Spandidos Publications Logo
  • About
    • About Spandidos
    • Aims and Scopes
    • Abstracting and Indexing
    • Editorial Policies
    • Reprints and Permissions
    • Job Opportunities
    • Terms and Conditions
    • Contact
  • Journals
    • All Journals
    • Oncology Letters
      • Oncology Letters
      • Information for Authors
      • Editorial Policies
      • Editorial Board
      • Aims and Scope
      • Abstracting and Indexing
      • Bibliographic Information
      • Archive
    • International Journal of Oncology
      • International Journal of Oncology
      • Information for Authors
      • Editorial Policies
      • Editorial Board
      • Aims and Scope
      • Abstracting and Indexing
      • Bibliographic Information
      • Archive
    • Molecular and Clinical Oncology
      • Molecular and Clinical Oncology
      • Information for Authors
      • Editorial Policies
      • Editorial Board
      • Aims and Scope
      • Abstracting and Indexing
      • Bibliographic Information
      • Archive
    • Experimental and Therapeutic Medicine
      • Experimental and Therapeutic Medicine
      • Information for Authors
      • Editorial Policies
      • Editorial Board
      • Aims and Scope
      • Abstracting and Indexing
      • Bibliographic Information
      • Archive
    • International Journal of Molecular Medicine
      • International Journal of Molecular Medicine
      • Information for Authors
      • Editorial Policies
      • Editorial Board
      • Aims and Scope
      • Abstracting and Indexing
      • Bibliographic Information
      • Archive
    • Biomedical Reports
      • Biomedical Reports
      • Information for Authors
      • Editorial Policies
      • Editorial Board
      • Aims and Scope
      • Abstracting and Indexing
      • Bibliographic Information
      • Archive
    • Oncology Reports
      • Oncology Reports
      • Information for Authors
      • Editorial Policies
      • Editorial Board
      • Aims and Scope
      • Abstracting and Indexing
      • Bibliographic Information
      • Archive
    • Molecular Medicine Reports
      • Molecular Medicine Reports
      • Information for Authors
      • Editorial Policies
      • Editorial Board
      • Aims and Scope
      • Abstracting and Indexing
      • Bibliographic Information
      • Archive
    • World Academy of Sciences Journal
      • World Academy of Sciences Journal
      • Information for Authors
      • Editorial Policies
      • Editorial Board
      • Aims and Scope
      • Abstracting and Indexing
      • Bibliographic Information
      • Archive
    • International Journal of Functional Nutrition
      • International Journal of Functional Nutrition
      • Information for Authors
      • Editorial Policies
      • Editorial Board
      • Aims and Scope
      • Abstracting and Indexing
      • Bibliographic Information
      • Archive
    • International Journal of Epigenetics
      • International Journal of Epigenetics
      • Information for Authors
      • Editorial Policies
      • Editorial Board
      • Aims and Scope
      • Abstracting and Indexing
      • Bibliographic Information
      • Archive
    • Medicine International
      • Medicine International
      • Information for Authors
      • Editorial Policies
      • Editorial Board
      • Aims and Scope
      • Abstracting and Indexing
      • Bibliographic Information
      • Archive
  • Articles
  • Information
    • Information for Authors
    • Information for Reviewers
    • Information for Librarians
    • Information for Advertisers
    • Conferences
  • Language Editing
Spandidos Publications Logo
  • About
    • About Spandidos
    • Aims and Scopes
    • Abstracting and Indexing
    • Editorial Policies
    • Reprints and Permissions
    • Job Opportunities
    • Terms and Conditions
    • Contact
  • Journals
    • All Journals
    • Biomedical Reports
      • Information for Authors
      • Editorial Policies
      • Editorial Board
      • Aims and Scope
      • Abstracting and Indexing
      • Bibliographic Information
      • Archive
    • Experimental and Therapeutic Medicine
      • Information for Authors
      • Editorial Policies
      • Editorial Board
      • Aims and Scope
      • Abstracting and Indexing
      • Bibliographic Information
      • Archive
    • International Journal of Epigenetics
      • Information for Authors
      • Editorial Policies
      • Editorial Board
      • Aims and Scope
      • Abstracting and Indexing
      • Bibliographic Information
      • Archive
    • International Journal of Functional Nutrition
      • Information for Authors
      • Editorial Policies
      • Editorial Board
      • Aims and Scope
      • Abstracting and Indexing
      • Bibliographic Information
      • Archive
    • International Journal of Molecular Medicine
      • Information for Authors
      • Editorial Policies
      • Editorial Board
      • Aims and Scope
      • Abstracting and Indexing
      • Bibliographic Information
      • Archive
    • International Journal of Oncology
      • Information for Authors
      • Editorial Policies
      • Editorial Board
      • Aims and Scope
      • Abstracting and Indexing
      • Bibliographic Information
      • Archive
    • Medicine International
      • Information for Authors
      • Editorial Policies
      • Editorial Board
      • Aims and Scope
      • Abstracting and Indexing
      • Bibliographic Information
      • Archive
    • Molecular and Clinical Oncology
      • Information for Authors
      • Editorial Policies
      • Editorial Board
      • Aims and Scope
      • Abstracting and Indexing
      • Bibliographic Information
      • Archive
    • Molecular Medicine Reports
      • Information for Authors
      • Editorial Policies
      • Editorial Board
      • Aims and Scope
      • Abstracting and Indexing
      • Bibliographic Information
      • Archive
    • Oncology Letters
      • Information for Authors
      • Editorial Policies
      • Editorial Board
      • Aims and Scope
      • Abstracting and Indexing
      • Bibliographic Information
      • Archive
    • Oncology Reports
      • Information for Authors
      • Editorial Policies
      • Editorial Board
      • Aims and Scope
      • Abstracting and Indexing
      • Bibliographic Information
      • Archive
    • World Academy of Sciences Journal
      • Information for Authors
      • Editorial Policies
      • Editorial Board
      • Aims and Scope
      • Abstracting and Indexing
      • Bibliographic Information
      • Archive
  • Articles
  • Information
    • For Authors
    • For Reviewers
    • For Librarians
    • For Advertisers
    • Conferences
  • Language Editing
Login Register Submit
  • This site uses cookies
  • You can change your cookie settings at any time by following the instructions in our Cookie Policy. To find out more, you may read our Privacy Policy.

