Spandidos Publications Logo
  • About
    • About Spandidos
    • Aims and Scopes
    • Abstracting and Indexing
    • Editorial Policies
    • Reprints and Permissions
    • Job Opportunities
    • Terms and Conditions
    • Contact
  • Journals
    • All Journals
    • Oncology Letters
      • Oncology Letters
      • Information for Authors
      • Editorial Policies
      • Editorial Board
      • Aims and Scope
      • Abstracting and Indexing
      • Bibliographic Information
      • Archive
    • International Journal of Oncology
      • International Journal of Oncology
      • Information for Authors
      • Editorial Policies
      • Editorial Board
      • Aims and Scope
      • Abstracting and Indexing
      • Bibliographic Information
      • Archive
    • Molecular and Clinical Oncology
      • Molecular and Clinical Oncology
      • Information for Authors
      • Editorial Policies
      • Editorial Board
      • Aims and Scope
      • Abstracting and Indexing
      • Bibliographic Information
      • Archive
    • Experimental and Therapeutic Medicine
      • Experimental and Therapeutic Medicine
      • Information for Authors
      • Editorial Policies
      • Editorial Board
      • Aims and Scope
      • Abstracting and Indexing
      • Bibliographic Information
      • Archive
    • International Journal of Molecular Medicine
      • International Journal of Molecular Medicine
      • Information for Authors
      • Editorial Policies
      • Editorial Board
      • Aims and Scope
      • Abstracting and Indexing
      • Bibliographic Information
      • Archive
    • Biomedical Reports
      • Biomedical Reports
      • Information for Authors
      • Editorial Policies
      • Editorial Board
      • Aims and Scope
      • Abstracting and Indexing
      • Bibliographic Information
      • Archive
    • Oncology Reports
      • Oncology Reports
      • Information for Authors
      • Editorial Policies
      • Editorial Board
      • Aims and Scope
      • Abstracting and Indexing
      • Bibliographic Information
      • Archive
    • Molecular Medicine Reports
      • Molecular Medicine Reports
      • Information for Authors
      • Editorial Policies
      • Editorial Board
      • Aims and Scope
      • Abstracting and Indexing
      • Bibliographic Information
      • Archive
    • World Academy of Sciences Journal
      • World Academy of Sciences Journal
      • Information for Authors
      • Editorial Policies
      • Editorial Board
      • Aims and Scope
      • Abstracting and Indexing
      • Bibliographic Information
      • Archive
    • International Journal of Functional Nutrition
      • International Journal of Functional Nutrition
      • Information for Authors
      • Editorial Policies
      • Editorial Board
      • Aims and Scope
      • Abstracting and Indexing
      • Bibliographic Information
      • Archive
    • International Journal of Epigenetics
      • International Journal of Epigenetics
      • Information for Authors
      • Editorial Policies
      • Editorial Board
      • Aims and Scope
      • Abstracting and Indexing
      • Bibliographic Information
      • Archive
    • Medicine International
      • Medicine International
      • Information for Authors
      • Editorial Policies
      • Editorial Board
      • Aims and Scope
      • Abstracting and Indexing
      • Bibliographic Information
      • Archive
  • Articles
  • Information
    • Information for Authors
    • Information for Reviewers
    • Information for Librarians
    • Information for Advertisers
    • Conferences
  • Language Editing
Spandidos Publications Logo
  • About
    • About Spandidos
    • Aims and Scopes
    • Abstracting and Indexing
    • Editorial Policies
    • Reprints and Permissions
    • Job Opportunities
    • Terms and Conditions
    • Contact
  • Journals
    • All Journals
    • Biomedical Reports
      • Information for Authors
      • Editorial Policies
      • Editorial Board
      • Aims and Scope
      • Abstracting and Indexing
      • Bibliographic Information
      • Archive
    • Experimental and Therapeutic Medicine
      • Information for Authors
      • Editorial Policies
      • Editorial Board
      • Aims and Scope
      • Abstracting and Indexing
      • Bibliographic Information
      • Archive
    • International Journal of Epigenetics
      • Information for Authors
      • Editorial Policies
      • Editorial Board
      • Aims and Scope
      • Abstracting and Indexing
      • Bibliographic Information
      • Archive
    • International Journal of Functional Nutrition
      • Information for Authors
      • Editorial Policies
      • Editorial Board
      • Aims and Scope
      • Abstracting and Indexing
      • Bibliographic Information
      • Archive
    • International Journal of Molecular Medicine
      • Information for Authors
      • Editorial Policies
      • Editorial Board
      • Aims and Scope
      • Abstracting and Indexing
      • Bibliographic Information
      • Archive
    • International Journal of Oncology
      • Information for Authors
      • Editorial Policies
      • Editorial Board
      • Aims and Scope
      • Abstracting and Indexing
      • Bibliographic Information
      • Archive
    • Medicine International
      • Information for Authors
      • Editorial Policies
      • Editorial Board
      • Aims and Scope
      • Abstracting and Indexing
      • Bibliographic Information
      • Archive
    • Molecular and Clinical Oncology
      • Information for Authors
      • Editorial Policies
      • Editorial Board
      • Aims and Scope
      • Abstracting and Indexing
      • Bibliographic Information
      • Archive
    • Molecular Medicine Reports
      • Information for Authors
      • Editorial Policies
      • Editorial Board
      • Aims and Scope
      • Abstracting and Indexing
      • Bibliographic Information
      • Archive
    • Oncology Letters
      • Information for Authors
      • Editorial Policies
      • Editorial Board
      • Aims and Scope
      • Abstracting and Indexing
      • Bibliographic Information
      • Archive
    • Oncology Reports
      • Information for Authors
      • Editorial Policies
      • Editorial Board
      • Aims and Scope
      • Abstracting and Indexing
      • Bibliographic Information
      • Archive
    • World Academy of Sciences Journal
      • Information for Authors
      • Editorial Policies
      • Editorial Board
      • Aims and Scope
      • Abstracting and Indexing
      • Bibliographic Information
      • Archive
  • Articles
  • Information
    • For Authors
    • For Reviewers
    • For Librarians
    • For Advertisers
    • Conferences
  • Language Editing
Login Register Submit
  • This site uses cookies
  • You can change your cookie settings at any time by following the instructions in our Cookie Policy. To find out more, you may read our Privacy Policy.

