Spandidos Publications Logo
  • About
    • About Spandidos
    • Aims and Scopes
    • Abstracting and Indexing
    • Editorial Policies
    • Reprints and Permissions
    • Job Opportunities
    • Terms and Conditions
    • Contact
  • Journals
    • All Journals
    • Oncology Letters
      • Oncology Letters
      • Information for Authors
      • Editorial Policies
      • Editorial Board
      • Aims and Scope
      • Abstracting and Indexing
      • Bibliographic Information
      • Archive
    • International Journal of Oncology
      • International Journal of Oncology
      • Information for Authors
      • Editorial Policies
      • Editorial Board
      • Aims and Scope
      • Abstracting and Indexing
      • Bibliographic Information
      • Archive
    • Molecular and Clinical Oncology
      • Molecular and Clinical Oncology
      • Information for Authors
      • Editorial Policies
      • Editorial Board
      • Aims and Scope
      • Abstracting and Indexing
      • Bibliographic Information
      • Archive
    • Experimental and Therapeutic Medicine
      • Experimental and Therapeutic Medicine
      • Information for Authors
      • Editorial Policies
      • Editorial Board
      • Aims and Scope
      • Abstracting and Indexing
      • Bibliographic Information
      • Archive
    • International Journal of Molecular Medicine
      • International Journal of Molecular Medicine
      • Information for Authors
      • Editorial Policies
      • Editorial Board
      • Aims and Scope
      • Abstracting and Indexing
      • Bibliographic Information
      • Archive
    • Biomedical Reports
      • Biomedical Reports
      • Information for Authors
      • Editorial Policies
      • Editorial Board
      • Aims and Scope
      • Abstracting and Indexing
      • Bibliographic Information
      • Archive
    • Oncology Reports
      • Oncology Reports
      • Information for Authors
      • Editorial Policies
      • Editorial Board
      • Aims and Scope
      • Abstracting and Indexing
      • Bibliographic Information
      • Archive
    • Molecular Medicine Reports
      • Molecular Medicine Reports
      • Information for Authors
      • Editorial Policies
      • Editorial Board
      • Aims and Scope
      • Abstracting and Indexing
      • Bibliographic Information
      • Archive
    • World Academy of Sciences Journal
      • World Academy of Sciences Journal
      • Information for Authors
      • Editorial Policies
      • Editorial Board
      • Aims and Scope
      • Abstracting and Indexing
      • Bibliographic Information
      • Archive
    • International Journal of Functional Nutrition
      • International Journal of Functional Nutrition
      • Information for Authors
      • Editorial Policies
      • Editorial Board
      • Aims and Scope
      • Abstracting and Indexing
      • Bibliographic Information
      • Archive
    • International Journal of Epigenetics
      • International Journal of Epigenetics
      • Information for Authors
      • Editorial Policies
      • Editorial Board
      • Aims and Scope
      • Abstracting and Indexing
      • Bibliographic Information
      • Archive
    • Medicine International
      • Medicine International
      • Information for Authors
      • Editorial Policies
      • Editorial Board
      • Aims and Scope
      • Abstracting and Indexing
      • Bibliographic Information
      • Archive
  • Articles
  • Information
    • Information for Authors
    • Information for Reviewers
    • Information for Librarians
    • Information for Advertisers
    • Conferences
  • Language Editing
Spandidos Publications Logo
  • About
    • About Spandidos
    • Aims and Scopes
    • Abstracting and Indexing
    • Editorial Policies
    • Reprints and Permissions
    • Job Opportunities
    • Terms and Conditions
    • Contact
  • Journals
    • All Journals
    • Biomedical Reports
      • Information for Authors
      • Editorial Policies
      • Editorial Board
      • Aims and Scope
      • Abstracting and Indexing
      • Bibliographic Information
      • Archive
    • Experimental and Therapeutic Medicine
      • Information for Authors
      • Editorial Policies
      • Editorial Board
      • Aims and Scope
      • Abstracting and Indexing
      • Bibliographic Information
      • Archive
    • International Journal of Epigenetics
      • Information for Authors
      • Editorial Policies
      • Editorial Board
      • Aims and Scope
      • Abstracting and Indexing
      • Bibliographic Information
      • Archive
    • International Journal of Functional Nutrition
      • Information for Authors
      • Editorial Policies
      • Editorial Board
      • Aims and Scope
      • Abstracting and Indexing
      • Bibliographic Information
      • Archive
    • International Journal of Molecular Medicine
      • Information for Authors
      • Editorial Policies
      • Editorial Board
      • Aims and Scope
      • Abstracting and Indexing
      • Bibliographic Information
      • Archive
    • International Journal of Oncology
      • Information for Authors
      • Editorial Policies
      • Editorial Board
      • Aims and Scope
      • Abstracting and Indexing
      • Bibliographic Information
      • Archive
    • Medicine International
      • Information for Authors
      • Editorial Policies
      • Editorial Board
      • Aims and Scope
      • Abstracting and Indexing
      • Bibliographic Information
      • Archive
    • Molecular and Clinical Oncology
      • Information for Authors
      • Editorial Policies
      • Editorial Board
      • Aims and Scope
      • Abstracting and Indexing
      • Bibliographic Information
      • Archive
    • Molecular Medicine Reports
      • Information for Authors
      • Editorial Policies
      • Editorial Board
      • Aims and Scope
      • Abstracting and Indexing
      • Bibliographic Information
      • Archive
    • Oncology Letters
      • Information for Authors
      • Editorial Policies
      • Editorial Board
      • Aims and Scope
      • Abstracting and Indexing
      • Bibliographic Information
      • Archive
    • Oncology Reports
      • Information for Authors
      • Editorial Policies
      • Editorial Board
      • Aims and Scope
      • Abstracting and Indexing
      • Bibliographic Information
      • Archive
    • World Academy of Sciences Journal
      • Information for Authors
      • Editorial Policies
      • Editorial Board
      • Aims and Scope
      • Abstracting and Indexing
      • Bibliographic Information
      • Archive
  • Articles
  • Information
    • For Authors
    • For Reviewers
    • For Librarians
    • For Advertisers
    • Conferences
  • Language Editing
Login Register Submit
  • This site uses cookies
  • You can change your cookie settings at any time by following the instructions in our Cookie Policy. To find out more, you may read our Privacy Policy.