    I agree
Search articles by DOI, keyword, author or affiliation
Search
Advanced Search
presentation
Molecular Medicine Reports
Join Editorial Board Propose a Special Issue
Print ISSN: 1791-2997 Online ISSN: 1791-3004
Journal Cover
May-2017 Volume 15 Issue 5

Full Size Image

Sign up for eToc alerts
Recommend to Library

Journals

International Journal of Molecular Medicine

International Journal of Molecular Medicine

International Journal of Molecular Medicine is an international journal devoted to molecular mechanisms of human disease.

International Journal of Oncology

International Journal of Oncology

International Journal of Oncology is an international journal devoted to oncology research and cancer treatment.

Molecular Medicine Reports

Molecular Medicine Reports

Covers molecular medicine topics such as pharmacology, pathology, genetics, neuroscience, infectious diseases, molecular cardiology, and molecular surgery.

Oncology Reports

Oncology Reports

Oncology Reports is an international journal devoted to fundamental and applied research in Oncology.

Experimental and Therapeutic Medicine

Experimental and Therapeutic Medicine

Experimental and Therapeutic Medicine is an international journal devoted to laboratory and clinical medicine.

Oncology Letters

Oncology Letters

Oncology Letters is an international journal devoted to Experimental and Clinical Oncology.

Biomedical Reports

Biomedical Reports

Explores a wide range of biological and medical fields, including pharmacology, genetics, microbiology, neuroscience, and molecular cardiology.

Molecular and Clinical Oncology

Molecular and Clinical Oncology

International journal addressing all aspects of oncology research, from tumorigenesis and oncogenes to chemotherapy and metastasis.

World Academy of Sciences Journal

World Academy of Sciences Journal

Multidisciplinary open-access journal spanning biochemistry, genetics, neuroscience, environmental health, and synthetic biology.

International Journal of Functional Nutrition

International Journal of Functional Nutrition

Open-access journal combining biochemistry, pharmacology, immunology, and genetics to advance health through functional nutrition.

International Journal of Epigenetics

International Journal of Epigenetics

Publishes open-access research on using epigenetics to advance understanding and treatment of human disease.

Medicine International

Medicine International

An International Open Access Journal Devoted to General Medicine.

Journal Cover
May-2017 Volume 15 Issue 5

Full Size Image

Sign up for eToc alerts
Recommend to Library

  • Article
  • Citations
    • Cite This Article
    • Download Citation
    • Create Citation Alert
    • Remove Citation Alert
    • Cited By
  • Similar Articles
    • Related Articles (in Spandidos Publications)
    • Similar Articles (Google Scholar)
    • Similar Articles (PubMed)
  • Download PDF
  • Download XML
  • View XML
Article

Lycium barbarum polysaccharide exhibits cardioprotection in an experimental model of ischemia-reperfusion damage

  • Authors:
    • Ya‑Min Hou
    • Jie Wang
    • Xian‑Zhao Zhang
  • View Affiliations / Copyright

    Affiliations: Department of Cardiology, Linyi People's Hospital, Shandong, Linyi 276003, P.R. China
  • Pages: 2653-2658
    |
    Published online on: March 7, 2017
       https://doi.org/10.3892/mmr.2017.6294
  • Expand metrics +
Metrics: Total Views: 0 (Spandidos Publications: | PMC Statistics: )
Metrics: Total PDF Downloads: 0 (Spandidos Publications: | PMC Statistics: )
Cited By (CrossRef): 0 citations Loading Articles...

This article is mentioned in:



Abstract

Cardiovascular diseases are a major cause of mortality and disability worldwide. The present study investigated the cardio-protective effects of polysaccharides extracted from Lycium barbarum (LB), the fruit of which is traditionally used in Chinese medicine. Polysaccharides were characterized using Fourier transform infrared spectroscopy and high‑performance liquid chromatography techniques. The present study demonstrated that LB polysaccharides are composed of glucose and fructose monosaccharides in a molar ratio of 1:2. A total of 36 rats were divided into three groups plus a control group, with nine animals in each group, and were used for studying the cardioprotective effects of LB polysaccharides. The low‑dose group received 150 mg/kg body weight (BW) polysaccharides and the high‑dose group received 300 mg/kg BW polysaccharides. The results demonstrated that the LB polysaccharides reduced the levels of myocardial lactate dehydrogenase and increased the sodium‑potassium ATPase and calcium ATPase activities in rats with heart ischemia‑reperfusion injury. In addition, there was a decrease in the myocardial Bax‑positive expression and the rate of myocardial cell apoptosis, along with a dose‑dependent increase in Bcl‑2‑positive expression. Therefore, it was concluded that LB polysaccharides are able to halt the progression of cardiovascular diseases.

