and bicuspid aortic valve. Using whole exome sequencing, two heterozygous missense variants were identified. Of these, one was a novel variant in the HOXA13 gene [p.(Tyr290Ser)] and the second a heterozygous variant in the HOXA9 gene [p.(Ala102Pro)]. To the best of our knowledge, this is the first association of HOXA9/HOXA13 point mutations linked to a syndromic case. In conclusion, the present study suggested that the phenotypic spectrum of vertebral anomalies, anal atresia, cardiac defects, tracheo‑esophageal fistula, renal anomalies and limb abnormalities/hand‑foot‑genital syndrome may be attributable to the combination of different HOXA variants, particularly in patients with a severe clinical presentation. The current report contributed as well to the molecular understanding of HOXA genes‑related phenotypes via the identification of novel variant and genes associations.

Introduction

The Hox genes are a set of transcriptional factor genes that play a crucial role in controlling the body plan along the craniocaudal axis and specifying the segment identity of tissues within the embryo. Hox genes are involved in early developmental morphogenetic processes and remain expressed into adulthood (1).

Hox genes are highly expressed within the developing mesonephric duct, specifically Hoxa9, Hoxd9, Hoxa10, Hoxd10, Hoxa11, Hoxa13, and Hoxd13 (1–3). The Hox proteins family is highly conserved among species. In vertebrates, there are 39 members organized into four tightly clustered gene arrays (HOXA-HOXB-HOXC and HOXD) (4).

In humans, the gene clusters are organized in a 3′ to 5′ orientation with paralog group 1 genes at the 3′ end of the cluster (e.g., HOXA1, HOXB1, HOXD1) and higher number groups located at the 5′ end. A cluster's temporal and spatial collinearity is represented as a pattern of expression along the anterior-posterior axis corresponding to the order of Hox gene in its cluster within the 3′ to 5′ direction. Thus, during the development, HOX genes located at the 3′ end, are firstly expressed in the anterior regions and later on the 5′ genes posteriorly (2–4). The role of mammalian HOX genes in regulating segmental patterns of the hindbrain, skeleton axis, and limb axis is extensively studied and well-known (5).

A total of 10 HOX genes have been linked to human conditions (HOXA1, HOXA2, HOXA11, HOXA13, HOXB1, HOXB13, HOXC13, HOXD4, HOXD10, and HOXD13) (4). Different patterns of inheritance and variable penetrance and expressivity have been reported.

The most reported syndrome associated with HOXA mutations is the Hand-foot-genital syndrome (HFGS; OMIM# 140000). HFGS is a rare autosomal dominant condition characterized by distal limb and genitourinary malformations and caused by HOXA13 mutations (6–9). Limb abnormalities include first-digit hypoplasia, comprising short, proximally placed thumbs with hypoplastic thenar eminences and short, medially deviated halluces and fusion or delayed ossification of the wrist bones. These deformities appear to be bilateral and symmetrical, with variable severity (10,11). HOXA13 mutations are fully penetrant for limb defects with variable expressivity and partially penetrant for genitourinary tract anomalies with different fertility implications. Of note, females with HFGS do not suffer systematically from infertility (8–10,12). Guttmacher (1993) reported a family with an HFG-like syndrome. The particularities noted in this family include uniphalangeal second toes with absent nails and postaxial polydactyly (13). Despite these distinct features, the genetic investigation of the family reported by Guttmacher revealed a missense mutation (p.Gln50Leu) in the HOXA13 gene, indicating the phenotypic variability of the mutations (14).

The features of HFGS are found in another clinical association with a broad spectrum of congenital malformations: the VACTERL association (OMIM #192350). VACTERL is an acronym for vertebral anomalies, anal atresia, cardiac defects, tracheo-esophageal fistula, renal anomalies, and limb abnormalities (15).

