Spandidos Publications Logo
  • About
    • About Spandidos
    • Aims and Scopes
    • Abstracting and Indexing
    • Editorial Policies
    • Reprints and Permissions
    • Job Opportunities
    • Terms and Conditions
    • Contact
  • Journals
    • All Journals
    • Oncology Letters
      • Oncology Letters
      • Information for Authors
      • Editorial Policies
      • Editorial Board
      • Aims and Scope
      • Abstracting and Indexing
      • Bibliographic Information
      • Archive
    • International Journal of Oncology
      • International Journal of Oncology
      • Information for Authors
      • Editorial Policies
      • Editorial Board
      • Aims and Scope
      • Abstracting and Indexing
      • Bibliographic Information
      • Archive
    • Molecular and Clinical Oncology
      • Molecular and Clinical Oncology
      • Information for Authors
      • Editorial Policies
      • Editorial Board
      • Aims and Scope
      • Abstracting and Indexing
      • Bibliographic Information
      • Archive
    • Experimental and Therapeutic Medicine
      • Experimental and Therapeutic Medicine
      • Information for Authors
      • Editorial Policies
      • Editorial Board
      • Aims and Scope
      • Abstracting and Indexing
      • Bibliographic Information
      • Archive
    • International Journal of Molecular Medicine
      • International Journal of Molecular Medicine
      • Information for Authors
      • Editorial Policies
      • Editorial Board
      • Aims and Scope
      • Abstracting and Indexing
      • Bibliographic Information
      • Archive
    • Biomedical Reports
      • Biomedical Reports
      • Information for Authors
      • Editorial Policies
      • Editorial Board
      • Aims and Scope
      • Abstracting and Indexing
      • Bibliographic Information
      • Archive
    • Oncology Reports
      • Oncology Reports
      • Information for Authors
      • Editorial Policies
      • Editorial Board
      • Aims and Scope
      • Abstracting and Indexing
      • Bibliographic Information
      • Archive
    • Molecular Medicine Reports
      • Molecular Medicine Reports
      • Information for Authors
      • Editorial Policies
      • Editorial Board
      • Aims and Scope
      • Abstracting and Indexing
      • Bibliographic Information
      • Archive
    • World Academy of Sciences Journal
      • World Academy of Sciences Journal
      • Information for Authors
      • Editorial Policies
      • Editorial Board
      • Aims and Scope
      • Abstracting and Indexing
      • Bibliographic Information
      • Archive
    • International Journal of Functional Nutrition
      • International Journal of Functional Nutrition
      • Information for Authors
      • Editorial Policies
      • Editorial Board
      • Aims and Scope
      • Abstracting and Indexing
      • Bibliographic Information
      • Archive
    • International Journal of Epigenetics
      • International Journal of Epigenetics
      • Information for Authors
      • Editorial Policies
      • Editorial Board
      • Aims and Scope
      • Abstracting and Indexing
      • Bibliographic Information
      • Archive
    • Medicine International
      • Medicine International
      • Information for Authors
      • Editorial Policies
      • Editorial Board
      • Aims and Scope
      • Abstracting and Indexing
      • Bibliographic Information
      • Archive
  • Articles
  • Information
    • Information for Authors
    • Information for Reviewers
    • Information for Librarians
    • Information for Advertisers
    • Conferences
  • Language Editing
Spandidos Publications Logo
  • About
    • About Spandidos
    • Aims and Scopes
    • Abstracting and Indexing
    • Editorial Policies
    • Reprints and Permissions
    • Job Opportunities
    • Terms and Conditions
    • Contact
  • Journals
    • All Journals
    • Biomedical Reports
      • Information for Authors
      • Editorial Policies
      • Editorial Board
      • Aims and Scope
      • Abstracting and Indexing
      • Bibliographic Information
      • Archive
    • Experimental and Therapeutic Medicine
      • Information for Authors
      • Editorial Policies
      • Editorial Board
      • Aims and Scope
      • Abstracting and Indexing
      • Bibliographic Information
      • Archive
    • International Journal of Epigenetics
      • Information for Authors
      • Editorial Policies
      • Editorial Board
      • Aims and Scope
      • Abstracting and Indexing
      • Bibliographic Information
      • Archive
    • International Journal of Functional Nutrition
      • Information for Authors
      • Editorial Policies
      • Editorial Board
      • Aims and Scope
      • Abstracting and Indexing
      • Bibliographic Information
      • Archive
    • International Journal of Molecular Medicine
      • Information for Authors
      • Editorial Policies
      • Editorial Board
      • Aims and Scope
      • Abstracting and Indexing
      • Bibliographic Information
      • Archive
    • International Journal of Oncology
      • Information for Authors
      • Editorial Policies
      • Editorial Board
      • Aims and Scope
      • Abstracting and Indexing
      • Bibliographic Information
      • Archive
    • Medicine International
      • Information for Authors
      • Editorial Policies
      • Editorial Board
      • Aims and Scope
      • Abstracting and Indexing
      • Bibliographic Information
      • Archive
    • Molecular and Clinical Oncology
      • Information for Authors
      • Editorial Policies
      • Editorial Board
      • Aims and Scope
      • Abstracting and Indexing
      • Bibliographic Information
      • Archive
    • Molecular Medicine Reports
      • Information for Authors
      • Editorial Policies
      • Editorial Board
      • Aims and Scope
      • Abstracting and Indexing
      • Bibliographic Information
      • Archive
    • Oncology Letters
      • Information for Authors
      • Editorial Policies
      • Editorial Board
      • Aims and Scope
      • Abstracting and Indexing
      • Bibliographic Information
      • Archive
    • Oncology Reports
      • Information for Authors
      • Editorial Policies
      • Editorial Board
      • Aims and Scope
      • Abstracting and Indexing
      • Bibliographic Information
      • Archive
    • World Academy of Sciences Journal
      • Information for Authors
      • Editorial Policies
      • Editorial Board
      • Aims and Scope
      • Abstracting and Indexing
      • Bibliographic Information
      • Archive
  • Articles
  • Information
    • For Authors
    • For Reviewers
    • For Librarians
    • For Advertisers
    • Conferences
  • Language Editing
Login Register Submit
  • This site uses cookies
  • You can change your cookie settings at any time by following the instructions in our Cookie Policy. To find out more, you may read our Privacy Policy.

