Spandidos Publications Logo
  • About
    • About Spandidos
    • Aims and Scopes
    • Abstracting and Indexing
    • Editorial Policies
    • Reprints and Permissions
    • Job Opportunities
    • Terms and Conditions
    • Contact
  • Journals
    • All Journals
    • Oncology Letters
      • Oncology Letters
      • Information for Authors
      • Editorial Policies
      • Editorial Board
      • Aims and Scope
      • Abstracting and Indexing
      • Bibliographic Information
      • Archive
    • International Journal of Oncology
      • International Journal of Oncology
      • Information for Authors
      • Editorial Policies
      • Editorial Board
      • Aims and Scope
      • Abstracting and Indexing
      • Bibliographic Information
      • Archive
    • Molecular and Clinical Oncology
      • Molecular and Clinical Oncology
      • Information for Authors
      • Editorial Policies
      • Editorial Board
      • Aims and Scope
      • Abstracting and Indexing
      • Bibliographic Information
      • Archive
    • Experimental and Therapeutic Medicine
      • Experimental and Therapeutic Medicine
      • Information for Authors
      • Editorial Policies
      • Editorial Board
      • Aims and Scope
      • Abstracting and Indexing
      • Bibliographic Information
      • Archive
    • International Journal of Molecular Medicine
      • International Journal of Molecular Medicine
      • Information for Authors
      • Editorial Policies
      • Editorial Board
      • Aims and Scope
      • Abstracting and Indexing
      • Bibliographic Information
      • Archive
    • Biomedical Reports
      • Biomedical Reports
      • Information for Authors
      • Editorial Policies
      • Editorial Board
      • Aims and Scope
      • Abstracting and Indexing
      • Bibliographic Information
      • Archive
    • Oncology Reports
      • Oncology Reports
      • Information for Authors
      • Editorial Policies
      • Editorial Board
      • Aims and Scope
      • Abstracting and Indexing
      • Bibliographic Information
      • Archive
    • Molecular Medicine Reports
      • Molecular Medicine Reports
      • Information for Authors
      • Editorial Policies
      • Editorial Board
      • Aims and Scope
      • Abstracting and Indexing
      • Bibliographic Information
      • Archive
    • World Academy of Sciences Journal
      • World Academy of Sciences Journal
      • Information for Authors
      • Editorial Policies
      • Editorial Board
      • Aims and Scope
      • Abstracting and Indexing
      • Bibliographic Information
      • Archive
    • International Journal of Functional Nutrition
      • International Journal of Functional Nutrition
      • Information for Authors
      • Editorial Policies
      • Editorial Board
      • Aims and Scope
      • Abstracting and Indexing
      • Bibliographic Information
      • Archive
    • International Journal of Epigenetics
      • International Journal of Epigenetics
      • Information for Authors
      • Editorial Policies
      • Editorial Board
      • Aims and Scope
      • Abstracting and Indexing
      • Bibliographic Information
      • Archive
    • Medicine International
      • Medicine International
      • Information for Authors
      • Editorial Policies
      • Editorial Board
      • Aims and Scope
      • Abstracting and Indexing
      • Bibliographic Information
      • Archive
  • Articles
  • Information
    • Information for Authors
    • Information for Reviewers
    • Information for Librarians
    • Information for Advertisers
    • Conferences
  • Language Editing
Spandidos Publications Logo
  • About
    • About Spandidos
    • Aims and Scopes
    • Abstracting and Indexing
    • Editorial Policies
    • Reprints and Permissions
    • Job Opportunities
    • Terms and Conditions
    • Contact
  • Journals
    • All Journals
    • Biomedical Reports
      • Information for Authors
      • Editorial Policies
      • Editorial Board
      • Aims and Scope
      • Abstracting and Indexing
      • Bibliographic Information
      • Archive
    • Experimental and Therapeutic Medicine
      • Information for Authors
      • Editorial Policies
      • Editorial Board
      • Aims and Scope
      • Abstracting and Indexing
      • Bibliographic Information
      • Archive
    • International Journal of Epigenetics
      • Information for Authors
      • Editorial Policies
      • Editorial Board
      • Aims and Scope
      • Abstracting and Indexing
      • Bibliographic Information
      • Archive
    • International Journal of Functional Nutrition
      • Information for Authors
      • Editorial Policies
      • Editorial Board
      • Aims and Scope
      • Abstracting and Indexing
      • Bibliographic Information
      • Archive
    • International Journal of Molecular Medicine
      • Information for Authors
      • Editorial Policies
      • Editorial Board
      • Aims and Scope
      • Abstracting and Indexing
      • Bibliographic Information
      • Archive
    • International Journal of Oncology
      • Information for Authors
      • Editorial Policies
      • Editorial Board
      • Aims and Scope
      • Abstracting and Indexing
      • Bibliographic Information
      • Archive
    • Medicine International
      • Information for Authors
      • Editorial Policies
      • Editorial Board
      • Aims and Scope
      • Abstracting and Indexing
      • Bibliographic Information
      • Archive
    • Molecular and Clinical Oncology
      • Information for Authors
      • Editorial Policies
      • Editorial Board
      • Aims and Scope
      • Abstracting and Indexing
      • Bibliographic Information
      • Archive
    • Molecular Medicine Reports
      • Information for Authors
      • Editorial Policies
      • Editorial Board
      • Aims and Scope
      • Abstracting and Indexing
      • Bibliographic Information
      • Archive
    • Oncology Letters
      • Information for Authors
      • Editorial Policies
      • Editorial Board
      • Aims and Scope
      • Abstracting and Indexing
      • Bibliographic Information
      • Archive
    • Oncology Reports
      • Information for Authors
      • Editorial Policies
      • Editorial Board
      • Aims and Scope
      • Abstracting and Indexing
      • Bibliographic Information
      • Archive
    • World Academy of Sciences Journal
      • Information for Authors
      • Editorial Policies
      • Editorial Board
      • Aims and Scope
      • Abstracting and Indexing
      • Bibliographic Information
      • Archive
  • Articles
  • Information
    • For Authors
    • For Reviewers
    • For Librarians
    • For Advertisers
    • Conferences
  • Language Editing
Login Register Submit
  • This site uses cookies
  • You can change your cookie settings at any time by following the instructions in our Cookie Policy. To find out more, you may read our Privacy Policy.

    I agree
Search articles by DOI, keyword, author or affiliation
Search
Advanced Search
presentation
Oncology Reports
Join Editorial Board Propose a Special Issue
Print ISSN: 1021-335X Online ISSN: 1791-2431
Journal Cover
March-2021 Volume 45 Issue 3

Full Size Image

Sign up for eToc alerts
Recommend to Library

Journals

International Journal of Molecular Medicine

International Journal of Molecular Medicine

International Journal of Molecular Medicine is an international journal devoted to molecular mechanisms of human disease.

International Journal of Oncology

International Journal of Oncology

International Journal of Oncology is an international journal devoted to oncology research and cancer treatment.

Molecular Medicine Reports

Molecular Medicine Reports

Covers molecular medicine topics such as pharmacology, pathology, genetics, neuroscience, infectious diseases, molecular cardiology, and molecular surgery.

Oncology Reports

Oncology Reports

Oncology Reports is an international journal devoted to fundamental and applied research in Oncology.

Experimental and Therapeutic Medicine

Experimental and Therapeutic Medicine

Experimental and Therapeutic Medicine is an international journal devoted to laboratory and clinical medicine.

Oncology Letters

Oncology Letters

Oncology Letters is an international journal devoted to Experimental and Clinical Oncology.

Biomedical Reports

Biomedical Reports

Explores a wide range of biological and medical fields, including pharmacology, genetics, microbiology, neuroscience, and molecular cardiology.

Molecular and Clinical Oncology

Molecular and Clinical Oncology

International journal addressing all aspects of oncology research, from tumorigenesis and oncogenes to chemotherapy and metastasis.

World Academy of Sciences Journal

World Academy of Sciences Journal

Multidisciplinary open-access journal spanning biochemistry, genetics, neuroscience, environmental health, and synthetic biology.

International Journal of Functional Nutrition

International Journal of Functional Nutrition

Open-access journal combining biochemistry, pharmacology, immunology, and genetics to advance health through functional nutrition.