Thus, VACTERL association is typically defined by the presence of at least three of its features (15). Although HFGS was associated only with HOXA13 genetic variations, many non-Hox genes have been linked to VACTERL association and other overlapping conditions (15–17). Solomon et al have listed more than 30 conditions with features in common with VACTERL and their genetic etiology. From the HOX genes family, only HOXA13 and HOXD13 genes are implicated in these disorders (15). As an example, clinical entities comprising cardiac defects such as Holt-Oram syndrome, CHARGE syndrome, Andersen syndrome, and Alagille syndrome are linked to TBX5, CHD7, KCNJ2, JAG2, and NOTCH2 genes respectively (15).

The molecular basis of VACTERL is poorly known. Nevertheless, HOXD13 mutation has been associated with this condition (18). The co-occurrence of the VACTERL association and Mϋllerian duct defects has been reported (19–22).

It should be noted that many of the overlapping syndromes include specific features that tend to help a clinical diagnosis of exclusion. Thus, a good clinical investigation is crucial to rule out overlapping diagnoses.

Here, we report a female patient with a syndromic clinical presentation including mainly arm agenesis, bicornuate uterus, and bicuspid aortic valve (BAV).

Materials and methods

A peripheral blood sample was collected after obtaining the written informed consent. Genomic DNA was extracted by standard techniques.

Subsequently, whole-exome sequencing (WES) was carried out using the Agilent Sure Select All Exon v4 kit (Agilent, Santa Clara, CA, USA), and the sequencing was performed on an Illumina HiSeq2000 sequencing apparatus (Illumina, SanDiego, CA, USA). Raw fastQ files were aligned to the hg19 reference human genome (University of California Santa Cruz, UCSC) using BWA software. Variant calling workflow was performed according to the GATK best practices. The output files were annotated using ANNOVAR software. Variant annotation and prioritization process were performed with the Variant Annotation and Filtering Tool (VarAFT), version 2.17-2 (http://varaft.eu/).

To pinpoint putatively pathogenic and causal variants we adopted the following filtering strategy: we first excluded variants with a minor allele frequency (MAF) >1% in the gnomAD database (http://gnomad.broadinstitute.org/). Then, we removed non-coding and synonymous variants. Subsequently, the remaining variants were filtered based on their in silico pathogenicity prediction and clinical relevance.

Amino acids conservation was assessed by sequence alignments using ClustalW (https://www.genome.jp/tools-bin/clustalw).

Results

Clinical and genetic findings

The patient is a female born to non-consanguineous parents. Her clinical presentation comprises features of VACTERL/HFGS syndrome including bicornuate uterus (double uterine cavities, double cervix), left arm agenesis, scoliosis, and BAV (Figs. 1 and 2). The patient was delivered at term with an upper left arm agenesis. Any imperforate anus nor anal atresia or tracheoesophageal fistula were noted in the patient's birth.

Figure 1.

Pelvic magnetic resonance imaging of the patient at 40 years old: Axial T1 weighted sequences showing double uterine cavities (red arrows) with double cervix (green arrows).

Figure 2.

Computerized tomography scan of the patient at 50 years old showing scoliosis associated with agenesis of the left arm.

The patient had a history of normal intellectual developmental milestones without over-susceptibility to childhood diseases.

Pelvic MRI showed two uterine cavities and a double cervix. On the T1-weighted sequence, there is no hematic retention in the right or left side of the uterine horns. No anomalies in the junction zones or the myometrium. Both appendages are of normal size and regular outline (Fig. 1). Of note, the patient did not have frequent pelvic pain or miscarriage history due to her bicornuate uterus.

