Spandidos Publications Logo
  • About
    • About Spandidos
    • Aims and Scopes
    • Abstracting and Indexing
    • Editorial Policies
    • Reprints and Permissions
    • Job Opportunities
    • Terms and Conditions
    • Contact
  • Journals
    • All Journals
    • Oncology Letters
      • Oncology Letters
      • Information for Authors
      • Editorial Policies
      • Editorial Board
      • Aims and Scope
      • Abstracting and Indexing
      • Bibliographic Information
      • Archive
    • International Journal of Oncology
      • International Journal of Oncology
      • Information for Authors
      • Editorial Policies
      • Editorial Board
      • Aims and Scope
      • Abstracting and Indexing
      • Bibliographic Information
      • Archive
    • Molecular and Clinical Oncology
      • Molecular and Clinical Oncology
      • Information for Authors
      • Editorial Policies
      • Editorial Board
      • Aims and Scope
      • Abstracting and Indexing
      • Bibliographic Information
      • Archive
    • Experimental and Therapeutic Medicine
      • Experimental and Therapeutic Medicine
      • Information for Authors
      • Editorial Policies
      • Editorial Board
      • Aims and Scope
      • Abstracting and Indexing
      • Bibliographic Information
      • Archive
    • International Journal of Molecular Medicine
      • International Journal of Molecular Medicine
      • Information for Authors
      • Editorial Policies
      • Editorial Board
      • Aims and Scope
      • Abstracting and Indexing
      • Bibliographic Information
      • Archive
    • Biomedical Reports
      • Biomedical Reports
      • Information for Authors
      • Editorial Policies
      • Editorial Board
      • Aims and Scope
      • Abstracting and Indexing
      • Bibliographic Information
      • Archive
    • Oncology Reports
      • Oncology Reports
      • Information for Authors
      • Editorial Policies
      • Editorial Board
      • Aims and Scope
      • Abstracting and Indexing
      • Bibliographic Information
      • Archive
    • Molecular Medicine Reports
      • Molecular Medicine Reports
      • Information for Authors
      • Editorial Policies
      • Editorial Board
      • Aims and Scope
      • Abstracting and Indexing
      • Bibliographic Information
      • Archive
    • World Academy of Sciences Journal
      • World Academy of Sciences Journal
      • Information for Authors
      • Editorial Policies
      • Editorial Board
      • Aims and Scope
      • Abstracting and Indexing
      • Bibliographic Information
      • Archive
    • International Journal of Functional Nutrition
      • International Journal of Functional Nutrition
      • Information for Authors
      • Editorial Policies
      • Editorial Board
      • Aims and Scope
      • Abstracting and Indexing
      • Bibliographic Information
      • Archive
    • International Journal of Epigenetics
      • International Journal of Epigenetics
      • Information for Authors
      • Editorial Policies
      • Editorial Board
      • Aims and Scope
      • Abstracting and Indexing
      • Bibliographic Information
      • Archive
    • Medicine International
      • Medicine International
      • Information for Authors
      • Editorial Policies
      • Editorial Board
      • Aims and Scope
      • Abstracting and Indexing
      • Bibliographic Information
      • Archive
  • Articles
  • Information
    • Information for Authors
    • Information for Reviewers
    • Information for Librarians
    • Information for Advertisers
    • Conferences
  • Language Editing
Spandidos Publications Logo
  • About
    • About Spandidos
    • Aims and Scopes
    • Abstracting and Indexing
    • Editorial Policies
    • Reprints and Permissions
    • Job Opportunities
    • Terms and Conditions
    • Contact
  • Journals
    • All Journals
    • Biomedical Reports
      • Information for Authors
      • Editorial Policies
      • Editorial Board
      • Aims and Scope
      • Abstracting and Indexing
      • Bibliographic Information
      • Archive
    • Experimental and Therapeutic Medicine
      • Information for Authors
      • Editorial Policies
      • Editorial Board
      • Aims and Scope
      • Abstracting and Indexing
      • Bibliographic Information
      • Archive
    • International Journal of Epigenetics
      • Information for Authors
      • Editorial Policies
      • Editorial Board
      • Aims and Scope
      • Abstracting and Indexing
      • Bibliographic Information
      • Archive
    • International Journal of Functional Nutrition
      • Information for Authors
      • Editorial Policies
      • Editorial Board
      • Aims and Scope
      • Abstracting and Indexing
      • Bibliographic Information
      • Archive
    • International Journal of Molecular Medicine
      • Information for Authors
      • Editorial Policies
      • Editorial Board
      • Aims and Scope
      • Abstracting and Indexing
      • Bibliographic Information
      • Archive
    • International Journal of Oncology
      • Information for Authors
      • Editorial Policies
      • Editorial Board
      • Aims and Scope
      • Abstracting and Indexing
      • Bibliographic Information
      • Archive
    • Medicine International
      • Information for Authors
      • Editorial Policies
      • Editorial Board
      • Aims and Scope
      • Abstracting and Indexing
      • Bibliographic Information
      • Archive
    • Molecular and Clinical Oncology
      • Information for Authors
      • Editorial Policies
      • Editorial Board
      • Aims and Scope
      • Abstracting and Indexing
      • Bibliographic Information
      • Archive
    • Molecular Medicine Reports
      • Information for Authors
      • Editorial Policies
      • Editorial Board
      • Aims and Scope
      • Abstracting and Indexing
      • Bibliographic Information
      • Archive
    • Oncology Letters
      • Information for Authors
      • Editorial Policies
      • Editorial Board
      • Aims and Scope
      • Abstracting and Indexing
      • Bibliographic Information
      • Archive
    • Oncology Reports
      • Information for Authors
      • Editorial Policies
      • Editorial Board
      • Aims and Scope
      • Abstracting and Indexing
      • Bibliographic Information
      • Archive
    • World Academy of Sciences Journal
      • Information for Authors
      • Editorial Policies
      • Editorial Board
      • Aims and Scope
      • Abstracting and Indexing
      • Bibliographic Information
      • Archive
  • Articles
  • Information
    • For Authors
    • For Reviewers
    • For Librarians
    • For Advertisers
    • Conferences
  • Language Editing
Login Register Submit
  • This site uses cookies
  • You can change your cookie settings at any time by following the instructions in our Cookie Policy. To find out more, you may read our Privacy Policy.

    I agree
Search articles by DOI, keyword, author or affiliation
Search
Advanced Search
presentation
Molecular Medicine Reports
Join Editorial Board Propose a Special Issue
Print ISSN: 1791-2997 Online ISSN: 1791-3004
Journal Cover
September-2017 Volume 16 Issue 3

Full Size Image

Sign up for eToc alerts
Recommend to Library

Journals

International Journal of Molecular Medicine

International Journal of Molecular Medicine

International Journal of Molecular Medicine is an international journal devoted to molecular mechanisms of human disease.

International Journal of Oncology

International Journal of Oncology

International Journal of Oncology is an international journal devoted to oncology research and cancer treatment.

Molecular Medicine Reports

Molecular Medicine Reports

Covers molecular medicine topics such as pharmacology, pathology, genetics, neuroscience, infectious diseases, molecular cardiology, and molecular surgery.

Oncology Reports

Oncology Reports

Oncology Reports is an international journal devoted to fundamental and applied research in Oncology.

Experimental and Therapeutic Medicine

Experimental and Therapeutic Medicine

Experimental and Therapeutic Medicine is an international journal devoted to laboratory and clinical medicine.

Oncology Letters

Oncology Letters

Oncology Letters is an international journal devoted to Experimental and Clinical Oncology.

Biomedical Reports

Biomedical Reports

Explores a wide range of biological and medical fields, including pharmacology, genetics, microbiology, neuroscience, and molecular cardiology.

Molecular and Clinical Oncology

Molecular and Clinical Oncology

International journal addressing all aspects of oncology research, from tumorigenesis and oncogenes to chemotherapy and metastasis.