    I agree
Search articles by DOI, keyword, author or affiliation
Search
Advanced Search
presentation
Molecular Medicine Reports
Join Editorial Board Propose a Special Issue
Print ISSN: 1791-2997 Online ISSN: 1791-3004
Journal Cover
June-2023 Volume 27 Issue 6

Full Size Image

Sign up for eToc alerts
Recommend to Library

Journals

International Journal of Molecular Medicine

International Journal of Molecular Medicine

International Journal of Molecular Medicine is an international journal devoted to molecular mechanisms of human disease.

International Journal of Oncology

International Journal of Oncology

International Journal of Oncology is an international journal devoted to oncology research and cancer treatment.

Molecular Medicine Reports

Molecular Medicine Reports

Covers molecular medicine topics such as pharmacology, pathology, genetics, neuroscience, infectious diseases, molecular cardiology, and molecular surgery.

Oncology Reports

Oncology Reports

Oncology Reports is an international journal devoted to fundamental and applied research in Oncology.

Experimental and Therapeutic Medicine

Experimental and Therapeutic Medicine

Experimental and Therapeutic Medicine is an international journal devoted to laboratory and clinical medicine.

Oncology Letters

Oncology Letters

Oncology Letters is an international journal devoted to Experimental and Clinical Oncology.

Biomedical Reports

Biomedical Reports

Explores a wide range of biological and medical fields, including pharmacology, genetics, microbiology, neuroscience, and molecular cardiology.