    I agree
Search articles by DOI, keyword, author or affiliation
Search
Advanced Search
presentation
Oncology Reports
Join Editorial Board Propose a Special Issue
Print ISSN: 1021-335X Online ISSN: 1791-2431
Journal Cover
March-2017 Volume 37 Issue 3

Full Size Image

Sign up for eToc alerts
Recommend to Library

Journals

International Journal of Molecular Medicine

International Journal of Molecular Medicine

International Journal of Molecular Medicine is an international journal devoted to molecular mechanisms of human disease.

International Journal of Oncology

International Journal of Oncology

International Journal of Oncology is an international journal devoted to oncology research and cancer treatment.

Molecular Medicine Reports

Molecular Medicine Reports

Covers molecular medicine topics such as pharmacology, pathology, genetics, neuroscience, infectious diseases, molecular cardiology, and molecular surgery.

Oncology Reports

Oncology Reports

Oncology Reports is an international journal devoted to fundamental and applied research in Oncology.

Experimental and Therapeutic Medicine

Experimental and Therapeutic Medicine

Experimental and Therapeutic Medicine is an international journal devoted to laboratory and clinical medicine.

Oncology Letters

Oncology Letters

Oncology Letters is an international journal devoted to Experimental and Clinical Oncology.

Biomedical Reports

Biomedical Reports

Explores a wide range of biological and medical fields, including pharmacology, genetics, microbiology, neuroscience, and molecular cardiology.

Molecular and Clinical Oncology

Molecular and Clinical Oncology

International journal addressing all aspects of oncology research, from tumorigenesis and oncogenes to chemotherapy and metastasis.

World Academy of Sciences Journal

World Academy of Sciences Journal

Multidisciplinary open-access journal spanning biochemistry, genetics, neuroscience, environmental health, and synthetic biology.

International Journal of Functional Nutrition

International Journal of Functional Nutrition

Open-access journal combining biochemistry, pharmacology, immunology, and genetics to advance health through functional nutrition.

International Journal of Epigenetics

International Journal of Epigenetics

Publishes open-access research on using epigenetics to advance understanding and treatment of human disease.

Medicine International

Medicine International

An International Open Access Journal Devoted to General Medicine.

Journal Cover
March-2017 Volume 37 Issue 3

Full Size Image

Sign up for eToc alerts
Recommend to Library

  • Article
  • Citations
    • Cite This Article
    • Download Citation
    • Create Citation Alert
    • Remove Citation Alert
    • Cited By
  • Similar Articles
    • Related Articles (in Spandidos Publications)
    • Similar Articles (Google Scholar)
    • Similar Articles (PubMed)
  • Download PDF
  • Download XML
  • View XML
Case Report

First description of a double heterozygosity for BRCA1 and BRCA2 pathogenic variants in a French metastatic breast cancer patient: A case report

  • Authors:
    • Guillaume Meynard
    • Laura Mansi
    • Pierre Lebahar
    • Cristian Villanueva
    • Elodie Klajer
    • Fabien Calcagno
    • Adrian Vilalta
    • Marie Chaix
    • Marie-Agnès Collonge-Rame
    • Céline Populaire
    • Marie-Paule Algros
    • Prudence Colpart
    • Julie Neidich
    • Xavier Pivot
    • Elsa Curtit
  • View Affiliations / Copyright

    Affiliations: Department of Medical Oncology, University Hospital, 25000 Besançon, France, Pathway Genomics Corporation, San Diego, CA 92121, USA, Department of Medical Oncology, University Hospital, 21079 Dijon, France, University of Franche-Comté, 25000 Besançon, France
  • Pages: 1573-1578
    |
    Published online on: February 3, 2017
       https://doi.org/10.3892/or.2017.5422
  • Expand metrics +
Metrics: Total Views: 0 (Spandidos Publications: | PMC Statistics: )
Metrics: Total PDF Downloads: 0 (Spandidos Publications: | PMC Statistics: )
Cited By (CrossRef): 0 citations Loading Articles...

