International Journal of Molecular Medicine is an international journal devoted to molecular mechanisms of human disease.
International Journal of Oncology is an international journal devoted to oncology research and cancer treatment.
Covers molecular medicine topics such as pharmacology, pathology, genetics, neuroscience, infectious diseases, molecular cardiology, and molecular surgery.
Oncology Reports is an international journal devoted to fundamental and applied research in Oncology.
Experimental and Therapeutic Medicine is an international journal devoted to laboratory and clinical medicine.
Oncology Letters is an international journal devoted to Experimental and Clinical Oncology.
Explores a wide range of biological and medical fields, including pharmacology, genetics, microbiology, neuroscience, and molecular cardiology.
International journal addressing all aspects of oncology research, from tumorigenesis and oncogenes to chemotherapy and metastasis.
Multidisciplinary open-access journal spanning biochemistry, genetics, neuroscience, environmental health, and synthetic biology.
Open-access journal combining biochemistry, pharmacology, immunology, and genetics to advance health through functional nutrition.
Publishes open-access research on using epigenetics to advance understanding and treatment of human disease.
An International Open Access Journal Devoted to General Medicine.
Hepatitis B virus (HBV) infection is closely associated with liver cirrhosis and hepatocellular carcinoma (HCC) occurrence and development, and may lead to acute and chronic hepatitis (1). Worldwide, ~2 billion people are infected with HBV. China has a particularly high incidence of hepatitis B, accounting for ~93 million of the 350 million global HBV carriers (2). Approximately 25 million patients develop chronic hepatitis B (3). Annually, ~1 million people die of hepatic failure, liver cirrhosis or primary HCC caused by HBV infection (4).
Primary HCC is one of the most common types of cancer in China. Approximately 90% of primary liver cancer cases are HCC and 5% are cholangiocarcinoma (cancer of the bile duct cells) (5). However, mixed liver cancer is extremely rare. The etiology and pathogenesis of the disease has not yet been fully determined (6). In China, ~90% of liver cancer patients have a background of HBV infection. Primary HCC has a high mortality rate (7). The number patients who die from liver cancer exceeds 110,000 annually (8). Liver cancer ranks as the third most common cause of cancer-associated mortality, after gastric cancer and esophageal cancer.
MicroRNAs (miRNAs) are non-protein coding gene regulators that have important regulatory effects on gene expression in eukaryotes (9). By complementary pairing in the 3′ untranslated region of the protein-coding mRNA, the seed sequence of miRNAs alters the expression of the target gene; expression is primarily regulated via degradation of the target mRNA or via inhibition of its translation (10). Research has shown that miRNAs are important contributors to tumor development, migration and propagation, and may act as oncogenes or tumor suppressor genes (11). In addition, recent studies demonstrated that miRNAs play key roles in the occurrence and development of liver cancer; miRNAs can act to inhibit the gene expression of numerous important coding proteins in this process (12).
There are 8 members of the Smad protein family in mammals, and Smads play an important role in transforming growth factor (TGF)-β signaling (13). The primary function of the Smad proteins is to transduce TGF-β-induced signals within cells (14). Smad proteins, which are the direct substrates of TGF-β receptors (TβRs), transfer the TGF-β signal from the cytoplasm to the nucleus, and regulate corresponding target gene transcription along with other transcription factors. Recent research revealed that the TGF-β/Smad pathway plays an important role in the development of liver cancer (15). In the present study, the association between microRNA-15a (miR-15a)/Smad-7/TGF-β signaling and HBV-associated liver cancer was analyzed, and the effects of miR-15a/Smad-7/TGF-β on cell proliferation and apoptosis in HBV-associated liver cancer were evaluated.
A total of 16 patients with HBV-associated HCC treated at the Binzhou Tuberculosis Prevention and Control Hospital (Shandong, China) were included in the present study. HCC and adjacent liver tissue samples were obtained from these patients following the acquisition of informed consent.
Total RNA was extracted from tissues or cells using Invitrogen TRIzol reagent (Thermo Fisher Scientific, Inc., Waltham, MA, USA) according to the manufacturer's instructions. Total RNA (2 µg) was used to synthesize cDNA using an All-in-One™ miRNA First-Strand cDNA Synthesis kit (GeneCopoeia, Inc., Rockville, MD, USA). qPCR was performed on an Applied Biosystems 7500 Real-Time PCR System (Thermo Fisher Scientific, Inc.) using the following conditions: 95°C for 10 min, followed by 40 cycles of 95°C for 15 sec, 60°C for 30 sec, and 72°C for 40 sec. Relative expression was quantified by using the comparative quantification cycle (2−ΔΔCq) method.