Introduction

Cardiovascular disorders claim approximately 3.6 million lives each year worldwide, and among cardiovascular disorders, myocardial infarction is the main cause of mortality (1). The rapidly increasing incidence of metabolic disorders including diabetes, obesity and metabolic syndrome, combined with more aggressive treatment of hypertension, is a causative factor for cardiovascular diseases. The classical approach to the treatment of acute myocardial infarction includes the use of primary percutaneous coronary intervention or thrombolytic therapy, which aim at limiting the size of the infarct. However, the process of reinstating blood flow to the ischemic myocardium can cause further injury to heart tissue and is referred to as ischemia-reperfusion damage. Even with the most advanced medical treatment, ~10% of the patients die following ischemia-reperfusion procedure and ~25% die of heart failure as a consequence of ischemia-reperfusion (1). Experimental studies have validated that oxidative stress generated from ischemia-reperfusion can also lead to myocardial injury (1,2).

Lycium barbarum (LB; also known as goji berry or wolfberry) is a member of the family Solanaceae, and its fruit is well-known in traditional Chinese herbal medicine. At present, it is widely consumed as food, with a number of beneficial effects, including free radical scavenging, lipid lowering, antidiabetic, immuno-modulating and anticancer activities (3–7). Although LB has been traditionally been used in Chinese medicine, its efficacy has been validated recently by numerous studies from western countries (1,2). The beneficial effects of LB fruit have been attributed to its bioactive polysaccharide-protein complex (LBP) (8–12). The LBP fractions were demonstrated to contain six monosaccharides, galactose, rhamnose, glucose, mannose, arabinose and xylose, and 18 different amino acids (8–10). The efficacy of LBP has also been validated in various preclinical models of liver damage, immune dysfunction, diabetes and cancer (9,10,13–15). Taurine, one of the 18 amino acids identified in LB, is recommended as a complementary therapeutic agent for the management of type II diabetes complications and is also known to inhibit caspase-3 in animal models of ischemia-reperfusion (16,17).

To the best of our knowledge, there has been no organized research study on the prevention of cardiovascular disorders using LB at present. Thus, the current study aimed to characterize the extracted polysaccharides of LB and then evaluate the level of biomarkers such as lactate dehydrogenase (LD) and nitric oxide (NO) and the activities of sodium-potassium ATPase and calcium ATPase in the heart tissue in a rat model of ischemia-reperfusion injury.

Materials and methods

Materials

Commercially available heat-dried wolfberries were purchased from Rich Nature Nutraceutical Labs (Mukilteo, WA, USA).

Polysaccharide extraction

Dry LB fruits (100 g) were treated with 300 ml CHCl3-MeOH (3:1 v/v) at 70°C under reflux for 2 h, and the extract was passed through an acetone extraction while maintaining the same environment. The lipid-free substance was removed with the aid of 400 ml of ethanol at 70°C and then introduction to 500 ml of water at 100°C for 3 h both under reflux.

Monosaccharide composition analyses

The monosaccharide composition was determined using the acid digestion method. High-performance liquid chromatography (HPLC) was used to examine the produced hydrolyzates. The procedures were performed following the method of Fu and Oneill (18).

Infrared spectrum analysis of LB polysaccharides

With the aid of a Fourier transform infrared spectrophotometer (Shimadzu Corporation, Kyoto, Japan) running OPUS software, version 3.1 (Bruker Corporation, Billerica, MA, USA), the infrared spectrum of LB polysaccharides was ascertained. For transformation infrared spectrum analysis, 5 mg LB polysaccharides was mixed with powdered KBr and pressed into pellets. Measurements were made in a frequency range of 400–4,000 cm−1 (19).

Animals and operative procedures

For the present study, 36 adult Wistar male rats were obtained from the Experimental Research Section of Linyi Peoples Hospital (Shandong, China). Each rat weighed 250±10 g. They were kept in cages and were maintained under a constant room temperature and 12/12 h light/dark cycle. The rats were fed with the commercially available rat chow and tap water ad libitum. All the experimental procedures performed were approved by the Shandong University Ethical Committee of School of Medicine.

The rats were randomly divided into a control group and three surgical groups. The hearts of the rats were perfused as follows: The rats were anesthetized with 5% napental [30 mg/kg body weight (BW); Shanghai Kefeng Chemical Reagent Co., Ltd., Shanghai, China] and their hearts were immediately excised and placed in cold (4°C) Krebs-Henseleit solution containing 118 mM NaCl, 4.8 mM KCl, 1.2 mM KH2PO4, 1.6 mM CaCl2, 1.2 mM MgSO4, 25 mM NaHCO3 and 11.5 mM glucose. Within 2 min of thoracotomy, the hearts were mounted on an experimental setup and retrogradely perfused with Krebs-Henseleit solution (37°C) through the aorta at 15 ml/min (Minipuls-3 peristaltic pump; Gilson SAS, Villiers-Le Bel, France) and aerated with 95% O2 + 5% CO2 to maintain normal pH, pO2, and pCO2 levels.