World Academy of Sciences Journal

World Academy of Sciences Journal

Multidisciplinary open-access journal spanning biochemistry, genetics, neuroscience, environmental health, and synthetic biology.

International Journal of Functional Nutrition

International Journal of Functional Nutrition

Open-access journal combining biochemistry, pharmacology, immunology, and genetics to advance health through functional nutrition.

International Journal of Epigenetics

International Journal of Epigenetics

Publishes open-access research on using epigenetics to advance understanding and treatment of human disease.

Medicine International

Medicine International

An International Open Access Journal Devoted to General Medicine.

Journal Cover
September-2017 Volume 16 Issue 3

Full Size Image

Sign up for eToc alerts
Recommend to Library

  • Article
  • Citations
    • Cite This Article
    • Download Citation
    • Create Citation Alert
    • Remove Citation Alert
    • Cited By
  • Similar Articles
    • Related Articles (in Spandidos Publications)
    • Similar Articles (Google Scholar)
    • Similar Articles (PubMed)
  • Download PDF
  • Download XML
  • View XML
Article Open Access

Protein profiling and functional analysis of liver mitochondria from rats with nonalcoholic steatohepatitis

  • Authors:
    • Yanting You
    • Yuxing Zhang
    • Yuanyuan Lu
    • Keke Hu
    • Xiaohu Qu
    • Yongzhag Liu
    • Bin Lu
    • Liqin Jin
  • View Affiliations / Copyright

    Affiliations: Key Laboratory of Laboratory Medicine, Ministry of Education, and Zhejiang Provincial Key Laboratory of Medical Genetics, Wenzhou Medical University, Wenzhou, Zhejiang 325035, P.R. China
    Copyright: © You et al. This is an open access article distributed under the terms of Creative Commons Attribution License.
  • Pages: 2379-2388
    |
    Published online on: June 30, 2017
       https://doi.org/10.3892/mmr.2017.6893
  • Expand metrics +
Metrics: Total Views: 0 (Spandidos Publications: | PMC Statistics: )
Metrics: Total PDF Downloads: 0 (Spandidos Publications: | PMC Statistics: )
Cited By (CrossRef): 0 citations Loading Articles...

This article is mentioned in:



Abstract

Mitochondrial dysfunction is closely associated with the pathogenesis of nonalcoholic steatohepatitis (NASH). The aim of the present study was to comprehensively determine mitochondrial abnormalities in NASH by detecting the proteomics in liver mitochondria in a NASH rat model, which was induced for 16 weeks by the provision of a high fat and high cholesterol diet (HFD). Serum parameters, including triglycerides, total cholesterol, low‑density lipoprotein cholesterol and high‑density lipoprotein cholesterol were determined, and hematoxylin and eosin staining of liver tissues was examined to evaluate the NASH rat model. Various parameters associated with mitochondrial function were examined, including mitochondrial DNA (mtDNA) copy number, mitochondrial membrane potential (MMP) and mitochondrial respiratory chain complex (MRC) activity. The mitochondrial proteomics were analyzed and identified using isobaric tags for relative and absolute quantitation labeling coupled with two‑dimensional liquid chromatography‑tandem mass spectrometry. The identified proteins were classified and grouped using the Blast2GO program against the non‑redundant protein database, the Kyoto Encyclopedia of Genes and Genomes database and the Cluster of Orthologous Groups of proteins database. Compared with the control, mtDNA copy number, MMP, and activities of MRC I and III were decreased markedly in the HFD group. A total of 18 upregulated and 13 downregulated proteins were identified, with a significant 1.2‑fold difference between the control and NASH groups. The dysregulated proteins were closely involved in mitochondrial oxidative phosphorylation, the lipid metabolic process and fatty acid β‑oxidation. The results of the present study provide important proteomic information regarding liver mitochondria in NASH and serve as a basis for further detailed investigations of the pathogenesis of NASH.

Introduction

Nonalcoholic fatty liver disease (NAFLD) is a common cause of chronic liver disease, and comprises a wide range of pathological changes in the liver, from non-progressive steatosis to nonalcoholic steatohepatitis (NASH), advanced fibrosis and cirrhosis, ultimately leading to hepatocellar carcinoma (HCC) (1). NASH is characterized by lobular inflammation, hepatocellular ballooning and fibrosis, and is key in the progression to cirrhosis and HCC (2). Day and James described a two-hit theory (3), regarding the hepatic triglyceride accumulation as the first hit and mitochondrial dysfunction, oxidative stress and inflammatory factors as the second hit (4). Substantial evidence has indicated that mitochondrial dysfunction is directly associated with the pathogenesis of NASH and has suggested that NASH is a mitochondrial disease (5,6). Mitochondrial dysfunction impairs lipid metabolism and induces the overproduction of reactive oxygen species (ROS), which triggers the peroxidation of lipids and apoptosis of hepatocytes (7). In addition, this can decrease the activity of the mitochondrial respiratory chain (MRC), which further impairs adenosine triphosphate (ATP) synthesis and enhances oxidative stress (7). However, the alterations in mitochondrial proteomics in response to NASH remain to be fully elucidated.

In our previous study, a high fat and high cholesterol diet (HFD) was used to establish a NASH rat model, which is more similar to dietary conditions, compared with the methionine-choline-deficient diet in humans (8). To date, using the NASH rat model, there has been no attempt to establish a comparative proteome profile of liver mitochondria using isobaric tags for relative and absolute quantitation (iTRAQ) technology coupled with two-dimensional liquid chromatography-tandem mass spectrometry (2-D LC-MS/MS) analysis.

Compared with traditional 2-D gel electrophoresis, it is easier to analyze eight samples simultaneously using iTRAQ technology, thus enhancing throughput, and increasing sensibility and accuracy (9). To the best of our knowledge, the present study using the NASH rat model is the first to perform proteomic analysis of liver mitochondria using iTRAQ technology, to provide novel insights into the pathogenesis and progression of NASH via mitochondrial protein profiling.

Materials and methods

Animal models of NASH

Eight-week-old male Sprague-Dawley rats weighing ~320 g were purchased from the Laboratory Animal Centre of Wenzhou Medical University (Wenzhou, China). Under a 12-h light-dark cycle and controlled temperature (23±2°C), all rats were raised under specific pathogen-free conditions with free access to water and food. The animals were acclimatized to the laboratory conditions for 1 week prior to the experiments and were randomly divided into two groups: Control group (n=6) and HFD group (n=10). The rats in the control group and the HFD group were respectively fed with a standard chow diet (SCD) and a high fat diet (1% cholesterol, 19% lard and 80% SCD) for 16 weeks. The body weights of the rats were measured weekly. The rats were sacrificed following overnight fasting. All protocols and procedures conformed to the guidelines of the Laboratory Animal Ethics Committee of Wenzhou Medical University, and all efforts were made in order to minimize the suffering and the number of animals used.

Blood and liver sample preparation

Following sacrifice, blood samples from the abdominal vein of the rats were collected in coagulation-promoting tubes and centrifuged at 1,500 g for 15 min at 4°C (Eppendorf 5810R; Eppendorf, Hamburg, Germany) to obtain the serum for biochemical analysis, which was stored at −80°C prior to analysis. The levels of glucose, total cholesterol (TC), triglyceride (TG), low-density lipoprotein (LDL-C) and high-density lipoprotein (HDL-C) were measured using an automated biochemistry analyzer (Hitachi, Tokyo, Japan). The livers were excised, cleaned with ice-cold phosphate-buffered saline and weighed immediately. The left lobes of each liver were then fixed in 4% paraformaldehyde solution for further morphological analysis using hematoxylin and eosin (H&E) staining, with images captured using a Nikon microscope (Nikon E-100 A12.0705; Nikon Corporation, Tokyo, Japan). Additionally, sections of the liver tissue were added to a volume of storage medium containing 20% dimethyl sulfoxide, 0.21 M mannitol and 0.07 M sucrose (pH 7.5) for mitochondrial separation, and other sections were directly snap frozen in liquid nitrogen and then preserved at −80°C until use (10).

