International Journal of Molecular Medicine is an international journal devoted to molecular mechanisms of human disease.
International Journal of Oncology is an international journal devoted to oncology research and cancer treatment.
Covers molecular medicine topics such as pharmacology, pathology, genetics, neuroscience, infectious diseases, molecular cardiology, and molecular surgery.
Oncology Reports is an international journal devoted to fundamental and applied research in Oncology.
Experimental and Therapeutic Medicine is an international journal devoted to laboratory and clinical medicine.
Oncology Letters is an international journal devoted to Experimental and Clinical Oncology.
Explores a wide range of biological and medical fields, including pharmacology, genetics, microbiology, neuroscience, and molecular cardiology.
International journal addressing all aspects of oncology research, from tumorigenesis and oncogenes to chemotherapy and metastasis.
Multidisciplinary open-access journal spanning biochemistry, genetics, neuroscience, environmental health, and synthetic biology.
Open-access journal combining biochemistry, pharmacology, immunology, and genetics to advance health through functional nutrition.
Publishes open-access research on using epigenetics to advance understanding and treatment of human disease.
An International Open Access Journal Devoted to General Medicine.
Thymidylate synthase (TS) is an enzyme that plays an important role in the DNA synthesis and catalyzes the methylation of deoxyuridine monophosphate (dUMP) to deoxythymidine monophosphate (dTMP) (1,2). TS is also a target enzyme of 5-fluorouracil (5-FU), which is an anticancer chemotherapeutic agent for various human cancers (3). The anticancer activity of 5-FU has been described to be closely associated with the intratumoral expression of TS, orotate phosphoribosyltransferase (OPRT) and dihydropyrimidine dehydrogenase (DPD) (4). TS expression has been described to be significantly correlated with proliferative activity and poor prognosis in patients with various thoracic neoplasms such as non-small cell lung cancer (NSCLC) (5,6) and thymic epithelial tumors (7). Moreover, TS expression had been described to be significantly associated with chemotherapeutic outcome in patients with NSCLC, malignant pleural mesothelioma (MPM) and pulmonary metastatic tumor (PMT) from colorectal cancer (8–12). These studies suggest that the overexpression of TS is closely related to aggressive features and chemotherapeutic response of various thoracic neoplasms.
S-1 is an oral anticancer agent comprised of tegafur (FT), 5-chloro-2, 4-dihydroxypyridine (CDHP), and potassium oxonate (Oxo), in a molar ratio of 1:0.4:1 (13). S-1 is a potent inhibitor of DPD-inhibitory fluoropyrimidine (DIF), and is effective against patients with lung, colon and gastric cancers (4,14). Pemetrexed inhibits multiple enzymes in the folate metabolic pathway, and TS is the main target (15). In vitro study using NSCLC cell lines demonstrated that high expression level of TS gene at baseline conferred resistance to pemetrexed and TS levels were correlated with pemetrexed efficacy in a variety of solid tumors (16–18). Moreover, recent clinical studies have described that a high expression level of TS could be a possible biomarker for predicting poor outcome after TS-inhibitor treatment such as S-1 or pemetrexed in NSCLC or MPM (8–11). The results of these studies indicated that TS expression could be a chemoresistance protein for TS targeting therapy. However, as it is difficult to obtain an adequate specimen for immunohistochemical analysis in patients with advanced thoracic neoplasms, in selected patients, therefore, the expression of TS protein is evaluated by immunohistochemical staining.