International Journal of Epigenetics

International Journal of Epigenetics

Publishes open-access research on using epigenetics to advance understanding and treatment of human disease.

Medicine International

Medicine International

An International Open Access Journal Devoted to General Medicine.

Journal Cover
March-2021 Volume 45 Issue 3

Full Size Image

Sign up for eToc alerts
Recommend to Library

  • Article
  • Citations
    • Cite This Article
    • Download Citation
    • Create Citation Alert
    • Remove Citation Alert
    • Cited By
  • Similar Articles
    • Related Articles (in Spandidos Publications)
    • Similar Articles (Google Scholar)
    • Similar Articles (PubMed)
  • Download PDF
  • Download XML
  • View XML

  • Supplementary Files
    • Supplementary_Data.pdf
Article Open Access

Tissue factor pathway inhibitor‑2 is specifically expressed in ovarian clear cell carcinoma tissues in the nucleus, cytoplasm and extracellular matrix

  • Authors:
    • Yukihide Ota
    • Shiro Koizume
    • Yoshiyasu Nakamura
    • Mitsuyo Yoshihara
    • Tomoko Takahashi
    • Shinya Sato
    • Shohei Myoba
    • Norihisa Ohtake
    • Hisamori Kato
    • Tomoyuki Yokose
    • Etsuko Miyagi
    • Yohei Miyagi
  • View Affiliations / Copyright

    Affiliations: Molecular Pathology and Genetics Division, Kanagawa Cancer Center Research Institute, Yokohama 241‑8515, Japan, Bioscience Division, Reagent Development Department, Tosoh Corporation, Ayase, Kanagawa 252‑1123, Japan, Department of Gynecologic Oncology, Kanagawa Cancer Center, Yokohama 241‑8515, Japan, Department of Pathology, Kanagawa Cancer Center, Yokohama 241‑8515, Japan, Department of Obstetrics and Gynecology, Yokohama City University Graduate School of Medicine, Yokohama 236‑0004, Japan
    Copyright: © Ota et al. This is an open access article distributed under the terms of Creative Commons Attribution License.
  • Pages: 1023-1032
    |
    Published online on: January 20, 2021
       https://doi.org/10.3892/or.2021.7944
  • Expand metrics +
Metrics: Total Views: 0 (Spandidos Publications: | PMC Statistics: )
Metrics: Total PDF Downloads: 0 (Spandidos Publications: | PMC Statistics: )
Cited By (CrossRef): 0 citations Loading Articles...

This article is mentioned in:



Abstract

Tissue factor pathway inhibitor‑2 (TFPI‑2) is a promising candidate as a serum biomarker of ovarian clear cell carcinoma (OCCC), a lethal histological subtype of epithelial ovarian cancer (EOC). TFPI‑2 is a secreted serine protease inhibitor that suppresses cancer progression through the inhibition of matrix protease activities. Previous studies have also identified TFPI‑2 in the nucleus, and a possible function of nuclear TFPI‑2 as a transcriptional repressor of matrix metalloproteinase‑2 (MMP‑2) was recently demonstrated. We are currently establishing TFPI‑2 as a serum biomarker for OCCC patients; however, TFPI‑2 expression in OCCC tissues has not been previously investigated. In the present study, we examined TFPI‑2 expression and its localization in 11 OCCC cell lines by western blotting and enzyme‑linked immune assay. Four cell lines expressed TFPI‑2 in the nucleus, cytoplasm and culture plate–attached extracellular fraction, while four other cell lines expressed TFPI‑2 only in the extracellular fraction. In the remaining three cell lines, TFPI‑2 was not identified in any fraction. The amount of secreted soluble TFPI‑2 showed similar trends to that of the plate‑attached fraction. We next investigated the expression levels and distribution of TFPI‑2 in surgically resected EOC tissues by immunohistochemistry. In 52 of the 77 (67.5%) OCCC tumors, TFPI‑2 expression was detected in at least one of the nuclear, cytoplasmic and extracellular matrix fractions. In contrast, we did not identify TFPI‑2 in the other EOC subtypes (n=65). TFPI‑2‑positive expression distinguished CCC from the other EOC tissues with a sensitivity of 67.5% and specificity of 100%. Although the inherent tumor suppressor function, statistical analyses failed to demonstrate correlations between TFPI‑2 expression and clinical parameters, including 5‑year overall survival, except for the patient age. In conclusion, we identified TFPI‑2 expression in the nucleus, cytoplasm and extracellular matrix in OCCC tissues. The high specificity of TFPI‑2 may support its use for diagnosis of OCCC in combination with existing markers.

Introduction

Ovarian cancer is the most lethal gynecological malignancy in developed countries (1). In 2018, approximately 295,400 new cases of ovarian cancer were diagnosed and 184,800 patients with ovarian cancer died worldwide (2). Clear cell carcinoma (CCC) is one of the common histological types of epithelial ovarian cancer (EOC) (3). The frequency of ovarian CCC (OCCC) varies depending on ethnicity; CCC accounts for 11.7–26.9% of Japanese EOC cases in comparison with 4.6–8.4% of EOC in North America (4,5). About half of the OCCC cases are diagnosed at stage I and have a good prognosis (6). However, advanced stage or recurrent OCCC cases have worse prognosis than the other EOC subtypes due to the resistance to standard platinum-based chemotherapy (7). Therefore, early detection and complete resection are crucial in OCCC treatment. Cancer antigen 125 (CA125) is currently the most frequently used serum biomarker for EOC. However, CA125 is also elevated in benign conditions such as endometrial cyst and peritonitis, menstruation and other intra-abdominal malignancies (8). Thus, CA125 does not necessarily distinguish malignancy. Additionally, CA125 often fails to detect OCCC even at advanced stages (9).

Tissue factor pathway inhibitor-2 (TFPI-2) protein, a homologue of tissue factor pathway inhibitor (TFPI), is a secreted protease inhibitor containing an N-terminal signal peptide and Kunitz-type serine protease inhibitory domains (10). Despite its structural similarity to TFPI, TFPI-2 has weak inhibitory activity against the tissue factor blood coagulation pathway, which is initiated by the serine protease tissue factor-coagulation factor VIIa complex, and instead inhibits a wide variety of serine proteases, such as plasmin, plasma kallikrein, trypsin and chymotrypsin (10). TFPI-2 is predominantly and highly expressed in placenta (11,12). Although several studies have examined the association between TFPI-2 and preeclampsia (13,14), the biological function of TFPI-2 is not fully understood.

Many reports have shown that TFPI-2 is genetically silenced in aggressive cancers, such as glioma (15), non-small cell lung cancer (16), pancreatic cancer (17), breast cancer (18), malignant melanoma (19) and hepatocellular carcinoma (20), indicating its tumor-suppressor character. The anticancer functions of TFPI-2 are generally thought to be mediated by its protease inhibitory activities, which lead to inhibition of cell proliferation, invasion or angiogenesis and augmentation of apoptosis (21,22). Recent studies also suggest another tumor-suppressor aspect of TFPI-2, demonstrating that exogenously applied TFPI-2 localized in the nucleus of fibrosarcoma cells (23) and overexpressed TFPI-2 in breast cancer cells negatively regulate matrix metalloproteinase-2 (MMP-2) expression (24).

In contrast to the results showing epigenetic silencing of TFPI-2 in several tumor types, we recently reported that cultivated OCCC cells produce and secrete TFPI-2 into medium and we initiated studies to develop TFPI-2 as a specific serum biomarker for preoperative clinical diagnosis for OCCC (25,26). Serum TFPI-2 level discriminated CCC from other histological types of EOC and endometrial cyst (26), which is a risk factor for CCC (27). Although we are considering that serum TFPI-2 is derived from OCCC tumor cells, TFPI-2 expression was also reported in endothelial cells, which are distributed throughout the body (23). Furthermore, non-secreted fractions of TFPI-2 were reported in in vitro studies in other tumor types. Therefore, in the present study, we examined TFPI-2 expression and localization of TFPI-2 in multiple OCCC cell lines and in surgically removed OCCC tissues including tissues of other EOC histologic types. We also investigated the association between TFPI-2 expression and clinical characteristics of OCCC patients to clarify the role of TFPI-2 in OCCC.