This article is mentioned in:



Abstract

Hereditary breast and ovarian cancer syndrome is an autosomal dominant disease caused primarily by germline mutations in the BRCA1 or BRCA2 gene. Rare cases of double heterozygosity for BRCA1 and BRCA2 mutations have been reported quite exceptionally in non-Ashkenazi individuals. We describe the case of a woman who developed a bilateral breast cancer, discovered concomitantly, at 46 years old. Biopsies confirmed the presence of two breast cancers with distinct histology. BRCA analysis was tested due to a positive family history of breast cancer, and two pathogenic monoallelic mutations were detected, one in the BRCA1 gene and one in the BRCA2 gene. There is no known Ashkenazi Jewish ancestry. We report the first description of a never described double heterozygosity for BRCA1 and BRCA2 pathogenic variants in a French metastatic breast cancer patient, with two distinct histology, and two distinct mutations.

Introduction

A small proportion of breast and ovarian cancer is explained by a mutation in BRCA1 and BRCA2. Mutations in the BRCA1 or BRCA2 genes, respectively located on chromosome 17q21 and chromosome 13q12-13, are responsible for hereditary breast and ovarian cancer syndrome (1). In France, causal mutations in BRCA1 and BRCA2 genes account for about 10% of this syndrome (2,3). BRCA1 (breast cancer 1) gene encodes a multifunctional protein that interacts with tumor suppressors, DNA repair proteins, cell cycle regulators, RNA polymerase II holoenzyme, transcription factors, co-repressors, chromatin remodeling enzymes, and RNA processing factors (4). BRCA1 protein, therefore, has a critical role in maintaining genomic stability with key functions in DNA repair, cell cycle progression, transcriptional regulation and ubiquitylation (4,5). BRCA2 (breast cancer 2) gene encodes a protein with rather similar roles in the DNA damage response and DNA repair pathways (5). The BRCA2 protein is a tumor suppressor that mediates recruitment of the RAD51 recombinase protein to DNA double-stand breaks (5). The primary function of the BRCA2 protein is to facilitate homologous recombination, an important DNA repair mechanism to maintain genomic integrity (5,6). Loss or inactivation of one copy of BRCA1 or BRCA2 results in accumulation of mutations and structural changes in the genome, thereby increasing risk of cancer (6). BRCA1 and BRCA2 mutations are inherited in an autosomal dominant condition with variable penetrance (7).

The present study reports the case of a French patient with two synchronous different breast cancers metastatic at presentation who was found to carry a double, never described mutation, in BRCA1 and BRCA2 genes.

Case report

Clinical history

In July 2014, a 46-year-old woman was referred to our medical oncology unit because she had noted at self-palpation a mass in her left breast. Physical examination confirmed an inflammatory indurated mass of the left breast measuring 12 cm. Moreover, it revealed an areola retraction of the right breast measuring 3 cm without any discharge. There were bilateral clinically fixed axillary lymph nodes.

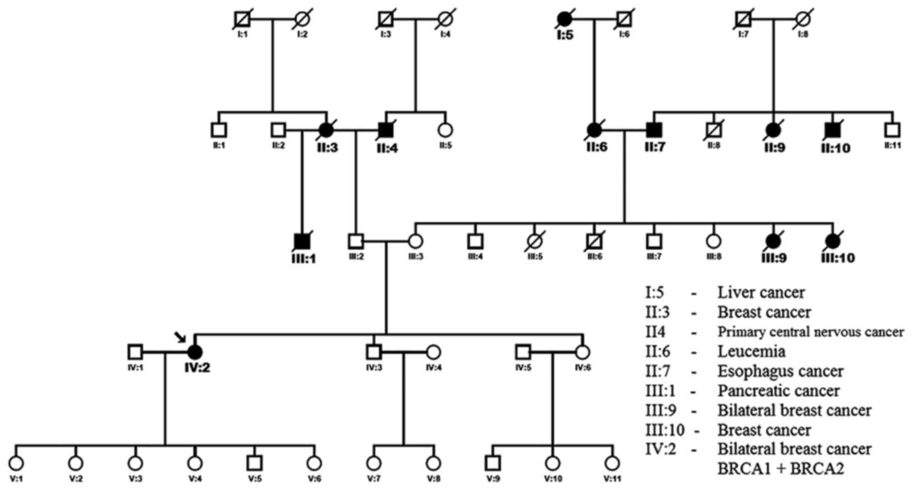
The proband has a positive familial history of breast carcinomas and other cancers (Fig. 1). Her paternal grandmother (II:3) died at the age of 72 years from breast cancer. One of her maternal aunts (III:9) developed bilateral breast cancer at 40 years and died at 59 years. Another maternal aunts (III:10) developed breast cancer at 45 years and died at 66 years. Her father's half-brother died from a pancreatic adenocarcinoma (III:1).