Recently, the usefulness of 2-[18F]-fluoro-2-deoxy-D-glucose (18F-FDG) positron emission tomography (PET) for the diagnosis of thoracic neoplasms has been investigated (19–25). The previous studies demonstrated that the primary tumor standardized uptake value (SUV) measurement on 18F-FDG PET is a useful marker for predicting outcome after treatment in patients with thoracic neoplasms (19–25). Even if an adequate specimen is not obtained, we can clearly image 18F-FDG uptake within the primary tumor. The amount of 18F-FDG uptake within tumor cells is determined by the glucose metabolism, hypoxia and angiogenesis 18F-FDG uptake is strongly associated with the expression of glucose transporter 1 (Glut1) (24). Glut1 is thought to be a possible intrinsic marker of hypoxia, and the expression of Glut1 has been found to be regulated by hypoxia in hypoxia-inducible factor-1α (HIF-1α). Atkin et al(25) have documented that the direct correlation between TS expression and HIF-1α expression was recognized in primary rectal cancers, and the microenviromental factor such as acidosis or alternations in the availability of glucose and other enzymatic substrates, are more active in human cancers, thereby affecting the level of TS or HIF-1α expression. Recent immunohistochemical data demonstrated that TS expression was significantly correlated with Glut1, HIF-1α and angiogenesis in patients with primary lung cancer (6). However, it remains unclear whether the patients with various thoracic neoplasms have a significant relationship between 18F-FDG uptake on PET and TS protein expression.
Based on the above background, we investigated the relationship between 18F-FDG uptake on PET and TS expression in patients with various thoracic neoplasms. Moreover, correlation of TS expression was determined with OPRT, DPD, vascular endothelial growth factor (VEGF), microvessel density (MVD), CD34 and p53.
Between April, 2003 and May, 2009, we analyzed 148 consecutive patients with PMT treated by lung resection for pulmonary metastasis from extrathoracic malignancies, 21 consecutive patients, 34 consecutive patients with pulmonary neuroendocrine (NE) tumors treated by curative resection, and 49 consecutive patients with thymic epithelial tumors who underwent 18F-FDG PET at Shizuoka Cancer Center (Shizuoka, Japan). In 148 patients with PMT [adenocarcinoma (AC) with 106, squamous cell carcinoma (SQC) with 15, sarcoma with 20 and other with 8], the primary site was colon in 80 patients, breast in 9, head and neck in 14, genital system in 12, esophagus in 3, gastrointestinal tract in 7, soft tissue and bone in 20 and other sites in 3. In 21 patients with MPM, 16 patients had a histology of epithelial type, 2 biphasic type, 1 sarcomatous type, and 2 unspecific type. In 34 patients with pulmonary NE tumors, the pathological diagnoses were: typical carcinoid (n=5), atypical carcinoid (n=1), small-cell lung carcinoma (SCLC) (n=12) and large cell neuroendocrine carcinoma (LCNEC) (n=16). High-grade NE tumor was SCLC and LCNEC. In 49 patients with thymic epithelial tumors, there was 38 patients with thymoma and 11 patients with thymic carcinoma.
NSCLC patients were consecutively assigned to the study between December, 2002 and March, 2004, and 18F-FDG PET was performed as part of the preoperative work-up. These patients underwent surgical management, and the primary lesions were resected. Finally, 140 patients with NSCLC (95 with AC, 43 with SQC and 2 with large cell carcinoma) were evaluated.
Of the total 392 patients, 231 patients were male and 161 female. The age of the patients ranged from 16 to 89 years, and the median age was 62 years. None of the patients had insulin-dependent diabetes, and the serum glucose levels in all patients just before 18F-FDG PET study was less than 120 mg/dl. The authors’ approach to the evaluation and resection of these tumors has been described previously (6,7,12,23,24,26–28). The study protocol was approved by the Institutional Review Board.
Immunohistochemical staining was performed according to the procedure described in the previous studies (7,24). The following antibodies were used: a rabbit polyclonal antibody against TS (clone RTSSA, 1:1,600 dilution; Taiho Pharmaceutical, Co., Ltd., Saitama, Japan); a rabbit polyclonal antibody against OPRT (1:1,200 dilution; Taiho Pharmaceutical, Co., Ltd.); a rabbit polyclonal antibody against DPD (clone RDPDPA, 1:500 dilution; Taiho Pharmaceutical, Co., Ltd.); a monoclonal antibody against VEGF (1:200 dilution; Immuno-Biological Laboratories Co., Ltd., Fujioka, Japan); a mouse monoclonal antibody against CD34 (1:800 dilution; Nichirei, Tokyo, Japan); a mouse monoclonal antibody against p53 (D07, 1:50 dilution; Dako). Antibodies against TS, OPRT and DPD were kindly donated by Taiho Pharmaceutical, Co., Ltd. (Tokyo, Japan).