Tissue samples were incubated with 100 µl of lysis buffer, and cell lines were lysed with 100 ml of pre-cooled cell lysis buffer (both from Beyotime Institute of Biotechnology, Shanghai, China) for 30 min on ice. The protein concentration was determined by the bicinchoninic acid method (Beyotime Institute of Biotechnology) and 50 µg of total protein from each sample was separated by SDS-PAGE prior to transfer onto polyvinylidene difluoride membranes (EMD Millipore, Billerica, MA, USA). Membranes were blocked with 5% skim milk in TBS-Tween (20 mM Tris-HCl, 150 mM NaCl and 0.05% Tween-20), followed by incubation with the following mouse anti-human primary antibodies from Santa Cruz Biotechnology, Inc. (Dallas, TX, USA): anti-Smad-7 (dilution, 1:4,000), anti-TGF-β1 (dilution, 1:2,000), anti-Smad-2 (dilution, 1:3,000), anti-phosphorylated (p)-Smad-2 (dilution, 1:3,000), anti-Smad-4 (dilution, 1:4,000), anti-fibroblast-specific protein 1 (FSP1) (dilution, 1:2,000) and anti-β-actin (dilution, 1:5,000). Membranes were then incubated with goat anti-mouse secondary antibodies conjugated to horseradish peroxidase (dilution, 1:5,000; Santa Cruz Biotechnology, Inc.) and visualized by enhanced chemiluminescence (Amersham ECL Prime Western Blotting Detection Reagent; GE Healthcare Life Sciences, Piscataway, NJ, USA).
HepG2 and SMMC-7721 human HCC cell lines were integrated with the HBV genome. L-02, HepG2 and SMMC-7721 cells were cultured in Gibco RPMI-1640 medium (Thermo Fisher Scientific, Inc.) containing 10% fetal bovine serum (FBS; Gibco; Thermo Fisher Scientific, Inc.), 100 U/ml penicillin and 100 µg/ml streptomycin, at 37°C in an atmosphere of 5% CO2. Anti-miR-15a plasmid (50 nM) or a negative control plasmid (50 nM) were transfected into cells using Invitrogen Lipofectamine 2000 reagent (Thermo Fisher Scientific, Inc.).
HepG2 cells were seeded into 96-well plates and incubated for the indicated times. Following incubation, 50 µl of MTT (0.5 mg/ml; Invitrogen; Thermo Fisher Scientific, Inc.) was added, and the plates were incubated at 37°C for 2 h. Subsequently, 100 µl of dimethyl sulfoxide (Invitrogen; Thermo Fisher Scientific, Inc.) was added to each well. Absorbance at 550 nm was assessed using a luminometer plate-reader.
HepG2 cells were seeded into 96-well plates and incubated for the indicated times. The cell lysates were harvested and analyzed using a Caspase-3/-7 Assay kit (Promega Corporation, Madison, WI, USA). Caspase-3/-7 activity was assessed with a luminometer plate-reader at a wavelength of 490 nm.
Differences between groups were determined using Student's t-test. All data are presented as the mean ± standard deviation. P<0.05 was considered to indicate a statistically significant difference.
Our present study demonstrated that miR-15a expression in normal tissue samples (adjacent liver tissue samples) was lower than that in HBV-induced HCC tissue samples (Fig. 1).
The expression of Smad-7 protein was analyzed to determine the importance of the HBV/miR-15a/Smad-7 pathway. As demonstrated in Fig. 2, the protein expression of Smad-7 in adjacent normal liver tissue samples was lower than in HBV-induced HCC tissue samples.
RT-qPCR was used to analyze the expression levels of miR-15a in HepG2, SMMC-7721 and L-02 cells. The expression levels of miR-15a in HBV-infected HepG2 and SMMC-7721 cells were higher than that in the L-02 cells (Fig. 3).
Expression of Smad-7 protein in HepG2 cells was examined using western blotting. The results indicated that, compared with the control group (L-02 cells), HBV infection was associated with significantly increased expression of Smad-7 protein in HepG2 cells (Fig. 4).