Figure 1.

Family tree of the patient (indicated by the arrow). BRCA (breast cancer) analysis was tested due to a positive family history of breast cancer (II:3, III:9, III:10). Two pathogenic monoallelic mutations were detected in the proband (IV:2), one in the BRCA1 gene and one in the BRCA2 gene. There is no known Ashkenazi Jewish ancestry. Subsequent predictive testing was offered to the parents. The patient's mother (III:3) present a pathogenic monoallelic mutation in the BRCA1 gene.

We noted in her personal medical history, cholecystectomy and active tobacco intoxication measured at 21 pack-years. Initially she had no regular treatment. The patient started her first period at the age of 14. She had 6 healthy children and she breast-fed two of them. There were no abortion rating, no miscarriages. After the birth of her sixth child, a hormonal intrauterine device was inserted and then removed in July 2014 at breast cancer diagnosis. Chemotherapy induced a stop of menses.

Bilateral digital mammography was performed. Right breast was Bi Rads type II classified, with supra areolar retractile opacity measuring 2.2 cm without any calcification (Fig. 2). In left breast, opacity in the supero-internal quadrant, measuring 10 cm, well limited with diffuse micro-calcifications was observed (Fig. 3).

Figure 2.

Right breast details, mammogram, histological and immunohistochemical studies. Medial-lateral oblique mammogram of the right breast demonstrating supra areolar retractile opacity measuring 2.2 cm (A). The right breast biopsy diagnosed infiltrating ductal carcinoma (B, HES staining). Elston and Ellis grade was scored at II (3.2.1). On immunohistochemical stainings, the tumor strongly expressed estrogen receptor (D), with no expression of progesterone receptor (E) and no overexpression of HER 2 (C).

Figure 3.

Left breast details, mammogram, histological and immunohistochemical studies. Medial-lateral oblique mammogram of the left breast demonstrating a large opacity in the supero-internal quadrant, measuring 10 cm, well limited with diffuse micro-calcifications (A). Biopsies of the left breast revealed triple-negative infiltrating ductal carcinoma (B, HES staining), no overexpression of HER2 (C), no expression of estrogen receptor (D), and progesterone receptor (E). Elston and Ellis grade was scored at III (3.3.3).

Biopsies confirmed the presence of two breast cancers with distinct histology. The right breast biopsy diagnosed infiltrating ductal carcinoma of no special type. Elston and Ellis grade was scored at II (3.2.1). On immunohistochemical staining, the tumor strongly expressed estrogen receptor (95%), with no expression of progesterone receptor and no overexpression of HER 2. Ki 67 expression was assessed at 14% (Fig. 2). It was T4bN2 classified.

The left breast biopsy diagnosed a triple negative infiltrating ductal carcinoma of no special type (no expression of estrogen receptor, progesterone receptor and HER2). Elston and Ellis grade was scored at III (3.3.3) and cytokeratin 5 and 6 were expressed in 40% of cells (Fig. 3). It was T4dN2 classified.