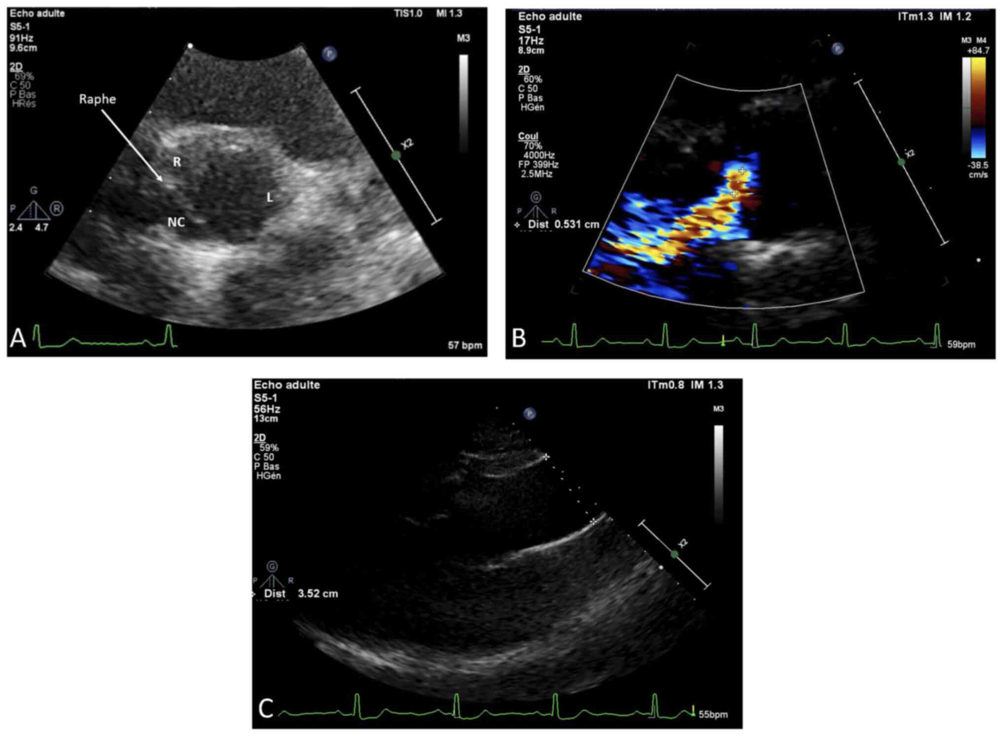
Her cardiac evaluation revealed a type 1 non-calcified BAV. Transthoracic echocardiography showed a normal left ventricular ejection fraction (LVEF=70%) with a slight diastolic LV dilation (Indexed end-diastole volume=108 ml/m2) and a raphe between the non-coronary and the right coronary cusps corresponding to a type I, N-L, according to the Sievers classification (Fig. 3A). A moderate aortic regurgitation was noted (ERO=20 mm2) due to a prolapse of the fused leaflet and a restriction of the left coronary cusp (Fig. 3B). The aortic valve leaflets were thin and un-calcified. There was neither BAV-related aortopathy nor mitral regurgitation (Fig. 3C). Systolic pulmonary arterial pressure was normal (25 mmHg).

Figure 3.

2D-TTE of the patient. (A) 2D TTE parasternal short axis view showing a type 1 BAV with a raphe between the non-coronary and the right coronary cusps corresponding to a type I, NC-L, of the Sievers classification. (R=right cusp; NC=non-coronary cups; L=left cusp). (B) 2D TTE parasternal long axis view showing a moderate aortic regurgitation due to a prolapse of the fused leaflets. (C) 2D TTE parasternal long axis view ruling out any BAV-related aortopathy. TTE, transthoracic echocardiogram; BAV, bicuspid aortic valve.

The patient's parents were not examined but were reportedly unaffected. The patient's mother did not accept to participate in the genetic study by reason of iatrophobia.

Whole exome sequencing data analysis allowed us to identify two missense variants in HOXA9 and HOXA13 genes.

The HOXA13: c.869 A>C: p.(Tyr290Ser) variant is novel, located upstream of the homeodomain, and predicted deleterious by SIFT, probably damaging by PolyPhen, pathogenic by UMD-predictor and has a CADD_phred score=31.

The HOXA9: c.304 G>C: p.(Ala102Pro) variant is located in the HOX9 activation region and predicted tolerated by SIFT, benign by PolyPhen, probably pathogenic by UMD-predictor, and has a CADD_Phred score=22.8.

Both amino acids are conserved among species (Fig. S1). Furthermore, the variants were absent from our in-house database gathering 300 exomes.