Determination of relative mtDNA copy number

Total DNA from the liver tissues was extracted using a Blood and Cell Culture DNA Mini kit (Qiagen GmbH, Hilden, Germany). Reverse transcription-quantitative polymerase chain reaction (RT-qPCR) analysis was used to determine the relative mtDNA copy number. The RT-qPCR amplification reaction was performed via SYBR-Green chemistry using Bio-Rad CFX Manage 2.1 (Bio-Rad Laboratories, Inc., Hercules, CA, USA). The mtDNA was synthesized and amplified using the following primers: ND1 forward, 5′-ATTCTAGCCACATCAAGTCTTT-3′ and reverse, 5′-GGAGGACGGATAAGAGGATAAT-3′; β-actin forward, 5′-GAAATCGTGCGTGACATTAAAG-3′ and reverse, 5′-ATCGGAACCGCTCATTG-3′. Each sample was analyzed in triplicate with a 20 µl final volume containing SYBR-Green Supermix PCR 1X Master mix (Bio-Rad Laboratories, Inc.), 0.5 µM forward and reverse primes and 100 ng DNA template. Following 3 min denaturation at 95°C, amplification was performed for 39 cycles, including 95°C for 10 sec for denaturation, and 55°C for 30 sec for annealing and extension. Melting curve analysis was performed at the end of each run to validate the specificity of the PCR products. The quantification of the relative mtDNA copy number was performed using the 2ΔΔCq method (11), normalized to β-actin.

Isolation of liver mitochondria

The frozen liver tissues of the rats were rapidly thawed using a preheated medium of 0.4% BSA (Beyotime Institute of Biotechnology, Haimen, China), 0.25 M sucrose and 0.01 M Tris-HCl (pH 7.5) at 45°C in a 4:1 ratio of medium to tissue. The mitochondria were isolated as described previously (12). In brief, the liver tissues were weighed, washed and homogenized at 4°C in isolation buffer containing 0.5% BSA, 225 mM mannitol, 75 mM sucrose, 30 mM Tris/HCl and 0.5 mM EGTA (pH 7.4). The homogenate was centrifuged twice at 4°C and 740 g for 10 min to remove unbroken cells and nuclei, and at 4°C and 9,000 g for 10 min three times to precipitate the mitochondrial pellet and obtain the crude mitochondria. The pellet was resuspended in MRB buffer containing 250 mM mannitol, 5 mM HEPES and 0.5 mM EGTA (pH 7.4), and gently layered on top of 30% (v/v) percoll. Following 50 min of centrifugation at 4°C and 95,000 × g, collection and washing of the mitochondrial fraction twice, centrifugation was performed at 4°C and 6,300 × g for 10 min with MRB to remove the residual percoll. Using the BCA protein assay kit (Thermo; Fisher Scientific, Inc., Waltham, MA, USA) the concentration of mitochondrial protein was measured. Mitochondria were stored in −80°C for proteomic analysis.

MRC enzymatic assays

As described above, the pellet (crude mitochondria) was resuspended in MRB and freeze-thawed three times using liquid nitrogen. All samples were measured in triplicate using a Varioskan Flash reader (Thermo Fisher Scientific, Inc.).

The specific activity of complex I, ubiquinone oxidoreductase (NADH) was analyzed according to the decrease in absorbance at 340 nm due to the oxidation of NADH. The isolated mitochondria (25 µg) were added into 200 µl of the reaction buffer (195 µM NADH, 50 mM potassium phosphate buffer, 10 µg/ml antimycin, 10 µM decylubiquinone and 5 mM NaN3) in a 96-well plate. Under the conditions of 340 nm and 30°C, the rate of oxidation of NADH was measured for 90 sec.

The specific activity of complex II (succinate dehydrogenase) was assessed by the decrease of absorbance at 600 nm due to reduction of dichlorophenol indophenols. The 200 µl reaction buffer (270 mM potassium phosphate buffer, 200 mM succinate, 12 µM rotenone, 7.5 µM NaN3, 5 µg/ml antimycin, 100 mM 2,6-dichlorophenolindophenolsodium salt and 20 µg mitochondria protein) was equilibrated for 10 min at 30°C. Following the addition of 4 µl of 1 mM decylubiquinone, the reaction was initiated and absorbance was measured at 600 nm for 90 sec at 30°C.

Complex III (decylubiquinol cytochrome coxidoreductase) was measured by the increase of absorbance at 550 nm due to the reduction of cytochrome c. The 200 µl reaction buffer (250 mM sucrose, 100 mM Tris/Hcl, 1 mM EDTA, 50 µM cytochrome c, 50 µM decylubiquinol, 45 µM n-dodecyl-β-d-maltoside and 7.5 µM NaN3) was incubated for 60 sec and the reaction was induced by adding 20 µg of mitochondrial protein. The absorbance was measured at 550 nm for 90 sec at 30°C.

Complex IV (cytochrome c oxidase) was measured by the decrease of absorbance at 550 nm due to oxidization of the reduced cytochrome c. The mitochondria (20 µg) were added into 200 µl reaction buffer, containing 9.4 mM potassium phosphate buffer, 50 µM reduced cytochrome c and 450 µm n-dodecyl-β-d-maltoside. The reaction was detected at 550 nm for 135 sec at 30°C.

The activity of citrate synthase was assessed by alterations of thionitrobenzoate anion formation. The mitochondrial protein (20 µg) was added to 200 µl reaction buffer (0.1 M Tris/Hcl, 0.1 M 5,5′-dithiobis-2-nitrobenzoate, 0.3 mM acetyl-CoA, 450 µM n-dodecyl-β-d-maltoside and 500 µM oxaloacetate). The absorbance was then measured at 412 nm for 270 sec. The activity of CS was expressed in nmol/min/mg, and normalized to total tissue protein content.

ATP synthase activity

According to the manufacturer's protocol of the ATP Synthase Enzyme Activity Microplate Assay kit (Abcam, Cambridge, UK), ADP and phosphate are produced by ATP synthase hydrolyzing ATP. The oxidation of NADH is coupled with the production of ADP and ultimately becomes NAD+. The reaction was detected at 340 nm for 90 sec at 30°C.

Mitochondrial membrane potential (MMP) analysis using JC-1

MMP was determined in the crude mitochondria freshly isolated from liver tissues using a JC-1 Mitochondrial Membrane Potential Detection kit (Beyotime Institute of Biotechnology). According to the manufacturer's protocol, 50 µg of mitochondria were stained by JC-1 and scanned at 490 nm excitation/530 nm emission and at 525 nm excitation/590 nm emission to detect green and red JC-1 fluorescence, respectively, using the Varioskan Flash reader.

Quantitative proteomics using the iTRAQ technique

Mitochondria were solubilized in lysis buffer (7 M urea, 2 M thiourea, 40 mM Tris, 2 mM EDTA, 1 mM PMSF, 0.2% SDS and 4% CHAPS), and sonicated at 200 W for 15 min on ice, followed by centrifugation at 4°C and 25,000 g for 20 min. The supernatant was added to 10 mM DTT (final concentration) and maintained at 56°C for 1 h, this step was for reducing the disulfide bonds in the proteins. The mixture was kept in the dark, and 55 mM IAM (final concentration) was added and incubated for 1 h in order to block the cysteines. To remove detergents, which may interfere with iTRAQ™ labeling, the protein was precipitated by the addition of five volumes of chilled acetone for 2 h at −20°C. Following centrifugation at 4°C at 25,000 g for 20 min, the pellet was dissolved in 500 µl of 0.5 M triethylammonium bicarbonate (Applied Biosystems; Thermo Fisher Scientific, Inc.) and sonicated again. The samples were then centrifuged at 25,000 g for 20 min at 4°C. The Bradford method (Thermo Fisher Scientific, Inc.) was used to quantify the supernatant. Protein of each sample (100 µg) was digested with trypsin (Promega Corporation, Madison, WI, USA), at 20:1 protein to trypsin ratio, overnight at 37°C. Vacuum centrifugation was performed to dry the peptides following the digestion with trypsin. According to the iTRAQ™ reagents protocol, using 8-plex iTRAQ reagent (Applied Biosystems; Thermo Fisher Scientific, Inc.), the peptides were dissolved and samples labeled as follows: Control (CON)-2 (117 tag), CON-4 (114 tag), CON-5 (119 tag), CON-8 (116 tag), HFD-1 (113 tag), HFD-2 (118 tag), HFD-4 (115 tag) and HFD-8 (121 tag) randomly selected from the control group and HF group, respectively. Vacuum centrifugation at 4°C and 12,000 g for 10 min was performed to pool and dry the labeled peptide mixtures.