The expression of TS, OPRT and DPD was considered if nuclear or cytoplasmic staining was present. For TS, OPRT and DPD, a semi-quantitative scoring method was used: 1, <10%; 2, 10–25%; 3, 25–50%; 4, 51–75% and 5, >75% of cells stained positively. The tumors in which stained tumor cells made up more than 25% of the tumor were graded as positive.
The expression of VEGF was quantitatively assessed according to the percentage of immunoreactive cells in a total of 1,000 neoplastic cells. The number of CD34-positive vessels was counted in four selected hot spots in a 0.26 mm2 field area. MVD was defined as the mean count of microvessels per 0.26 mm2 field area.
For p53, microscopic examination for the nuclear reaction product was performed and scored. According to a previous study (24), p53 expression in more than 10% of tumor cells was defined as high expression. Sections were assessed using a light microscope in a blinded fashion by at least two of the authors.
Patients fasted for at least 4 h before 18F-FDG PET examination. Patients received an intravenous injection of 200–250 MBq of 18F-FDG and then rested for approximately 1 h before undergoing imaging (24). Image acquisition was performed using an Advance NXi PET scanner and Discovery PET-CT scanner (GE Medical Systems, Milwaukee, WI, USA). Two-dimensional emission scanning was performed from the groin to the top of the skull. PET/CT image was independently reviewed by two experienced physicians. Acquired data were reconstructed by iterative ordered subset expectation maximization. To evaluate 18F-FDG accumulation, the tumor was first examined visually, and then the peak standardized uptake value (SUV) of the entire tumor was determined. SUVmax was defined as the peak SUV value on one pixel with the highest counts within the region of interest (ROI). The ROI, measuring 3 cm in diameter, was set at the mediastinum at the level of the aortic arch and the mean SUV of the mediastinum was calculated.
Probability values of <0.05 indicated a statistically significant difference. Fisher’s exact test was used to examine the association of two categorical variables. Correlation of different variables was analyzed using the nonparametric Spearman’s rank test. Statistical analysis was performed using JMP 8 (SAS Institute Inc., Cary, NC, USA) for Windows.
Each protein revealed a profile pattern of the unique expression. The immunohistochemical staining was evaluated for the 392 thoracic tumor lesions. The mean scoring (mean ± SD) of TS, OPRT and DPD was 2.54±1.00, 2.53±1.15 and 2.37±1.21, respectively. A positive expression of TS, OPRT and DPD was recognized in 58 (230/392), 46 (179/392) and 55% (217/392), respectively. The staining pattern of VEGF was uniformly localized in the cytoplasm and/or membrane of neoplastic tissue. The median rate of VEGF positivity was 25% (range, 1–88%), and the value of 25% was chosen as a cutoff point. Positive expression was recognized in 53% of cases (208/392). The median number of CD34-positive vessels was 24 (2–68), and the value of cutoff point was 24. Positive expression of CD34 was seen in 50% of cases (196/392). Positive expression of p53 was recognized in 46% of cases (180/392).
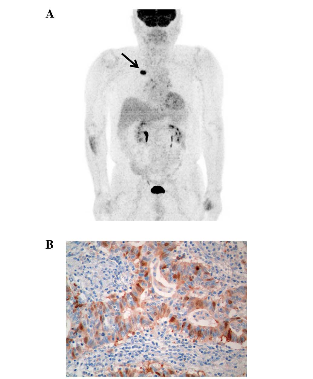
The SUVmax of the primary tumors in 392 patients ranged from 0.8 to 31.9 (median, 5.2). A median value of 5.2 was used as the cutoff SUV in the following analyses, and the SUVmax in more than 5.2 was defined as positive expression. Positive expression of SUVmax was seen in 50% of cases (197/392). Fig. 1 is representative imaging of TS expression and 18F-FDG PET. Fig. 2 shows the rate of positive expression of these different biomarkers according to disease types.