Materials and methods

Cell lines and cell culture

The OCCC cell lines ES-2 (ATCC CRL-1978) and TOV-21G (ATCC CRL-11730) were purchased from the American Type Culture Collection. OVISE (JCRB1043), OVMANA (JCRB1045), OVTOKO (JCRB1048), RMG-1 (JCRB0172) and HAC-2 (JCRB1359) cells were obtained from JCRB Cell Bank. JHOC-5 (RCB1520), JHOC-7 (RCB1688), JHOC-8 (RCB1723) and JHOC-9 (RCB2226) cell lines were from RIKEN Bioresource Center Cell Bank. These OCCC cell lines were maintained in RPMI-1640 medium supplemented with 10% fetal bovine serum (FBS) and penicillin-streptomycin at 37°C in a humidified atmosphere of 5% CO2.

Preparation of subcellular fractions

Cells were cultured for 2 days in 100-mm plates until they reached semi-confluency. Cells were washed with phosphate-buffered saline (PBS) and then dissociated using Accutase reagent (Nacalai Tesque) according to the manufacturer's instruction. Dissociated cells were collected to prepare the whole cell fraction (WCF). Plates were rinsed twice with PBS, and the fraction that remained attached to the plate was collected by scraping the plates with lysis buffer and was considered the extracellular fraction (ECF). (NuPAGE NP0007, Thermo Fisher Scientific, Inc.). The Nuclear Extract Kit (Active Motif Inc.) was used for preparation of cytoplasmic and nuclear fractions from WCFs according to the manufacturer's instructions. Cells were cultured with 10 ml of RPMI-1640 medium supplemented with 10% FBS and penicillin-streptomycin for 2 days in 100-mm plates. Culture medium of semi-confluent cells was collected and centrifuged at 180 × g for 3 min. The supernatant was obtained as conditioned medium (CM).

Western blotting

Western blotting was performed using the NuPAGE 4–12% gradient Bis-Tris Protein Gel system (Thermo Fisher Scientific, Inc.) with MOPS running buffer (Thermo Fisher Scientific, Inc.). To detect TFPI-2, we used mouse monoclonal anti-TFPI-2 antibody (clone 28Aa, 1 µg/ml, diluted 1:2,000) raised against a synthetic peptide antigen corresponding to the N-terminal of mature TFPI-2 protein after cleavage of the putative signal peptide (13). Anti-vinculin (V9131, diluted 1:10,000, Sigma-Aldrich; Merck KGaA), anti-Lamin A (sc-20680, diluted 1:500, Santa Cruz Biotechnology, Inc.) and anti-α-tubulin antibodies (T-9026, diluted 1:3,000, Sigma-Aldrich; Merck KGaA) were used for protein loading controls. Secondary antibody reaction was performed with peroxidase-conjugated anti-mouse IgG (NA931, 1:100,000, Cytiva) or anti-rabbit IgG (NA934, 1:100,000, Cytiva). Detection was performed using the ImmunoStar LD enhanced chemiluminescence detection reagent (FUJIFILM Wako Chemicals).

TFPI-2 concentration in CM

The TFPI-2 concentration in CM was measured on an automated immunoassay analyzer (AIA) system (TOSOH, Japan) as described previously (26). Briefly, measurement of TFPI-2 using the AIA system was completed as a sandwich-type, one-step immune fluorometric assay using two different anti-TFPI-2 monoclonal antibodies, one of which was coated on magnetic beads and the other was labeled with alkaline phosphatase. As the calibration standard of the assay, recombinant TFPI-2 protein was prepared from the CM of SP2/0 cells transfected with the TFPI-2 expression vector and spiked into sample dilution buffer.

Patients and sample collection

A total of 142 patients with a confirmed histopathological diagnosis of EOC at Kanagawa Cancer Center Hospital (KCCH), Japan were included in this study. Patients who underwent treatment before primary debulking surgery or exploratory laparotomy were excluded. Patients with other cancers were also excluded. We examined all 71 EOC patients who matched the criteria from 2014 to 2017 to evaluate the expression of TFPI-2 along with the histological subtypes. Due to the small number of the included cases, 8 patients with endometrioid carcinoma and 14 patients with mucinous carcinoma were selected from the period before 2014 and additionally examined. Formalin-fixed and paraffin-embedded (FFPE) tissue sectioned to 4 µm-thickness were prepared from archives of the Department of Pathology, KCCH. Whole tissue sections of tumors of all enrolled patients were analyzed. Representative non-neoplastic regions of the surgical specimens of EOC cases were also examined in 18 cases, including endometrium and fallopian tubal epithelium (CCC: 9, serous: 3, endometrioid: 3, mucinous: 3). Written informed consent for research using specimens derived from routine clinical procedures was obtained from all patients. The experimental protocol of the present study was reviewed and approved by the Institutional Review Board of KCCH (approval no. Ethics-2018-10).

Immunohistochemical analysis of TFPI-2 expression

FFPE tissue specimens on glass slides were routinely stained with hematoxylin and eosin. Deparaffinized and rehydrated slides were immersed in 0.01 M citrate, pH 6.0 (Sigma-Aldrich; Merck KGaA), and heat-induced antigen retrieval was performed in an autoclave at 110°C for 15 min. Slides were cooled to room temperature, washed in PBS and immersed in 3% H2O2 diluted in methanol. For primary antibody, 28Aa antibody was diluted to 5 µg/ml. Histofine Simplestain Max PO (M) (Nichirei) and Histofine DAB Substrate kit (Nichirei) were used to detect the labeled antigens. Placental tissue was used as positive control for TFPI-2 staining (13). Non-specific mouse IgG was used as a negative control. We conducted an absorption test to evaluate the specificity of the staining. Antibodies were incubated with a 20-fold excess molar concentration of the antigen for 24 h prior to the primary antibody reaction (28). The antigen for the 28Aa antibody is the 14 amino acid residues corresponding to the N-terminus of mature TFPI-2 protein, NH2-DAAQEPTGNNAEIC-COOH (13), linked to keyhole limpet hemocyanin. We used another anti-TFPI-2 antibody B-7 (sc-48380, diluted 1:200, Santa Cruz Biotechnology, Inc.) for detection of nuclear TFPI-2. The B-7 antibody is a mouse monoclonal antibody that was raised against peptides corresponding to amino acid residues 71–190 of human TFPI-2. We also conducted an absorption test using placental tissue with recombinant full-length TFPI-2 protein (OriGene) as antigen. TFPI-2 protein staining (cytoplasmic and nuclear staining) was scored by the H-score method (29). Briefly, the H-score was calculated as the sum of the products of multiplying the staining intensity (0, 1+, 2+, 3+) by percentage stained area. For example, in a case with the intensity and percentage staining of 0+: 70%, 1+: 20%, 2+: 10% and 3+: 0%, the H-score is calculated as 40 (40=0×70 + 1×20 + 10×2 + 0×3). Under a pathologist supervision, automated scoring on tumor regions was performed using Aperio's annotation software ‘Aperio Cytoplasm Algorithm’ (Leica Biosystem). We defined the cut-off value for TFPI-2 positivity as an H-score of 1 to reduce false negatives. We evaluated TFPI-2 expression within extracellular matrix (ECM) as ‘positive’ or ‘negative.’ We analyzed TFPI-2 expression and clinical characteristics of the OCCC patients.

Statistical analysis

Statistical analysis was performed using IBM SPSS Statistics 19 software (IBM Corp.). Clinicopathological parameters were evaluated using Kruskal-Wallis test or Mann-Whitney U test for continuous variables and Fisher's exact test for non-continuous variables. Relationships between TFPI-2 expression and 5-year overall survival were estimated by Kaplan-Meier method and compared by log rank test. Cox regression analysis was used for multivariate analysis of 5-year overall survival. P<0.05 was considered to indicate a statistically significant difference.