Molecular and Clinical Oncology

Molecular and Clinical Oncology

International journal addressing all aspects of oncology research, from tumorigenesis and oncogenes to chemotherapy and metastasis.

World Academy of Sciences Journal

World Academy of Sciences Journal

Multidisciplinary open-access journal spanning biochemistry, genetics, neuroscience, environmental health, and synthetic biology.

International Journal of Functional Nutrition

International Journal of Functional Nutrition

Open-access journal combining biochemistry, pharmacology, immunology, and genetics to advance health through functional nutrition.

International Journal of Epigenetics

International Journal of Epigenetics

Publishes open-access research on using epigenetics to advance understanding and treatment of human disease.

Medicine International

Medicine International

An International Open Access Journal Devoted to General Medicine.

Journal Cover
June-2023 Volume 27 Issue 6

Full Size Image

Sign up for eToc alerts
Recommend to Library

  • Article
  • Citations
    • Cite This Article
    • Download Citation
    • Create Citation Alert
    • Remove Citation Alert
    • Cited By
  • Similar Articles
    • Related Articles (in Spandidos Publications)
    • Similar Articles (Google Scholar)
    • Similar Articles (PubMed)
  • Download PDF
  • Download XML
  • View XML

  • Supplementary Files
    • Supplementary_Data.pdf
Case Report

α‑thalassemia deletion [‑SEA (Southeast Asian)] and a compound heterozygote for the Chinese Gγ+(Aγδβ)0/βCD17‑thalassemia mutation: A case report

  • Authors:
    • Hou Qian
    • Weifeng Li
    • Xiuhua Lin
    • Ji Xu
    • Xiaoli Zhang
    • Weihua Zhao
    • Yike Wu
    • Wenlan Liu
  • View Affiliations / Copyright

    Affiliations: The Center for Medical Genetics and Molecular Diagnosis, Shenzhen Second People's Hospital/The First Affiliated Hospital of Shenzhen University Health Science Center, Shenzhen, Guangdong 518035, P.R. China, The Center for Medical Genetics and Molecular Diagnosis, Shenzhen Second People's Hospital/The First Affiliated Hospital of Shenzhen University Health Science Center, Shenzhen, Guangdong 518035, P.R. China, Prenatal Diagnosis Center, Shenzhen Second People's Hospital/The First Affiliated Hospital of Shenzhen University Health Science Center, Shenzhen, Guangdong 518035, P.R. China
  • Article Number: 112
    |
    Published online on: April 18, 2023
       https://doi.org/10.3892/mmr.2023.12999
  • Expand metrics +
Metrics: Total Views: 0 (Spandidos Publications: | PMC Statistics: )
Metrics: Total PDF Downloads: 0 (Spandidos Publications: | PMC Statistics: )
Cited By (CrossRef): 0 citations Loading Articles...

This article is mentioned in:



