Spandidos Publications Logo
  • About
    • About Spandidos
    • Aims and Scopes
    • Abstracting and Indexing
    • Editorial Policies
    • Reprints and Permissions
    • Job Opportunities
    • Terms and Conditions
    • Contact
  • Journals
    • All Journals
    • Oncology Letters
      • Oncology Letters
      • Information for Authors
      • Editorial Policies
      • Editorial Board
      • Aims and Scope
      • Abstracting and Indexing
      • Bibliographic Information
      • Archive
    • International Journal of Oncology
      • International Journal of Oncology
      • Information for Authors
      • Editorial Policies
      • Editorial Board
      • Aims and Scope
      • Abstracting and Indexing
      • Bibliographic Information
      • Archive
    • Molecular and Clinical Oncology
      • Molecular and Clinical Oncology
      • Information for Authors
      • Editorial Policies
      • Editorial Board
      • Aims and Scope
      • Abstracting and Indexing
      • Bibliographic Information
      • Archive
    • Experimental and Therapeutic Medicine
      • Experimental and Therapeutic Medicine
      • Information for Authors
      • Editorial Policies
      • Editorial Board
      • Aims and Scope
      • Abstracting and Indexing
      • Bibliographic Information
      • Archive
    • International Journal of Molecular Medicine
      • International Journal of Molecular Medicine
      • Information for Authors
      • Editorial Policies
      • Editorial Board
      • Aims and Scope
      • Abstracting and Indexing
      • Bibliographic Information
      • Archive
    • Biomedical Reports
      • Biomedical Reports
      • Information for Authors
      • Editorial Policies
      • Editorial Board
      • Aims and Scope
      • Abstracting and Indexing
      • Bibliographic Information
      • Archive
    • Oncology Reports
      • Oncology Reports
      • Information for Authors
      • Editorial Policies
      • Editorial Board
      • Aims and Scope
      • Abstracting and Indexing
      • Bibliographic Information
      • Archive
    • Molecular Medicine Reports
      • Molecular Medicine Reports
      • Information for Authors
      • Editorial Policies
      • Editorial Board
      • Aims and Scope
      • Abstracting and Indexing
      • Bibliographic Information
      • Archive
    • World Academy of Sciences Journal
      • World Academy of Sciences Journal
      • Information for Authors
      • Editorial Policies
      • Editorial Board
      • Aims and Scope
      • Abstracting and Indexing
      • Bibliographic Information
      • Archive
    • International Journal of Functional Nutrition
      • International Journal of Functional Nutrition
      • Information for Authors
      • Editorial Policies
      • Editorial Board
      • Aims and Scope
      • Abstracting and Indexing
      • Bibliographic Information
      • Archive
    • International Journal of Epigenetics
      • International Journal of Epigenetics
      • Information for Authors
      • Editorial Policies
      • Editorial Board
      • Aims and Scope
      • Abstracting and Indexing
      • Bibliographic Information
      • Archive
    • Medicine International
      • Medicine International
      • Information for Authors
      • Editorial Policies
      • Editorial Board
      • Aims and Scope
      • Abstracting and Indexing
      • Bibliographic Information
      • Archive
  • Articles
  • Information
    • Information for Authors
    • Information for Reviewers
    • Information for Librarians
    • Information for Advertisers
    • Conferences
  • Language Editing
Spandidos Publications Logo
  • About
    • About Spandidos
    • Aims and Scopes
    • Abstracting and Indexing
    • Editorial Policies
    • Reprints and Permissions
    • Job Opportunities
    • Terms and Conditions
    • Contact
  • Journals
    • All Journals
    • Biomedical Reports
      • Information for Authors
      • Editorial Policies
      • Editorial Board
      • Aims and Scope
      • Abstracting and Indexing
      • Bibliographic Information
      • Archive
    • Experimental and Therapeutic Medicine
      • Information for Authors
      • Editorial Policies
      • Editorial Board
      • Aims and Scope
      • Abstracting and Indexing
      • Bibliographic Information
      • Archive
    • International Journal of Epigenetics
      • Information for Authors
      • Editorial Policies
      • Editorial Board
      • Aims and Scope
      • Abstracting and Indexing
      • Bibliographic Information
      • Archive
    • International Journal of Functional Nutrition
      • Information for Authors
      • Editorial Policies
      • Editorial Board
      • Aims and Scope
      • Abstracting and Indexing
      • Bibliographic Information
      • Archive
    • International Journal of Molecular Medicine
      • Information for Authors
      • Editorial Policies
      • Editorial Board
      • Aims and Scope
      • Abstracting and Indexing
      • Bibliographic Information
      • Archive
    • International Journal of Oncology
      • Information for Authors
      • Editorial Policies
      • Editorial Board
      • Aims and Scope
      • Abstracting and Indexing
      • Bibliographic Information
      • Archive
    • Medicine International
      • Information for Authors
      • Editorial Policies
      • Editorial Board
      • Aims and Scope
      • Abstracting and Indexing
      • Bibliographic Information
      • Archive
    • Molecular and Clinical Oncology
      • Information for Authors
      • Editorial Policies
      • Editorial Board
      • Aims and Scope
      • Abstracting and Indexing
      • Bibliographic Information
      • Archive
    • Molecular Medicine Reports
      • Information for Authors
      • Editorial Policies
      • Editorial Board
      • Aims and Scope
      • Abstracting and Indexing
      • Bibliographic Information
      • Archive
    • Oncology Letters
      • Information for Authors
      • Editorial Policies
      • Editorial Board
      • Aims and Scope
      • Abstracting and Indexing
      • Bibliographic Information
      • Archive
    • Oncology Reports
      • Information for Authors
      • Editorial Policies
      • Editorial Board
      • Aims and Scope
      • Abstracting and Indexing
      • Bibliographic Information
      • Archive
    • World Academy of Sciences Journal
      • Information for Authors
      • Editorial Policies
      • Editorial Board
      • Aims and Scope
      • Abstracting and Indexing
      • Bibliographic Information
      • Archive
  • Articles
  • Information
    • For Authors
    • For Reviewers
    • For Librarians
    • For Advertisers
    • Conferences
  • Language Editing
Login Register Submit
  • This site uses cookies
  • You can change your cookie settings at any time by following the instructions in our Cookie Policy. To find out more, you may read our Privacy Policy.