Table I shows a comparison of the different variables according to TS expression. A positive TS expression was significantly correlated with male, SUVmax and the expression of OPTT, DPD, VEGF, CD34 and p53. In the analysis according to primary disease types, the positive rate of TS expression in NE tumor (n=34) was significantly higher than that in NSCLC (n=140; P=0.001), PMT (n=148; P=0.001), thymic epithelial tumors (n=49; P=0.008) and MPM (n=21; P=0.005). No statistically significant difference in the TS expression was observed among NSCLC, PMT, thymic epithelial tumors and MPM. Next, the positive rate of TS expression was compared according to histological types. Two hundred and one patients had a histology of adenocarcinoma (AC), 58 squamous cell carcinoma (SQC), 28 high-grade NE tumors, 20 sarcoma, 38 thymoma and 16 MPM with epithelial type. The positive rates of AC, SQC, high-grade NE tumors, sarcoma, thymoma and MPM with epithelial type were 51, 86, 96, 35, 47 and 47%, respectively. The positive rate of TS expression was significantly lower in patients with AC than in SQC (P<0.001) and high-grade NE tumors (P<0.001), demonstrating no significant difference (P=0.26). No significantly significant difference was recognized between AC and sarcoma, between AC and thymoma and between SQC and high-grade NE tumors. Finally, we compared the positive rate of TS expression between primary lung cancer and PMT according to histological type (AC or SQC). The positive rate of TS expression (P=0.002) in histology with AC was significantly higher in PMT (61%; n=106) than in NSCLC (39%, n=95), whereas that (P=0.021) with SQC was significantly higher in NSCLC (n=43; 93%) than in PMT (n=15; 67%). In patients with NSCLC, TS expression was significantly higher in SQC than in AC (P<0.001), however, no statistically significant difference in the TS expression was observed between AC and SQC in patients with PMT (P=0.782).
Table II shows the correlation between TS expression and various biomarkers according to disease types. The expression of TS was closely correlated with 18F-FDG uptake, OPRT, DPD and angiogenesis (VEGF and MVD). In the analysis according to histological types, however, the relationship between TS expression and 18F-FDG uptake showed a statistically significant correlation in patients with pulmonary AC, high-grade NE tumor, thymoma and MPM with epithelial type (Table III). In 58 patients with SQC, TS expression was not closely associated with these biomarkers including SUVmax by 18F-FDG uptake. Of 11 patients with thymic carcinoma, 8 patients had a histological type of SQC, and TS expression in thymic carcinoma was not closely correlated with 18F-FDG uptake.
This is the first study to investigate the relationship between 18F-FDG uptake on PET and TS expression in patients with various thoracic tumors. The expression of TS in thoracic neoplasms had a positivity of 58% (230/392), and the positive rates of TS expression in NSCLC, PMT, thymic epithelial tumor, NE tumor and MPM were 56, 57, 57, 85 and 47%, respectively. The positivity of TS expression in NE tumors was significantly higher than that in other thoracic tumors. The analysis according to histology revealed that high-grade NE tumor or SQC had a higher positive rate of TS expression as compared with the other histological types. The relationship between TS expression and 18F-FDG uptake had a statistically significant correlation in primary lung AC, high-grade NE tumor, thymoma and MPM. Our results indicated that SUVmax by 18F-FDG uptake may be an alternative biomarker for predicting TS expression in patients with primary lung AC, high-grade NE tumor, thymoma and MPM.