In order to assess the impact of the variants on the protein level, we used VarMap to retrieve protein structural annotations (23). VarMap output includes the predicted consequence of the variant and a mapping to the residue in the closest 3D protein structure in the Protein Data Bank. Both variants in HOXA9 and HOXA13 genes have a high disease propensity value, 1.58 and 1.67 respectively (Fig. 4). The propensities quantify how much more often a variant is observed in diseases than in the natural variant data obtained from gnomAD. Values range from the lowest (Ile->Val, propensity=0.25) to the highest (Cys->Arg, propensity=3.27).

Figure 4.

Histogram showing the distribution of disease propensities for different amino acid variants. Green bars correspond to variants that are less often associated with disease, while pink ones correspond to variants more often associated with diseases. Variants of interest are marked on the histogram with a boxed label. Differences in hydrophobicity are indicated in the hydrophobicity plot. Amino acids are marked by a one-letter code.

Sanger sequencing of the father's patient showed the absence of both variants (Fig. 5).

Figure 5.

Sanger electropherograms and genotypes are shown below symbols: (+) indicates the wild-type allele and the arrow indicates the position of the mutation.

As no familial history of limb or genitourinary abnormalities was reported by the patient and the absence of the variants in the father, the variants may have occurred de novo.

Furthermore, no variants were found in genes related to VACTERL and HFG syndromes with features in common with the clinical presentation of our patient. The list of genes checked includes JAG1, NOTCH1, NOTCH2, WNT7A, FBN2, LRP4, FOXF1, TBX3, TBX5, HOXD13, MID1, RBM8A, SALL1 and ZIC3 genes.

Discussion

Here, we report a female patient with two missense variants in HOXA9 and HOXA13 genes, which may explain her clinical condition characterized by a complete arm agenesis, bicornuate uterus, and BAV. According to the in silico prediction, the novel HOXA13: p.(Tyr290Ser) is highly pathogenic with a CADD score=31. The HOXA9: p.(Ala102Pro) is predicted probably pathogenic by UMD-predictor with a high CADD score as well (22.8). Moreover, HOXA9: p.(Ala102Pro) is located in the activation domain of HOX9 protein (Fig. 6).

Figure 6.

Schematic representation of HoxA13 and Hoxa9 proteins. (A) HoxA13 protein; (B) Hoxa9 protein. The identified variants are indicated by the red arrow.

HOX genes are essential for reproductive tract development and for adult function. During embryonic development, HOXA genes play a key role in determining the segmental identity of the female genital tract (5). HOXA9 and HOXA13 genes are part of the A cluster on chromosome 7 and encode a DNA-binding transcription factor that may regulate gene expression, morphogenesis, and differentiation (5,24).

In adults, HOXA genes contribute to maintain the developmental plasticity of reproductive tissues (5,25,26). HOXA9 is highly expressed in areas destined to give rise to the oviduct. HOXA10, HOXA11, and HOXA13 are expressed in the developing uterus, the lower uterine segment and cervix, and in the upper vagina, respectively (https://gtexportal.org/) (25).

Interestingly, HOXA genes expression persist in the adult tissues which continue to undergo developmental processes, such as hematopoiesis (bone marrow), menstrual cycle, and pregnancy (reproductive tract) (5,25). In this line, HOXA9 and HOXA13 genes have been associated, respectively, with human myeloid leukemia and Mϋllerian defects (8,27,28). Indeed, the HOXA13 gene plays a crucial role in Mullerian ducts fusion and ureter remodeling by the elimination of the common caudal nephric duct. Hoxa13 mutant mice develop megaureters, hydronephrosis, and malformations of the uterus (8).

Patients with HOXA13 mutations present several digit anomalies including short thumbs, short middle phalanges of the fingers, clinodactyly of the fifth fingers, and the fusion of distal and middle phalanges of the toes (6,7,11,29). The first HOXA13 mutation was identified in a large family with HFGS reported originally by Stern et al 1970 (9,30). The nonsense mutation identified in this family is located in the HOXA13 homeodomain and leads to the truncation of 20 amino acids which likely abolishes or reduces the protein's ability to bind to DNA (9).