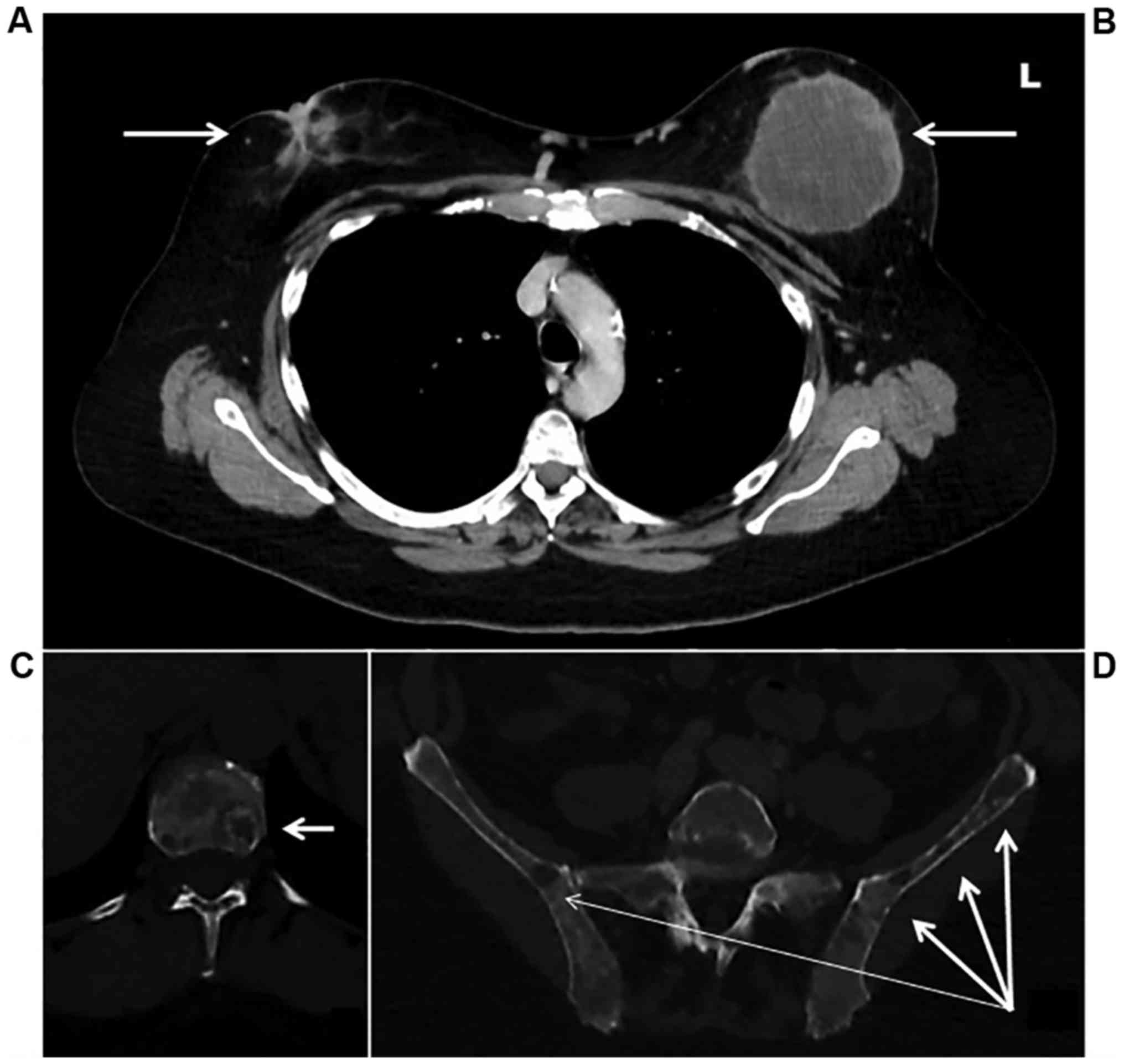
A staging computed tomography and an isotopic bone scan detected diffuse bone lesions located on the entire spine, pelvis, skull, and sternum without any visceral metastatic lesions (Fig. 4). CA 15.3 marker was measured at 2678 U/ml. Computed tomography and pelvic ultra sound did not detect ovarian lesion.

Figure 4.

Initial computed tomography. (L, left side). Chest computed tomography scan axial view showing the right breast tumor measuring 2.2 cm with cutaneous retraction (A), and the left breast tumor measuring 10 cm (B). Bone window showing vertebral bone metastasis (C) and sacral bone metastasis (D).

Gene testing

The patient was tested for germline mutations in BRCA1 and BRCA2 genes after written informed and signed consent. Written informed consent was obtained from the patient and her parents for publication of this case report and any accompanying images. Ethics approval was not applicable. The BRCA True™ test (Pathway Genomics Laboratories) is designed to analyze the coding and flanking regions of BRCA1 and BRCA2 genes associated with hereditary breast and ovarian cancer by next-generation sequencing-base (NGS) and Sanger sequencing. Genomic DNA (gDNA) is extracted from the patient's specimen (peripheral blood and saliva sample), and evaluated for quality and quantity using standard procedures. The gDNA is processed to enrich for the targeted exons and flanking regions in a PCR-based reaction with target-specific primers. Massive parallel sequencing is carried out on the enriched target DNA to detect variants in these regions. Sanger DNA sequencing is utilized for targeted gene regions that are insufficiently covered on NGS for variant detection and to confirm specific findings when suspected pathogenic or novel variants are detected. Gross deletions and duplications in BRCA1 and BRCA2 genes are identified by multiplex ligation-dependent probe amplification. Two pathogenic monoallelic mutations were detected, one in each gene: c.1016dupA (p.V340Gfs*6) mutation in the BRCA1 gene and c.6814delA (p.R2272Efs*8) mutation in the BRCA2 gene (Fig. 5). The BRCA1 c.1016dupA (p.V340Gfs*6) pathogenic variant, also known as 1135insA or 1135dup, is predicted to truncate the BRCA1 protein. The BRCA2 c.6814delA (p.R2272Efs*8) pathogenic variant, also known as 7042delA, is predicted to truncate the BRCA2 protein. Mutation designation is according to the American College of Medical Genetics (ACMG) guidelines.

Figure 5.