To further understand the effects of miR-15a on the viability of HepG2 cells, the cells were transfected with anti-miR-15a or negative control plasmids, and the viability of HepG2 cells was examined by MTT assay. The results revealed that anti-miR-15a significantly decreased miR-15a expression compared with the control group (cells transfected with negative control plasmids) and was associated with decreased viability in HepG2 cells (Fig. 5).
miR-15a was selected for further study since it is an important regulator of Smad-7 signaling. As demonstrated in Fig. 6, compared with control group (cells transfected with negative control plasmids), anti-miR-15a markedly upregulated the protein expression of Smad-7 in HBV-infected HepG2 cells (Fig. 6).
Subsequently, whether TGF-β1 is a potential target of miR-15a was investigated using western blotting. The anti-miR-15a plasmid was transfected into HBV-infected HepG2 cells, and the results indicated that anti-miR-15a significantly suppressed the expression of TGF-β1 protein in HepG2 cells relative to the control group (cells transfected with negative control plasmids; Fig. 7).
We confirmed whether miR-15a affected the level of Smad-2 and p-Smad-2 proteins in HepG2 cells. As demonstrated in Fig. 8, the protein expression levels of Smad-2 and p-Smad-2 in HepG2 cells transfected with anti-miR-15a was lower than that in the control group (cells transfected with negative control plasmids).
The association between miR-15a and Smad-4 expression in HBV-infected HepG2 cells was examined. As demonstrated in Fig. 9, Smad-4 protein expression was markedly inhibited in HepG2 cells transfected with anti-miR-15a compared with the control group (cells transfected with negative control plasmids).
HepG2 cells were transfected with anti-miR-15a, so, as to analyze the expression of FSP1 protein in HBV-infected HepG2 cells. The results indicated that anti-miR-15a significantly suppressed FSP1 protein expression in HBV-infected HepG2 cells compared with the control group (cells transfected with negative control plasmids; Fig. 10).
The association between miR-15a expression and caspase-3/-7 activities in HepG2 cells were analyzed. Consistently, the activities of caspase-3/-7 in HepG2 cells transfected with anti-miR-15a were higher than those in the control group (cells transfected with negative control plasmids), as demonstrated in Fig. 11.
Human recombinant TGF-β1 was purchased from BioLegend (San Diego, CA, USA). TGF-β1 (at concentrations of 0, 2, 4 or 8 ng/ml) was added into each well for 24 h of culture. As demonstrated in Fig. 12, TGF-β1 at concentrations of 4 or 8 ng/ml markedly enhanced the levels of Smad-2, p-Smad-2 and Smad-4 in HepG2 cells.
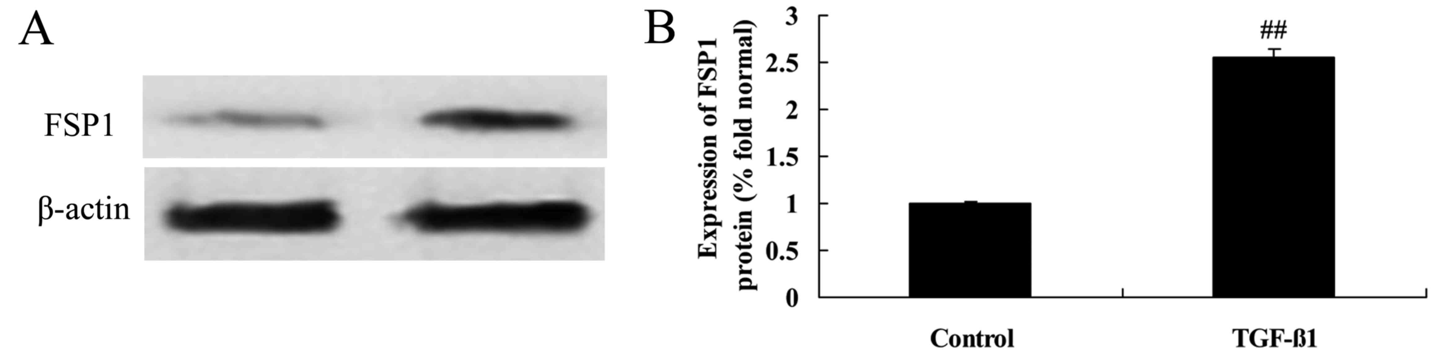
The effects of TGF-β1 treatment on FSP1 protein expression in HepG2 cells were determined using western blotting. As demonstrated in Fig. 13, 8 ng/ml of TGF-β1 distinctly promoted FSP1 protein expression in HepG2 cells.