High-level TS expression is related to an aggressive tumor phenotype and a poor outcome in a variety of malignant tumors (5). Several researchers have documented that TS level is generally lower in AC than in SQC (29,30). In lung cancer, TS expression has been described to be higher in NE tumor than in SQC (21). In thymic epithelial tumors, TS expression was correlated with the grade of malignancy and was closely associated with poor outcome (7). Recently, Takeda et al(8) reported that a low expression level of TS was associated with a better response and longer survival in advanced NSCLC treated by chemotherapeutic regimens including S-1, and TS expression was considered as predictive biomarkers of S-1 treatment. Although their study included a small sample size (n=22), 16 (73%) patients had AC, 1 patient SQC and 5 patients other histology. Their preliminary study suggests that TS expression seems to be a predictive marker for S-1 treatment in patients with AC. Sun et al(9) described the clinical significance of TS expression in 193 patients with advanced non-squamous NSCLC treated with pemetrexed-based chemotherapy, and higher response rates for pemetrexed-based chemotherapy were associated with TS-negativity, and survival in pemetrexed-based chemotherapy was significantly longer in groups with TS-negativity. Two studies have described that a low expression level of TS are predictive of improved outcome in patients with MPM treated by pemetrexed-based chemotherapy (10,11). In patients with PMT, however, it remains unknown whether TS protein expression within pulmonary metastatic tumors is associated with aggressiveness and poor outcome. The results of these studies indicated that TS expression could be a prognostic and predictive marker for outcome after chemotherapy including TS-inhibitor regimens.
Currently, paraffin-embedded specimens obtained by biopsy are the usual materials available for immunohistochemical analysis in patients with NSCLC and MPM treated by chemotherapy. But, these tumor samples are sometimes too small for the detection of molecular markers in heterogeneous tumor tissue by immunohistochemistry. In NSCLC or MPM with advanced disease, if an adequate specimen is not available for immunohistochemical staining, the biopsy may bias the immunohistochemical analysis of TS protein expression. However, 18F-FDG PET is appropriate for the detection of primary tumor lesions in patients with advanced NSCLC or MPM (19,21). In our study, SUVmax by 18F-FDG uptake was correlated with the expression level of TS in patients with primary lung AC and MPM. Our recent study documented that TS expression was significantly correlated with Glut1, HIF-1α and angiogenesis in patients with primary lung AC, but not primary lung SQC (6), although it remains unclear whether these hypoxic markers in MPM patients are closely related to the expression level of TS. Therefore, it may be reasonable that SUVmax by 18F-FDG uptake could be an alternative marker for the expression of TS in patients with primary lung AC. Further study is warranted to evaluate whether the SUVmax could be a useful biomarker for predicting the chemoresistance to TS-inhibitor regimens (chemotherapy including S-1 or pemetrexed) for these patients.
The patients with primary lung SQC had a high uptake of 18F-FDG and a high expression of TS, demonstrating no statistically significant correlation, thus SUVmax by 18F-FDG uptake was not useful for predicting the chemoresistance to TS-inhibitor treatment in patients with SQC. Since TS-inhibitor regimens are not generally administered to patients with high-grade NE tumor and thymoma, further study is warranted for evaluating whether the expression level of TS could be predictive of outcome after TS-targeting therapy in these populations.
In conclusion, TS is highly expressed in high-grade NE tumors. TS expression has a statistically significant correlation with SUVmax by 18F-FDG uptake in primary lung AC, high-grade NE tumors, thymoma and MPM. Considering that TS is a possible marker for predicting chemoresistance to TS targeting therapy such as S-1 or pemetrexed, SUVmax by 18F-FDG uptake in primary lung AC may be an alternative marker for the expression level of TS. Further study is warranted for investigating whether SUVmax by 18F-FDG uptake could be a useful marker for predicting outcome after S-1 or pemetrexed treatment.