    I agree
Search articles by DOI, keyword, author or affiliation
Search
Advanced Search
presentation
Oncology Reports
Join Editorial Board Propose a Special Issue
Print ISSN: 1021-335X Online ISSN: 1791-2431
Journal Cover
June-2016 Volume 35 Issue 6

Full Size Image

Sign up for eToc alerts
Recommend to Library

Journals

International Journal of Molecular Medicine

International Journal of Molecular Medicine

International Journal of Molecular Medicine is an international journal devoted to molecular mechanisms of human disease.

International Journal of Oncology

International Journal of Oncology

International Journal of Oncology is an international journal devoted to oncology research and cancer treatment.

Molecular Medicine Reports

Molecular Medicine Reports

Covers molecular medicine topics such as pharmacology, pathology, genetics, neuroscience, infectious diseases, molecular cardiology, and molecular surgery.

Oncology Reports

Oncology Reports

Oncology Reports is an international journal devoted to fundamental and applied research in Oncology.

Experimental and Therapeutic Medicine

Experimental and Therapeutic Medicine

Experimental and Therapeutic Medicine is an international journal devoted to laboratory and clinical medicine.

Oncology Letters

Oncology Letters

Oncology Letters is an international journal devoted to Experimental and Clinical Oncology.

Biomedical Reports

Biomedical Reports

Explores a wide range of biological and medical fields, including pharmacology, genetics, microbiology, neuroscience, and molecular cardiology.

Molecular and Clinical Oncology

Molecular and Clinical Oncology

International journal addressing all aspects of oncology research, from tumorigenesis and oncogenes to chemotherapy and metastasis.

World Academy of Sciences Journal

World Academy of Sciences Journal

Multidisciplinary open-access journal spanning biochemistry, genetics, neuroscience, environmental health, and synthetic biology.

International Journal of Functional Nutrition

International Journal of Functional Nutrition

Open-access journal combining biochemistry, pharmacology, immunology, and genetics to advance health through functional nutrition.

International Journal of Epigenetics

International Journal of Epigenetics

Publishes open-access research on using epigenetics to advance understanding and treatment of human disease.

Medicine International

Medicine International

An International Open Access Journal Devoted to General Medicine.

Journal Cover
June-2016 Volume 35 Issue 6

Full Size Image

Sign up for eToc alerts
Recommend to Library

  • Article
  • Citations
    • Cite This Article
    • Download Citation
    • Create Citation Alert
    • Remove Citation Alert
    • Cited By
  • Similar Articles
    • Related Articles (in Spandidos Publications)
    • Similar Articles (Google Scholar)
    • Similar Articles (PubMed)
  • Download PDF
  • Download XML
  • View XML
Article

Effect of green tea catechins on gastric mucosal dysplasia in insulin-gastrin mice

  • Authors:
    • Takashi Ohno
    • Masahiro Ohtani
    • Hiroyuki Suto
    • Makoto Ohta
    • Yoshiaki Imamura
    • Hidetaka Matsuda
    • Katsushi Hiramatsu
    • Tomoyuki Nemoto
    • Yasunari Nakamoto
  • View Affiliations / Copyright

    Affiliations: Second Department of Internal Medicine, Faculty of Medical Sciences, University of Fukui, Eiheiji-cho, Yoshida-gun, Fukui 910-1193, Japan, Division of Surgical Pathology, University of Fukui Hospital, Fukui, Japan
  • Pages: 3241-3247
    |
    Published online on: March 29, 2016
       https://doi.org/10.3892/or.2016.4717
  • Expand metrics +
Metrics: Total Views: 0 (Spandidos Publications: | PMC Statistics: )
Metrics: Total PDF Downloads: 0 (Spandidos Publications: | PMC Statistics: )
Cited By (CrossRef): 0 citations Loading Articles...

This article is mentioned in:



Abstract

Green tea catechins (GTCs) have been implicated in various physiological effects, including anti-carcinogenic activities. In the present study, we evaluated the effects of GTCs specifically on the development of gastritis and pre-malignant lesions in insulin-gastrin mice. Nine-week-old male INS-GAS mice (n=38) were supplemented with GTCs for 4 and 28 weeks, and their body weights, serum gastrin levels, histopathology and pro-inflammatory cytokine levels in gastric tissue and mucosal cell proliferation were monitored. Body weights of the GTC-treated mice were significantly lower than those of the untreated controls (P≤0.05). Serum gastrin levels were suppressed at the age of 37-weeks (P≤0.05). The histopathological scores indicated that the extent of dysplasia was significantly diminished (P≤0.05), although GTC supplementation did not affect the inflammation scores. The messenger RNA levels of interferon (IFN)-γ were significantly reduced at the age of 13 weeks (P≤0.05), although the changes did not reach statistical significance at the age of 37 weeks (P=0.056). The labeling index of Ki-67 immunohistochemistry was significantly decreased (P≤0.05). These results demonstrated that GTCs may play a protective role in the development of gastritis and pre-malignant lesions via an IFN-γ, gastrin, and mucosal cell proliferation-dependent mechanism in this rodent model and potentially in humans.

Introduction

Gastric cancer is the fourth most common cancer and the second leading cause of cancer-related mortality worldwide (1). The etiology of gastric cancer is multifactorial and includes Helicobacter pylori (HP) infection, smoking tobacco and dietary habits (2). However, vitamin C and some carotenoids have been inversely associated with risk of gastric cancer (3). Catechins, for example, are major components of polyphenol in green tea, one of the most widely consumed beverages in Asia. Green tea catechins (GTCs) in particular possess various physiological effects such as antibacterial, anti-oxidative and anti-carcinogenic activities (4–6). However, epidemiological evidence of any anti-carcinogenic effects related to green tea consumption is still controversial. Although several case-control studies have reported that green tea consumption decreases the risk of gastric cancer (7–9), no inverse relationship between green tea consumption and the risk of gastric cancer has been observed in cohort studies (10–12).