    I agree
Search articles by DOI, keyword, author or affiliation
Search
Advanced Search
presentation
Molecular Medicine Reports
Join Editorial Board Propose a Special Issue
Print ISSN: 1791-2997 Online ISSN: 1791-3004
Journal Cover
September-2015 Volume 12 Issue 3

Full Size Image

Sign up for eToc alerts
Recommend to Library

Journals

International Journal of Molecular Medicine

International Journal of Molecular Medicine

International Journal of Molecular Medicine is an international journal devoted to molecular mechanisms of human disease.

International Journal of Oncology

International Journal of Oncology

International Journal of Oncology is an international journal devoted to oncology research and cancer treatment.

Molecular Medicine Reports

Molecular Medicine Reports

Covers molecular medicine topics such as pharmacology, pathology, genetics, neuroscience, infectious diseases, molecular cardiology, and molecular surgery.

Oncology Reports

Oncology Reports

Oncology Reports is an international journal devoted to fundamental and applied research in Oncology.

Experimental and Therapeutic Medicine

Experimental and Therapeutic Medicine

Experimental and Therapeutic Medicine is an international journal devoted to laboratory and clinical medicine.

Oncology Letters

Oncology Letters

Oncology Letters is an international journal devoted to Experimental and Clinical Oncology.

Biomedical Reports

Biomedical Reports

Explores a wide range of biological and medical fields, including pharmacology, genetics, microbiology, neuroscience, and molecular cardiology.

Molecular and Clinical Oncology

Molecular and Clinical Oncology

International journal addressing all aspects of oncology research, from tumorigenesis and oncogenes to chemotherapy and metastasis.

World Academy of Sciences Journal

World Academy of Sciences Journal

Multidisciplinary open-access journal spanning biochemistry, genetics, neuroscience, environmental health, and synthetic biology.

International Journal of Functional Nutrition

International Journal of Functional Nutrition

Open-access journal combining biochemistry, pharmacology, immunology, and genetics to advance health through functional nutrition.

International Journal of Epigenetics

International Journal of Epigenetics

Publishes open-access research on using epigenetics to advance understanding and treatment of human disease.

Medicine International

Medicine International

An International Open Access Journal Devoted to General Medicine.

Journal Cover
September-2015 Volume 12 Issue 3

Full Size Image

Sign up for eToc alerts
Recommend to Library

  • Article
  • Citations
    • Cite This Article
    • Download Citation
    • Create Citation Alert
    • Remove Citation Alert
    • Cited By
  • Similar Articles
    • Related Articles (in Spandidos Publications)
    • Similar Articles (Google Scholar)
    • Similar Articles (PubMed)
  • Download PDF
  • Download XML
  • View XML
Article

Effects of fucoidan on insulin stimulation and pancreatic protection via the cAMP signaling pathway in vivo and in vitro

  • Authors:
    • Xiaoming Jiang
    • Jinfeng Yu
    • Zhi Ma
    • Hong Zhang
    • Fengjie Xie
  • View Affiliations / Copyright

    Affiliations: Department of Critical Care Medicine, Hongqi Hospital of Mudanjiang Medical University, Mudanjiang, Heilongjiang 157011, P.R. China, Department of Pediatric Medicine, Hongqi Hospital of Mudanjiang Medical University, Mudanjiang, Heilongjiang 157011, P.R. China, Department of Pediatric Surgery Medicine, Hongqi Hospital of Mudanjiang Medical University, Mudanjiang, Heilongjiang 157011, P.R. China
  • Pages: 4501-4507
    |
    Published online on: June 23, 2015
       https://doi.org/10.3892/mmr.2015.3989
  • Expand metrics +
Metrics: Total Views: 0 (Spandidos Publications: | PMC Statistics: )
Metrics: Total PDF Downloads: 0 (Spandidos Publications: | PMC Statistics: )
Cited By (CrossRef): 0 citations Loading Articles...

This article is mentioned in:



Abstract

Diabetes is a global disease, in which pancreatic dysfunction is an important pathological process. In previous years, interest in the biological activities of seaweed has increased. Fucoidan is an extract of the seaweed Fucus vesiculosus, which has been widely investigated. The present study aimed to determine the effects of fucoidan on insulin stimulation and pancreatic protection in vivo and in vitro. Goto‑Kakizaki (GK) rats were provided with free access to standard food, with or without fucoidan, for 13 weeks, following which the body weights, and blood glucose and serum insulin levels of the rats were measured. Wistar rats were used as a control. In addition, the RIN‑5F rat insulin‑secreting cell line was treated with fucoidan in high glucose conditions, following which the dose‑dependent and time‑dependent effects of fucoidan were determined, and the concentration of insulin was measured. Glybenclamide was used as a positive control. In vivo, the body weight and serum insulin levels decreased, whereas blood glucose levels increased significantly in the GK rats, compared with the Wistar control rats. Although, fucoidan did not improve changes in body weight, the increased blood glucose levels were reduced and the decreased serum insulin levels were increased in the GK rats following oral administration of fucoidan. In vitro, fucoidan did not exhibit significant cytotoxicity towards the RIN‑5F cells, and the insulin secretion increased significantly in a dose‑ and time‑dependent manner. Treatment with amylin, an islet amyloid polypeptide and glybenclamide inhibitor, did not inhibit the stimulatory activity of fucoidan. The results of the present study also demonstrated that the concentration of cyclic adenosine monophosphate (cAMP) was significantly increased in the fucoidan‑treated RIN‑5F cells, and this increase was dose‑ and time‑dependent. In addition, treatment with a phosphodiesterase inhibitor, which decreases the degradation of cAMP, significantly increased fucoidan‑induced insulin secretion, whereas treatment with an adenylyl cyclase inhibitor, which decreases the generation of cAMP, significantly decreased fucoidan‑induced insulin secretion. In conclusion, these data indicated that fucoidan may stimulate insulin secretion and provide pancreatic protection via the cAMP signaling pathway, in vivo and in vitro.

Introduction

Diabetes mellitus is a global disease (1), which affects >200,000,000 individuals. The majority of patients with diabetes have non-insulin-dependent diabetes mellitus (NIDDM; type 2 diabetes), and the number of patients with this disease is expected to double by 2030 (2). The insulin stimulatory activities of sulfonylureas (SUs), which are used to treat patients with NIDDM, have been reported to decrease with time due to the gradual destruction of pancreatic β cells. In addition, SUs are prescribed with several restrictions due to their side-effects, including hypoglycemia (3). Therefore, the production of an alternative antidiabetic treatment, which exhibits low toxicity following extended use is required.