Thereafter, different mutations have been reported in patients with HFGS including protein truncating variants and missense variants (6,7,31,32). Interestingly, missense mutations in HOXA13 have been correlated to a severe limb phenotype (10,14). The clinical presentation of the patient harboring the first missense mutation in the human HOX protein, HOXA13: p.(Asn51His), has been described as very severe. He had extremely short thumbs, absent halluces, marked hypoplasia of all middle phalanges, and granular hypospadias (10).

Both gain of function and dominant negative mechanisms have been reported as the genetic basis of HOXA13-related phenotypes. Indeed, missense mutations are likely to perturb the DNA-binding properties of HOXA13, leading to both loss and specific gain of function (11,14).

The association HOXA13/HOXD13 and HOXA11 has been reported in patients with amegakaryocytic thrombocytopenia and radio-ulnar synostosis. Furthermore, the association HOXD13/HOXA13 has been as well reported as linked to triphalangeal thumb brachyectrodactyly syndrome (29,33). Moreover, patients double mutated in HOXD13 and HOXA13 showed more severe digital abnormalities than patients harboring monogenic mutations (29).

To our knowledge, congenital heart defects have not been reported in syndromes linked to HOXA13 mutations. However, a de novo 7 alanine deletion (Ala55-Ala61 del) in the polyalanine tract of the HOXD13 gene has been identified in a patient with VACTERL association (18). Her clinical presentation included: anal atresia, tetralogy of Fallot, bilateral vesicoureteral reflux, and fusion of the distal interphalangeal joints of 4th and 5th toes (18). Of note, missense mutations in the HOXA13 gene have been described as more pathogenic than protein-truncating mutations or polyalanine expansion leading to a more severe phenotype (11).

Overall, compared to the cases published previously, our patient distinctively has a complete arm agenesis and BAV making the association HOXA9/HOXA13 clinically interesting.

According to the in silico prediction, the literature, and ACMG classification, HOXA13: p.(Tyr290Ser) is the most relevant variant that may explain the patient's phenotype. Indeed, the HOXA13 variant meets the ACMG pathogenic criteria: PS3 (Well-established in vitro or in vivo functional studies supportive of a damaging effect on the gene or gene product), PM6 (Assumed de novo but without confirmation of paternity and maternity), PP2 (Missense variant in a gene that has a low rate of benign missense variation and in which missense variants are a common mechanism of disease) and PP4 (Patient's phenotype or family history is highly specific for a disease with a single genetic etiology).

Although the novel HOXA13 variant is more clinically relevant in the present case, the contribution of the HOXA9/HOXA13 genes in BAV needs to be investigated.

Our case study provides new insights into the likely implication of the HOXA genes not only in limb and genitourinary anomalies but also in cardiac defects found in patients with HOXA morphopathies.

Supplementary Material

Supporting Data

Acknowledgements

Not applicable.

Funding

This research received a grant from the French Association against Myopathies-AFM Telethon. This work was also supported by the INSERM.

Availability of data and materials

The datasets used and/or analyzed during the current study are available from the corresponding author on reasonable request.

Authors' contributions

JFA and SZ conceived and designed the study. AT, GN, JFA performed the clinical investigation of the patients and family members. SZ and JFA confirm the authenticity of all the raw data. HJ analyzed and interpreted the data, performed the molecular investigation and wrote the original draft preparation. AT, JFA and SZ critically reviewed and edited the manuscript. SZ supervised and validated the study. All authors read and approved the final manuscript.

Ethics approval and consent to participate

All procedures performed in studies involving human participants were in accordance with the ethical standards of the institutional and/or national research committee and with the 1964 Helsinki declaration and its later amendments or comparable ethical standards. Written informed consent was obtained from the patient and family members included in this study.

Patient consent for publication

Not applicable.

Competing interests

The authors declare that they have no competing interests.