The peptide mixtures were added to 4 ml solvent A, which contained 25 mM NaH2PO4 dissolved in 25% can (pH 2.7) and then injected into a 4.6×250 mm Ultremex SCX column, which worked with the LC-20AB HPLC Pump system (Shimadzu Corporation, Kyoto, Japan) and contained 5 µm particles (Phenomenex, Inc., Torrence, CA, USA). A gradient of solvents was used to elute the peptides at a 1 ml/min flow rate: 10 min of 100% solvent A, 7 min of 5% solvent B, which contained 1 M KCl and 25 mM NaH2PO4 dissolved in 25% ACN (pH 2.7), 20 min of 5–60% solvent B and 1 min of 60–100% buffer B. Finally, washing was performed for 1 min of 100% buffer B and equilibrated for 10 min in buffer A prior to the next loading. The absorbance of elution was monitored at 214 nm and the fractions were collected every 1 min. In total, 20 fractions were collected, which were desalted in a Strata X C18 column (Phenomenex, Inc.) and then dried them completely in a vacuum centrifuge.

Fractions were reconstituted with solvent A (2% CAN, 0.1% FA) and centrifuged for 10 min at 4°C and 20,000 g to remove the insoluble substance, and the final concentration of peptide was adjusted to 0.5 µg/µl. In each fraction, using the autosampler, 5 µg of peptide mixture was injected into a Shimadzu LC-20AD nano HPLC (Shimadzu Corporation), which had a 2 cm C18 trap column. Subsequently, an in-house packed analytical column (75 µm × 10 cm, C18) was used to elute the peptides. The peptides were loaded at 8 µl/min for 4 min and separated at a flow of 300 nl/min over 44 min with a gradient of solvent B (98% ACN and 0.1 FA). Subsequently, the linear gradient was increased to 80% within 2 min and maintained at 80% for 4 min, followed by a return to 5% for 1 min. The effluent was analyzed using a Q-Exactive mass spectrometer (Thermo Fisher Scientific, Inc.) with nanoelectrospray and voltage set at 1.6 KV. At a resolution of 7,000 in an Orbitrap mass analyzer, full MS scans were acquired from 350–2,000 m/z for the detection. A fragment ion spectrum was produced via high-energy collision dissociation and the mass range of 100–1,800 m/z was detected in by Orbitrap mass analyzer at a resolution of 17,500. In the MS survey scan, following a dynamic exclusion duration of 15 sec, MS/MS data were obtained through data-dependent acquisition, which used the 15 most abundant precursor ions above the threshold ion count of 20,000. The automatic gain control target for full MS was 3e6 and for MS/MS was 1e5, and were used to optimize the spectra generated by the Orbitrap analyzer.

Protein identifications were performed using Discoverer 1.2 (Thermo Electron, San Jose, CA, USA), compared with a database containing the UniprotRat sequences, using the Mascot search engine (version 2.3.02; Matric Science, London, UK). In the identification of proteins, which allowed for one missed cleavage in the trypsin digestion, the tolerance of the peptide mass in MS was 20 ppm and for fragmented ions was 0.05 Da. The conversion of N-terminal glutamine to pyroglutamic acid, oxidation of methionine and tyrosine labeled by iTRAQ-8-plex were set as the potential variable modifications. The carbamidomethylation of cysteine at the N-terminal of peptides and lysine labeled by iTRAQ-8-plex were considered to fix these modifications. Peptides with significance scores (≥20; P<0.01) were counted as identified in order to reduce false peptide identification. At least one unique peptide was involved in the identification of each confident protein and at least two unique peptides were required to quantify protein. Significant changes in the quantitative protein ratios were identified by setting cut off values of a fold change >1.2 and P<0.05. Using the Blast2GO program (www.blast2go.com), compared with the non-redundant protein database (NR; NCBI), functional annotations, which had differential proteins, were performed. The Kyoto Encyclopedia of Genes and Genomes (KEGG; http://www.genome.jp/kegg/) and Cluster of Orthologous groups (http://www.ncbi.nlm.nih.gov/COG/) databases were used to classify and group these identified proteins.

Western blot analysis

The proteins levels of NADH dehydrogenase 1α subcomplex subunit 5 (Ndufa5), NADH dehydrogenase iron-sulfur protein 6 (Ndufs6), ATP synthase α subunit (ATP5A), transcription factor A, mitochondrial (TFAM) and cytochrome b (CytB) from the liver mitochondria of the control and HFD groups were measured using western blot analysis. The proteins were extracted as described above in the ‘Isolation of liver mitochondria’ section and quantified by BCA Protein assay kit (Thermo Fisher Scientific, Inc.). The proteins (20 µg) were separated on an SDS-PAGE gel and transferred onto nitrocellulose membranes (Bio-Rad Laboratories, Inc.), and then blocked with 5% nonfat milk buffer for 1.5 h. The membranes were then incubated overnight with anti-Ndufa5 (1:1,000; cat. no. 16640-1-AP; ProteinTech Group, Inc., Chicago, USA), anti-Ndufs6 (1:1,000; cat. no 14417-1-AP; ProteinTech Group, Inc.), anti-ATP5A (1:1,000; cat. no. 14676-1-AP; ProteinTech Group, Inc.), anti-TFAM (1:1,000; cat. no. ab131607; Abcam) and CytB (1:1,000; cat. no. 55090-1-AP; ProteinTech Group, Inc.) at 4°C. The membranes were washed once with TBST buffer and incubated with horseradish peroxidase-conjugated anti-rabbit secondary antibodies (1:3,000; cat. no. A0208; Beyotime Institute of Biotechnology) at room temperature for 1 h. The intensity of the bands was detected using ECL Western Blotting Substrate (Thermo Fisher Scientific, Inc.).

Statistical analysis

All results are presented as the mean ± standard deviation and data were analyzed using Student's t-test. Statistical analyses were performed with SPSS 20.0 (IMB SPSS, Armonk, NY, USA). P<0.05 was considered to indicate a statistically significant difference.