A polyethylene catheter with a small latex balloon at the tip (size 3; Enove Precision Plastics Catheter Co., Ltd., Jiangsu, China) was inserted in the left ventricular cavity through the mitral valve opening to record the pressure in the left ventricle. Hearts that did not reach the peak left ventricular systolic pressure of 85–90 mmHg with left ventricular end-diastolic pressure of 5–6 mmHg (contractile performance 8–10%) were removed (n=3). Left ventricular developed pressure was calculated as the difference between peak left ventricular systolic pressure and ventricular end-diastolic pressure.

The three treatment groups had nine rats each and were as follows: Model control, low-dose and high-dose groups. The low-dose group received 150 mg/kg BW polysaccharides and the high-dose group received 300 mg/kg BW polysaccharides. The rats were anesthetized with 5% napental (30 mg/kg BW; Shanghai Kefeng Chemical Reagent, Co., Ltd.). The hearts were rapidly removed and stored at −70°C for biochemical measurements.

Biochemical analysis

The function of sodium-potassium ATPase was assayed as described previously (20) with certain changes. Briefly, the assay mixture was prepared by mixing microsome (50 µg) and a buffer containing 50 mM Tris-HCl pH 7.4, 100 mM NaCl, 20 mM KCl, 1 mM EGTA, 5 mM ATP and 5 mM MgCl2 to a final volume of 1 ml. Controls contained the similar reaction mixture together with 1 mM ouabain (Nanjing Chemlin Chemical Co., Ltd, Nanjing, China). ATP was added to the tubes to initiate the reaction and they were incubated at 37°C for 10 min. To stop the reaction, 500 µl 20% trichloroacetic acid (TCA) was added to the tubes, and the quantity of inorganic phosphate was determined. The sodium-potassium ATPase function (percent inhibition against the 100% value) was determined by measuring the difference between the activity in the presence and absence of 1 mM ouabain.

Calcium ATPase activity was determined as indicated in a previous study (21). The incubation mixture was prepared by mixing 40 mM Tris-HCl buffer (pH 7.0), 50 mM KCl, 5 mM MgCl2, 2 mM ATP (neutralized with potassium hydroxide), 0.1 mM ouabain, microsomal protein (0.5–0.8 mg/ml) with either 2 mM EGTA or 20 mM CaCl2. The enzyme reaction was initiated by adding microsomes, and the tubes were incubated at 37°C for 10 min. Ice cold TCA (10%) was then added to stop the reaction, and the amount of inorganic phosphate released in terms of nmol/min/mg protein was recorded. Calcium ATPase activity was measured by subtracting the values obtained with EGTA from those obtained with CaCl2.

Immunohistochemistry was performed by the avidin-biotin-peroxidase method (Thermo Fisher Scientific, Inc., Waltham, MA, USA) (22) on the 300-µm thick sections of heart tissue adjoining those used for terminal deoxynucleotidyl transferase dUTP nick end labeling (TUNEL) detection. The sections were first dewaxed (using xylene) and rehydrated (using distilled water), and then placed into 0.3% H2O2 solution. The sections were then incubated with 1.5% normal goat serum to prevent nonspecific binding and fulfill the endogenous peroxidase function. Rat anti-Bcl-2 (cat no. #15071, Cell Signalling Technologies, Danvers, MA, USA) and anti-Bax (cat no. #AF820, R&D Systems, Inc., Minneapolis, MN, USA) antibodies were separately diluted 1:200 and 1:300, respectively, and the sections were then incubated with these primary antibodies in a humidified chamber for 24 h at 4°C. Negative control sections were incubated without the primary antibody. After washing with phosphate-buffered saline (PBS), the sections were individually incubated with biotinylated secondary antibody, goat-anti-rat immunoglobulin G (IgG; 1:200 dilution) (cat no. #ab97057, Abcam, Cambridge, UK), along with an avidin-biotin-peroxidase complex (Thermo Fisher Scientific, Inc.) for 30 min. The sections were then rinsed in PBS and exposed to diaminobenzidine and H2O2 in 50 mM Tris-HCl (pH 7.6) for 3 min. Following a final bath, the immunostained sections were dehydrated in a graded ethanol series. Bcl-2- and Bax-positive cells were quantitatively analyzed using an image analyzer system (Aperio ePathology eIHC IVD System, Leica Biosystems, Beijing, China). The number of cells/mm of the CA1 pyramidal cell layer was calculated for each rat, and the average value from the adjoining two sections was used.

Nitric acid (NO−) and lactic acid concentrations were calculated using a fluorometric nitric oxide assay kit (cat. no. #K252-200, BioVision, Inc., Milpitas, CA, USA). The apoptotic rate was determined using flow-cytometry (FACSCalibur; BD Biosciences, Franklin Lakes, NJ, USA).

Histopathological analysis

The triphenyl tetrazolium chloride method was used to assess the injuries to the myocardium (23). Myocardial tissue was fixed in 10% paraformaldehyde for 24 h and embedded in paraffin wax. Sections were cut at 3 µm thick and were stained with hematoxylin and eosin following standard procedure and examined under a light microscope (highest magnification, ×400). The myocardial damage was graded as follows: Grade III, severe injury to the myocardium characterized by severe edema and predominant contraction bands; grade II, moderate injury to the myocardium characterized by regular presence of contraction bands and significant interstitial and cellular edema; grade I, minor injury to the myocardium characterized by hydropic cardiomyocytes, few contractions, and low grade interstitial edema; and grade 0, myocytes appear normal without hydrops, cell disruption or interstitial edema. Myocardial damage was measured using the semi-quantitative scale reported by Miller et al (24).