The effect of TGF-β1 treatment on the apoptosis of HepG2 cells was analyzed by assessing caspase activity. As demonstrated in Fig. 14, TGF-β1 at concentrations of 4 or 8 ng/ml activated caspase-3/-7 activities in HepG2 cells, indicating the induction of apoptosis.
Globally, ~2 billion people are infected with HBV, and HBV infection is particularly prevalent in China (3). The gross population of HBV infection is estimated to be ~100 million (3). HBV infection leads to repeated damage and repair of liver tissues and may thus lead to chronic hepatitis B, cirrhosis and HCC (16). As a malignant tumor with extremely high rates of morbidity and mortality, HCC is an important manifestation of poor prognosis in patients with HBV infection (17). The majority of patients with HCC are middle-aged males; therefore, HBV infection and associated HCC can cause significant economic pressure and mental stress for patients, their families and society (18). Early diagnosis and early treatment are the most fundamental measures to improve the prognosis of patients with HCC. However, the early diagnosis of HCC remains challenging (19).
The present study assessed HBV-induced miR-15a expression in patients with HCC. miRNAs have important regulatory effects on various activities of the body (9), and specific miRNA expression profiles are observed in different types of cancer. Therefore, miRNAs are regarded as potential markers for cancer classification and have important clinical significance (12). Research has demonstrated that miRNA expression is stable in circulating blood, and may be useful as prognostic and diagnostic markers for diseases, particularly tumors (20). In the present study, anti-miR-15a was demonstrated to significantly decrease HepG2 cell viability.
Smad-7, an inhibitory Smad, has important effects. Smad-7 competitively associates with the TβR1-type receptor and suppresses Smad phosphorylation; thus, Smad-7 regulates TGF-β/Smad signaling via negative feedback and maintains the balance of the pathway (13). Dysregulated Smad-7 expression may affect cell responses to TGF-β and promote the malignant progression of cells (21). TGF-β strongly induces Smad-7 expression. In the TGF-β signaling pathway, Smad-7 is a self-regulating negative feedback signal, and TGF-β signal strength and duration is determined by Smad-7 levels in cells (22). Endogenous Smad-7 can inhibit TGF-β signaling in a number of ways. It can inhibit TGF-β signal transduction via combining with TβR1 competitively and inhibiting receptor-regulated Smad phosphorylation (23). Research has also shown that, when Smad-7 accumulates in the cytoplasm, it combines with activated TβRI via its MH2 domain to form a stable complex, blocking the transduction of the TGF-β signal (24). Smad-7 can thus decrease cell reactivity to TGF-β. The aforementioned processes occur in the cytoplasm (24). Smad-7 can also decrease histone acetylation to inhibit transcription. Smad-7 combines with DNA competitively via its MH2 structural domain, thereby restricting the formation of functional Smad-DNA complexes induced by TGF-β signaling (15). This competitive mechanism is widespread in the negative feedback Smad-7/TGF-β signaling pathway (15). In the present study, the following two aspects were validated experimentally. Firstly, increased Smad-7 protein expression was detected in HCC patients with HBV infection compared with normal tissue samples. Secondly, transfection with anti-microRNA-15a led to significant activation of Smad-7 protein expression in HepG2 cells infected with HBV.
A previous study, demonstrated that the expression of Smad-7 protein in HCC tissue was markedly higher than that in carcinoma-adjacent and normal tissues, the anticancer effect of TGF-β/Smad signaling was suppressed and the development of liver cancer was promoted (25). In another study, following the transfection of mouse hepatic cells with a Smad-7-containing adenovirus, Smad-7 was observed to decrease the intranuclear accumulation of Smads, including Smad3 induced by activin A, promote DNA synthesis stimulated by epithelial growth factor and alleviate the growth-inhibitory effect of activin A on hepatic cells (26). Furthermore, a study by Liu et al (27) revealed that, after an exogenous Smad-7 gene was transferred into L-02 hepatic cells, Smad-7 rescued the TGF-β-induced inhibition of L-02 hepatocellular proliferation and its apoptosis-inducing effect (27). The present study, reported that HBV induced apoptosis via the miR-15a/Smad-7/TGF-β pathway (27). The findings of the present study indicated that miR-15a/Smad-7/TGF-β signaling suppressed the cell growth of HBV-associated liver cancer via Smad-2/-4/TGF-β/FSP1 in HepG2 cells. In summary, the results indicate an association between HBV-associated liver cancer and miR-15a, which is a critical regulator of Smad-7/TGF-β/Smad-2/-4/FSP1/caspase-3/-7 signaling (Fig. 15).