References

1 

Krumlauf R: Hox genes, clusters and collinearity. Int J Dev Biol. 62:659–663. 2018. View Article : Google Scholar : PubMed/NCBI

2 

Mallo M and Alonso CR: The regulation of Hox gene expression during animal development. Development. 140:3951–3963. 2013. View Article : Google Scholar : PubMed/NCBI

3 

Favier B and Dollé P: Developmental functions of mammalian Hox genes. Mol Hum Reprod. 3:115–131. 1997. View Article : Google Scholar : PubMed/NCBI

4 

Quinonez SC and Innis JW: Human HOX gene disorders. Mol Genet Metab. 111:4–15. 2014. View Article : Google Scholar : PubMed/NCBI

5 

Du H and Taylor HS: The role of Hox genes in female reproductive tract development, adult function, and fertility. Cold Spring Harb Perspect Med. 6:a0230022015. View Article : Google Scholar : PubMed/NCBI

6 

Cao L, Chen C, Leng Y, Yan L, Wang S, Zhang X and Luo Y: A missense mutation of HOXA13 underlies hand-foot-genital syndrome in a Chinese family. J Genet. 96:647–652. 2017. View Article : Google Scholar : PubMed/NCBI

7 

Jorgensen EM, Ruman JI, Doherty L and Taylor HS: A novel mutation of HOXA13 in a family with hand-foot-genital syndrome and the role of polyalanine expansions in the spectrum of Müllerian fusion anomalies. Fertil Steril. 94:1235–1238. 2010. View Article : Google Scholar : PubMed/NCBI

8 

Roux M, Bouchard M and Kmita M: Multifaceted Hoxa13 function in urogenital development underlies the hand-foot-genital syndrome. Hum Mol Genet. 28:1671–1681. 2019. View Article : Google Scholar : PubMed/NCBI

9 

Mortlock DP and Innis JW: Mutation of HOXA13 in hand-foot-genital syndrome. Nat Genet. 15:179–180. 1997. View Article : Google Scholar : PubMed/NCBI

10 

Goodman FR, Bacchelli C, Brady AF, Brueton LA, Fryns JP, Mortlock DP, Innis JW, Holmes LB, Donnenfeld AE, Feingold M, et al: Novel HOXA13 mutations and the phenotypic spectrum of hand-foot-genital syndrome. Am J Hum Genet. 67:197–202. 2000. View Article : Google Scholar : PubMed/NCBI

11 

Imagawa E, Kayserili H, Nishimura G, Nakashima M, Tsurusaki Y, Saitsu H, Ikegawa S, Matsumoto N and Miyake N: Severe manifestations of hand-foot-genital syndrome associated with a novel HOXA13 mutation. Am J Med Genet A. 164A:2398–2402. 2014. View Article : Google Scholar : PubMed/NCBI

12 

Wallis M, Tsurusaki Y, Burgess T, Borzi P, Matsumoto N, Miyake N, True D and Patel C: Dual genetic diagnoses: Atypical hand-foot-genital syndrome and developmental delay due to de novo mutations in HOXA13 and NRXN1. Am J Med Genet A. 170:717–724. 2016. View Article : Google Scholar : PubMed/NCBI

13 

Guttmacher AE: Autosomal dominant preaxial deficiency, postaxial polydactyly, and hypospadias. Am J Med Genet. 46:219–222. 1993. View Article : Google Scholar : PubMed/NCBI

14 

Innis JW, Goodman FR, Bacchelli C, Williams TM, Mortlock DP, Sateesh P, Scambler PJ, McKinnon W and Guttmacher AE: A HOXA13 allele with a missense mutation in the homeobox and a dinucleotide deletion in the promoter underlies Guttmacher syndrome. Hum Mutat. 19:573–574. 2002. View Article : Google Scholar : PubMed/NCBI

15 

Solomon BD, Bear KA, Kimonis V, de Klein A, Scott DA, Shaw-Smith C, Tibboel D, Reutter H and Giampietro PF: Clinical geneticists' views of VACTERL/VATER association. Am J Med Genet A. 158A:3087–3100. 2012. View Article : Google Scholar : PubMed/NCBI