Data analysis

Statistical analysis was performed using one-way analysis of variance, Mann-Whitney U-test and Duncan's multiple range test, using SPSS for Windows, version 11.5 (SPSS, Inc., Chicago, IL, USA). Results were expressed as the mean ± standard error, and P<0.05 was considered to indicate a statistically significant difference.

Results

Chemical analysis of LB polysaccharides

HPLC analysis identified that the LB polysaccharides comprised two types of monosaccharides, glucose and fructose in the molar ratio 1:2 (Fig. 1). The infrared spectrum of LB polysaccharides depicted a dominant, broad and stretching peak at 3,392 cm−1 for the hydroxyl group and a weak band at 2,925 cm−1 showing C-H stretching vibration. A band at 1,000 cm−1 referred to the sugar units in the polysaccharide, and a band at 1,630 cm−1 to the bound water (Fig. 2).

Figure 1.

High-performance liquid chromatography analysis of Lycium barbarum polysaccharides.

Figure 2.

Fourier transform infrared spectroscopy analysis of Lycium barbarum polysaccharides.

Effect of LB polysaccharides on LD and NO levels and sodium-potassium ATPase and calcium ATPase activities

The pharmacological actions of the natural medicines have been demonstrated previously (25–28). There was a marked increase in the myocardial LD concentration in the model group rats in contrast to the healthy control rats (Figs. 3 and 4). Notably, there was a significant increase in myocardial LD levels in rats receiving 150 and 300 mg/kg BW LB polysaccharides. Sodium-potassium ATPase and calcium ATPase activities were significantly decreased in the model controlled group than in healthy controlled rats. Comparatively, there was a significant increase in the myocardial sodium-potassium and calcium ATPase activities in rats receiving 150 and 300 mg/kg BW LB polysaccharides.

Figure 3.

Effect of Lycium barbarum polysaccharides on NO levels and sodium-potassium and calcium ATPase activities. NO, nitric oxide.

Figure 4.

Effect of Lycium barbarum polysaccharides on LD activity. LD, lactate dehydrogenase.

Effect of LB polysaccharides on Bax and Bcl-2

The model group rats demonstrated markedly greater Bax and Bcl-2 positive rates than the healthy group rats. Rats that were administered LB polysaccharides demonstrated comparatively higher Bcl-2 positive rates and significantly higher Bax positive rates (P<0.01) when compared with model control rats (Fig. 5).

Figure 5.

Effect of Lycium barbarum polysaccharides on Bax and Bcl-2.

Fig. 6 presents the myocardial apoptotic rates. Despite the comparatively significant increase in apoptosis of the myocardium cells in the model group in comparison with the healthy group, these variations were remedied with an LB polysaccharides supplement.

Figure 6.

Effect of Lycium barbarum polysaccharides on apoptosis (%).

Histopathological changes

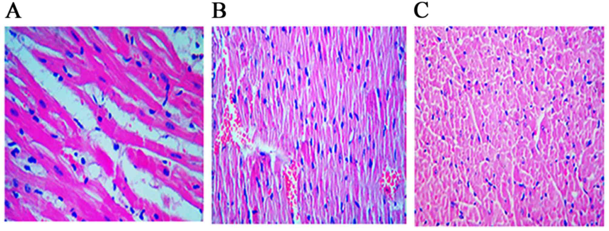
There were significant histological differences (P=0.022) between the control and study groups. The control group demonstrated higher grade II damage, and the study group demonstrated decreased myocardial edema (P<0.05; Fig. 7). Student's t-test for independent groups was performed to compare the myocardial damage in each group.

Figure 7.

(A) Myocardial morphology of normal rats. (B) Mildly injured myocardium in the LB polysaccharides-treated group. (C) Severely injured myocardium following ischemic reperfusion without LB polysaccharide treatment (hematoxylin and eosin stain; magnification, ×400). LB, Lycium barbarum.

Discussion

LB fruits have been used in Chinese traditional medicine, however there have been limited reports on their efficacy in ischemia-reperfusion damage. The glucose lowering and anti-apoptotic activity of LB has been well documented (29) and there is increasing evidence of its efficacy in age-associated macular degeneration (30). The present study demonstrated that fructose and glucose were the most abundant monosaccharides. The fruits of LB contained 18 different amino acids, the most abundant of which was taurine (31). Although, taurine is a partially essential amino acid in humans (32), it has demonstrated efficacy in type II diabetes and ischemic cardiomyocytes (16). The present study also confirmed that the cardioprotective properties of LB polysaccharide was via increased sodium-potassium ATPase and calcium ATPase activities.

The present study also demonstrated that the administration of LB polysaccharides significantly decreased myocardial LD levels. Sharikabad et al (33) demonstrated that Ca2+ and Na+ alterations in heart failure decrease the tolerance to ischemia by increasing Ca2+ overload. It has been established that an increase in the sodium ion causes excessive Ca2+ entry via reverse (Ca2+ influx mode) Na+/Ca2+ exchange during ischemia-reperfusion (34,35). The Na+/Ca2+ exchange is increased in myocardium disease (36,37). Sjaastad et al (37) reported that cardiomyocytes from rats with chronic heart failure demonstrated higher Ca2+ influx in an experimental model of Na+-loaded cells. It has also been reported that intracellular Na+ concentration is increased in chronic heart disease (38), which causes an increase in Ca2+ influx through the Na+/Ca2+ exchanger (39).