The most abundant physiologically active constituent of GTCs is (–)-epigallocatechin-3-gallate (EGCG). The anti-carcinogenic effects of EGCG have been extensively studied in many experimental systems, including the skin, lung, colon and prostate (13–16). This component appears to suppress cancer cell proliferation by inhibiting nuclear factor-κB, activator protein-1 and the epidermal growth factor receptor signal transduction pathway (17–19). Yamane et al (20) reported that EGCG suppresses cellular kinetics of the gastric mucosa in rat models of N-methyl-N′-nitro-nitrosoguanidine (MNNG)-induced gastric cancer. Although the oral administration of EGCG in rodent models has shown an inhibitory effect on chemically-induced gastric tumorigenesis (20,21), the molecular mechanism of protection has not been elucidated. Intestinal type gastric cancer occurs at later stages and undergoes relatively well-defined histological steps, including chronic atrophic gastritis, intestinal metaplasia and dysplasia (22). Hypergastrinemic insulin-gastrin (INS-GAS) mice mimic these human gastric carcinogenic sequences (23,24). Although infection with HP accelerates gastric carcinogenesis in INS-GAS mice, uninfected male mice develop gastric cancer at around 20 months old regardless of the infection status (23). In the present study, we evaluated the effect of GTC supplementation on gastric carcinogenesis in INS-GAS mice in terms of gastric mucosal dysplasia.

Materials and methods

Materials

Polyphenon 60S® was purchased from Mitsui Norin Co., Ltd., (Shizuoka, Japan) and contained 60.3% catechins, including EGCG (27.2%), epicatechin gallate (7.7%), epigallocatechin (15.2%), epicatechin (6.8%), gallocatechin gallate (2.9%) and catechin gallate (0.5%). The mixture was dissolved in distilled water at a concentration of 2,000 ppm.

Animals and the study design

Thirty-eight male INS-GAS mice from an FVB/N background were used in the present study. The INS-GAS mice were supplied by the Massachusetts Institute of Technology (Boston, MA, USA) and bred at the Division of Laboratory Animal Resources at the University of Fukui. Animals were housed on hardwood bedding in a micro-isolator with solid-bottom polycarbonate cages and maintained at a constant temperature with a 12-h light/dark cycle. Mice were fed a regular chow diet (CLEA rodent diet CE-2; CLEA Japan, Inc., Tokyo, Japan) and provided distilled water ad libitum. At the age of 9 weeks, mice were divided into four groups: i) group 1, mice were supplemented with the GTC solution for 4 weeks (n=8); ii) group 2, the controls were given distilled water for 4 weeks (n=8); iii) group 3, mice were supplemented with the GTC solution for 28 weeks (n=13); and iv) group 4, the controls were given distilled water for 28 weeks (n=9). All mice in groups 1 and 3 were given the GTC solution (2,000 ppm) instead of distilled water. The GTC solution and water were replaced weekly. There was no difference in the food consumption between the GTC-treated group and the control group in our preliminary experiment. After 4 or 28 weeks of GTC supplementation, at the age of 13 or 37 weeks, the mice were sacrificed by CO2 inhalation. Necropsy was performed under non-fasting conditions, and gastric tissue and serum samples were collected. All protocols were approved by the University of Fukui's Committee on Animal Care (permit no. 22047).

Histopathology and immunohistochemistry

During necropsy, linear strips of the stomach extending from the squamocolumnar junction through the proximal duodenum were fixed in 10% neutral buffered formalin overnight, processed routinely, paraffin-embedded, cut into 2-µm sections, and stained with hematoxylin and eosin. Histological evaluation for inflammation and dysplasia were graded on an ascending scale from 0–4 by a pathologist blinded to sample identity using previously outlined criteria (25). To evaluate cell proliferation of the gastric mucosa, 4 samples selected randomly from groups 3 and 4 were stained using Ki-67 immunohistochemistry. The slides were deparaffinized and hydrated in xylene and graded ethanol to water. The slides were incubated for 30 min with purified mouse anti-human Ki-67 monoclonal antibody (material no. 550609, dilution 1:50; BD Biosciences, San Diego, CA, USA) using the Vector M.O.M kit ImPRESS Peroxidase Polymer (Vector Laboratories, Inc., Burlingame, CA, USA) according to the manufacturer's instructions. After washing, the slides were incubated with diaminobenzidine for 5 min and counterstained with hematoxylin, dehydrated and mounted. The Ki-67 staining was evaluated by counting the number of positive nuclei per single gland, and the labeling index was expressed as the mean number of positively stained nuclei from 10 well-oriented glands as previously described (26).

Real-time reverse transcription polymerase chain reaction assay of cytokines

Total RNA was extracted from the corpus of the stomach using TRI reagent (Sigma-Aldrich, St. Louis, MO, USA), according to the manufacturer's instructions. Total RNA (2 µg) was converted into complement (c)-DNA using a High-Capacity cDNA Archive kit (Applied Biosystems, Foster City, CA, USA), according to the manufacturer's protocol. Real-time quantitative polymerase chain reaction (PCR) was performed using StepOne Plus (Life Technologies, Carlsbad, CA, USA) under the following conditions: 50°C for 2 min, 95°C for 10 min followed by 45 cycles at 95°C for 15 sec and 60°C for 1 min. The cDNA was amplified using the Real-Time PCR Master Mix (Toyobo, Osaka, Japan). The commercially available primer and probe mixes used in these experiments included interferon (IFN)-γ, tumor necrosis factor (TNF)-α, interleukin (IL)-1β, and glyceraldehyde-3-phosphate dehydrogenase (GAPDH) (Applied Biosystems). The PCR reaction was performed in duplicate, and the data were analyzed using a comparative cycle threshold method (27). The relative expression of the target gene was normalized to GAPDH and expressed as the fold change compared to an average value of the controls that were given distilled water for 4 weeks (group 2).

Serum gastrin levels

The blood samples at necropsy were centrifuged and stored at −20°C. Serum gastrin levels in groups 3 and 4 were measured using a radioimmunoassay (BML Corp., Tokyo, Japan).

Statistical analysis

Non-parametric data, including two histological parameters and gene expression assays, were analyzed using Mann-Whitney U test. Parametric data, including body weight, the serum gastrin level, and Ki-67 labeling were analyzed using Student's t-test. Statistical computing was performed using Prism 6 software for Windows (Graphpad Software, Inc., San Diego, CA, USA). Data are shown as mean ± standard error of mean. Statistical significance was defined as a P-value <0.05.