Interest in the biological activities of compounds from marine organisms has increased over previous years (4). Compounds derived from various marine organisms have been investigated (5,6), a number of which have resulted in the production of commercially available drugs (3). Fucoidan (Fig. 1) is an extract of the seaweed, Fucus vesiculosus, which has been widely investigated (7). Due to its anti-oxidative, anticancer, and anti-inflammatory activities, it has been suggested to be important in cancer and inflammation (8). In addition, fucoidan has been reported to be associated with insulin resistance (9); however, the effects of fucoidan on insulin stimulation and pancreatic protection in spontaneous diabetes have not been investigated. Insulin is a key regulator of body glucose levels (10); therefore, the present study aimed to determine whether fucoidan can stimulate insulin secretion and protect pancreatic function.

Figure 1

(A) Molecular formula and (B) chemical structure of fucoidan.

Under physiological conditions, the insulin secretory response to glucose is augmented by several factors, which act through various mechanisms (11). Cyclic adenosine monophosphate (cAMP) is an important amplifier of insulin release (12). It is known that cAMP directly inhibits adenosine triphosphate (ATP)-sensitive K+ channels, and promotes depolarization of the plasma membrane. In addition, cAMP increases cytosolic Ca2+ levels via the opening of L-type voltage-sensitive Ca2+ channels in the plasma membrane and promoting Ca2+-induced Ca2+ release from intracellular stores (13).

To the best of our knowledge, the present study is the first to determine the effects of fucoidan on insulin stimulation and pancreatic protection These data indicate that fucoidan stimulates insulin secretion and provides pancreatic protection via the cAMP signaling pathway in vitro and in vivo. Furthermore, these results indicate that fucoidan may prevent or reduce the development of spontaneous diabetes and provide a potential novel therapeutic strategy for the treatment of diabetes.

Materials and methods

Animals

The present study was perforned at the Animal Experimental Center of Mudanjiang Medical University (Mudanjiang, China). Animal care and experiments were performed in accordance with the Animal Experiment Guidelines of Mudanjiang Medical University, and ethical approval was obtained from Mudanjiang Medical University. Male Goto-Kakizaki (GK) and Wistar rats (aged, 6 weeks) were obtained from CLEA Japan, Inc. (Tokyo, Japan). The rats were divided into three groups (Wistar, GK and GK/fucoidan group) and each group contained 8 rats The rats were housed in a controlled environment, with a temperature of 24±1°C, and a 12 h light/12 h dark cycle, with light turned on at 7 a.m. The rats were provided with access to standard rat food and water ad libitum, with or without fucoidan at the recommended concentration of 75 mg/kg body weight (14) for 13 weeks, beginning at 6 weeks of age.

Measurement of blood glucose levels

At 6-weeks-old, the GK rats were provided with access to standard rat food and water, with or without 75 mg/kg body weight fucoidan (Sigma-Aldrich, Shanghai, China) for 13 weeks. The body weight of each rat was measured twice per week. Blood samples (20 µl) were obtained from the tail vein every week. The blood glucose levels were measured using a hexokinase method (15), with a rat blood glucose kit (Wako Pure Chemical Industries, Ltd., Tokyo, Japan).

Histopathological studies

For histopathological analysis, the rats were sacrificed using 0.3ml/100g body weight chloral hydrate (Sigma-Aldrich), and the pancreata from GK and Wistar rats were fixed in 10% neutral buffered formalin and subsequently embedded in paraffin. Sections (4 µm) of paraffin-embedded tissues were stained with hematoxylin and eosin (HE; Sigma-Aldrich) solution, in order to detect histopathological features, as described previously (16). Briefly, the pancreata sections were placed in distilled water, stained with alum hematoxylin, rinsed under running tap water, differentiated with 0.3% acid alcohol, rinsed in running tap water again, and then rinse in Scott's tap water substitute (Sigma-Aldrich) before rinsing in tap water again. The pancreata were then stained with eosin for 2 mins. An image of the cross-section yielding the maximum diameter of the glomerulus was captured and converted into a digital image by an examiner in a blinded-manner, using a light microscope equipped with a camera (Olympus BX-50; Olympus Corporation, Tokyo, Japan).

RIN-5F cell culture

The RIN-5F rat insulin-secreting cell line, derived from rat pancreatic β cells, was purchased from American Type Culture Collection (Manassas, VA, USA). The RIN-5F cells were cultured in RPMI 1640 medium (Sigma-Aldrich) supplemented with penicillin (100 U/ml), streptomycin (100 µg/ml) and 10% fetal bovine serum (FBS; Sigma-Aldrich) at 37°C, in an atmosphere containing 5% CO2. Fresh conditioned medium was added every 3 days, and the subcultures were digested every 7–8 days using 0.25% trypsin (Sigma-Aldrich).

Cytotoxicity analysis

The CellTiter 96® AQueous One Solution Cell Proliferation Assay (Promega Corporation, Madison, WI, USA), which has previously been reported as an effective cytoxicity assay (17), was used in the present study to determine the cytotoxicity of fucoidan. The RIN-5F cells were seeded into 96-well plates at a density of 2×104 cells/well in conditioned RPMI 1640 medium and incubated at 37°C in an atmosphere of 5% CO2 for 48 h. The cells were then treated with various concentrations of fucoidan (0, 10, 1×102, 1×103, 1×104 and 1×105 µg/ml) for 24 h at 37°C, following which 20 µl CellTiter 96® AQueous One Solution Cell Proliferation Assay solution was added to each well and the cells were incubated for a further 1 h. The absorbance was measured at 490 nm using an MTP-800 microplate reader (Corona Electric Co., Ltd., Ibaraki, Japan).

Insulin secretion assay

In vivo, the GK rats at 6 weeks of age were provided with access to standard rat food and water, with or without fucoidan (75 mg/kg body weight), for 13 weeks. Blood samples were obtained from the tail vein every week, in order to perform an insulin secretion assay. In vitro, the RIN-5F cells were seeded into 24-well plates at a density of 2×105 cells/well in RPMI 1640 medium, supplemented with penicillin, streptomycin and 10% FBS, and incubated at 37°C in an atmosphere of 5% CO2 for 24 h. The cells were then treated with various doses of fucoidan (0, 10, 1×102, 1×103, 1×104 and 1×105 µg/ml) for 3 h; and with 1×104 µg/ml fucoidan for various durations (3, 6, 12, 24 and 48 h), in a 20 mg/ml high glucose condition. Aliquots of the media were removed from each of the wells and centrifuged (1,175 × g, for 5 min at 4°C). to remove the cells. The concentration of insulin in the supernatants was determined using an enzyme immunoassay (EIA) kit (Cayman Chemical, Ann Arbor, MI, USA). The absorbance was measured at 490 nm using an MTP-800 microplate reader (Corona Electric Co., Ltd., Tokyo, Japan).