Calcium overload is the determinant to ischemia-reperfusion damage of the myocardium. Increased concentration of intracellular Ca2+ also increases the activity of degrading enzymes (40,41), which damages mitochondria and causes arrhythmias (35,42). Therefore, alterations in Na+ and Ca2+ may render the myocardium prone to ischemia-reperfusion damage.

In conclusion, the data collected from the ischemia-reperfusion model confirmed that LB polysaccharides prevent damage to heart tissue by decreasing the myocardium LD and NO levels and increasing sodium-potassium ATPase and calcium ATPase activities. The present study requires further validation in a clinical setting and its efficacy in patients with myocardial infarction remains to be established.

References

1 

Keeley EC, Boura JA and Grines CL: Primary angioplasty versus intravenous thrombolytic therapy for acute myocardial infarction: A quantitative review of 23 randomised trials. Lancet. 361:13–20. 2003. View Article : Google Scholar : PubMed/NCBI

2 

Zweier JL: Measurement of superoxide-derived free radicals in the reperfused heart. Evidence for a free radical mechanism of reperfusion injury. J Biol Chem. 263:1353–1357. 1988.PubMed/NCBI

3 

Mocan A, Vlase L, Vodnar DC, Gheldiu AM, Oprean R and Crişan G: Antioxidant, antimicrobial effects and phenolic profile of Lycium barbarum L. Flowers. Molecules. 20:15060–15071. 2015. View Article : Google Scholar : PubMed/NCBI

4 

Gündüz E, Dursun R, Zengin Y, İçer M, Durgun HM, Kanıcı A, Kaplan İ, Alabalık U, Gürbüz H and Güloğlu C: Lycium barbarum extract provides effective protection against paracetamol-induced acute hepatotoxicity in rats. Int J Clin Exp Med. 8:7898–7905. 2015.PubMed/NCBI

5 

Tang HL, Chen C, Wang SK and Sun GJ: Biochemical analysis and hypoglycemic activity of a polysaccharide isolated from the fruit of Lycium barbarum L. Int J Biol Macromol. 77:235–242. 2015. View Article : Google Scholar : PubMed/NCBI

6 

Gao K, Liu M, Cao J, Yao M, Lu Y, Li J, Zhu X, Yang Z and Wen A: Protective effects of Lycium barbarum polysaccharide on 6-OHDA-induced apoptosis in PC12 cells through the ROS-NO pathway. Molecules. 20:293–308. 2014. View Article : Google Scholar : PubMed/NCBI

7 

Cheng J, Zhou ZW, Sheng HP, He LJ, Fan XW, He ZX, Sun T, Zhang X, Zhao RJ, Gu L, et al: An evidence-based update on the pharmacological activities and possible molecular targets of Lycium barbarum polysaccharides. Drug Des Devel Ther. 9:33–78. 2014.PubMed/NCBI

8 

Huang L, Lin Y, Tian G and Ji G: Isolation, purification and physico-chemical properties of immunoactive constituents from the fruit of Lycium barbarum L. Yao Xue Xue Bao. 33:512–516. 1998.(In Chinese). PubMed/NCBI

9 

Gan L, Zhang SH, Liu Q and Xu HB: A polysaccharide-protein complex from Lycium barbarum upregulates cytokine expression in human peripheral blood mononuclear cells. Eur J Pharmacol. 471:217–222. 2003. View Article : Google Scholar : PubMed/NCBI

10 

Gan L, Hua ZS, Liang YX and Xu Bi H: Immunomodulation and antitumor activity by a polysaccharide-protein complex from Lycium barbarum. Int Immunopharmacol. 4:563–569. 2004. View Article : Google Scholar : PubMed/NCBI

11 

Niu AJ, Wu JM, Yu DH and Wang R: Protective effect of Lycium barbarum polysaccharides on oxidative damage in skeletal muscle of exhaustive exercise rats. Int J Biol Macromol. 42:447–449. 2008. View Article : Google Scholar : PubMed/NCBI

12 

Liu W, Xu J, Zhu R, Zhu Y, Zhao Y, Chen P, Pan C, Yao W and Gao X: Fingerprinting profile of polysaccharides from Lycium barbarum using multiplex approaches and chemometrics. Int J Biol Macromol. 78:230–237. 2015. View Article : Google Scholar : PubMed/NCBI

13 

Ha KT, Yoon SJ, Choi DY, Kim DW, Kim JK and Kim CH: Protective effect of Lycium chinense fruit on carbon tetrachloride-induced hepatotoxicity. J Ethnopharmacol. 96:529–535. 2005. View Article : Google Scholar : PubMed/NCBI

14 

Luo Q, Cai Y, Yan J, Sun M and Corke H: Hypoglycemic and hypolipidemic effects and antioxidant activity of fruit extracts from Lycium barbarum. Life Sci. 76:137–149. 2004. View Article : Google Scholar : PubMed/NCBI