Results

Administration of GTCs decreased body weights and serum gastrin levels

We compared body weights between the GTC-administered group and the control group to confirm that GTCs were reliably administered at a sufficient dosage. In groups 1 and 2, for which the duration of administration was 4 weeks, the body weight was significantly lower in the group receiving GTCs (29.8±1.1 g) than in the control group (34.7±0.7 g). Similarly, in groups 3 and 4, for which the duration of administration was 28 weeks, the body weight was significantly lower in the group receiving GTCs (33.7±0.8 g) than in the control group (40.3±0.7 g) (Table I). Furthermore, when the serum gastrin levels were compared between the 28-week GTC-administered group and control groups, the level of gastrin (863±65.6 pg/ml) was significantly lower in the GTC-administered group than in the control group (1,912±507.4 pg/ml) (P≤0.05). The low gastrin level in the GTC-administered group during non-fasting states indicated that the gastrin level was continuously suppressed by the administration of GTCs.

Table I

Body weights (g) after supplementation of GTCs for 4 and 28 weeks.

Table I

Body weights (g) after supplementation of GTCs for 4 and 28 weeks.

GroupDuration of GTCs administration
4 weeks28 weeks
Control34.7±0.740.3±0.7
GTCs29.8±1.1a33.7±0.8a

a P<0.05 compared with control INS-GAS mice.

Administration of GTCs attenuated gastric dysplasia

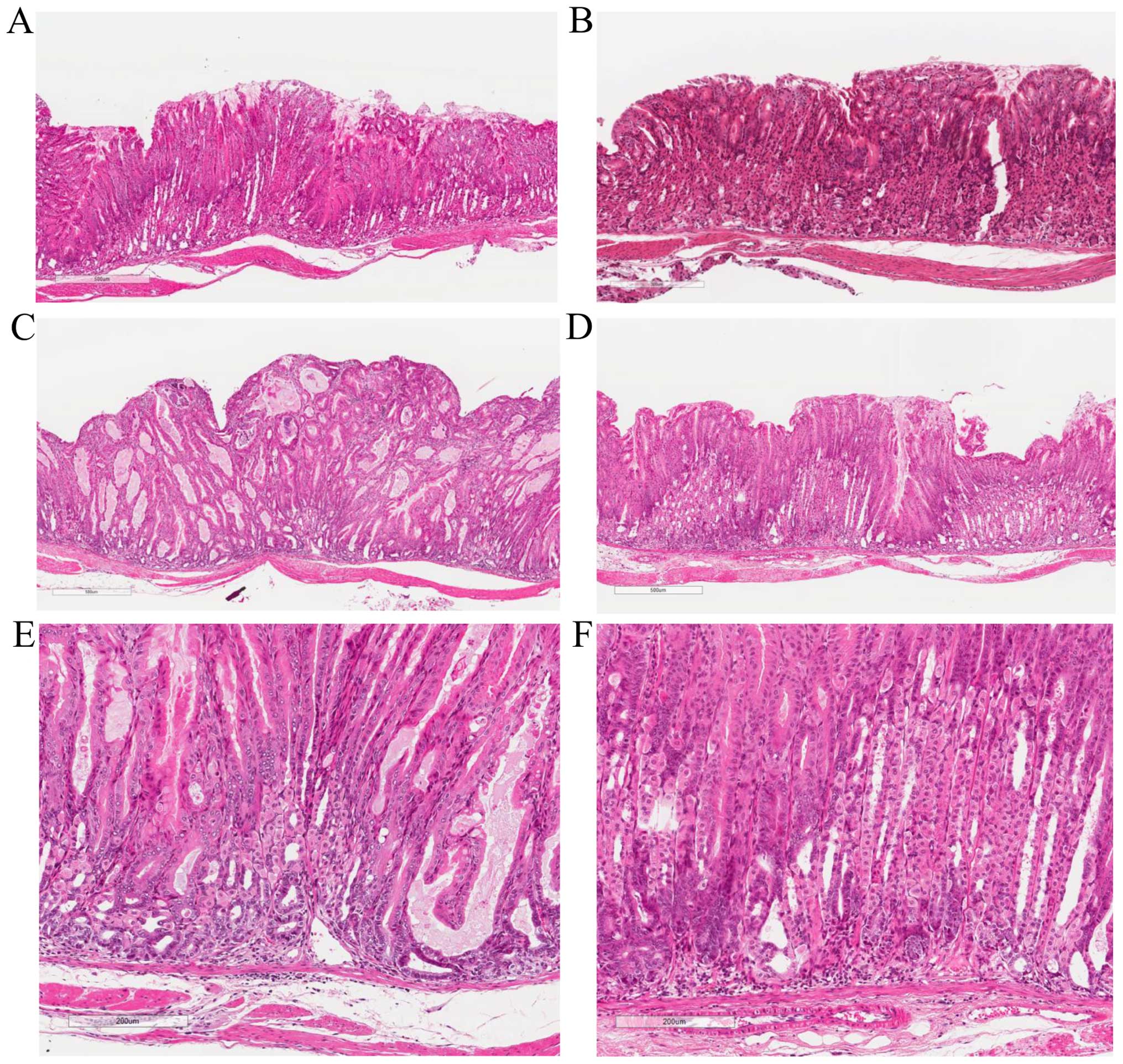
To evaluate the effects of GTC administration on gastritis, we performed histopathological examinations of the gastric mucosa. The mice developed minimal to mild corpus gastritis. Similar to the results of previous studies using INS-GAS mice (23,24,26), atrophy of the gastric fundic gland, hyperplasia of the glandular epithelium, and intestinal epithelium metaplasia and dysplasia were observed (Fig. 1). No differences in inflammation scores were observed between the GTC-administered group and the control group in either the 4-week or the 28-week administration clusters. In the 4-week groups, no differences in the dysplasia scores were observed between the GTC-administered group and the control group. However, the dysplasia score was significantly lower in the 28-week GTC-administered group than in the 28-week control group (Fig. 2). These results suggested that although INS-GAS mice inevitably slowly develop gastric cancer from gastritis regardless of the intervention, the progression of gastric mucosal dysplasia was inhibited by long-term GTC administration.

Figure 1

Histopathology of the corpus of the stomach in insulin-gastrin mice. (A) Mice after sham supplementation for 4 weeks. (B) Mice after 4 weeks of green tea catechin (GTC) supplementation. (C and E) Mice after 28 weeks of sham supplementation; the glands have a tortuous architecture. (D and F) Less severe mucosal change was noted in the GTC-supplemented mice after 28 weeks.

Figure 2

Gastric histological scores of intact and green tea catechin (GTC)-supplemented insulin-gastrin mice for 4 and 28 weeks. *P≤0.05 compared with intact mice.