16 

van de Putte R, Dworschak GC, Brosens E, Reutter HM, Marcelis CLM, Acuna-Hidalgo R, Kurtas NE, Steehouwer M, Dunwoodie SL, Schmiedeke E, et al: A genetics-first approach revealed monogenic disorders in patients with ARM and VACTERL anomalies. Front Pediatr. 8:3102020. View Article : Google Scholar : PubMed/NCBI

17 

Solomon BD, Baker LA, Bear KA, Cunningham BK, Giampietro PF, Hadigan C, Hadley DW, Harrison S, Levitt MA, Niforatos N, et al: An approach to the identification of anomalies and etiologies in neonates with identified or suspected VACTERL (vertebral defects, anal atresia, tracheo-esophageal fistula with esophageal atresia, cardiac defects, renal and limb anomalies) association. J Pediatr. 164:451–457.e1. 2014. View Article : Google Scholar : PubMed/NCBI

18 

Garcia-Barceló MM, Wong KK, Lui VC, Yuan ZW, So MT, Ngan ES, Miao XP, Chung PH, Khong PL and Tam PK: Identification of a HOXD13 mutation in a VACTERL patient. Am J Med Genet A. 146A:3181–3185. 2008. View Article : Google Scholar : PubMed/NCBI

19 

Kang J, Mao M, Zhang Y, Ai FF and Zhu L: Congenital anal atresia with rectovestibular fistula, scoliosis, unilateral renal agenesis, and finger defect (VACTERL association) in a patient with partial bicornuate uterus and distal vaginal atresia: A case report. Medicine (Baltimore). 97:e128222018. View Article : Google Scholar : PubMed/NCBI

20 

Komura M, Kanamori Y, Sugiyama M, Tomonaga T, Suzuki K, Hashizume K and Goishi K: A female infant who had both complete VACTERL association and MURCS association: Report of a case. Surg Today. 37:878–880. 2007. View Article : Google Scholar : PubMed/NCBI

21 

Obeidat RA, Aleshawi AJ, Tashtush NA and Alsarawi H: Unicornuate uterus with a rudimentary non-communicating cavitary horn in association with VACTERL association: Case report. BMC Womens Health. 19:712019. View Article : Google Scholar : PubMed/NCBI

22 

Balusamy SL, Kumar D and Subrahmanian SR: MURCS and VACTERL association in a 27 year old female. J Obstet Gynaecol. 29:762–763. 2009. View Article : Google Scholar : PubMed/NCBI

23 

Stephenson JD, Laskowski RA, Nightingale A, Hurles ME and Thornton JM: VarMap: A web tool for mapping genomic coordinates to protein sequence and structure and retrieving protein structural annotations. Bioinformatics. 35:4854–4856. 2019.Available from:. https://academic.oup.com/bioinformatics/article/35/22/4854/5514476 View Article : Google Scholar : PubMed/NCBI

24 

Goodman FR and Scambler PJ: Human HOX gene mutations. Clin Genet. 59:1–11. 2001. View Article : Google Scholar : PubMed/NCBI

25 

Taylor HS: The role of HOX genes in the development and function of the female reproductive tract. Semin Reprod Med. 18:81–89. 2000. View Article : Google Scholar : PubMed/NCBI

26 

He B, Ni ZL, Kong SB, Lu JH and Wang HB: Homeobox genes for embryo implantation: From mouse to human. Animal Model Exp Med. 1:14–22. 2018. View Article : Google Scholar : PubMed/NCBI

27 

Sitwala KV, Dandekar MN and Hess JL: HOX proteins and leukemia. Int J Clin Exp Pathol. 1:461–474. 2008.PubMed/NCBI

28 

Aryal S, Zhang Y, Wren S, Li C and Lu R: Molecular regulators of HOXA9 in acute myeloid leukemia. FEBS J. Nov 7–2021.(Epub ahead of print). PubMed/NCBI

29 

Pérez-Cabrera A, Kofman-Alfaro S and Zenteno JC: Mutational analysis of HOXD13 and HOXA13 genes in the triphalangeal thumb-brachyectrodactyly syndrome. J Orthop Res. 20:899–901. 2002. View Article : Google Scholar : PubMed/NCBI