15 

Gong H, Shen P, Jin L, Xing C and Tang F: Therapeutic effects of Lycium barbarum polysaccharide (LBP) on irradiation or chemotherapy-induced myelosuppressive mice. Cancer Biother Radiopharm. 20:155–162. 2005. View Article : Google Scholar : PubMed/NCBI

16 

Yu X, Xu Z, Mi M, Xu H, Zhu J, Wei N, Chen K, Zhang Q, Zeng K, Wang J, et al: Dietary taurine supplementation ameliorates diabetic retinopathy via anti-excitotoxicity of glutamate in streptozotocin-induced Sprague-Dawley rats. Neurochem Res. 33:500–507. 2008. View Article : Google Scholar : PubMed/NCBI

17 

Takatani T, Takahashi K, Uozumi Y, Matsuda T, Ito T, Schaffer SW, Fujio Y and Azuma J: Taurine prevents the ischemia-induced apoptosis in cultured neonatal rat cardiomyocytes through Akt/caspase-9 pathway. Biochem Biophys Res Commun. 316:484–489. 2004. View Article : Google Scholar : PubMed/NCBI

18 

Fu DT and O'Neill RA: Monosaccharide composition analysis of oligosaccharides and glycoproteins by high-performance liquid chromatography. Anal Biochem. 227:377–384. 1995. View Article : Google Scholar : PubMed/NCBI

19 

Parikh A and Madamwar D: Partial characterization of extracellular polysaccharides from cyanobacteria. Bioresour Technol. 97:1822–1827. 2006. View Article : Google Scholar : PubMed/NCBI

20 

Ver A, Csermely P, Bányász T, Kovács T and Somogyi J: Alterations in the properties and isoform ratios of brain Na+/K(+)-ATPase in streptozotocin diabetic rats. Biochim Biophys Acta. 1237:143–150. 1995. View Article : Google Scholar : PubMed/NCBI

21 

Grosman N: Similar effects of ether phospholipids, PAF and lyso-PAF on the Ca(2+)-ATPase activity of rat brain synaptosomes and leukocyte membranes. Int Immunopharmacol. 1:1321–1329. 2001. View Article : Google Scholar : PubMed/NCBI

22 

Jordan RC, Catzavelos GC, Barrett AW and Speight PM: Differential expression of bcl-2 and bax in squamous cell carcinomas of the oral cavity. Eur J Cancer B Oral Oncol. 32B:394–400. 1996. View Article : Google Scholar : PubMed/NCBI

23 

Buerke M, Murohara T, Skurk C, Nuss C, Tomaselli K and Lefer AM: Cardioprotective effect of insulin-like growth factor I in myocardial ischemia followed by reperfusion. Proc Natl Acad Sci USA. 92:8031–8035. 1995. View Article : Google Scholar : PubMed/NCBI

24 

Miller S, Schick F, Scheule AM, Vogel U, Hiller R, Strotmann C, Naegele T, Hahn U and Claussen CD: Conventional high resolution versus fast T(2)-weighted MR imaging of the heart: Assessment of reperfusion induced myocardial injury in an animal model. Magn Reson Imaging. 18:1069–1077. 2000. View Article : Google Scholar : PubMed/NCBI

25 

Mocan A, Vlase L, Vodnar DC, Bischin C, Hanganu D, Gheldiu AM, Oprean R, Silaghi-Dumitrescu R and Crișan G: Polyphenolic content, antioxidant and antimicrobial activities of Lycium barbarum L. and Lycium chinense Mill. leaves. Molecules. 19:10056–10073. 2014. View Article : Google Scholar : PubMed/NCBI

26 

Potterat O: Goji (Lycium barbarum and L. chinense): Phytochemistry, pharmacology and safety in the perspective of traditional uses and recent popularity. Planta Med. 76:7–193. 2010. View Article : Google Scholar : PubMed/NCBI

27 

Jin M, Huang Q, Zhao K and Shang P: Biological activities and potential health benefit effects of polysaccharides isolated from Lycium barbarum L. Int J Biol Macromol. 54:16–23. 2013. View Article : Google Scholar : PubMed/NCBI

28 

Li XM, Ma YL and Liu XJ: Effect of the Lycium barbarum polysaccharides on age-related oxidative stress in aged mice. J Ethnopharmacol. 111:504–511. 2007. View Article : Google Scholar : PubMed/NCBI

29 

Zhao H, Alexeev A, Chang E, Greenburg G and Bojanowski K: Lycium barbarum glycoconjugates: Effect on human skin and cultured dermal fibroblasts. Phytomedicine. 12:131–137. 2005. View Article : Google Scholar : PubMed/NCBI

30 

Cheng CY, Chung WY, Szeto YT and Benzie IF: Fasting plasma zeaxanthin response to Fructus barbarum L. (wolfberry; Kei Tze) in a food-based human supplementation trial. Br J Nutr. 93:123–130. 2005. View Article : Google Scholar : PubMed/NCBI

31 

Xie H and Zhang S: Determination of taurine in Lycium barbarum L. by high performance liquid chromatography with OPA-urea pre-column derivatization. Se Pu. 15:54–56. 1997.(In Chinese). PubMed/NCBI

32 

Gaull GE: Taurine as a conditionally essential nutrient in man. J Am Coll Nutr. 5:121–125. 1986. View Article : Google Scholar : PubMed/NCBI