Treatment with glybenclamide

The RIN-5F cells were seeded in 24-well plates at a density of 2×105 cells/well in RPMI-1640 medium supplemented with penicillin, streptomycin and 10% FBS at 37°C in an atmosphere containing 5% CO2. After 24 h, the cells were treated with 1×104 µg/ml fucoidan and 1×102 µM glybenclamide (Sigma Aldrich) in a 20 mg/ml high glucose condition. The concentration of insulin in the supernatants was determined using the EIA kit and the absorbance was measured by the MTP 800 microplate reader.

Treatment with amylin

The RIN-5F cells were seeded in 24-well plates at a density of 2×105 cells/well in RPMI-1640 medium supplemented with penicillin, streptomycin and 10% FBS at 37°C in an atmosphere containing 5% CO2. After 24 h incubation, 200 µM amylin (Sigma Aldrich) with either 1×104 µg/ml fucoidan or 1×102 µM glybenclamide was added to the wells for 3 h in a 20 mg/ml high glucose condition.

Measurement of intracellular cAMP content

The RIN-5F cells were seeded in 24-well plates at a density of 2×105 cells/well in RPMI-1640 medium were treated with 1×104 µg/ml fucoidan, 2×105 M phosphodiesterase inhibitor [4-(3-butoxy-4-methoxybenzyl)-2-imidazolidinone; Sigma Aldrich], 2×105 M phosphodiesterase inhibitor + 1×104 µg/ml fucoidan, 5×105 M MDL 12330A hydrochloride (Sigma Aldrich) or 5×105 M MDL 12330A hydrochloride + 1×104 µg/ml fucoidan, in a 20 mg/ml high glucose condition. Intracellular cAMP content was measured using an enzyme linked competitive immunoassay kit, containing a cAMP-acetylcholinesterase conjugate and an anti-cAMP rabbit antibody (Cyclic AMP EIA kit; Cayman Chemical), according to the manufacturer's instructions. Briefly, the RIN-5F cells were extracted in 0.05 M HCl for 20 min at 22°C. Following centrifugation at 1,000 × g for 10 min at 22°C, the supernatant was used to measure the cAMP content. The quantity of cAMP-acetylcholinesterase-anti-cyclic AMP antibody complex was measured with an enzyme assay using acetylcholine and 5, 5-dithio-bis (2-nitrobenzoic acid), termed Ellman's reagent, contained within the Cyclic AMP EIA kit, as previously described (18). The concentration of the final reaction product, 5-thio-2-nitrobenzoic acid, was measured at an absorbance of 420 nm using an MTP-800 Microplate Reader (Corona Electric, Tokyo, Japan) and was converted to cAMP concentration using the standard curve obtained with authentic cAMP solution in the kit.

Statistical analysis

The data are expressed as the mean ± standard deviation. Each experiment was repeated at least three times. Student's t-test was used to analyze the data and P<0.05 was considered to indicate a statistically significant difference.

Results

Fucoidan reduces high blood glucose levels in GK rats

At 6 weeks-old, the GK rats were provided with access to standard rat food and water, with or without fucoidan (75 mg/kg body weight), for 13 weeks. Blood samples were obtained from the tail vein every week. Body weight was significantly decreased in the GK rats, compared with the control Wistar rats (Fig. 2A and B; P<0.01). Fucoidan had no effect on body weight; however, the increased levels of blood glucose levels in the GK rats were significantly reduced following oral administration of fucoidan (Fig. 2C and D; P<0.01).

Figure 2

Effects of fucoidan on GK rats. At 6 weeks-old, the GK rats were provided with access to standard rat food and water, with or without fucoidan (75 mg/kg body weight), for 13 weeks. Blood samples were obtained from the tail vein every week. (A) Body weight was significantly decreased in the GK rats, compared with the control Wistar rats; however, fucoidan did not have an affect body weight. (B) Quantification of the increases in body weight after 13 weeks. (C) Blood glucose levels were significantly increased in the GK rats, compared with the control Wistar rats. The blood glucose levels were significantly reduced in the GK rats treated with fucoidan. (D) Quantification of the changes in blood glucose levels between 0 and 13 weeks. (E) Serum insulin levels were significantly decreased in the GK rats, compared with the control Wistar rats. The decreased serum insulin levels were significantly recovered in the GK rats treated with fucoidan. (F) Quantification of the changes in serum insulin levels between 0 and 13 weeks. Data are expressed as the mean ± standard deviation (n=8). **P<0.01, GK rats, vs. Wistar rats; ##P<0.01, GK rats treated with fucoidan, vs. GK rats. GK, Goto-Kakizaki.

Fucoidan recovers serum insulin levels in GK rats

The GK rats were provided with access to standard rat food and water, with or without fucoidan (75 mg/kg body weight), for 13 weeks from 6 weeks of age. Blood samples were obtained from the tail vein every week. The serum insulin levels were significantly decreased in the GK rats, compared with the control Wistar rats (Fig. 2E and F; P<0.01). The decreased levels of serum insulin observed were significantly recovered in the GK rats following oral administration of fucoidan (P<0.01).

Fucoidan reduces histopathological pancreatic changes in GK rats

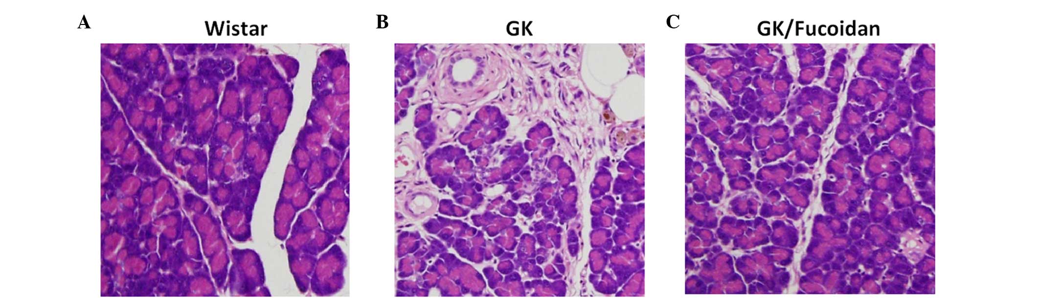
The pancreata from the GK and Wistar rats were fixed in 10% neutral buffered formalin and subsequently embedded in paraffin. Sections (4 µm) of the paraffin-embedded tissues were stained with HE solution, in order to detect histopathological features. Islet atrophy, fibrosis of pancreatic ducts and blood vessels, and macrophages containing brown coarsely granular material were observed in the pancreata of the GK rats, compared with the control Wistar rats (Fig. 3B). Treatment with fucoidan markedly reduced these observed histopathological changes in the pancreata of the GK rats (Fig. 3C).