Results

Expression, subcellular localization and secretion of TFPI-2 in OCCC cell lines

Western blotting using the monoclonal anti-TFPI-2 28Aa antibody (13) revealed that TFPI-2 was expressed in 8 out of the 11 CCC cell lines examined (Fig. 1A). All eight cell lines showed TFPI-2 expression in ECF and four cell lines also expressed TFPI-2 in the WCF. In all cell lines, TFPI-2 was much more abundant in ECF than in WCF. We next fractionated TFPI-2 containing WCFs of the four cell lines into nuclear and cytoplasmic fractions. TFPI-2 was detected in both cytoplasmic (CP) and nuclear fractions (NE) (Fig. 1B). TFPI-2 polypeptides of three molecular weights (27, 31, 33 kDa) (12) were observed in all 3 fractions, but the larger two molecules were predominant (Fig. 1B). Three cell lines did not express TFPI-2 in any fraction. We also examined TFPI-2 concentration in CM (Fig. 1C). The amount of secreted TFPI-2 in the CM was generally correlated to the levels in ECF. RMG-1 and OVMANA cells strongly expressed TFPI-2 in ECF by western blotting. In contrast, TFPI-2 concentration was high in CM in RMG-1 cells but low in OVMANA cells.

Figure 1.

Western blotting and enzyme-linked immune assay of TFPI-2. (A) Western blotting of TFPI-2 expression in 11 cell lines. Vinculin was used for WCF loading control. (B) WCFs were further divided into nuclear and cytoplasm fractions. Lamin A and α-tubulin were used for nucleus and cytoplasm markers, respectively. (C) TFPI-2 concentration in CM was assessed by enzyme-linked immune assay. TFPI-2, tissue factor pathway inhibitor-2; ECF, extracellular fraction; WCF, whole cell fraction; NE, nuclear extract; CP, cytoplasm; CM, conditioned medium.

Immunohistochemical analysis of TFPI-2 expression in surgically removed EOC tissues

FFPE samples prepared from 142 patients including 77 OCCC and 65 non-CCC EOC cases were subjected to immunohistochemistry (IHC). The patient clinical information is shown in Table I. The mean age of patients at surgery was 57 years (range 36–84 years).

Table I.

Clinicopathological characteristics of the 142 epithelial ovarian cancer patients.

Table I.

Clinicopathological characteristics of the 142 epithelial ovarian cancer patients.

CharacteristicsOCCC (n=77)SC (n=20)EMC (n=19)MOC (n=17)Others (n=9)P-value
Period (year)2005 to 20172014 to 20172011 to 20172005 to 20172014 to 2017
Age in years, median (range)58 (36–75)67.5 (37–80)54 (38–83)55 (38–84)60 (47–83)P=0.0875
Parity (%) P=0.024
  No (0)36 (46.8)4 (20.0)7 (36.8)3 (17.6)6 (66.7)
  Yes (≥1)41 (53.2)16 (80.0)12 (63.1)14 (82.4)3 (33.3)
Menopausal status (%) P=0.149
  Premenopause18 (23.4)2 (10.0)7 (36.8)7 (41.2)3 (33.3)
  Postmenopause59 (76.6)18 (90.0)12 (63.1)10 (58.8)6 (66.7)
CA125 (%) P=0.321
  <3524 (31.2)2 (10.0)7 (36.8)5 (29.4)2 (22.2)
  ≥3553 (68.8)18 (90.0)12 (63.1)12 (70.6)7 (77.8)
FIGO (%) P<0.001
  I/II61 (79.2)3 (15.0)17 (89.4)16 (94.1)5 (55.6)
  III/IV16 (20.8)17 (85.0)2 (10.5)1 (5.9)4 (44.4)
Site of specimen (%) P<0.001
  Primary site77 (100)17 (85.0)19 (100)17 (100)7 (77.8)
  Omentum0 (0)3 (15.0)0 (0)0 (0)2 (22.2)

[i] OCCC, ovarian clear cell carcinoma; SC, serous carcinoma; EMC, endometrioid carcinoma; MOC, mucinous ovarian carcinoma. Others: Two carcinosarcoma, one squamous cell carcinoma arising from mature cystic teratoma, one small cell carcinoma, one adenofibrocarcinoma, one mixed epithelial tumor, one large cell neuroendocrine carcinoma, one undifferentiated and one adenocarcinoma (not otherwise specified). Kruskal-Wallis test was used for age. Fisher's exact test was used for other parameters. CA125, cancer antigen 125; FIGO, Federation of Gynecology and Obstetrics.

Experiments with placental tissue confirmed that the antibody stained the cytoplasm of syncytiotrophoblasts, as reported previously (13) (Fig. 2A). We confirmed the specificity of the antibody by an absorption test using the immunized antigen for the 28Aa antibody (Fig. 2B). IHC revealed TFPI-2 in the cytoplasm of tumor cells and in the ECM of OCCC tissues (Fig. 2C and D). We did not detect any nuclear TFPI-2 staining using the 28Aa antibody. Therefore, we next assessed the localization of TFPI-2 using another TFPI-2 antibody (B-7). We confirmed that the B-7 antibody also stained the cytoplasm of syncytiotrophoblasts in placental tissue (Fig. 3A). The specificity of the B-7 antibody was confirmed by absorption test (Fig. 3B). We detected TFPI-2 both in the nucleus and cytoplasm with the B-7 antibody (Fig. 3C); however, signals in ECM were weaker than in staining with the 28Aa antibody (Figs. 2D and 3D). Therefore, we decided to use the B-7 antibody to evaluate nuclear and cytoplasmic expression of TFPI-2, while the 28Aa antibody was used to evaluate TFPI-2 expression in ECM.

Figure 2.

IHC analysis of TFPI-2 subcellular localization. (A) Typical H&E staining (left) and TFPI-2 staining using the 28 Aa antibody (right) in placenta specimens. (B) Specificity of TFPI-2 antibody was confirmed in an OCCC specimen by absorption test using the 14 amino acid peptide antigen corresponding to the N-terminus of mature TFPI-2 protein. Left: No antigen control. Right: Experiment with pre-absorbed antibody. (C) Typical H&E staining (top) and cytoplasmic TFPI-2 staining (bottom) patterns in an OCCC specimen. (D) Typical H&E staining (top) and TFPI-2 staining (bottom) patterns in a stromal lesion of an OCCC specimen. IHC, immunohistochemistry; TFPI-2, tissue factor pathway inhibitor-2; H&E, hematoxylin and eosin; OCCC, ovarian clear cell carcinoma.

Figure 3.

IHC analysis of TFPI-2 using the B-7 antibody. (A) Typical TFPI-2 staining in a placenta specimen using the B-7 antibody. TFPI-2 was detected in the syncyiotrophoblasts. (B) B-7 antibody specificity was confirmed in an OCCC specimen by absorption test using recombinant full-length TFPI-2 protein as an antigen. Left: No antigen control. Right: Experiment with pre-absorbed antibody. (C) B-7 antibody stains the nucleus and cytoplasm in the same sample shown in Fig. 2C. (D) B-7 antibody failed to stain ECM in the same sample shown in Fig. 2D. IHC, immunohistochemistry; TFPI-2, tissue factor pathway inhibitor-2; OCCC, ovarian clear cell carcinoma; ECM, extracellular matrix.

The H-score method using automated scoring software was applied to evaluate TFPI-2 staining (Fig. S1). The H-scores and staining categorization of EOC tissues are shown in Table II. Among OCCC cases, 52/77 (67.5%) specimens were positive for TFPI-2; among these samples, 35/77 (45.5%) showed cytoplasmic staining, 10/77 (13.0%) showed nuclear staining and 35/77 (45.5%) showed staining in ECM (shown as a Venn diagram in Fig. S2). All cases with positive nuclear staining also showed positive staining in the cytoplasm, and 7/77 (9.1%) cases showed positive staining in all three fractions (Fig. S2). In contrast, TFPI-2 was not detected in any of the non-CCC cases (Fig. 4A-C). TFPI-2 expression levels evaluated by IHC distinguished CCC from non-CCC with 67.5% sensitivity and 100% specificity. Previous studies showed that TFPI-2 is expressed in endometrium (30,31). Therefore, we next performed IHC for the non-tumor samples using B-7 antibody in the same manner. Out of 18 cases, 17 cases were negative for TFPI-2 in endometrium cells (Fig. 5A). In one case (5.6%), endometrium cells were focally positive for TFPI-2. Fallopian tube epithelial cells were all negative for TFPI-2 expression (Fig. 5B).

Figure 4.