33 

Sharikabad MN, Aronsen JM, Haugen E, Pedersen J, Møller AS, Mørk HK, Aass HC, Sejersted OM, Sjaastad I and Brørs O: Cardiomyocytes from postinfarction failing rat hearts have improved ischemia tolerance. Am J Physiol Heart Circ Physiol. 296:H787–H795. 2009. View Article : Google Scholar : PubMed/NCBI

34 

Takayama E, Guo LL, Digerness SB and Pike MM: Early reperfusion levels of Na(+) and Ca(2+) are strongly associated with postischemic functional recovery but are disassociated from K(ATP) channel-induced cardioprotection. J Mol Cell Cardiol. 37:483–496. 2004. View Article : Google Scholar : PubMed/NCBI

35 

Tani M and Neely JR: Role of intracellular Na+ in Ca2+ overload and depressed recovery of ventricular function of reperfused ischemic rat hearts. Possible involvement of H+-Na+ and Na+-Ca2+ exchange. Circ Res. 65:1045–1056. 1989. View Article : Google Scholar : PubMed/NCBI

36 

Hasenfuss G and Pieske B: Calcium cycling in congestive heart failure. J Mol Cell Cardiol. 34:951–969. 2002. View Article : Google Scholar : PubMed/NCBI

37 

Sjaastad I, Bentzen JG, Semb SO, Ilebekk A and Sejersted OM: Reduced calcium tolerance in rat cardiomyocytes after myocardial infarction. Acta Physiol Scand. 175:261–269. 2002. View Article : Google Scholar : PubMed/NCBI

38 

Pieske B, Kretschmann B, Meyer M, Holubarsch C, Weirich J, Posival H, Minami K, Just H and Hasenfuss G: Alterations in intracellular calcium handling associated with the inverse force-frequency relation in human dilated cardiomyopathy. Circulation. 92:1169–1178. 1995. View Article : Google Scholar : PubMed/NCBI

39 

Pieske B and Houser SR: [Na+]i handling in the failing human heart. Cardiovasc Res. 57:874–886. 2003. View Article : Google Scholar : PubMed/NCBI

40 

Kawasaki H and Kawashima S: Regulation of the calpain-calpastatin system by membranes (review). Mol Membr Biol. 13:217–224. 1996. View Article : Google Scholar : PubMed/NCBI

41 

Van der Vusse GJ, Reneman RS and van Bilsen M: Accumulation of arachidonic acid in ischemic/reperfused cardiac tissue: Possible causes and consequences. Prostaglandins Leukot Essent Fatty Acids. 57:85–93. 1997. View Article : Google Scholar : PubMed/NCBI

42 

Miyamae M, Camacho SA, Weiner MW and Figueredo VM: Attenuation of postischemic reperfusion injury is related to prevention of [Ca2+]m overload in rat hearts. Am J Physiol. 271:H2145–H2153. 1996.PubMed/NCBI

Related Articles

  • Abstract
  • View
  • Download
  • Twitter
Copy and paste a formatted citation
Spandidos Publications style
Hou YM, Wang J and Zhang XZ: Lycium barbarum polysaccharide exhibits cardioprotection in an experimental model of ischemia-reperfusion damage. Mol Med Rep 15: 2653-2658, 2017.
APA
Hou, Y., Wang, J., & Zhang, X. (2017). Lycium barbarum polysaccharide exhibits cardioprotection in an experimental model of ischemia-reperfusion damage. Molecular Medicine Reports, 15, 2653-2658. https://doi.org/10.3892/mmr.2017.6294
MLA
Hou, Y., Wang, J., Zhang, X."Lycium barbarum polysaccharide exhibits cardioprotection in an experimental model of ischemia-reperfusion damage". Molecular Medicine Reports 15.5 (2017): 2653-2658.
Chicago
Hou, Y., Wang, J., Zhang, X."Lycium barbarum polysaccharide exhibits cardioprotection in an experimental model of ischemia-reperfusion damage". Molecular Medicine Reports 15, no. 5 (2017): 2653-2658. https://doi.org/10.3892/mmr.2017.6294
Copy and paste a formatted citation
x
Spandidos Publications style
Hou YM, Wang J and Zhang XZ: Lycium barbarum polysaccharide exhibits cardioprotection in an experimental model of ischemia-reperfusion damage. Mol Med Rep 15: 2653-2658, 2017.
APA
Hou, Y., Wang, J., & Zhang, X. (2017). Lycium barbarum polysaccharide exhibits cardioprotection in an experimental model of ischemia-reperfusion damage. Molecular Medicine Reports, 15, 2653-2658. https://doi.org/10.3892/mmr.2017.6294
MLA
Hou, Y., Wang, J., Zhang, X."Lycium barbarum polysaccharide exhibits cardioprotection in an experimental model of ischemia-reperfusion damage". Molecular Medicine Reports 15.5 (2017): 2653-2658.
Chicago
Hou, Y., Wang, J., Zhang, X."Lycium barbarum polysaccharide exhibits cardioprotection in an experimental model of ischemia-reperfusion damage". Molecular Medicine Reports 15, no. 5 (2017): 2653-2658. https://doi.org/10.3892/mmr.2017.6294
Follow us
  • Twitter
  • LinkedIn
  • Facebook
About
  • Spandidos Publications
  • Careers
  • Cookie Policy
  • Privacy Policy
How can we help?
  • Help
  • Live Chat
  • Contact
  • Email to our Support Team