Figure 3

Fucoidan reduces the histopathological pancreatic changes in GK rats. At 6 weeks-old, the GK rats were provided with access to standard rat food and water, with or without fucoidan (75 mg/kg body weight), for 13 weeks. The pancreatic tissues from the GK and Wistar rats were then collected and stained with hematoxylin and eosin, to detect histopathological features. (A) Histopathological features of the pancreatic tissues of the Wistar rats. (B) Islet atrophy, fibrosis of pancreatic ducts and blood vessels, and macrophages containing brown coarsely granular material were observed in the pancreatic tissues of the GK rats. (C) Fucoidan significantly reduced the histopathological changes in the pancreatic tissues of the GK rats (magnification, 400×). GK, Goto-Kakizaki.

Fucoidan exhibits no obvious cytotoxicity towards RIN-5F cells

The RIN-5F cells were seeded into 96-well plates at a density of 2×104 cells/well in conditioned RPMI 1640 medium at 37°C in an atmosphere containing 5% CO2 for 48 h. The RIN-5F cells were treated with various concentrations of fucoidan (0, 10, 1×102, 1×103, 1×104, 1×105 µg/ml) for 24 h, following which 20 µl CellTiter 96® AQueous One Solution Cell Proliferation Assay solution was added to each well and incubated for a further 1 h. The results of this assay revealed that fucoidan did not exhibit obvious cytotoxicity on RIN-5F cells (Fig. 4A).

Figure 4

(A) RIN-5F rat insulin-secreting cells were treated with various concentrations of fucoidan (0, 10, 1×102, 1×103, 1×104, 1×105 µg/ml). Fucoidan exhibited no cytotoxicity towards the RIN-5F cells. (B and C) RIN-5F cells were treated with various doses of fucoidan (0, 10, 1×102, 1×103, 1×104 and 1×105 µg/ml) for 3 h; and with 1×104 µg/ml fucoidan for various time periods (3, 6, 12, 24 and 48 h,) in a 20 mg/ml high glucose condition. Treatment with fucoidan increased the insulin secretion of RIN-5F cells in a dose-and time-dependent manner. The concentrations of insulin were normalized with the numbers of cells. Data are expressed as the mean ± standard deviation (n=3). **P<0.01, high glucose, vs. control; ##P<0.01, high glucose + fucoidan, vs. high glucose.

Treatment with fucoidan increases the insulin secretion of RIN-5F cells in a dose-and time-dependent manner

RIN-5F cells were seeded in 24-well plates at a density of 2×105 cells/well in RPMI 1640 supplemented with penicillin, streptomycin and 10% FBS at 37°C in an atmosphere containing 5% CO2 for 24 h. The cells were then treated with various doses of fucoidan (0, 10, 1×102, 1×103, 1×104 and 1×105 µg/ml) for 3 h (Fig. 4B); and with 1×104 µg/ml fucoidan for 3, 6, 12, 24 and 48 h (Fig. 4C) in a 20 mg/ml high glucose condition. The results revealed that fucoidan increased insulin secretion in the RIN-5F cells in a dose- and time-dependent manner (P<0.01).

Stimulatory activities of fucoidan with glybenclamide

The RIN-5F cells were seeded in 24-well plates at a density of 2×105 cells/well in RPMI 1640 medium supplemented with penicillin, streptomycin and 10% FBS at 37°C in an atmosphere containing 5% CO2. After 24 h, the cells were treated with 1×104 µg/ml fucoidan and 1×102 µM glybenclamide, either alone or in combination, in a 20 mg/ml high glucose condition for 3 h. The results of the treatment suggested an additive effect of fucoidan and glybenclamide (Fig. 5A). Furthermore, the results indicate that the stimulatory effects of fucoidan and glybenclamide arise as a result of different mechanisms

Figure 5

(A) Stimulatory activities of fucoidan and glybenclamide. RIN-5F rat insulin-secreting cells were treated with 1×104 µg/ml fucoidan and 1×102 µM glybenclamide, either alone or in combination with 20 mg/ml high glucose for 3 h. The results suggested an additive effect of fucoidan and glybenclamide. (B) Amylin did not exhibit an inhibitory effect on fucoidan. RIN-5F cells were treated with 200 µM amylin and 1×104 g/ml fucoidan or 1×102 µM glybenclamide in a 20 mg/ml high glucose condition. Amylin markedly inhibited the stimulatory activity of glybenclamide, but had no effect on the stimulatory activity of fucoidan. Data are expressed as the mean ± standard deviation (n=3). **P<0.01, amylin, vs. no amylin.

Lack of inhibitory effect of amylin on fucoidan

The RIN-5F cells were seeded in 24-well plates at a density of 2×105 cells/well in RPMI 1640 medium supplemented with penicillin, streptomycin and 10% FBS at 37°C in an atmosphere containing 5% CO2. After24 h incubation, 200 µM amylin with either 1×104 µg/ml fucoidan or 1×102 µM glybenclamide was added to the wells for 3 h in a 20 mg/ml high glucose condition. Amylin markedly inhibited the stimulatory activity of glybenclamide (Fig. 5B, P<0.01); however, no effect was observed on the stimulatory activity of fucoidan.

Involvement of the cAMP signaling pathway

Following incubation of the RIN-5F cells in RPMI 1640 medium supplemented with penicillin, streptomycin and 10% FBS at 37°C in an atmosphere containing 5% CO2 for 24 h, the cells were treated with various doses of fucoidan (0, 10, 1×102, 1×103, 1×104 and 1×105 µg/ml) for 3 h (Fig. 6A); and with 1×104 µg/ml fucoidan for 3, 6, 12, 24 and 48 h (Fig. 6B) in a 20 mg/ml high glucose condition. The concentration of cAMP was significantly increased in the fucoidan-treated RIN-5F cells, and this occurred in a dose-and time-dependent manner (P<0.01). Treatment with the phosphodiesterase inhibitor, 2×10−5 M 4-(3-butoxy-4-methoxybenzyl)-2-imidazolidinone, which decreases the degradation of cAMP, significantly increased the level of fucoidan-induced insulin secretion. Conversely, treatment with adenylyl cyclase inhibitor, 5×10−5 M MDL-12330A hydrochloride, which decreases cAMP generation, significantly decreased the level of fucoidan-induced insulin secretion (P<0.01; Fig. 7A and B).