Identification of the BRCA1 and BRCA2 pathogenic variants by NGS and Sanger sequencing. Schematic diagrams show the approximate locations (blue arrows) of the BRCA1 c.1016dupA (p.V340GfsX6) (A) and BRCA2 c.6814delA (p.R2272EfsX8) (B) pathogenic variants identified in this patient. Red arrows indicate the DNA sequence that varied from the reference sequence.

Genetic management

After receiving these results, the proband was referred to genetic counseling. Subsequent predictive testing was offered to the proband's parents. The proband's asymptomatic mother (Fig. 1, indicated by III:3) was found to be positive for the same mutation in the BRCA1 gene. She is 69 years old. Bilateral digital mammography and pelvic ultrasound was performed. To date she has had no cancer, and has now entered into a specific follow-up program. The proband's father (Fig. 1, indicated by III:2), aged 68 did not carry either mutation. He has had no cancer.

Patient management and outcomes

The patient received a first line of chemotherapy by weekly paclitaxel (90 mg/m2) with bevacizumab every 2 weeks (10 mg/kg) for 6 months. Treatment was well tolerated and associated with monthly injections of denosumab 120 mg. After 6 months of treatment, a good partial response according to RECIST criteria 1.1 was observed with a decrease of the two breast lesions (from 93 mm to 57 mm in the left breast and from 24 to 13 mm in the right breast). Axillary lymph nodes were not any more palpable. Computed tomography and bone scan revealed an improvement on bone lesions associated with a decrease of CA 15.3 at 285 U/ml. We decided to focus on systemic therapy, and to delay the two primary breast cancer surgery. A maintenance therapy with capecitabine 2000 mg twice a day and bevacizumab 15 mg/kg each 21 days was started (8). Twenty months later, the patient is still alive with no criteria of progression of the disease; she has recovered her regular activities and comes every 3 weeks for a maintenance treatment and follow-up.

Discussion

To the best of our knowledge, we described the first case of a double heterozygosity for BRCA1 and BRCA2 pathogenic variants in a French metastatic breast cancer patient, with mutation c.1016dupA in BRCA1 and mutation c.6814delA in BRCA2 gene never described together so far. The co-existence in an individual of mutations in the BRCA1 and BRCA2 genes is a very rare finding, particularly in non-Ashkenazi individuals (1,9), and our patient has no known Ashkenazi heritage.

Moreover, we determined that the patient inherited the BRCA1 mutation from her mother. Regarding the BRCA2 mutation, it could be a de novo mutation or maybe the father is not the biological father. Ethical French rules do not allow us to genetically test this last hypothesis.

Leegte et al presented a review of the literature and described the phenotypic expression of double heterozygosis for BRCA1 and BRCA2 in 34 women (9). All cases presented an Ashkenazi mutation. The highest risk of cancer appears to occur in a combination of 5382insC and 6174delT for BRCA1 and BRAC2 genes, respectively (1,9,10). The population carrier frequency of 185delAG, 5382insC (BRCA1), and 6174delT (BRCA2) is estimated to be 0.92, 0.26, and 1.20, respectively, in the Ashkenazi population (11,12) adding up to approximately 2.4%. Peto et al estimated the prevalence of BRCA1 and BRCA2 mutation carriers to be 0.11% and 0.12%, respectively, in the non-Ashkenazi (UK) population, which adds up to 0.23% (13). This indicates that the chance for an occurrence of double heterozygosity in these populations is between 1 in 1,800 to 190,000, respectively.

Furthermore, the BRCA1 c.1016dupA variant is considered a Norwegian founder mutation, but has also been observed in individuals who are of French-Canadian, French, Italian or Dutch ancestry (2,14–16). The BRCA2 c.6814delA (p.R2272Efs*8) pathogenic variant, has been identified in individuals with a personal or family history of breast and/or ovarian cancer (17,18). The clinical presentation was advanced and unfavorable, it may raise up the possibility of a pejorative impact of either involved mutations or resulting from their association. Nevertheless, review of the literature suggests that the co-existence of BRCA1 and BRCA2 mutations likely not cause a more severe phenotype of breast cancer (1,9).

In this patient, concomitant mutations of both BRCA1 and BRCA2 might lead to two different breast cancers with distinct histologic features. It might suggest that even if initially all breast cells present the same genetic characteristics, oncogenesis of the two tumors are different and lead to two breast cancers of different subtypes: a triple-negative and a luminal breast cancer. The next step could be to sequence the two breast tumors to assess if cancer cells had lost both the wild- type alleles of BRCA1 and BRCA2. It could explain whether the oncogenesis of these tumors is driven by a loss of function of BRCA1 and/or BRCA2. A comparative genomic analysis of both tumors could prove extremely informative on early and specific BRCA associated tumorigenesis mechanisms, but unfortunately, it is not available in our center.

The key-information of this case can be summarized in three points: we report a double heterozygosity with a never described association of two BRCA mutations (c.1016dupA in BRCA1 and c.6814delA in BRCA2 gene). These two mutations were discovered with the diagnosis of two distinct concomitant pathological type of breast cancer. We search for BRCA1 and BRCA2 mutations in the parents; one mutation is inherited from the mother and the other could be de novo.