GTCs modulated IFN-γ expression in the gastric mucosa

To molecularly evaluate the mechanism of changes in dysplasia, we analyzed messenger (m)-RNA expression of inflammatory cytokines such as IFN-γ, TNF-α and IL-1β in the gastric tissue (Fig. 3). In the 4-week administration cluster, mRNA levels of IFN-γ were significantly lower in the GTC-administered group than in the control group (P≤0.05). In addition, although not significantly different, the 28-week mRNA levels of IFN-γ were also lower in the GTC-administered group than in the control group (P=0.056). We also analyzed the mRNA expression of TNF-α and IL-1β, but no significant differences were observed between the GTC-administered group and the control group in either the 4-week or 28-week administration clusters. These results suggested that the expression of IFN-γ in the gastric mucosa was inhibited by GTC administration, but GTC administration had little or no effect on the expression of other inflammatory cytokines such as TNF-α and IL-1β.

Figure 3

Gastric tissue messenger RNA levels of pro-inflammatory cytokines. Gastric tissues were evaluated using quantitative polymerase chain reaction for messenger (m)-RNA levels of interferon (IFN)-γ, tumor necrosis factor (TNF)-α and interleukin (IL)-1β. The target gene mRNAs were normalized to that of glyceraldehyde-3-phosphate dehydrogenase. Data are expressed as the mean median fold change normalized to the average of the intact insulin-gastrin (INS-GAS) mice after sham supplementation for 4 weeks. *P≤0.05 compared with intact INS-GAS mice.

Administration of GTCs suppressed epithelial cell proliferation in the gastric mucosa

To evaluate the effect of GTC administration on cell proliferation in the gastric mucosal epithelium, analysis was performed in the 28-week administration cluster using the Ki-67 immunohistochemical staining labeling index. We observed Ki-67 positive nuclei from the glandular cervical region to the crypt epithelium (Fig. 4A and B). The labeling index of Ki-67 was significantly lower in the GTC-administered group than in the control group (Fig. 4C). This result suggested that cell growth in the gastric mucosal epithelium was inhibited by GTC administration.

Figure 4

Immunohistochemical detection of Ki-67 in the proximal corpus of the stomach. Green tea catechin (GTC)-supplemented mice showed significantly decreased Ki-67 labeling index (LI) compared with intact mice. (A) Mice after sham supplementation for 28 weeks. (B) Mice after GTC supplementation for 28 weeks. (C) Epithelial cell proliferation LI of the proximal corpus. *P≤0.05.

Discussion

In the present study, we analyzed the preventive effects of GTC administration on gastric cancer using a mouse model. INS-GAS mice exhibit high gastrin levels and gastric fundic gland atrophy, and develop gastric cancer after approximately 20 months in their natural life cycle (23). In the present study, we observed a significant reduction in body weight due to GTC administration at 4 and 28 weeks, and suppressed gastric mucosa dysplasia progression after 28 weeks, suggesting a tumor-inhibitory effect from GTCs. Furthermore, GTC administration also appeared to suppress mRNA expression of IFN-γ in the gastric mucosa and proliferation of gastric mucosal epithelial cells.

GTCs have been reported to show various physiological activities such as antibacterial, antitumor and anti-inflammatory actions (4–6). In the present study, the GTC-administered groups had a significant reduction in body weight compared to the control groups, which is in agreement with previous reports on abdominal cavity fat and overall weight reduction following green tea powder administration in mice (28). The suggested mechanisms involve GTC-suppressed fatty acid synthase activity in the liver, increased activity of the enzymes involved in lipolysis (29), and increased expression of lipolytic enzymes in adipocytes (30). In addition, the catechin intake and exercise have been reported to have inhibitory effects on the increase in mouse body weight (31). In the present study, GTCs administered via drinking water showed sufficient physiological activity to result in body weight reduction.

In the 28-week administration cluster, the serum gastrin level was significantly lower in the GTC group than in the control group. Gastric fundic gland atrophy and the reduction of the gastric acid secretion capacity are seen in INS-GAS mice as early as 6 months after birth in their natural life cycle, and further increases in the gastrin levels are inevitably observed as time progresses (23). Sato et al (32) reported that GTC administration reduces the serum gastrin level and protects against stress-initiated acute gastric mucosal damage in water-immersion mouse models. Furthermore, gastrin and histamine receptor antagonists reportedly suppress the progression of gastric mucosal atrophy due to chronic gastritis in Helicobacter felis-infected INS-GAS mice, ultimately resulting in the suppression of gastric carcinogenesis (27). The mechanism by which GTCs reduce gastrin levels in INS-GAS mice is not fully understood, but it is thought that the reduction inhibits the progression of dysplasia in the gastric mucosa. The present study supported this hypothesis, as dysplasia of the gastric mucosa was indeed significantly suppressed in the 28-week GTC-administered group compared to the control group.

The GTC-administered group also had reduced gastric mucosal IFN-γ expression, suggesting that IFN-γ is involved in the suppression of dysplasia. An HP infection is a class I gastric carcinogen; the infection causes chronic gastritis, which progresses into atrophic gastritis, intestinal metaplasia, and dysplasia and ultimately leads to carcinogenesis (22). Increased expressions of inflammatory cytokines such as IFN-γ and IL-1β are seen in HP-infected gastric mucosa, rein forcing their important role in inflammatory carcinogenesis (33,34). Furthermore, IFN-γ knockout mice fail to develop HP-infected gastritis or gastric mucosa atrophy (35). In this study, gastric mucosal IFN-γ expression was suppressed by GTC administration at 4 weeks, and although the difference did not remain significant at 28 weeks, a reduction was still noticeable. To date, GTC administration has been reported to inhibit the local production of inflammatory cytokines such as IFN-γ and TNF-α in mouse models with dextran sulfate sodium-induced colitis, autoimmune hepatitis and arthritis (36–38). In addition, it is reported that GTC decrease IL-1β expression in melanoma cells (39). The inhibitory effect of GTC on mRNA expression of IL-1β and TNF-α was not observed in this study. Host factor may be associated with the differences in susceptibility to GTC.