Figure 6

RIN-5F rat insulin-secreting cells were treated with (A) various doses of fucoidan (0, 10, 1×102, 1×103, 1×104 and 1×105 µg/ml) for 3 h and with (B) 1×104 µg/ml fucoidan for various time periods (3, 6, 12, 24 and 48 h) in a 20 mg/ml high glucose condition. The concentration of cAMP was significantly increased in the fucoidan-treated RIN-5F cells, in a dose-and time-dependent manner. (C) Generation and degradation of cAMP. Phosphodiesterase inhibitor decreased the degradation of cAMP, whereas adenylyl cyclase inhibitor decreased the generation of cAMP. The cAMP contents were normalized with the numbers of cell. Data are expressed as the mean ± standard deviation (n=3). *P<0.05 and **P<0.01, vs. control.. ATP, adenosine triphosphate; cAMP, cyclic adenosine monophosphate.

Figure 7

RIN-5F rat insulin-secreting cells were treated with 1×104 µg/ml fucoidan, 2×10™5M PDI, PDI + fucoidan, ACI or ACI + fucoidan, in a 20 mg/ml high glucose condition. (A) Fucoidan and PDI increased the concentration of cAMP, whereas ACI significantly decreased the effects of fucoidan. (B) Treatment with a PDI significantly increased the fucoidan-induced insulin secretion, whereas treatment with an ACI significantly decreased the fucoidan-induced insulin secretion. Data are expressed as the mean ± standard deviation (n=3). **P<0.01, fucoidan or PDI, vs. control; ##P<0.01, PDI + fucoidan, vs. fucoidan; ooP<0.01, ACI, vs. control; %%P<0.01, ACI + fucoidan, vs. fucoidan. PDI, phosphodiesterase inhibitor; ACI, adenylyl cyclase inhibitor; cAMP, cyclic adenosine monophosphate.

Discussion

The present study is the first, to the best of our knowledge, to demonstrate in vivo and in vitro, that fucoidan, an extract of the seaweed Fucus vesiculosus, reduced hyperglycemia and prevented or reduced the development of spontaneous diabetes. Diabetes is a global disease (1), the incidence and prevalence of which have reached epidemic proportions (19). The number of individuals affected by diabetes mellitus is estimated to be >200,000,000. The majority of patients with diabetes have NIDDM (2), and the number of patients with NIDDM is expected to double by 2030 (20). The insulin stimulatory activities of SUs have been reported to decrease with time, due to the gradual destruction of pancreatic β cells, and SUs are prescribed with a number of restrictions due to their associated side-effects, including hypoglycemia (3).

Interest regarding the biological activities of compounds obtained from marine organisms has intensified in previous years (4). Compounds derived from various marine organisms have been investigated, a number of which have been developed into commercially available drugs (3). Fucoidan is a compound, which possesses anti-oxidant, anticancer, and anti-inflammatory activities, and has been widely investigated (7). Fucoidan can suppress various inflammatory cytokines, including interleukin-1β, tumor necrosis factor-α, interferon-γ and cyclooxygenase-2 (21). In addition, fucoidan has been reported to be important role in cancer and inflammation (8), and to be associated with insulin resistance (9). Therefore, the present study aimed to investigate the effects of fucoidan on insulin stimulation and pancreatic protection.

GK rats are non-obese rats, originally derived by repeated inbreeding of glucose-intolerant Wistar rats (15), which exhibit spontaneous and moderate NIDDM. Between 3 and 4 weeks of age, GK rats develop mild hyperglycemia and hyperinsulinemia. Therefore, GK rats were selected for use in the present study, and Wistar rats were used as a control. In the in vivo investigation, the body weights and levels of serum insulin decreased, and blood glucose levels significantly increased in the GK rats, compared with the control Wistar rats. Although fucoidan did not alter body weight, the observed increase in blood glucose levels were reduced and the decreased serum insulin levels were recovered in the GK rats following oral administration of fucoidan for 13 weeks. Histopathological analysis also demonstrated that islet atrophy, fibrosis of pancreatic ducts and blood vessels, and macrophages containing brown coarsely granular material were observed in the pancreata of GK rats, compared with the control Wistar rats. Treatment with fucoidan markedly reduced the histopathological changes in the pancreatic tissues of the GK rats. In vitro, dose- and time-dependent effects of fucoidan on insulin concentration were determined in RIN-5F cells cultured in high glucose conditions. Fucoidan was not observed to be cytotoxic towards RIN-5F cells, and significantly stimulated insulin secretion in a dose-and time-dependent manner.

Under physiological conditions, the insulin secretory response to glucose is augmented by numerous factors, which act through various mechanisms (11). It is well-known that insulin secretion from pancreatic β cells is stimulated by SUs. SUs bind to SU receptors, resulting in the closure of ATP sensitive K+ channels in the pancreatic β cell plasma membrane, which leads to membrane depolarization, rapid Ca2+ influx and insulin secretion (22). SUs act by direct interaction with the secretory machinery. In addition, physiological insulin secretion is regulated by numerous intrinsic factors (23), including free fatty acids, amino acids and newly identified hormones, including glucagon-like polypeptide-1 (24) and pituitary adenylate cyclase activating polypeptide (25). Intracellular signal transduction, including KATP channel-dependent and -independent mechanisms, the ATP-gated P2X3 receptor mechanism (26), and the extracellular calcium-sensing receptor mechanism, which includes the mitogen-activated protein kinase cascade for insulin secretion, have also been elucidated (27,28). In the present study, glybenclamide was used as a positive control, and the results suggested an additive effect of fucoidan and glybenclamide. Amylin is an inhibitor of glybenclamide, which was shown to markedly inhibit the stimulatory activity of glybenclamide; however, it did not inhibit the stimulatory activity of fucoidan, suggesting that the effects of fucoidan on insulin secretion may be associated with a different mechanism, which varies from the rapid Ca2+ influx caused by glybenclamide.