Results

Characterization of the NASH rat model

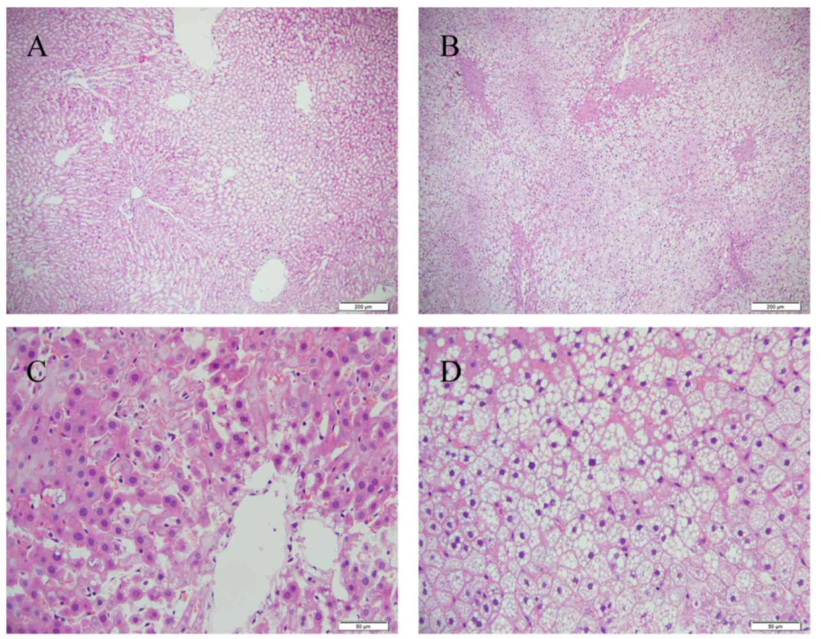
The 16 weeks of HFD feeding successfully induced hepatic steatohepatitis. The body weights of the rats, compared with those in the control group, were significantly increased in the HFD group (P<0.05; Table I). Of note, HFD chow resulted in a marked increase in the liver weight and hepatic index (liver weight/body weight %). Higher levels (P<0.01) of serum TC and LDL-C were also found in the HFD-fed rats, compared with those in the controls, although no significant differences were found in the TG, HDL-C or glucose levels (Table II). Following 16 weeks of HFD feeding, the livers sections showed that there were abundant macrovesicular fat droplets in the hepatocytes and increased quantities of ballooned hepatocytes in the centrilobular parenchyma, leading to destruction of the normal structure of numerous hepatic lobules (Fig. 1). Furthermore, foci of necrosis and infiltration of inflammatory cells were identified in the centrilobular region. The liver tissues of the control group showed no histological abnormalities (Fig. 1).

Figure 1.

Hepatic pathology. Liver sections from the Con and HFD groups were stained with hematoxylin and eosin. Representative images from (A) Con and (B) HFD groups at ×100 magnification. Representative images from (C) Con and (D) HFD groups at ×400 magnification. Fat droplets, ballooned hepatocytes and inflammatory cells are present in the HFD group. HFD, high fat and high cholesterol diet; Con, control; HFD, high fat and high cholesterol diet.

Table I.

Body weights and liver weights or rats.

Table I.

Body weights and liver weights or rats.

ParameterCon (n=6)HFD (n=10)
Initial body weight (g)318.83±19.31321.30±15.25
Final body weight (g)516.50±37.07 548.20±22.23a
Liver weight (g)11.71±1.17 16.56±3.26b
Liver weight/body weight (%)2.26±0.22 3.02±0.57b

{ label (or @symbol) needed for fn[@id='tfn1-mmr-16-03-2379'] } Values are expressed as the mean ± standard deviation.

a P<0.05

b P<0.01, vs. Con group. Con, control; HFD, high fat and high cholesterol diet.

Table II.

Serum biochemical parameters.

Table II.

Serum biochemical parameters.

Parameter (mM)Con (n=6)HFD (n=10)
Glucose10.92±0.9010.49±2.10
TG   0.56±0.13   0.64±0.10
TC   1.66±0.41   2.44±0.48a
LDL-C   1.07±0.35   1.86±0.43a
HDL-C   0.34±0.11   0.29±0.13

{ label (or @symbol) needed for fn[@id='tfn4-mmr-16-03-2379'] } Values are expressed as the mean ± standard deviation.

a P<0.01, vs. Con. TC, total cholesterol; TG, triglyceride; LDL-C, low-density lipoprotein; HDL-C, high-density lipoprotein; Con, control; HFD, high fat and high cholesterol diet.

Effect of mtDNA copy number

The present study also evaluated alterations of mitochondrial biogenesis in rats with HFD-induced NASH using information on mtDNA copy number. HFD feeding induced a significant decrease (P<0.05) in mtDNA copy number, which was reflected in the ratio of ND1 DNA to actin DNA in the liver (Fig. 2).

Figure 2.

Evaluation of mtDNA copy numbers were evaluated in livers from rats in the Con and HFD groups via analysis of the ratio of ND1 DNA to actin DNA. The ND1 gene belongs to the mitochondrial genome, and actin gene belongs to the nuclear genome. Values are presented as the mean ± standard deviation. *P<0.05, vs. Con group. HFD, high fat and high cholesterol diet; Con, control; mtDNA, mitochondrial DNA.

Evaluation of MRC and MMP

As MRCs are pivotal in the generation of energy by oxidative phosphorylation, the present study measured whether the activity of the MRC was affected in the liver tissues of the HFD group. As shown in Fig. 3A, the activity of complex I was significantly reduced in the HFD group, compared with that in the control group (complex I/CS, 1.93±0.56 vs. 2.72±0.67; P<0.05). No difference was observed in complex II (Fig. 3B), however, the activity of complex III was also significantly lower in the HFD group, compared with that in the control group (complex III/CS, 1.39±0.29 vs. 1.81±0.24; P<0.05), as shown in Fig. 3C. No significant differences were observed in complex IV or ATP synthase (Fig. 3D and E). Citrate synthase is usually regarded as a quantitative marker enzyme for the content of intact mitochondria, and no significant change was detected between the HFD group and the control group (Fig. 3F). HFD chow also led to loss of MMP, which was associated with mitochondrial dysfunction (Fig. 4).

Figure 3.

Analysis of mitochondrial respiratory chain enzymes in liver mitochondria isolated from control and HFD groups. Complexes (A) I, (B) II, (C) III, and (D) IV. Complex activities were normalized to CS. (E) ATP synthase activity (F) CS activity. The values are expressed as the mean ± standard deviation. *P<0.05, vs. Con group. HFD, high fat and high cholesterol diet; Con, control; CS, citrate synthase.

Figure 4.

MMP was reflected by the ratio of red and green fluorescence. Liver mitochondria from the Con and HFD groups were isolated for MMP analysis. The values are presented as the mean ± standard deviation. **P<0.01 vs. Con group. MMP, mitochondrial membrane potential; HFD, high fat and high cholesterol diet; Con, control.

Mitochondrial proteomic profiling analysis

In order to fully understand the pivotal role of mitochondria dysfunction in NASH, the present study measured the mitochondrial protein profiles of the liver from the HFD group model using iTRAQ labeling technology. A total of 61 significantly differentially expressed proteins were identified and were synchronous with the comparisons of liver mitochondrial samples isolated from the control and HFD groups. Compared with the control group, 30 upregulated proteins with a fold change >1.0 and 31 downregulated proteins with a fold change <1.0 were observed in the HFD group, subsequently, 18 upregulated (Table III) with a fold change >1.2 and 13 downregulated proteins (Table IV) with a fold change ≤0.8 were selected. The biological processes were found to be associated with dysregulated proteins using the GO database. Of note, the majority of these differentially expressed proteins were closely involved, including mitochondrial oxidative phosphorylation, lipid metabolic process, acyl-CoA metabolic process and fatty acid β-oxidation (Table V). In the HFD group, proteins involved in mitochondrial oxidative phosphorylation were almost unanimously downregulated, compared with the control group. Among the dysregulated proteins, seven decreased proteins, including Ndufc2, Ndufs6, Ndufb3, Ndufa2, Ndufa5, Ndufb5 and NADH-ubiquinone oxidoreductase chain 5 (ND5), were component parts of mitochondrial complex II and the decreased proteins, ubiquinol-cytochrome c reductase, complex III subunit X (UQCR10) and cytochrome B (CytB) were the subunits of mitochondrial complex III. In the inner mitochondrial membrane, these proteins form the middle segment of the respiratory chain. The decrease in these proteins coincided with the significant decline in the activities of complexes I and III (Fig. 3A and B). These proteomics may provide novel insights into pathogenesis of NASH, although further functional investigations are required to specify proteins.

Table III.

Identification of 18 mitochondrial proteins upregulated in the high fat and high cholesterol diet group, compared with the control group, using isobaric tags for relative and absolute quantitation labeling technology.

Table III.

Identification of 18 mitochondrial proteins upregulated in the high fat and high cholesterol diet group, compared with the control group, using isobaric tags for relative and absolute quantitation labeling technology.