In the present study, the inhibition of cell proliferation of the gastric mucosal epithelium was observed in the GTC-administered groups, similar to the GTC-induced growth inhibitory effects of gastric mucosal epithelial cells in an MNNG-induced gastric carcinogenesis model. Many studies have thus far reported cytostatic effects of GTC in various cancer cell lines such as lung, breast and colorectal cancer (40–42), which are thought to involve TNF-α release inhibition and an inhibitory effect on DNA methylation. Some mechanisms have been proposed for the effect of GTCs on cell proliferation. GTC induces apoptosis, cell cycle arrest and modulation intracellular cell signaling. EGCG trigger cell growth arrest pathway at G1 stage cycle through regulation of cyclin D1, cdk4, cdk6, p21/WAF1/CIP1 and p27/KIP1 and induced apoptosis through caspase-3 and caspase-9 activation (43). Furthermore, cell growth inhibition and apoptosis induction by EGCG have been identified in gastric carcinoma cell lines as well. These mechanisms involve Id1 and EGCG-regulated surviving expression, but the specifics of these mechanisms have not yet been elucidated (44,45).

We reported the potential preventive effects of GTCs on gastric carcinogenesis in INS-GAS mice via the suppression of IFN-γ expression and gastric mucosal epithelial cell growth inhibition. In addition, GTCs possess anti-oxidant and anti-vascularity effects, which should be equally closely examined in future studies. Understanding the protective mechanisms of GTCs against gastric carcinogenesis at a molecular level may lead to new therapeutic and preventative interventions for treating gastric cancer in humans.

Acknowledgments

The INS-GAS mice were supplied by Professor James G. Fox (Massachusetts Institute of Technology). We would like to thank Editage (www.editage.jp) for English language editing. The present study was supported by the JSPS Grant-in-Aid for Scientific Research (C) (grant no. 23510346).

References

1 

Ferro A, Peleteiro B, Malvezzi M, Bosetti C, Bertuccio P, Levi F, Negri E, La Vecchia C and Lunet N: Worldwide trends in gastric cancer mortality (1980–2011), with predictions to 2015, and incidence by subtype. Eur J Cancer. 50:1330–1344. 2014. View Article : Google Scholar : PubMed/NCBI

2 

Parkin DM, Bray F, Ferlay J and Pisani P: Global cancer statistics, 2002. CA Cancer J Clin. 55:74–108. 2005. View Article : Google Scholar : PubMed/NCBI

3 

Gonzalez CA and Riboli E: Diet and cancer prevention: Contributions from the European Prospective Investigation into Cancer and Nutrition (EPIC) study. Eur J Cancer. 46:2555–2562. 2010. View Article : Google Scholar : PubMed/NCBI

4 

Shiota S, Shimizu M, Mizushima T, Ito H, Hatano T, Yoshida T and Tsuchiya T: Marked reduction in the minimum inhibitory concentration (MIC) of beta-lactams in methicillin-resistant Staphylococcus aureus produced by epicatechin gallate, an ingredient of green tea (Camellia sinensis). Biol Pharm Bull. 22:1388–1390. 1999. View Article : Google Scholar

5 

El-Beshbishy HA: Hepatoprotective effect of green tea (Camellia sinensis) extract against tamoxifen-induced liver injury in rats. J Biochem Mol Biol. 38:563–570. 2005. View Article : Google Scholar : PubMed/NCBI

6 

Cheng CW, Shieh PC, Lin YC, Chen YJ, Lin YH, Kuo DH, Liu JY, Kao JY, Kao MC and Way TD: Indoleamine 2,3-dioxy-genase, an immunomodulatory protein, is suppressed by (–)-epigallocatechin-3-gallate via blocking of gamma-interferon-induced JAK-PKC-delta-STAT1 signaling in human oral cancer cells. J Agric Food Chem. 58:887–894. 2010. View Article : Google Scholar

7 

Kono S, Ikeda M, Tokudome S and Kuratsune M: A case-control study of gastric cancer and diet in northern Kyushu, Japan. Jpn J Cancer Res. 79:1067–1074. 1988. View Article : Google Scholar : PubMed/NCBI

8 

Ji BT, Chow WH, Yang G, McLaughlin JK, Gao RN, Zheng W, Shu XO, Jin F, Fraumeni JF Jr and Gao YT: The influence of cigarette smoking, alcohol, and green tea consumption on the risk of carcinoma of the cardia and distal stomach in Shanghai, China. Cancer. 77:2449–2457. 1996. View Article : Google Scholar : PubMed/NCBI

9 

Inoue M, Tajima K, Hirose K, Hamajima N, Takezaki T, Kuroishi T and Tominaga S: Tea and coffee consumption and the risk of digestive tract cancers: Data from a comparative case-referent study in Japan. Cancer Causes Control. 9:209–216. 1998. View Article : Google Scholar : PubMed/NCBI

10 

Tsubono Y, Nishino Y, Komatsu S, Hsieh CC, Kanemura S, Tsuji I, Nakatsuka H, Fukao A, Satoh H and Hisamichi S: Green tea and the risk of gastric cancer in Japan. N Engl J Med. 344:632–636. 2001. View Article : Google Scholar : PubMed/NCBI

11 

Nagano J, Kono S, Preston DL and Mabuchi K: A prospective study of green tea consumption and cancer incidence, Hiroshima and Nagasaki (Japan). Cancer Causes Control. 12:501–508. 2001. View Article : Google Scholar : PubMed/NCBI

12 

Hoshiyama Y, Kawaguchi T, Miura Y, Mizoue T, Tokui N, Yatsuya H, Sakata K, Kondo T, Kikuchi S, Toyoshima H, et al Japan Collaborative Cohort Study Group: A prospective study of stomach cancer death in relation to green tea consumption in Japan. Br J Cancer. 87:309–313. 2002. View Article : Google Scholar : PubMed/NCBI

13 

Singh T and Katiyar SK: Green tea polyphenol, (–)-epigallo-catechin-3-gallate, induces toxicity in human skin cancer cells by targeting β-catenin signaling. Toxicol Appl Pharmacol. 273:418–424. 2013. View Article : Google Scholar : PubMed/NCBI

14 

Wang H, Bian S and Yang CS: Green tea polyphenol EGCG suppresses lung cancer cell growth through upregulating miR-210 expression caused by stabilizing HIF-1α. Carcinogenesis. 32:1881–1889. 2011. View Article : Google Scholar : PubMed/NCBI

15 

Baek SJ, Kim JS, Jackson FR, Eling TE, McEntee MF and Lee SH: Epicatechin gallate-induced expression of NAG-1 is associated with growth inhibition and apoptosis in colon cancer cells. Carcinogenesis. 25:2425–2432. 2004. View Article : Google Scholar : PubMed/NCBI