Glossary

Abbreviations

Abbreviations:

BRCA gene

breast cancer gene

HER2

human epidermal growth factor receptor 2

RECIST

response evaluation criteria in solid tumors

References

1 

Smith M, Fawcett S, Sigalas E, Bell R, Devery S, Andrieska N and Winship I: Familial breast cancer: Double heterozygosity for BRCA1 and BRCA2 mutations with differing phenotypes. Fam Cancer. 7:119–124. 2008. View Article : Google Scholar : PubMed/NCBI

2 

Caputo S, Benboudjema L, Sinilnikova O, Rouleau E, Béroud C and Lidereau R: French BRCA GGC Consortium: Description and analysis of genetic variants in French hereditary breast and ovarian cancer families recorded in the UMD-BRCA1/BRCA2 databases. Nucleic Acids Res. 40:D992–D1002. 2012. View Article : Google Scholar : PubMed/NCBI

3 

Oncogénétique en 2014 - Consultations, laboratoires et prise en charge - reference: APPDECONCOG15. Institut National Du Cancer. (In French).

4 

Deng CX and Brodie SG: Roles of BRCA1 and its interacting proteins. BioEssays. 22:728–737. 2000. View Article : Google Scholar : PubMed/NCBI

5 

Roy R, Chun J and Powell SN: BRCA1 and BRCA2: Different roles in a common pathway of genome protection. Nat Rev Cancer. 12:68–78. 2011. View Article : Google Scholar : PubMed/NCBI

6 

Petrucelli N, Daly MB and Feldman GL: BRCA1 and BRCA2 hereditary breast and ovarian cancerGeneReviews(®) [Internet]. Pagon RA, Adam MP, Ardinger HH, et al: University of Washington; Seattle, WA: 1993. 2016

7 

Thull DL and Vogel VG: Recognition and management of hereditary breast cancer syndromes. Oncologist. 9:13–24. 2004. View Article : Google Scholar : PubMed/NCBI

8 

Gligorov J, Doval D, Bines J, Alba E, Cortes P, Pierga JY, Gupta V, Costa R, Srock S, De Ducla S, et al: Maintenance capecitabine and bevacizumab versus bevacizumab alone after initial first-line bevacizumab and docetaxel for patients with HER2-negative metastatic breast cancer (IMELDA): A randomised, open-label, phase 3 trial. Lancet Oncol. 15:1351–1360. 2014. View Article : Google Scholar : PubMed/NCBI

9 

Leegte B, van der Hout AH, Deffenbaugh AM, Bakker MK, Mulder IM, ten Berge A, Leenders EP, Wesseling J, De Hullu J, Hoogerbrugge N, et al: Phenotypic expression of double heterozygosity for BRCA1 and BRCA2 germline mutations. J Med Genet. 42:e202005. View Article : Google Scholar : PubMed/NCBI

10 

Choi DH, Lee MH and Haffty BG: Double heterozygotes for non-Caucasian families with mutations in BRCA-1 and BRCA-2 genes. Breast J. 12:216–220. 2006. View Article : Google Scholar : PubMed/NCBI

11 

Fodor FH, Weston A, Bleiweiss IJ, McCurdy LD, Walsh MM, Tartter PI, Brower ST and Eng CM: Frequency and carrier risk associated with common BRCA1 and BRCA2 mutations in Ashkenazi Jewish breast cancer patients. Am J Hum Genet. 63:45–51. 1998. View Article : Google Scholar : PubMed/NCBI

12 

Satagopan JM, Offit K, Foulkes W, Robson ME, Wacholder S, Eng CM, Karp SE and Begg CB: The lifetime risks of breast cancer in Ashkenazi Jewish carriers of BRCA1 and BRCA2 mutations. Cancer Epidemiol Biomarkers Prev. 10:467–473. 2001.PubMed/NCBI

13 

Peto J, Collins N, Barfoot R, Seal S, Warren W, Rahman N, Easton DF, Evans C, Deacon J and Stratton MR: Prevalence of BRCA1 and BRCA2 gene mutations in patients with early-onset breast cancer. J Natl Cancer Inst. 91:943–949. 1999. View Article : Google Scholar : PubMed/NCBI

14 

Andersen TI, Børresen AL and Møller P: A common BRCA1 mutation in Norwegian breast and ovarian cancer families? Am J Hum Genet. 59:486–487. 1996.PubMed/NCBI

15 

Simard J, Tonin P, Durocher F, Morgan K, Rommens J, Gingras S, Samson C, Leblanc JF, Bélanger C, Dion F, et al: Common origins of BRCA1 mutations in Canadian breast and ovarian cancer families. Nat Genet. 8:392–398. 1994. View Article : Google Scholar : PubMed/NCBI