Abstract

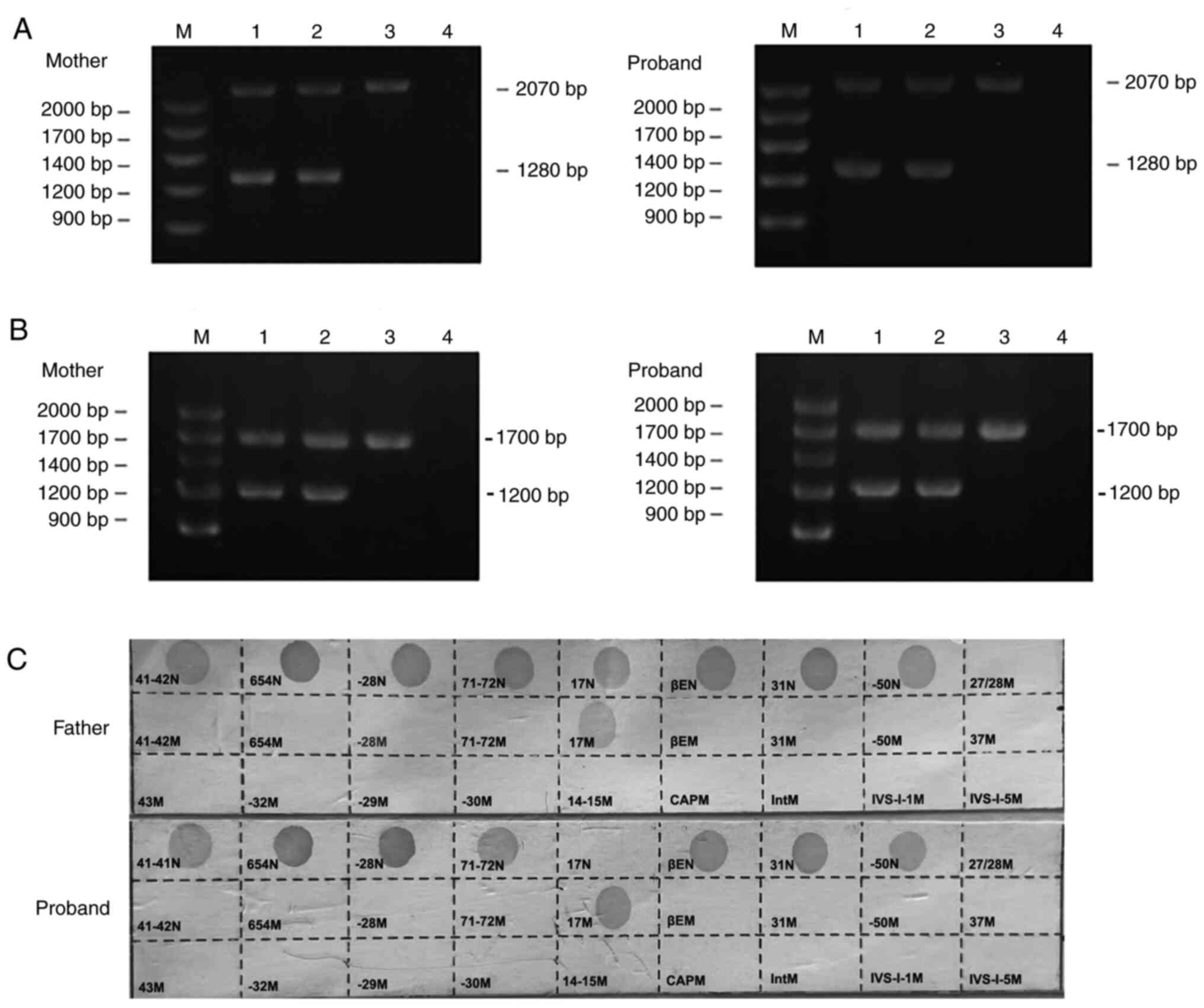
In the present study, an α‑thalassemia deletion [‑SEA (Southeast Asian)] and a compound heterozygote for the Chinese Gγ+(Aγδβ)0/βCD17‑thalassemia mutation in a 15‑year‑old girl was identified by gap‑PCR, PCR‑reverse dot‑blot hybridization and multiplex ligation‑dependent probe amplification. Molecular analysis indicated that the proband's father carried a hemoglobin subunit β (HBB) heterozygous mutation in codon 17 (CD17; c.52A>T), the mother was a double heterozygous carrier of the Chinese Gγ+(Aγδβ)0‑thalassemia mutation combined with an ‑SEA deletion, and the proband inherited both mutations from her mother and father, thus carrying the Chinese Gγ+(Aγδβ)0/βCD17‑thalassemia combined with the‑SEA deletion in a compound heterozygous state. The proband was diagnosed as severe thalassemia intermedia and experienced a clinical phenotype aggravation (severe anemia and splenomegaly) from no obvious clinical symptoms to being dependent on monthly blood transfusions.
View Figures