16 

Harper CE, Patel BB, Wang J, Eltoum IA and Lamartiniere CA: Epigallocatechin-3-gallate suppresses early stage, but not late stage prostate cancer in TRAMP mice: Mechanisms of action. Prostate. 67:1576–1589. 2007. View Article : Google Scholar : PubMed/NCBI

17 

Ahmad N, Gupta S and Mukhtar H: Green tea polyphenol epigallocatechin-3-gallate differentially modulates nuclear factor kappaB in cancer cells versus normal cells. Arch Biochem Biophys. 376:338–346. 2000. View Article : Google Scholar : PubMed/NCBI

18 

Dong Z, Ma W, Huang C and Yang CS: Inhibition of tumor promoter-induced activator protein 1 activation and cell transformation by tea polyphenols, (–)-epigallocatechin gallate, and theaflavins. Cancer Res. 57:4414–4419. 1997.PubMed/NCBI

19 

Adachi S, Shimizu M, Shirakami Y, Yamauchi J, Natsume H, Matsushima-Nishiwaki R, To S, Weinstein IB, Moriwaki H and Kozawa O: (–)-Epigallocatechin gallate downregulates EGF receptor via phosphorylation at Ser1046/1047 by p38 MAPK in colon cancer cells. Carcinogenesis. 30:1544–1552. 2009. View Article : Google Scholar : PubMed/NCBI

20 

Yamane T, Takahashi T, Kuwata K, Oya K, Inagake M, Kitao Y, Suganuma M and Fujiki H: Inhibition of N-methyl-N′-nitro-N-nitrosoguanidine-induced carcinogenesis by (–)-epigallocatechin gallate in the rat glandular stomach. Cancer Res. 55:2081–2084. 1995.PubMed/NCBI

21 

Katiyar SK, Agarwal R, Zaim MT and Mukhtar H: Protection against N-nitrosodiethylamine and benzo[a]pyrene-induced forestomach and lung tumorigenesis in A/J mice by green tea. Carcinogenesis. 14:849–855. 1993. View Article : Google Scholar : PubMed/NCBI

22 

Correa P: Human gastric carcinogenesis: A multistep and multifactorial process - First American Cancer Society Award Lecture on Cancer Epidemiology and Prevention. Cancer Res. 52:6735–6740. 1992.PubMed/NCBI

23 

Wang TC, Dangler CA, Chen D, Goldenring JR, Koh T, Raychowdhury R, Coffey RJ, Ito S, Varro A, Dockray GJ, et al: Synergistic interaction between hypergastrinemia and Helicobacter infection in a mouse model of gastric cancer. Gastroenterology. 118:36–47. 2000. View Article : Google Scholar

24 

Fox JG, Wang TC, Rogers AB, Poutahidis T, Ge Z, Taylor N, Dangler CA, Israel DA, Krishna U, Gaus K, et al: Host and microbial constituents influence Helicobacter pylori-induced cancer in a murine model of hypergastrinemia. Gastroenterology. 124:1879–1890. 2003. View Article : Google Scholar : PubMed/NCBI

25 

Rogers AB, Taylor NS, Whary MT, Stefanich ED, Wang TC and Fox JG: Helicobacter pylori but not high salt induces gastric intraepithelial neoplasia in B6129 mice. Cancer Res. 65:10709–10715. 2005. View Article : Google Scholar : PubMed/NCBI

26 

Ohtani M, García A, Rogers AB, Ge Z, Taylor NS, Xu S, Watanabe K, Marini RP, Whary MT, Wang TC, et al: Protective role of 17 beta -estradiol against the development of Helicobacter pylori-induced gastric cancer in INS-GAS mice. Carcinogenesis. 28:2597–2604. 2007. View Article : Google Scholar : PubMed/NCBI

27 

Takaishi S, Cui G, Frederick DM, Carlson JE, Houghton J, Varro A, Dockray GJ, Ge Z, Whary MT, Rogers AB, et al: Synergistic inhibitory effects of gastrin and histamine receptor antagonists on Helicobacter-induced gastric cancer. Gastroenterology. 128:1965–1983. 2005. View Article : Google Scholar : PubMed/NCBI

28 

Sayama K, Lin S, Zheng G and Oguni I: Effects of green tea on growth, food utilization and lipid metabolism in mice. In Vivo. 14:481–484. 2000.PubMed/NCBI

29 

Sugiura C, Nishimatsu S, Moriyama T, Ozasa S, Kawada T and Sayama K: Catechins and caffeine inhibit fat accumulation in mice through the improvement of hepatic lipid metabolism. J Obes. 2012:5205102012. View Article : Google Scholar : PubMed/NCBI

30 

Lee MS, Kim CT, Kim IH and Kim Y: Inhibitory effects of green tea catechin on the lipid accumulation in 3T3-L1 adipocytes. Phytother Res. 23:1088–1091. 2009. View Article : Google Scholar

31 

Murase T, Haramizu S, Shimotoyodome A and Tokimitsu I: Reduction of diet-induced obesity by a combination of tea-catechin intake and regular swimming. Int J Obes. 30:561–568. 2006. View Article : Google Scholar

32 

Sato H, Matsui T and Arakawa Y: The protective effect of catechin on gastric mucosal lesions in rats, and its hormonal mechanisms. J Gastroenterol. 37:106–111. 2002. View Article : Google Scholar

33 

Sayi A, Kohler E, Hitzler I, Arnold I, Schwendener R, Rehrauer H and Müller A: The CD4+ T cell-mediated IFN-gamma response to Helicobacter infection is essential for clearance and determines gastric cancer risk. J Immunol. 182:7085–7101. 2009. View Article : Google Scholar : PubMed/NCBI

34 

Uedo N, Tatsuta M, Iishi H, Baba M, Yano H, Ishihara R, Higashino K and Ishiguro S: Enhancement by interleukin-1 beta of gastric carcinogenesis induced by N-methyl-N′-nitro-N-nitrosoguanidine in Wistar rats: A possible mechanism for Helicobacter pylori-associated gastric carcinogenesis. Cancer Lett. 198:161–168. 2003. View Article : Google Scholar : PubMed/NCBI

35 

Smythies LE, Waites KB, Lindsey JR, Harris PR, Ghiara P and Smith PD: Helicobacter pylori-induced mucosal inflammation is Th1 mediated and exacerbated in IL-4, but not IFN-gamma, gene-deficient mice. J Immunol. 165:1022–1029. 2000. View Article : Google Scholar : PubMed/NCBI