Accession no.Protein nameGene nameFold change
tr|Q5U2U5|Q5U2U5_RATPerilipin 2Plin23.61
sp|O70490|ACSM2_RATAcyl-coenzyme A synthetaseACSM22.02
sp|P61354|RL27_RAT60S ribosomal protein L27Rpl271.94
sp|Q5EB77|RAB18_RATRas-related protein Rab-18Rab181.90
tr|D3ZSY4|D3ZSY4_RATEosinophil peroxidaseEpx1.68
tr|F1LRE2|F1LRE2_RATInsulin-like growth factor-binding protein complex acid labile subunitIgfals1.68
sp|P55159|PON1_RATSerum paraoxonase/arylesterase 1Pon11.64
sp|P11915|NLTP_RATNon-specific lipid-transfer proteinScp21.47
sp|P07687|HYEP_RATEpoxide hydrolase 1Ephx11.45
sp|P07871|THIKB_RAT3-ketoacyl-CoA thiolase BAcaa1b1.44
tr|G3V743|G3V743_RATGlucosidase 1Mogs1.35
sp|Q5BJY9|K1C18_RATKeratin, type I cytoskeletal 18Krt181.32
tr|D4ABM5|D4ABM5_RATMitochondrial ribosomal protein S34Mrps341.31
sp|Q4FZX5|MSRB2_RAT Methionine-R-sulfoxide reductase B2Msrb21.30
sp|P63095|GNAS2_RATGuanine nucleotide-binding protein G(s) subunit α isoformsGnas1.27
sp|P41034|TTPA_RATα-tocopherol transfer proteinTtpa1.25
sp|Q5U3Z3|ISOC2_RATIsochorismatase domain-containing protein 2Isoc21.24
tr|F6Q5K7|F6Q5K7_RATMitochondrial ribosomal protein S18BMrps18b1.22

[i] Fold-changes of >1.2 and P<0.05 for all statistical data.

Table IV.

Identification of 13 mitochondrial proteins downregulated in the high fat and high cholesterol diet group, compared with the control group, using isobaric tags for relative and absolute quantitation labeling technology.

Table IV.

Identification of 13 mitochondrial proteins downregulated in the high fat and high cholesterol diet group, compared with the control group, using isobaric tags for relative and absolute quantitation labeling technology.

Accession no.Protein nameGene nameFold change
tr|F1LMQ2|F1LMQ2_RATFarnesyl pyrophosphate synthaseFPPS0.46
sp|O35760|IDI1_RAT Isopentenyl-diphosphate δ-isomerase 1Idi10.47
tr|Q5PQZ9|Q5PQZ9_RATNADH dehydrogenase [ubiquinone] 1 subunit C2Ndufc20.64
sp|P11951|CX6C2_RATCytochrome c oxidase subunit 6C-2Cox6c20.64
tr|B2RYX1|B2RYX1_RATCytochrome b-c1 complex subunit 9Uqcr100.65
tr|D3ZCZ9|D3ZCZ9_RATNADH dehydrogenase [ubiquinone] iron-sulfur protein 6Ndufs60.65
sp|Q63362|NDUA5_RATNADH dehydrogenase [ubiquinone] 1α subcomplex subunit 5Ndufa50.66
tr|D4A4P3|D4A4P3_RATNADH dehydrogenase [ubiquinone] 1β subcomplex subunit 3Ndufb30.69
tr|B0M1Q8|B0M1Q8_RATCytochrome bCytB0.72
tr|D3ZS58|D3ZS58_RATNADH dehydrogenase [ubiquinone] 1α subcomplex subunit 2Ndufa20.72
tr|D4A565|D4A565_RATNADH dehydrogenase (ubiquinone) 1β subcomplex, 5Ndufb50.72
tr|Q06QA1|Q06QA1_RATNADH-ubiquinone oxidoreductase chain 5ND50.76
sp|Q6PCT8|DHSD_RATSuccinate dehydrogenase [ubiquinone] cytochrome b small subunitSdhd0.80

[i] Fold changes of ≤0.8 and P<0.05 for all statistical data.

Table V.

Dysregulated proteins involved in biological processes, according to the Gene Ontology database.

Table V.

Dysregulated proteins involved in biological processes, according to the Gene Ontology database.

Biological processChange in expression
Mitochondrial oxidative phosphorylation
  NADH dehydrogenase [ubiquinone] 1 subunit C2Downregulated
  NADH dehydrogenase [ubiquinone] iron-sulfur protein 6Downregulated
  NADH dehydrogenase [ubiquinone] 1β subcomplex subunit 3Downregulated
  NADH dehydrogenase [ubiquinone] 1α subcomplex subunit 2Downregulated
  NADH-ubiquinone oxidoreductase chain 5Downregulated
  NADH dehydrogenase [ubiquinone] 1α subcomplex subunit 5Downregulated
  Succinate dehydrogenase [ubiquinone] cytochrome b small subunitDownregulated
  Cytochrome bDownregulated
  Cytochrome b-c1 complex subunit 9Downregulated
Lipid metabolic process
  Perilipin2Upregulated
  Acyl-coenzyme A synthetaseUpregulated
  Arylsulfatase BUpregulated
  Estradiol 17-β-dehydrogenase 11Upregulated
  Non-specific lipid-transfer proteinUpregulated
  3-ketoacyl-CoA thiolase BUpregulated
  Farnesyl pyrophosphate synthaseDownregulated
  Isopentenyl-diphosphate δ-isomerase 1Downregulated
  Cytochrome P450 2D18Downregulated
  Acyl-CoA-binding proteinDownregulated
Acyl-CoA metabolic process
  Acyl-coenzyme A synthetaseUpregulated
  Non-specific lipid-transfer proteinUpregulated
  Acyl-CoA-binding proteinDownregulated
  α-aminoadipic semialdehyde synthaseDownregulated
Fatty acid β-oxidation
  Non-specific lipid-transfer proteinUpregulated
  3-ketoacyl-CoA thiolase BUpregulated
Western blot analysis

The western blot analysis confirmed the differentially expressed proteins identified using iTRAQ technology. For the analysis, four proteins of interested were selected (Ndufa5, CytB, ATP5A and TFAM). Voltage-dependent anion-selective channel 1 (VDAC1) was used as the loading control. The expression levels of Ndufa5 and CytB were significantly decreased in the HFD group, compared with the control group, whereas no significant differences were observed in the levels of TFAM and ATP5A between the HFD group and control group. These findings were in accordance with the results obtained using iTRAQ technology (Fig. 5).

Figure 5.

Western blot analysis validation of mitochondrial proteins. Liver mitochondrial expression levels of ATP5A, CytB, TFAM and Ndufa5 between the Con and HFD groups. VDAC1 was used as a loading control. (A) Images of the western blots from four biological replicates. (B) Bar graphs of the results of the western blot analysis. The values are presented as the mean ± standard deviation. *P<0.05 and **P<0.01, vs. Con group. HFD, high fat and high cholesterol diet; Con, control; ATP5A, ATP synthase α subunit; CYTB, cytochrome b; TFAM, transcription factor A, mitochondrial; Ndufa5, NADH dehydrogenase [ubiquinone] 1α subcomplex subunit 5; VDAC1, voltage-dependent anion-selective channel 1.

Discussion

NASH is considered to be important in the progression of NAFLD, which can progress into cirrhosis and subacute liver failure (1). However, the primary underlying mechanism contributing to the pathogenesis of NASH remains to be fully elucidated. The principal function of the mitochondria is to provide energy to maintain several cell functions. Previous studies have linked mitochondrial dysfunction and oxidative stress to the pathogenesis of NASH (7). Furthermore, mitochondrial structural abnormalities and decreased activity of MRCs have been reported in the livers of patients with NASH (13). In the present study, comprehensive analysis of liver mitochondrial proteomics was performed to provide a novel perspective for the pathophysiology of the condition.