Figure 1

Figure 2

Figure 3

Figure 4

Figure 5

View References

1 

Martin A and Thompson AA: Thalassemias. Pediatr Clin North Am. 60:1383–1391. 2013. View Article : Google Scholar : PubMed/NCBI

2 

He S, Li J, Li DM, Yi S, Lu X, Luo Y, Liang Y, Feng C, Chen B, Zheng C and Qiu X: Molecular characterization of α- and β-thalassemia in the Yulin region of Southern China. Gene. 655:61–64. 2018. View Article : Google Scholar : PubMed/NCBI

3 

Cao A and Galanello R: Beta-thalassemia. Genet Med. 12:61–76. 2010. View Article : Google Scholar : PubMed/NCBI

4 

Galanello R, Sanna S, Perseu L, Sollaino MC, Satta S, Lai ME, Barella S, Uda M, Usala G, Abecasis GR and Cao A: Amelioration of Sardinian beta0 thalassemia by genetic modifiers. Blood. 114:3935–3937. 2009. View Article : Google Scholar : PubMed/NCBI

5 

Panyasai S, Fucharoen S, Surapot S, Fucharoen G and Sanchaisuriya K: Molecular basis and hematologic characterization of deltabeta-thalassemia and hereditary persistence of fetal hemoglobin in Thailand. Haematologica. 89:777–781. 2004.PubMed/NCBI

6 

Zeng YT, Huang SZ, Chen B, Liang YC, Chang ZM, Harano T and Huisman TH: Hereditary persistence of fetal hemoglobin or (delta beta)o-thalassemia: three types observed in South-Chinese families. Blood. 66:1430–1435. 1985. View Article : Google Scholar : PubMed/NCBI

7 

Chen W, Zhang X, Shang X, Cai R, Li L, Zhou T, Sun M, Xiong F and Xu X: The molecular basis of beta-thalassemia intermedia in southern China: Genotypic heterogeneity and phenotypic diversity. BMC Med Genet. 11:312010. View Article : Google Scholar : PubMed/NCBI

8 

So CC, So AC, Chan AY, Tsang ST, Ma ES and Chan LC: Detection and characterisation of beta-globin gene cluster deletions in Chinese using multiplex ligation-dependent probe amplification. J Clin Pathol. 62:1107–1111. 2009. View Article : Google Scholar : PubMed/NCBI

9 

Zhang JW, Song WF, Zhao YJ, Wu GY, Qiu ZM, Wang FN, Chen SS and Stamatoyannopoulos G: Molecular characterization of a novel form of (A gamma delta beta)zero thalassemia deletion in a Chinese family. Blood. 81:1624–1629. 1993. View Article : Google Scholar : PubMed/NCBI

10 

Zhuang J, Jiang Y, Wang Y, Zheng Y, Zhuang Q, Wang J and Zeng S: Molecular analysis of α-thalassemia and β-thalassemia in Quanzhou region Southeast China. J Clin Pathol. 73:278–282. 2020. View Article : Google Scholar : PubMed/NCBI

11 

Mann JR, MacNeish AS, Bannister D, Clegg JB, Wood WG and Weatherall DJ: δβ-thalassemia in a chinese famiIy. Br J Haematol. 23:393–402. 1972. View Article : Google Scholar : PubMed/NCBI

12 

Peng CT, Liu SC, Chiou SS, Kuo PL, Shih MC, Chang JY and Chang JG: Molecular characterization of deletional forms of beta-thalassemia in Taiwan. Ann Hematol. 82:33–36. 2003. View Article : Google Scholar : PubMed/NCBI