|
Brundage MD, Davies D and Mackillop WJ: Prognostic factors in non-small cell lung cancer: a decade of progress. Chest. 122:1037–1057. 2002. View Article : Google Scholar : PubMed/NCBI | |
|
Danenberg PV: Thymidylate synthase - a target enzyme in cancer chemotherapy. Biochim Biophys Acta. 473:73–92. 1977. | |
|
Wada H, Hitomi S and Teramatsu T: Adjuvant chemotherapy after complete resection in non-small cell lung cancer. West Japan Study Group for Lung Cancer Surgery. J Clin Oncol. 14:1048–1054. 1996. | |
|
Nakano J, Huang C, Liu D, et al: Evaluation of biomarkers associated with 5-FU sensitivity for non-small-cell lung cancer patients postoperatively treated with UFT. Br J Cancer. 95:607–615. 2006. View Article : Google Scholar : PubMed/NCBI | |
|
Nakagawa T, Otake Y, Yanagihara K, et al: Expression of thymidylate synthase is correlated with proliferative activity in non-small cell lung cancer (NSCLC). Lung Cancer. 43:145–149. 2004. View Article : Google Scholar : PubMed/NCBI | |
|
Kaira K, Ohde Y, Nakagawa K, et al: Thymidylate synthase expression is closely associated with outcome in patients with pulmonary adenocarcinoma. Med Oncol. 29:1663–1672. 2012. View Article : Google Scholar : PubMed/NCBI | |
|
Kaira K, Serizawa M, Koh Y, et al: Expression of thymidylate synthase, orotate phosphoribosyltransferase and dihydropyrimidine dehydrogenase in thymic epithelial tumors. Lung Cancer. 74:419–425. 2011. View Article : Google Scholar | |
|
Takeda M, Okamoto I, Hirabayashi N, et al: Thymidylate synthase and dihydropyrimidine dehydrogenase expression levels are associated with response to S-1 plus carboplatin in advanced non-small cell lung cancer. Lung Cancer. 73:103–109. 2011. View Article : Google Scholar : PubMed/NCBI | |
|
Sun JM, Han J, Ahn JS, et al: Significance of thymidylate synthase and thyroid transcription factor 1 expression in patients with nonsquamous non-small cell lung cancer treated with pemetrexed-based chemotherapy. J Thorac Oncol. 6:1392–1399. 2011. View Article : Google Scholar : PubMed/NCBI | |
|
Righi L, Papotti MG, Ceppi P, et al: Thymidylate synthase but not excision repair cross-complementation group 1 tumor expression predicts outcome in patients with malignant pleural mesothelioma treated with pemetrexed-based chemotherapy. J Clin Oncol. 28:1534–1539. 2010. View Article : Google Scholar | |
|
Zucali PA, Giovannetti E, Destro A, et al: Thymidylate synthase and excision repair cross-complementing group-1 as predictors of responsiveness in mesothelioma patients treated with pemetrexed/carboplatin. Clin Cancer Res. 17:2581–2590. 2011. View Article : Google Scholar : PubMed/NCBI | |
|
Kaira K, Okumura T, Ohde Y, et al: Prognostic significance of thymidylate synthase expression in the adjuvant chemotherapy after resection for pulmonary metastases from colorectal cancer. Anticancer Res. 31:2763–2771. 2011. | |
|
Shirasaka T, Shimamato Y, Ohshimo H, et al: Development of a novel form of an oral 5-fluorouracil derivative (S-1) directed to the potentiation of the tumor selective cytotoxicity of 5-fluorouracil by two biochemical modulators. Anticancer Drugs. 7:548–557. 1996. View Article : Google Scholar : PubMed/NCBI | |
|
Kawahara M, Furuse K, Segawa Y, et al: Phase II study of S-1, a novel oral fluorouracil, in advanced non-small-cell lung cancer. Br J Cancer. 85:939–943. 2011. View Article : Google Scholar : PubMed/NCBI | |
|