In the proteomic analysis, a number of proteins involved in mitochondrial oxidative phosphorylation and the metabolism of lipids were significantly dysregulated, which may have contributed to the progression of NASH. For example, proteins in MRC complexes decreased significantly, including Ndufc2, Ndufs6, Ndufb3, Ndufa2, Ndufa5, Ndufb5, ND5 (complex I), Sdhd (complex II), Cox6c2, Uqcr10 and CytB (complex III). Ndufc2 is one of the accessory subunits of complex I. The downregulation of Ndufc2 can decrease MMP and interfere with complex I integrity (13). The expression of Ndufb3 and Ndufb5, which are members of mitochondrial complex I, can be decreased by HFD, resulting in the dysfunction of mitochondrial oxidative phosphorylation in skeletal muscle (14). Ndufa5 localizes to the inner mitochondrial membrane, and its expression is reduced in the brains of patients with autism and in ischemic heart failure (15,16), involving organs with high energy demand. The expression levels of ND5- and cytochrome b-encoded mtDNA were decreased, which can be correlated with mtDNA depletion. The changes of 10 proteins in the mitochondrial complex was consistent with decreased activities of complex II and III. However, the downregulation of Sdhd did not decrease the activity of complex II. Mitochondria complex I is critical in transferring electrons to ubiquinone. Complex I deficiency has been reported in several diseases, including heart failure, myopathies, encephalomyopathies and neurodegenerative disorders (17,18). Furthermore, complex I and III are two sites of ROS generation in cells (19). It is well established that the administration of a HFD in rats leads to the profound modification of mitochondrial lipid composition, causes the inhibition of fatty acid oxidation and the generation of mitochondrial ROS (20). In terms of MRC activity, ROS are overproduced following any significant reduction, which triggers oxidative stress (7). ROS has been implicated in the hepatic tissue injury associated with NASH (5). The depletion of mtDNA in the HFD group may be associated with ROS, which leads to the degradation of mtDNA nucleases. Complex I abnormality may result in increasing ROS production, and ROS conversely affects the activity of mitochondrial complex I through the oxidative damage of cardiolipin (21), which can exacerbate oxidative stress and potentially contribute to the pathogenesis of NASH. In the present study, the decrease in components of complex I and III were expected to decrease complex activity with increasing ROS, which may be relevant to the decrease of MMP and be involved in the progression of NASH.

The present study also found several dysregulated proteins associated with preventing the progression of NASH. Non-specific lipid transfer protein (Scp2) is located in the cytoplasm and mitochondria (22). It has high affinity to several lipid species, including fatty acid, fatty acyl CoAs, lysophosphatidic acid, and phosphatidylinositol, and is also involved in the mitochondrial oxidation of cholesterol in cells (23). Tumor necrosis factor and Fas, released by mitochondrial-free cholesterol, also induces NASH (24). Therefore, the upregulation of Scp2 may be a protective response to excess lipids in NASH. Medium-chain length fatty acids and xenobiotic carboxylic acids were catalyzed by the upregulation of acyl CoA synthetase (ACSM2) in the HFD group. In the liver, the decreased expression of ACSM2 can lead to an increase of free medium-chain fatty acids. Following treatment with medium-chain fatty acids, the protein level of the transcription factor, SREBP-1, is reduced and has a contrasting reaction to that of insulin in primary chicken hepatocytes (25). NASH is associated with insulin resistance, including lipolysis increase, free fatty acid delivery and hepatic fatty acid β oxidation, which lead to an increase in oxidative stress (6). Therefore, ACSM2 may indirectly enhance insulin function in hepatocytes, which may be a protective response to insulin resistance in the liver. However, the specific generating process requires further investigation.

Among the downregulated proteins, farnesyl pyrophosphate synthase and Isopentenyl-diphosphate δ-isomerase 1 are two enzymes of the mevalonate pathway, which catalyzes the synthesis of farnesyl pyrophosphate (FPP) in mitochondria (26). As with ubiquinones in the electron transport chain, mitochondrial isoprenoids are synthesized by FPP. However, the detailed association between FPP and the development of NASH remains to be fully elucidated.

In conclusion, the present study reports the protein profiling in NASH liver mitochondria using iTRAQ technology to perform detailed analysis of the pathogenesis of NASH for the first time. The results revealed 31 differentially expressed proteins in the NASH rat model, compared with the control rats. The dysregulation of proteins in NASH were predominantly associated with the MRC and lipid metabolic process. However, these proteins require further investigation for elucidating the molecular mechanism underlying the pathogenesis of NASH.

Acknowledgements

The present study was supported by a grant from the National Basic Research Program of China (grant no. 2013CB531702).

Glossary

Abbreviations

Abbreviations:

NASH

nonalcoholic steatohepatitis

HFD

high fat and high cholesterol diet

iTRAQ

isobaric tags for relative and absolute quantitation

2D LC-MS/MS

two-dimensional liquid chromatography-tandem mass spectrometry

KEGG

Kyoto Encyclopedia of Genes and Genomes

NAFLD

nonalcoholic fatty liver disease

HCC

hepatocellar carcinoma

ROS

reactive oxygen species

ATP

adenosine triphosphate

SCD

standard chow diet

TC

total cholesterol

TG

triglyceride

LDL-C

low-density lipoprotein

HDL-C

high-density lipoprotein

H&E

hematoxylin and eosin

RT-qPCR

reverse transcription-quantitative polymerase chain reaction

NADH

ubiquinone oxidoreductase

CS

citrate synthase

MMP

mitochondrial membrane potential

mtDNA

mitochondrial DNA

MRC

mitochondrial respiratory complex

ACSM2

acyl CoA synthetase

FPP

farnesyl pyrophosphate

References

1 

Melin Patrick AJ, Kalinski MI, Kelly KR, Haus JM, Solomon TP and Kirwan JP: Nonalcoholic fatty liver disease: Biochemical and therapeutic considerations. Ukr Biokhim Zh (1999). 81:16–25. 2009.PubMed/NCBI

2 

Masuoka HC and Chalasani N: Nonalcoholic fatty liver disease: An emerging threat to obese and diabetic individuals. Ann N Y Acad Sci. 1281:106–122. 2013. View Article : Google Scholar : PubMed/NCBI

3 

Day CP and James OF: Steatohepatitis: A tale of two ‘hits’? Gastroenterology. 114:842–845. 1998. View Article : Google Scholar : PubMed/NCBI

4 

Day CP: From fat to inflammation. Gastroenterology. 130:207–210. 2006. View Article : Google Scholar : PubMed/NCBI

5 

Pessayre D and Fromenty B: NASH: A mitochondrial disease. J Hepatol. 42:928–940. 2005. View Article : Google Scholar : PubMed/NCBI

6 

Sanyal AJ, Sargent Campbell C, Mirshahi F, Rizzo WB, Contos MJ, Sterling RK, Luketic VA, Shiffman ML and Clore JN: Nonalcoholic steatohepatitis: Association of insulin resistance and mitochondrial abnormalities. Gastroenterology. 120:1183–1192. 2001. View Article : Google Scholar : PubMed/NCBI

7 

Begriche K, Igoudjil A, Pessayre D and Fromenty B: Mitochondrial dysfunction in NASH: Causes, consequences and possible means to prevent it. Mitochondrion. 6:1–28. 2006. View Article : Google Scholar : PubMed/NCBI

8 

Anstee QM and Goldin RD: Mouse models in non-alcoholic fatty liver disease and steatohepatitis research. Int J Exp Pathol. 87:1–16. 2006. View Article : Google Scholar : PubMed/NCBI

9 

Ye H, Sun L, Huang X, Zhang P and Zhao X: A proteomic approach for plasma biomarker discovery with 8-plex iTRAQ labeling and SCX-LC-MS/MS. Mol Cell Biochem. 343:91–99. 2010. View Article : Google Scholar : PubMed/NCBI

10 

Pallotti F and Lenaz G: Isolation and subfractionation of mitochondria from animal cells and tissue culture lines. Methods Cell Biol. 80:3–44. 2007. View Article : Google Scholar : PubMed/NCBI