13 

Tan Jin Ai MA, Yap SF, Tan KL, Wong YC, Wee YC and Kok JL: Mild beta-thalassemia intermedia caused by compound heterozygosity for (G)gamma((A)gammadeltabeta)(o)/beta-thalassemia and molecular characterization of the defect in four Chinese families. Acta Haematol. 109:169–175. 2003. View Article : Google Scholar : PubMed/NCBI

14 

Wu Y, Yao Q, Zhong M, Wu J, Xie L, Su L and Yu F: Genetic research and clinical analysis of deletional Chinese Gγ+(Aγδβ)°-thalassemia and Southeast Asian HPFH in South China. Ann Hematol. 99:2747–2753. 2020. View Article : Google Scholar : PubMed/NCBI

15 

He S, Wei Y, Lin L, Chen Q, Yi S, Zuo Y, Wei H, Zheng C, Chen B and Qiu X: The prevalence and molecular characterization of (δβ)° -thalassemia and hereditary persistence of fetal hemoglobin in the Chinese Zhuang population. J Clin Lab Anal. 32:e223042018. View Article : Google Scholar : PubMed/NCBI

16 

Cai WJ, Li J, Xie XM and Li DZ: Screening for common β-globin gene cluster deletions in Chinese individuals with increased hemoglobin F. Int J Lab Hematol. 37:752–757. 2015. View Article : Google Scholar : PubMed/NCBI

17 

Craig JE, Barnetson RA, Prior J, Raven JL and Thein SL: Rapid detection of deletions causing delta beta thalassemia and hereditary persistence of fetal hemoglobin by enzymatic amplification. Blood. 83:1673–1682. 1994. View Article : Google Scholar : PubMed/NCBI

18 

Xu XM, Zhou YQ, Luo GX, Liao C, Zhou M, Chen PY, Lu JP, Jia SQ, Xiao GF, Shen X, et al: The prevalence and spectrum of alpha and beta thalassaemia in Guangdong Province: Implications for the future health burden and population screening. J Clin Pathol. 57:517–522. 2004. View Article : Google Scholar : PubMed/NCBI

19 

Du L, QD, Wang JC, et al: Analysis and prenatal diagnosis of 5 families with 813-thalassemia. J Mol Diagn Ther. 7:27–32. 2015.

20 

Chen M, Zhang M, Chen L, Lin N, Wang Y, Xu L and Huang H: Genetic research and clinical analysis of β-globin gene cluster deletions in the Chinese population of Fujian province: A 14-year single-center experience. J Clin Lab Anal. 36:e241812022.PubMed/NCBI

21 

Liang HF, Liang WM, Xie WG, Lin F, Liu LL, Li LJ, Ge YY, Lu M, Liao YW, Zeng GK, et al: The gene spectrum of thalassemia in Yangjiang of western Guangdong Province. Front Genet. 14:11260992023. View Article : Google Scholar : PubMed/NCBI

22 

Taher AT, Radwan A and Viprakasit V: When to consider transfusion therapy for patients with non-transfusion-dependent thalassaemia. Vox Sang. 108:1–10. 2015. View Article : Google Scholar : PubMed/NCBI

23 

Weatherall DJ: The definition and epidemiology of non-transfusion-dependent thalassemia. Blood Rev. 26 (Suppl 1):S3–S6. 2012. View Article : Google Scholar : PubMed/NCBI