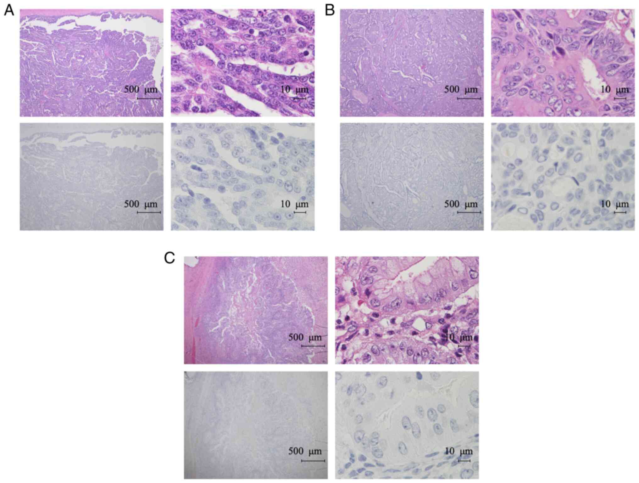
IHC analysis of TFPI-2 in non-CCC EOC tissues. Representative images of H&E staining (top) and IHC for TFPI-2 (bottom) in non-CCC tissues. (A) High grade serous carcinoma. (B) Endometrioid carcinoma. (C) Mucinous carcinoma. IHC, immunohistochemistry; TFPI-2, tissue factor pathway inhibitor-2; CCC, clear cell carcinoma; EOC, epithelial ovarian cancer; H&E, hematoxylin and eosin.

Figure 5.

IHC analysis of TFPI-2 in non-neoplastic tissues. Representative images of H&E staining (top) and IHC for TFPI-2 (bottom) in non-neoplastic tissues. (A) Endometrium of TFPI-2-negative case. (B) Fallopian tube epithelium. IHC, immunohistochemistry; TFPI-2, tissue factor pathway inhibitor-2; H&E, hematoxylin and eosin.

Table II.

TFPI-2 expression score according to subcellular localization.

Table II.

TFPI-2 expression score according to subcellular localization.

Subcellular localizationH-scoreCCC (n=77) n (%)Non-CCC (n=65) n (%)
Nuclear
  Negative067 (87.0)65 (100)
  Positive1–91 (1.3)0 (0)
10–294 (5.2)0 (0)
30-5 (6.5)0 (0)
Cytoplasm
  Negative042 (54.5)65 (100)
  Positive1–920 (26.0)0 (0)
10–299 (11.7)0 (0)
30-6 (7.8)0 (0)
ECM
  Negative 42 (54.5)65 (100)
  Positive 35 (45.5)0 (0)

[i] Cut-off for positive/negative expression is H-score=1. TFPI-2, tissue factor pathway inhibitor-2; CCC, clear cell carcinoma; ECM, extracellular matrix.

We next statistically analyzed the correlations between TFPI-2 cytoplasmic expression and clinicopathological characteristics of the OCCC patients according to previous studies (32,33). We examined patient age, parity, menopausal status, rate of elevated serum CA125 level (>35 U/ml) and distribution of cancer stage (FIGO: International Federation of Gynecology and Obstetrics staging and TNM classification) in univariate analysis according to the cytoplasmic expression status for TFPI-2 (Table III). The median patient age was significantly younger for patients positive for TFPI-2 than for patients negative for TFPI-2 (56 vs. 60.5 years, respectively; P=0.019). Parity, menopausal status, rate of elevated serum level of CA125, FIGO and TNM staging did not significantly correlate with TFPI-2 expression. Kaplan-Meier analysis showed that the 5-year overall survival was not significantly affected by TFPI-2 expression (P=0.621, log-rank test) (Fig. S3A). Multivariate analysis revealed that TFPI-2 expression was not an independent prognostic factor (Table SI). Analyses with nuclear and ECM TFPI-2 expression showed similar results (Fig. S3B-D, Tables SI–SIV).

Table III.

Clinicopathological characteristic and TFPI-2 cytoplasmic expression in 77 CCC samples.

Table III.

Clinicopathological characteristic and TFPI-2 cytoplasmic expression in 77 CCC samples.

CharacteristicsNegative (n=42)Positive (n=35)P-value
Age in years, median (range)60.5 (36–74)56 (39–75)P=0.019
Parity, n (%)
  No (0)20 (47.6)16 (45.7)
  Yes (≥1)22 (52.4)19 (54.3)P=0.990
Menopausal status, n (%)
  Premenopause7 (16.7)11 (31.4)
  Postmenopause35 (83.3)24 (68.6)P=0.177
CA125 (U/ml), n (%)
  <3513 (31.0)11 (31.4)
  ≥3529 (69.0)24 (68.6)P=0.990
FIGO, n (%)
  I/II32 (76.2)29 (82.9)
  III/IV10 (23.8)6 (17.1)P=0.577
pT
  pT1/233 (78.6)29 (82.9)
  pT39 (21.4)6 (17.1)P= 0.775
pN
  pN08 (19.0)4 (11.4)
  pN11 (2.4)0 (0)
  pNx33 (78.6)31 (88.6)P=0.441
M
  M041 (97.6)33 (94.3)
  M11 (2.4)2 (5.7)P=0.588

[i] Mann-Whitney U test was used for continuous variables. Fisher's exact test was used for non-continuous variables. TFPI-2, tissue factor pathway inhibitor-2; CCC, clear cell carcinoma; CA125, cancer antigen 125; FIGO, Federation of Gynecology and Obstetrics.

Discussion

In the present study, we found that tissue factor pathway inhibitor-2 (TFPI-2) is expressed in surgically removed ovarian clear cell carcinoma (OCCC) tissues. We previously identified TFPI-2 as a CCC biomarker using secretome-based analysis of CM derived from OCCC cell lines (25,26) and reported that TFPI-2 may be a useful serum biomarker for OCCC patients. The confirmation of TFPI-2 expression in OCCC tumor cells in surgical tissues using IHC strongly supports the development of TFPI-2 as a serum tumor biomarker.

We demonstrated that TFPI-2 is localized in the nucleus as well as the cytoplasm and extracellular fraction (ECF) of cultivated OCCC cells. TFPI-2 has been characterized as a secreted protein (23) that contains a signal peptide at its N-terminus, and mature TFPI-2 protein is secreted into the ECF through the endoplasmic reticulum and secretory pathway (11,34). A recent study, however, showed that TFPI-2 was also localized in the nucleus and cytoplasm in endothelial cell lines (23), and TFPI-2 exogenously added to culture medium in vitro was rapidly internalized and distributed in both nucleus and cytoplasmic fractions. A nuclear localization signal was found in the C-terminal tail of TFPI-2 (23). In the nucleus, TFPI-2 regulates MMP-2 gene transcription through the interaction with AP-2a, a transcription factor important for the expression of many genes (24). In the cytoplasm, TFPI-2 regulates ERK signaling and interacts with a-actinin-4 and myosin-9, resulting in increased cancer cell activities (35). Consistent with the in vitro study, we confirmed the nuclear, cytoplasm, and extracellular matrix (ECM) subcellular localization of TFPI-2 in surgically resected OCCC tissues. We detected TFPI-2 mainly in the ECF in vitro; however, the four cell lines with the highest expression of TFPI-2 also expressed TFPI-2 in both the nucleus and cytoplasm. Three different molecular sized TFPI-2 polypeptides, which are speculated to be derived from differential glycosylation events (12), were detected in all three fractions. Taken together, these findings suggest that mature TFPI-2, after cleavage of the signal peptide and posttranslational modifications, might be retained in the cytoplasm or internalized after secretion and distributed into the cytoplasm or nucleus when large amounts of TFPI-2 are produced. In OCCC OVMANA cells, the level of secreted TFPI-2 was not as high as its expression in ECF. In contrast, the majority of secreted TFPI-2 in ES-2 cells seemed to be retained in the medium. The mechanisms regulating TFPI-2 localization remain to be elucidated.