Shih C, Chen VJ, Gossett LS, et al: LY231514, a pyrrolo[2,3-d] pyrimidine-based antifolate that inhibits multiple folate-requiring enzymes. Cancer Res. 57:1116–1123. 1997. | |
|
Giovannetti E, Backus HH, Wouters D, et al: Changes in the status of p53 affect drug sensitivity to thymidylate synthase (TS) inhibitors by altering TS levels. Br J Cancer. 96:769–775. 2007. View Article : Google Scholar : PubMed/NCBI | |
|
Gomez HL, Santillana SL, Vallejos CS, et al: A phase II trial of pemetrexed in advanced breast cancer: clinical response and association with molecular target expression. Clin Cancer Res. 12:832–838. 2006. View Article : Google Scholar : PubMed/NCBI | |
|
Rose MG, Frarrell MP and Schmitz JC: Thymidylate synthase: a critical target for cancer chemotherapy. Clin Colorectal Cancer. 1:220–229. 2002. View Article : Google Scholar : PubMed/NCBI | |
|
Sasaki R, Komaki R, Macapinlac H, et al: [18F]fluorodexyglucose uptake by positron emission tomography predicts outcome of non-small-cell lung cancer. J Clin Oncol. 23:1136–1143. 2005. | |
|
Higashi K, Ueda Y, Arisaka Y, et al: 18F-FDG uptake as a biologic prognostic factor for recurrence in patients with surgically resected non-small cell lung cancer. J Nucl Med. 43:39–45. 2002. | |
|
Bernard F, Sterman D, Smith RJ, et al: Prognostic value of FDG PET imaging in malignant pleural mesothelioma. J Nucl Med. 40:1241–1245. 1999.PubMed/NCBI | |
|
Song YS, Lee WW, Chung JH, et al: Correlation between FDG uptake and glucose transporter type 1 expression in neuroendocrine tumors of the lung. Lung Cancer. 61:54–60. 2008. View Article : Google Scholar : PubMed/NCBI | |
|
Kaira K, Okumura T, Ohde Y, et al: Correlation between 18F-FDG uptake on PET and molecular biology in metastatic pulmonary tumors. J Nucl Med. 52:705–711. 2011.PubMed/NCBI | |
|
Kaira K, Endo M, Abe M, et al: Biologic correlation of 2-[18F]-fluoro-2-deoxy-D-glucose uptake on positron emission tomography in thymic epithelial tumors. J Clin Oncol. 28:3746–3753. 2010. | |
|
Atkin GK, Daley FM, Bourne S, et al: The impact of surgically induced ichaemia on protein levels in patients undergoing rectal cancer surgery. Br J Cancer. 95:928–933. 2006. View Article : Google Scholar : PubMed/NCBI | |
|
Kaira K, Endo M, Shukuya T, et al: 18F-FDG uptake on PET could be a predictive marker of excision repair cross-complementation group 1 (ERCC1) expression in patients with thoracic neoplasms? Neoplasma. 59:257–263. 2012. View Article : Google Scholar | |
|
Kaira K, Ohde Y, Endo M, et al: Expression of 4F2hc (CD98) in pulmonary neuroendocrine tumors. Oncol Rep. 26:931–937. 2011.PubMed/NCBI | |
|
Kaira K, Oriuchi N, Takahashi T, et al: L-type amino acid transporter 1 (LAT1) expression in malignant pleural mesothelioma. Anticancer Res. 31:4075–4082. 2011.PubMed/NCBI | |
|
Ceppi P, Volante M, Saviozzi S, et al: Squamous cell carcinoma of the lung compared with other histotypes shows higher messenger RNA and protein levels for thymidylate synthase. Cancer. 107:1589–1596. 2006. View Article : Google Scholar : PubMed/NCBI | |
|
Hashimoto H, Ozeki Y, Sato M, et al: Significance of thymidylate synthase gene expression level in patients with adenocarcinoma of the lung. Cancer. 106:1595–1601. 2006. View Article : Google Scholar : PubMed/NCBI | |
|
Ibe T, Shimizu K, Nakano T, et al: High-grade neuroendocrine carcinoma of the lung shows increased thymidylate synthase expression compared to other histotypes. J Surg Oncol. 102:11–17. 2010. View Article : Google Scholar |