Related Articles

  • Abstract
  • View
  • Download
  • Twitter
Copy and paste a formatted citation
Spandidos Publications style
Qian H, Li W, Lin X, Xu J, Zhang X, Zhao W, Wu Y and Liu W: α‑thalassemia deletion [‑<sup>SEA</sup> (Southeast Asian)] and a compound heterozygote for the Chinese <sup>G</sup>γ<sup>+</sup>(<sup>A</sup>γδβ)<sup>0</sup>/β<sup>CD17</sup>‑thalassemia mutation: A case report. Mol Med Rep 27: 112, 2023.
APA
Qian, H., Li, W., Lin, X., Xu, J., Zhang, X., Zhao, W. ... Liu, W. (2023). α‑thalassemia deletion [‑<sup>SEA</sup> (Southeast Asian)] and a compound heterozygote for the Chinese <sup>G</sup>γ<sup>+</sup>(<sup>A</sup>γδβ)<sup>0</sup>/β<sup>CD17</sup>‑thalassemia mutation: A case report. Molecular Medicine Reports, 27, 112. https://doi.org/10.3892/mmr.2023.12999
MLA
Qian, H., Li, W., Lin, X., Xu, J., Zhang, X., Zhao, W., Wu, Y., Liu, W."α‑thalassemia deletion [‑<sup>SEA</sup> (Southeast Asian)] and a compound heterozygote for the Chinese <sup>G</sup>γ<sup>+</sup>(<sup>A</sup>γδβ)<sup>0</sup>/β<sup>CD17</sup>‑thalassemia mutation: A case report". Molecular Medicine Reports 27.6 (2023): 112.
Chicago
Qian, H., Li, W., Lin, X., Xu, J., Zhang, X., Zhao, W., Wu, Y., Liu, W."α‑thalassemia deletion [‑<sup>SEA</sup> (Southeast Asian)] and a compound heterozygote for the Chinese <sup>G</sup>γ<sup>+</sup>(<sup>A</sup>γδβ)<sup>0</sup>/β<sup>CD17</sup>‑thalassemia mutation: A case report". Molecular Medicine Reports 27, no. 6 (2023): 112. https://doi.org/10.3892/mmr.2023.12999
Copy and paste a formatted citation
x
Spandidos Publications style
Qian H, Li W, Lin X, Xu J, Zhang X, Zhao W, Wu Y and Liu W: α‑thalassemia deletion [‑<sup>SEA</sup> (Southeast Asian)] and a compound heterozygote for the Chinese <sup>G</sup>γ<sup>+</sup>(<sup>A</sup>γδβ)<sup>0</sup>/β<sup>CD17</sup>‑thalassemia mutation: A case report. Mol Med Rep 27: 112, 2023.
APA
Qian, H., Li, W., Lin, X., Xu, J., Zhang, X., Zhao, W. ... Liu, W. (2023). α‑thalassemia deletion [‑<sup>SEA</sup> (Southeast Asian)] and a compound heterozygote for the Chinese <sup>G</sup>γ<sup>+</sup>(<sup>A</sup>γδβ)<sup>0</sup>/β<sup>CD17</sup>‑thalassemia mutation: A case report. Molecular Medicine Reports, 27, 112. https://doi.org/10.3892/mmr.2023.12999
MLA
Qian, H., Li, W., Lin, X., Xu, J., Zhang, X., Zhao, W., Wu, Y., Liu, W."α‑thalassemia deletion [‑<sup>SEA</sup> (Southeast Asian)] and a compound heterozygote for the Chinese <sup>G</sup>γ<sup>+</sup>(<sup>A</sup>γδβ)<sup>0</sup>/β<sup>CD17</sup>‑thalassemia mutation: A case report". Molecular Medicine Reports 27.6 (2023): 112.
Chicago
Qian, H., Li, W., Lin, X., Xu, J., Zhang, X., Zhao, W., Wu, Y., Liu, W."α‑thalassemia deletion [‑<sup>SEA</sup> (Southeast Asian)] and a compound heterozygote for the Chinese <sup>G</sup>γ<sup>+</sup>(<sup>A</sup>γδβ)<sup>0</sup>/β<sup>CD17</sup>‑thalassemia mutation: A case report". Molecular Medicine Reports 27, no. 6 (2023): 112. https://doi.org/10.3892/mmr.2023.12999
Follow us
  • Twitter
  • LinkedIn
  • Facebook
About
  • Spandidos Publications
  • Careers
  • Cookie Policy
  • Privacy Policy
How can we help?
  • Help
  • Live Chat
  • Contact
  • Email to our Support Team