cAMP is well documented to be an important amplifier of insulin release (12). cAMP directly inhibits KATP channels and promotes depolarization of the plasma membrane. In addition, cAMP increases cytosolic Ca2+ levels via opening of L-type voltage-sensitive Ca2+ channels in the plasma membrane, and promotion of Ca2+-induced Ca2+ release from intracellular stores (13). Elevation in cAMP levels has also been observed to stimulate insulin exocytosis, independent of changes in intracellular Ca2+ concentration (29). In order to better understand the mechanisms underlying the stimulatory activity of fucoidan, the concentration of cAMP was measured in RIN-5F cells in the present study. The concentration of cAMP was significantly increased in the fucoidan-treated RIN-5F cells, in a dose-and time-dependent manner. The generation and degradation of cAMP is shown in Fig. 4C, where phosphodiesterase inhibition decreased the degradation of cAMP and adenylyl cyclase inhibition decreased the generation of cAMP. Treatment with the phosphodiesterase inhibitor significantly increased fucoidan-induced insulin secretion, whereas treatment with the adenylyl cyclase inhibitor significantly decreased fucoidan-induced insulin secretion. These results suggested that the cAMP signaling pathway may be important in the process. However, the role of fucoidan in the regulation of insulin secretion via the cAMP signaling pathway under physiological conditions remains to be fully elucidated. The complex process and mechanism requires further investigation.

The present study is the first, to the best of our knowledge, to determine the effects of fucoidan on insulin stimulation and pancreatic protection via the cAMP signaling pathway in vivo and in vitro. These results indicated that fucoidan may prevent or reduce the development of spontaneous diabetes, and may be considered a novel therapeutic strategy for its treatment.

References

1 

Fang Y, Tian X, Bai S, Fan J, Hou W, Tong H and Li D: Autologous transplantation of adipose-derived mesenchymal stem cells ameliorates streptozotocin-induced diabetic nephropathy in rats by inhibiting oxidative stress, pro-inflammatory cytokines and the p38 MAPK signaling pathway. Int J Mol Med. 30:85–92. 2012.PubMed/NCBI

2 

Tsur A, Harman-Bohem I, Buchs AE, Raz I and Wainstein J: The guidelines for the diagnosis prevention and treatment of type 2 diabetes mellitus - 2005. Harefuah. 145:583–586. 6302006.In Hebrew.

3 

Genuth S: Management of the adult onset diabetic with sulfonylurea drug failure. Endocrinol Metab Clin North Am. 21:351–370. 1992.PubMed/NCBI

4 

Onofrejová L, Vasícková J, Klejdus B, Stratil P, Misurcová L, Krácmar S, Kopecký J and Vacek J: Bioactive phenols in algae: The application of pressurized-liquid and solid-phase extraction techniques. J Pharm Biomed Anal. 51:464–470. 2010. View Article : Google Scholar

5 

Li X, Zhao H, Wang Q, Liang H and Jiang X: Fucoidan protects ARPE-19 cells from oxidative stress via normalization of reactive oxygen species generation through the Ca2+-dependent ERK signaling pathway. Mol Med Rep. 11:3746–3752. 2015.PubMed/NCBI

6 

Zhang P, Bi C, Schmitt SM, Li X, Fan Y, Zhang N and Dou QP: Metal-based 2,3-indolinedione derivatives as proteasome inhibitors and inducers of apoptosis in human cancer cells. Int J Mol Med. 34:870–879. 2014.PubMed/NCBI

7 

Myers SP, O'Connor J, Fitton JH, Brooks L, Rolfe M, Connellan P, Wohlmuth H, Cheras PA and Morris C: A combined Phase I and II open-label study on the immunomodulatory effects of seaweed extract nutrient complex. Biologics. 5:45–60. 2011.PubMed/NCBI

8 

Li C, Gao Y, Xing Y, Zhu H, Shen J and Tian J: Fucoidan, a sulfated polysaccharide from brown algae, against myocardial ischemia-reperfusion injury in rats via regulating the inflammation response. Food Chem Toxicol. 49:2090–2095. 2011. View Article : Google Scholar : PubMed/NCBI

9 

Hernández-Corona DM, Martínez-Abundis E and González-Ortiz M: Effect of fucoidan administration on insulin secretion and insulin resistance in overweight or obese adults. J Med Food. 17:830–832. 2014. View Article : Google Scholar : PubMed/NCBI

10 

Eliza J, Daisy P, Ignacimuthu S and Duraipandiyan V: Antidiabetic and antilipidemic effect of eremanthin from Costus speciosus (Koen.)Sm., in STZ-induced diabetic rats. Chem Biol Interact. 182:67–72. 2009. View Article : Google Scholar : PubMed/NCBI

11 

Henquin JC: The dual control of insulin secretion by glucose involves triggering and amplifying pathways in β-cells. Diabetes Res Clin Pract. 93(Suppl 1): S27–S31. 2011. View Article : Google Scholar

12 

Damdindorj B, Dezaki K, Kurashina T, Sone H, Rita R, Kakei M and Yada T: Exogenous and endogenous ghrelin counteracts GLP-1 action to stimulate cAMP signaling and insulin secretion in islet β-cells. FEBS Lett. 586:2555–2562. 2012. View Article : Google Scholar : PubMed/NCBI

13 

Furman B, Ong WK and Pyne NJ: Cyclic AMP signaling in pancreatic islets. Adv Exp Med Biol. 654:281–304. 2010. View Article : Google Scholar : PubMed/NCBI

14 

Meenakshi S, Umayaparvathi S, Saravanan R, Manivasagam T and Balasubramanian T: Hepatoprotective effect of fucoidan isolated from the seaweed Turbinaria decurrens in ethanol intoxicated rats. Int J Biol Macromol. 67:367–372. 2014. View Article : Google Scholar : PubMed/NCBI

15 

Kim CS, Sohn EJ, Kim YS, Jung DH, Jang DS, Lee YM, Kim DH and Kim JS: Effects of KIOM-79 on hyperglycemia and diabetic nephropathy in type 2 diabetic Goto-Kakizaki rats. J Ethnopharmacol. 111:240–247. 2007. View Article : Google Scholar

16 

Lan T, Shen X, Liu P, Liu W, Xu S, Xie X, Jiang Q, Li W and Huang H: Berberine ameliorates renal injury in diabetic C57BL/6 mice: Involvement of suppression of SphK-S1P signaling pathway. Arch Biochem Biophys. 502:112–120. 2010. View Article : Google Scholar : PubMed/NCBI

17 

Zhang D, Fujii I, Lin C, Ito K, Guan H, Zhao J, Shinohara M and Matsukura M: The stimulatory activities of polysaccharide compounds derived from algae extracts on insulin secretion in vitro. Biol Pharm Bull. 31:921–924. 2008. View Article : Google Scholar : PubMed/NCBI