|
Andreotti M, Pirillo MF, Liotta G, Jere H, Maulidi M, Sagno JB, Luhanga R, Amici R, Mancini MG, Gennaro E, et al: The impact of HBV or HCV infection in a cohort of HIV-infected pregnant women receiving a nevirapine-based antiretroviral regimen in Malawi. BMC Infect Dis. 14:1802014. View Article : Google Scholar : PubMed/NCBI | |
|
Celen MK, Mert D, Ay M, Dal T, Kaya S, Yildirim N, Gulsun S, Barcin T, Kalkanli S, Dal MS, et al: Efficacy and safety of tenofovir disoproxil fumarate in pregnancy for the prevention of vertical transmission of HBV infection. World J. 19:9377–9382. 2013. | |
|
Ive P, MacLeod W, Mkumla N, Orrell C, Jentsch U, Wallis CL, Stevens W, Wood R, Sanne I and Bhattacharya D: Low prevalence of liver disease but regional differences in HBV treatment characteristics mark HIV/HBV co-infection in a South African HIV clinical trial. PLoS One. 8:e749002013. View Article : Google Scholar : PubMed/NCBI | |
|
Amaddeo G, Cao Q, Ladeiro Y, Imbeaud S, Nault JC, Jaoui D, Mathe Y Gaston, Laurent C, Laurent A, Bioulac-Sage P, et al: Integration of tumour and viral genomic characterizations in HBV-related hepatocellular carcinomas. Gut. 64:820–829. 2015. View Article : Google Scholar : PubMed/NCBI | |
|
El-Serag H, McGlynn KA, Graham GN, So S, Howell CD, Fang T, Anderson JT and Thiel TK: Achieving health equity to eliminate racial, ethnic, and socioeconomic disparities in HBV- and HCV-associated liver disease. J Fam Pract. 59 Suppl 4:S37–S42. 2010.PubMed/NCBI | |
|
Piao CY, Fujioka S, Iwasaki Y, Fujio K, Kaneyoshi T, Araki Y, Hashimoto K, Senoh T, Terada R, Nishida T, et al: Lamivudine treatment in patients with HBV-related hepatocellular carcinoma - using an untreated, matched control cohort. Acta Med Okayama. 59:217–224. 2005.PubMed/NCBI | |
|
Zheng J, Zeng Z, Zhang D, Yu Y, Wang F and Pan CQ: Prevalence and significance of hepatitis B reverse transcriptase mutants in different disease stages of untreated patients. Liver Int. 32:1535–1542. 2012. View Article : Google Scholar : PubMed/NCBI | |
|
Qu C, Chen T, Fan C, Zhan Q, Wang Y, Lu J, Lu LL, Ni Z, Huang F, Yao H, et al: Efficacy of neonatal HBV vaccination on liver cancer and other liver diseases over 30-year follow-up of the Qidong hepatitis B intervention study: A cluster randomized controlled trial. PLoS Med. 11:e10017742014. View Article : Google Scholar : PubMed/NCBI | |
|
Wu Q, Qin H, Zhao Q and He XX: Emerging role of transcription factor-microRNA-target gene feed-forward loops in cancer. Biomed Rep. 3:611–616. 2015.PubMed/NCBI | |
|
Gu L, Li H, Chen L, Ma X, Gao Y, Li X, Zhang Y, Fan Y and Zhang X: MicroRNAs as prognostic molecular signatures in renal cell carcinoma: A systematic review and meta-analysis. Oncotarget. 6:32545–32560. 2015.PubMed/NCBI | |
|
Huang YK and Yu JC: Circulating microRNAs and long non-coding RNAs in gastric cancer diagnosis: An update and review. World J Gastroenterol. 21:9863–9886. 2015. View Article : Google Scholar : PubMed/NCBI | |
|
Anwar SL and Lehmann U: MicroRNAs: Emerging novel clinical biomarkers for hepatocellular carcinomas. J Clin Med. 4:1631–1650. 2015. View Article : Google Scholar : PubMed/NCBI | |
|
Macias MJ, Martin-Malpartida P and Massagué J: Structural determinants of Smad function in TGF-β signaling. Trends Biochem Sci. 40:296–308. 2015. View Article : Google Scholar : PubMed/NCBI | |
|
Xu L, Tian D and Zheng Y: Pleiotropic roles of TGFβ/Smad signaling in the progression of chronic liver disease. Crit Rev Eukaryot Gene Expr. 23:237–255. 2013. View Article : Google Scholar : PubMed/NCBI | |