16 

Dørum A, Heimdal K, Hovig E, Inganäs M and Møller P: Penetrances of BRCA1 1675delA and 1135insA with respect to breast cancer and ovarian cancer. Am J Hum Genet. 65:671–679. 1999. View Article : Google Scholar : PubMed/NCBI

17 

Novaković S, Milatović M, Cerkovnik P, Stegel V, Krajc M, Hočevar M, Zgajnar J and Vakselj A: Novel BRCA1 and BRCA2 pathogenic mutations in Slovene hereditary breast and ovarian cancer families. Int J Oncol. 41:1619–1627. 2012.PubMed/NCBI

18 

Tea M-KM, Kroiss R, Muhr D, Fuerhauser-Rappaport C, Oefner P, Wagner TM and Singer CF: Central European BRCA2 mutation carriers: Birth cohort status correlates with onset of breast cancer. Maturitas. 77:68–72. 2014. View Article : Google Scholar : PubMed/NCBI

Related Articles

  • Abstract
  • View
  • Download
  • Twitter
Copy and paste a formatted citation
Spandidos Publications style
Meynard G, Mansi L, Lebahar P, Villanueva C, Klajer E, Calcagno F, Vilalta A, Chaix M, Collonge-Rame M, Populaire C, Populaire C, et al: First description of a double heterozygosity for BRCA1 and BRCA2 pathogenic variants in a French metastatic breast cancer patient: A case report. Oncol Rep 37: 1573-1578, 2017.
APA
Meynard, G., Mansi, L., Lebahar, P., Villanueva, C., Klajer, E., Calcagno, F. ... Curtit, E. (2017). First description of a double heterozygosity for BRCA1 and BRCA2 pathogenic variants in a French metastatic breast cancer patient: A case report. Oncology Reports, 37, 1573-1578. https://doi.org/10.3892/or.2017.5422
MLA
Meynard, G., Mansi, L., Lebahar, P., Villanueva, C., Klajer, E., Calcagno, F., Vilalta, A., Chaix, M., Collonge-Rame, M., Populaire, C., Algros, M., Colpart, P., Neidich, J., Pivot, X., Curtit, E."First description of a double heterozygosity for BRCA1 and BRCA2 pathogenic variants in a French metastatic breast cancer patient: A case report". Oncology Reports 37.3 (2017): 1573-1578.
Chicago
Meynard, G., Mansi, L., Lebahar, P., Villanueva, C., Klajer, E., Calcagno, F., Vilalta, A., Chaix, M., Collonge-Rame, M., Populaire, C., Algros, M., Colpart, P., Neidich, J., Pivot, X., Curtit, E."First description of a double heterozygosity for BRCA1 and BRCA2 pathogenic variants in a French metastatic breast cancer patient: A case report". Oncology Reports 37, no. 3 (2017): 1573-1578. https://doi.org/10.3892/or.2017.5422
Copy and paste a formatted citation
x
Spandidos Publications style
Meynard G, Mansi L, Lebahar P, Villanueva C, Klajer E, Calcagno F, Vilalta A, Chaix M, Collonge-Rame M, Populaire C, Populaire C, et al: First description of a double heterozygosity for BRCA1 and BRCA2 pathogenic variants in a French metastatic breast cancer patient: A case report. Oncol Rep 37: 1573-1578, 2017.
APA
Meynard, G., Mansi, L., Lebahar, P., Villanueva, C., Klajer, E., Calcagno, F. ... Curtit, E. (2017). First description of a double heterozygosity for BRCA1 and BRCA2 pathogenic variants in a French metastatic breast cancer patient: A case report. Oncology Reports, 37, 1573-1578. https://doi.org/10.3892/or.2017.5422
MLA
Meynard, G., Mansi, L., Lebahar, P., Villanueva, C., Klajer, E., Calcagno, F., Vilalta, A., Chaix, M., Collonge-Rame, M., Populaire, C., Algros, M., Colpart, P., Neidich, J., Pivot, X., Curtit, E."First description of a double heterozygosity for BRCA1 and BRCA2 pathogenic variants in a French metastatic breast cancer patient: A case report". Oncology Reports 37.3 (2017): 1573-1578.
Chicago
Meynard, G., Mansi, L., Lebahar, P., Villanueva, C., Klajer, E., Calcagno, F., Vilalta, A., Chaix, M., Collonge-Rame, M., Populaire, C., Algros, M., Colpart, P., Neidich, J., Pivot, X., Curtit, E."First description of a double heterozygosity for BRCA1 and BRCA2 pathogenic variants in a French metastatic breast cancer patient: A case report". Oncology Reports 37, no. 3 (2017): 1573-1578. https://doi.org/10.3892/or.2017.5422
Follow us
  • Twitter
  • LinkedIn
  • Facebook
About
  • Spandidos Publications
  • Careers
  • Cookie Policy
  • Privacy Policy
How can we help?
  • Help
  • Live Chat
  • Contact
  • Email to our Support Team