36 

Shirakami Y, Shimizu M, Tsurumi H, Hara Y, Tanaka T and Moriwaki H: EGCG and polyphenon E attenuate inflammation-related mouse colon carcinogenesis induced by AOM plus DDS. Mol Med Rep. 1:355–361. 2008.PubMed/NCBI

37 

Haqqi TM, Anthony DD, Gupta S, Ahmad N, Lee MS, Kumar GK and Mukhtar H: Prevention of collagen-induced arthritis in mice by a polyphenolic fraction from green tea. Proc Natl Acad Sci USA. 96:4524–4529. 1999. View Article : Google Scholar : PubMed/NCBI

38 

Wang Y, Mei Y, Feng D and Xu L: (–)-Epigallocatechin-3-gallate protects mice from concanavalin A-induced hepatitis through suppressing immune-mediated liver injury. Clin Exp Immunol. 145:485–492. 2006. View Article : Google Scholar : PubMed/NCBI

39 

Ellis LZ, Liu W, Luo Y, Okamoto M, Qu D, Dunn JH and Fujita M: Green tea polyphenol epigallocatechin-3-gallate suppresses melanoma growth by inhibiting inflammasome and IL-1β secretion. Biochem Biophys Res Commun. 414:551–556. 2011. View Article : Google Scholar : PubMed/NCBI

40 

Fujiki H, Suganuma M, Okabe S, Sueoka N, Komori A, Sueoka E, Kozu T, Tada Y, Suga K, Imai K, et al: Cancer inhibition by green tea. Mutat Res. 402:307–310. 1998. View Article : Google Scholar : PubMed/NCBI

41 

Deguchi H, Fujii T, Nakagawa S, Koga T and Shirouzu K: Analysis of cell growth inhibitory effects of catechin through MAPK in human breast cancer cell line T47D. Int J Oncol. 21:1301–1305. 2002.PubMed/NCBI

42 

Moseley VR, Morris J, Knackstedt RW and Wargovich MJ: Green tea polyphenol epigallocatechin 3-gallate, contributes to the degradation of DNMT3A and HDAC3 in HCT 116 human colon cancer cells. Anticancer Res. 33:5325–5333. 2013.PubMed/NCBI

43 

Shankar S, Suthakar G and Srivastava RK: Epigallocatechin-3-gallate inhibits cell cycle and induces apoptosis in pancreatic cancer. Front Biosci. 12:5039–5051. 2007. View Article : Google Scholar : PubMed/NCBI

44 

Ma J, Shi M, Li G, Wang N, Wei J, Wang T, Ma J and Wang Y: Regulation of Id1 expression by epigallocatechin-3-gallate and its effect on the proliferation and apoptosis of poorly differentiated AGS gastric cancer cells. Int J Oncol. 43:1052–1058. 2013.PubMed/NCBI

45 

Onoda C, Kuribayashi K, Nirasawa S, Tsuji N, Tanaka M, Kobayashi D and Watanabe N: (–)-Epigallocatechin-3-gallate induces apoptosis in gastric cancer cell lines by down-regulating survivin expression. Int J Oncol. 38:1403–1408. 2011.PubMed/NCBI

Related Articles

  • Abstract
  • View
  • Download
  • Twitter
Copy and paste a formatted citation
Spandidos Publications style
Ohno T, Ohtani M, Suto H, Ohta M, Imamura Y, Matsuda H, Hiramatsu K, Nemoto T and Nakamoto Y: Effect of green tea catechins on gastric mucosal dysplasia in insulin-gastrin mice. Oncol Rep 35: 3241-3247, 2016.
APA
Ohno, T., Ohtani, M., Suto, H., Ohta, M., Imamura, Y., Matsuda, H. ... Nakamoto, Y. (2016). Effect of green tea catechins on gastric mucosal dysplasia in insulin-gastrin mice. Oncology Reports, 35, 3241-3247. https://doi.org/10.3892/or.2016.4717
MLA
Ohno, T., Ohtani, M., Suto, H., Ohta, M., Imamura, Y., Matsuda, H., Hiramatsu, K., Nemoto, T., Nakamoto, Y."Effect of green tea catechins on gastric mucosal dysplasia in insulin-gastrin mice". Oncology Reports 35.6 (2016): 3241-3247.
Chicago
Ohno, T., Ohtani, M., Suto, H., Ohta, M., Imamura, Y., Matsuda, H., Hiramatsu, K., Nemoto, T., Nakamoto, Y."Effect of green tea catechins on gastric mucosal dysplasia in insulin-gastrin mice". Oncology Reports 35, no. 6 (2016): 3241-3247. https://doi.org/10.3892/or.2016.4717
Copy and paste a formatted citation
x
Spandidos Publications style
Ohno T, Ohtani M, Suto H, Ohta M, Imamura Y, Matsuda H, Hiramatsu K, Nemoto T and Nakamoto Y: Effect of green tea catechins on gastric mucosal dysplasia in insulin-gastrin mice. Oncol Rep 35: 3241-3247, 2016.
APA
Ohno, T., Ohtani, M., Suto, H., Ohta, M., Imamura, Y., Matsuda, H. ... Nakamoto, Y. (2016). Effect of green tea catechins on gastric mucosal dysplasia in insulin-gastrin mice. Oncology Reports, 35, 3241-3247. https://doi.org/10.3892/or.2016.4717
MLA
Ohno, T., Ohtani, M., Suto, H., Ohta, M., Imamura, Y., Matsuda, H., Hiramatsu, K., Nemoto, T., Nakamoto, Y."Effect of green tea catechins on gastric mucosal dysplasia in insulin-gastrin mice". Oncology Reports 35.6 (2016): 3241-3247.
Chicago
Ohno, T., Ohtani, M., Suto, H., Ohta, M., Imamura, Y., Matsuda, H., Hiramatsu, K., Nemoto, T., Nakamoto, Y."Effect of green tea catechins on gastric mucosal dysplasia in insulin-gastrin mice". Oncology Reports 35, no. 6 (2016): 3241-3247. https://doi.org/10.3892/or.2016.4717
Follow us
  • Twitter
  • LinkedIn
  • Facebook
About
  • Spandidos Publications
  • Careers
  • Cookie Policy
  • Privacy Policy
How can we help?
  • Help
  • Live Chat
  • Contact
  • Email to our Support Team