|
Heldin CH, Landström M and Moustakas A: Mechanism of TGF-beta signaling to growth arrest, apoptosis, and epithelial-mesenchymal transition. Curr Opin Cell Biol. 21:166–176. 2009. View Article : Google Scholar : PubMed/NCBI | |
|
Gordon SC, Lamerato LE, Rupp LB, Li J, Holmberg SD, Moorman AC, Spradling PR, Teshale EH, Vijayadeva V, Boscarino JA, et al: CHeCS Investigators: Antiviral therapy for chronic hepatitis B virus infection and development of hepatocellular carcinoma in a US population. Clin Gastroenterol Hepatol. 12:885–893. 2014. View Article : Google Scholar : PubMed/NCBI | |
|
Giannini EG, Savarino V, Risso D, Di Nolfo MA, Del Poggio P, Benvegnù L, Farinati F, Zoli M, Borzio F, Caturelli E, et al: Italian Liver Cancer (ITA.LI.CA.) group: Relative decrease in the role played by hepatitis B virus infection in the aetiology of hepatocellular carcinoma during a 20-year period: A multicentre Italian study. Liver Int. 31:192–196. 2011. View Article : Google Scholar : PubMed/NCBI | |
|
Shuqun C, Mengchao W, Han C, Feng S, Jiahe Y, Wenming C, Zhengfeng Y, Yuxiang Z and Peijun W: Antiviral therapy using lamivudine and thymosin alpha1 for hepatocellular carcinoma coexisting with chronic hepatitis B infection. Hepatogastroenterology. 53:249–252. 2006.PubMed/NCBI | |
|
Chung YH, Di Bisceglie AM, McMahon BJ, Lanier AP, Harpster A, Alter MJ, Parkinson AJ and Zanis C: Hepatocellular carcinoma not related to hepatitis B virus infection among Alaska natives. Int J Circumpolar Health. 58:208–213. 1999.PubMed/NCBI | |
|
Greene CM, Varley RB and Lawless MW: MicroRNAs and liver cancer associated with iron overload: Therapeutic targets unravelled. World J Gastroenterol. 19:5212–5226. 2013. View Article : Google Scholar : PubMed/NCBI | |
|
Cohen MM Jr: TGF beta/Smad signaling system and its pathologic correlates. Am J Med Genet A. 116A:1–10. 2003. View Article : Google Scholar : PubMed/NCBI | |
|
Kang Y: Pro-metastasis function of TGFbeta mediated by the Smad pathway. J Cell Biochem. 98:1380–1390. 2006. View Article : Google Scholar : PubMed/NCBI | |
|
Tang WB, Ling GH, Sun L and Liu FY: Smad anchor for receptor activation (SARA) in TGF-beta signaling. Front Biosci. 2:857–860. 2010. | |
|
Conidi A, van den Berghe V and Huylebroeck D: Aptamers and their potential to selectively target aspects of EGF, Wnt/β-catenin and TGFβ-smad family signaling. Int J Mol Sci. 14:6690–6719. 2013. View Article : Google Scholar : PubMed/NCBI | |
|
Matsuzaki K, Date M, Furukawa F, Tahashi Y, Matsushita M, Sugano Y, Yamashiki N, Nakagawa T, Seki T, Nishizawa M, et al: Regulatory mechanisms for transforming growth factor beta as an autocrine inhibitor in human hepatocellular carcinoma: Implications for roles of smads in its growth. Hepatology. 32:218–227. 2000. View Article : Google Scholar : PubMed/NCBI | |
|
Jiang Y, Wang C, Li YY, et al: Mistletoe alkaloid fractions alleviates carbon tetrachloride-induced liver fibrosis through inhibition of hepatic stellate cell activation via TGF-beta/Smad interference. J Ethnopharmacol. 158(Pt A): 230–238. 2014. View Article : Google Scholar : PubMed/NCBI | |
|
Liu N, Jiao T, Huang Y, Liu W, Li Z and Ye X: Hepatitis B virus regulates apoptosis and tumorigenesis through the microRNA-15a-Smad-7-transforming growth factor beta pathway. J Virol. 89:2739–2749. 2015. View Article : Google Scholar : PubMed/NCBI |