30 

Stern AM, Gall JC Jr, Perry BL, Stimson CW, Weitkamp LR and Poznanski AK: The hand-food-uterus syndrome: A new hereditary disorder characterized by hand and foot dysplasia, dermatoglyphic abnormalities, and partial duplication of the female genital tract. J Pediatr. 77:109–116. 1970. View Article : Google Scholar : PubMed/NCBI

31 

Frisén L, Lagerstedt K, Tapper-Persson M, Kockum I and Nordenskjöld A: A novel duplication in the HOXA13 gene in a family with atypical hand-foot-genital syndrome. J Med Genet. 40:e492003. View Article : Google Scholar : PubMed/NCBI

32 

Innis JW, Mortlock D, Chen Z, Ludwig M, Williams ME, Williams TM, Doyle CD, Shao Z, Glynn M, Mikulic D, et al: Polyalanine expansion in HOXA13: Three new affected families and the molecular consequences in a mouse model. Hum Mol Genet. 13:2841–2851. 2004. View Article : Google Scholar : PubMed/NCBI

33 

Thompson AA and Nguyen LT: Amegakaryocytic thrombocytopenia and radio-ulnar synostosis are associated with HOXA11 mutation. Nat Genet. 26:397–398. 2000. View Article : Google Scholar : PubMed/NCBI

Related Articles

  • Abstract
  • View
  • Download
  • Twitter
Copy and paste a formatted citation
Spandidos Publications style
Jaouadi H, Theron A, Norscini G, Avierinos J and Zaffran S: Genetic and phenotypic continuum of HOXA genes: A case with double HOXA9/HOXA13 mutations. Mol Med Rep 27: 59, 2023.
APA
Jaouadi, H., Theron, A., Norscini, G., Avierinos, J., & Zaffran, S. (2023). Genetic and phenotypic continuum of HOXA genes: A case with double HOXA9/HOXA13 mutations. Molecular Medicine Reports, 27, 59. https://doi.org/10.3892/mmr.2023.12946
MLA
Jaouadi, H., Theron, A., Norscini, G., Avierinos, J., Zaffran, S."Genetic and phenotypic continuum of HOXA genes: A case with double HOXA9/HOXA13 mutations". Molecular Medicine Reports 27.3 (2023): 59.
Chicago
Jaouadi, H., Theron, A., Norscini, G., Avierinos, J., Zaffran, S."Genetic and phenotypic continuum of HOXA genes: A case with double HOXA9/HOXA13 mutations". Molecular Medicine Reports 27, no. 3 (2023): 59. https://doi.org/10.3892/mmr.2023.12946
Copy and paste a formatted citation
x
Spandidos Publications style
Jaouadi H, Theron A, Norscini G, Avierinos J and Zaffran S: Genetic and phenotypic continuum of HOXA genes: A case with double HOXA9/HOXA13 mutations. Mol Med Rep 27: 59, 2023.
APA
Jaouadi, H., Theron, A., Norscini, G., Avierinos, J., & Zaffran, S. (2023). Genetic and phenotypic continuum of HOXA genes: A case with double HOXA9/HOXA13 mutations. Molecular Medicine Reports, 27, 59. https://doi.org/10.3892/mmr.2023.12946
MLA
Jaouadi, H., Theron, A., Norscini, G., Avierinos, J., Zaffran, S."Genetic and phenotypic continuum of HOXA genes: A case with double HOXA9/HOXA13 mutations". Molecular Medicine Reports 27.3 (2023): 59.
Chicago
Jaouadi, H., Theron, A., Norscini, G., Avierinos, J., Zaffran, S."Genetic and phenotypic continuum of HOXA genes: A case with double HOXA9/HOXA13 mutations". Molecular Medicine Reports 27, no. 3 (2023): 59. https://doi.org/10.3892/mmr.2023.12946
Follow us
  • Twitter
  • LinkedIn
  • Facebook
About
  • Spandidos Publications
  • Careers
  • Cookie Policy
  • Privacy Policy
How can we help?
  • Help
  • Live Chat
  • Contact
  • Email to our Support Team