In this study, we demonstrated the specificity of TFPI-2 for CCC in IHC. CCC is pathologically diagnosed based on morphologic features such as hobnail cells with clear cytoplasm (3). However, tumors containing clear cells with heterogeneous features are not reproducibly diagnosed (3). Currently, hepatocyte nuclear factor-1β (HNF-1β) immunohistochemical expression (sensitivity, 82.5–85.2%; specificity, 76.5–95.2%) (36,37), Napsin A (38) and glypican-3 (39) are candidates for CCC IHC markers. In this study, we showed that TFPI-2 was only identified in CCC tissues and not in non-CCC EOC tissues. This result is well consistent with The Human Protein Atlas data, which examined TFPI-2 expression in limited numbers of EOC surgical specimens by IHC but did not detect any cases with positive TFPI-2 expression (serous 0/5, mucinous 0/4, endometrioid 0/2 cases; CCC cases were not enrolled) (40). Our results showed that TFPI-2 expression distinguished CCC from non-CCC with a sensitivity of 67.5% and specificity of 100%. The high specificity of TFPI-2 may support its use for diagnosis of OCCC in combination with existing markers. We propose TFPI-2 as an IHC biomarker for histopathological diagnostics as well as serum biomarker for OCCC patients.

We found that all serous carcinoma cases in the current study group were negative for TFPI-2 in IHC. We previously showed that serum TFPI-2 levels greater than 345 pg/ml can pre-operatively discriminate OCCC from other EOC subtypes and borderline ovarian tumors with a sensitivity of 71.4% and specificity of 85.7% (25,26). Additionally, we found that serum TFPI-2 level was also increased in 29.4% of serous carcinoma patients (26). In this study, all serous carcinoma cases were negative for TFPI-2 despite setting the H-score cut-off value very low. Considering our IHC results, we speculate that the elevation of TFPI-2 in the serum of serous carcinoma patients was derived from non-tumor cells such as endothelial cells (23) or platelets (41), although the numbers of examined serous carcinoma cases were limited and the putative mechanisms are currently unclear.

We then examined the clinical significance of TFPI-2 expression in OCCC tissues but did not identify any significant association between TFPI-2 expression in the primary site and aggressiveness of the OCCC cases. This is not consistent with published data from other cancer types, which showed that low expression of TFPI-2 in IHC is associated with poor survival in breast and pancreatic cancer patients (32,33). The tumor suppressor-like activity of TFPI-2 suggested by these reports are consistent with in vitro and animal experiments showing that secreted TFPI-2 reduces invasiveness, through preventing ECM degeneration by inhibiting proteases, such as plasmin or MMPs (42,43). In many cancer types, TFPI-2 expression is epigenetically silenced by aberrant methylation of CpG islands in the TFPI-2 promoter (16,20). In contrast, our study showed that TFPI-2 is elevated in the serum of OCCC patients and is certainly expressed in OCCC tumor cells. These findings suggest that the roles of TFPI-2 may vary depending on the cancer type and that the function of TFPI-2 in ovarian CCC is unique compared with its role in other cancers. In this study, we excluded cases that received neoadjuvant therapies to precisely evaluate the TFPI-2 expression dynamics in OCCC tissues, and therefore the enrolled patients were predicted to have an inherent good prognosis and likely to be in early stages. This bias could be another possibility to explain the negative correlation of TFPI-2 expression and clinical aggressiveness in OCCC tissue. Further studies are needed to elucidate the potential value of TFPI-2 as a prognostic marker or monitoring marker for OCCC patients.

In conclusion, we confirmed the expression of TFPI-2 in clinical OCCC tissues and confirmed the nuclear, cytoplasm, and ECF/ECM subcellular localization of TFPI-2 in cultivated OCCC cells and surgical tissues. We also demonstrated the high specificity of TFPI-2 expression in OCCC tissues. TFPI-2 expression in IHC may support its use for diagnosis of OCCC in combination with existing markers.

Supplementary Material

Supporting Data

Acknowledgements

The authors would like to express our appreciation to Masahiko Sakaguchi for his valuable and constructive suggestions for statistical analysis. We would also like to thank the members of the Department of Gynecology and the Department of Pathology of Kanagawa Cancer Center Hospital for their cooperation with this research.

Funding

This study was funded by Tosoh Corporation, Japan. SM and NO are employees of the Tosoh Corporation. SM and NO provided technical support for the experiments by analyzing TFPI-2 concentration in CM. The submission fee was provided by Tosoh Corporation. EM obtained a grant from Tosoh Corporation, outside the submitted work. YM obtained grants from Tosoh Corporation, both for this work and outside the submitted work.

Availability of data and materials

The datasets generated and analyzed during the current study are available from the corresponding author on reasonable request. Aperio's annotation software is available at https://www.leicabiosystems.com/digital-pathology/Accessed 13/07/2010.

Authors' contributions

YO contributed to the methodology, software, formal analysis, investigation, and writing of the original draft. SK contributed to the methodology, writing of the review and editing. YN contributed to the investigation. MY contributed to the investigation. TT contributed to the investigation. SS contributed to the investigation. SM contributed to the investigation. NO contributed to the investigation. HK contributed the resources and conducted the data curation. TY conducted the validation and contributed to the resources. EM was responsible for the conceptualization and supervision. YM contributed to the conceptualization, validation and writing of the review and editing as well as the supervision. All authors read and approved the manuscript and agree to be accountable for all aspects of the research in ensuring that the accuracy or integrity of any part of the work are appropriately investigated and resolved.

Ethics approval and consent to participate

The experimental protocol of the present study was reviewed and approved by the Institutional Review Board of Kanagawa Cancer Center Hospital (approval no. ethics-2018-10). Written informed consent was obtained from the patients for publication of the study and accompanying images.

Patient consent for publication

Not applicable.

Competing interests

SM and NO are employees of the Tosoh Corporation, which is now developing an in vitro diagnosis approach for ovarian CCC patients by evaluating blood TFPI-2 concentration. EM obtained a grant from Tosoh Corporation, outside the submitted work. YM obtained grants from Tosoh Corporation, both for this work and outside the submitted work. The other authors have no conflicts of interest directly relevant to the content of this article.

Authors' information

ORCID: Yukihide Ota: 0000-0002-5167-1918; Shiro Koizume: 0000-0002-9132-5286; Etsuko Miyagi: 0000-0002-5492-0844.

Glossary

Abbreviations

Abbreviations:

TFPI-2

tissue factor pathway inhibitor-2

OCCC

ovarian clear cell carcinoma

EOC

epithelial ovarian cancer

CA125

cancer antigen 125

PBS

phosphate-buffered saline

WCF

whole cell fraction

ECF

extracellular fraction

ECM

extracellular matrix

CM

conditioned medium

AIA

automated immunoassay analyzer

KCCH

Kanagawa Cancer Center Hospital

FFPE

formalin-fixed and paraffin-embedded

IHC

immunohistochemistry

References

1 

Siegel RL, Miller KD and Jemal A: Cancer statistics. CA Cancer J Clin. 68:7–30. 2018. View Article : Google Scholar : PubMed/NCBI

2 

World Health Organization, International Agency for Research on Cancer, Cancer Fact Sheets. http://gco.iarc.fr/today/data/factsheets/cancers/25-Ovary-fact-sheet.pdf2018 4–September. 2020

3 

Soslow RA: Histologic subtypes of ovarian carcinoma: An overview. Int J Gynecol Pathol. 27:161–174. 2008.PubMed/NCBI

4 

Machida H, Matsuo K, Yamagami W, Ebina Y, Kobayashi Y, Tabata T, Kanauchi M, Nagase S, Enomoto T and Mikami M: Trends and characteristics of epithelial ovarian cancer in Japan between 2002 and 2015: A JSGO-JSOG joint study. Gynecol Oncol. 153:589–596. 2019. View Article : Google Scholar : PubMed/NCBI

5 

Lee AW, Navajas EE and Liu L: Clear differences in ovarian cancer incidence and trends by ethnicity among Asian Americans. Cancer Epidemiol. 61:142–149. 2019. View Article : Google Scholar : PubMed/NCBI

6 

Shu CA, Zhou Q, Jotwani AR, Iasonos A, Leitao MM Jr, Konner JA and Aghajanian CA: Ovarian clear cell carcinoma, outcomes by stage: The MSK experience. Gynecol Oncol. 139:236–241. 2015. View Article : Google Scholar : PubMed/NCBI

7 

Anglesio MS, Carey MS, Köbel M, Mackay H and Huntsman DG; Vancouver Ovarian Clear Cell Symposium Speakers, : Clear cell carcinoma of the ovary: A report from the first ovarian clear cell symposium, June 24th, 2010. Gynecol Oncol. 121:407–415. 2011. View Article : Google Scholar : PubMed/NCBI