11 

Livak KJ and Schmittgen TD: Analysis of relative gene expression data using real-time quantitative PCR and the 2(−Delta Delta C(T)) method. Methods. 25:402–408. 2001. View Article : Google Scholar : PubMed/NCBI

12 

Wieckowski MR, Giorgi C, Lebiedzinska M, Duszynski J and Pinton P: Isolation of mitochondria-associated membranes and mitochondria from animal tissues and cells. Nat Protoc. 4:1582–1590. 2009. View Article : Google Scholar : PubMed/NCBI

13 

Carreras M Pérez, Del Hoyo P, Martin MA, Rubio JC, Martin A, Castellano G, Colina F, Arenas J and Herruzo Solis JA: Defective hepatic mitochondrial respiratory chain in patients with nonalcoholic steatohepatitis. Hepatology. 38:999–1007. 2003. View Article : Google Scholar : PubMed/NCBI

14 

Sparks LM, Xie H, Koza RA, Mynatt R, Hulver MW, Bray GA and Smith SR: A high-fat diet coordinately downregulates genes required for mitochondrial oxidative phosphorylation in skeletal muscle. Diabetes. 54:1926–1933. 2005. View Article : Google Scholar : PubMed/NCBI

15 

Anitha A, Nakamura K, Thanseem I, Matsuzaki H, Miyachi T, Tsujii M, Iwata Y, Suzuki K, Sugiyama T and Mori N: Downregulation of the expression of mitochondrial electron transport complex genes in autism brains. Brain Pathol. 23:294–302. 2013. View Article : Google Scholar : PubMed/NCBI

16 

Liu T, Chen L, Kim E, Tran D, Phinney BS and Knowlton AA: Mitochondrial proteome remodeling in ischemic heart failure. Life Sci. 101:27–36. 2014. View Article : Google Scholar : PubMed/NCBI

17 

Kang PT, Chen CL, Ren P, Guarini G and Chen YR: BCNU-induced gR2 defect mediates S-glutathionylation of Complex I and respiratory uncoupling in myocardium. Biochem Pharmacol. 89:490–502. 2014. View Article : Google Scholar : PubMed/NCBI

18 

Finsterer J, Rauschka H, Segal L, Kovacs GG and Rolinski B: Affection of the respiratory muscles in combined complex I and IV deficiency. Open Neurol J. 11:1–6. 2017. View Article : Google Scholar : PubMed/NCBI

19 

Murphy MP: How mitochondria produce reactive oxygen species. Biochem J. 417:1–13. 2009. View Article : Google Scholar : PubMed/NCBI

20 

Vial G, Dubouchaud H, Couturier K, Rousselle Cottet C, Taleux N, Athias A, Galinier A, Casteilla L and Leverve XM: Effects of a high-fat diet on energy metabolism and ROS production in rat liver. J Hepatol. 54:348–356. 2011. View Article : Google Scholar : PubMed/NCBI

21 

Paradies G, Petrosillo G, Pistolese M and Ruggiero FM: Reactive oxygen species affect mitochondrial electron transport complex I activity through oxidative cardiolipin damage. Gene. 286:135–141. 2002. View Article : Google Scholar : PubMed/NCBI

22 

Gallegos AM, Atshaves BP, Storey SM, Starodub O, Petrescu AD, Huang H, McIntosh AL, Martin GG, Chao H, Kier AB and Schroeder F: Gene structure, intracellular localization, and functional roles of sterol carrier protein-2. Prog Lipid Res. 40:498–563. 2001. View Article : Google Scholar : PubMed/NCBI

23 

Schroeder F, Atshaves BP, McIntosh AL, Gallegos AM, Storey SM, Parr RD, Jefferson JR, Ball JM and Kier AB: Sterol carrier protein-2: New roles in regulating lipid rafts and signaling. Biochim Biophys Acta. 1771:700–718. 2007. View Article : Google Scholar : PubMed/NCBI

24 

Mari M, Caballero F, Colell A, Morales A, Caballeria J, Fernandez A, Enrich C, Checa Fernandez JC and Ruiz Garcia C: Mitochondrial free cholesterol loading sensitizes to TNF- and Fas-mediated steatohepatitis. Cell Metab. 4:185–198. 2006. View Article : Google Scholar : PubMed/NCBI

25 

Zhang Y, Yin L and Hillgartner FB: SREBP-1 integrates the actions of thyroid hormone, insulin, cAMP, and medium-chain fatty acids on ACCalpha transcription in hepatocytes. J Lipid Res. 44:356–368. 2003. View Article : Google Scholar : PubMed/NCBI

26 

Martin D, Piulachs MD, Cunillera N, Ferrer A and Bellés X: Mitochondrial targeting of farnesyl diphosphate synthase is a widespread phenomenon in eukaryotes. Biochim Biophys Acta. 1773:419–426. 2007. View Article : Google Scholar : PubMed/NCBI

Related Articles

  • Abstract
  • View
  • Download
  • Twitter
Copy and paste a formatted citation
Spandidos Publications style
You Y, Zhang Y, Lu Y, Hu K, Qu X, Liu Y, Lu B and Jin L: Protein profiling and functional analysis of liver mitochondria from rats with nonalcoholic steatohepatitis. Mol Med Rep 16: 2379-2388, 2017.
APA
You, Y., Zhang, Y., Lu, Y., Hu, K., Qu, X., Liu, Y. ... Jin, L. (2017). Protein profiling and functional analysis of liver mitochondria from rats with nonalcoholic steatohepatitis. Molecular Medicine Reports, 16, 2379-2388. https://doi.org/10.3892/mmr.2017.6893
MLA
You, Y., Zhang, Y., Lu, Y., Hu, K., Qu, X., Liu, Y., Lu, B., Jin, L."Protein profiling and functional analysis of liver mitochondria from rats with nonalcoholic steatohepatitis". Molecular Medicine Reports 16.3 (2017): 2379-2388.
Chicago
You, Y., Zhang, Y., Lu, Y., Hu, K., Qu, X., Liu, Y., Lu, B., Jin, L."Protein profiling and functional analysis of liver mitochondria from rats with nonalcoholic steatohepatitis". Molecular Medicine Reports 16, no. 3 (2017): 2379-2388. https://doi.org/10.3892/mmr.2017.6893
Copy and paste a formatted citation
x
Spandidos Publications style
You Y, Zhang Y, Lu Y, Hu K, Qu X, Liu Y, Lu B and Jin L: Protein profiling and functional analysis of liver mitochondria from rats with nonalcoholic steatohepatitis. Mol Med Rep 16: 2379-2388, 2017.
APA
You, Y., Zhang, Y., Lu, Y., Hu, K., Qu, X., Liu, Y. ... Jin, L. (2017). Protein profiling and functional analysis of liver mitochondria from rats with nonalcoholic steatohepatitis. Molecular Medicine Reports, 16, 2379-2388. https://doi.org/10.3892/mmr.2017.6893
MLA
You, Y., Zhang, Y., Lu, Y., Hu, K., Qu, X., Liu, Y., Lu, B., Jin, L."Protein profiling and functional analysis of liver mitochondria from rats with nonalcoholic steatohepatitis". Molecular Medicine Reports 16.3 (2017): 2379-2388.
Chicago
You, Y., Zhang, Y., Lu, Y., Hu, K., Qu, X., Liu, Y., Lu, B., Jin, L."Protein profiling and functional analysis of liver mitochondria from rats with nonalcoholic steatohepatitis". Molecular Medicine Reports 16, no. 3 (2017): 2379-2388. https://doi.org/10.3892/mmr.2017.6893
Follow us
  • Twitter
  • LinkedIn
  • Facebook
About
  • Spandidos Publications
  • Careers
  • Cookie Policy
  • Privacy Policy
How can we help?
  • Help
  • Live Chat
  • Contact
  • Email to our Support Team