18 

Xie P, Nishiura H, Semba U, Chen J, Zhao R, Kuniyasu A and Yamamoto T: Inhibitory effects of C4a on chemoattractant and secretagogue functions of the other anaphylatoxins via Gi protein-adenylyl cyclase inhibition pathway in mast cells. Int Immunopharmacol. 12:158–168. 2012. View Article : Google Scholar

19 

Hall GM and Ruggier R: Diabetes mellitus and anaesthesia. Curr Opin Anaesthesiol. 12:343–347. 1999. View Article : Google Scholar

20 

Parker JC: Troglitazone: The discovery and development of a novel therapy for the treatment of Type 2 diabetes mellitus. Adv Drug Deliv Rev. 54:1173–1197. 2002. View Article : Google Scholar : PubMed/NCBI

21 

Fukahori S, Yano H, Akiba J, Ogasawara S, Momosaki S, Sanada S, Kuratomi K, Ishizaki Y, Moriya F, Yagi M and Kojiro M: Fucoidan, a major component of brown seaweed, prohibits the growth of human cancer cell lines in vitro. Mol Med Rep. 1:537–542. 2008.PubMed/NCBI

22 

Samarasinghe S and Vokes T: Diabetes insipidus. Expert Rev Anticancer Ther. 6(Suppl 9): S63–S74. 2006. View Article : Google Scholar : PubMed/NCBI

23 

Jacques-Silva MC, Correa-Medina M, Cabrera O, Rodriguez-Diaz R, Makeeva N, Fachado A, Diez J, Berman DM, Kenyon NS, Ricordi C, et al: ATP-gated P2X3 receptors constitute a positive autocrine signal for insulin release in the human pancreatic beta cell. Proc Natl Acad Sci USA. 107:6465–6470. 2010. View Article : Google Scholar : PubMed/NCBI

24 

Hölscher C: The incretin hormones glucagonlike peptide 1 and glucose-dependent insulinotropic polypeptide are neuroprotective in mouse models of Alzheimer's disease. Alzheimers Dement. 10(1 Suppl): S47–S54. 2014. View Article : Google Scholar : PubMed/NCBI

25 

Ma Y, Luo T, Xu W, Ye Z and Hong A: A new recombinant pituitary adenylate cyclase-activating peptide-derived peptide efficiently promotes glucose uptake and glucose-dependent insulin secretion. Acta Biochim Biophys Sin (Shanghai). 44:948–956. 2012. View Article : Google Scholar

26 

Widenmaier SB, Ao Z, Kim SJ, Warnock G and McIntosh CH: Suppression of p38 MAPK and JNK via Akt-mediated inhibition of apoptosis signal-regulating kinase 1 constitutes a core component of the beta-cell pro-survival effects of glucose-dependent insulinotropic polypeptide. J Biol Chem. 284:30372–30382. 2009. View Article : Google Scholar : PubMed/NCBI

27 

Chalon S, Vancassel S, Zimmer L, Guilloteau D and Durand G: Polyunsaturated fatty acids and cerebral function: Focus on monoaminergic neurotransmission. Lipids. 36:937–944. 2001. View Article : Google Scholar : PubMed/NCBI

28 

Fedor D and Kelley DS: Prevention of insulin resistance by n-3 polyunsaturated fatty acids. Curr Opin Clin Nutr Metab Care. 12:138–146. 2009. View Article : Google Scholar : PubMed/NCBI

29 

Tengholm A: Cyclic AMP dynamics in the pancreatic β-cell. Ups J Med Sci. 117:355–369. 2012. View Article : Google Scholar : PubMed/NCBI

Related Articles

  • Abstract
  • View
  • Download
  • Twitter
Copy and paste a formatted citation
Spandidos Publications style
Jiang X, Yu J, Ma Z, Zhang H and Xie F: Effects of fucoidan on insulin stimulation and pancreatic protection via the cAMP signaling pathway in vivo and in vitro. Mol Med Rep 12: 4501-4507, 2015.
APA
Jiang, X., Yu, J., Ma, Z., Zhang, H., & Xie, F. (2015). Effects of fucoidan on insulin stimulation and pancreatic protection via the cAMP signaling pathway in vivo and in vitro. Molecular Medicine Reports, 12, 4501-4507. https://doi.org/10.3892/mmr.2015.3989
MLA
Jiang, X., Yu, J., Ma, Z., Zhang, H., Xie, F."Effects of fucoidan on insulin stimulation and pancreatic protection via the cAMP signaling pathway in vivo and in vitro". Molecular Medicine Reports 12.3 (2015): 4501-4507.
Chicago
Jiang, X., Yu, J., Ma, Z., Zhang, H., Xie, F."Effects of fucoidan on insulin stimulation and pancreatic protection via the cAMP signaling pathway in vivo and in vitro". Molecular Medicine Reports 12, no. 3 (2015): 4501-4507. https://doi.org/10.3892/mmr.2015.3989
Copy and paste a formatted citation
x
Spandidos Publications style
Jiang X, Yu J, Ma Z, Zhang H and Xie F: Effects of fucoidan on insulin stimulation and pancreatic protection via the cAMP signaling pathway in vivo and in vitro. Mol Med Rep 12: 4501-4507, 2015.
APA
Jiang, X., Yu, J., Ma, Z., Zhang, H., & Xie, F. (2015). Effects of fucoidan on insulin stimulation and pancreatic protection via the cAMP signaling pathway in vivo and in vitro. Molecular Medicine Reports, 12, 4501-4507. https://doi.org/10.3892/mmr.2015.3989
MLA
Jiang, X., Yu, J., Ma, Z., Zhang, H., Xie, F."Effects of fucoidan on insulin stimulation and pancreatic protection via the cAMP signaling pathway in vivo and in vitro". Molecular Medicine Reports 12.3 (2015): 4501-4507.
Chicago
Jiang, X., Yu, J., Ma, Z., Zhang, H., Xie, F."Effects of fucoidan on insulin stimulation and pancreatic protection via the cAMP signaling pathway in vivo and in vitro". Molecular Medicine Reports 12, no. 3 (2015): 4501-4507. https://doi.org/10.3892/mmr.2015.3989
Follow us
  • Twitter
  • LinkedIn
  • Facebook
About
  • Spandidos Publications
  • Careers
  • Cookie Policy
  • Privacy Policy
How can we help?
  • Help
  • Live Chat
  • Contact
  • Email to our Support Team