8 

Meyer T and Rustin GJ: Role of tumour markers in monitoring epithelial ovarian cancer. Br J Cancer. 82:1535–1538. 2000.PubMed/NCBI

9 

Kudoh K, Kikuchi Y, Kita T, Tode T, Takano M, Hirata J, Mano Y, Yamamoto K and Nagata I: Preoperative determination of several serum tumor markers in patients with primary epithelial ovarian carcinoma. Gynecol Obstet Invest. 47:52–57. 1999. View Article : Google Scholar : PubMed/NCBI

10 

Sierko E, Wojtukiewicz MZ and Kisiel W: The role of tissue factor pathway inhibitor-2 in cancer biology. Semin Thromb Hemost. 33:653–659. 2007. View Article : Google Scholar : PubMed/NCBI

11 

Miyagi Y, Koshikawa N, Yasumitsu H, Miyagi E, Hirahara F, Aoki I, Misugi K, Umeda M and Miyazaki K: cDNA cloning and mRNA expression of a serine proteinase inhibitor secreted by cancer cells: Identification as placental protein 5 and tissue factor pathway inhibitor-2. J Biochem. 116:939–942. 1994. View Article : Google Scholar : PubMed/NCBI

12 

Rao CN, Reddy P, Liu Y, O'Toole E, Reeder D, Foster DC, Kisiel W and Woodley DT: Extracellular matrix-associated serine protease inhibitors (Mr 33,000, 31,000, and 27,000) are single-gene products with differential glycosylation: cDNA cloning of the 33-kDa inhibitor reveals its identity to tissue factor pathway inhibitor-2. Arch Biochem Biophys. 335:82–92. 1996. View Article : Google Scholar : PubMed/NCBI

13 

Ogawa M, Yanoma S, Nagashima Y, Okamoto N, Ishikawa H, Haruki A, Miyagi E, Takahashi T, Hirahara F and Miyagi Y: Paradoxical discrepancy between the serum level and the placental intensity of PP5/TFPI-2 in preeclampsia and/or intrauterine growth restriction: Possible interaction and correlation with glypican-3 hold the key. Placenta. 28:224–232. 2007. View Article : Google Scholar : PubMed/NCBI

14 

Karaszi K, Szabo S, Juhasz K, Kiraly P, Kocsis-Deak B, Hargitai B, Krenacs T, Hupuczi P, Erez O, Papp Z, et al: Increased placental expression of placental protein 5 (PP5)/tissue factor pathway inhibitor-2 (TFPI-2) in women with preeclampsia and HELLP syndrome: Relevance to impaired trophoblast invasion? Placenta. 76:30–39. 2019. View Article : Google Scholar : PubMed/NCBI

15 

Rao CN, Lakka SS, Kin Y, Konduri SD, Fuller GN, Mohanam S and Rao JS: Expression of tissue factor pathway inhibitor 2 inversely correlates during the progression of human gliomas. Clin Cancer Res. 7:570–576. 2001.PubMed/NCBI

16 

Rollin J, Iochmann S, Bléchet C, Hubé F, Régina S, Guyétant S, Lemarié E, Reverdiau P and Gruelet Y: Expression and methylation status of tissue factor pathway inhibitor-2 gene in non-small-cell lung cancer. Br J Cancer. 92:775–783. 2005. View Article : Google Scholar : PubMed/NCBI

17 

Sato N, Parker AR, Fukushima N, Miyagi Y, Iacobuzio-Donahue CA, Eshleman JR and Gogginset M: Epigenetic inactivation of TFPI-2 as a common mechanism associated with growth and invasion of pancreatic ductal adenocarcinoma. Oncogene. 24:850–858. 2005. View Article : Google Scholar : PubMed/NCBI

18 

Guo H, Lin Y, Zhang H, Liu J, Zhang N, Li Y, Kong D, Tang Q and Ma D: Tissue factor pathway inhibitor-2 was repressed by CpG hypermethylation through inhibition of KLF6 binding in highly invasive breast cancer cells. BMC Mol Biol. 8:1102007. View Article : Google Scholar : PubMed/NCBI

19 

Nobeyama Y, Okochi-takada E, Furuta J, Miyagi Y, Kikuchi K, Yamamoto A, Nakanishi Y, Nakagawa H and Ushijima T: Silencing of tissue factor pathway inhibitor-2 gene in malignant melanomas. Int J Cancer. 121:301–307. 2007. View Article : Google Scholar : PubMed/NCBI

20 

Wong C, Ng Y, Lee JM, Wong CC, Cheung O, Chan C, Tung EK, Ching Y and Ng IO: Tissue factor pathway inhibitor-2 as a frequently silenced tumor suppressor gene in hepatocellular carcinoma. Hepatology. 45:1129–1138. 2007. View Article : Google Scholar : PubMed/NCBI

21 

Xu Y, Qin X, Zhou J, Tu Z, Bi X, Li W, Fan X and Zhang Y: Tissue factor pathway inhibitor-2 inhibits the growth and invasion of hepatocellular carcinoma cells and is inactivated in human hepatocellular carcinoma. Oncol Lett. 2:779–783. 2011.PubMed/NCBI

22 

Lavergne M, Jourdan ML, Blechet C, Guyetant S, Pape AL, Heuze-Vourc'h N, Courty Y, Lerondel S, Sobilo J, Iochmann S and Reverdiau P: Beneficial role of overexpression of TFPI-2 on tumour progression in human small cell lung cancer. FEBS Open Bio. 3:291–301. 2013. View Article : Google Scholar : PubMed/NCBI

23 

Kempaiah P, Chand HS and Kisiel W: Human tissue factor pathway inhibitor-2 is internalized by cells and translocated to the nucleus by the importin system. Arch Biochem Biophys. 482:58–65. 2009. View Article : Google Scholar : PubMed/NCBI

24 

Wang G, Zeng Y, Chen S, Li D, Li W, Zhou Y, Singer RH and Gu W: Localization of TFPI-2 in the nucleus modulates MMP-2 gene expression in breast cancer cells. Sci Rep. 7:135752017. View Article : Google Scholar : PubMed/NCBI

25 

Arakawa N, Miyagi E, Nomura A, Morita E, Ino Y, Ohtake N, Miyagi Y, Hirahara F and Hirano H: Secretome-Based identification of TFPI2, A novel serum biomarker for detection of ovarian clear cell adenocarcinoma. J Proteome Res. 12:4340–4350. 2013. View Article : Google Scholar : PubMed/NCBI

26 

Arakawa N, Kobayashi H, Yonemoto N, Masuishi Y, Ino Y, Shigetomi H, Furukawa N, Ohtake N, Miyagi Y, Hirahara F, et al: Clinical significance of tissue factor pathway inhibitor 2, a serum biomarker candidate for ovarian clear cell carcinoma. PLoS One. 11:e01656092016. View Article : Google Scholar : PubMed/NCBI

27 

Pearce CL, Templeman C, Rossing MA, Lee A, Near AM, Webb PM, Nagle CM, Doherty JA, Cushing-Haugen KL, Wicklund KG, et al: Association between endometriosis and risk of histological subtypes of ovarian cancer: A pooled analysis of case-control studies. Lancet Oncol. 13:385–394. 2012. View Article : Google Scholar : PubMed/NCBI

28 

Cinti S, Matteis RD, Picó C, Ceresi E, Obrador A, Maffeis C, Oliver J and Palou A: Secretory granules of endocrine and chief cells of human stomach mucosa contain leptin. Int J Obes Relat Metab Disord. 24:789–793. 2000. View Article : Google Scholar : PubMed/NCBI

29 

Pirker R, Pereira JR, von Pawel J, Krzakowski M, Ramlau R, Park K, de Marinis F, Eberhardt WE, Paz-Ares L, Störkel S, et al: EGFR expression as a predictor of survival for first-line chemotherapy plus cetuximab in patients with advanced non-small-cell lung cancer: Analysis of data from the phase 3 FLEX study. Lancet Oncol. 13:33–42. 2012. View Article : Google Scholar : PubMed/NCBI

30 

Wojtukiewicz MZ, Sierko E, Zimnoch L, Kozlowski L and Kisiel W: Immunohistochemical localization of tissue factor pathway inhibitor-2 in human tumor tissue. Thromb Haemost. 90:140–146. 2003. View Article : Google Scholar : PubMed/NCBI

31 

Altmäe S, Salumets A, Bjuresten K, Kallak TK, Wånggren K, Landgren BM, Hovatta O and Stavreus-Evers A: Tissue factor and tissue factor pathway inhibitors TFPI and TFPI2 in human secretory endometrium-possible link to female infertility. Reprod Sci. 18:666–678. 2011. View Article : Google Scholar : PubMed/NCBI

32 

Zhai LL, Cai CY, Wu Y and Tang ZG: Correlation and prognostic significance of MMP-2 and TFPI-2 differential expression in pancreatic carcinoma. Int J Clin Exp Pathol. 8:682–691. 2015.PubMed/NCBI

33 

Xu C, Wang H, He H, Zheng F, Chen Y, Zhang J, Lin X, Ma D and Zhang H: Low expression of TFPI-2 associated with poor survival outcome in patients with breast cancer. BMC Cancer. 13:1182013. View Article : Google Scholar : PubMed/NCBI

34 

Sprecher CA, Kisiel W, Mathewes S and Foster DC: Molecular cloning, expression, and partial characterization of a second human tissue-factor-pathway inhibitor. Proc Natl Acad Sci USA. 91:3353–3357. 1994. View Article : Google Scholar : PubMed/NCBI

35 

Wang G, Huang W, Li W, Chen S, Chen W, Zhou Y, Peng P and Gu W: TFPI-2 suppresses breast cancer cell proliferation and invasion through regulation of ERK signaling and interaction with actinin-4 and myosin-9. Sci Rep. 8:144022018. View Article : Google Scholar : PubMed/NCBI

36 

Köbel M, Kalloger SE, Carrick J, Huntsman D, Asad H, Oliva E, Ewanowich CA, Soslow RA and Gilks CB: A limited panel of immunomarkers can reliably distinguish between clear cell and high-grade serous carcinoma of the ovary. Am J Surg Pathol. 33:14–21. 2009. View Article : Google Scholar : PubMed/NCBI

37 

Huang W, Cheng X, Ji J, Zhang J and Li Q: The application value of HNF-1β transcription factor in the diagnosis of ovarian clear cell carcinoma. Int J Gynecol Pathol. 35:66–71. 2016. View Article : Google Scholar : PubMed/NCBI

38 

Yamashita Y, Nagasaka T, Naiki-Ito A, Sato S, Suzuki S, Toyokuni S, Ito M and Takahashi S: Napsin A is a specific marker for ovarian clear cell adenocarcinoma. Mod Pathol. 28:111–117. 2015. View Article : Google Scholar : PubMed/NCBI

39 

Maeda D, Ota S, Takazawa Y, Aburatani H, Nakagawa S, Yano T, Taketani Y, Kodama T and Fukayama M: Glypican-3 expression in clear cell adenocarcinoma of the ovary. Mod Pathol. 22:824–832. 2009. View Article : Google Scholar : PubMed/NCBI

40 

The Human Protein Atlas: TFPI2. https://www.proteinatlas.org/ENSG00000105825-TFPI2April 8–2020

41 

Vadivel K, Ponnuraj SM, Kumar Y, Zaiss AK, Bunce MW, Camire RM, Wu L, Evseenko D, Herschman HR, Bajaj MS and Bajaj SP: Platelets contain tissue factor pathway inhibitor-2 derived from megakaryocytes and inhibits fibrinolysis. J Biol Chem. 289:31647–31661. 2014. View Article : Google Scholar : PubMed/NCBI

42 

Rao CN, Cook B, Liu Y, Chilukuri K, Stack MS, Foster DC, Kisiel W and Woodley DT: HT-1080 fibrosarcoma cell matrix degradation and invasion are inhibited by the matrix-associated serine protease inhibitor TFPI-2/33 kDa MSPI. Int J Cancer. 76:749–756. 1998. View Article : Google Scholar : PubMed/NCBI

43 

Jin M, Udagawa K, Miyagi E, Nakazawa T, Hirahara F, Yasumitsu H, Miyazaki K, Nagashima Y, Aoki I and Miyagi Y: Expression of serine proteinase inhibitor PP5/TFPI-2/MSPI decreases the invasive potential of human choriocarcinoma cells in vitro and in vivo. Gynecol Oncol. 83:325–333. 2001. View Article : Google Scholar : PubMed/NCBI

Related Articles

  • Abstract
  • View
  • Download
  • Twitter
Copy and paste a formatted citation
Spandidos Publications style
Ota Y, Koizume S, Nakamura Y, Yoshihara M, Takahashi T, Sato S, Myoba S, Ohtake N, Kato H, Yokose T, Yokose T, et al: Tissue factor pathway inhibitor‑2 is specifically expressed in ovarian clear cell carcinoma tissues in the nucleus, cytoplasm and extracellular matrix. Oncol Rep 45: 1023-1032, 2021.
APA
Ota, Y., Koizume, S., Nakamura, Y., Yoshihara, M., Takahashi, T., Sato, S. ... Miyagi, Y. (2021). Tissue factor pathway inhibitor‑2 is specifically expressed in ovarian clear cell carcinoma tissues in the nucleus, cytoplasm and extracellular matrix. Oncology Reports, 45, 1023-1032. https://doi.org/10.3892/or.2021.7944
MLA
Ota, Y., Koizume, S., Nakamura, Y., Yoshihara, M., Takahashi, T., Sato, S., Myoba, S., Ohtake, N., Kato, H., Yokose, T., Miyagi, E., Miyagi, Y."Tissue factor pathway inhibitor‑2 is specifically expressed in ovarian clear cell carcinoma tissues in the nucleus, cytoplasm and extracellular matrix". Oncology Reports 45.3 (2021): 1023-1032.
Chicago
Ota, Y., Koizume, S., Nakamura, Y., Yoshihara, M., Takahashi, T., Sato, S., Myoba, S., Ohtake, N., Kato, H., Yokose, T., Miyagi, E., Miyagi, Y."Tissue factor pathway inhibitor‑2 is specifically expressed in ovarian clear cell carcinoma tissues in the nucleus, cytoplasm and extracellular matrix". Oncology Reports 45, no. 3 (2021): 1023-1032. https://doi.org/10.3892/or.2021.7944
Copy and paste a formatted citation
x
Spandidos Publications style
Ota Y, Koizume S, Nakamura Y, Yoshihara M, Takahashi T, Sato S, Myoba S, Ohtake N, Kato H, Yokose T, Yokose T, et al: Tissue factor pathway inhibitor‑2 is specifically expressed in ovarian clear cell carcinoma tissues in the nucleus, cytoplasm and extracellular matrix. Oncol Rep 45: 1023-1032, 2021.
APA
Ota, Y., Koizume, S., Nakamura, Y., Yoshihara, M., Takahashi, T., Sato, S. ... Miyagi, Y. (2021). Tissue factor pathway inhibitor‑2 is specifically expressed in ovarian clear cell carcinoma tissues in the nucleus, cytoplasm and extracellular matrix. Oncology Reports, 45, 1023-1032. https://doi.org/10.3892/or.2021.7944
MLA
Ota, Y., Koizume, S., Nakamura, Y., Yoshihara, M., Takahashi, T., Sato, S., Myoba, S., Ohtake, N., Kato, H., Yokose, T., Miyagi, E., Miyagi, Y."Tissue factor pathway inhibitor‑2 is specifically expressed in ovarian clear cell carcinoma tissues in the nucleus, cytoplasm and extracellular matrix". Oncology Reports 45.3 (2021): 1023-1032.
Chicago
Ota, Y., Koizume, S., Nakamura, Y., Yoshihara, M., Takahashi, T., Sato, S., Myoba, S., Ohtake, N., Kato, H., Yokose, T., Miyagi, E., Miyagi, Y."Tissue factor pathway inhibitor‑2 is specifically expressed in ovarian clear cell carcinoma tissues in the nucleus, cytoplasm and extracellular matrix". Oncology Reports 45, no. 3 (2021): 1023-1032. https://doi.org/10.3892/or.2021.7944
Follow us
  • Twitter
  • LinkedIn
  • Facebook
About
  • Spandidos Publications
  • Careers
  • Cookie Policy
  • Privacy Policy
How can we help?
  • Help
  • Live Chat
  • Contact
  • Email to our Support Team